Next Article in Journal
Management of Ossifying Fibroma in a Suspicious Case of Hyperparathyroid–Jaw Tumor Syndrome
Previous Article in Journal
Pneumosinus Dilatans Helping Subcranial Resection in a Patient with Advanced Ethmoid Malignancy
 
 
Craniomaxillofacial Trauma & Reconstruction is published by MDPI from Volume 18 Issue 1 (2025). Previous articles were published by another publisher in Open Access under a CC-BY (or CC-BY-NC-ND) licence, and they are hosted by MDPI on mdpi.com as a courtesy and upon agreement with Sage.
Font Type:
Arial Georgia Verdana
Font Size:
Aa Aa Aa
Line Spacing:
Column Width:
Background:
Case Report

Acute Intraorbital Hemorrhage Following Reduction of a Displaced Orbitozygomaticomaxillary Complex Fracture

by
Srinivas Murthy Susarla
1,2 and
Branko Bojovic
3,*
1
Department of Plastic and Reconstructive Surgery, Johns Hopkins Hospital, Baltimore, MD 21287, USA
2
Division of Plastic Surgery, Department of Surgery, University of Maryland Medical Center, Baltimore, MD 21201, USA
3
Division of Plastic, Reconstructive, and Maxillofacial Surgery, R Adams Cowley Shock Trauma Center, University of Maryland Medical Center, Baltimore, MD 21201, USA
*
Author to whom correspondence should be addressed.
Craniomaxillofac. Trauma Reconstr. 2015, 8(3), 221-227; https://doi.org/10.1055/s-0034-1395387
Submission received: 3 June 2014 / Revised: 17 June 2014 / Accepted: 17 June 2014 / Published: 24 November 2014

Abstract

:
Orbitozygomaticomaxillary complex (OZMC) fractures are commonly encountered by the craniomaxillofacial trauma surgeon and may, in fact, be the most common type of orbital fracture. Disruption of articulation with the frontal and sphenoid bones causes disruption of the internal orbital skeleton, which can result in diplopia from extraocular muscle swelling or entrapment, or enophthalmos from increased orbital volume. Although there is significant energy transferred to the orbit in these injuries, blindness and intraorbital hematoma are, fortunately, relatively rare complications, typically seen pre- or postoperatively. In this report, we describe the development of acute intraorbital hemorrhage following reduction of a displaced OZMC fracture.

Orbitozygomaticomaxillary complex (OZMC) fractures are commonly encountered by the craniomaxillofacial trauma surgeon and may, in fact, be the most common type of orbital fracture [1,2,3,4]. Disruption of articulation with the frontal and sphenoid bones causes disruption of the internal orbital skeleton, which can result in diplopia from extraocular muscle swelling or entrapment, or enophthalmos from increased orbital volume. Although there is significant energy transferred to the orbit in these injuries, blindness and intra- orbital hematoma are, fortunately, relatively rare complications, typically seen pre- or postoperatively [5,6,7]. In this report, we describe the development of acute intraorbital hemor-rhage following reduction of a displaced OZMC fracture.

