Effect of Honeycomb β-TCP Geometrical Structure on Bone Tissue Regeneration in Skull Defect
Abstract
1. Introduction
2. Materials and Methods
2.1. Preparation of TCP Containing BMP-2
2.2. Animals and Implantation Procedure
2.3. Histological Procedure
2.4. Micro CT
2.5. Bone Tissue Formation Evaluation by Area Measurement
2.6. Statistical Analysis
3. Results
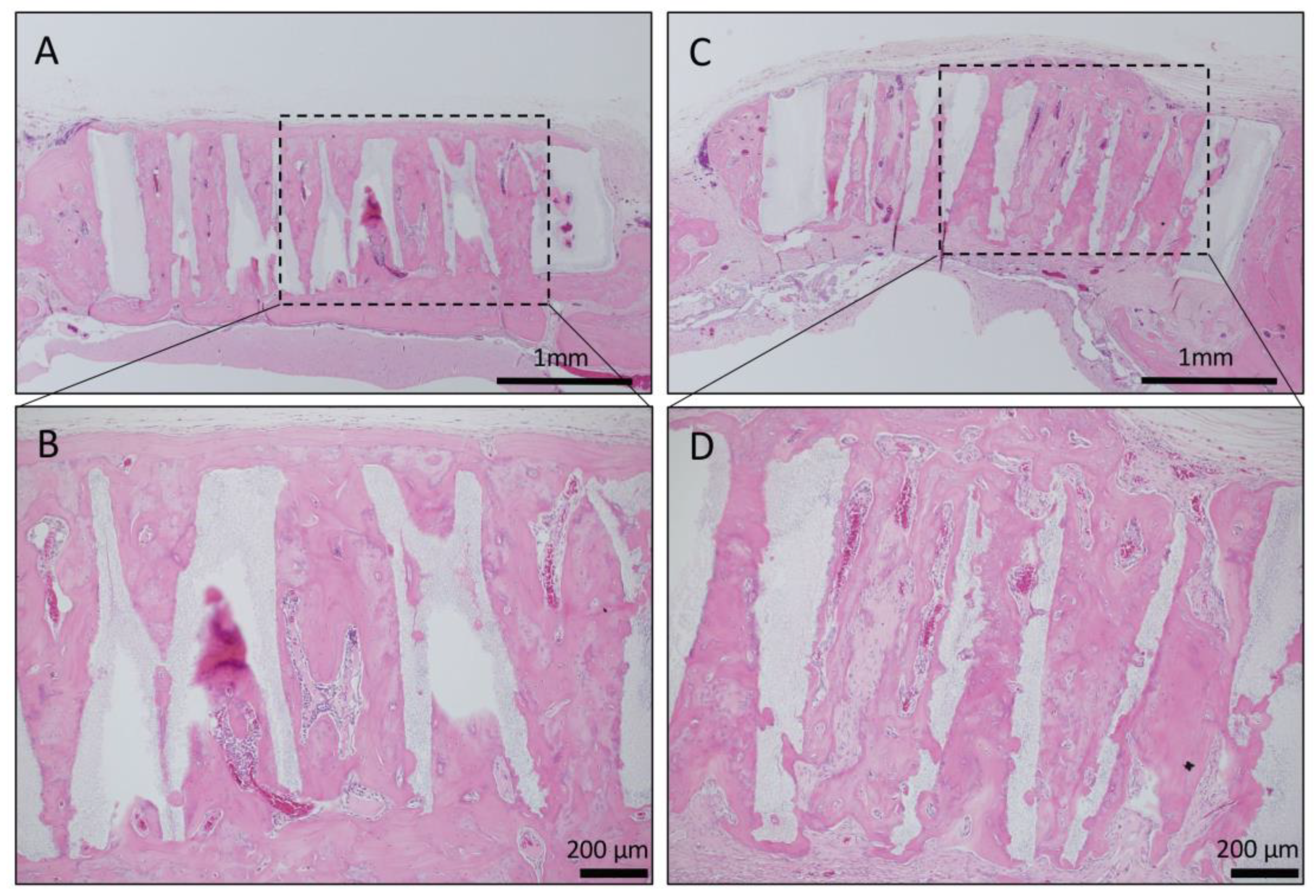
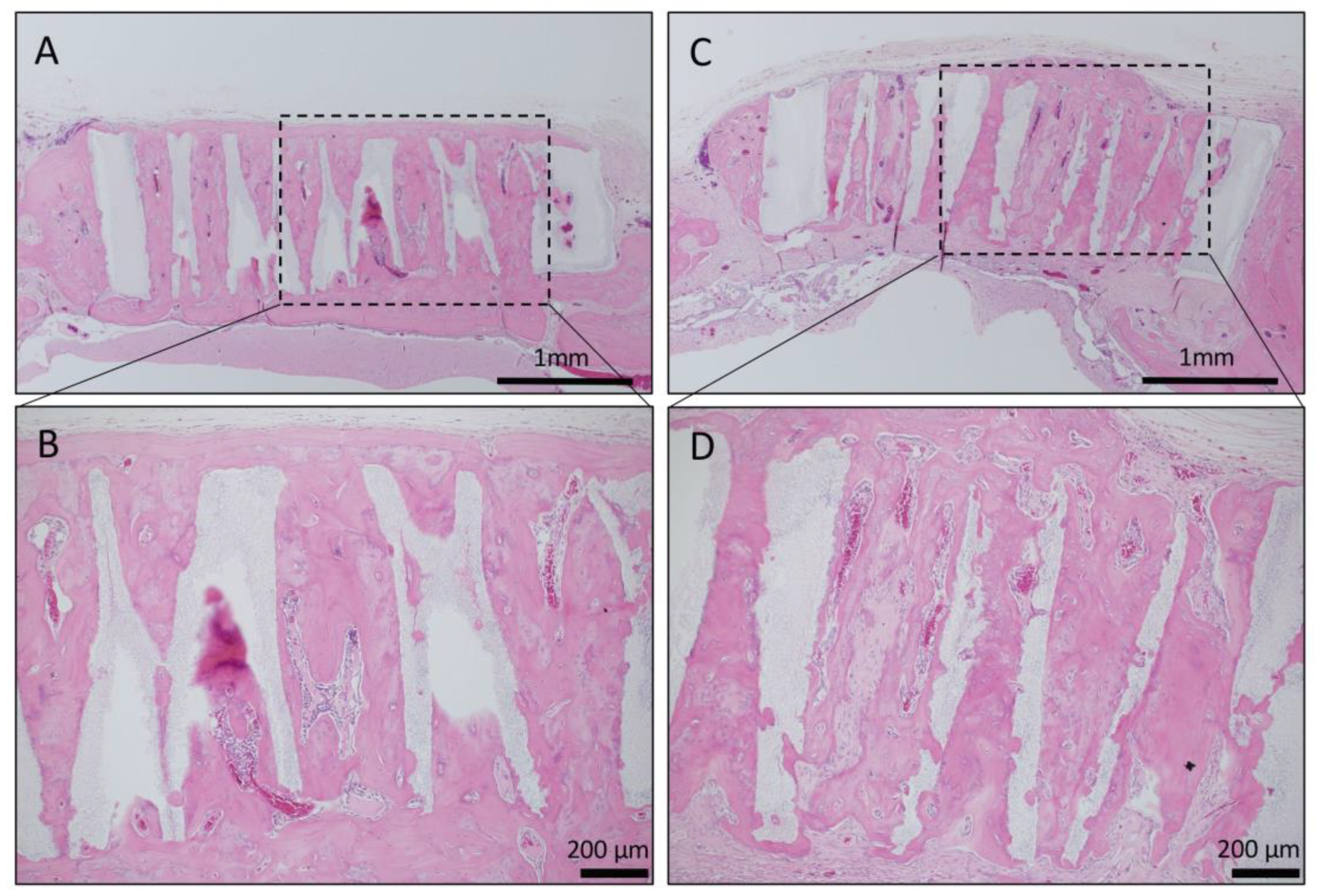
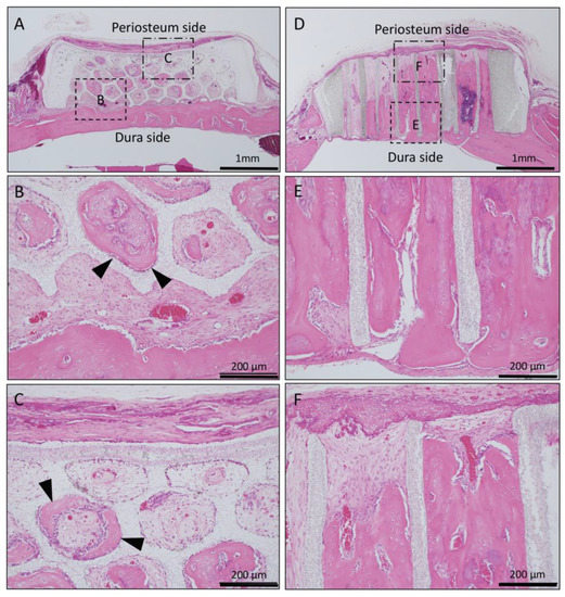
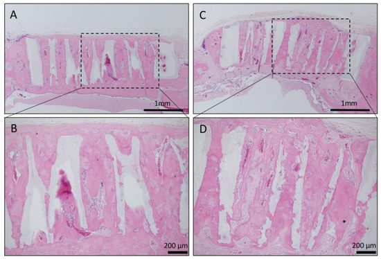
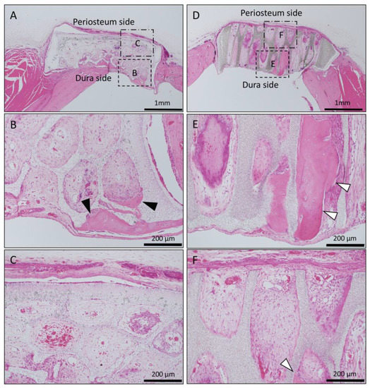
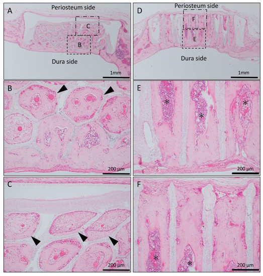
3.1. Bone Tissue Formation in Honeycomb β-TCP Holes
3.2. Quantitative Examination of Bone Formation
4. Discussion
5. Conclusions
Author Contributions
Funding
Conflicts of Interest
References
- Lee, K.S.; Park, J.W. Free vascularized osteocutaneous fibular graft to the tibia. Microsurgery 1999, 19, 141–147. [Google Scholar] [CrossRef]
- Dimitriou, R.; Mataliotakis, G.I.; Angoules, A.G.; Nikolaos, K.K.; Peter, V.G. Complications following autologous bone graft harvesting from the iliac crest and using the RIA: A systematic review. Injury 2011, 42 (Suppl. 2), S3–S15. [Google Scholar] [CrossRef] [PubMed]
- Klijn, R.J.; Meijer, G.J.; Bronkhorst, E.M.; Jansen, J.A. Sinus floor augmentation surgery using autologous bone grafts from various donor sites: A meta-analysis of the total bone volume. Tissue Eng. Part B Rev. 2010, 16, 295–303. [Google Scholar] [CrossRef] [PubMed]
- Ducheyne, P.; Radin, S.; King, L. The effect of calcium phosphate ceramic composition and structure on in vitro behavior. I. Dissolution. J. Biomed. Mater. Res. 1993, 27, 25–34. [Google Scholar] [CrossRef]
- Yoshikawa, H.; Myoui, A. Bone tissue engineering with porous hydroxyapatite ceramics. J. Jpn. Soc. Artif. Organs 2005, 8, 131–136. [Google Scholar] [CrossRef]
