Effectiveness of a Single Chair Side Application of NovaMin® [Calcium Sodium Phosphosilicate] in the Treatment of Dentine Hypersensitivity following Ultrasonic Scaling—A Randomized Controlled Trial
Abstract
:1. Introduction
2. Materials and Methods
2.1. Study Design
2.2. Study Subjects and Sample Size
2.3. Preparation of NovaMin® Paste and Pumice Paste
2.4. Assessment of Dentin Hypersensitivity
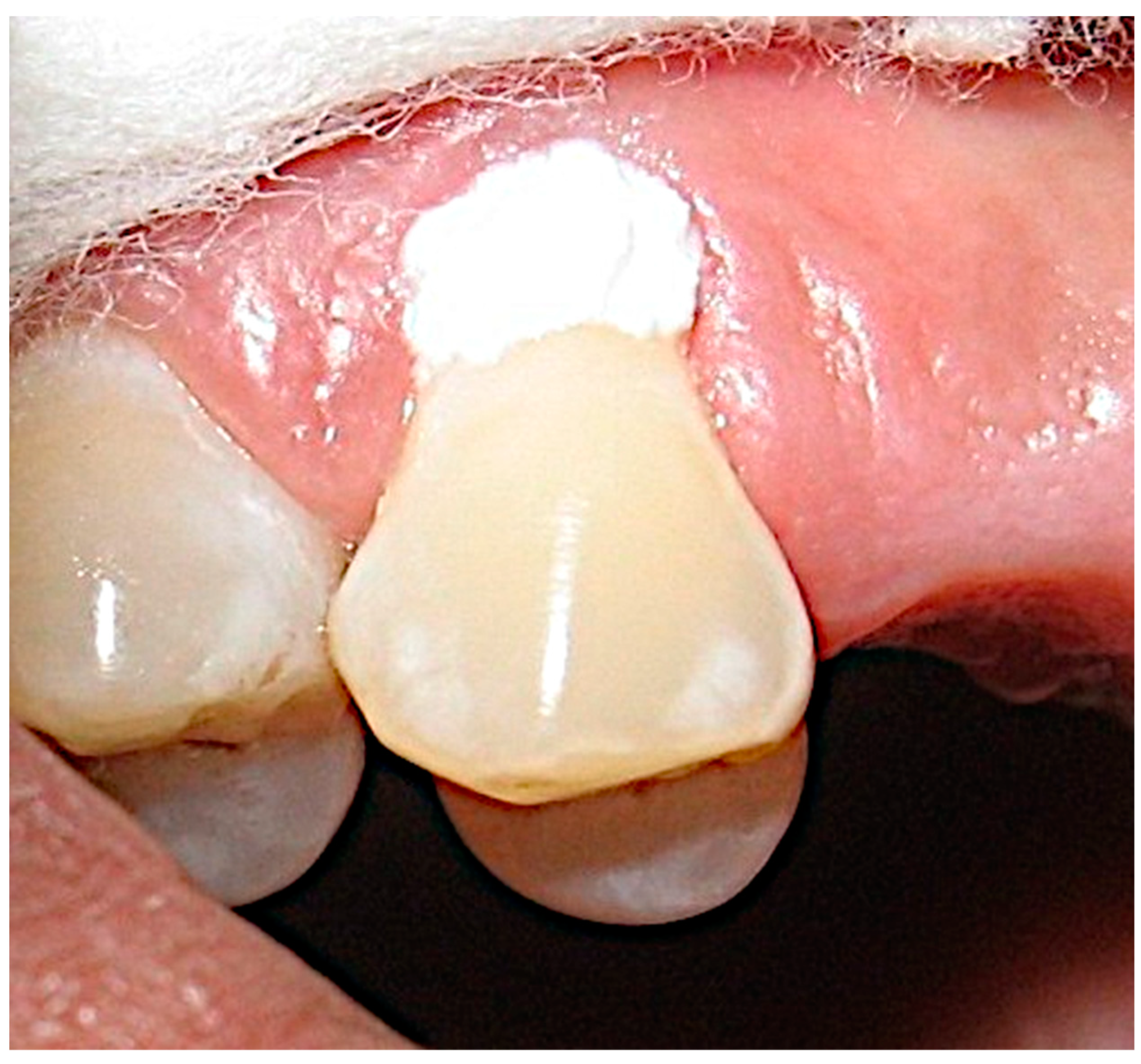
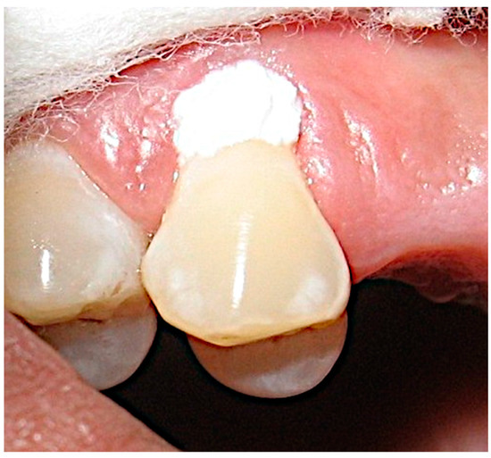
2.5. Study Procedure
2.6. Statistical Analysis
3. Results
4. Discussion
5. Conclusions
Author Contributions
Funding
Institutional Review Board Statement
Informed Consent Statement
Data Availability Statement
Conflicts of Interest
References
- Alcântara, P.M.; Barroso, N.F.F.; Botelho, A.M.; Douglas-de-Oliveira, D.W.; Gonçalves, P.F.; Flecha, O.D. Associated factors to cervical dentin hypersensitivity in adults: A transversal study. BMC Oral Health 2018, 18, 155. [Google Scholar] [CrossRef] [PubMed]
- Canadian Advisory Board on Dentin Hypersensitivity. Consensus-based recommendations for the diagnosis and management of dentin hypersensitivity. J. Can. Dent. Assoc. 2003, 69, 221–226. [Google Scholar]
- Bartlett, D.; Smith, B.G. Definition, classification and clinical assessment of attrition, erosion and abrasion of enamel and dentine. In Tooth Wear and Sensitivity; Martin Dunitz: London, UK, 2000; Volume 17, pp. 87–92. [Google Scholar]
- Addy, M. Tooth brushing, tooth wear and dentine hypersensitivity-are they associated? J. Ir. Dent. Assoc. 2006, 51, 226–231. [Google Scholar] [CrossRef]
- West, N.X.; Lussi, A.; Seong, J.; Hellwig, E. Dentin hypersensitivity: Pain mechanisms and aetiology of exposed cervical dentin. Clin. Oral Investig. 2013, 17 (Suppl. S1), S9–S19. [Google Scholar] [CrossRef]
- Rees, J.S. The prevalence of dentine hypersensitivity in general dental practice in the UK. J. Clin. Periodontol. 2000, 27, 860–865. [Google Scholar] [CrossRef] [PubMed]
- Fischer, C.; Fischer, R.G.; Wennberg, A. Prevalence and distribution of cervical dentine hypersensitivity in a population in Rio de Janeiro, Brazil. J. Dent. 1992, 20, 272–276. [Google Scholar] [CrossRef] [PubMed]
- Miglani, S.; Aggarwal, V.; Ahuja, B. Dentin hypersensitivity: Recent trends in management. J. Conserv. Dent. 2010, 13, 218–224. [Google Scholar] [CrossRef] [PubMed]
