Next Article in Journal
Remodeling of Displaced Condylar Fractures with Functional Treatment: High-Quality Radiographic Documentation in Three-Patient Series
Previous Article in Journal
Maxillofacial Fractures Surgically Managed at Aalesund Hospital Between 2002 and 2009
 
 
Craniomaxillofacial Trauma & Reconstruction is published by MDPI from Volume 18 Issue 1 (2025). Previous articles were published by another publisher in Open Access under a CC-BY (or CC-BY-NC-ND) licence, and they are hosted by MDPI on mdpi.com as a courtesy and upon agreement with Sage.
Font Type:
Arial Georgia Verdana
Font Size:
Aa Aa Aa
Line Spacing:
Column Width:
Background:
Article

Treatment of Orbital Medial Wall Fractures with Titanium Mesh Plates Using Retrocaruncular Approach: Outcomes with Different Techniques

by
Giovanni Gerbino
,
Emanuele Zavattero
*,
Stefano Viterbo
and
Guglielmo Ramieri
Maxillofacial Unit, Department of Surgical Science, University of Turin, Torino, Italy
*
Author to whom correspondence should be addressed.
Craniomaxillofac. Trauma Reconstr. 2015, 8(4), 326-333; https://doi.org/10.1055/s-0035-1549014
Submission received: 30 October 2014 / Revised: 27 December 2014 / Accepted: 27 December 2014 / Published: 28 April 2015

Abstract

:
Surgical management of medial wall orbital fractures should be considered to avoid diplopia and posttraumatic enophthalmos. Treatment of these fractures remains a challenge for the maxillofacial surgeon because of complex anatomy and limited vision. This article aims to retrospectively evaluate the outcomes in the repair of medial orbital wall fractures using a retrocaruncular approach and titanium meshes, comparing the placement of the titanium mesh with three different techniques: (1) conventional free hand under direct vision, (2) with the assistance of an endoscope, and (c) with the assistance of a navigation system. Eighteen patients who underwent surgery for orbital medial wall fracture were enrolled in the study. On the basis of the implant placement technique, three groups were identified: group 1 (CONV), conventional free hand under direct vision; group 2 (ENDO), endoscopically assisted; group 3 (NAVI), a navigational system assisted (BrainLab, Feldkirchen, Germany). The postoperative quality of orbital reconstruction was assessed as satisfactory in 12 cases, good in 4 cases, and unsatisfactory in 2 cases. Particularly in group 1 (CONV) in four patients out of eight, the posterior ledge of the fracture was not reached by the implant and in one patient the mesh hinged toward the ethmoid. In group 3 (NAVI), in one patient out of five, the posterior ledge of the fracture was not reached. In conclusion, titanium orbital mesh plates and retrocaruncular approach are a reliable method to obtain an accurate orbital medial wall reconstruction. The use of endoscopic assistance through the surgical incisions improves accuracy of treatment allowing better visualization of the surgical field. Navigation aided surgery is a feasible technique especially for complex orbital reconstruction to improve predictability and outcomes in orbital repair.

In treatment of orbital walls fractures, restoration of preinjury volume and shape of the internal orbit with concomitant resuspension of prolapsed orbital content and liberation of entrapped orbital muscular tissues is the key of success to avoid posttraumatic enophthalmos, eye motility restriction, and consequent diplopia [1,2].
Though extensive literature on the management of orbital floor fractures is available, literature on medial wall fractures is scarce, reflecting the difficulties in the treatment of these particular injuries due to the limitations of conventional approaches, difficult manipulation of orbital contents, and limitation of autogenous and alloplastic materials in restoring the complex 3D anatomy of the medial orbital wall, in particular when associated with concomitant orbital floor fractures.
Recently few studies focused on medial wall fractures (isolated or combined with orbital floor fractures) presenting a treatment strategy based on transconjunctival retro/transcaruncular approach with the use of prebent titanium or porous polyethylene/titanium meshes and implants with excellent outcomes in terms of function and form [3,4,5,6].
Although these reports seem to overcome the lack of consensus on the ideal approach and materials that can be used for the repair of fractures of the medial orbital wall, treatment of these fractures is still challenging.
This study aims to retrospectively evaluate the outcomes in the repair of medial orbital wall fractures (isolated or combined with orbital floor fractures) using a retrocaruncular approach and titanium meshes, comparing the placement of the titanium mesh with three different techniques: (1) conventional free hand under direct vision, (2) an endoscope assisted, and (c) a navigation system assisted.

