Biowaxes from Palm Oil as Promising Candidates for Cosmetic Matrices and Pharmaceuticals for Human Use
Abstract
1. Introduction
2. Materials and Methods
2.1. Biowaxes (BWs)
2.2. Organoleptic and Physicochemical Characteristics
2.3. Chemical Composition of the Palm Oil Biowaxes
2.4. Scanning Electron Microscopy (SEM)
2.5. Fourier Transform Infrared Spectroscopy (FTIR)–ATR
2.6. Ultraviolet-Visible Spectroscopy (UV–Vis)
2.7. Nuclear Magnetic Resonance (NMR) Spectroscopy
2.8. Microbiological Test
2.9. Cell Lines
2.10. Toxicity Test on Cell Lines
2.11. Antioxidant Activity
2.12. Irritation Test (for Pharmaceutical Purposes Only)
2.13. Statistical Analysis
3. Results and Discussion
3.1. Characteristics of the Biowaxes
3.2. Chemical Composition of the Biowaxes
3.3. Observations with Scanning Electron Microscopy (SEM)
3.4. FTIR–ATR Analysis
3.5. UV–Vis Absorption Spectra
3.6. 1H NMR Analysis
3.7. Microbiologic Test
3.8. Cytotoxicity Tests
3.9. DPPH Radical Inhibition
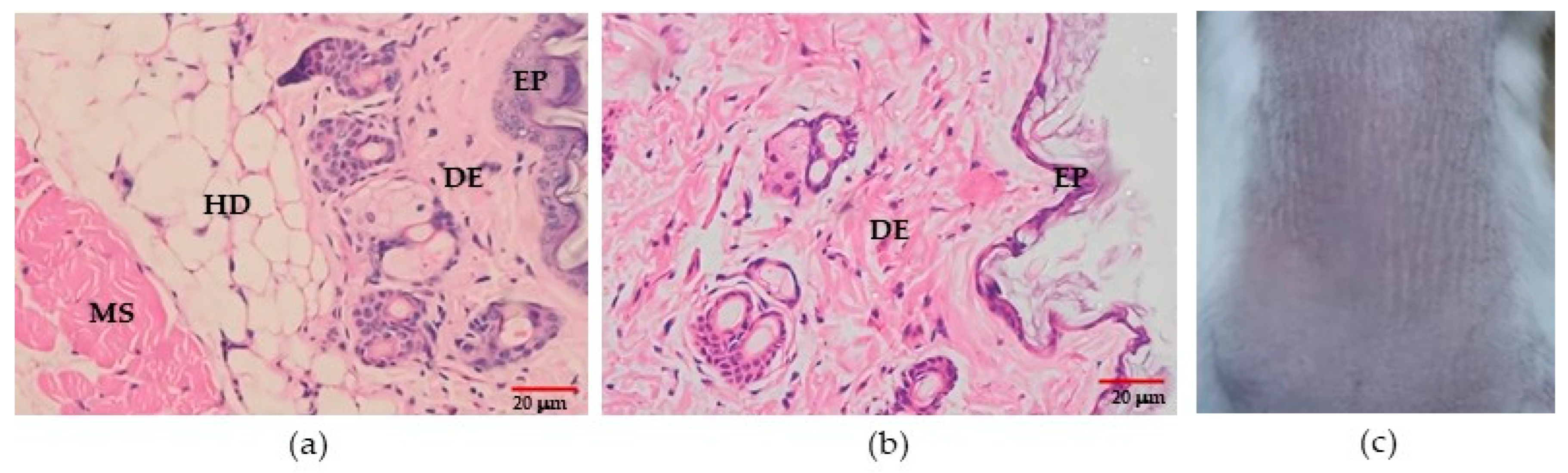
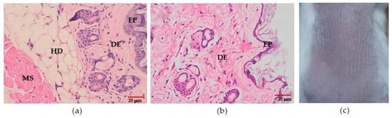
3.10. Irritation (for Pharmaceutical Purposes Only)
4. Conclusions
Supplementary Materials
Author Contributions
Funding
Institutional Review Board Statement
Informed Consent Statement
Data Availability Statement
Conflicts of Interest
References
- Tinto, W.F.; Elufioye, T.O.; Roach, J. Waxes. Pharmacognosy; Academic Press: Cambridge, MA, USA, 2017; pp. 443–455. [Google Scholar]
 - Grand View Research, Inc. Paraffin Wax Market Analysis by Application (Candles, Packaging, Cosmetics, Hotmelts, Board Sizing, Rubber), by Region (North America, Europe, Asia Pacific, Central & South America, Middle East & Africa), by Country, and Segment Forecasts, 2014–2025; Technical Report, Report ID: 978-1-68038-520-5; Grand View Research, Inc.: Pune, India, 2017. [Google Scholar]
 - Yao, L.; Lio, J.; Wang, T.; Jarboe, D.H. Synthesis and Characterization of Acetylated and Stearylyzed Soy Wax. J. Am. Oil Chem. Soc. 2013, 90, 1063–1071. [Google Scholar] [CrossRef]
