Biomimetic Coupling Structure Increases the Noise Friction and Sound Absorption Effect
Abstract
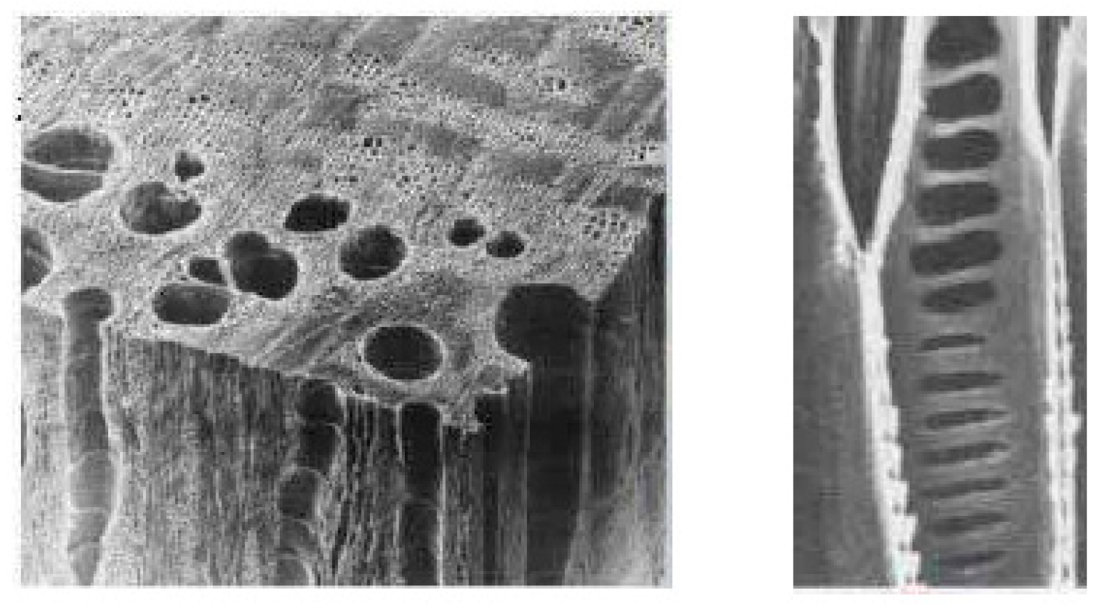
:1. Introduction
2. Materials and Methods
2.1. Overview of Approach
2.2. Concept and Theory
- Increased number of internal sound wave reflections and wall collisions.
- Viscous drag and friction induced within the lateral pores during propagation.
- Thermal losses and heating as the acoustic energy is converted and absorbed.
- Changes to the reverberation behavior within the resonator cavity.
- Impedance matching at the pores to reduce reflectance.
- Selective absorption at target resonant frequencies.
- Broader attenuation via the network of heterogeneous pores.
2.3. Sample Fabrication
2.4. Acoustic Characterization
- Frequency range: 50–6400 Hz;
- Tube diameters: large (96 mm) and small (30 mm);
- Maximum sample size: 100 mm diameter × 30 mm thickness;
- Measures normal incidence absorption coefficient and acoustic impedance;
- Broadband signal testing and frequency sweeps.
- Temperature = 21 °C;
- Relative humidity = 50%;
- Atmospheric pressure = 101.3 kPa;
- Sound speed = 343 m/s;
- Air impedance = 412 Pa·s/m.
2.5. Parametric Studies
- Pore diameter: 1, 1.5, 2, 2.5 mm;
- Porosity: 0.008 to 0.070;
- Layers: 1, 2, 3 layered samples;
- Layer order: Alternating central and honeycomb layers;
- Material: ABS plastic.
3. Results and Discussion
3.1. Single Central Pore Architectures
- The absorption coefficient ranges from approximately 0.2 to 0.8 over the frequencies examined, with a peak value of 0.82 at the resonant frequency.
- The coefficient rises with increasing frequency until reaching the maximum at the impedance-matched resonance.
- Above the resonance peak, the absorption declines and becomes more oscillatory at higher frequencies.
- An average coefficient of 0.45 is obtained across the full bandwidth.
- A moderate porosity approaching 3 to 5% maximizes the absorption versus reflectance.
- Larger diameters and higher porosities decrease the dissipative resistance and worsen impedance matching.
- The peak bandwidth spans approximately 300 to 600 Hz depending on the size.
3.2. Coupled Multi-Pore Architectures
- Increased average absorption coefficient up to 0.8 across most frequencies.