Material and Methods

The present study includes 18 patients (age range, 20–74 years) surgically treated for medial wall orbital fracture (isolated or combined with orbital floor fractures) from 2010 to 2013 at the Division of Maxillofacial Surgery of the University of Turin, Turin, Italy.
Indication for surgical treatment was medial wall fracture (isolated or combined with orbital floor fracture) with defect size larger than 2 cm2 with evidence of soft tissue herniation into the defect, muscular entrapment with associated diplopia, and enophthalmos clinically evident (>2 mm).
An institutional review board approved the study. Inclusion criteria included (1) age older than 18 years at the time of surgery, (2) no other facial fractures associated, (3) complete pre- and postoperative clinical and medical records, (4) pre- and postoperative spiral multislice computed tomographic (CT) scan (0.625–1.0 mm slice thickness, (5) no history of previous orbital surgery, (6) surgical technique as described below, and (7) follow-up of at least 6 months. Patients who did not meet these criteria were excluded from the study.
Study variables include the following: patient demographics, etiology of the injury, fracture characteristics, visual acuity, and concurrent ocular injuries (Table 1). Outcomes measures include the following: (1) pre- and postoperative diplopia severity score (rated on 0–3 scale, Table 2); (2) pre- and postoperative globe position: clinical (normal or abnormal = residual clinically significant enophthalmos >2 m); (c) intra- and postoperative complications; (d) secondary operation rate; and (e) assessment of quality of orbital reconstruction on postoperative CT scan in terms of shape and volume (relationship between bony perimeter of the fracture and mesh limit, orientation, and shape of the implant listed as: satisfactory, anatomical, or almost anatomical reconstruction; good, minor defects not requiring reoperation; bad, requiring revision surgery).
The patients were classified in three groups based on the technique of implant placement: group 1 (CONV), conventional free hand under direct vision; group 2 (ENDO), with the assistance of an endoscope inserted through the transconj incision; group 3 (NAVI), operated with the assistance of a navigation system.

Surgical Technique

All patients were operated under general anesthesia within 10 days of the trauma. Preoperative antibiotics for sinus coverage (ampicillin with clavulanic acid) were given perioperatively for 6 days. Retrocaruncular incision and path of dissection as described by Grant and by AOCMF were used to gain access to the medial wall [7,8]. The bony perimeter of the fracture was isolated, with particular attention to the posterior bony ledge. In case of concomitant fracture of the floor, the medial retrocaruncular incision was extended to connect with a retroseptal transconjunctival incision in order to approach the fractured orbital floor. The medial and inferior dissections were joined to create a single dissection plane. The inferior oblique muscle was either disinserted from the bone just posteriorly the inferomedial rim with a periosteal elevator or divided with Stevens scissor to create “a panoramic corridor” to correctly access the entire medial wall and orbital floor [4].
In isolated medial wall fractures, we used radial titanium orbital mesh (Synthes, Oberdorf, Switzerland) tailored and cut to fill the entire defect. In fractures involving both medial wall and orbital floor preformed, specifically designed matrix titanium orbital meshes were used (Synthes).
In combined fractures the medial wall portion of the preformed mesh was inserted first and the remainder of the plate was then rotated to reach the correct anatomic position.
In group 1 (CONV), the mesh was placed free hand under direct vision. In group 2 (ENDO), an endoscope 4 mm 0 degree (Karl Storz GmbH & Co KG, Tuttlingen, Germany), with video camera and monitor, was inserted into the retro-caruncular incision to allow better visualization of the surgical fields, thanks to magnification and high-intensity cool light. The endoscope was used to check the completed dissection of the bony margin and to verify clear identification in particular of the posteromedial ledge of the fracture in direction of the orbital apex. The endoscope was then retracted and used again to check the correct seating of the titanium mesh, in particular to verify that the mesh properly and passively reaches the superior and posteroinferior margin of the fractures. In group 3 (NAVI), a navigation system (BrainLab) was used for computer-assisted preoperative planning with virtual reconstruction and intraoperative control of virtual orbital contours, as described by many authors [9,10,11].
Mirroring of the unaffected orbit into the fractured side, a virtual template to simulate the ideal reconstruction was created. This template was navigated during surgery, and navigation was used both to verify the posterior ledges of the fracture and the position and shape of the implant relative to the correct anatomic position of the native bone.
The mesh was fixed with two monocortical screws to the inferior orbital rim. Forced duction testing was done to confirm normal ocular mobility. The conjunctiva was closed with few interrupted 5.0 Vicryl rapid sutures.

