Abstract
Furfural is a platform molecule obtained from hemicellulose. Among the products that can be produced from furfural, furfuryl alcohol is one of the most extensively studied. It is synthesized at an industrial scale in the presence of CuCr catalyst, but this process suffers from an environmental negative impact. Here, we demonstrate that a non-noble metal catalyst (Co/SiO2) was active (100% conversion of furfural) and selective (100% selectivity to furfuryl alcohol) in the hydrogenation of furfural to furfuryl alcohol at 150 °C under 20 bar of hydrogen. This catalyst was recyclable up to 3 cycles, and then the activity decreased. Thus, a comparison between batch and continuous flow reactors shows that changing the reactor type helps to increase the stability of the catalyst and the space-time yield. This study shows that using a continuous flow reactor can be a solution to the catalyst suffering from a lack of stability in the batch process.
1. Introduction
Motor fuel components and fine chemicals can be produced from non-edible plant-based feedstocks using catalytic processes. Among all available starting materials, furfural is one of the most promising compounds, as it is a platform molecule for the synthesis of a high number of chemicals for a wide range of applications [1,2,3,4]. Furfural production is based on acid hydrolysis of hemicellulose [5]. One interesting reaction from furfural is the hydrogenation reaction, which is the most significant process in the furfural conversion. The hydrogenation of furfural leads to the production of valuable chemicals, such as furfuryl alcohol (FOL), 2-methylfuran (2-MF), tetrahydrofurfuryl alcohol (THFA), and so on. Currently, around 50% of furfural production is employed for the synthesis of furfuryl alcohol (FA), which can be used for resins, flavors, as components of motor fuels (alkyl levulinates), and in the pharmaceutical industry (ranitidine), biochemistry, and so on. During the hydrogenation of furfural to FOL many side reactions can occur, such as the formation of THFA, 2-methylfurane, and so on (Scheme 1). Precise control of the selectivity of the reaction by using an appropriate and stable catalyst is in high demand.
Scheme 1.
Hydrogenation of furfural.
Copper-chromium (CuCr) alloy is the catalyst used on an industrial scale to produce FOL, with a high yield (98%) [5]. This catalyst has some drawbacks, such as, for instance, the presence of chromium, which can contaminate FOL and hamper its use in pharmaceutical industry. Moreover, chromium-containing catalysts can be deactivated due to shielding of copper by chromium [6]. Many studies have been devoted to the replacement of this catalyst by catalysts based on noble metals such as Pt and Pd [7,8,9,10,11], leading to an increase in the process cost. Furthermore, FOL selectivity is lower in the presence of these catalysts than in the presence of chromium–copper systems. To increase the selectivity to FOL, the addition of metals such as Cu to Pd based catalysts results in the improvement of the selectivity to FOL (98% of FOL was obtained) [12]. Non-noble metals catalysts were also studied in the selective hydrogenation of furfural to FOL, such as supported Ni, Cu, Fe, Mo, Zn, and so on [13,14,15,16,17,18]. Various methods were used for the synthesis of catalysts, additives, process conditions, and various solvents in the case of a liquid phase process [19,20,21]. Several drawbacks are present using this system: deactivation due to the sintering of active species; poisoning of the catalyst surface by coke formation; low selectivity of FOL; and high temperature and pressure. Up to now, several studies of selective hydrogenation of furfural to FOL have been performed in the liquid phase in batch reactors using different solvents, but very little attention has been paid to the process in a flow system [22,23,24,25,26]. To this aim, hydrogenation of furfural to FOL was studied in the presence of Co/SiO2 catalyst in batch and in continuous flow reactors. We demonstrate here that, despite the high selectivity and activity of the Co/SiO2 catalyst in the hydrogenation of furfural in the batch reactor, the reaction performed in a continuous flow reactor led to a higher space time yield (STY = quantity of FOL produced per unit volume unit per time unit). STY was three times higher when the hydrogenation of furfural was performed in a continuous flow reactor than in a batch process. The selectivity was slightly lower in a continuous flow reactor than in a bath reactor, but the activity was similar. The catalyst was more stable in the flow reactor than in the batch reactor.
