Tissue Expression and Characterization of Eogystia hippophaecolus (Lepidoptera: Cossidae) Odorant Receptors
Abstract
1. Introduction
2. Materials and Methods
2.1. Insect Collection and Processing
2.2. RNA Extraction and cDNA Synthesis
2.3. Phylogenic Analyses
2.4. Tissue Expression of EhipORs
2.5. Statistical Analysis
2.6. Gene Cloning and Amino Acid Sequence Analysis
2.7. EhipPR1–3 Protein Modeling and Molecular Docking
3. Results
3.1. Phylogenetic Analysis of EhipORs and Other Lepidoptera Odorant Receptors
3.2. Expression Levels of EhipOR Genes in Different Tissues
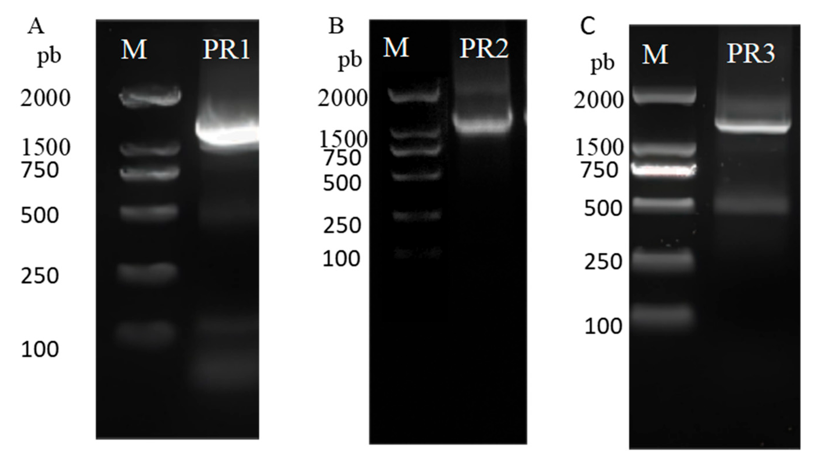
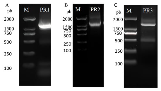
3.3. EhipPR1–3 Gene Cloning and Amino Acid Sequence Analysis
3.4. Molecular Docking of EhipPR1–3
4. Discussion
5. Conclusions
Supplementary Materials
Author Contributions
Funding
Data Availability Statement
Acknowledgments
Conflicts of Interest
References
- Yakovlev, R.V. A New species and new records of the genus Meharia chretien 1915 (lepidoptera, cossidae) from the middle east and central asia. Zool. Zhurnal 2018, 97, 1127–1131. [Google Scholar] [CrossRef]
- Hu, J.H.; Liu, J. Occurrence characteristics and control measures of Eogystia hippophaecolus in Panyang County. Mod. Agric. Sci. Technol. 2017, 98+102. [Google Scholar]
- Luo, J.J.; Wang, F.C.; Wang, K.; Song, L.; Qin, W.S.; Wang, X.; Wang, H.Y.; Pan, X.Y. Characteristics of the occurrence and integrated control of Eogystia hippophaecolus in Tayu Reclamation Area of Xinjiang. Fruit Tree Pract. Technol. Inf. 2020, 26–28. [Google Scholar]
- Turlings, T.C.J.; Erb, M. Tritrophic Interactions Mediated by Herbivore-Induced Plant Volatiles: Mechanisms, Ecological Relevance, and Application Potential. In Annual Review of Entomology; Berenbaum, M.R., Ed.; Annual Review: San Mateo, CA, USA, 2018; Volume 63, pp. 433–452. [Google Scholar]
- Guo, H.; Wang, C.Z. The ethological significance and olfactory detection of herbivore-induced plant volatiles in interactions of plants, herbivorous insects, and parasitoids. Arthropod Plant Interact. 2019, 13, 161–179. [Google Scholar] [CrossRef]
- Ache, B.W. Insect chemoreception: Mechanisms in insect olfaction. Science 1987, 236, 341. [Google Scholar] [CrossRef]
- Field, L.M.; Pickett, J.A.; Wadhams, L.J. Molecular studies in insect olfaction. Insect Mol. Biol. 2000, 9, 545–551. [Google Scholar] [CrossRef]
- Ronderos, D.S.; Smith, D.P. Diverse signaling mechanisms mediate volatile odorant detection in Drosophila. Fly 2009, 3, 290–297. [Google Scholar] [CrossRef]
- Zhao, Y.N.; Wang, F.Z.; Zhang, X.Y.; Zhang, S.H.; Guo, S.L.; Zhu, G.P.; Liu, Q.; Li, M. Transcriptome and Expression Patterns of Chemosensory Genes in Antennae of the Parasitoid Wasp Chouioia cunea. PLoS ONE 2016, 11, e0148159. [Google Scholar] [CrossRef]