1. Case Report

An otherwise healthy 22-year-old male was brought to the emergency department for evaluation of left-sided facial injuries sustained following blunt trauma. The patient sustained a mechanical fall onto concrete, hitting the left side of his face. There was no reported loss of consciousness. On initial presentation, he complained of mild pain over the left midface and periorbital region. He denied pain with eye movement, blurred/double vision, tearing, difficulty with mouth opening, facial numbness, headaches, or photophobia.
Physical examination (Figure 1) was notable for mild left-sided periorbital edema and ecchymosis, with a 5-mm super-ficial laceration lateral to the left lateral canthus. The left zygomatic prominence was flattened relative to the right. Extraocular movements were fully intact in all directions. An ophthalmologic evaluation demonstrated visual acuity of 20/ 20 in both eyes with mild anisocoria (3 mm OD, 4 mm OS) with bilateral papillary response to light (3/4 mm → 2 mm). Intraocular pressures were 15 mm Hg in both eyes. There was no obvious subconjunctival hemorrhage or hyphema noted. The examination was otherwise unremarkable.
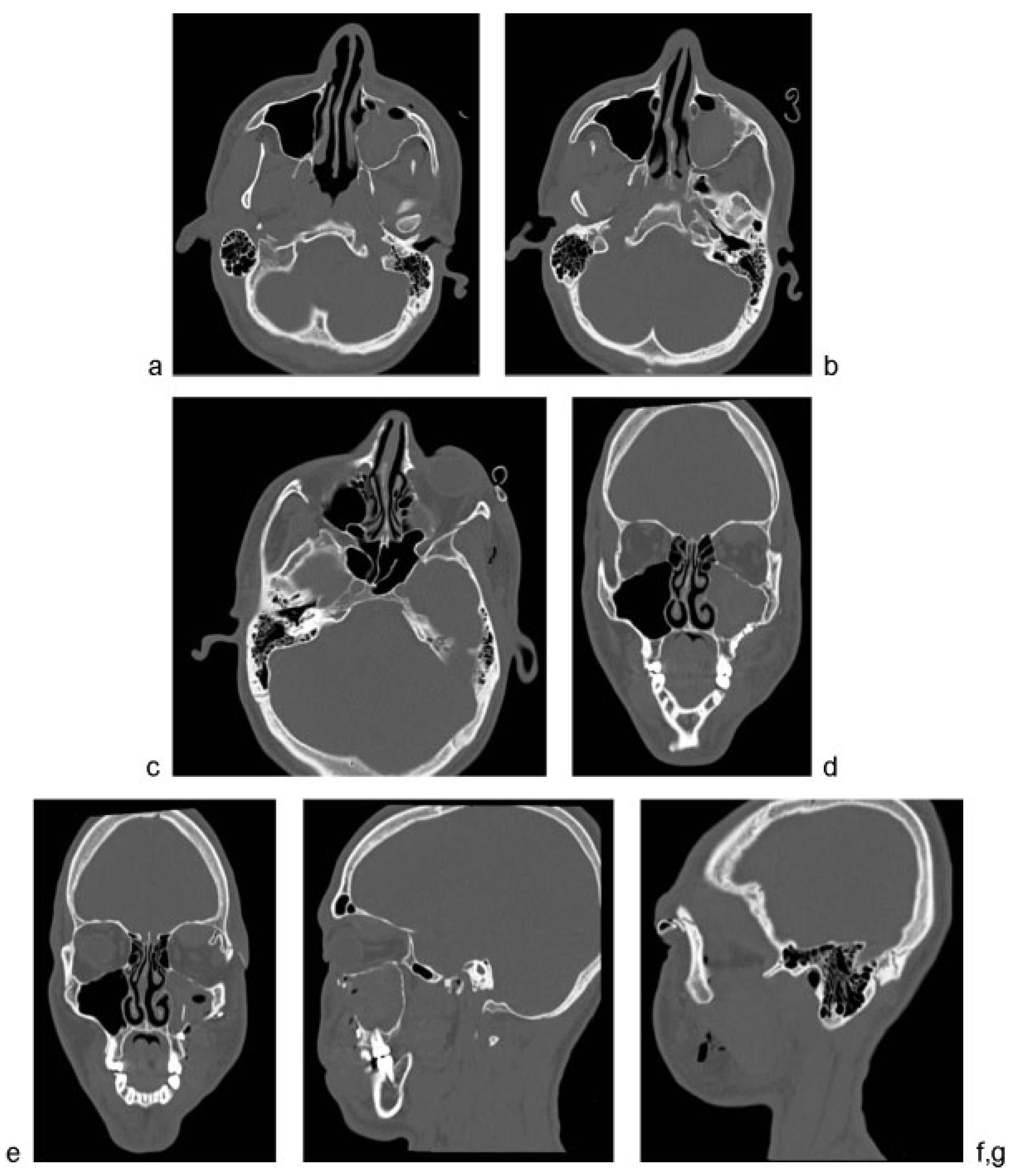
Maxillofacial computed tomography demonstrated a displaced, nonrotated left OZMC fracture (Figure 2). There was no evidence of extraocular muscle entrapment, large orbital floor defect, retrobulbar, or intraorbital hematoma. Routine preoperative laboratory evaluation, including coagulation studies, was unremarkable.
The patient was taken to the operating room approximately 16 hours following injury for open reduction and internal fixation. He was intubated orally and a corneal shield was placed for protection of the left globe. The left zygomatico-maxillary buttress was subsequently exposed using a standard gingivobuccal sulcus incision (Figure 3). The body of the zygoma was mobilized using a curve Kelly clamp and reduction was achieved at the zygomaticomaxillary buttress. The infraorbital rim was directly visualized and noted to be in anatomic alignment. Palpation of the frontozygomatic suture did not reveal obvious step-off. As such, fixation was applied at the zygomaticomaxillary buttress using a 0.7-mm-thick L-shaped 1.5 medium plate (DePuy Synthes, West Chester, PA) (Figure 4).
Following completion of reduction and fixation, forced duction testing was planned, as per routine. However, examination of the left globe revealed significant proptosis, with the globe under tension, and a dilated and nonreactive pupil. A lateral orbital decompression was immediately performed via an upper blepharoplasty incision. Upon accessing the lateral orbit, there was active, venous bleeding, with approximately 15 mL of blood immediately evacuated from the lateral orbit. The area was packed with epinephrine soaked patties and the bleeding subsequently stopped. Direct visualization of the sphenozygomatic and frontozygomatic sutures was notable for anatomic reduction at these sites (Figure 5). Following decompression, the proptosis improved and the globe was less taut. Forced ductions were unrestricted. As no discrete bleeding vessel was identified, definitive surgical hemostasis was precluded. Therefore, two 1/4″ Pen- rose drains (Cardinal Health, Dublin, OH) were placed into the lateral orbit to prevent reaccumulation of fluid (Figure 6).
The patient was subsequently extubated and visual acuity was noted to be intact, with papillary light response present before leaving the operating room. He was taken to the postanesthesia care unit in stable condition and was evaluated by the ophthalmology service immediately postoperatively. Visual acuity was noted to be consistent with baseline (20/ 20 OD, 20/20 OS), without afferent pupillary defect. Extra- ocular movements were intact. Elevated intraocular pressures were observed in the left globe (25 mm Hg), consistent with edema from surgical intervention.
The hematology service was consulted for evaluation of possible coagulopathy. Repeat coagulation testing and cofactor studies for bleeding diatheses were normal.
Postoperative imaging demonstrated anatomic reduction of the OZMC at all articulations (Figure 7 and Figure 8).
The patient was treated with a short course of high-dose steroids postoperatively. His swelling and proptosis continued to improve and he was noted to have full vision bilaterally on discharge, with no diplopia. The Penrose drains were removed before discharge on postoperative day 2. He was noted to be doing very well, with full vision and extraocular movements bilaterally, and restored zygomatic projection and facial symmetry at 10 days postoperatively (Figure 9). At 6-month follow-up, the patient was noted to have excellent zygomatic projection and a symmetric face. The upper eyelid incision was well-healed, with minimal scarring (Figure 10).