Results

The present study includes 18 patients (13 men and 5 women) with their age range 20 to 74 years. Two patients were excluded from the study because of incomplete postop records and imaging. Etiology of the fracture was interpersonal violence in 11 patients, fall in 1 patient, sport accident in 2 patients, and motor vehicle (road) accident in 2 patients.
Isolated orbital fractures were present in 8 patients, combined medial wall/floor fractures in 10 patients. Radial orbital mesh was used in isolated medial wall fractures, and preformed orbital mesh plates were used to treat combined medial wall/floor fractures.
No intra- or postoperative complication was registered. The minimum follow-up was 6 months.
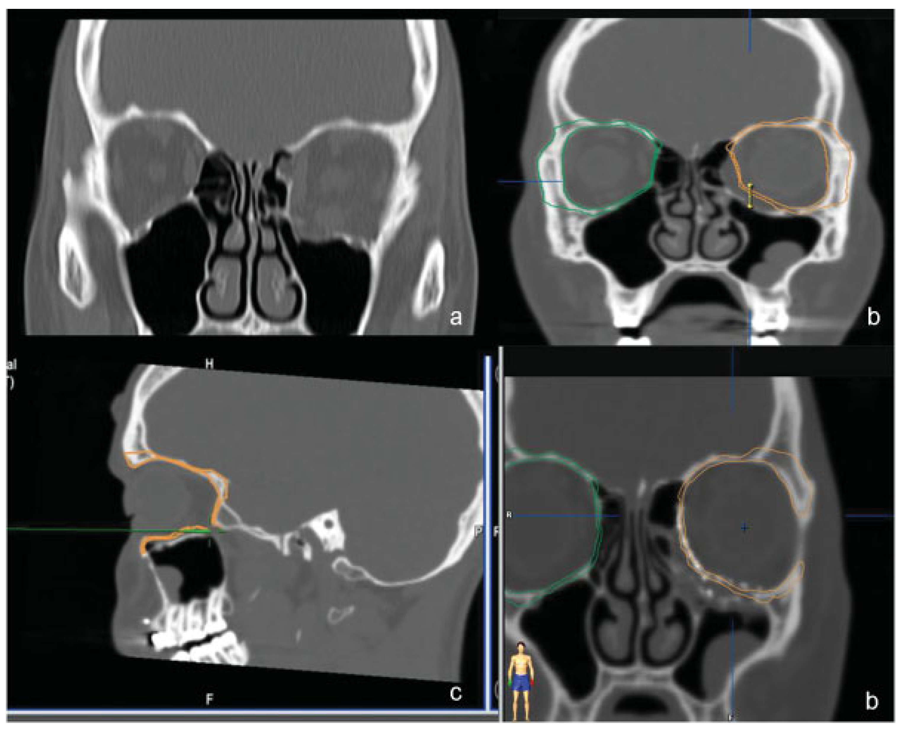
The outcomes measures are summarized in Table 3. The quality of orbital reconstruction was assessed as satisfactory in 12 cases, good in 4 cases, Unsatisfactory in 2 cases. In particular in group 1 (CONV) in four of eight patients, the posterior ledge of the fracture was not reached by the implant (Figure 1a), and in one patients in group 1 the mesh hinged toward the ethmoid (Figure 1b). In group 3 (NAVI) in one of five patients, the posterior ledge of the fracture was not reached.
In two patients reoperation was indicated. One patient was reoperated with satisfactory results, and one refused the intervention because no functional deficit was evident.
Discussion
The goal in repair of severe orbital fracture is the recovery of undisturbed function and preinjury globe position.
Since the 1980s, Manson showed that the cardinal principles for successful orbital reconstruction are the restoration of preinjury anatomical shape and volume, with concomitant liberation and repositioning of prolapsed orbital soft tissue [12]. The crucial technical steps, which constitute fundamental Manson’s legacy for a successful orbit operation include (1) wide and complete exposure with careful subperiosteal dissection of the fracture bony margins and (2) anatomical reconstruction of the shape and contour of the orbital walls. The complex soft tissue and bone anatomy of the medial orbit makes much more difficult to accomplish these steps for the medial wall fracture in comparison to the more common orbital floor fracture.
In orbital medial wall fractures, the first challenge is exploration and identification of the posteromedial ledge of the fracture, which is proximal to the orbital apex and pertinent vital orbital structures.
Visualization of the posteromedial orbit is very difficult with conventional transcutaneous access because medial canthal tendon insertion and lacrimal system must be preserved. Moreover, visible scar of medial transpalpebral incision is another important limiting factor in treatment of these fractures. The coronal flap allows panoramic exposure of the medial wall but presents unfavorable benefit/risk balance in terms of morbidity and time consumed for isolated fracture of the medial wall [4].
In addition to the proper exposition challenge, the surgeon must face a second technical difficult challenge in medial wall fractures, which is anatomical reconstruction.