 - Cameron, T.C.; Wiles, D.; Beddoe, T. Current Status of Loop-Mediated Isothermal Amplification Technologies for the Detection of Honey Bee Pathogens. Front. Vet. Sci. 2021, 8, 659683. [Google Scholar] [CrossRef]
 - Keng, P.S.; Basri, M.; Zakaria, M.R.S.; Rahman, M.B.A.; Ariff, A.B.; Rahman, R.N.Z.A.; Salleh, A.B. Newly synthesized palm esters for cosmetics industry. Ind. Crop. Prod. 2009, 29, 37–44. [Google Scholar] [CrossRef]
 - Basri, M.; Abdul Rahman, R.N.Z.; Salleh, A.B. Speciality oleochemicals from palm oil via enzymatic synthesis. J. Oil Palm Res. 2013, 25, 22–35. [Google Scholar]
 - Chang, S.H. Vegetable oil as organic solvent for wastewater treatment in liquid membrane processes. Desalin. Water Treat. 2013, 52, 88–101. [Google Scholar] [CrossRef]
 - Sambanthamurthi, R.; Sundram, K.; Tan, Y.A. Chemistry and biochemistry of palm oil, Prog. Lipid Res. 2000, 39, 507–558. [Google Scholar] [CrossRef]
 - Guzmán, M.; Kafarov, V.; Guzmán, A.; Garzón, L. Influence of temperature during crude palm oil hydrotreating over NiMo/γ-Al2O3 catalysts. Rev. ION 2013, 26, 7–14. [Google Scholar]
 - Masudi, A.; Muraza, O. Vegetable Oil to Biolubricants: Review on Advanced Porous Catalysts. Energy Fuels 2018, 32, 10295–10310. [Google Scholar] [CrossRef]
 - Malins, K. Synthesis of renewable hydrocarbons from vegetable oil feedstock by hydrotreatment over selective sulfur-free SiO2-Al2O3 supported monometallic Pd, Pt, Ru, Ni, Mo and bimetallic NiMo catalysts. Fuel 2021, 285, 119129. [Google Scholar] [CrossRef]
 - Guzman, A.; Torres, J.E.; Prada, L.P.; Nuñez, M.L. Hydroprocessing of crude palm oil at pilot plant scale. Catal. Today 2010, 156, 38–43. [Google Scholar] [CrossRef]
 - FDA. Food and Drugs Chapter I—Federal Food, Drug, and Cosmetic Act, Part 184, Direct FOOD Substances Affirmed as Generally Recognized as Safe, Sec. 184.1978-Carnauba Wax., Code of Federal Regulations, Titel 21, Volume 3 (2018). Available online: https://www.accessdata.fda.gov (accessed on 12 September 2022).