- Liu, J.F.; Yang, L.; Li, M.; He, X.J.; Wang, Z.L.; Zeng, Z.J. Cloning and expression pattern of odorant receptor 11 in Asian honeybee drones, Apis cerana (Hymenoptera, Apidae). J. Asia Pac. Entomol. 2019, 22, 110–116. [Google Scholar] [CrossRef]
- Yang, K.; Huang, L.Q.; Ning, C.; Wang, C.Z. Two single-point mutations shift the ligand selectivity of a pheromone receptor between two closely related moth species. eLife 2017, 6, e29100. [Google Scholar] [CrossRef]
- Chang, H.T.; Liu, Y.; Yang, T.; Pelosi, P.; Dong, S.L.; Wang, G.R. Pheromone binding proteins enhance the sensitivity of olfactory receptors to sex pheromones in Chilo suppressalis. Sci. Rep. 2015, 5, 13093. [Google Scholar] [CrossRef] [PubMed]
- Li, R.T.; Huang, L.Q.; Dong, J.F.; Wang, C.Z. A moth odorant receptor highly expressed in the ovipositor is involved in detecting host-plant volatiles. eLife 2020, 9, e53706. [Google Scholar] [CrossRef] [PubMed]
- Fang, Y.L.; Sun, J.H.; Zhao, C.H.; Sun, Y.P.; Zhang, H.Q.; Zhang, Z.N. Identification of sex pheromone components in Eogystia hippophaecolus (Lepidoptera: Cossidae) and their biological activities. J. Entomol. 2003, 5, 665–666. [Google Scholar]
- Cheng, X.F.; Wang, J.M.; Zhang, J.T. Synthesis of sex pheromone in Eogystia hippophaecolus and experiments on moth-attracting activity in forests. For. Sci. 2007, 74–77. [Google Scholar]
- Hu, P.; Gao, C.L.; Zong, S.X.; Luo, Y.Q.; Tao, J. Pheromone Binding Protein EhipPBP1 Is Highly Enriched in the Male Antennae of the Seabuckthorn Carpenterworm and Is Binding to Sex Pheromone Components. Front. Physiol. 2018, 9, 447. [Google Scholar] [CrossRef]
- Li, Z.X.; Liu, L.; Zong, S.X.; Tao, J. Molecular Characterization and Expression Profiling of Chemosensory Proteins in Male Eogystia hippophaecolus (Lepidoptera: Cossidae). J. Entomol. Sci. 2021, 56, 217–234. [Google Scholar] [CrossRef]
- Yang, S.Y.; Cao, D.P.; Wang, G.R.; Liu, Y. Identification of Genes Involved in Chemoreception in Plutella xyllostella by Antennal Transcriptome Analysis. Sci. Rep. 2017, 7, 11941. [Google Scholar] [CrossRef]
- Li, K.; Wei, H.; Shu, C.; Zhang, S.; Cao, Y.; Luo, C.; Yin, J. Identification and comparison of candidate odorant receptor genes in the olfactory and non-olfactory organs of Holotrichia oblita Faldermann by transcriptome analysis. Comp. Biochem. Physiol. D Genom. Proteom. 2017, 24, 1–11. [Google Scholar] [CrossRef]
- Sun, L.; Zhang, Y.N.; Qian, J.L.; Kang, K.; Zhang, X.Q.; Deng, J.D.; Tang, Y.P.; Chen, C.; Hansen, L.; Xu, T.; et al. Identification and Expression Patterns of Anoplophora chinensis (Forster) Chemosensory Receptor Genes from the Antennal Transcriptome. Front. Physiol. 2018, 9, 90. [Google Scholar] [CrossRef]
- Wang, G.Y.; Zhu, J.L.; Zhou, W.W.; Liu, S.; Khairul, Q.M.; Ansari, N.A.; Zhu, Z.R. Identification and expression analysis of putative chemoreception genes from Cyrtorhinus lividipennis (Hemiptera: Miridae) antennal transcriptome. Sci. Rep. 2018, 8, 12981. [Google Scholar] [CrossRef]
