A Review of PMMA Bone Cement and Intra‐Cardiac Embolism
Abstract
:1. Introduction
2. Cement Leakage
2.1. Factors Affecting Cement Leakage
2.2. PMMA Viscosity Behavior
2.3. PMMA Cement Based Mathematical Model
2.4. Intra-Cardiac Embolism Leading to Cardiovascular Deterioration
3. Alternatives to PMMA
3.1. Calcium Phosphate and Hydroxyapatite
3.2. Radio-Opacification
3.3. Orthocomp™ and Hydroxyapatite
3.4. Injection Device and Viscometer
3.5. Drug Delivery System, Porous PMMA, and Cementless Procedure
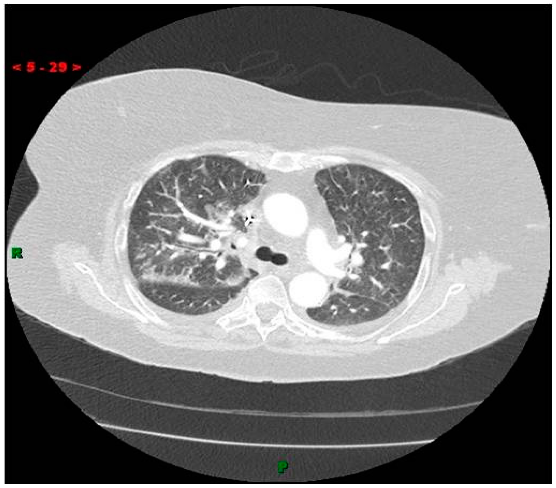
4. Case Report
5. Conclusions
Acknowledgments
Author Contributions
Conflicts of Interest
References
- Chen, W.J.; Kao, Y.H.; Yang, S.C.; Yu, S.W.; Tu, Y.K.; Chung, K.C. Impact of cement leakage into disks on the development of adjacent vertebral compression fractures. Clin. Spine Surg. 2010, 23, 35–39. [Google Scholar] [CrossRef] [PubMed]
- Galibert, P.; Deramond, H.; Rosat, P.; Le Gars, D. Preliminary note on the treatment of vertebral angioma by percutaneous acrylic vertebroplasty. Neurochirurgie 1986, 33, 166–168. [Google Scholar]
- Togawa, D.; Lieberman, I.H. Vertebral Augmentation for Osteoporotic Compression Fractures. In Arthroscopic and Endoscopic Spinal Surgery; Humana Press: Totowa, NJ, USA, 2005; pp. 239–250. [Google Scholar]
- Belkoff, S.M.; Mathis, J.M.; Erbe, E.M.; Fenton, D.C. Biomechanical evaluation of a new bone cement for use in vertebroplasty. Spine 2000, 25, 1061–1064. [Google Scholar] [CrossRef] [PubMed]
- Baroud, G.; Vant, C.; Giannitsios, D.; Bohner, M.; Steffen, T. Effect of vertebral shell on injection pressure and intravertebral pressure in vertebroplasty. Spine 2005, 30, 68–74. [Google Scholar] [CrossRef] [PubMed]
- Bornemann, R.; Rommelspacher, Y.; Jansen, T.R.; Sander, K.; Wirtz, D.C.; Pflugmacher, R. Elastoplasty: A Silicon Polymer as a New Filling Material for Kyphoplasty in Comparison to PMMA. Pain Physician 2016, 19, 885–892. [Google Scholar]
- Boger, A.; Benneker, L.M.; Krebs, J.; Boner, V.; Heini, P.F.; Gisep, A. The effect of pulsed jet lavage in vertebroplasty on injection forces of PMMA bone cement: An animal study. Eur. Spine J. 2009, 18, 1957–1962. [Google Scholar] [CrossRef] [PubMed]
- Katsanos, K.; Ahmad, F.; Dourado, R.; Sabharwal, T.; Adam, A. Interventional radiology in the elderly. Clin. Interv. Aging 2009, 4, 1–15. [Google Scholar] [CrossRef] [PubMed]
- Nakano, M.; Hirano, N.; Ishihara, H.; Kawaguchi, Y.; Matsuura, K. Calcium phosphate cement leakage after percutaneous vertebroplasty for osteoporotic vertebral fractures: Risk factor analysis for cement leakage. J. Neurosurg. Spine 2005, 2, 27–33. [Google Scholar] [CrossRef] [PubMed]
- Li, K.C.; Li, A.F.Y.; Hsieh, C.H.; Chen, H.H. Transpedicle body augmenter in painful osteoporotic compression fractures. Eur. Spine J. 2007, 16, 589–598. [Google Scholar] [CrossRef] [PubMed]
- Dash, A.; Brinster, D.R. Open heart surgery for removal of polymethylmethacrylate after percutaneous vertebroplasty. Ann. Thorac. Surg. 2011, 91, 276–278. [Google Scholar] [CrossRef] [PubMed]