 - Iyisan, B.; Simon, J.; Avlasevich, Y.; Baluschev, S.; Mailaender, V.; Landfester, K. Antibody-Functionalized Carnauba Wax Nanoparticles to Target Breast Cancer Cells. ACS Appl. Bio Mater. 2022, 21, 622–629. [Google Scholar] [CrossRef]
 - Soleimanian, Y.; Goli, S.A.H.; Shirvani, A.; Elmizadeh, A.; Marangoni, A.G. Wax-based delivery systems: Preparation, characterization, and food applications. Compr. Rev. Food Sci. Food Saf. 2020, 19, 2994–3030. [Google Scholar] [CrossRef]
 - De Souza, I.D.L.; Saez, V.; De Campos, V.E.B.; Nascimento, M.R.; Mansur, C.R.E. Multiple Response Optimization of Beeswax-Based Nanostructured Lipid Carriers for the Controlled Release of Vitamin E. J. Nanosci. Nanotechnol. 2020, 20, 31–41. [Google Scholar] [CrossRef]
 - de Freitas, C.A.S.; de Sousa, P.H.M.; Soares, D.J.; da Silva, J.Y.G.; Benjamin, S.R.; Guedes, M.I.F. Carnauba wax uses in food—A review. Food Chem. 2019, 291, 38–48. [Google Scholar] [CrossRef] [PubMed]
 - Carrillo, J.-C.; Danneels, D.; Woldhuis, J. Relevance of animal studies in the toxicological assessment of oil and wax hydrocarbons. Solving the puzzle for a new outlook in risk assessment. Crit. Rev. Toxicol. 2021, 51, 418–455. [Google Scholar] [CrossRef] [PubMed]
 - Bruusgaard-Mouritsen, M.A.; Johansen, J.D.; Zachariae, C.; Kirkeby, C.S.; Garvey, L.H. Natural ingredients in cosmetic products—A suggestion for a screening series for skin allergy. Contact Dermat. 2020, 83, 251–270. [Google Scholar] [CrossRef]
 - Nyman, G.S.A.; Tang, M.; Inerot, A.; Osmancevic, A.; Malmberg, P.; Hagvall, L. Contact allergy to beeswax and propolis among patients with cheilitis or facial dermatitis. Contact Dermat. 2019, 81, 110–116. [Google Scholar] [CrossRef]
 - EFSA Panel on Food Additives and Nutrient Sources added to Food (ANS). Scientific Opinion on the re-evaluation of carnauba wax (E 903) as a food additive. EFSA J. 2012, 10, 2880. [Google Scholar] [CrossRef]
 - Fiume, M.M.; Heldreth, B.; Bergfeld, W.F.; Belsito, D.V.; Hill, R.A.; Klaassen, C.D.; Liebler, D.C.; Marks, J.J.G.; Shank, R.C.; Slaga, T.J.; et al. Safety Assessment of Alkyl Esters as Used in Cosmetics. Int. J. Toxicol. 2015, 34, 5S–69S. [Google Scholar] [CrossRef] [PubMed]
 - Burnett, C.L.; Fiume, M.M.; Bergfeld, W.F.; Belsito, D.V.; Hill, R.A.; Klaassen, C.D.; Liebler, D.; Marks, J.G., Jr.; Shank, R.C.; Slaga, T.J.; et al. Safety Assessment of Plant-Derived Fatty Acid Oils. Int. J. Toxicol. 2017, 36, 51S–129S. [Google Scholar] [CrossRef] [PubMed]
 - González-Muñoz, P.; Conde-Salazar, L.; Vañó-Galván, S. Dermatitis alérgica de contacto a cosméticos. Actas Dermosifiliogr. 2014, 105, 822–832. [Google Scholar] [CrossRef]
 - Panico, A.; Serio, F.; Bagordo, F.; Grassi, T.; Idolo, A.; De Giorgi, M.; Guido, M.; Congedo, M.; De Donno, A. Skin safety and health prevention: An overview of chemicals in cosmetic products. J. Prev. Med. Hyg. 2019, 60, E50–E57. [Google Scholar] [CrossRef] [PubMed]
 - Olarte, G.; Garzón, L.; Sarmiento, J.; López-Giraldo, L.J.; Vivas-Báez, J.C. Biowax Production from the Hydrotreatment of Refined Palm Oil (RPO). Processes 2023, 11, 1372. [Google Scholar] [CrossRef]
 - Murillo-Méndez, C.; López-Giraldo, L.J.; Ramírez Quintero, A.F.; Castañeda-Rodas, M. Planteamiento de un modelo matemático de características macroscópicas de bioceras producidas del aceite de palma con interés comercial. Rev. ION 2022, 35, 59–69. [Google Scholar] [CrossRef]