2. Materials and Methods
Catalyst preparation: The Co3O4/SiO2 material, with a metal loading of 10 wt.% was prepared using incipient wetness impregnation method as described previously [27] using Co(NO3)2·and aerosil silica (380). The dry solid was calcined at 500 °C for 6 h to obtain the Co2O3/SiO2 sample. Co2O3/SiO2 (around 100 mg) was reduced under hydrogen flow (3 L·h−1) at 500 °C for 10 h.
Catalyst characterizations: Co/SiO2 catalyst was characterized by ICP-OES, XRD analysis, N2-physisorption, transmission electronic microscopy (TEM), thermal analysis. A Perkin Elmer Optima 2000 DV instrument was used for ICP analysis. The catalysts were first dissolved in a mixture of HF and HCl under microwaves for digestion before analysis. X-Ray Diffraction (XRD) analysis is performed using a Bruker Empyrean with a Co cathode. N2-physisorption experiments were obtained on an Autosorb 1-MP instrument, at 77 K. The catalysts were treated under vacuum à 350 °C for 3 h and the surface area, the pore size as well as the pore volume were determined as described previously [27]. Transmission Electron Microscopy (TEM) experiments were performed on a JEOL 2100 UHR (Ultra High Resolution) instrument operated at 200 kV, equipped with a LaB6 source and a Gatan ultra scan camera. Thermogravimetric analysis (TGA) was performed using a TA instrument (SDTQ 600) under air flow of 100 mL·min−1 from 25 °C to 800 °C.
General procedure for the hydrogenation of furfural in a batch reactor: in a typical experiment, 1 g of furfural was added to 9 g of ethanol and 50 mg of catalyst was added in a batch reactor (75 mL). The hydrogen pressure was fixed to the desired one. Then, the temperature was increased up to the desired reaction temperature, i.e., 150 °C. At the end of the reaction, the reactor was cooled down to room temperature, and liquid phase was analysed.
General procedure for the hydrogenation of furfural in flow reactor: The experiments were carried out in H-Cube ProTM Flow Reactor ThalesNanoTM, Hungary, connected to an HPLC pump to supply a continuous feed of 10 wt.% furfural in ethanol. A 70 mm catalyst cartridge (0.88 mL empty volume) catalyst was packed with 260 mg catalyst by applying vacuum suction at the bottom of the cartridge. The total flow through volume (including feed, reactor, and product sections) was 6 mL. First, pure ethanol was pumped through the system, and then the feed was changed to the furfural-ethanol mixture. The flow was continued until the desired temperature and hydrodynamic pressurization (20–60 bar) of the reactor module were reached. Depending on the flow rate used (0.2–0.5 mL·min−1), the reaction time was set (20–50 min) before collecting the first sample (time zero). The samples were collected after regular time intervals.
Analytical methods: yields to furfuryl alcohol and conversion of furfural were determined by external calibration at 25 °C using HPLC equipped with a nucleosil 100–5 C18 column (250 mm and diameter of 4.6 mm), a Shimadzu LC-20AT pump, and a Shimadzu RID-10 A detector using acetonitrile/water (10:90) as the mobile phase (0.6 mL·min−1).
Continuous flow results were detected on a gas chromatograph (HP, 14009 Arcade, New York, United States) coupled with a Flame Ionization Detector (FID) detector equipped with a Supelco 2-8047-U capillary column (15 m × 0.25 mm i.d. and 0.25 μm film thickness, Alltech Part No.31163-01). The flow rate of the carrier gas (H2) was 1 mL·min−1. The injector temperature was 250 °C and the oven started at 70 °C for 1 min. The temperature was then increased up to 250 °C at a rate of 20 °C·min−1, and then maintained at 250 °C for 10 min.