- Kaltreider, S.; Newman, S. Prevention and Management of Complications Associated with the Hydroxyapatite Implant. Ophthalmic Plast. Reconstr. Surg. 1996, 12, 18–31. [Google Scholar] [CrossRef]
- Mate-Sanchez de Val, J.E.; Mazon, P.; Guirado, J.L.; Ruiz, R.A.D.; Fernandez, M.P.R.; Negri, B.; Abboud, M.; Aza, P.N. Comparison of three hydroxyapatite/beta-tricalcium phosphate/collagen ceramic scaffolds: An in vivo study. J. Biomed. Mater. Res. A 2014, 102, 1037–1046. [Google Scholar] [CrossRef]
- Uryu, T.; Matsumoto, N.; Namaki, S.; Mashimo, T.; Tamagawa, T.; Yasumitsu, T.; Okudera, M.; Komiyama, K.; Chung, U.; Honda, K.; et al. Histochemical and Radiological Study of Bone Regeneration by the Combinatorial Use of Tetrapod-Shaped Artificial Bone and Collagen. J. Hard Tissue Biol. 2015, 24, 199–209. [Google Scholar] [CrossRef]
- Tansza, S.; Hayashi, K.; Ishikawa, K. Bone regeneration using β-tricalcium phosphate (β-TCP) block with interconnected pores made by setting reaction of β-TCP granules. J. Biomed. Mater. Res. A 2020, 1083, 625–632. [Google Scholar]
- Marc, B.; Bastien, S.; Nicola, D. β-tricalcium phosphate for bone substitution: Synthesis and properties. Acta Biomater. 2020, 113, 23–41. [Google Scholar]
- Langer, R.; Vacanti, J.P. Tissue engineering. Science 1993, 260, 920–926. [Google Scholar] [CrossRef]
- Kuboki, Y.; Jin, Q.; Takita, H. Geometry of carriers controlling phenotypic expression in BMP-induced osteogenesis and chondrogenesis. J. Bone Joint Surg. Am. 2001, 83, 105–115. [Google Scholar] [CrossRef]
- Jin, Q.M.; Takita, H.; Kohgo, T.; Atsumi, K.; Ito, H.; Kuboki, Y. Effects of geometry of hydroxyapatite as a cell substratum in BMP-induced ectopic bone formation. J. Biomed. Mater. Res. 2000, 51, 491–499. [Google Scholar] [CrossRef]
- Kuboki, Y.; Iku, S.; Yoshimoto, R.; Kaku, T.; Takita, H.; Dong, L.I.; Kokai, Y.; Yunoki, S.; Rachel, L.S.; Ozeki, K.; et al. Calcified honeycomb-shaped collagen maintains its geometry in vivo and effectively induces vasculature and osteogenesis. Nano Biomed. 2009, 1, 85–94. [Google Scholar]