- Gjengedal, E.; Uppheim, G.; Bjerkholt, H.; Høvik, Ø.; Reikerås, O. Excellent results of a femoral press-fit stem cemented with a thin mantle: 116 hips followed for 11–18 years. Eur. J. Orthop. Surg. Traumatol. 2007, 17, 279–284. [Google Scholar] [CrossRef]
- Phillips, H.; Cole, P.V.; Lettin, A.W. Cardiovascular effects of implanted acrylic bone cement. Br. Med. J. 1971, 3, 460–461. [Google Scholar] [CrossRef] [PubMed]
- Meng, B.; Qian, M.; Xia, S.X.; Yang, H.L.; Luo, Z.P. Biomechanical characteristics of cement/gelatin mixture for prevention of cement leakage in vertebral augmentation. Eur. Spine J. 2013, 22, 2249–2255. [Google Scholar] [CrossRef] [PubMed]
- Baroud, G.; Falk, R.; Crookshank, M.; Sponagel, S.; Steffen, T. Experimental and theoretical investigation of directional permeability of human vertebral cancellous bone for cement infiltration. J. Biomech. 2004, 37, 189–196. [Google Scholar] [CrossRef]
- Chu, W.; Tsuei, Y.C.; Liao, P.H.; Lin, J.H.; Chou, W.H.; Chu, W.C.; Young, S.T. Decompressed percutaneous vertebroplasty: A secured bone cement delivery procedure for vertebral augmentation in osteoporotic compression fractures. Injury 2013, 44, 813–818. [Google Scholar] [CrossRef] [PubMed]
- Nieuwenhuijse, M.J.; Van Erkel, A.R.; Dijkstra, P.S. Cement leakage in percutaneous vertebroplasty for osteoporotic vertebral compression fractures: Identification of risk factors. Spine J. 2011, 11, 839–848. [Google Scholar] [CrossRef] [PubMed]
- Lador, R.; Dreiangel, N.; Ben-Galim, P.J.; Hipp, J.A. A pictorial classification atlas of cement extravasation with vertebral augmentation. Spine J. 2010, 10, 1118–1127. [Google Scholar] [CrossRef] [PubMed]
- Bou-Francis, A.; López, A.; Persson, C.; Hall, R.M.; Kapur, N. Assessing cement injection behaviour in cancellous bone: An in vitro study using flow models. J. Biomater. Appl. 2014, 29, 582–594. [Google Scholar] [CrossRef] [PubMed]
- Aghyarian, S.; Rodriguez, L.C.; Chari, J.; Bentley, E.; Kosmopoulos, V.; Lieberman, I.H.; Rodrigues, D.C. Characterization of a new composite PMMA-HA/Brushite bone cement for spinal augmentation. J. Biomater. Appl. 2014, 29, 688–698. [Google Scholar] [CrossRef] [PubMed]
- Baroud, G.; Crookshank, M.; Bohner, M. High-viscosity cement significantly enhances uniformity of cement filling in vertebroplasty: An experimental model and study on cement leakage. Spine 2006, 31, 2562–2568. [Google Scholar] [CrossRef] [PubMed]
- Saleh, K.J.; El Othmani, M.M.; Tzeng, T.H.; Mihalko, W.M.; Chambers, M.C.; Grupp, T.M. Meniscus/Cartilage/Knee; Orthopaedic Research Society: Rosemont, IL, USA, 2016. [Google Scholar]
- Guerin, S.R.; MacNiochaill, R.; O’Reilly, P.; O’Byrne, J.; Kelly, D.J. A comparative study of the effect of hydrogen peroxide versus normal saline on the strength of the bone–cement interface. Bio-Med. Mater. Eng. 2007, 17, 379–386. [Google Scholar]
- Baroud, G.; Yahia, F.B. A finite element rheological model for polymethylmethacrylate flow: Analysis of the cement delivery in vertebroplasty. Proc. Inst. Mech. Eng. H J. Eng. Med. 2004, 218, 331–338. [Google Scholar] [CrossRef]
- Lewis, G.; Carroll, M. Rheological properties of acrylic bone cement during curing and the role of the size of the powder particles. J. Biomed. Mater. Res. 2002, 63, 191–199. [Google Scholar] [CrossRef] [PubMed]