- Livak, K.J.; Schmittgen, T.D. Analysis of relative gene expression data using real-time quantitative PCR and the 2(-Delta Delta C(T)) Method. Methods 2001, 25, 402–408. [Google Scholar] [CrossRef] [PubMed]
- Carugo, O.; Djinović-Carugo, K. Half a century of Ramachandran plots. Acta Crystallogr. 2013, 69, 1333–1341. [Google Scholar] [CrossRef] [PubMed]
- Fu, S.H.; Zhnag, H.; Zhao, W.Q.; Liang, Z.G. Molecular docking of PxylOBP33 with its associated infochemicals. J. Environ. Entomol. 2023, 45, 1291–1305. [Google Scholar]
- de Fouchier, A.; Sun, X.; Monsempes, C.; Mirabeau, O.; Jacquin-Joly, E.; Montagné, N. Evolution of two receptors detecting the same pheromone compound in crop pest moths of the genus Spodoptera. Front. Ecol. Evol. 2015, 3, 95. [Google Scholar] [CrossRef]
- Sakurai, T.; Nakagawa, T.; Mitsuno, H.; Mori, H.; Endo, Y.; Tanoue, S.; Yasukochi, Y.; Touhara, K.; Nishioka, T. Identification and functional characterization of a sex pheromone receptor in the silkmoth Bombyx mori. Proc. Natl. Acad. Sci. USA 2004, 101, 16653–16658. [Google Scholar] [CrossRef]
- Cattaneo, A.M.; Gonzalez, F.; Bengtsson, J.M.; Jacquin-Joly, E.; Montagné, N.; Walker, W.B.; Witzgall, P.; Bobkov, Y.V. Candidate pheromone receptors of codling moth Cydia pomonella respond to pheromones and kairomones. Chem. Senses 2019, 44, E25. [Google Scholar] [CrossRef]
- Legeai, F.; Malpel, S.; Montagné, N.; Monsempes, C.; Cousserans, F.; Merlin, C.; François, M.C.; Maïbèche-Coisné, M.; Gavory, F.; Poulain, J.; et al. An Expressed Sequence Tag collection from the male antennae of the Noctuid moth Spodoptera littoralis: A resource for olfactory and pheromone detection research. BMC Genom. 2011, 12, 86. [Google Scholar] [CrossRef]
- Liu, J.T.; Xie, J.X.; Khashaveh, A.; Zhou, J.J.; Zhang, Y.J.; Dong, H.; Cong, B.; Gu, S.H. Identification and Tissue Expression Profiles of Odorant Receptor Genes in the Green Peach Aphid Myzus persicae. Insects 2022, 13, 398. [Google Scholar] [CrossRef]
- Chen, L.H.; Tian, K.; Wang, G.R.; Xu, X.L.; He, K.H.; Liu, W.; Wu, J.X. The general odorant receptor GmolOR9 from Grapholita molesta (Lepidoptera: Tortricidae) is mainly tuned to eight host-plant volatiles. Insect Sci. 2020, 27, 1233–1243. [Google Scholar] [CrossRef]
- Bastin-Héline, L.; de Fouchier, A.; Cao, S.; Koutroumpa, F.; Caballero-Vidal, G.; Robakiewicz, S.; Monsempes, C.; François, M.C.; Ribeyre, T.; Maria, A.; et al. A novel lineage of candidate pheromone receptors for sex communication in moths. eLife 2019, 8, e49826. [Google Scholar] [CrossRef]
- Liu, X.L.; Sun, S.J.; Khuhro, S.A.; Elzaki, M.E.A.; Yan, Q.; Dong, S.L. Functional characterization of pheromone receptors in the moth Athetis dissimilis (Lepidoptera: Noctuidae). Pestic. Biochem. Physiol. 2019, 158, 69–76. [Google Scholar] [CrossRef] [PubMed]
