Human Fresh Fibrin Membrane with Bone Morphogenetic Protein-2 (BMP-2) Induces Bone Formation in the Subcutaneous Tissues of Nude Mice
Abstract
1. Introduction
2. Materials and Methods
2.1. Ethics Statement
2.2. Preparation of Concentrated Growth Factor (CGF) Membrane
2.3. Scanning Electron Microscopy (SEM) Analysis
2.4. Histological Observation
2.5. Animal Experiments
2.5.1. Preparation of Concentrated Growth Factor with Recombinant Human Bone morphogenetic Protein 2 (CGF/rhBMP-2) Membranes
2.5.2. Heterotopic Bioassay
2.5.3. Tissue Preparation
2.5.4. Immunohistochemical Staining for Osteopontin
2.5.5. Elastica Van Gieson Staining
2.5.6. Histomorphometric Measurement
2.5.7. Statistical Analysis
3. Results
3.1. SEM Observation and Gross Histology of Concentrated Growth Factor (CGF) Membrane
3.2. Concentrated Growth Factor (CGF) Membrane in Subcutaneous Tissues
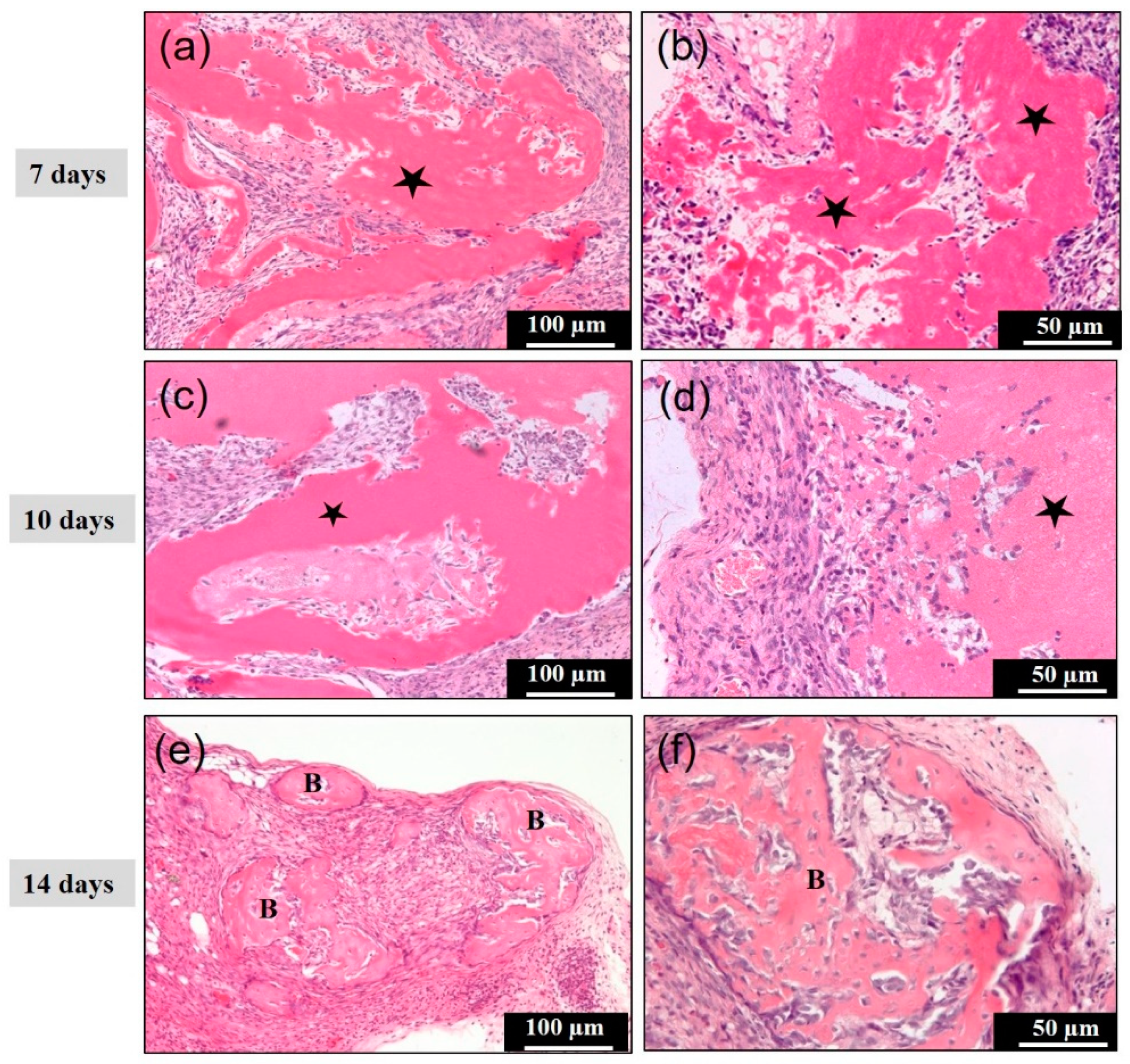
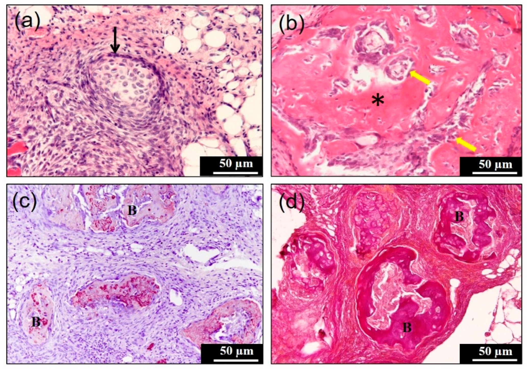
3.3. Concentrated Growth Factor with Recombinant Human Bone Morphogenetic Protein 2 (CGF/rhBMP-2) Membrane in Subcutaneous Tissues
3.4. Histomorphometric Assessment
4. Discussion
5. Conclusions
Author Contributions
Funding
Institutional Review Board Statement
Informed Consent Statement
Data Availability Statement
Conflicts of Interest
References
- Dohan, D.M.; Choukroun, J.; Diss, A.; Dohan, S.L.; Dohan, A.J.J.; Mouhyi, J.; Gogly, B. Platelet-rich fibrin (PRF): A second-generation platelet concentrate. Part I: Technological concepts and evolution. Oral Surg. Oral Med. Oral Pathol. Oral Radiol. Endod. 2006, 101, e37–e44. [Google Scholar] [CrossRef]
- Dohan, D.M.; Choukroun, J.; Diss, A.; Dohan, S.L.; Dohan, A.J.J.; Mouhyi, J.; Gogly, B. Platelet-rich fibrin (PRF): A second-generation platelet concentrate. Part II: Platelet-related biologic features. Oral Surg. Oral Med. Oral Pathol. Oral Radiol. Endod. 2006, 101, e45–e50. [Google Scholar] [CrossRef] [PubMed]
- Murata, M.; Akazawa, T.; Mitsugi, M.; Um, I.W.; Kim, K.W.; Kim, Y.K. Human dentin as novel biomaterial for bone regeneration. In Biomaterials—Physics and Chemistry, 1st ed.; Pignatello, R., Ed.; InTech: Rijeka, Croatia, 2011; pp. 391–403. [Google Scholar]
- Murata, M.; Akazawa, T.; Mitsugi, M.; Kabir, M.A.; Um, I.W.; Minamida, Y.; Kim, K.W.; Kim, Y.K.; Sun, Y.; Qin, C. Autograft of dentin materials for bone regeneration. In Advances in Biomaterials Sciences and Biomedical Applications, 1st ed.; Pignatello, R., Ed.; InTech: Rijeka, Croatia, 2013; pp. 391–403. [Google Scholar]
- Singer, A.J.; Clark, R.A. Cutaneous wound healing. N. Engl. J. Med. 1999, 341, 738–746. [Google Scholar] [CrossRef] [PubMed]