- Farrar, D.F.; Rose, J. Rheological properties of PMMA bone cements during curing. Biomaterials 2001, 22, 3005–3013. [Google Scholar] [CrossRef]
- Baroud, G.; Wu, J.Z.; Bohner, M.; Sponagel, S.; Steffen, T. How to determine the permeability for cement infiltration of osteoporotic cancellous bone. Med. Eng. Phys. 2003, 25, 283–288. [Google Scholar] [CrossRef]
- Bohner, M.; Gbureck, U.; Barralet, J.E. Technological issues for the development of more efficient calcium phosphate bone cements: A critical assessment. Biomaterials 2005, 26, 6423–6429. [Google Scholar] [CrossRef] [PubMed]
- Baroud, G.; Bohner, M. Biomechanical impact of vertebroplasty. Jt. Bone Spine 2006, 73, 144–150. [Google Scholar] [CrossRef] [PubMed]
- Lian, Z.; Chui, C.K.; Teoh, S.H. A biomechanical model for real-time simulation of PMMA injection with haptics. Comput. Biol. Med. 2008, 38, 304–312. [Google Scholar] [CrossRef] [PubMed]
- Caynak, B.; Onan, B.; Sagbas, E.; Duran, C.; Akpinar, B. Cardiac tamponade and pulmonary embolism as a complication of percutaneous vertebroplasty. Ann. Thorac. Surg. 2009, 87, 299–301. [Google Scholar] [CrossRef] [PubMed]
- Llanos, R.A.; Viana-Tejedor, A.; Abella, H.R.; Fernandez-Avilés, F. Pulmonary and intracardiac cement embolism after a percutaneous vertebroplasty. Clin. Res. Cardiol. 2013, 102, 395. [Google Scholar] [CrossRef] [PubMed]
- Son, K.H.; Chung, J.H.; Sun, K.; Son, H.S. Cardiac perforation and tricuspid regurgitation as a complication of percutaneous vertebroplasty. Eur. J. Cardio-Thorac. Surg. 2008, 33, 507–508. [Google Scholar] [CrossRef] [PubMed]
- Pannirselvam, V.; Hee, H.T. Asymptomatic cement embolism in the right atrium after vertebroplasty using high-viscosity cement: A case report. J. Orthop. Surg. 2014, 22, 244. [Google Scholar] [CrossRef]
- Berthoud, B.; Sarre, G.; Chaix, D.; Ennezat, P.V. Cardiac tamponnade, cement right atrial mass, and pulmonary embolism complicating percutaneous plasty of osteolytic metastases. Eur. Heart J. 2014, 13. [Google Scholar] [CrossRef] [PubMed]
- Arnáiz-García, M.E.; Dalmau-Sorlí, M.J.; González-Santos, J.M. Massive cement pulmonary embolism during percutaneous vertebroplasty. Heart 2013. [Google Scholar] [CrossRef] [PubMed]
- Moon, M.H.; Jo, K.H.; Kim, H.W. Cardiac perforation caused by bone cement embolism. Arch. Cardiovasc. Dis. 2013, 106, 413–414. [Google Scholar] [CrossRef] [PubMed]
- Gosev, I.; Nascimben, L.; Huang, P.H.; Mauri, L.; Steigner, M.; Mizuguchi, A.; Shah, A.M.; Aranki, S.F. Right ventricular perforation and pulmonary embolism with polymethylmethacrylate cement after percutaneous kyphoplasty. Circulation 2013, 127, 1251–1253. [Google Scholar] [CrossRef] [PubMed]
- Tran, I.; Gerckens, U.; Remig, J.; Zintl, G.; Textor, J. First report of a life-threatening cardiac complication after percutaneous balloon kyphoplasty. Spine 2013, 38, E316–E318. [Google Scholar] [CrossRef] [PubMed]
- Lee, J.S.; Jeong, Y.S.; Ahn, S.G. Intracardiac bone cement embolism. Heart-London 2010, 96, 387. [Google Scholar] [CrossRef] [PubMed]