2.1. Catalyst Charcaterizations
The catalyst was prepared using the Incipient Wetness Impregnation (IWI) method. After calcination of the solid at 500 °C under air, oxide precursor, Co3O4/SiO2, is obtained, confirmed by XRD analysis (Figure 1), with the presence of peaks corresponding to the awaited position (PDF file 01-1152). Considering the width of the reflections, the cobalt crystal size is relatively low (<10 nm). This result confirms that when using this impregnation method, high dispersion of the cobalt oxide phase can be achieved. The loading of cobalt was evaluated by ICP-OES and was of 9 wt.%.
Figure 1.
X-Ray Diffraction analysis of non reduced Co/SiO2 catalyst (vertical bars, Co3O4 reference PDF file 01-1152).
The catalyst was reduced under H2 flow at 500 °C for 10 h prior to catalytic test leading to a large surface area and large pore diameter, suitable for liquid phase hydrogenation reaction. Moreover, the limited evolution of the textural properties indicates adequate stabilities of the support (Table 1).
Table 1.
Main characteristics of the Co3O4/SiO2 and reduced Co/SiO2 materials.
Figure 2 shows that the particle sizes and localization throughout the support porosity are not homogeneous and aggregates of cobalt nanoparticles are observed throughout the surface of the silica with a size of 20–100 nm. Energy dispersive x-ray spectroscopy (EDS) showed that dark mark are cobalt particle and hexagonal cobalt phase was observed using electron diffraction.
Figure 2.
Transmission electronic microscopy (TEM) images recorded for reduced Co/SiO2 catalyst (a), energy dispersive x-ray spectroscopy (EDS) (b) and electron diffraction analysis (c).
2.2. Hydrogenation of Furfural in Batch Reactor
The hydrogenation of furfural was performed in a batch reactor starting from 1 g of furfural in 9 g of ethanol in the presence of 50 mg of catalyst (Table 2).
Table 2.
Hydrogenation of furfural in a batch reactor 1. FOL; furfuryl alcohol, STY; space time yield.
We were pleased to see that furfural conversion reached 100% at 150 °C after 1h of reaction, with a FOL yield of 100% (Table 2, entry 1). By prolonging the reaction time, the yield of FOL decreased from 100% to 65% due to further hydrogenation of FOL to THFA (Table 2, entry 2). This result shows that Co/SiO2 was active and selective in the hydrogenation of furfural to FOL. An increase in hydrogen pressure led to a decrease in FOL yield due to the further hydrogenation of FOL to THFA that can be favored by a higher solubility of hydrogen than at lower pressure of hydrogen (Table 2, entry 3). In both conditions, FOL was further hydrogenated to THFA. A similar trend was observed with an increase of the temperature from 150 to 180 °C. With the increase of the temperature, THFA was also observed as a by-product and the selectivity of FOL decreased on the benefit of the formation of THFA. Based on these results, it is of prime importance to control the kinetic of the reaction in order to prevent further hydrogenation of FOL to THFA.
The recyclability of the catalyst was then studied under the optimum conditions (150 °C, 20 bar of hydrogen, 1 h of reaction). This is a key parameter, as in a batch liquid phase reactor catalysts used in the literature suffer from leaching and from deposition of furanic derivatives on the catalytic sites, preventing the reuse of the catalyst. The recycling of the catalyst was performed by recovering the solid, owing to its magnetic properties. It was then reused without any treatment. The amount of furfural used was always 1g for each cycle in 9 g of ethanol. Four cycles were performed under 20 bar of hydrogen for 1 h of reaction at 150 °C (Figure 3).
Figure 3.
Recycling of Co/SiO2. 1 g of furfural, 9 g of ethanol, T = 150 °C, 20 bar of hydrogen, 1 h of reaction.
FOL selectivity and conversion of furfural slightly decreased after the third cycle, which can be ascribed to the work up process. However, after the fourth cycle, the conversion of furfural dropped from 100% to 69% and the selectivity to FOL also decreased (88%). This could be due to the poisoning of cobalt in the solution, as this is already mentioned in the literature, or to the leaching of cobalt, [24,26] leading to the formation of by-products such as THFA and other unidentified by-products. To confirm these hypotheses, TGA analysis of the spent catalyst were performed and compared to the TGA analysis of the fresh catalyst (Figure 4).