Because the orbit modifies its shape from quadrangular pyramidal to conical in the posterior third, this corresponds to a distinct bony convergences profile in the posteromedial region, where the orbital floor inclines superiorly to meet the medial wall. In combined medial wall and floor fractures, in particular when the inferomedial orbital strut is involved, reconstruction of this unique 3D anatomy requires the replication of slopes and curves with difficult sizing and shaping of the implant [3].
Recently, few papers [3,4,7], combining transconjunctival retro/transcaruncular approach with the use of prebent titanium or porous polyethylene/titanium meshes and implants, reported excellent results in the treatment of medial wall fractures (isolated or combined with orbital floor fractures).
The trans- and the retrocaruncular incisions provide excellent exposure of the medial orbit without external visible scar [13].
In case of association of a medial wall fracture with an orbital floor fracture, the retrocaruncular incision can easily be extended laterally in the inferior conjunctival fornix with a retroseptal incision, resulting in a transconjunctival C-shaped incision.
In this situation it is necessary to disinsert the inferior oblique muscle to expose beautifully the entire surgical field creating a panoramic corridor between the medial wall and the floor of the orbit and to gain adequate access to insert and anatomically position a two-wall implant.
In this case series we either stripped the muscle with a periosteal elevator from its origin or divided it with Stevens scissor and reapproximated at the end of the operation. It has been reported that following inferior oblique muscle disinsertion or myotomy, patients can develop a pseudo-Brown syndrome, characterized by a limitation of ocular elevation in adduction and a consequent torsional diplopia [14].
In our series 2 of 10 patients (Figure 2) who underwent detachment of the inferior oblique muscle developed a diplopia in the extreme lateral upgaze. This is a nonhandicapping diplopia, which did not affect patients’ everyday life and it was found only after orthoptic examination at the end of follow-up.
We do feel that patients should be informed before surgery of this possible limited functional impairment, but this does not alternate the balance benefits/risks when using this C-shaped incision for medial wall/floor-combined fractures.
In our experience, complete and clear visualization of the posteromedial ledge of the fracture, when the defect reaches superiorly the posterior ethmoidal vessels and inferiorly along the inferomedial strut in direction of the apical region, becomes increasingly difficult due to the difficult manipulation of prolapsed orbital soft tissue.
In our case series, in group 1 (CONV), 4 of 10 implants did not reach the posterior ledge, whereas 1 prebent implant had a wrong angulation hinging toward the ethmoid.
Introducing an endoscope through the incision, as described by Chen and Davies [3], Meningaud et al. [5], and Woo et al. [6], facilitates the visualization of the margin of the fracture (Figure 3) and allows a precise control of the spatial relationship of the implant margins and fracture perimeter (Figure 4).
In our series, endoscope assistance proved to be very helpful because of high-intensity cool light and image magnification. It is also very helpful for medical education in surgical anatomy for young residents.