- Agko, M.; Nazzal, M.; Jamil, T.; Castillo-Sang, M.; Clark, P.; Kasper, G. Prevention of cardiopulmonary embolization of polymethylmethacrylate cement fragment after kyphoplasty with insertion of inferior vena cava filter. J. Vasc. Surg. 2010, 51, 210–213. [Google Scholar] [CrossRef] [PubMed]
- Cadeddu, C.; Nocco, S.; Secci, E.; Deidda, M.; Pirisi, R.; Mercuro, G. Echocardiographic accidental finding of asymptomatic cardiac and pulmonary embolism caused by cement leakage after percutaneous vertebroplasty. Eur. Heart J. Cardiovasc. Imaging 2009, 30. [Google Scholar] [CrossRef] [PubMed]
- Braiteh, F.; Row, M. Right ventricular acrylic cement embolism: Late complication of percutaneous vertebroplasty. Heart 2009, 95, 275. [Google Scholar] [CrossRef] [PubMed]
- Molloy, T.; Kos, A.; Piwowarski, A. Robotic-assisted removal of intracardiac cement after percutaneous vertebroplasty. Ann. Thorac. Surg. 2016, 101, 1974–1976. [Google Scholar] [CrossRef] [PubMed]
- Lim, K.J.; Yoon, S.Z.; Jeon, Y.S.; Bahk, J.H.; Kim, C.S.; Lee, J.H.; Ha, J.W. An intraatrial thrombus and pulmonary thromboembolism as a late complication of percutaneous vertebroplasty. Anesthesia Analg. 2007, 104, 924–926. [Google Scholar] [CrossRef] [PubMed]
- Lim, S.H.; Kim, H.; Kim, H.K.; Baek, M.J. Multiple cardiac perforations and pulmonary embolism caused by cement leakage after percutaneous vertebroplasty. Eur. J. Cardio-Thorac. Surg. 2008, 33, 509–511. [Google Scholar] [CrossRef] [PubMed]
- Schoenes, B.; Bremerich, D.H.; Risteski, P.S.; Thalhammer, A.; Meininger, P.D.D. Palacos im Herzen. Der Anaesth. 2008, 57, 147–150. [Google Scholar] [CrossRef] [PubMed]
- Yeon, H.B.; Ramappa, A.; Landzberg, M.J.; Thornhill, T.S. Paradoxic cerebral embolism after cemented knee arthroplasty: A report of 2 cases and prophylactic option for subsequent arthroplasty. J. Arthroplast. 2003, 18, 113–120. [Google Scholar] [CrossRef] [PubMed]
- Tozzi, P.; Abdelmoumene, Y.; Corno, A.F.; Gersbach, P.A.; Hoogewoud, H.M.; von Segesser, L.K. Management of pulmonary embolism during acrylic vertebroplasty. Ann. Thorac. Surg. 2002, 74, 1706–1708. [Google Scholar] [CrossRef]
- Kim, S.Y.; Seo, J.B.; Do, K.H.; Lee, J.S.; Song, K.S.; Lim, T.H. Cardiac perforation caused by acrylic cement: A rare complication of percutaneous vertebroplasty. Am. J. Roentgenol. 2005, 185, 1245–1247. [Google Scholar] [CrossRef] [PubMed]
- Christie, J.; Burnett, R.; Potts, H.R.; Pell, A.C. Echocardiography of transatrial embolism during cemented and uncemented hemiarthroplasty of the hip. Bone Jt. J. 1994, 76, 409–412. [Google Scholar]
- Krebs, J.; Aebli, N.; Goss, B.G.; Sugiyama, S.; Bardyn, T.; Boecken, I.; Leamy, P.J.; Ferguson, S.J. Cardiovascular changes after pulmonary embolism from injecting calcium phosphate cement. J. Biomed. Mater. Res. B Appl. Biomater. 2007, 82, 526–532. [Google Scholar] [CrossRef] [PubMed]
- Krebs, J.; Aebli, N.; Goss, B.G.; Wilson, K.; Williams, R.; Ferguson, S.J. Cardiovascular changes after pulmonary cement embolism: An experimental study in sheep. Am. J. Neuroradiol. 2007, 28, 1046–1050. [Google Scholar] [CrossRef] [PubMed]
- Rajzer, I.; Piekarczyk, W.; Castaño, O. An ultrasonic through-transmission technique for monitoring the setting of injectable calcium phosphate cement. Mater. Sci. Eng. C Mater. Biol. Appl. 2016, 67, 20–25. [Google Scholar] [CrossRef] [PubMed]