- Bartlett, D.W.; Shah, P. A critical review of non-carious cervical (wear) lesions and the role of abfraction, erosion, and abrasion. J. Dent. Res. 2006, 85, 306–312. [Google Scholar] [CrossRef]
- Que, K.; Guo, B.; Jia, Z.; Chen, Z.; Yang, J.; Gao, P. A cross-sectional study: Non-carious cervical lesions, cervical dentine hypersensitivity and related risk factors. J. Oral Rehabil. 2013, 40, 24–32. [Google Scholar] [CrossRef]
- Brännström, M.; Aström, A. The hydrodynamics of the dentine; it’s possible relationship to dentinal pain. Int. Dent. J. 1972, 22, 219–227. [Google Scholar]
- Brannstrom, M. The hydrodynamic theory of dentinal pain: Sensation in preparations, caries, and the dentinal crack syndrome. J. Endod. 1986, 12, 453–457. [Google Scholar] [CrossRef]
- Pihlstrom, B.L.; Hargreaves, K.M.; Bouwsma, O.J.; Myers, W.R.; Goodale, M.B.; Doyle, M.J. Pain after periodontal scaling and root planing. J. Am. Dent. Assoc. 1991, 130, 801–807. [Google Scholar] [CrossRef]
- Fischer, C.; Wennberg, A.; Fischer, R.G.; Attstrom, R. Clinical evaluation of pulp and dentine sensitivity after supragingival and subgingival scaling. Dental. Traumatol. 1991, 7, 259–265. [Google Scholar] [CrossRef] [PubMed]
- Draenert, M.E.; Jakob, M.; Kunzelmann, K.H.; Hickel, R. The prevalence of tooth hypersensitivity following periodontal therapy with special reference to root scaling. A systematic review of the literature. Am. J. Dent. 2013, 26, 21–27. [Google Scholar] [PubMed]
- Tammaro, S.; Wennström, J.L.; Bergenholtz, G. Root-dentin sensitivity following non-surgical periodontal treatment. J. Clin. Periodontol. 2000, 27, 690–697. [Google Scholar] [CrossRef]
- von Troil, B.; Needleman, I.; Sanz, M. A systematic review of the prevalence of root sensitivity following periodontal therapy. J. Clin. Periodontol. 2002, 29 (Suppl. S3), 173–196. [Google Scholar] [CrossRef]
- Bartold, P.M. Dentinal hypersensitivity: A review. Aust. Dent. J. 2006, 51, 212–276. [Google Scholar] [CrossRef]
- Walters, P.A. Dentinal hypersensitivity: A review. J. Contemp. Dent. Pract. 2005, 6, 107–117. [Google Scholar] [CrossRef] [PubMed]
- Morris, M.F.; Davis, R.D.; Richardson, B.W. Clinical efficacy of two dentin desensitizing agents. Am. J. Dent. 1999, 12, 72–76. [Google Scholar]
- Pillon, F.L.; Romani, I.G.; Schmidt, E.R. Effect of a 3% potassium oxalate topical application on dentinal hypersensitivity after subgingival scaling and root planing. J. Periodontol. 2004, 75, 1461–1464. [Google Scholar] [CrossRef] [PubMed]