- Shirota, T.; Shintani, S.; Yoshizawa, Y.; Kuboki, Y.; Sammons, R.; Yagami, K. Optimal diameter of honeycomb tunnel structure induces bone regeneration and metabolism by promoting angiogenesis for an implant circumference bone defect. J. Hard Tissue Biol. 2013, 22, 409–418. [Google Scholar] [CrossRef][Green Version]
- Kiba, H.; Kuboyama, N.; Uchida, R.; Ishizaki, T.; Nishiyama, N. Bone ingrowth into the parallel cylindrical tubes with different sizes of porous hydroxyapatite implanted into the rabbits. J. Hard Tissue Bio. 2012, 21, 307–314. [Google Scholar] [CrossRef][Green Version]
- Leva, B.; Daiva, B.; Edvardas, B.; Eiva, B. Scaffold and cells for tissue regeneration: Different scaffold pore size-different cell effects. Cytotechnology 2016, 68, 355–369. [Google Scholar]
- Takabatake, K.; Yamachika, E.; Tsujigiwa, H.; Takeda, Y.; Kimura, M.; Takagi, S.; Nagatsuka, H.; Iida, S. Effect of geometry and microstructure of honeycomb TCP scaffolds on bone regeneration. J. Biomed. Mater. Res. Part A 2014, 102, 2952–2960. [Google Scholar] [CrossRef]
- Matsuda, H.; Takabatake, K.; Tsujigiwa, H.; Watanabe, S.; Ito, S.; Kawai, H.; Hamada, M.; Yoshida, S.; Nakano, K.; Nagatsuka, H. Effects of the Geometrical Structure of a Honeycomb TCP on Relationship between Bone/Cartilage Formation and Angiogenesis. J. Med. Sci. 2018, 15, 1582–1590. [Google Scholar] [CrossRef]
- Watanabe, S.; Takabatake, K.; Tsujigiwa, H.; Watanabe, T.; Tokuyama, E.; Ito, S.; Nagatsuka, H.; Kimata, Y. Efficacy of Honeycomb TCP-induced Microenvironment on Bone Tissue Regeneration in Craniofacial Area. Int. J. Med. Sci. 2016, 13, 466–476. [Google Scholar] [CrossRef]
- Yagami, K.; Sadaoka, S.J.; Nakamura, H.; Komatsu, S.; Onodera, J.; Suzuki, M.; Kuboki, Y. Atelocollagen Enhanced Osteogenesis in a Geometric Structured Beta-TCP Scaffold by VEGF Induction. Tissue Sci. Eng. 2016, 7, 162. [Google Scholar] [CrossRef]