- Jasper, L.E.; Deramond, H.; Mathis, J.M.; Belkoff, S.M. Material properties of various cements for use with vertebroplasty. J. Mater. Sci. Mater. Med. 2002, 13, 1–5. [Google Scholar] [CrossRef] [PubMed]
- Bai, B.; Yin, Z.; Xu, Q.; Lew, M.; Chen, Y.; Ye, J.; Wu, J.; Chen, D.; Zeng, Y. Histological changes of an injectable rhBMP-2/calcium phosphate cement in vertebroplasty of rhesus monkey. Spine 2009, 34, 1887–1892. [Google Scholar] [CrossRef] [PubMed]
- Ding, T.; Yang, H.; Maltenfort, M.; Xie, R. Silk fibroin added to calcium phosphate cement to prevent severe cardiovascular complications. Med. Sci. Monit. 2010, 16, HY23–HY26. [Google Scholar] [PubMed]
- Konno, S.; Olmarker, K.; Byröd, G.; Nordborg, C.; Strömqvist, B.; Rydevik, B. Acute thermal nerve root injury. Eur. Spine J. 1994, 3, 299–302. [Google Scholar] [CrossRef] [PubMed]
- Kosse, A.; Nakhla, J.P.; Yassari, R.; Abramowicz, A.E.; Brook, A. Retained needle after cement injection during vertebral augmentation and its management strategy. J. Neurointer. Surg. 2016. [Google Scholar] [CrossRef] [PubMed]
- Mathis, J.M.; Barr, J.D.; Belkoff, S.M.; Barr, M.S.; Jensen, M.E.; Deramond, H. Percutaneous vertebroplasty: A developing standard of care for vertebral compression fractures. Am. J. Neuroradiol. 2001, 22, 373–381. [Google Scholar] [CrossRef] [PubMed]
- Ginebra, M.P.; Albuixech, L.; Fernandez-Barragan, E.; Aparicio, C.; Gil, F.J.; San Roman, J.; Vazquez, B.; Planell, J.A. Mechanical performance of acrylic bone cements containing different radiopacifying agents. Biomaterials 2008, 23, 1873–1882. [Google Scholar] [CrossRef]
- Persson, C.; Guandalini, L.; Baruffaldi, F.; Pierotti, L.; Baleani, M. Radiopacity of tantalum-loaded acrylic bone cement. Proc. Inst. Mech. Eng. H J. Eng. Med. 2006, 220, 787–791. [Google Scholar] [CrossRef]
- Hernández, L.; Fernández, M.; Collía, F.; Gurruchaga, M.; Goñi, I. Preparation of acrylic bone cements for vertebroplasty with bismuth salicylate as radiopaque agent. Biomaterials 2006, 27, 100–107. [Google Scholar] [CrossRef] [PubMed]
- Bou-Francis, A.; Soyka, R.P.W.; Ferguson, S.J.; Hall, R.M.; Kapur, N. Novel methodology for assessing biomaterial–biofluid interaction in cancellous bone. J. Mech. Behav. Biomed. Mater. 2015, 46, 158–167. [Google Scholar] [CrossRef] [PubMed]
- Jacobs, E.; Saralidze, K.; Roth, A.K.; de Jong, J.J.; van den Bergh, J.P.; Lataster, A.; Brans, B.T.; Knetsch, M.L.; Djordjevic, I.; Willems, P.C.; et al. Synthesis and characterization of a new vertebroplasty cement based on gold-containing PMMA microspheres. Biomaterials 2016, 82, 60–70. [Google Scholar] [CrossRef] [PubMed]
- Pepiol, A.; Teixidor, F.; Saralidze, K.; van der Marel, C.; Willems, P.; Voss, L.; Knetsch, M.L.; Vinas, C.; Koole, L.H. A highly radiopaque vertebroplasty cement using tetraiodinated o-carborane additive. Biomaterials 2006, 32, 6389–6398. [Google Scholar] [CrossRef] [PubMed]
- Zhu, Q.; Kingwell, S.; Li, Z.; Pan, H.; Lu, W.W.; Oxland, T.R. Enhancing pedicle screw fixation in the aging spine with a novel bioactive bone cement: An in vitro biomechanical study. Spine 2012, 37, 1030–1037. [Google Scholar] [CrossRef] [PubMed]