Figure 4.
TGA analysis of the reduced Co/SiO2 catalyst before reaction and after reaction under batch and flow conditions.
It was shown that 18% of the weight was lost during the TGA analysis of the spent catalyst, whereas only 7% was lost during the fresh catalyst analysis. This increase in weight loss could be due to the deposition of carbon species on the catalyst due to the sorption of furanic compounds. To confirm this hypothesis, TEM analysis of the spent catalyst was performed (Figure 5).
Figure 5.
TEM images recorded for reduced Co/SiO2 catalyst after reaction under batch reaction and EDS analysis.
It was clearly shown using EDS that carbon was deposited on the catalyst surface, leading to less accessibility of furfural to active sites and a decrease of the selectivity to FOL. Several zones of the catalyst contained carbon deposited. In order to prevent this deactivation, hydrogenation of furfural was performed in the continuous flow reactor.
2.3. Continuous Flow Reactor
The hydrogenation of furfural was performed while keeping the concentration of furfural used for batch experiments (5 g of furfural in 45 g of ethanol) and the catalyst amount of 260 mg to fill the catalyst cartridge. In the first set of experiments, the flow rate of the alcoholic solution of furfural was studied. To this aim, the flow rate was increased from 0.2 to 0.5 mL·min−1 (Figure 6).
Figure 6.
Effect of the alcoholic furfural solution (5 g of furfural in 45 g of ethanol) flow rate. 150 °C, 20 bar of hydrogen in the presence of 260 mg of Co/SiO2. (a) conversion vs. Time On Stream (TOS). (b) FOL selectivity vs. TOS.
When the flow rate of the furfural solution increased from 0.2 to 0.3 mL·min−1, similar trend in the conversion of furfural was obtained, a drop of the conversion from 94% to 50% being observed in the function of TOS (Time On Stream) from 0 to 180 min. The selectivity was maintained at around 97% for 0.3 mL·min−1 whereas under 0.2 mL·min−1 of furfural solution, the selectivity to FOL decreased from 97 to 74%, which is due to the increase of residence time that favored the formation of THFA.
A further increase of the furfural solution flow rate up to 0.5 mL·min−1 led to a significant drop of furfural conversion from 90% to 40% after 110 min of reaction. The FOL selectivity was kept constant. Based on these results, it was decided to keep the flow rate at 0.3 mL·min−1 for the following experiments. The effect of the pressure of hydrogen was then studied from 20 to 60 bar (Figure 7). Increasing the pressure of hydrogen led to an increase of the conversion of furfural from 92 to 100%. It was interesting to see that under 60 bar of hydrogen the conversion was always 100% when TOS increased up to 180 min, whereas at lower pressure a slight decrease of the conversion was observed. Concerning the selectivity, it was kept constant independently of the hydrogen pressure, but the selectivity to FOL was lower under 60 bar of hydrogen due to the formation of THFA as a by-product. This can be explained by a higher solubility of hydrogen due to its pressure, as previously shown in batch reactions.
Figure 7.
Effect of the hydrogen pressure. 5 g of furfural in 45 g of ethanol at 0.3 mL.min−1 flow rate. 150 °C in the presence of 260 mg of Co/SiO2. (a) conversion vs. TOS. (b) FOL selectivity vs. TOS.
3. Discussion-Conclusion
Our results suggest that hydrogenation of furfural to FOL in a batch reactor in the presence of Co/SiO2 catalyst is efficient at 150 °C under 20 bar of hydrogen using a solution of furfural of 10 wt.% in ethanol. However, the stability of the catalyst is not optimal, as shown by the catalyst recycling. TGA and MET analysis showed that carbon was adsorbed on the catalyst surface due to the sorption of furanic molecules in batch reactions, as has already been mentioned in the literature [28]. The recyclability of the catalyst was thus hampered by this coke formation on the catalyst surface.