- Broadband absorption spanning the full measured spectrum.
- Smoother spectral profile without large oscillations.
- Wider absorption bandwidth and lower angular sensitivity [72].
- Resonant peak values near 0.99 exceed the monolayer limits.
- Increased viscous and thermal losses during propagation through the heterogeneous pores.
- Augmented wave scattering, diffusion, and reverberation within the resonator cavity.
- Extra collisions and friction with the porous walls.
- Variable velocity and impedance-matching effects.
- Nested resonances and complementary absorption between pore sizes.
3.3. Multi-Layer Coupled Architectures
- Average absorption coefficient increased to 0.9 across nearly the full frequency range.
- Extremely wide bandwidth exceeding 6 KHz.
- Resonance peaks at certain frequencies up to 0.99.
- Negligible dips or oscillations.
- Triple impedance mismatch improves sound blocking.
- Cascading porous layers increases cumulative losses.
- Variable viscosity and inertial drag at each interface.
- Combined resonances expand the bandwidth.
- Graded index profile tailors the wave propagation.
3.4. Parametric Analysis
3.4.1. Pore Diameter Dependence
3.4.2. Porosity Dependence
4. Conclusions
- Single central pore structures provided an experimental baseline, exhibiting characteristic resonant absorption peaks up to 0.9 and average coefficients around 0.5. This established typical behaviors for impedance-matched micro-perforations.
- Introducing a surrounding layer of lateral honeycomb pores significantly improved the average absorption magnitude to 0.8 and enabled broadband attenuation across frequencies. The added porous dissipation layers enhanced viscous losses and thermal conduction.
- Multi-layered morphologies with 2 or 3 pore layers further augmented the absorption through complementary dissipative effects and graded impedance matching. Average coefficients reached up to 0.9, with extreme robustness to variations in pore diameter and porosity.
- Our parametric studies revealed that the bio-inspired hierarchical porous architectures exhibit remarkable tolerance to non-ideal pore dimensions that cause single-layer resonators to underperform. This intrinsic stability results from synergistic multi-physics interactions.
- The tri-layer biomimetic structures increased the absorption bandwidths up to 6× and boosted the average coefficient by over 80% compared to the single pore baselines. This verifies the significant advantages enabled by the bio-inspired designs.
- The synthesized multi-porosity materials combine selective frequency resonance with graded impedance matching and cascading dissipative effects, creating acoustic metamaterial properties on demand.
Author Contributions
Funding
Institutional Review Board Statement
Informed Consent Statement
Data Availability Statement
Conflicts of Interest
References
- European Environment Agency. Environmental Noise in Europe-2020; Publications Office of the European Union: Luxembourg, 2020; ISBN 978-92-9480-209-5. [Google Scholar]
- Clark, C.; Crombie, R.; Head, J.; Van Kamp, I.; Van Kempen, E.; Stansfeld, S.A. Does Traffic-Related Air Pollution Explain Associations of Aircraft and Road Traffic Noise Exposure on Children’s Health and Cognition? A Secondary Analysis of the United Kingdom Sample from the RANCH Project. Am. J. Epidemiol. 2012, 176, 327–337. [Google Scholar] [CrossRef] [PubMed]
- Muzet, A. Environmental Noise, Sleep and Health. Sleep Med. Rev. 2007, 11, 135–142. [Google Scholar] [CrossRef] [PubMed]
- Singh, D.; Kumari, N.; Sharma, P. A Review of Adverse Effects of Road Traffic Noise on Human Health. Fluct. Noise Lett. 2018, 17, 1830001. [Google Scholar] [CrossRef]
