The Three Essential Motifs in P0 for Suppression of RNA Silencing Activity of Potato leafroll virus Are Required for Virus Systemic Infection
Abstract
1. Introduction
2. Materials and Methods
2.1. Plant Material and Growth Conditions
2.2. Plasmid Construction
2.3. Plant Agroinfiltration
2.4. RNA Extraction and RT-PCR Detection
2.5. Protein Extraction and Western Blot Analysis
3. Results
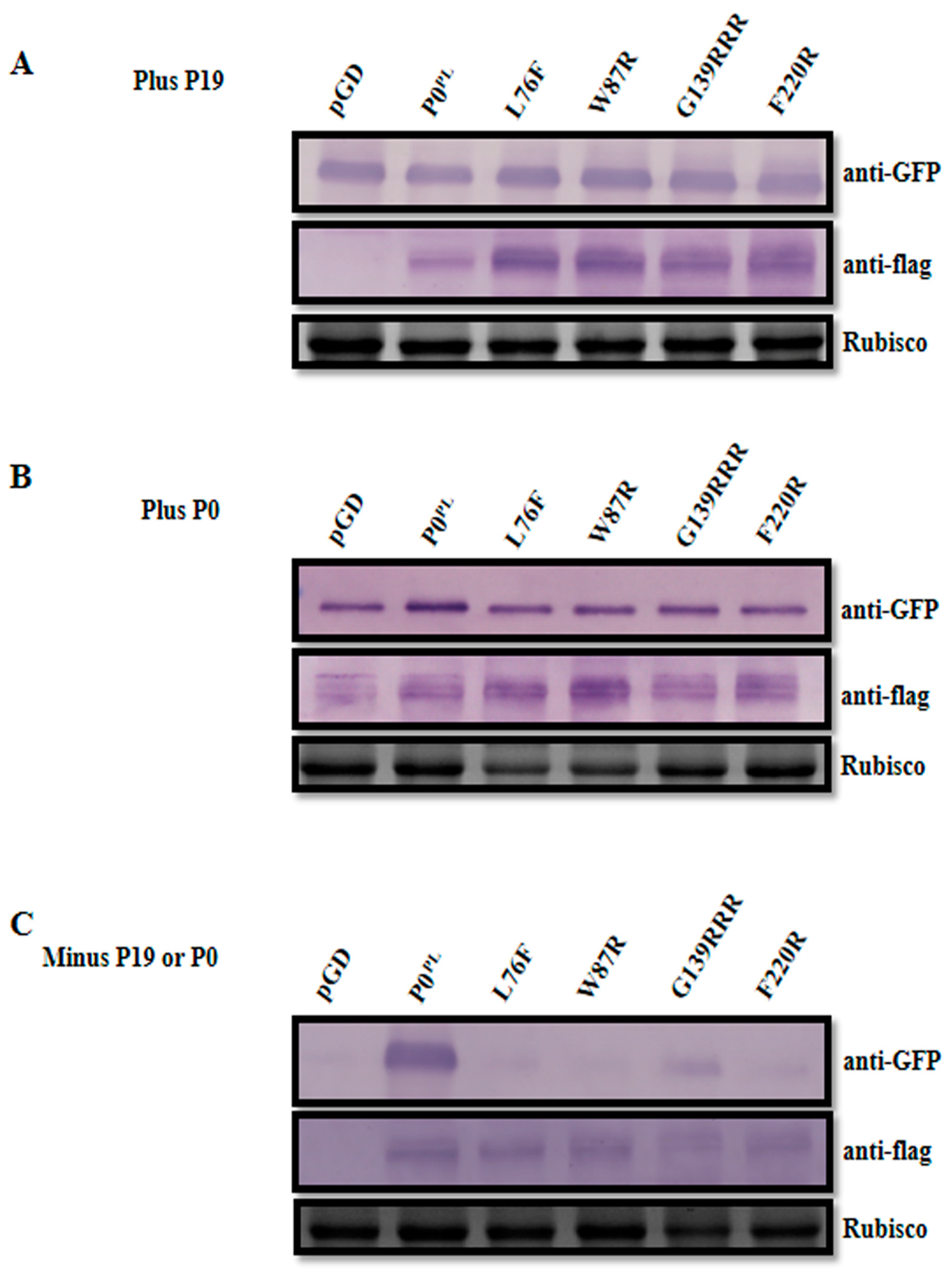
3.1. Available Amino Acid Substitutions in P0 Essential Motifs that Abolished VSR Activity, without Disturbing P1 Amino Acid Sequence
3.2. Modification of Full-Length Infectious cDNA Clone of PLRV and Generation of its VSR Defective Mutants
3.3. Impact of VSR Defective Mutants on PLRV Accumulation in Inoculated N. benthamiana Leaves
3.4. Impact of VSR Defective Mutants on PLRV Systemic Infection in N. benthamiana
3.5. Impact of VSR Defective Mutants on Virus Infection in Natural Hosts
4. Discussion
5. Conclusions
Supplementary Materials
Author Contributions
Funding
Acknowledgments
Conflicts of Interest
References
- Rashid, M.; Chowdhury, M.S.M.; Sultana, N. In-vitro screening of some chemicals and biocontrol agents against Erwinia carotovora subsp. carotovora, the causal agent of soft rot of potato (Solanum tuberosum). Agriculturists 2013, 11. [Google Scholar] [CrossRef]
- Zhang, D.Q.; Mu, T.H.; Sun, H.N. Domestic and abroad research progress of potato tuber-specific storage protein patatin. Sci. Agric. Sin. 2016, 49, 1746–1756. (In Chinese) [Google Scholar]
- [FAOSTAT] Food and Agricultural Organization of the United Nations. Potato Production in 2016; Region/World/Production Quantity/Crops from Pick Lists; Statistical Division, Economic and Social Department: Rome, Italy, 2018; Available online: http://www.fao.org/faostat/en/#data/QC (accessed on 24 December 2018).
- Jeffries, C.; Barker, H.; Khurana, S.M.P. Potato viruses (and viroids) and their management: Potato production, improvement and post-harvest management. In Handbook of Potato Production, Improvement and Post-Harvest Management, 1st ed.; Gopal, J., Khurana, S.M.P., Eds.; The Haworth’s Food Products Press: New York, NY, USA, 2006; pp. 387–448. [Google Scholar]
- Wales, S.; Platt, H.W.; Cattlin, N. Diseases, Pests and Disorders of Potatoes: A Colour Handbook, 1st ed.; Manson Publishing Ltd.: London, UK, 2008; pp. 75–76. [Google Scholar]
- Solomon-Blackburn, R.M.; Barker, H. Breeding virus-resistant potatoes (Solanum tuberosum): A review of traditional and molecular approaches. Heredity 2001, 86, 17–35. [Google Scholar] [CrossRef] [PubMed]
- D’Arcy, C.J.; Domier, L.L. Family Luteoviridae. In Virus Taxonomy: Eighth Report of the International Committee on Taxonomy of Viruses; Fauquet, C.M., Mayo, M.A., Maniloff, J., Desselberger, U., Ball, L.A., Eds.; Academic Press: Waltham, MA, USA, 2005; pp. 343–352. [Google Scholar]