The hydrogenation of furfural to FOL in a continuous flow reactor can afford a high conversion of furfural with a selectivity higher than 90% under 60 bar of hydrogen at 150 °C. This means that the catalyst was not poisoned when a hydrogen pressure of 60 bar was used, but the selectivity was slightly lower due to further hydrogenation to THFA. From an industrial point of view, it can be interesting to see the space time yield of the reaction (Table 3). The space time yield (STY) was calculated and it was higher if the hydrogenation of furfural was performed in a continuous flow reactor than in a batch reactor. Thus, under similar conditions of pressure and temperature, the STY was 13.2 g·L−1·h−1 for the batch reaction versus 16.6 g·L−1·h−1 for the continuous flow reaction. By increasing the hydrogen pressure, the STY increased in the continuous flow reaction from 16.6 to 30.6 g·L−1·h−1. These results show that using a same catalyst, the hydrogenation of furfural to FOL was more performant in the continuous flow reactor that in the batch reactor.
Table 3.
Hydrogenation of furfural: effect of the reactor 1.
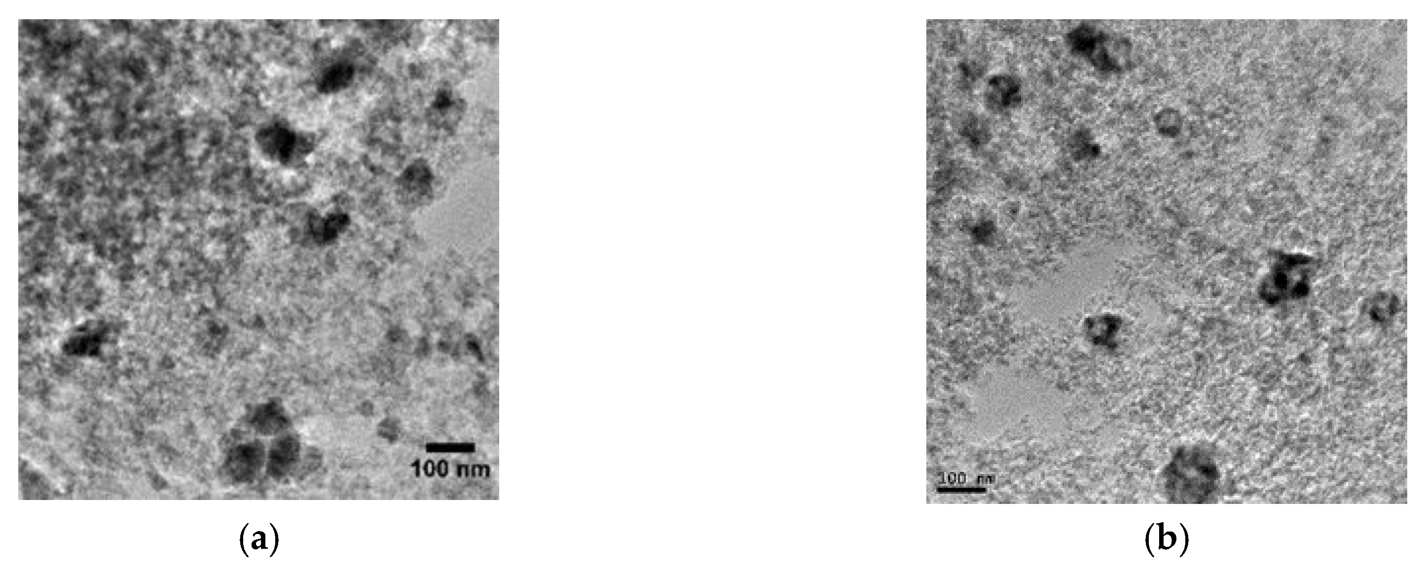
In order to go deep in the comparison of these two processes, it was interesting to compare the stability of the catalyst. In the batch reactor, the catalyst was recyclable up to 3 times and lost its activity, but the selectivity was kept constant. This was due to an adsorption of the furanic molecules on the catalyst surface. For the continuous flow reactor, TGA analysis was performed on the spent catalyst and only a slight difference in the weight loss was observed between the fresh and the spent catalyst (Figure 4). The specific surface area was similar before and after the reaction. ICP analysis of spent catalyst showed that there was no leaching of cobalt (9 wt.% before and after reaction). TEM showed that the particle size did not change after the reaction, and that no carbon was formed on the catalyst surface (Figure 8).