- Skrzypek, M.; Kowalska, M.; Czech, E.M.; Niewiadomska, E.; Zejda, J.E. Impact of Road Traffic Noise on Sleep Disturbances and Attention Disorders amongst School Children Living in Upper Silesian Industrial Zone, Poland. Int. J. Occup. Med. Environ. Health 2017, 30, 511–520. [Google Scholar] [CrossRef]
- Gai, X.; Guan, X.; Cai, Z.; Li, X.; Hu, W.; Xing, T.; Wang, F. Acoustic Properties of Honeycomb like Sandwich Acoustic Metamaterials. Appl. Acoust. 2022, 199, 109016. [Google Scholar] [CrossRef]
- Saitama, Q.S.; Zechun, R.; Chenxi, W.; Yun, K.; Zhaoyan, L.; Min, X. Wood cell wall bio-inspired design based on 3D printing. Acta Mater. Compos. Sin. 2023, 40, 1085–1095. [Google Scholar]
- Mo, J.; Zhang, H.; Zhu, R.; Yao, C.; Zhang, B.; Wu, T. A Review of the Reduction Techniques for Electric Vehicle Interior Noise. Appl. Acoust. 2020, 159, 107148. [Google Scholar]
- Gaiarin, S.; Berthilsson, F.; Carletti, E.; Gardonio, P. Benchmark Problem for Hybrid Active Control of Electric Vehicle Interior Noise. Appl. Acoust. 2020, 157, 107002. [Google Scholar]
- Liu, W.; Kim, H.J.; Lee, J.Y.; Xu, C.; Fard, M.Y. Multi-Objective Optimization of Electric Vehicle Cabin Noise Performance. Appl. Acoust. 2020, 162, 107167. [Google Scholar]
- Kim, J.; Lee, I.; Kim, K.; Lee, S.; Jung, Y. Objective Evaluation of Interior Noise Reduction in Electrical Vehicles. Appl. Acoust. 2018, 140, 164–171. [Google Scholar]
- Li, X.; Cheng, L.; Wang, Z.; Peng, Y.; Liu, Y. Sound Quality Evaluation of the Booming Noise in Electric Vehicles. Appl. Acoust. 2018, 137, 1–9. [Google Scholar]
- European Commission—Joint Research Centre. Environmental Noise Guidelines for the European Region; World Health Organization Regional Office for Europe: Copenhagen, Denmark, 2018; ISBN 978 92 890 5356 3. [Google Scholar]
- Liu, X.; Lu, K.; Kim, H.J.; Fard, M.Y.; Laurendeau, N.M. Statistical energy analysis model development of coupled poroelastic layers for the study of acoustic treatments in automobiles. Appl. Acoust. 2020, 159, 107128. [Google Scholar]
- Akiyama, T.; Tateishi, T. Recent Trends in Lightweight Automotive Technology for Enhanced Environmental Performance. Nippon Steel Tech. Rep. 2017, 109, 22–27. [Google Scholar]
- Dias, T.; Monaragala, R. Sound absorption in knitted structures for architectural acoustic panel applications: A review. Appl. Acoust. 2018, 139, 219–233. [Google Scholar]
- Allard, J.F. Propagation of Sound in Porous Media; Elsevier: London, UK, 1993; ISBN 9781483294177. [Google Scholar]
- Biot, M.A. Theory of Propagation of Elastic Waves in a Fluid-Saturated Porous Solid. I. Low-Frequency Range. J. Acoust. Soc. Am. 1956, 28, 168–178. [Google Scholar] [CrossRef]
- Zwikker, C.; Kosten, C.W. Sound Absorbing Materials; Elsevier Publishing Company: New York, NY, USA, 1949. [Google Scholar]
- Attenborough, K. Acoustical characteristics of porous materials. Phys. Rep. 1982, 82, 179–227. [Google Scholar] [CrossRef]
- Komatsu, T. Improvement of the Delany-Bazley and Miki models for fibrous sound-absorbing materials. Acoust. Sci. Technol. 2008, 29, 121–129. [Google Scholar] [CrossRef]
- Voronina, N. A revised empirical model for the acoustic properties of loose fibrous media. Appl. Acoust. 1992, 35, 153–176. [Google Scholar]
- Sakagami, K.; Morimoto, M.; Yairi, M. Application of digital MEMs technology to sound absorption. Appl. Acoust. 2010, 71, 411–417. [Google Scholar] [CrossRef]
- Sakagami, K.; Atsumi, Y.; Morimoto, M.; Kushida, M.; Takahashi, K.; Wada, Y. Sound absorption characteristics of a single microperforated panel absorber backed by a porous absorber. Acoust. Sci. Technol. 2009, 30, 200–209. [Google Scholar]