- Gisep, A.; Boger, A. Injection biomechanics of in vitro simulated vertebroplasty–correlation of injection force and cement viscosity. Bio-Med. Mater. Eng. 2009, 19, 415–420. [Google Scholar]
- Benneker, L.M.; Gisep, A.; Krebs, J.; Boger, A.; Heini, P.F.; Boner, V. Development of an in vivo experimental model for percutaneous vertebroplasty in sheep. Vet. Comp. Orthop. Traumatol. 2012, 25, 173. [Google Scholar] [CrossRef] [PubMed]
- Shinsako, K.; Okui, Y.; Matsuda, Y.; Kunimasa, J.; Otsuka, M. Effects of bead size and polymerization in PMMA bone cement on vancomycin release. Bio-med. Mater. Eng. 2008, 18, 377–385. [Google Scholar]
- Beck, S.; Boger, A. Evaluation of the particle release of porous PMMA cements during curing. Acta Biomater. 2009, 5, 2503–2507. [Google Scholar] [CrossRef] [PubMed]
- Lin, W.C.; Cheng, T.T.; Lee, Y.C.; Wang, T.N.; Cheng, Y.F.; Lui, C.C.; Yu, C.Y. New vertebral osteoporotic compression fractures after percutaneous vertebroplasty: Retrospective analysis of risk factors. J. Vasc. Interv. Radiol. 2008, 19, 225–231. [Google Scholar] [CrossRef] [PubMed]
- Choe, D.H.; Marom, E.M.; Ahrar, K.; Truong, M.T.; Madewell, J.E. Pulmonary embolism of polymethyl methacrylate during percutaneous vertebroplasty and kyphoplasty. Am. J. Roentgenol. 2004, 183, 1097–1102. [Google Scholar] [CrossRef] [PubMed]
- Duran, C.; Sirvanci, M.; Aydoğan, M.; Ozturk, E.; Ozturk, C.; Akman, C. Pulmonary cement embolism: A complication of percutaneous vertebroplasty. Acta Radiol. 2007, 48, 854–859. [Google Scholar] [CrossRef] [PubMed]
- Lee, I.J.; Choi, A.L.; Yie, M.Y.; Yoon, J.Y.; Jeon, E.Y.; Koh, S.H.; Yoon, D.Y.; Lim, K.J.; Im, H.J. CT evaluation of local leakage of bone cement after percutaneous kyphoplasty and vertebroplasty. Acta Radiol. 2010, 51, 649–654. [Google Scholar] [CrossRef] [PubMed]
- Krueger, A.; Bliemel, C.; Zettl, R.; Ruchholtz, S. Management of pulmonary cement embolism after percutaneous vertebroplasty and kyphoplasty: A systematic review of the literature. Eur. Spine J. 2009, 18, 1257–1265. [Google Scholar] [CrossRef] [PubMed]
- Balkovec, C.; Vernengo, A.J.; Stevenson, P.; McGill, S.M. Evaluation of an injectable hydrogel and polymethyl methacrylate in restoring mechanics to compressively fractured spine motion segments. Spine J. 2016. [Google Scholar] [CrossRef] [PubMed]



| Differnt Groups | Cement Viscosity at Injection (Pa s) | Injection Force (N) | Injection Speed (mm/s) | Normalized Injection Force (N/Pa mm) |
|---|---|---|---|---|
| Control group | 49.6 ± 13.4 | 64.6 ± 37.2 | 6.7 ± 5.4 | 0.42 ± 0.723 |
| Lavage group | 44.6 ± 10.3 | 54.5 ± 33.9 | 9.3 ± 3.5 | 0.16 ± 0.15 |
| Mann-Whitney test/p values | 0.401 | 0.361 | 0.02 | 0.73 |
| Homogeneity in control group/p values | 0.00. | 0.007 | 0.12 | 0.000 |
| Homogeneity in lavage group/p values | 0.737 | 0.161 | 0.981 | 0.000 |
| Caption | Procedure | Indication | Time of Event | Symptoms | Location of Embolus | Treatment | Complication |
|---|---|---|---|---|---|---|---|