- Dhurat, R.; Sukesh, M.S. Principles and methods of preparation of platelet-rich plasma: A review and author’s perspective. J. Cutan Aesthet. Surg. 2014, 7, 189–197. [Google Scholar] [CrossRef] [PubMed]
- Murata, M.; Arisue, M. De novo bone formation using bovine collagen and platelet-rich plasma in animals. J. Hard Tissue. Biol. 2004, 13, 18–23. [Google Scholar] [CrossRef]
- Choukroun, J.; Diss, A.; Simonpieri, A.; Girard, M.O.; Schoeffler, C.; Dohan, S.L.; Dohan, A.J.J.; Mouhyi, J. Platelet-rich fibrin (PRF): A second-generation platelet concentrate. Part V: Histologic evaluations of PRF effects on bone allograft maturation in sinus lift. Oral Surg. Oral Med. Oral Pathol. Oral Radiol. Endod. 2006, 101, 299–303. [Google Scholar] [CrossRef] [PubMed]
- Dohan, D.M.; Corso, M.D.; Diss, A.; Mouhyi, J.; Charrier, J.B. Three-dimensional architecture and cell composition of a Choukroun’s platelet-rich fibrin clot and membrane. J. Periodontol. 2010, 81, 546–555. [Google Scholar] [CrossRef]
- Simonpieri, A.; Corso, M.D.; Sammartino, G.; Dohan, D.M. The relevance of Choukroun’s platelet-rich fibrin and metronidazole during complex maxillary rehabilitations using bone allograft. Part II: Implant surgery, prosthodontics, and survival. Implant Dent. 2009, 18, 220–229. [Google Scholar] [CrossRef]
- Dambhare, A.; Bhongade, M.L.; Dhadse, P.V.; Sehdev, B.; Ganji, K.K.; Thakare, K.; Murakami, H.; Sugita, Y.; Maeda, H.; Alam, M.K. A randomized controlled clinical study of autologous Platelet Rich Fibrin (PRF) in combination with HA and Beta-TCP or HA and Beta-TCP alone for treatment of furcution defects. J. Hard Tissue. Biol. 2019, 28, 185–190. [Google Scholar] [CrossRef]
- Corigliano, M.; Sacco, L.; Baldoni, E. CGF- una proposta terapeutica per la medicina rigenerativa. Odontoiatria 2010, 1, 69–81. [Google Scholar]
- Urist, M.R. Bone: Formation by autoinduction. Science 1965, 150, 893–899. [Google Scholar] [CrossRef] [PubMed]
- Urist, M.R.; Huo, Y.K.; Brownell, A.G.; Hohl, W.M.; Buyske, J.; Lietze, A.; Tempst, P.; Hunkapiller, M.; DeLange, R.J. Purification of bovine bone morphogenetic protein by hydroxyapatite chromatography. Proc. Natl. Acad. Sci. USA 1984, 81, 371–375. [Google Scholar] [CrossRef] [PubMed]
- Ripamonti, U.; Reddi, A.H. Periodontal regeneration: Potential role of bone morphogenetic proteins. J. Dent. Res. 1994, 29, 225–235. [Google Scholar] [CrossRef] [PubMed]
- Asahina, I. Bone morphogenetic proteins: Their history and characteristics. J. Hard Tissue. Biol. 2014, 23, 283–286. [Google Scholar] [CrossRef][Green Version]