2. Discussion

Zygomaticomaxillary complex fractures, more appropriately referred to as OZMC fractures, are among the most frequently seen facial injuries in trauma centers [1,2,3,4]. Although there remain controversies regarding the most appropriate methods of exposure and fixation, surgeons are generally in agreement about the need for management within the acute or subacute period [1,2,3,8,9,10,11]. Accurate anatomical reduction is necessary to prevent secondary deformities, which can be extremely difficult to correct.
Among the complications of fractures involving the OZMC are those related to injury to the internal orbital skeleton and globe. Major injuries, such as globe rupture and retinal hemorrhage, have been reported in up to 10% of patients with OZMC fractures, with traumatic optic neuropathy noted in 6% of patients [7]. Among patients with OZMC fractures and concomitant open globe injuries, there is an increased risk of blindness [12]. In addition, a systematic review of blindness associated with facial fractures showed a strong association between high-energy zygoma fractures and blindness [6]. Ret-robulbar hemorrhage is a relatively rare complication that can result from the initial injury or subsequent operative manipulation. The incidence of postoperative retrobulbar hemor-rhage has been estimated to be 0.03% [13]. Although these data offer sufficient rationale for ophthalmologic evaluation at the time of injury and judicious inspection of the globe during and after operative intervention, there are no reports, to our knowledge, of acute intraorbital hemorrhage immediately following anatomic reduction of an OZMC fracture.
The blood supply of the internal orbit includes several disparate venous structures, including the superior and inferior ophthalmic veins, and the infraorbital vein. It is likely that energy transfer during reduction may have damaged one of these vessels, resulting in acute hemorrhage, proptosis, and signs of optic nerve compression. Prompt recognition and intraoperative decompression prevented injury to the optic nerve.
It is imperative that the craniomaxillofacial surgeon be cognizant not only of the potential for intraorbital hemorrhage following OZMC injury but also following reduction, as described herein. While rare, the consequences of unrecognized hemorrhage can be devastating and should be completely avoidable. Meticulous inspection of the globe following reduction, including assessment of pupillary size and movement (via forced ductions) should be undertaken before extubating the patient. Visual acuity and light perception should be checked as soon as permitted by patient status.