- Sauro, S.; Gandolfi, M.G.; Prati, C.; Mongiorgi, R. Oxalate-containing phytocomplexes as dentine desensitisers: An in vitro study. Arch. Oral Biol. 2006, 51, 655–664. [Google Scholar] [CrossRef] [PubMed]
- Lee, Y.; Chung, W.G. Management of dentin hypersensitivity. J. Korean Acad. Endod. 2011, 12, 12–16. [Google Scholar]
- Duran, I.; Sengun, A. The long-term effectiveness of five current desensitizing products on cervical dentine sensitivity. J. Oral Rehabil. 2004, 31, 351–356. [Google Scholar] [CrossRef] [PubMed]
- Cai, F.; Shen, P.; Morgan, M.V.; Reynolds, E.C. Remineralization of enamel subsurface lesions in situ by sugar-free lozenges containing casein phosphopeptide-amorphous calcium phosphate. Aust. Dent. J. 2003, 48, 240–243. [Google Scholar] [CrossRef] [PubMed]
- Gerschman, J.A.; Ruben, J.; Gebart-Eaglemont, J. Low level laser therapy for dentinal tooth hypersensitivity. Aust. Dent. J. 1994, 39, 353–357. [Google Scholar] [CrossRef] [PubMed]
- Sgolastra, F.; Petrucci, A.; Gatto, R.; Monaco, A. Effectiveness of laser in dentinal hypersensitivity treatment: A systematic review. J. Endod. 2011, 37, 297–303. [Google Scholar] [CrossRef]
- Hench, L.L.; Andersson, Ö. Bioactive glasses. In An Introduction to Bioceramics; Hench, L.L., Wilson, J., Eds.; World Scientific: Singapore, 1993; Volume 1, pp. 45–47. [Google Scholar]
- Scott, R. NovaMin Technology. J. Clin. Dent. 2010, 21, 59–60. [Google Scholar] [PubMed]
- Hsu, S.-M.; Alsafadi, M.; Vasconez, C.; Fares, C.; Craciun, V.; O’Neill, E.; Ren, F.; Clark, A.; Esquivel-Upshaw, J. Qualitative Analysis of Remineralization Capabilities of Bioactive Glass (NovaMin) and Fluoride on Hydroxyapatite (HA) Discs: An In Vitro Study. Materials 2021, 14, 3813. [Google Scholar] [CrossRef]
- Forsback, A.P.; Areva, S.; Salonen, J.I. Mineralization of dentin induced by treatment with bioactive glass S53P4 in vitro. Acta Odontol. Scand. 2004, 62, 14–20. [Google Scholar] [CrossRef]
- Vollenweider, M.; Brunner, T.J.; Knecht, S.; Grass, R.N.; Zehnder, M.; Imfeld, T.; Stark, W.J. Remineralization of human dentin using ultrafine bioactive glass particles. Acta Biomater. 2007, 3, 936–943. [Google Scholar] [CrossRef]
- Khijmatgar, S.; Reddy, U.; John, S.; Badavannavar, A.N.; DSouza, T. Is there evidence for Novamin application in remineralization?: A Systematic review. J. Oral Biol. Craniofac. Res. 2020, 10, 87–92. [Google Scholar] [CrossRef] [PubMed]