- Hatakeyama, W.; Taira, M.; Ikeda, K.; Sato, H.; Kihira, H.; Takemoto, S.; Kondo, H. Bone regeneration of rat critical-size calvarial defects using a collagen/porous-apatite composite: Micro-CT analyses and histological observation. J. Oral Tissue Eng. 2017, 15, 49–60. [Google Scholar]
- Jingjing, W.; Kai, Z.; Xuetao, H.; Jiaoyan, L.; Haoming, L.; Aldo, R.B.; Ying, W.; Xiaodong, G.; Zengwu, S. Thermally triggered injectable chitosan/silk fibroin/bioactive glass nanoparticle hydrogels for in-situ bone formation in rat calvarial bone defects. Acta Biomater. 2019, 91, 60–71. [Google Scholar]
- Kai, Z.; Xinyi, D.; Miao, L.; Norbert, H.; Nicola, T.; Aldo, R.B. Synthesis of copper-containing bioactive glass nanoparticles using a modified stober method for biomedical applications. Colloids Surf. B Biointerface 2017, 150, 159–167. [Google Scholar]
- Xiaoguo, Z.; Jing, L.; Weiping, J.; Xiaopeng, G.; Wei, X.; Ting, Y.; Jieqiong, L.; Bin, L.; Ling, W. Preparation and characterization of a novel pH-response dietary fiber: Chitosan-coated konjac glucomannan. Carbohydr. Polym. 2015, 117, 1–10. [Google Scholar]
- Wu, J.; Liu, J.; Shi, Y.; Wan, Y. Rheological mechanical and degradable properties of injectable chitosan/silk fibroin/hydroxyapatite/glycerophosphate hydrogels. J. Mech. Behav. Biomed. Mater. 2016, 64, 161–172. [Google Scholar] [CrossRef]
- Moreira, C.D.; Carvalho, S.M.; Mansur, H.S.; Pereira, M.M. Thermogelling chitosan-collagen-bioactive glass nanoparticle hybrids as potential injectable systems for tissue engineering. Mater. Sci. Eng. C Mater. Biol. Appl. 2016, 58, 1207–1216. [Google Scholar] [CrossRef]
- Huang, Z.; Yu, B.; Feng, Q.; Li, S.; Chen, Y.; Luo, L. In situ-forming chitosan/nano-hydroxyapatite/collagen gel for the delivery of bone marrow mesenchymal stem cells. Carbohydr. Polym. 2011, 85, 261–267. [Google Scholar] [CrossRef]
- Céline, C. Skeletal Cell Fate Decisions Within Periosteum and Bone Marrow During Bone Regeneration. J. Bone Min. Res. 2009, 24, 274–282. [Google Scholar]