 - Fei, T.; Wang, T. A review of recent development of sustainable waxes derived from vegetable oils. Curr. Opin. Food Sci. 2017, 16, 7–14. [Google Scholar] [CrossRef]
 - Hepburn, H.R.; Pirk, C.W.W.; Duangphakdee, O. The Chemistry of Beeswax. In Honeybee Nests; Springer: Berlin/Heidelberg, Germany, 2014; pp. 319–339. [Google Scholar] [CrossRef]
 - Trisnadewi, T.; Kusrini, E.; Nurjaya, D.M.; Putra, N.; Mahlia, T.M.I. Experimental analysis of natural wax as phase change material by thermal cycling test using thermoelectric system. J. Energy Storage 2021, 40, 102703. [Google Scholar] [CrossRef]
 - Rivera-Barrera, D.; Rueda-Chacón, H.; Molina, D. Prediction of the total acid number (TAN) of colombian crude oils via ATR–FTIR spectroscopy and chemometric methods. Talanta 2020, 206, 120186. [Google Scholar] [CrossRef]
 - Villalobos, J.R.; Müller, C.C. Sun protection enhancement of titanium dioxide crystals by the use of carnauba wax nanoparticles: The synergistic interaction between organic and inorganic sunscreens at nanoscale. Int. J. Pharm. 2006, 322, 161–170. [Google Scholar] [CrossRef]
 - Shi, T.; Zhu, M.; Zhou, X.; Huo, X.; Long, Y.; Zeng, X.; Chen, Y. 1H NMR combined with PLS for the rapid determination of squalene and sterols in vegetable oils. Food Chem. 2019, 287, 46–54. [Google Scholar] [CrossRef]
 - Jęczmionek, L.; Krasodomski, W. Biocomponents via Zeoforming and Hydroconversion of Vegetable Oil: 1H NMR Analysis of Glycerides Conversion. Energy Fuels 2015, 29, 2372–2379. [Google Scholar] [CrossRef]
 - Calò, F.; Girelli, C.R.; Angilè, F.; Del Coco, L.; Mazzi, L.; Barbini, D.; Fanizzi, F.P. 1H-NMR Profiling Shows as Specific Constituents Strongly Affect the International EVOO Blends Characteristics: The Case of the Italian Oil. Molecules 2021, 26, 2233. [Google Scholar] [CrossRef] [PubMed]
 - Zhang, Y.; Bi, J.; Wang, S.; Cao, Q.; Li, Y.; Zhou, J.; Zhu, B.-W. Functional food packaging for reducing residual liquid food: Thermo-resistant edible super-hydrophobic coating from coffee and beeswax. J. Colloid Interface Sci. 2019, 533, 742–749. [Google Scholar] [CrossRef]
 - Wang, W.; Lockwood, K.; Boyd, L.M.; Davidson, M.D.; Movafaghi, S.; Vahabi, H.; Khetani, S.R.; Kota, A.K. Superhydrophobic Coatings with Edible Materials. ACS Appl. Mater. Interfaces 2016, 8, 18664–18668. [Google Scholar] [CrossRef] [PubMed]
 - Ong, A.S.H.; Goh, S.H. Palm Oil: A Healthful and Cost-Effective Dietary Component. Food Nutr. Bull. 2002, 23, 11–22. [Google Scholar] [CrossRef]
 - Balasundram, N.; Ai, T.Y.; Sambanthamurthi, R.; Sundram, K.; Samman, S. Antioxidant properties of palm fruit extracts. Asia Pac. J. Clin. Nutr. 2005, 14, 319–324. [Google Scholar]
 - Silva, C.A.; Pinto, I.G.; Machado, P.H.; Rodrigues, C.; Costa, M.L.; Florindo, M.I. Carnauba wax p-methoxycinnamic diesters: Characterisation, antioxidant activity and simulated gastrointestinal digestion followed by in vitro bioaccessibility. Food Chem. 2016, 196, 1293–1300. [Google Scholar]
 - Zhao, H.; Zhu, M.; Wang, K.; Yang, E.; Su, J.; Wang, Q.; Cheng, N.; Xue, X.; Wu, L.; Cao, W. Identification and quantitation of bioactive components from honeycomb (Nidus Vespae). Food Chem. 2019, 314, 126052. [Google Scholar] [CrossRef]
 







| BW | Origin | Photo | Color/ Estate  | E | pH (Days) | MO | MP °C  | PV mm  | ||
|---|---|---|---|---|---|---|---|---|---|---|