- Du, M.Q.; Tai, B.J.; Jiang, H.; Zhong, J.P.; Greenspan, D.C.; Clark, A.E. Efficacy of dentifrice containing bioactive glass (NovaMin®) on dentine hypersensitivity. J. Dent. Res. Spec. Issue A 2003, 82, 1546–1547. [Google Scholar]
- Greenspan, D.C. NovaMin and tooth sensitivity-an overview. J. Clin. Dent. 2010, 21, 61–65. [Google Scholar] [PubMed]
- Narongdej, T.; Sakoolnamarka, R.; Boonroung, T. The effectiveness of a calcium sodium phosphosilicate desensitizer in reducing cervical dentin hypersensitivity: A pilot study. J. Am. Dent. Assoc. 2010, 141, 995–999. [Google Scholar] [CrossRef]
- Bm, S.; Padmavati, P.; Sanghani, N.N. Chair Side Application of NovaMin for the Treatment of Dentinal Hypersensitivity- A Novel Technique. J. Clin. Diagn. Res. 2014, 8, ZC05–ZC8. [Google Scholar] [CrossRef]
- Wewers, M.E.; Lowe, N.K. A critical review of visual analogue scales in the measurement of clinical phenomena. Res. Nurs. Health 1990, 13, 227–236. [Google Scholar] [CrossRef]
- Sepulveda, P.; Hench, L.L. Bioactive Hierarchical Structures for Genetic Control of Bone Morphogenesis. Mater. Res. 2002, 5, 243–246. [Google Scholar] [CrossRef]
- Jafari, N.; Habashi, M.S.; Hashemi, A.; Shirazi, R.; Tanideh, N.; Tamadon, A. Application of bioactive glasses in various dental fields. Biomater. Res. 2022, 26, 31. [Google Scholar] [CrossRef]
- Wang, Z.; Sa, Y.; Sauro, S.; Chen, H.; Xing, W.; Ma, X.; Jiang, T.; Wang, Y. Effect of desensitising toothpastes on dentinal tubule occlusion: A dentine permeability measurement and SEM in vitro study. J. Dent. 2010, 38, 400–410. [Google Scholar] [CrossRef]
- Litkowski, L.J.; Hack, G.D.; Sheaffer, H.B.; Greenspan, D.C. Occlusion of Dentin Tubules by 45S5 Bioglass®. In Proceedings of the 10th International Symposium on Ceramics in Medicine, Paris, France, 5–9 October 1997; Pergamon Press: Oxford, UK, 1997; Volume 10, p. 10. [Google Scholar]
- Jennings, D.T.; McKenzie, K.M.; Greenspan, D.C.; Clark, A.E. Quantitative Analysis of Tubule Occlusion Using NovaMin (Calcium Sodium Phosphosilicate). J. Dent. Res. 2004, 83, 2416. [Google Scholar]
- Litkowski, L.J.; Hack, G.D.; Greenspan, D.C. Compositions Containing Bioactive Glass and Their Use in Treating Tooth Hypersensitivity. US Patent 5,735,942, 7 April 1998. [Google Scholar]
- Litkowski, L.J.; Hack, G.D.; Greenspan, D.C. Methods of Treatment Using Bioactive Glass. US Patent 6,086,374, 11 July 2000. [Google Scholar]