- Choo, Y.M.; Xu, P.X.; Hwang, J.K.; Zeng, F.F.; Tan, K.M.; Bhagavathy, G.; Chauhan, K.R.; Leal, W.S. Reverse chemical ecology approach for the identification of an oviposition attractant for Culex quinquefasciatus. Proc. Natl. Acad. Sci. USA 2018, 115, 714–719. [Google Scholar] [CrossRef] [PubMed]
- Du, L.X.; Liu, Y.; Zhang, J.; Gao, X.W.; Wang, B.; Wang, G.R. Identification and characterization of chemosensory genes in the antennal transcriptome of Spodoptera exigua. Comp. Biochem. Physiol. D Genom. Proteom. 2018, 27, 54–65. [Google Scholar] [CrossRef] [PubMed]
- Guo, M.B.; Chen, Q.Y.; Liu, Y.; Wang, G.R.; Han, Z.J. Chemoreception of Mouthparts: Sensilla Morphology and Discovery of Chemosensory Genes in Proboscis and Labial Palps of Adult Helicoverpa armigera (Lepidoptera: Noctuidae). Front. Physiol. 2018, 9, 970. [Google Scholar] [CrossRef]
- Shiraiwa, T. Multimodal Chemosensory Integration through the Maxillary Palp in Drosophila. PLoS ONE 2008, 3, e2191. [Google Scholar] [CrossRef]
- Xu, H.Z.; Guo, M.; Yang, Y.; You, Y.W.; Zhang, L. Differential expression of two novel odorant receptors in the locust (Locusta migratoria). BMC Neurosci. 2013, 14, 50. [Google Scholar] [CrossRef][Green Version]
- Wang, Z.F.; Yang, P.C.; Chen, D.F.; Jiang, F.; Li, Y.; Wang, X.H.; Kang, L. Identification and functional analysis of olfactory receptor family reveal unusual characteristics of the olfactory system in the migratory locust. Cell. Mol. Life Sci. 2015, 72, 4429–4443. [Google Scholar] [CrossRef]
- Hu, P.; Gao, C.L.; Tao, J.; Lu, P.F.; Luo, Y.Q.; Ren, L.L. Sensilla on six olfactory organs of male Eogystia hippophaecolus (Lepidoptera: Cossidae). Microsc. Res. Tech. 2018, 81, 1059–1070. [Google Scholar] [CrossRef]
- Benton, R. Molecular Basis of Odor Detection in Insects. In International Symposium on Olfaction and Taste; Finger, T.E., Ed.; New York Academy of Sciences: New York, NY, USA, 2009; Volume 1170, pp. 478–481. [Google Scholar]
- Liu, Y.P.; Liu, Y.; Jiang, X.C.; Wang, G.R. Cloning and functional characterization of three new pheromone receptors from the diamondback moth, Plutella xylostella. J. Insect Physiol. 2018, 107, 14–22. [Google Scholar] [CrossRef]
- Groot, A.T.; Horovitz, J.L.; Hamilton, J.; Santangelo, R.G.; Schal, C.; Gould, F. Experimental evidence for interspecific directional selection on moth pheromone communication. Proc. Natl. Acad. Sci. USA 2006, 103, 5858–5863. [Google Scholar] [CrossRef]
- Shin, W.H.; Kim, J.K.; Kim, D.S.; Seok, C. GalaxyDock2: Protein-Ligand Docking Using Beta-Complex and Global Optimization. J. Comput. Chem. 2013, 34, 2647–2656. [Google Scholar] [CrossRef] [PubMed]
- Hsin, K.Y.; Ghosh, S.; Kitano, H. Combining Machine Learning Systems and Multiple Docking Simulation Packages to Improve Docking Prediction Reliability for Network Pharmacology. PLoS ONE 2013, 8, e83922. [Google Scholar] [CrossRef] [PubMed]