References

  1. Kelley, P.; Hopper, R.; Gruss, J. Evaluation and treatment of zygomatic fractures. Plast. Reconstr. Surg. 2007, 120 (Suppl. S2), 5S–15S. [Google Scholar] [CrossRef] [PubMed]
  2. Marinho, R.O.; Freire-Maia, B. Management of fractures of the zygomaticomaxillary complex. Oral Maxillofac. Surg. Clin. N. Am. 2013, 25, 617–636. [Google Scholar] [CrossRef] [PubMed]
  3. Meslemani, D.; Kellman, R.M. Zygomaticomaxillary complex fractures. Arch. Facial. Plast. Surg. 2012, 14, 62–66. [Google Scholar] [CrossRef] [PubMed]
  4. Ellis, E., III.; Perez. D. An algorithm for the treatment of isolated zygomatico-orbital fractures. J. Oral Maxillofac. Surg. 2014, 24, 1975–1983. [Google Scholar] [CrossRef] [PubMed]
  5. Girotto, J.A.; Gamble, W.B.; Robertson, B.; et al. Blindness after reduction of facial fractures. Plast. Reconstr. Surg. 1998, 102, 1821–1834. [Google Scholar] [CrossRef] [PubMed]
  6. Magarakis, M.; Mundinger, G.S.; Kelamis, J.A.; Dorafshar, A.H.; Bojovic, B.; Rodriguez, E.D. Ocular injury, visual impairment, and blindness associated with facial fractures: a systematic literature review. Plast. Reconstr. Surg. 2012, 129, 227–233. [Google Scholar] [CrossRef] [PubMed]
  7. Jamal, B.T.; Pfahler, S.M.; Lane, K.A.; et al. Ophthalmic injuries in patients with zygomaticomaxillary complex fractures requiring surgical repair. J. Oral Maxillofac. Surg. 2009, 67, 986–989. [Google Scholar] [CrossRef]
  8. Kim, J.H.; Lee, J.H.; Hong, S.M.; Park, C.H. The effectiveness of 1-point fixation for zygomaticomaxillary complex fractures. Arch. Otolaryngol. Head Neck Surg. 2012, 138, 828–832. [Google Scholar] [CrossRef]
  9. Lee, E.I.; Mohan, K.; Koshy, J.C.; Hollier, L.H., Jr. Optimizing the surgical management of zygomaticomaxillary complex fractures. Semin. Plast. Surg. 2010, 24, 389–397. [Google Scholar] [CrossRef]
  10. Olate, S.; Lima, S.M., Jr.; Sawazaki, R.; Moreira, R.W.; de Moraes, M. Surgical approaches and fixation patterns in zygomatic complex fractures. J. Craniofac. Surg. 2010, 21, 1213–1217. [Google Scholar] [CrossRef]
  11. Zachariades, N.; Mezitis, M.; Anagnostopoulos, D. Changing trends in the treatment of zygomaticomaxillary complex fractures: a 12- year evaluation of methods used. J. Oral Maxillofac. Surg. 1998, 56, 1152–1156, discussion 1156. [Google Scholar] [CrossRef] [PubMed]
  12. Vaca, E.E.; Mundinger, G.S.; Kelamis, J.A.; et al. Facial fractures with concomitant open globe injury: mechanisms and fracture patterns associated with blindness. Plast. Reconstr. Surg. 2013, 131, 1317–1328. [Google Scholar] [CrossRef] [PubMed]
  13. Ord, R.A. Post-operative retrobulbar haemorrhage and blindness complicating trauma surgery. Br. J. Oral Surg. 1981, 19, 202–207. [Google Scholar] [CrossRef] [PubMed]
Figure 1. A 22-year-old male status postfall with left orbitozygomaticomaxillary complex fracture. Physical examination was notable for mild left periorbital ecchymosis and edema, as well as mild anisocoria and loss of malar projection. Visual acuity was 20/20 bilaterally and intraocular pressures were normal.
Figure 1. A 22-year-old male status postfall with left orbitozygomaticomaxillary complex fracture. Physical examination was notable for mild left periorbital ecchymosis and edema, as well as mild anisocoria and loss of malar projection. Visual acuity was 20/20 bilaterally and intraocular pressures were normal.
Cmtr 08 00029 g001
Figure 2. Preoperative maxillofacial computed tomography demonstrated a depressed, nonrotated Orbitozygomaticomaxillary Complex fracture. There is significant (a,b) posterior displacement of the zygomatic body, (c) with minimal displacement of the zygomatic arch, (d) medial displacement of the sphenozygomatic suture, and (e) mild displacement at the frontozygomatic suture. (fj) The orbital floor was not significantly displaced. (d,f,i,j) No retrobulbar or intraorbital hematoma was noted preoperatively.