Figure 8.
TEM images recorded for Co/SiO2 catalyst before (a) and after reaction (b) under continuous flow.
The difference between the two processes is the sorption of furanic compounds on the catalyst. In batch processes the catalysts were in contact with the reactant and the products formed, which led to a higher contact time between the furanic molecules and the catalysts than in the continuous flow process. With these results, it is clearly demonstrated that the stability of the catalyst is higher under continuous flow processes than under batch processes.
In the continuous flow reactor, it was interesting to see that by increasing the hydrogen pressure it was possible to maintain the activity of the catalyst for at least 3 h and that the selectivity was kept constant above 90%. This could be due to an increase in the hydrogen solubility, which was also observed during the hydrogenation in the batch reactor, since FOL produced was then hydrogenated to THFA with an increase of the hydrogen pressure from 20 to 40 bar.
In conclusion, this study shows that using a continuous flow reactor can be a solution when a catalyst suffers from poisoning during batch processes due to sorption of molecules (reactants or products). The optimization of the reaction conditions which are not the same in both processes has to be performed in order to reach similar conversion of furfural and selectivity to FOL.
Author Contributions
Investigation, M.A., D.Z. and Y.W., F.J.; supervision, S.R., C.L., K.D.O.V.; writing—K.D.O.V. All authors have read and agreed to the published version of the manuscript.
Funding
This research was funded by the Poitou-Charentes region for the funding of the PhD grant of Maïté Audemar. ANR agency for the funding of FurCab Project ANR-15-CE07-0016. Région Nouvelle Aquitaine for the funding of this project through the FR CNRS INCREASE 3707, the chaire TECHNOGREEN and FEDER, the University of Poitiers and the CNRS for their financial support. China Scholarship Council (CSC).
Acknowledgments
The authors are grateful for all the financial support for this study.
Conflicts of Interest
The authors declare no conflict of interest. The funders had no role in the design of the study; in the collection, analyses, or interpretation of data; in the writing of the manuscript, or in the decision to publish the results.
References
- Espro, C.; Gumina, B.; Szumelda, T.; Paone, E.; Mauriello, F. Catalytic Transfer Hydrogenolysis as an effective tool for the reductive upgrading of cellulose, hemicellulose, lignin, and their derived molecules. Catalysts 2018, 8, 313. [Google Scholar] [CrossRef]
- Mariscal, R.; Maireles-Torres, P.; Ojeda, M.; Sádaba, I.; López Granados, M. Furfural: A renewable and versatile platform molecule for the synthesis of chemicals and fuels. Energy Environ. Sci. 2016, 9, 1144–1189. [Google Scholar] [CrossRef]
- Bonacci, S.; Nardi, M.; Costanzo, P.; De Nino, A.; Di Gioia, M.; Oliverio, M.; Procopio, A. Montmorillonite K10-Catalyzed Solvent-Free Conversion of Furfural into Cyclopentenones. Catalysts 2019, 9, 301. [Google Scholar] [CrossRef]