- Fang, Y.L.; Sun, J.H.; Zhao, C.H.; Zhang, Z.N. Sex pheromone components of the sandthorn carpenterworm, Holcocerus hippophaecolus. J. Chem. Ecol. 2005, 31, 39–48. [Google Scholar] [CrossRef] [PubMed]
- Xu, D.; Tsai, C.J.; Nussinov, R. Hydrogen bonds and salt bridges across protein-protein interfaces. Protein Eng. 1997, 10, 999–1012. [Google Scholar] [CrossRef]
- Mandel-Gutfreund, Y.; Schueler, O.; Margalit, H. Comprehensive analysis of hydrogen bonds in regulatory protein DNA-complexes: In search of common principles. J. Mol. Biol. 1995, 253, 370–382. [Google Scholar] [CrossRef]
- Coulocheri, S.A.; Pigis, D.G.; Papavassiliou, K.A.; Papavassiliou, A.G. Hydrogen bonds in protein-DNA complexes: Where geometry meets plasticity. Biochimie 2007, 89, 1291–1303. [Google Scholar] [CrossRef]
- Xu, L.; Jiang, H.B.; Yu, J.L.; Pan, D.; Tao, Y.; Lei, Q.; Chen, Y.; Liu, Z.; Wang, J.J. Two odorant receptors regulate 1-octen-3-ol induced oviposition behavior in the oriental fruit fly. Commun. Biol. 2023, 6, 176. [Google Scholar] [CrossRef]








| Experiment | Gene Name | Forward Primer | Reverse Primer |
|---|---|---|---|
| qPCR | EhipOR7 | 5′-TGCCATGGGAAAACTGGTCA-3′ | 5′-GTCATAGGCCGTACTCCAGC-3′ |
| EhipOR9 | 5′-TCGCTATGTGTCTGTTGGGT-3′ | 5′-TAGCAGCGCATGTTCCATCA-3′ | |
| EhipOR11 | 5′-GTCATAGGCCGTACTCCAGC-3′ | 5′-ATGGGTGTTACTCCAGTGCG-3′ | |
| EhipOR16 | 5′-TGGAGAATTCGACGCAGCAT-3′ | 5′-TTAGGGGTAGAGGGCGTACC-3′ | |
| EhipOR17 | 5′-TGATCGGTCCCACAATACGC-3′ | 5′-ACATCGAGTAAGCAGATGCC-3′ | |
| EhipOR18 | 5′-TGCGGAACTATCAATGCGGA-3′ | 5′-GAGAACTCGTCCCAGCCTTC-3′ | |
| EhipOR21 | 5′-GATGACTCTACCACCCTGCG-3′ | 5′-AACTGAACAAACACGGCGTT-3′ | |
| EhipOR22 | 5′-CTTTGTCGCCTCTGCAATCG-3′ | 5′-TGATGCCAAACTGAAAGCGC-3′ | |
| EhipOR23 | 5′-AGCCGCGAAGATCATCAACA-3′ | 5-’CTCGCGGTTGCAGTTTTTCA-3′ | |
| EhipOR27 | 5′-TCCTTTTGACACCACGCCTT-3′ | 5′-ATCCATCCTTGACGTCGACG-3′ | |
| EhipOR28 | 5′-AGCATTGCAGCCTGTCTTCA-3′ | 5′-CGCGCGCAGTATGAAAATGA-3′ | |
| EhipOR30 | 5′-ATGGTGGTGGATGGATCACG-3′ | 5′-GCGACAGGCAGGAATCAAAC-3′ | |
| EhipOR34 | 5′-TGTGAAGTGGTGCAGCGTAT-3′ | 5′-ACACACCAACTCCTCGGTTC-3′ | |
| EhipOR36 | 5′-CAAGTGTACGGTGGTTGGCT-3′ | 5′-CTGGATCGGCCCAATCTTCC-3′ | |
| EhipOR37 | 5′-GAGGTGCTATCGCTGCAGAA-3′ | 5′-TATTAGTCCCTGGCCGGTCA-3′ | |
| EhipOR39 | 5′-AACCGCTTGAATTGAACGCC-3′ | 5′-ACATCGCTGAGGACTGCAAA-3′ | |
| EhipOR40 | 5′-AAGTGTTCAGCGGTGCAATT-3′ | 5′-TGCCGACATCCAATCACTCA-3′ | |
| EhipOR41 | 5′-TAGCGGAGTTTGTTGTGGCA-3′ | 5′-AAGCTCCGTGAATGGTCCAG-3′ | |
| EhipOR42 | 5′-ACGGCGACATCCAAGACATT-3′ | 5′-ATCGGCTGTGGAAGAGTTCG-3′ | |
| EhipOR43 | 5′-TACGTGTACGCTTTGGGCAA-3′ | 5′-GTACACGTAGCCGAACTCGT-3′ | |
| EhipOR45 | 5′-AGTATTCGCCGGTCAAACGT-3′ | 5′-GTCTGATGGGTCGTCGCTAG-3′ | |
| EhipOR49 | 5′-GCCAGACGGTGACACTTGTC-3′ | 5′-TTAGCCGCAACCACCAATTC-3′ | |
| EhipOR51 | 5′-GCAGCCGAACAAAGGAGTG-3′ | 5′-GTTCCCGCTTTAACGACACA-3′ | |
| EhipPR1 | 5′-AGCCTTGTTGTCCTATGGCC-3′ | 5′-GCCAACATCCACCATACCCA-3′ | |
| EhipPR2 | 5′-ACTTTTGGGGACTACGAGCG-3′ | 5′-CAGCGCCTTCAATTCGATCG-3′ | |