Figure 2. Preoperative maxillofacial computed tomography demonstrated a depressed, nonrotated Orbitozygomaticomaxillary Complex fracture. There is significant (a,b) posterior displacement of the zygomatic body, (c) with minimal displacement of the zygomatic arch, (d) medial displacement of the sphenozygomatic suture, and (e) mild displacement at the frontozygomatic suture. (fj) The orbital floor was not significantly displaced. (d,f,i,j) No retrobulbar or intraorbital hematoma was noted preoperatively.
Cmtr 08 00029 g002aCmtr 08 00029 g002b
Figure 3. Intraoperative view of displaced zygomatic body. The zygo-matic body was exposed via a gingivobuccal sulcus incision, with significant posterior displacement noted.
Figure 3. Intraoperative view of displaced zygomatic body. The zygo-matic body was exposed via a gingivobuccal sulcus incision, with significant posterior displacement noted.
Cmtr 08 00029 g003
Figure 4. Intraoperative view following reduction and fixation with a 0.7-mm thick 1.5-L-shaped medium plate. The zygomaticomaxillary buttress is reduced. Visual inspection confirmed reduction at the infraorbital rim. Manual palpation confirmed reduction at the frontozygomatic suture.
Figure 4. Intraoperative view following reduction and fixation with a 0.7-mm thick 1.5-L-shaped medium plate. The zygomaticomaxillary buttress is reduced. Visual inspection confirmed reduction at the infraorbital rim. Manual palpation confirmed reduction at the frontozygomatic suture.
Cmtr 08 00029 g004
Figure 5. Lateral orbital decompression via supratarsal fold (upper blepharoplasty) incision. Direct visualization of the frontozygomatic suture revealed anatomic reduction.
Figure 5. Lateral orbital decompression via supratarsal fold (upper blepharoplasty) incision. Direct visualization of the frontozygomatic suture revealed anatomic reduction.
Cmtr 08 00029 g005
Figure 6. (a,b) Postdecompression photographs demonstrating decreased proptosis. Two 1/4″ Penrose drains were used to drain the lateral orbit.
Figure 6. (a,b) Postdecompression photographs demonstrating decreased proptosis. Two 1/4″ Penrose drains were used to drain the lateral orbit.
Cmtr 08 00029 g006
Figure 7. Postoperative maxillofacial computed tomography. The orbitozygomatic complex is anatomically reduced, with excellent alignment at the (a,b) zygomaticomaxillary buttress, at the (c) sphenozygomatic suture, (df) orbital floor, and (g) frontozygomatic suture.
Figure 7. Postoperative maxillofacial computed tomography. The orbitozygomatic complex is anatomically reduced, with excellent alignment at the (a,b) zygomaticomaxillary buttress, at the (c) sphenozygomatic suture, (df) orbital floor, and (g) frontozygomatic suture.
Cmtr 08 00029 g007
Figure 8. Three-dimensional reformations, demonstrating restoration of zygomatic projection and symmetry in (a) frontal, (b) submentovertex, and (c) bird’s eye views.
Figure 8. Three-dimensional reformations, demonstrating restoration of zygomatic projection and symmetry in (a) frontal, (b) submentovertex, and (c) bird’s eye views.
Cmtr 08 00029 g008
Figure 9. Clinical appearance at 10 days postoperatively. (a) There is mild left upper eyelid and midfacial swelling. The anisocoria has resolved. (b) Zygomatic projection is improved.
Figure 9. Clinical appearance at 10 days postoperatively. (a) There is mild left upper eyelid and midfacial swelling. The anisocoria has resolved. (b) Zygomatic projection is improved.
Cmtr 08 00029 g009
Figure 10. Clinical appearance at 6 months postoperatively. (a) The left upper eyelid and midfacial swelling have completely resolved. The face is symmetric. There is no anisicoria. (b) Zygomatic projection is stable and symmetric. (c) The left upper eyelid incision is well-healed, with minimal scarring.
Figure 10. Clinical appearance at 6 months postoperatively. (a) The left upper eyelid and midfacial swelling have completely resolved. The face is symmetric. There is no anisicoria. (b) Zygomatic projection is stable and symmetric. (c) The left upper eyelid incision is well-healed, with minimal scarring.
Cmtr 08 00029 g010