- Harrison, B.D. Steps in the development of luteovirology. In The Luteoviridae; Smith, H.G., Baker, H., Eds.; CABI Publishing: Wallingford, UK, 1999; pp. 1–14. [Google Scholar]
- D’Arcy, C.J.; Domier, L.; Mayo, M.A. Family Luteoviridae. In Virus Taxonomy: Seventh Report of the International Committee on Taxonomy of Viruses; van Regenmortel, M.H.V., Fauquet, C.M., Bishop, D.H.L., Carstens, E., Estes, M., Lemon, S., Maniloff, J., Mayo, M.A., McGeoch, D., Pringle, C.R., et al., Eds.; Academic Press: Waltham, MA, USA, 2000; pp. 775–784. [Google Scholar]
- King, A.M.Q.; Adams, M.J.; Carstens, E.B.; Lefkowitz, E.J. Virus Taxonomy Classification and Nomenclature of Viruses: Ninth Report of the International Committee on Taxonomy of Viruses; Elsevier Academic Press: London, UK, 2012; pp. 1045–1053. [Google Scholar]
- Hwang, Y.T.; Kalischuk, M.; Fusaro, A.F.; Waterhouse, P.M.; Kawchuk, L. Small RNA sequencing of Potato leafroll virus infected plants reveals an additional subgenomic RNA encoding a sequence-specific RNA-binding protein. Virology 2013, 438, 61–69. [Google Scholar] [CrossRef] [PubMed]
- Fusaro, A.F.; Correa, R.L.; Nakasugi, K.; Jackson, C.; Kawchuk, L.; Vaslin, M.F.S.; Waterhouse, P.M. The Enamovirus P0 protein is a silencing suppressor which inhibits local and systemic RNA silencing through AGO1 degradation. Virology 2012, 426, 178–187. [Google Scholar] [CrossRef] [PubMed]
- Incarbone, M.; Dunoyer, P. RNA silencing and its suppression: Novel insights from in planta analyses. Trends Plant Sci. 2013, 18, 382–392. [Google Scholar] [CrossRef]
- Reis, R.S.; Litholdo, C.G., Jr.; Bally, J.; Roberts, T.H.; Waterhouse, P.M. A conditional silencing suppression system for transient expression. Sci. Rep. 2018, 8, 9426–9432. [Google Scholar] [CrossRef] [PubMed]
- Baulcombe, D. RNA silencing in plants. Nature 2004, 431, 356–363. [Google Scholar] [CrossRef]
- Silhavy, D.; Burgyán, J. Effects and side-effects of viral RNA silencing suppressors on short RNAs. Trends Plant Sci. 2004, 9, 76–83. [Google Scholar] [CrossRef]
- Voinnet, O. Induction and suppression of RNA silencing: Insights from viral infections. Nat. Rev. Genet. 2005, 6, 206–220. [Google Scholar] [CrossRef]
- Zhang, X.; Yuan, Y.R.; Pei, Y.; Lin, S.S.; Tuschl, T.; Patel, D.J.; Chua, N.H. Cucumber mosaic virus-encoded 2b suppressor inhibits Arabidopsis Argonaute1 cleavage activity to counter plant defense. Genes Dev. 2006, 20, 3255–3268. [Google Scholar] [CrossRef] [PubMed]
- Wang, M.B.; Masuta, C.; Smith, N.A.; Shimura, H. RNA silencing and plant viral diseases. Mol. Plant Microbe Interact. 2012, 25, 1275–1285. [Google Scholar] [CrossRef] [PubMed]
