Management of Temporomandibular Joint Reankylosis in Syndromic Patients Corrected with Joint Prostheses: Surgical and Rehabilitation Protocols
Abstract
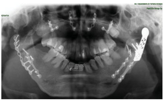
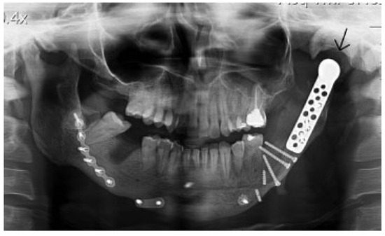
Patients and Methods
Results
Discussion
Conclusion
References
- Guruprasad, Y.; Chauhan, D.S.; Cariappa, K.M. A Retrospective Study of Temporalis Muscle and Fascia Flap in Treatment of TMJ Ankylosis. J Maxillofac Oral Surg 2010, 9, 363–368. [Google Scholar] [CrossRef]
- Kazanjian, V.H. Temporomandibular joint ankylosis with mandibular retrusion. Am J Surg 1955, 90, 905–910. [Google Scholar] [CrossRef] [PubMed]
- Rowe, N.L. Ankylosis of the temporomandibular joint. J R Coll Surg Edinb 1982, 27, 67–79. [Google Scholar]
- Galiè, M.; Consorti, G.; Tieghi, R.; et al. Early surgical treatment in unilateral coronoid hyperplasia and facial asymmetry. J Craniofac Surg 2010, 21, 129–133. [Google Scholar] [CrossRef] [PubMed]
- Güven, O. A clinical study on temporomandibular joint ankylosis in children. J Craniofac Surg 2008, 19, 1263–1269. [Google Scholar] [CrossRef] [PubMed]
- Vasconcelos, B.C.; Porto, G.G.; Bessa-Nogueira, R.V.; Nascimento, M.M. Surgical treatment of temporomandibular joint ankylosis: followup of 15 cases and literature review. Med Oral Patol Oral Cir Bucal 2009, 14, E34–E38. [Google Scholar] [CrossRef][Green Version]
- Kaban, L.B.; Perrott, D.H.; Fisher, K. A protocol for management of temporomandibular joint ankylosis. J Oral Maxillofac Surg 1990, 48, 1145–1151, discussion 1152. [Google Scholar] [CrossRef]
- He, D.; Yang, C.; Chen, M.; et al. Traumatic temporomandibular joint ankylosis: our classification and treatment experience. J Oral Maxillofac Surg 2011, 69, 1600–1607. [Google Scholar] [CrossRef]
- Ellis, E., III. Complications of mandibular condyle fractures. Int J Oral Maxillofac Surg 1998, 27, 255–257. [Google Scholar] [CrossRef]
- Sales, M.A.; Oliveira, J.X.; Cavalcanti, M.G. Computed tomography imaging findings of simultaneous bifid mandibular condyle and temporomandibular joint ankylosis: case report. Braz Dent J 2007, 18, 74–77. [Google Scholar] [CrossRef]
- Gundlach, K.K. Ankylosis of the temporomandibular joint. J Craniomaxillofac Surg 2010, 38, 122–130. [Google Scholar] [CrossRef] [PubMed]
- Sawhney, C.P. Bony ankylosis of the temporomandibular joint: follow-up of 70 patients treated with arthroplasty and acrylic spacer interposition. Plast Reconstr Surg 1986, 77, 29–40. [Google Scholar] [CrossRef] [PubMed]
- Aggarwal, S.; Mukhopadhyay, S.; Berry, M.; Bhargava, S. Bony ankylosis of the temporomandibular joint: a computed tomography study. Oral Surg Oral Med Oral Pathol 1990, 69, 128–132. [Google Scholar] [CrossRef] [PubMed]
- Ferretti, C.; Bryant, R.; Becker, P.; Lawrence, C. Temporomandibular joint morphology following post-traumatic ankylosis in 26 patients. Int J Oral Maxillofac Surg 2005, 34, 376–381. [Google Scholar] [CrossRef]
- Yan, Y.; Zhang, Y.; Sun, Z.; Li, J.; Xiao, E.; An, J. The relationship between mouth opening and computerized tomographic features of posttraumatic bony ankylosis of the temporomandibular joint. Oral Surg Oral Med Oral Pathol Oral Radiol Endod 2011, 111, 354–361. [Google Scholar] [CrossRef]
- Matsuura, H.; Miyamoto, H.; Ogi, N.; Kurita, K.; Goss, A.N. The effect of gap arthroplasty on temporomandibular joint ankylosis: an experimental study. Int J Oral Maxillofac Surg 2001, 30, 431–437. [Google Scholar] [CrossRef]
- Singh, V.; Dhingra, R.; Sharma, B.; Bhagol, A.; Kumar, P. Retrospective analysis of use of buccal fat pad as an interpositional graft in temporomandibular joint ankylosis: preliminary study. J Oral Maxillofac Surg 2011, 69, 2530–2536. [Google Scholar] [CrossRef]
- Dimitroulis, G. The interpositional dermis-fat graft in the management of temporomandibular joint ankylosis. Int J Oral Maxillofac Surg 2004, 33, 755–760. [Google Scholar] [CrossRef]
- Wolford, L.M.; Pitta, M.C.; Reiche-Fischel, O.; Franco, P.F. TMJ Concepts/ Techmedica custom-made TMJ total joint prosthesis: 5-year follow-up study. Int J Oral Maxillofac Surg 2003, 32, 268–274. [Google Scholar] [CrossRef]
- Tideman, H.; Bosanquet, A.; Scott, J. Use of the buccal fat pad as a pedicled graft. J Oral Maxillofac Surg 1986, 44, 435–440. [Google Scholar] [CrossRef]
- Egemen, O.; Ozkaya, O.; Filinte, G.T.; Uscetin, I.; Akan, M. Two-stage total prosthetic reconstruction of temporomandibular joint in severe and recurrent ankylosis. J Craniofac Surg 2012, 23, e520–e524. [Google Scholar] [CrossRef] [PubMed]