- Jena, A.; Kala, S.; Shashirekha, G. Comparing the effectiveness of four desensitizing toothpastes on dentinal tubule occlusion: A scanning electron microscope analysis. J. Conserv. Dent. 2017, 20, 269–272. [Google Scholar] [CrossRef] [PubMed]
- Champaiboon, C.; Lertpimonchai, A.; Lertpimonchai, K. Bioactive glass versus Arginine dentifrices on the reduction of dentin permeability and acid tolerance. Clin. Exp. Dent. Res. 2021, 7, 620–627. [Google Scholar] [CrossRef] [PubMed]
- Litkowski, L.J.; Quinlan, K.B.; McDonald, N.J. Teeth hypersensitivity reduction by a novel Bioglass® dentifrice. J. Dent. Res. 1998, 77, 199. [Google Scholar]







| Test Group | Control Group | |||||||||||
|---|---|---|---|---|---|---|---|---|---|---|---|---|
| Time Interval | T0 | T1 | T2 | T3 | T4 | T5 | T0 | T1 | T2 | T3 | T4 | T5 |
| Patient-1 | 2 | 3 | 0 | 1 | 1 | 1 | 2 | 4 | 3 | 3 | 3 | 2 |
| Patient-2 | 2 | 4 | 2 | 3 | 3 | 2 | 2 | 4 | 3 | 2 | 2 | 2 |
| Patient-3 | 2 | 4 | 1 | 1 | 2 | 2 | 5 | 6 | 4 | 5 | 5 | 4 |
| Patient-4 | 4 | 6 | 2 | 3 | 3 | 4 | 3 | 4 | 3 | 3 | 3 | 3 |
| Patient-5 | 4 | 5 | 1 | 2 | 2 | 3 | 2 | 5 | 3 | 3 | 2 | 2 |
| Patient-6 | 4 | 4 | 0 | 1 | 2 | 2 | 2 | 3 | 2 | 2 | 3 | 3 |
| Patient-7 | 2 | 3 | 0 | 1 | 1 | 2 | 4 | 6 | 5 | 4 | 4 | 4 |
| Patient-8 | 4 | 4 | 0 | 1 | 1 | 2 | 6 | 7 | 5 | 5 | 4 | 5 |
| Patient-9 | 5 | 6 | 2 | 3 | 3 | 2 | 5 | 5 | 5 | 5 | 5 | 4 |
| Patient-10 | 3 | 5 | 1 | 2 | 2 | 2 | 2 | 4 | 4 | 4 | 4 | 3 |
| Patient-11 | 3 | 7 | 3 | 2 | 2 | 1 | 4 | 5 | 3 | 4 | 4 | 4 |
| Patient-12 | 3 | 4 | 0 | 1 | 1 | 2 | 5 | 6 | 4 | 4 | 4 | 3 |
| Patient-13 | 5 | 7 | 2 | 2 | 3 | 2 | 5 | 7 | 5 | 5 | 4 | 4 |
| Patient-14 | 4 | 7 | 1 | 2 | 2 | 2 | 3 | 3 | 2 | 3 | 2 | 1 |
| Patient-15 | 4 | 4 | 0 | 2 | 2 | 2 | 4 | 5 | 5 | 5 | 4 | 3 |
| Patient-16 | 4 | 5 | 1 | 2 | 2 | 2 | 2 | 3 | 3 | 3 | 3 | 3 |
| Patient-17 | 4 | 6 | 0 | 3 | 3 | 2 | 2 | 4 | 3 | 3 | 3 | 2 |
| Patient-18 | 3 | 6 | 2 | 1 | 2 | 2 | 3 | 3 | 3 | 2 | 2 | 2 |
| Patient-19 | 5 | 7 | 1 | 2 | 2 | 1 | 4 | 7 | 5 | 5 | 4 | 3 |
| Patient-20 | 2 | 4 | 0 | 1 | 1 | 1 | 3 | 6 | 4 | 5 | 5 | 4 |
| Patient-21 | 3 | 4 | 0 | 1 | 2 | 1 | 3 | 5 | 5 | 4 | 5 | 3 |
| Patient-22 | 4 | 5 | 1 | 2 | 3 | 2 | 2 | 3 | 2 | 3 | 3 | 2 |
| Patient-23 | 5 | 6 | 2 | 3 | 3 | 2 | 2 | 4 | 3 | 3 | 2 | 2 |
| Patient-24 | 5 | 7 | 2 | 1 | 2 | 3 | 5 | 7 | 5 | 6 | 5 | 5 |