In the group 2 (ENDO) the quality of orbital reconstruction has significantly improved, with the totality of implants correctly placed (Figure 5).
Endoscope-assisted surgery, as performed in our study, is a completely different procedure from pure transnasal endoscopic medial wall fracture treatment.
It does not need technical skills, time, and specific instrumentation required for transnasal endoscopic surgery.
Moreover, transnasal endoscopic treatment of medial wall fracture relies on indirect fracture reduction through a narrow and tortuous pathway. The transnasal completely endoscopical approach is reserved for isolated fracture with a simple shape. In larger and more complex defects, we feel that direct vision and control are required for proper placement and fixation of larger implants in terms of shape and contour [15].
In group 3 (NAVI), navigation-assisted orbital reconstruction was performed. At the time of surgery, navigation was used to assess the accuracy of dissection confirming that we have reached the posterior ledges of the fracture and the position and shape of the implant, according to virtual planning (Figure 6).
In our study, navigation-assisted orbital reconstruction is reliable in restoring orbital shape and volume. We totally agree with Markiewicz et al. [11] and Bly et al. [9] that navigation-aided surgery improves outcomes in complex orbital reconstruction.
Our reoperation indication rate 2/18 is consistent with literature, as Cho reports an 18% of second intervention necessary.
Nonpreformed radial plates were used for isolated medial wall fractures and required accurate bending, sizing, and trimming to reduce interferences with surrounding soft tissues. In combined medial wall/floor fractures, preformed titanium meshes were used. Recent studies have shown that this 3D prebent anatomical titanium plate, made using contour-averaged CT data from human orbits, allows for precise reconstitution of the original anatomy of combined fractures of medial wall and floor of the orbit [16].
This study reports some inherent limitations. We reported data obtained from a retrospective cohort and the sample size is small. These data, even if all the surgical operations were made under the supervision of the senior author (G.G.), were collected in different stages of the learning curve of the operating surgeon.
The diplopia severity scoring system and the clinical evaluation of globe projection may content possible reporting bias in their determination due to the operator. However, clinical assessments were by the same surgeon in all cases.
In conclusion this study confirms that the use of titanium orbital mesh plates placed through a transconjunctival retrocaruncular approach allows for safe and accurate orbital reconstruction in patients with medial wall fractures (isolated or combined with orbital floor fractures). The use of endoscopic assistance through the surgical incisions improves accuracy of treatment allowing better visualization of the posterior ledges of the fractures. Navigation-aided surgery is a reliable technique for complex orbital reconstruction after trauma and has the potential to improve predictability and outcomes in orbital repair.
Financial Disclosure and Products
None of the authors has a financial interest in any of the products or devices mentioned in this article.