- Krishnakumar, G.S.; Roffi, A.; Reale, D.; Kon, E.; Filardo, G. Clinical application of bone morphogenetic proteins for bone healing: A systematic review. Int. Orthop. 2017, 41, 1073–1083. [Google Scholar] [CrossRef] [PubMed]
- Bien, N.D.; Muira, K.; Sumita, Y.; Nakatani, Y.; Shido, R.; Kajii, F.; Kamakura, S.; Asahina, I. Bone regeneration by low-dose recombinant human bone morphogenetic protein-2 carried on octacalcium phosphate collagen composite. J. Hard Tissue. Biol. 2020, 29, 123–130. [Google Scholar] [CrossRef]
- Kim, Y.K.; Um, I.W.; An, H.J.; Kim, K.W.; Hong, K.S.; Murata, M. Effects of demineralized dentin matrix used as an rhBMP-2 carrier for bone regeneration. J. Hard Tissue. Biol. 2014, 23, 415–422. [Google Scholar] [CrossRef]
- McKay, W.F.; Peckham, S.M.; Badura, J.M. A comprehensive clinical review of recombinant human bone morphogenetic protein-2 (INFUSE Bone Graft). Int. Orthop. 2007, 31, 729–734. [Google Scholar] [CrossRef]
- Um, I.W.; Hwang, S.H.; Kim, Y.K.; Kim, M.Y.; Jun, S.H.; Ryu, J.J.; Jang, H.S. Demineralized dentin matrix combined with recombinant human bone morphogenetic protein-2 in rabbit calvarial defects. J. Korean Assoc. Oral Maxillofac. Surg. 2016, 42, 90–98. [Google Scholar] [CrossRef]
- Yu, B.; Wang, Z. Effect of concentrated growth factors on beagle periodontal ligament stem cells in vitro. Mol. Med. Rep. 2014, 9, 235–242. [Google Scholar] [CrossRef]
- Qiao, J.; An, N.; Ouyang, X. Quantification of growth factors in different platelet concentrates. Platelets 2017, 28, 774–778. [Google Scholar] [CrossRef] [PubMed]
- Tazaki, J.; Murata, M.; Akazawa, T.; Yamamoto, M.; Ito, K.; Arisue, M.; Shibata, T.; Tabata, Y. BMP-2 release and dose-response studies in hydroxyapatite and β-tricalcium phosphate. Biomed. Mater. Eng. 2009, 19, 141–146. [Google Scholar] [CrossRef] [PubMed]
- Nakamura, H.; Yamada, M.; Fukae, M.; Ozawa, H. The localization of CD44 and moesin in osteoclasts after calcitonin administration in mouse tibiae. J. Bone Miner. Metab. 1997, 15, 184–192. [Google Scholar] [CrossRef]
- Rodella, L.F.; Favero, G.; Boninsegna, R.; Buffoli, B.; Labanca, M.; Scari, G.; Sacco, L.; Batani, T.; Rezzani, R. Growth factors, CD34 positive cells, and fibrin network analysis in concentrated growth factors fraction. Microsc. Res. Tech. 2011, 74, 772–777. [Google Scholar] [CrossRef] [PubMed]
- Isobe, K.; Watanabe, T.; Kawabata, H.; Kitamura, Y.; Okudera, T.; Okudera, H.; Uematsu, K.; Okuda, K.; Nakata, K.; Tanaka, T.; et al. Mechanical and degradation properties of advance platelet-rich fibrin (A-PRF), concentrated growth factors (CGF), and platelet-poor plasma-derived fibrin (PPTF). Int. J. Imp. Dent. 2017, 3, 17. [Google Scholar] [CrossRef] [PubMed]