- Lakatos, L.; Csorba, T.; Pantaleo, V.; Chapman, E.J.; Carrington, J.C.; Liu, Y.P.; Dolja, V.V.; Calvino, L.F.; López-Moya, J.J.; Burgyán, J. Small RNA binding is a common strategy to suppress RNA silencing by several viral suppressors. EMBO J. 2006, 25, 2768–2780. [Google Scholar] [CrossRef] [PubMed]
- Csorba, T.; Bovi, A.; Dalmay, T.; Burgyán, J. The p122 subunit of Tobacco mosaic virus replicase is a potent silencing suppressor and compromises both siRNA and miRNA mediated pathways. J. Virol. 2007, 81, 11768–11780. [Google Scholar] [CrossRef] [PubMed]
- Ding, S.W.; Voinnet, O. Antiviral immunity directed by small RNAs. Cell 2007, 130, 413–426. [Google Scholar] [CrossRef] [PubMed]
- Pertermann, R.; Tamilarasan, S.; Gursinsky, T.; Gambino, G.; Schuck, J.; Weinholdt, C.; Lilie, H.; Grosse, I.; Golbik, R.; Pantaleo, V.; et al. A viral suppressor modulates the plant immune response early in infection by regulating microRNA activity. mBio 2018, 9, e00419-18. [Google Scholar] [CrossRef] [PubMed]
- Csorba, T.; Lózsa, R.; Hutvágner, G.; Burgyán, J. Polerovirus protein P0 prevents the assembly of small RNA-containing RISC complexes and leads to degradation of ARGONAUTE1. Plant J. 2010, 62, 463–472. [Google Scholar] [CrossRef]
- Mangwende, T.; Wang, M.L.; Borth, W.; Hu, J.; Moore, P.H.; Mirkov, T.E.; Albert, H.H. The P0 gene of Sugarcane yellow leaf virus encodes an RNA silencing suppressor with unique activities. Virology 2009, 384, 38–50. [Google Scholar] [CrossRef]
- Han, Y.H.; Xiang, H.Y.; Wang, Q.; Li, Y.Y.; Wu, W.Q.; Han, C.G.; Li, D.W.; Yu, J.L. Ring structure amino acids affect the suppressor activity of Melon aphid-borne yellows virus P0 protein. Virology 2010, 406, 21–27. [Google Scholar] [CrossRef]
- Kozlowska-Makulska, A.; Guilley, H.; Szyndel, M.S.; Beuve, M.; Lemaire, O.; Herrbach, E.; Bouzoubaa, S. P0 proteins of European beet-infecting poleroviruses display variable RNA silencing suppression activity. J. Gen. Virol. 2010, 91, 1082–1091. [Google Scholar] [CrossRef]
- Liu, Y.; Zhai, H.; Zhao, K.; Wu, B.; Wang, X. Two suppressors of RNA silencing encoded by cereal-infecting members of the family Luteoviridae. J. Gen. Virol. 2012, 93, 1825–1830. [Google Scholar] [CrossRef] [PubMed]
- Delfosse, V.C.; Agrofoglio, Y.C.; Casse, M.F.; Kresic, I.B.; Hopp, H.E.; Ziegler-Graff, V.; Distéfano, A.J. The P0 protein encoded by Cotton leafroll dwarf virus (CLRDV) inhibits local but not systemic RNA silencing. Virus Res. 2013, 180, 70–75. [Google Scholar] [CrossRef] [PubMed]