| Patient-25 | 3 | 3 | 0 | 1 | 1 | 2 | 4 | 6 | 5 | 5 | 5 | 4 |
| Mean | 3.56 | 5.04 | 0.96 | 1.76 | 2.04 | 1.96 | 3.36 | 4.88 | 3.76 | 3.84 | 3.6 | 3.08 |
| SD | 1.04 | 1.367 | 0.935 | 0.78 | 0.73 | 0.68 | 1.29 | 1.39 | 1.09 | 1.143 | 1.080 | 1.039 |
| % Change | 41.57 | 0 | 80.95 | 65.08 | 59.52 | 61.11 | 31.15 | 0 | 22.95 | 21.311 | 26.23 | 36.88 |
| Time | N | Mean | SD | Min | Max | p-Value |
|---|---|---|---|---|---|---|
| T0 | 25 | 3.56 | 1.04 | 2 | 5 | <0.001 * |
| T1 | 25 | 5.04 | 1.37 | 3 | 7 | |
| T2 | 25 | 0.96 | 0.94 | 0 | 3 | |
| T3 | 25 | 1.76 | 0.78 | 1 | 3 | |
| T4 | 25 | 2.04 | 0.74 | 1 | 3 | |
| T5 | 25 | 1.96 | 0.68 | 1 | 4 |
| (I) Time | (J) Time | Mean Diff. (I − J) | 95% CI for the Diff. | p-Value | |
|---|---|---|---|---|---|
| Lower | Upper | ||||
| T0 | T1 | −1.48 | −2.14 | −0.83 | <0.001 * |
| T2 | 2.60 | 1.85 | 3.35 | <0.001 * | |
| T3 | 1.80 | 1.15 | 2.45 | <0.001 * | |
| T4 | 1.52 | 0.92 | 2.12 | <0.001 * | |
| T5 | 1.60 | 0.92 | 2.28 | <0.001 * | |
| T1 | T2 | 4.08 | 3.46 | 4.70 | <0.001 * |
| T3 | 3.28 | 2.49 | 4.07 | <0.001 * | |
| T4 | 3.00 | 2.27 | 3.73 | <0.001 * | |
| T5 | 3.08 | 2.16 | 4.00 | <0.001 * | |
| T2 | T3 | −0.80 | −1.36 | −0.24 | <0.001 * |
| T4 | −1.08 | −1.58 | −0.59 | <0.001 * | |
| T5 | −1.00 | −1.65 | −0.35 | 0.001 * | |
| T3 | T4 | −0.28 | −0.58 | 0.02 | 0.008 * |
| T5 | −0.20 | −0.76 | 0.36 | 0.25 | |
| T4 | T5 | 0.08 | −0.45 | 0.61 | 0.62 |
| Time | N | Mean | SD | Min | Max | p-Value |
|---|---|---|---|---|---|---|
| T0 | 25 | 3.36 | 1.29 | 2 | 6 | <0.001 * |
| T1 | 25 | 4.88 | 1.39 | 3 | 7 | |
| T2 | 25 | 3.76 | 1.09 | 2 | 5 | |
| T3 | 25 | 3.84 | 1.14 | 2 | 6 | |
| T4 | 25 | 3.60 | 1.08 | 2 | 5 | |
| T5 | 25 | 3.08 | 1.04 | 1 | 5 |
| (I) Time | (J) Time | Mean Diff. (I − J) | 95% CI for the Diff. | p-Value | |
|---|---|---|---|---|---|
| Lower | Upper | ||||
| T0 | T1 | −1.52 | −2.09 | −0.95 | <0.001 * |
| T2 | −0.40 | −1.00 | 0.20 | 0.04 * | |
| T3 | −0.48 | −1.02 | 0.06 | 0.01 * | |
| T4 | −0.24 | −0.90 | 0.42 | 0.24 | |
| T5 | 0.28 | −0.27 | 0.83 | 0.11 | |
| T1 | T2 | 1.12 | 0.61 | 1.63 | <0.001 * |
| T3 | 1.04 | 0.56 | 1.52 | <0.001 * | |
| T4 | 1.28 | 0.61 | 1.95 | <0.001 * | |
| T5 | 1.80 | 1.21 | 2.40 | <0.001 * | |
| T2 | T3 | −0.08 | −0.50 | 0.34 | 0.53 |
| T4 | 0.16 | −0.33 | 0.65 | 0.29 | |
| T5 | 0.68 | 0.16 | 1.20 | 0.001 * | |
| T3 | T4 | 0.24 | −0.15 | 0.63 | 0.06 |
| T5 | 0.76 | 0.29 | 1.23 | <0.001 * | |