- Zhang, Z.; Li, X.; Zhao, J.; Jia, W.; Wang, Z. Effect of autogenous growth factors released from platelet concentrates on the osteogenic differentiation of periodontal ligament fibroblasts: A comparative study. PeerJ 2019, 7, e7984. [Google Scholar] [CrossRef]
- Lei, L.; Yu, Y.; Han, J.; Shi, D.; Sun, W.; Zhang, D.; Chen, L. Quantification of growth factors in advanced platelet-rich fibrin and concentrated growth factors and their clinical efficiency as adjunctive to the GTR procedure in periodontal infrabony defects. J. Periodontol. 2020, 4, 462–472. [Google Scholar] [CrossRef]
- Asparuhova, M.B.; Caballé-Serrano, J.; Buser, D.; Chappuis, V. Bone-conditioned medium contributes to initiation and progression of osteogenesis by exhibiting synergistic TGF-β1/BMP-2 activity. Int. J. Oral Sci. 2018, 10, 72–80. [Google Scholar] [CrossRef]
- Wang, Z.; Sun, J.; Li, Y.; Chen, C.; Xu, Y.; Zang, X.; Li, L.; Meng, K. Experimental study of the synergistic effect and network regulation mechanisms of an applied combination of BMP-2, VEGF, and TGF-β1 on osteogenic differentiation. J. Cell Biochem. 2019, 121, 2394–2405. [Google Scholar] [CrossRef]
- Ripamonti, U.; Ma, S.; Reddi, A.H. The critical role of geometry of porous hydroxyapatite delivery system in induction of bone by osteogenin, a bone morphogenetic protein. Matrix 1992, 12, 202–212. [Google Scholar] [CrossRef]
- Murata, M.; Inoue, M.; Arisue, M.; Kuboki, Y.; Nagai, N. Carrier-dependency of cellular differentiation induced by bone morphogenetic protein in ectopic sites. Int. J Oral Maxillofac. Surg. 1998, 27, 391–396. [Google Scholar] [CrossRef]
- Hartshorne, J.; Gluckman, H. A comprehensive clinical review of Platelet Rich Fibrin (PRF) and its role in promoting tissue healing and regeneration in dentistry. Part II: Preparation, optimization, handling and application, benefits and limitations of PRF. Int. Dent. 2016, 6, 34–48. [Google Scholar]
- Spicer, P.P.; Mikos, A.G. Fibrin glue as a drug delivery system. J. Control Release 2010, 148, 49–55. [Google Scholar] [CrossRef] [PubMed]
- Schmoekel, H.G.; Weber, F.E.; Schense, J.C.; Grätz, K.W.; Schawalder, P.; Hubbell, J.A. Bone repair with a form of BMP-2 engineered for incorporation into fibrin cell ingrowth matrices. Biotechnol. Bioeng. 2005, 89, 253–262. [Google Scholar] [CrossRef] [PubMed]
- Karfeld-Sulzer, L.S.; Siegenthaler, B.; Ghayor, C.; Weber, F.E. Fibrin Hydrogel Based Bone Substitute Tethered with BMP-2 and BMP-2/7 Heterodimers. Materials 2015, 8, 977–991. [Google Scholar] [CrossRef] [PubMed]