- Zhuo, T.; Li, Y.Y.; Xiang, H.Y.; Wu, Z.Y.; Wang, X.B.; Wang, Y.; Zhang, Y.L.; Li, D.W.; Yu, J.L.; Han, C.G. Amino acid sequence motifs essential for P0-mediated suppression of RNA silencing in an isolate of Potato leafroll virus from Inner Mongolia. Mol. Plant Microbe Interact. 2014, 27, 515–527. [Google Scholar] [CrossRef] [PubMed]
- Chen, S.; Jiang, G.Z.; Wu, J.X.; Liu, Y.; Qian, Y.J.; Zhou, X.P. Characterization of a novel Polerovirus infecting maize in China. Viruses 2016, 8, 120. [Google Scholar] [CrossRef] [PubMed]
- Wang, K.D.; Empleo, R.; Nguyen, T.T.; Moffett, P.; Sacco, M.A. Elicitation of hypersensitive responses in Nicotiana glutinosa by the suppressor of RNA silencing protein P0 from poleroviruses. Mol. Plant Pathol. 2015, 16, 435–448. [Google Scholar] [CrossRef]
- Pazhouhandeh, M.; Dieterle, M.; Marrocco, K.; Lechner, E.; Berry, B.; Brault, V.; Hemmer, O.; Kretsch, T.; Richards, K.E.; Genschik, P.; et al. F-box-like domain in the Polerovirus protein P0 is required for silencing suppressor function. Proc. Natl. Acad. Sci. USA 2006, 103, 1994–1999. [Google Scholar] [CrossRef]
- Derrien, B.; Baumberger, N.; Schepetilnikov, M.; Viotti, C.; De Cillia, J.; Ziegler-Graff, V.; Isono, E.; Schumacher, K.; Genschik, P. Degradation of the antiviral component ARGONAUTE1 by the autophagy pathway. Proc. Natl. Acad. Sci. USA 2012, 109, 15942–15946. [Google Scholar] [CrossRef]
- Baumberger, N.; Tsai, C.H.; Lie, M.; Havecker, E.; Baulcombe, D.C. The Polerovirus silencing suppressor P0 targets ARGONAUTE proteins for degradation. Curr. Biol. 2007, 17, 1609–1614. [Google Scholar] [CrossRef]
- Boyer, J.C.; Haenni, A.L. Infectious transcripts and cDNA clones of RNA viruses. Virology 1994, 198, 415–426. [Google Scholar] [CrossRef]
- Prüfer, D.; Wipf-Scheibel, C.; Richards, K.; Guilley, H.; Lecoq, H.; Jonard, G. Synthesize of a full-length infectious cDNA clone of Cucurbit aphid-borne yellows virus and its use in gene exchange experiments with structural proteins from other luteoviruses. Virology 1995, 214, 150–158. [Google Scholar] [CrossRef][Green Version]
- Ziegler-Graff, V.; Brault, V.; Mutterer, J.; Simonis, M.T.; Herrbach, E.; Guilley, H.; Richards, K.E.; Jonard, G. The coat protein of Beet western yellows luteovirus is essential for systemic infection but the viral gene products P29 and P19 are dispensable for systemic infection and aphid transmission. Mol. Plant Microbe Interact. 1996, 9, 501–510. [Google Scholar] [CrossRef]
- Goodin, M.M.; Dietzgen, R.G.; Schichnes, D.; Ruzin, S.; Jackson, A.O. pGD vectors: Versatile tools for the expression of green and red fluorescent protein fusions in agroinfiltrated plant leaves. Plant J. 2002, 31, 375–383. [Google Scholar] [CrossRef]