- Dietmar, W.; Markus, B.H.; Carlos, R.Q.; Angela, O.; Raul, G.C. Contribution of the periosteum to bone formation in guided bone regeneration. A study in monkeys. Clin. Oral Implants Res. 2000, 11, 546–554. [Google Scholar]
- Oriane, D.L.; Anaïs, J.; Rana, A.K.; Giulia, F.; Caroline, C.; Nicolas, C.; Corinne, C.; Simon, J.; Céline, C. Periosteum contains skeletal stem cells with high bone regenerative potential controlled by Periostin. Nat. Commun. 2018, 9, 773. [Google Scholar]
- Concetta, F.; Monica, M.B. Periosteum derived stem cells for regenerative medicine proposals: Boosting current knowledge. World J. Stem Cells 2014, 6, 266–277. [Google Scholar]
- Chuanjian, L.; Xingchen, X.; Xi, H.; Yongsheng, P.; Duo, S.; Jiang, L. Evaluating the Bone Regeneration of nHAp/PPC Membrane in Rabbit Calvarial Defect. J. Hard Tissue Bio. 2019, 28, 371–376. [Google Scholar]
- Honda, Y.; Huang, A.; Zhao, J.; Han, X.; Kurushima, Y.; Gong, Y.; Kanzaki, H.; Katsumata, Y.; Yamada, Y.; Hashimoto, Y.; et al. Sustained Release of Catechin from Gelatin and Its Effect on Bone Formation in Critical Sized Defects in Rat Calvaria. J. Hard Tissue Biol. 2020, 29, 77–84. [Google Scholar] [CrossRef]
- Hani, E.N.; Nada, N.E.D.; Sherine, A.N. The Effect of Strontium Ranelate Gel on Bone Formation in Calvarial Critical Size Defects. Acta Anat. 1990, 138, 185–192. [Google Scholar]
- Takagi, K.; Urist, R. The reaction of the dura to bone morphogenetic protein (BMP) in repair of skull defects. Ann. Surg. 1982, 196, 100–109. [Google Scholar] [CrossRef]
- Zhang, R.; Li, X.; Yang, M.; Gao, X.; Zhu, T.; Lu, L. Characterization of a Porous BMP-6-Loaded Composite Scaffold for Bone Regeneration in Rat Calvarial Bone Defects. J. Hard Tissue Biol. 2019, 28, 217–224. [Google Scholar] [CrossRef]