- Wang, J.; Wang, L.; Zhou, Z.; Lai, H.; Xu, P.; Liao, L.; Wei, J. Biodegradable polymer membranes applied in guided bone/tissue regeneration: A review. Polymers 2016, 8, 115. [Google Scholar] [CrossRef] [PubMed]
- Friess, W.; Uludag, H.; Foskett, S.; Biron, R. Bone regeneration with recombinant human bone morphogenetic protein-2 (rhBMP-2) using absorbable collagen sponges (ACS): Influence of processing on ACS characteristics and formulation. Pharm. Dev. Technol. 1999, 4, 387–396. [Google Scholar] [CrossRef]
- Geiger, M.; Li, R.H.; Friess, W. Collagen sponges for bone regeneration with rhBMP-2. Adv. Drug. Deliv. Rev. 2003, 55, 1613–1629. [Google Scholar] [CrossRef]





| Groups (%) | Explant Period | ||||||||
|---|---|---|---|---|---|---|---|---|---|
| 7 Days | 10 Days | 14 Days | |||||||
| CGF | CT | NB | CGF | CT | NB | CGF | CT | NB + Cartilage | |
| CGF Membrane | 41.1 ± 0.6 | 58.8 ± 0.7 | 0.0 | 28.1 ± 6.5 | 70.3 ± 4.3 | 0.0 | 10.9 ± 2.4 | 89.0 ± 2.6 | 0.0 |
| CGF/rhBMP-2 | 37.4 ± 2.4 | 62.5 ± 2.7 | 0.0 * | 22.5 ± 4.3 | 77.4 ± 4.2 | 0.0 * | 0.0 | 85.9 ± 4.3 | 13.9 ± 5.2 * |
Publisher’s Note: MDPI stays neutral with regard to jurisdictional claims in published maps and institutional affiliations. |
© 2020 by the authors. Licensee MDPI, Basel, Switzerland. This article is an open access article distributed under the terms and conditions of the Creative Commons Attribution (CC BY) license (http://creativecommons.org/licenses/by/4.0/).
Share and Cite
Onji, K.; Kabir, M.A.; Zhu, B.; Yokozeki, K.; Saito, T.; Akazawa, T.; Murata, M. Human Fresh Fibrin Membrane with Bone Morphogenetic Protein-2 (BMP-2) Induces Bone Formation in the Subcutaneous Tissues of Nude Mice. Materials 2021, 14, 150. https://doi.org/10.3390/ma14010150
Onji K, Kabir MA, Zhu B, Yokozeki K, Saito T, Akazawa T, Murata M. Human Fresh Fibrin Membrane with Bone Morphogenetic Protein-2 (BMP-2) Induces Bone Formation in the Subcutaneous Tissues of Nude Mice. Materials. 2021; 14(1):150. https://doi.org/10.3390/ma14010150
Chicago/Turabian StyleOnji, Keiko, Md. Arafat Kabir, Bowen Zhu, Kenji Yokozeki, Takashi Saito, Toshiyuki Akazawa, and Masaru Murata. 2021. "Human Fresh Fibrin Membrane with Bone Morphogenetic Protein-2 (BMP-2) Induces Bone Formation in the Subcutaneous Tissues of Nude Mice" Materials 14, no. 1: 150. https://doi.org/10.3390/ma14010150
APA StyleOnji, K., Kabir, M. A., Zhu, B., Yokozeki, K., Saito, T., Akazawa, T., & Murata, M. (2021). Human Fresh Fibrin Membrane with Bone Morphogenetic Protein-2 (BMP-2) Induces Bone Formation in the Subcutaneous Tissues of Nude Mice. Materials, 14(1), 150. https://doi.org/10.3390/ma14010150