| 5 | 10 | 20 | ||||||||
| 1 | RPO | ![]()  | yellowish, solid | 1 | 5.1 | 4.9 | 5.0 | - | 47.9 | 2.1 | 
| 2 | 4.9 | 4.9 | 4.8 | - | ||||||
| 2 | RPO | ![]()  | yellowish, solid | 1 | 4.9 | 4.9 | 4.6 | - | 42.7 | 2.9 | 
| 2 | 5.0 | 5.1 | 5.0 | - | ||||||
| 3 | RPO | ![]()  | yellowish, solid | 1 | 4.8 | 4.8 | 4.9 | - | 44.9 | 2.6 | 
| 2 | 4.9 | 4.8 | 4.8 | - | ||||||
| 4 | RPO | ![]()  | yellowish, solid | 1 | 4.7 | 4.7 | 4.6 | - | 40.2 | 3.8 | 
| 2 | 4.8 | 4.7 | 4.8 | - | ||||||
| 5 | RPO | ![]()  | yellowish, solid | 1 | 4.8 | 4.6 | 4.5 | - | 43.3 | 3.2 | 
| 2 | 4.7 | 4.6 | 4.6 | - | ||||||
| 6 | RPKO | ![]()  | yellowish, liquid | 1 | 4.5 | 4.3 | 4.4 | - | <20 | lí-quid | 
| 2 | 4.6 | 4.5 | 4.6 | - | ||||||
| 7 | BPO | ![]()  | yellowish, solid | 1 | 4.9 | 4.7 | 4.6 | - | 40.1 | 2.9 | 
| 2 | 5.1 | 5.1 | 4.9 | - | ||||||
| BC | Paraffin | FFA | FA | WE | MG/DGs | TG | 
|---|---|---|---|---|---|---|
| Beeswax 1 | 11–28 | 0.8–18 | 0.4–1.8 | 57–74 | - | - | 
| Carnauba wax 2 | 1.5–3.0 | 3.0–3.5 | 2.0–3.0 | 84–85 | - | - | 
| Candelilla wax 2 | 50–51 | 7.0–9.0 | - | 28–29 | - | - | 
| BW1 | 31.32 | 15.33 | 5.79 | 25.39 | 0.77 | 21.40 | 
| BW2 | 28.40 | 8.80 | 2.10 | 23.70 | 2.00 | 28.40 | 
| BW3 | 15.18 | 13.76 | 5.45 | 35.64 | 1.42 | 28.57 | 
| BW4 | 40.00 | 11.10 | 2.30 | 26.70 | 1.30 | 18.60 | 
| BW5 | 13.30 | 14.50 | 13.50 | 34.50 | 3.70 | 20.50 | 
| BW6 | 27.90 | 27.40 | 10.80 | 16.70 | 5.50 | 11.80 | 
| BW7 | 29.60 | 14.30 | 7.60 | 24.80 | 1.70 | 22.00 | 
| RPO | - | 6.10 b | - | - | 2.40 b | 91.50 b | 
Disclaimer/Publisher’s Note: The statements, opinions and data contained in all publications are solely those of the individual author(s) and contributor(s) and not of MDPI and/or the editor(s). MDPI and/or the editor(s) disclaim responsibility for any injury to people or property resulting from any ideas, methods, instructions or products referred to in the content.  | 
© 2023 by the authors. Licensee MDPI, Basel, Switzerland. This article is an open access article distributed under the terms and conditions of the Creative Commons Attribution (CC BY) license (https://creativecommons.org/licenses/by/4.0/).
Share and Cite
Chaparro, L.M.; Neira, L.F.; Molina, D.; Rivera-Barrera, D.; Castañeda, M.; López-Giraldo, L.J.; Escobar, P. Biowaxes from Palm Oil as Promising Candidates for Cosmetic Matrices and Pharmaceuticals for Human Use. Materials 2023, 16, 4402. https://doi.org/10.3390/ma16124402
Chaparro LM, Neira LF, Molina D, Rivera-Barrera D, Castañeda M, López-Giraldo LJ, Escobar P. Biowaxes from Palm Oil as Promising Candidates for Cosmetic Matrices and Pharmaceuticals for Human Use. Materials. 2023; 16(12):4402. https://doi.org/10.3390/ma16124402
Chicago/Turabian StyleChaparro, Laura María, Laura Fernanda Neira, Daniel Molina, Diego Rivera-Barrera, Maribel Castañeda, Luis Javier López-Giraldo, and Patricia Escobar. 2023. "Biowaxes from Palm Oil as Promising Candidates for Cosmetic Matrices and Pharmaceuticals for Human Use" Materials 16, no. 12: 4402. https://doi.org/10.3390/ma16124402
APA StyleChaparro, L. M., Neira, L. F., Molina, D., Rivera-Barrera, D., Castañeda, M., López-Giraldo, L. J., & Escobar, P. (2023). Biowaxes from Palm Oil as Promising Candidates for Cosmetic Matrices and Pharmaceuticals for Human Use. Materials, 16(12), 4402. https://doi.org/10.3390/ma16124402
        

       