- Franco-Lara, L.F.; McGeachy, K.D.; Commandeur, U.; Martin, R.R.; Mayo, M.A.; Barker, H. Transformation of tobacco and potato with cDNA encoding the full-length genome of Potato leafroll virus: Evidence for a novel virus distribution and host effects on virus multiplication. J. Gen. Virol. 1999, 80, 2813–2822. [Google Scholar] [CrossRef]
- Holsters, M.; de Waele, D.; Depicker, A.; Messens, E.; van Montagu, M.; Schell, J. Transfection and transformation of Agrobacterium tumefaciens. Mol. Gen. Genet. 1978, 163, 181–187. [Google Scholar] [CrossRef] [PubMed]
- Ruiz, M.T.; Voinnet, O.; Baulcombe, D.C. Initiation and maintenance of virus-induced gene silencing. Plant Cell 1998, 10, 937–946. [Google Scholar] [CrossRef]
- Han, C.G.; Li, D.W.; Xing, Y.M.; Zhu, K.; Tian, Z.F.; Cai, Z.N.; Yu, J.L.; Liu, Y. Wheat yellow mosaic virus widely occurring in wheat (Triticum aestivum) in China. Plant Dis. 2000, 84, 627–630. [Google Scholar] [CrossRef]
- Zhang, X.Y.; Zhao, T.Y.; Li, Y.Y.; Xiang, H.Y.; Dong, S.W.; Zhang, Z.Y.; Wang, Y.; Li, D.W.; Yu, J.L.; Han, C.G. The conserved proline18 in the polerovirus P3a is important for Brassica yellows virus systemic infection. Front. Microbiol. 2018, 9, 613–626. [Google Scholar] [CrossRef] [PubMed]
- Yang, F.; Rashid, M.; Zhang, X.Y.; Zhang, Z.Y.; Wang, Y.; Li, D.W.; Yu, J.L.; Han, C.G. Development of polyclonal antiserum against movement protein from Potato leafroll virus and its application for the virus detection. Phytopathol. Res. 2019, 1, 5. [Google Scholar] [CrossRef]
- Pazhouhandeh, M. The Mechanism of Action of Polerovirus P0 in RNA Silencing Suppression. Ph.D. Thesis, University of Louis Pasteur, Strasbourg, France, 2007. [Google Scholar]
- Derrick, P.M.; Barker, H. Short and long distance spread of Potato leafroll luteovirus: Effects of host genes and transgenes conferring resistance to virus accumulation in potato. J. Gen. Virol. 1997, 78, 243–251. [Google Scholar] [CrossRef] [PubMed][Green Version]
- Sadowy, E.; Maasen, A.; Juszczuk, M.; David, C.; Zago rski-Ostoja, W.; Gronenborn, B.; Hulanicka, M.D. The ORF0 product of Potato leafroll virus is indispensable for virus accumulation. J. Gen. Virol. 2001, 82, 1529–1532. [Google Scholar] [CrossRef] [PubMed]
- Alvarez, J.M.; Srinivasan, R. Evaluation of hairy nightshade as an inoculum source for Aphid-mediated transmission of Potato leafroll virus. J. Econ. Entomol. 2005, 98, 1101–1108. [Google Scholar] [CrossRef] [PubMed]
- Ding, S.W.; Li, W.X.; Symons, R.H. A novel naturally occurring hybrid gene encoded by a plant RNA virus facilitates long distance virus movement. EMBO J. 1995, 14, 5762–5772. [Google Scholar] [CrossRef] [PubMed]
- Guo, H.S.; Ding, S.W. A viral protein inhibits the long range signaling activity of the gene silencing signal. EMBO J. 2002, 21, 398–407. [Google Scholar] [CrossRef] [PubMed]