| EhipPR3 | 5′-TTGGTCCGGTGTTAGCTTCC-3′ | 5′-GTGAGAGGTCCATAGCGAGC-3′ | |
| EhipOrco | 5′-ATTTGGGTTACACGCTCGGT-3′ | 5′-AACCGTCGTACCACTGACAC-3′ | |
| Reference genes | Actin | 5′-CGACTTCGAACAGGAGATGG-3′ | 5′-TCGTCTCATGAATGCCACAG-3′ |
| Gene Cloning | EhipPR1 clone | 5′-ATGTTTTTCTTTAAGGAGAATGATA-3′ | 5′-TTAATTCTGTAAAGCTACTGTTCGA-3′ |
| EhipPR2 clone | 5′-ATGAGTAAAACTGAGACCGTAATGG-3′ | 5′-TTATACTGTAGCACGAAGCATAAGG-3′ | |
| EhipPR3 clone | 5′-ATGAATACTTTAATATCTGC-3′ | 5′-TTCGTTCGATGGATAATTAA-3′ |
| Ligand Name | CAS Number |
|---|---|
| E3-14: Ac | 56221-90-0 |
| Z3-14: Ac | 5363403 |
| E9-14: Ac | 23192-82-7 |
| Z7-14: Ac | 16974-10-0 |
| Z9-14: Ac | 16725-53-4 |
| Z3-14: Ac | 68892-27-3 |
| Z7-14: OH | 40642-43-1 |
| Longifolene | 475-20-7 |
| 1-Octene | 111-66-0 |
| Three methy butanol | 123-51-3 |
| Benzothiazole | 95-16-9 |
| 3-carene | 13466-78-9 |
| Benzaldehyde | 100-52-7 |
| Naphthalene | 91-20-3 |
| EhipORs | Formula | MW (kDa) | pI | Instability Index | Aliphatic Index | GRAVY |
|---|---|---|---|---|---|---|
| EhipPR1 | C2363H3570N554O610S31 | 50493.55 | 8.77 | 32.85 | 94.94 | 0.248 |
| EhipPR2 | C2259H3464N522O591S28 | 48289.18 | 8.35 | 35.48 | 109.05 | 0.344 |
| EhipPR3 | C2247H3470N546O596S27 | 48535.19 | 8.47 | 33.78 | 110.38 | 0.414 |
Disclaimer/Publisher’s Note: The statements, opinions and data contained in all publications are solely those of the individual author(s) and contributor(s) and not of MDPI and/or the editor(s). MDPI and/or the editor(s) disclaim responsibility for any injury to people or property resulting from any ideas, methods, instructions or products referred to in the content. |
© 2025 by the authors. Licensee MDPI, Basel, Switzerland. This article is an open access article distributed under the terms and conditions of the Creative Commons Attribution (CC BY) license (https://creativecommons.org/licenses/by/4.0/).
Share and Cite
Chen, C.; Niu, Y.; Zhang, S.; Liu, S.; Lin, X.; Zong, S.; Tao, J. Tissue Expression and Characterization of Eogystia hippophaecolus (Lepidoptera: Cossidae) Odorant Receptors. Forests 2025, 16, 98. https://doi.org/10.3390/f16010098
Chen C, Niu Y, Zhang S, Liu S, Lin X, Zong S, Tao J. Tissue Expression and Characterization of Eogystia hippophaecolus (Lepidoptera: Cossidae) Odorant Receptors. Forests. 2025; 16(1):98. https://doi.org/10.3390/f16010098
Chicago/Turabian StyleChen, Chunyan, Yiming Niu, Sainan Zhang, Sanhe Liu, Xiangbo Lin, Shixiang Zong, and Jing Tao. 2025. "Tissue Expression and Characterization of Eogystia hippophaecolus (Lepidoptera: Cossidae) Odorant Receptors" Forests 16, no. 1: 98. https://doi.org/10.3390/f16010098
APA StyleChen, C., Niu, Y., Zhang, S., Liu, S., Lin, X., Zong, S., & Tao, J. (2025). Tissue Expression and Characterization of Eogystia hippophaecolus (Lepidoptera: Cossidae) Odorant Receptors. Forests, 16(1), 98. https://doi.org/10.3390/f16010098