| Pannirselvam V | Vertebroplasty | Multiple myeloma | 9 months | Syncope | RA | Medical | - |
| Berthoud B | Kyphoplasty | Osteolytic Metastasis | - | - | RA | - | Pericardial Tamponade |
| Arnáiz-García ME | Vertebroplasty | Traumatic Vertebral body fracture | During procedure | Hypotension, Respiratory distress | RV | Surgery | - |
| Moon MH | Vertebroplasty | Compression Fracture | 5 years | Chest pain, Fever | RV | Surgery | Pericardial Effusion |
| Gosev | Kyphoplasty | Compression Fracture | 10 days | RV | - | pericardial Effusion | |
| Llanos RA | Vertebroplasty | Fusion, fracture | 2 months | Chest pain, dyspnea | LA protuding through atrial septum | Surgery | - |
| Tran I | Balloon Kyphoplasty | - | 1 day | Chest pain, dyspnea | RV | Snare catheter | Pericardial Tamponade |
| Lee JS | Vertebroplasty | Compression fracture | 6 years | Dyspnea | RA, RV and the RV outflow track | Medical | - |
| Agko M | Kyphoplasty | Fusion, Fracture | During procedure | None | IVC | Greenfield filter | - |
| Cadeddu C | Vertebroplasty | Compression fracture | 2 years | Accidental finding | RV, RA | - | - |
| Braiteh F | Vertebroplasty | Compression fracture | 5 months | Chest pain, Palpitation | RV, RA | Snare | - |
| Caynak B | Vertebroplasty | Possible Fracture | 2 months | Dyspnea | Right side (pericaridal space) | Surgery | Pericardial Tamponade |
| Son KH | Vertebroplasty | - | 10 days | Chest pain, Dyspnea | RA, RV, Pericardial space (right side) | Surgery | Cardiac perforation, Triscupid regurgitation |
| Lim KJ | Vertebroplasty | Compression fracture | 5 years | Dyspnea Leg edema | RA | Surgery | - |
| Lim SH | Vertebroplasty | Compression fracture, Multiple myeloma, osteolytic metastases | - | Chest pain, dyspnea | RV | Surgery | Multiple cardiac perforation |
| Scroop R | Vertebroplasty | post-trauma osteoporosis | During procedure | Hypotension | Cerebral Embolism | - | Patent foramen ovale |
| Kim SY | Vertebroplasty | - | 7 days | Chest pain | RA, RV | Surgery | Cardiac perforation |
© 2016 by the authors; licensee MDPI, Basel, Switzerland. This article is an open access article distributed under the terms and conditions of the Creative Commons Attribution (CC-BY) license (http://creativecommons.org/licenses/by/4.0/).
Share and Cite
Shridhar, P.; Chen, Y.; Khalil, R.; Plakseychuk, A.; Cho, S.K.; Tillman, B.; Kumta, P.N.; Chun, Y. A Review of PMMA Bone Cement and Intra‐Cardiac Embolism. Materials 2016, 9, 821. https://doi.org/10.3390/ma9100821
Shridhar P, Chen Y, Khalil R, Plakseychuk A, Cho SK, Tillman B, Kumta PN, Chun Y. A Review of PMMA Bone Cement and Intra‐Cardiac Embolism. Materials. 2016; 9(10):821. https://doi.org/10.3390/ma9100821
Chicago/Turabian StyleShridhar, Puneeth, Yanfei Chen, Ramzi Khalil, Anton Plakseychuk, Sung Kwon Cho, Bryan Tillman, Prashant N. Kumta, and YoungJae Chun. 2016. "A Review of PMMA Bone Cement and Intra‐Cardiac Embolism" Materials 9, no. 10: 821. https://doi.org/10.3390/ma9100821
APA StyleShridhar, P., Chen, Y., Khalil, R., Plakseychuk, A., Cho, S. K., Tillman, B., Kumta, P. N., & Chun, Y. (2016). A Review of PMMA Bone Cement and Intra‐Cardiac Embolism. Materials, 9(10), 821. https://doi.org/10.3390/ma9100821