- Jason, A.S.; Joshua, A.G.; Stephen, M.W.; Pierre, J.B.; Francesca, E.C.; Babak, J.M.; Michael, T.L. Co-culture of osteoblasts with immature dural cells causes an increased rate and degree of osteoblast differentiation. Plast. Reconstr. Surg. 2002, 109, 631–642. [Google Scholar]
- Spector, J.; Greenwald, J.; Warre, S.; Pierre, J.; Detch, R.; Fagenholz, P.; Crisera, F.; Longaker, M. Dura Mater Biology: Autocrine and Paracrine Effects of Fibroblast Growth Factor 2. Plast. Reconstr. Surg. 2002, 109, 645–654. [Google Scholar] [CrossRef]








Publisher’s Note: MDPI stays neutral with regard to jurisdictional claims in published maps and institutional affiliations. |
© 2020 by the authors. Licensee MDPI, Basel, Switzerland. This article is an open access article distributed under the terms and conditions of the Creative Commons Attribution (CC BY) license (http://creativecommons.org/licenses/by/4.0/).
Share and Cite
Watanabe, T.; Takabatake, K.; Tsujigiwa, H.; Watanabe, S.; Nakagiri, R.; Nakano, K.; Nagatsuka, H.; Kimata, Y. Effect of Honeycomb β-TCP Geometrical Structure on Bone Tissue Regeneration in Skull Defect. Materials 2020, 13, 4761. https://doi.org/10.3390/ma13214761
Watanabe T, Takabatake K, Tsujigiwa H, Watanabe S, Nakagiri R, Nakano K, Nagatsuka H, Kimata Y. Effect of Honeycomb β-TCP Geometrical Structure on Bone Tissue Regeneration in Skull Defect. Materials. 2020; 13(21):4761. https://doi.org/10.3390/ma13214761
Chicago/Turabian StyleWatanabe, Toshiyuki, Kiyofumi Takabatake, Hidetsugu Tsujigiwa, Satoko Watanabe, Ryoko Nakagiri, Keisuke Nakano, Hitoshi Nagatsuka, and Yoshihiro Kimata. 2020. "Effect of Honeycomb β-TCP Geometrical Structure on Bone Tissue Regeneration in Skull Defect" Materials 13, no. 21: 4761. https://doi.org/10.3390/ma13214761
APA StyleWatanabe, T., Takabatake, K., Tsujigiwa, H., Watanabe, S., Nakagiri, R., Nakano, K., Nagatsuka, H., & Kimata, Y. (2020). Effect of Honeycomb β-TCP Geometrical Structure on Bone Tissue Regeneration in Skull Defect. Materials, 13(21), 4761. https://doi.org/10.3390/ma13214761