- Takahashi, D.; Tanaka, M. Flexural vibration and sound radiation of a perforated plates with tapered thickness. J. Sound Vib. 2002, 254, 35–46. [Google Scholar]
- Toyoda, M.; Takahashi, D. Reduction of acoustic radiation by impedance control with a perforated absorber system. Appl. Acoust. 2009, 70, 465–469. [Google Scholar] [CrossRef]
- Mei, J.; Ma, G.; Yang, M.; Yang, Z.; Wen, W. Identification of sound absorbing mechanism of open cell aluminum foams using spatial impulse response method. Appl. Acoust. 2012, 73, 658–663. [Google Scholar]
- Huang, L.; Sun, X.; Kang, J. Sound absorption behavior of aluminum foam with entangled irregular alumina coating. Appl. Acoust. 2014, 82, 60–65. [Google Scholar]
- Lee, Y.Y.; Lee, J.W.; Kim, K.J.; Jang, K.S.; Jung, S.B.; Atalla, N. Shape optimization of micro-perforated absorbers backed by a rainbow-shaped void using a genetic algorithm. Appl. Acoust. 2010, 71, 605–610. [Google Scholar]
- Lee, D.H.; Kwon, Y.P. Estimation of the absorption performance of multiple layer perforated panel systems by transfer matrix method. J. Sound Vib. 2004, 278, 847–860. [Google Scholar] [CrossRef]
- Chen, J.; Wen, J.; Gao, H.; Zhao, H.; Wen, X. Enhancing sound absorption of acoustic metamaterials by graded index profile design. Appl. Phys. Express 2015, 8, 117301. [Google Scholar]
- Mei, J.; Ma, G.; Yang, M.; Ji, H.; Wen, W. Sound absorption structures for low frequencies by graded topology optimization. Appl. Acoust. 2013, 74, 1508–1515. [Google Scholar]
- Varanasi, S.; Nayfeh, T.F.; Wilson, T.W.; Cherukuri, P.; Najafi, K. Parametric study of the acoustic efficiency of aluminium foam. Appl. Acoust. 2013, 74, 1471–1476. [Google Scholar]
- Lee, J.; Jang, K.-S. The numerical design study of multi-layer microperforated panel absorbers. J. K. Soc. Noise Vib. Eng. 2010, 20, 511–518. [Google Scholar]
- Sakagami, K.; Ohachi, T.; Morimoto, M. Multiple-celled microperforated panel absorbers—Verification by experiment and theoretical analyses. Acoust. Sci. Technol. 2008, 29, 196–204. [Google Scholar]
- Grant, A.; Regez, B.; Kocak, S.; Huber, J.D.; Mooers, A. Anisotropic Properties of 3-D Printed Poly Lactic Acid (PLA) and Acrylonitrile Butadiene Styrene (ABS) Plastics. Results Mater. 2021, 12, 100227. [Google Scholar] [CrossRef]
- Ma, D. Development of the Helmholtz Resonator. Physics 1993, 8, 452–456. [Google Scholar]
- Bi, S.; Wang, E.; Shen, X.; Yang, F.; Zhang, X.; Yang, X.; Yin, Q.; Shen, C.; Xu, M.; Wan, J. Enhancement of Sound Absorption Performance of Helmholtz Resonators by Space Division and Chamber Grouping. Appl. Acoust. 2023, 207, 109352. [Google Scholar] [CrossRef]
- Liu, X.; Liu, M.; Xin, F. Sound Absorption of a Perforated Panel Backed with Perforated Porous Material: Energy Dissipation of Helmholtz Resonator Cavity. Mech. Syst. Signal Process. 2023, 185, 109762. [Google Scholar] [CrossRef]
- Dong, M.; Sun, W.; Xue, Q.; Niu, S.; Zhi, Y.; Xie, B.; Zhang, W.; Elmahdy, A.; Soens, H.; Verstraete, W.; et al. Sound-Absorbing Performance of 3D-Printed Bionic Wood Sound-Absorbing Structures. Forests 2018, 9, 504. [Google Scholar]
- Ono, T.; Norimoto, M. Study on Young’s modulus and internal friction of wood in relation to the evaluation of wood for musical instruments. Jpn. J. Appl. Phys. 1983, 22, 611–614. [Google Scholar] [CrossRef]
- Bucur, V. Acoustics of Wood, 2nd ed.; Springer: Berlin/Heidelberg, Germany, 2006; ISBN 978-3-540-30594-7. [Google Scholar]
- Hindman, D.P.; Boulanger, P. Wood Species Characterization by Its Sound Absorption. For. Prod. J. 2000, 50, 21–24. [Google Scholar]
- Morris, P.I.; Rowe, R.K. Aging Effects on Permeability of Nonwoven Geotextiles. Can. Geotech. J. 1997, 34, 1061–1070. [Google Scholar]