- Smirnov, A.; Selishcheva, S.; Yakovlev, V. Acetalization Catalysts for Synthesis of Valuable Oxygenated Fuel Additives from Glycerol. Catalysts 2018, 8, 595. [Google Scholar] [CrossRef]
- Morozov, E. Furfural Production, 2nd ed.; Forest Industry: Moscow, Russia, 1988; pp. 32–56. [Google Scholar]
- Liu, D.; Zemlyanov, D.; Wu, T.; Lobo-Lapidus, R.J.; Dumesic, J.A.; Miller, J.T.; Marshall, C.L. Deactivation mechanistic studies of copper chromite catalyst for selective hydrogenation of 2-furfuraldehyde. J. Catal. 2013, 299, 336–345. [Google Scholar] [CrossRef]
- Musci, J.J.; Merlo, A.B.; Casella, M.L. Aqueous phase hydrogenation of furfural using carbon-supported Ru and RuSn catalysts. Catal. Today 2017, 296, 43–50. [Google Scholar] [CrossRef]
- Vorotnikov, V.; Mpourmpakis, G.; Vlachos, D.G. DFT study of furfural conversion to furan, furfuryl alcohol, and 2-methylfuran on Pd(111). ACS Catal. 2012, 2, 2496–2504. [Google Scholar] [CrossRef]
- Vaidya, P.D.; Mahajani, V.V. Kinetics of Liquid-Phase Hydrogenation of Furfuraldehyde to Furfuryl Alcohol over a Pt / C Catalyst. Ind. Eng. Chem. Resour. 2003, 42, 3881–3885. [Google Scholar] [CrossRef]
- Zhao, Y. Facile synthesis of Pd nanoparticles on SiO2 for hydrogenation of biomass-derived furfural. Environ. Chem. Lett. 2014, 12, 185–190. [Google Scholar] [CrossRef]
- Mironenko, R.M.; Belskaya, O.B.; Gulyaeva, T.I.; Nizovskii, A.I.; Kalinkin, A.V.; Bukhtiyarov, V.I.; Lavrenov, A.V.; Likholobov, V.A. Effect of the nature of carbon support on the formation of active sites in Pd/C and Ru/C catalysts for hydrogenation of furfural. Catal. Today 2015, 249, 145–152. [Google Scholar] [CrossRef]
- Fulajtárova, K.; Soták, T.; Hronec, M.; Vávra, I.; Dobroˇcka, E.; Omastová, M. Aqueous phase hydrogenation of furfural to furfuryl alcohol over Pd–Cu catalysts. Appl. Catal. A 2015, 502, 78–85. [Google Scholar] [CrossRef]
- Wu, J.; Shen, Y.; Liu, C.; Wang, H.; Geng, C.; Zhang, Z. Vapor phase hydrogenation of furfural to furfuryl alcohol over environmentally friendly Cu-Ca/SiO2 catalyst. Catal. Commun. 2005, 6, 633–637. [Google Scholar] [CrossRef]
- Villaverde, M.M.; Bertero, N.M.; Garetto, T.F.; Marchi, A.J. Selective liquid-phase hydrogenation of furfural to furfuryl alcohol over Cu-based catalysts. Catal. Today 2013, 213, 87–92. [Google Scholar] [CrossRef]
- Khromova, S.A.; Bykova, M.V.; Bulavchenko, O.A.; Ermakov, D.Y.; Saraev, A.A.; Kaichev, V.V.; Venderbosch, R.H.; Yakovlev, V.A. Furfural Hydrogenation to Furfuryl Alcohol over Bimetallic Ni–Cu Sol–Gel Catalyst: A Model Reaction for Conversion of Oxygenates in Pyrolysis Liquids. Top. Catal. 2016, 59, 1413–1423. [Google Scholar] [CrossRef]
- Sitthisa, S.; Sooknoi, T.; Ma, Y.; Balbuena, P.B.; Resasco, D.E. Kinetics and mechanism of hydrogenation of furfural on Cu/SiO2 catalysts. J. Catal. 2011, 277, 1–13. [Google Scholar] [CrossRef]
- Smirnov, A.A.; Shilov, I.N.; Alekseeva, M.V.; Selishcheva, S.A.; Yakovlev, V.A. Study of the Composition Effect of Molybdenum-Modified Nickel–Copper Catalysts on Their Activity and Selectivity in the Hydrogenation of Furfural to Different Valuable Chemicals. Catal. Ind. 2018, 10, 228–236. [Google Scholar] [CrossRef]