- Dolwick, M.F.; Aufdemorte, T.B. Silicone-induced foreign body reaction and lymphadenopathy after temporomandibular joint arthroplasty. Oral Surg Oral Med Oral Pathol 1985, 59, 449–452. [Google Scholar] [CrossRef] [PubMed]
- Omura, S.; Fujita, K. Modification of the temporalis muscle and fascia flap for the management of ankylosis of the temporomandibular joint. J Oral Maxillofac Surg 1996, 54, 794–795. [Google Scholar] [CrossRef]
- Paterson, A.W.; Shepherd, J.P. Fascia lata interpositional arthroplasty in the treatment of temporomandibular joint ankylosis caused by psoriatic arthritis. Int J Oral Maxillofac Surg 1992, 21, 137–139. [Google Scholar] [CrossRef]
- Clauser, L.; Curioni, C.; Spanio, S. The use of the temporalis muscle flap in facial and craniofacial reconstructive surgery. A review of 182 cases. J Craniomaxillofac Surg 1995, 23, 203–214. [Google Scholar] [CrossRef] [PubMed]
- Bayat, M.; Badri, A.; Moharamnejad, N. Treatment of temporomandibular joint ankylosis: gap and interpositional arthroplasty with temporalis muscle flap. Oral Maxillofac Surg 2009, 13, 207–212. [Google Scholar] [CrossRef]
- Pogrel, M.A.; Kaban, L.B. The role of a temporalis fascia and muscle flap in temporomandibular joint surgery. J Oral Maxillofac Surg 1990, 48, 14–19. [Google Scholar] [CrossRef]
- Dimitroulis, G. The interpositional dermis-fat graft in the management of temporomandibular joint ankylosis. Int J Oral Maxillofac Surg 2004, 33, 755–760. [Google Scholar] [CrossRef]
- MacIntosh, R.B. The use of autogenous tissues for temporomandibular joint reconstruction. J Oral Maxillofac Surg 2000, 58, 63–69. [Google Scholar] [CrossRef]
- Saeed, N.; Hensher, R.; McLeod, N.; Kent, J. Reconstruction of the temporomandibular joint autogenous compared with alloplastic. Br J Oral Maxillofac Surg 2002, 40, 296–299. [Google Scholar] [CrossRef]
- Speculand, B.; Hensher, R.; Powell, D. Total prosthetic replacement of the TMJ: experience with two systems 1988-1997. Br J Oral Maxillofac Surg 2000, 38, 360–369. [Google Scholar] [CrossRef] [PubMed]
- Nogueira, R.V.; Vasconcelos, B.C. Facial nerve injury following surgery for the treatment of ankylosis of the temporomandibular joint. Med Oral Patol Oral Cir Bucal 2007, 12, E160–E165. [Google Scholar] [PubMed]
- House, J.W.; Brackmann, D.E. Facial nerve grading system. Otolaryngol Head Neck Surg 1985, 93, 146–147. [Google Scholar] [CrossRef] [PubMed]
- Qudah, M.A.; Qudeimat, M.A.; Al-Maaita, J. Treatment of TMJ ankylosis in Jordanian children—a comparison of two surgical techniques. J Craniomaxillofac Surg 2005, 33, 30–36. [Google Scholar] [CrossRef]
- Su-Gwan, K. Treatment of temporomandibular joint ankylosis with temporalis muscle and fascia flap. Int J Oral Maxillofac Surg 2001, 30, 189–193. [Google Scholar] [CrossRef]
- Andrade, N.N.; Kalra, R.; Shetye, S.P. New protocol to prevent TMJ reankylosis and potentially life threatening complications in triad patients. Int J Oral Maxillofac Surg 2012, 41, 1495–1500. [Google Scholar] [CrossRef]








© 2013 by the author. The Author(s) 2013.
Share and Cite
Clauser, L.C.; Consorti, G.; Elia, G.; Tieghi, R.; Galiè, M. Management of Temporomandibular Joint Reankylosis in Syndromic Patients Corrected with Joint Prostheses: Surgical and Rehabilitation Protocols. Craniomaxillofac. Trauma Reconstr. 2014, 7, 71-77. https://doi.org/10.1055/s-0033-1356759
Clauser LC, Consorti G, Elia G, Tieghi R, Galiè M. Management of Temporomandibular Joint Reankylosis in Syndromic Patients Corrected with Joint Prostheses: Surgical and Rehabilitation Protocols. Craniomaxillofacial Trauma & Reconstruction. 2014; 7(1):71-77. https://doi.org/10.1055/s-0033-1356759
Chicago/Turabian StyleClauser, Luigi C., Giuseppe Consorti, Giovanni Elia, Riccardo Tieghi, and Manlio Galiè. 2014. "Management of Temporomandibular Joint Reankylosis in Syndromic Patients Corrected with Joint Prostheses: Surgical and Rehabilitation Protocols" Craniomaxillofacial Trauma & Reconstruction 7, no. 1: 71-77. https://doi.org/10.1055/s-0033-1356759
APA StyleClauser, L. C., Consorti, G., Elia, G., Tieghi, R., & Galiè, M. (2014). Management of Temporomandibular Joint Reankylosis in Syndromic Patients Corrected with Joint Prostheses: Surgical and Rehabilitation Protocols. Craniomaxillofacial Trauma & Reconstruction, 7(1), 71-77. https://doi.org/10.1055/s-0033-1356759