- Brémaud, I. Acoustical Properties of Wood in String Instruments Soundboards and Tuned Percussion: On the Effects of Forest Exploitation on Musical Sound Quality. Ph.D. Thesis, Polytechnic University of Valencia, Valencia, Spain, July 2012. [Google Scholar]
- Krause, C.; Müller, M.; Wong, H.W.; Djamin, V.; Dutschke, W.; Obst, U. Identification of bacteria in parenchymatous heartwood of living trees. Holzforschung 2014, 68, 491–500. [Google Scholar]
- Guillemain, P.; Kronland-Martinet, R.; Ystad, S. Physical modelling based on acoustic tubes of woodwind instrument bores exploiting wave variables. Acta Acust. United Acust. 1997, 83, 737–746. [Google Scholar]
- Shan, Y.; Junfeng, W.; Yue, C.; Jie, L. Study on sound absorption performance of light wood wood. Res. Anal. 2018, 1001–5299, 33–35. [Google Scholar]
- Sakai, H.; Minamoto, H.; Mori, T. Acoustic properties of wood used for the soundboards of musical instruments in relation to tree age. Holzforschung 2011, 65, 743–748. [Google Scholar]
- Bucur, V. Acoustics of Wood; CRC Press: Boca Raton, FL, USA, 1995. [Google Scholar]
- Brémaud, I.; Gril, J.; Thibaut, B. Anisotropy of wood vibrational properties: Dependence on grain angle and review of literature data. Wood Sci. Technol. 2011, 45, 735–754. [Google Scholar] [CrossRef]
- Zou, Y.; Wang, Z.; Adjei, P.; Zhao, X. The Sound Insulation Performance of Light Wood Frame Construction Floor Structure Based on Phononic Crystal Theory. J. Build. Eng. 2023, 75, 107039. [Google Scholar] [CrossRef]
- Darwish, E.A.; Midani, M. The Potential of Date Palm Midribs-Based Fabric Acoustic Panels for Sustainable Interior Design. Ain Shams Eng. J. 2023, 14, 102100. [Google Scholar] [CrossRef]
- Piccardo, C.; Hughes, M. Design Strategies to Increase the Reuse of Wood Materials in Buildings: Lessons from Architectural Practice. J. Clean. Prod. 2022, 368, 133083. [Google Scholar] [CrossRef]
- Caniato, M.; Marzi, A.; Silva, S.M.; Gasparella, A. A Review of the Thermal and Acoustic Properties of Materials for Timber Building Construction. J. Build. Eng. 2021, 43, 103066. [Google Scholar] [CrossRef]
- Caniato, M.; Gasparella, A.; Bettarello, F.; Santoni, A.; Fausti, P.; Granzotto, N.; Bécot, F.-X.; Chevillotte, F.; Jaouen, L.; Borello, G.; et al. A Reliability Study Concerning the Acoustic Simulations of Timber Elements for Buildings. Constr. Build. Mater. 2022, 315, 125765. [Google Scholar] [CrossRef]
- Nasir, V.; Ayanleye, S.; Kazemirad, S.; Sassani, F.; Adamopoulos, S. Acoustic Emission Monitoring of Wood Materials and Timber Structures: A Critical Review. Constr. Build. Mater. 2022, 350, 128877. [Google Scholar] [CrossRef]
- Akiwate, D.C.; Date, M.D.; Venkatesham, B.; Suryakumar, S. Acoustic Characterization of Additive Manufactured Perforated Panel Backed by Honeycomb Structure with Circular and Non-Circular Perforations. Appl. Acoust. 2019, 155, 271–279. [Google Scholar] [CrossRef]
- Toyoda, M.; Tanak, M.; Takahashi, D.J. Reduction of acoustic radiation by perforated board and honeycomb layer systems. Appl. Acoust. 2007, 68, 71–78. [Google Scholar] [CrossRef]
- Sakagami, K.; Yamashita, I.; Yairi, M.; Minemura, A. Sound absorption characteristics of a honeycomb—Backed microperforated panel absorber: Revised theory and experimental validation. Noise Control. Eng. J. 2010, 58, 157–162. [Google Scholar] [CrossRef]
- Kuttruff, H. Room Acoustics, 5th ed.; Spon Press: London, UK; New York, NY, USA, 2009; ISBN 978-0-415-46842-9. [Google Scholar]
- ISO 10534-2; Acoustics—Determination of Sound Absorption Coefficient and Impedance in Impedance Tubes, Part 2: Transfer-Function Method. International Organization for Standardizatio: Geneva, Switzerland, 1998.