- Audemar, M.; Ciotonea, C.; De Oliveira Vigier, K.; Royer, S.; Ungureanu, A.; Dragoi, B.; Dumitriu, E.; Jérôme, F. Selective Hydrogenation of Furfural to Furfuryl Alcohol in the Presence of a Recyclable Cobalt/SBA-15 Catalyst. ChemSusChem 2015, 8, 1885–1891. [Google Scholar] [CrossRef]
- Villaverde, M.M.; Garetto, T.F.; Marchi, A.J. Liquid-phase transfer hydrogenation of furfural to furfuryl alcohol on Cu–Mg–Al catalysts. Catal. Commun. 2015, 58, 6–10. [Google Scholar] [CrossRef]
- Srivastava, S.; Mohanty, P.; Parikh, J.K.; Dalai, A.K.; Amritphale, S.S.; Khare, A.K. Cr-free Co–Cu/SBA-15 catalysts for hydrogenation of biomass-derived α-, β-unsaturated aldehyde to alcohol. Chin. J. Catal. 2015, 36, 933–942. [Google Scholar] [CrossRef]
- Wei, S.; Cui, H.; Wang, J.; Zhuo, S.; Yi, W.; Wang, L.; Li, Z. Preparation and activity evaluation of NiMoB/-Al2O3 catalyst by liquid-phase furfural hydrogenation. Particuology 2011, 9, 69–74. [Google Scholar] [CrossRef]
- Garcia-Olmo, J.; Yepez, A.; Balu, A.M.; Prinsen, P.; Garcia, A.; Mazière, A.; Len, C.; Luque, R. Activity of continuous flow synthesized Pd-based nanocatalysts in the flow hydroconversion of furfural. Tetrahedron 2017, 73, 5599–5604. [Google Scholar] [CrossRef]
- Wang, Y.; Prinsen, P.; Triantafyllidis, K.S.; Karakoulia, S.A.; Yepez, A.; Len, C.; Luque, R. Batch versus continuous flow performance of supported mono- and bimetallic nickel catalysts for catalytic transfer hydrogenation of furfural in isopropanol. ChemCatChem. 2018, 10, 3459–3468. [Google Scholar] [CrossRef]
- Wang, Y.; Prinsen, P.; Triantafyllidis, K.S.; Karakoulia, S.A.; Trikalitis, P.N.; Yepez, A.; Len, C.; Luque, R. Comparative study of supported monometallic catalysts in the liquid-phase hydrogenation of furfural: Batch and continuous flow. ACS Sustainable Chem. Eng. 2018, 6, 9831–9844. [Google Scholar] [CrossRef]
- Selishcheva, S.A.; Smirnov, A.A.; Fedorov, A.V.; Ermakov, D.Y.; Gulyaeva, Y.K.; Yakovlev, V.A. Production of Furfuryl Alcohol in the Presence of Copper-Containing Catalysts in the Selective Hydrogenation of Furfural. Catal. Ind. 2019, 11, 216–223. [Google Scholar] [CrossRef]
- Wang, Y.; Deyang, P.; Rodriguez-Padrón, D.; Len, C. Recent Advances in Catalytic Hydrogenation of Furfural. Catalysts 2019, 9, 796. [Google Scholar] [CrossRef]
- Audemar, M.; Ramdani, W.; Junhui, T.; Ifrim, A.R.; Ungureanu, A.; Jérôme, F.; Royer, S.; De Oliveira Vigier, K. Selective hydrogenation of xylose to xylitol over Co/SiO2 catalysts. ChemCatChem 2020. [Google Scholar] [CrossRef]
- Taylor, M.J.; Jiang, L.; Reichert, J.; Papageorgiou, A.C.; Beaumont, S.K.; Wilson, K.; Lee, A.F.; Barth, J.V.; Kyriakou, G. Catalytic Hydrogenation and Hydrodeoxygenation of Furfural over Pt(111): A Model System for the Rational Design and Operation of Practical Biomass Conversion Catalysts. J. Phys. Chem. C Nanomater. Interfaces 2017, 121, 8490–8497. [Google Scholar] [CrossRef]
© 2020 by the authors. Licensee MDPI, Basel, Switzerland. This article is an open access article distributed under the terms and conditions of the Creative Commons Attribution (CC BY) license (http://creativecommons.org/licenses/by/4.0/).