References

  1. He, Y.; Zhang, Y.; An, J.G. Correlation of types of orbital fracture and occurrence of enophthalmos. J Craniofac Surg 2012, 23, 1050–1053. [Google Scholar] [CrossRef] [PubMed]
  2. Kim, Y.K.; Park, C.S.; Kim, H.K.; Lew, D.H.; Tark, K.C. Correlation between changes of medial rectus muscle section and enophthalmos in patients with medial orbital wall fracture. J Plast Reconstr Aesthet Surg 2009, 62, 1379–1383. [Google Scholar] [CrossRef] [PubMed]
  3. Cho, R.I.; Davies, B.W. Combined orbital floor and medial wall fractures involving the inferomedial strut: repair technique and case series using preshaped porous polyethylene/titanium implants. Craniomaxillofac Trauma Reconstr 2013, 6, 161–170. [Google Scholar] [CrossRef] [PubMed]
  4. Scolozzi, P. Reconstruction of severe medial orbital wall fractures using titanium mesh plates placed using transcaruncular-trans-conjunctival approach: a successful combination of 2 techniques. J Oral Maxillofac Surg 2011, 69, 1415–1420. [Google Scholar] [CrossRef] [PubMed]
  5. Meningaud, J.P.; Pitak-Arnnop, P.; Bertrand, J.C. Endoscope-assisted repair of medial orbital wall fractures using a retrocaruncular approach. J Oral Maxillofac Surg 2007, 65, 1039–1043. [Google Scholar] [CrossRef] [PubMed]
  6. Woo, K.S.; Cho, P.D.; Lee, S.H. Reconstruction of severe medial orbital wall fractures using titanium mesh plates by the pericaruncular approach. J Plast Surg Hand Surg 2014, 48, 248–253. [Google Scholar] [CrossRef] [PubMed]
  7. Grant, J.H.I.I.I.; Patrinely, J.R.; Weiss, A.H.; Kierney, P.C.; Gruss, J.S. Trapdoor fracture of the orbit in a pediatric population. Plast Reconstr Surg 2002, 109, 482–489. [Google Scholar] [CrossRef] [PubMed]
  8. AOCMF Surgery References. Available online: www.aocmf.org (accessed on 14 April 2015).
  9. Bly, R.A.; Chang, S.H.; Cudejkova, M.; Liu, J.J.; Moe, K.S. Computer-guided orbital reconstruction to improve outcomes. JAMA Facial Plast Surg 2013, 15, 113–120. [Google Scholar] [CrossRef] [PubMed]
  10. Essig H, Dressel L, Rana M, et al. Precision of posttraumatic primary orbital reconstruction using individually bent titanium mesh with and without navigation: a retrospective study. Head Face Med 2013, 9, 19.
  11. Markiewicz, M.R.; Dierks, E.J.; Potter, B.E.; Bell, R.B. Reliability of intra- operative navigation in restoring normal orbital dimensions. J Oral Maxillofac Surg 2011, 69, 2833–2840. [Google Scholar] [CrossRef] [PubMed]
  12. Manson, P.N.; Clifford, C.M.; Su, C.T.; Iliff, N.T.; Morgan, R. Mechanisms of global support and posttraumatic enophthalmos: I. The anatomy of the ligament sling and its relation to intramuscular cone orbital fat. Plast Reconstr Surg 1986, 77, 193–202. [Google Scholar] [CrossRef] [PubMed]
  13. Garcia, G.H.; Goldberg, R.A.; Shorr, N. The transcaruncular approach in repair of orbital fractures: a retrospective study. J Craniomaxillofac Trauma 1998, 4, 7–12. [Google Scholar] [PubMed]
  14. de Haller, R.; Imholz, B.; Scolozzi, P. Pseudo-Brown syndrome: a potential ophthalmologic sequela after a transcaruncular-trans- conjunctival approach for orbital fracture repair. J Oral Maxillofac Surg 2012, 70, 1909–1913. [Google Scholar] [CrossRef]
  15. Gordon, C.R.; Susarla, S.M.; Yaremchuk, M.J. Quantitative assessment of medial orbit fracture repair using computer-designed anatomical plates. Plast Reconstr Surg 2012, 130, 698e–705e. [Google Scholar] [CrossRef] [PubMed]
  16. Shen, Y.-D.; Paskowitz, D.; Shannath, L.M.; Michael, P.G. Retrocaruncular approach for the repair of medial orbital wall fractures: an anatomical and clinical study. Craniomaxillofac Trauma Reconstr. [CrossRef] [PubMed]
Figure 1. Group 1 (CONV). CTscan images of patients with unsatisfactory orbital reconstruction: (a) titanium mesh not reaching the posterior ledge of a medial wall fracture. The orientation is correct (b) titanium mesh hinged toward the ethmoid.
Figure 1. Group 1 (CONV). CTscan images of patients with unsatisfactory orbital reconstruction: (a) titanium mesh not reaching the posterior ledge of a medial wall fracture. The orientation is correct (b) titanium mesh hinged toward the ethmoid.
Cmtr 08 4c2 g001
Figure 2. Slight limitations in adducted elevation of the operated left eye in a patient with a combined medial wall/floor orbital fracture. The patient is not affected in her everyday life by this small deficit of inferior oblique muscle.
Figure 2. Slight limitations in adducted elevation of the operated left eye in a patient with a combined medial wall/floor orbital fracture. The patient is not affected in her everyday life by this small deficit of inferior oblique muscle.