Share and Cite

MDPI and ACS Style

Susarla, S.M.; Bojovic, B. Acute Intraorbital Hemorrhage Following Reduction of a Displaced Orbitozygomaticomaxillary Complex Fracture. Craniomaxillofac. Trauma Reconstr. 2015, 8, 221-227. https://doi.org/10.1055/s-0034-1395387

AMA Style

Susarla SM, Bojovic B. Acute Intraorbital Hemorrhage Following Reduction of a Displaced Orbitozygomaticomaxillary Complex Fracture. Craniomaxillofacial Trauma & Reconstruction. 2015; 8(3):221-227. https://doi.org/10.1055/s-0034-1395387

Chicago/Turabian Style

Susarla, Srinivas Murthy, and Branko Bojovic. 2015. "Acute Intraorbital Hemorrhage Following Reduction of a Displaced Orbitozygomaticomaxillary Complex Fracture" Craniomaxillofacial Trauma & Reconstruction 8, no. 3: 221-227. https://doi.org/10.1055/s-0034-1395387

APA Style

Susarla, S. M., & Bojovic, B. (2015). Acute Intraorbital Hemorrhage Following Reduction of a Displaced Orbitozygomaticomaxillary Complex Fracture. Craniomaxillofacial Trauma & Reconstruction, 8(3), 221-227. https://doi.org/10.1055/s-0034-1395387

Article Metrics

Back to TopTop