- Xu, W.G.; Jiang, C.H.; Zhang, J.S. Improvement in underwater acoustic absorption performance of open-celled SiC foam. Colloids Surf. A Physicochem. Eng. Asp. 2015, 482, 568–574. [Google Scholar] [CrossRef]
- Zou, D.P.; Willianms, K.L.; Thorsos, E.I. Influence of temperature on acoustic sound speed and attenuation of seafloor sand sediment. IEEE J. Ocean. Eng. 2015, 40, 969–980. [Google Scholar] [CrossRef]
- Arenas, J.P.; Crocker, M.J. Recent Trends in Porous Sound-Absorbing Materials. Sound Vib. 2010, 44, 12–17. [Google Scholar]
- Randeberg, R.T. Perforated Panel Absorbers with Viscous Energy Dissipation Enhanced by Orifice Design. Ph.D. Thesis, Norwegian University of Science and Technology, Trondheim, Norway, 2000. [Google Scholar]
- Kang, J.; Brocklesby, M.W. Feasibility of applying microperforated absorbers in acoustic window systems. Appl. Acoust. 2005, 66, 669–689. [Google Scholar] [CrossRef]
- Kang, J.; Fuchs, H.V. Predicting the absorption of open weave textiles and micro-perforated membranes backed by an air space. J. Sound Vib. 1999, 220, 905–920. [Google Scholar] [CrossRef]
- Kang, J.; Fuchs, H.V. Predicting the absorption of porous materials backed by an air space. J. Sound Vib. 1996, 192, 629–640. [Google Scholar]
- Wu, T.K. Boundary Element Acoustics: Fundamentals and Computer Codes; WIT Press: Southampton, UK, 2000. [Google Scholar]
- Liu, J.; Herrin, D.W. Enhancing micro-perforated panel attenuation by partitioning the adjoining cavity. Appl. Acoust. 2010, 71, 120–127. [Google Scholar] [CrossRef]
- Zhang, Y.; Wen, J.; Zhao, X.; Wen, X.; Ding, Y. Theoretical analysis of multi-resonance sound absorption in multilayered microperforated panels. Appl. Acoust. 2018, 140, 114–123. [Google Scholar]
- Zhu, X.; Fan, X.; Liang, B.; Cheng, J.; Jing, Y. Ultrathin acoustic metamaterial-based absorber with wide working bandwidth. Appl. Phys. A 2017, 123, 228. [Google Scholar]
- Lee, S.H.; Park, C.M.; Seo, Y.M.; Wang, Z.G.; Kim, C.K. Acoustic metamaterial with negative density. Appl. Phys. Lett. 2009, 95, 121904. [Google Scholar] [CrossRef]
- Zhang, C.; Luo, C.; Han, J.; Chen, H.; Yu, D. Ultrathin acoustic metasurface-based Schroeder diffuser. Appl. Phys. Lett. 2017, 110, 171908. [Google Scholar]



















| Number | Equipment | Type | Amount |
|---|---|---|---|
| 1 | Multi-channel analyzer | AHAI202 | 1 set |
| 2 | Signal generator | AHAI4002 | 1 set |
| 3 | Power amplifier | AHAI2043 | 1 set |
| 4 | Wave tube | L, S | 2 pcs |
| 5 | Acoustic calibrator | AWA6021A | 1 set |
| 6 | Computer | LenovoE14 | 1 set |
| 7 | Software | / | 1 set |
Disclaimer/Publisher’s Note: The statements, opinions and data contained in all publications are solely those of the individual author(s) and contributor(s) and not of MDPI and/or the editor(s). MDPI and/or the editor(s) disclaim responsibility for any injury to people or property resulting from any ideas, methods, instructions or products referred to in the content. |
© 2023 by the authors. Licensee MDPI, Basel, Switzerland. This article is an open access article distributed under the terms and conditions of the Creative Commons Attribution (CC BY) license (https://creativecommons.org/licenses/by/4.0/).
Share and Cite
Ma, Y.; Ye, W. Biomimetic Coupling Structure Increases the Noise Friction and Sound Absorption Effect. Materials 2023, 16, 7148. https://doi.org/10.3390/ma16227148
Ma Y, Ye W. Biomimetic Coupling Structure Increases the Noise Friction and Sound Absorption Effect. Materials. 2023; 16(22):7148. https://doi.org/10.3390/ma16227148
Chicago/Turabian StyleMa, Yunhai, and Wei Ye. 2023. "Biomimetic Coupling Structure Increases the Noise Friction and Sound Absorption Effect" Materials 16, no. 22: 7148. https://doi.org/10.3390/ma16227148
APA StyleMa, Y., & Ye, W. (2023). Biomimetic Coupling Structure Increases the Noise Friction and Sound Absorption Effect. Materials, 16(22), 7148. https://doi.org/10.3390/ma16227148