Cmtr 08 4c2 g002
Figure 3. Group 2 (ENDO). Endoscope-assisted control of dissection of fracture bony perimeter and freeing of prolapsed soft tissue in an isolated medial wall fracture.
Figure 3. Group 2 (ENDO). Endoscope-assisted control of dissection of fracture bony perimeter and freeing of prolapsed soft tissue in an isolated medial wall fracture.
Cmtr 08 4c2 g003
Figure 4. Group 2 (ENDO). Endoscope-assisted seating of a radial orbital mesh in isolated medial wall fracture. (a) The mesh is not properly seated and the inferior margin of the fracture is not reached. (b) Correct anatomical seating with good relationships between the mesh limit and the fracture ledges. (c,d) Post–CT scan axial and coronal view. In this case the quality of orbital reconstruction was rated as satisfactory.
Figure 4. Group 2 (ENDO). Endoscope-assisted seating of a radial orbital mesh in isolated medial wall fracture. (a) The mesh is not properly seated and the inferior margin of the fracture is not reached. (b) Correct anatomical seating with good relationships between the mesh limit and the fracture ledges. (c,d) Post–CT scan axial and coronal view. In this case the quality of orbital reconstruction was rated as satisfactory.
Cmtr 08 4c2 g004
Figure 5. Group 2 (ENDO), endoscope assisted orbital reconstruction in combined medial wall/floor orbital fracture. In this case the quality of orbital reconstruction was rated as satisfactory. (a) Intraoperatory view of prebent anatomical mesh position in respect of the posteromedial ledge of the fracture. (b) Preop CT scan. (c) Postop coronal view. (d) Postop sagittal view.
Figure 5. Group 2 (ENDO), endoscope assisted orbital reconstruction in combined medial wall/floor orbital fracture. In this case the quality of orbital reconstruction was rated as satisfactory. (a) Intraoperatory view of prebent anatomical mesh position in respect of the posteromedial ledge of the fracture. (b) Preop CT scan. (c) Postop coronal view. (d) Postop sagittal view.
Cmtr 08 4c2 g005
Figure 6. Group 3 (NAVI). Navigation-aided orbital repair in combined medial wall/floor orbital fracture. (a) Preop image. (b) Computer-assisted planning and creation of a virtual template. (c) Identification of posterior ledge of the fracture and limit of dissection in apical direction. (d) Postop image fusion and control.
Figure 6. Group 3 (NAVI). Navigation-aided orbital repair in combined medial wall/floor orbital fracture. (a) Preop image. (b) Computer-assisted planning and creation of a virtual template. (c) Identification of posterior ledge of the fracture and limit of dissection in apical direction. (d) Postop image fusion and control.
Cmtr 08 4c2 g006
Table 1. Summary of patient cohort characteristics.
Table 1. Summary of patient cohort characteristics.
Cohort characteristicsCONV, n = 7ENDO, n = 5NAVI, n = 6
Patient demographics
Age, mean, y384236
Female, n212
Male, n544
Injury, etiology, n
Assault434
MVA020
Fall101
Sport200
Other001
Fracture characteristics
Isolated medial wall422
Medial wall + orbital floor334
Implant, type
Radial titanium mesh422
Prebent titanium mesh334
Follow-up, mean, m1086
Days from injury date until date of operation, mean546
Abbreviations: CONV, conventional free hand under direct vision (group 1); ENDO, endoscopically assisted (group 2); MVA, motor vehicle accident; NAVI, navigational system assisted (group 3).
Table 2. Diplopia severity category assignment.
Table 2. Diplopia severity category assignment.
Diplopia severity gradeCriteriaAssigned value
3Diplopia present in primary gaze3
2Diplopia reported in some aspect of daily life2
1Patient reported no diplopia, but on
examination was found to have some degree of double vision
1
NoneNo subjective or objective diplopia0
Table 3. Outcomes.
Table 3. Outcomes.
Cohort characteristicsONV, n = 7ENDO, n = 5NAVI, n = 6
Diplopia
Grade 3
Preoperative100
Postoperative000
Grade 2
Preoperative102
Postoperative100
Grade 1
Preoperative333
Postoperative111
None
Preoperative221
Postoperative545
Globe position (clinical)
Preoperative
Normal212
Abnormal544
Postoperative
Normal355
Abnormal400
Complications
Intraoperative000
Postoperative000
Secondary operation rate200
Quality of reconstruction
Satisfactory345
Good211
Bad200
Abbreviations: CONV, conventional free hand under direct vision (group 1); ENDO, endoscopically assisted (group 2); NAVI, navigational system assisted (group 3).