| Primer | Sequence (5′ to 3′) |
|---|---|
| PLP0L76F-F | TTTCCGAGGCACCTCCACTA |
| PLP0L76F-R | TTGAAGGCCGGATGTTGAAA |
| PLP0W87R-F | CGGGGATTACTCTGCGGCAC |
| PLP0W87R-R | CTCAAGGCACTCATAGTGGA |
| PLP0F220R-F | CGAAGAACACTTACCGGTTT |
| PLP0F220R-R | AGACTTAGCGCGCCCTTGTA |
| P0G139F-F | TTTTGGGGACATGACATGGA |
| P0G139R-F | CGTTGGGGACATGACATGGA |
| P0W140R-F | GGTAGGGGACATGACATGGA |
| P0G141F-F | GGTTGGTTTCATGACATGGA |
| P0G141R-F | GGTTGGCGACATGACATGGA |
| P0G139F-R | GTTTGACAATCCAGCCGCAT |
| P0G139C-F | TGTTGGGGACATGACATGGA |
| P0G139S-F | AGTTGGGGACATGACATGGA |
| P0G140G-F | CGTGGGGGACATGACATGGA |
| PLP0G139CR-F | TGTAGGGGACATGACATGGA |
| PLP0G139CRR-F | TGTAGGCGACATGACATGGA |
| PLP0G139FR-F | TTTAGGGGACATGACATGGA |
| PLP0G139RR-F | CGTAGGGGACATGACATGGA |
| PLP0G139RRR-F | CGTAGGCGACATGACATGGA |
| PLRV5-28F | ACAAAAGAATACCAGGAGAAATTGCAGC |
| PLRVKp3R | AAGGTACCACTACACAACCCTGTAA |
| PLRV2723F | CTTCAAAAGGTGTCAGGAG |
| PLRV3656R | GCCTGCGAAGGGATTG |
| pCB/Not I-F | GCGGCCGCGGTGTCTCGCAC |
| PLRV/Apa I-R | GGGCCCACGATTTGTATAGC |
| PLRV/Apa I-F | GGGCCCTACCATCGTCATTA |
| PLRV/Spe I-R | ACTAGTATGGAGATATCATT |
| M13F-47 | CCAGGGTTTTCCCAGTCACGAC |
| M13R-48 | AGCGGATAACAATTTCACACAG |
| BinF | GTAAGGGATGACGCACAATC |
| Pocon-F | GAYTGYTCYGGTTTTGACTGG |
| Pocon-R | TTRTAYTCATGGTAGGCCTTGAG |
© 2019 by the authors. Licensee MDPI, Basel, Switzerland. This article is an open access article distributed under the terms and conditions of the Creative Commons Attribution (CC BY) license (http://creativecommons.org/licenses/by/4.0/).
Share and Cite
Rashid, M.-O.; Zhang, X.-Y.; Wang, Y.; Li, D.-W.; Yu, J.-L.; Han, C.-G. The Three Essential Motifs in P0 for Suppression of RNA Silencing Activity of Potato leafroll virus Are Required for Virus Systemic Infection. Viruses 2019, 11, 170. https://doi.org/10.3390/v11020170
Rashid M-O, Zhang X-Y, Wang Y, Li D-W, Yu J-L, Han C-G. The Three Essential Motifs in P0 for Suppression of RNA Silencing Activity of Potato leafroll virus Are Required for Virus Systemic Infection. Viruses. 2019; 11(2):170. https://doi.org/10.3390/v11020170
Chicago/Turabian StyleRashid, Mamun-Or, Xiao-Yan Zhang, Ying Wang, Da-Wei Li, Jia-Lin Yu, and Cheng-Gui Han. 2019. "The Three Essential Motifs in P0 for Suppression of RNA Silencing Activity of Potato leafroll virus Are Required for Virus Systemic Infection" Viruses 11, no. 2: 170. https://doi.org/10.3390/v11020170
APA StyleRashid, M.-O., Zhang, X.-Y., Wang, Y., Li, D.-W., Yu, J.-L., & Han, C.-G. (2019). The Three Essential Motifs in P0 for Suppression of RNA Silencing Activity of Potato leafroll virus Are Required for Virus Systemic Infection. Viruses, 11(2), 170. https://doi.org/10.3390/v11020170