| T4 | T5 | 0.52 | 0.09 | 0.95 | 0.002 * |
Disclaimer/Publisher’s Note: The statements, opinions and data contained in all publications are solely those of the individual author(s) and contributor(s) and not of MDPI and/or the editor(s). MDPI and/or the editor(s) disclaim responsibility for any injury to people or property resulting from any ideas, methods, instructions or products referred to in the content. |
© 2023 by the authors. Licensee MDPI, Basel, Switzerland. This article is an open access article distributed under the terms and conditions of the Creative Commons Attribution (CC BY) license (https://creativecommons.org/licenses/by/4.0/).
Share and Cite
Rai, J.J.; Chaturvedi, S.; Gokhale, S.T.; Nagate, R.R.; Al-Qahtani, S.M.; Magbol, M.A.; Bavabeedu, S.S.; Elagib, M.F.A.; Venkataram, V.; Chaturvedi, M. Effectiveness of a Single Chair Side Application of NovaMin® [Calcium Sodium Phosphosilicate] in the Treatment of Dentine Hypersensitivity following Ultrasonic Scaling—A Randomized Controlled Trial. Materials 2023, 16, 1329. https://doi.org/10.3390/ma16041329
Rai JJ, Chaturvedi S, Gokhale ST, Nagate RR, Al-Qahtani SM, Magbol MA, Bavabeedu SS, Elagib MFA, Venkataram V, Chaturvedi M. Effectiveness of a Single Chair Side Application of NovaMin® [Calcium Sodium Phosphosilicate] in the Treatment of Dentine Hypersensitivity following Ultrasonic Scaling—A Randomized Controlled Trial. Materials. 2023; 16(4):1329. https://doi.org/10.3390/ma16041329
Chicago/Turabian StyleRai, Jeeth Janardhan, Saurabh Chaturvedi, Shankar T. Gokhale, Raghavendra Reddy Nagate, Saad M. Al-Qahtani, Mohammad Al. Magbol, Shashit Shetty Bavabeedu, Mohamed Fadul A. Elagib, Vatsala Venkataram, and Mudita Chaturvedi. 2023. "Effectiveness of a Single Chair Side Application of NovaMin® [Calcium Sodium Phosphosilicate] in the Treatment of Dentine Hypersensitivity following Ultrasonic Scaling—A Randomized Controlled Trial" Materials 16, no. 4: 1329. https://doi.org/10.3390/ma16041329
APA StyleRai, J. J., Chaturvedi, S., Gokhale, S. T., Nagate, R. R., Al-Qahtani, S. M., Magbol, M. A., Bavabeedu, S. S., Elagib, M. F. A., Venkataram, V., & Chaturvedi, M. (2023). Effectiveness of a Single Chair Side Application of NovaMin® [Calcium Sodium Phosphosilicate] in the Treatment of Dentine Hypersensitivity following Ultrasonic Scaling—A Randomized Controlled Trial. Materials, 16(4), 1329. https://doi.org/10.3390/ma16041329