Share and Cite

MDPI and ACS Style

Gerbino, G.; Zavattero, E.; Viterbo, S.; Ramieri, G. Treatment of Orbital Medial Wall Fractures with Titanium Mesh Plates Using Retrocaruncular Approach: Outcomes with Different Techniques. Craniomaxillofac. Trauma Reconstr. 2015, 8, 326-333. https://doi.org/10.1055/s-0035-1549014

AMA Style

Gerbino G, Zavattero E, Viterbo S, Ramieri G. Treatment of Orbital Medial Wall Fractures with Titanium Mesh Plates Using Retrocaruncular Approach: Outcomes with Different Techniques. Craniomaxillofacial Trauma & Reconstruction. 2015; 8(4):326-333. https://doi.org/10.1055/s-0035-1549014

Chicago/Turabian Style

Gerbino, Giovanni, Emanuele Zavattero, Stefano Viterbo, and Guglielmo Ramieri. 2015. "Treatment of Orbital Medial Wall Fractures with Titanium Mesh Plates Using Retrocaruncular Approach: Outcomes with Different Techniques" Craniomaxillofacial Trauma & Reconstruction 8, no. 4: 326-333. https://doi.org/10.1055/s-0035-1549014

APA Style

Gerbino, G., Zavattero, E., Viterbo, S., & Ramieri, G. (2015). Treatment of Orbital Medial Wall Fractures with Titanium Mesh Plates Using Retrocaruncular Approach: Outcomes with Different Techniques. Craniomaxillofacial Trauma & Reconstruction, 8(4), 326-333. https://doi.org/10.1055/s-0035-1549014

Article Metrics

Back to TopTop