A Rare Case of Multiple Oblique Facial Clefts with Supernumerary Teeth: Case Report
Abstract
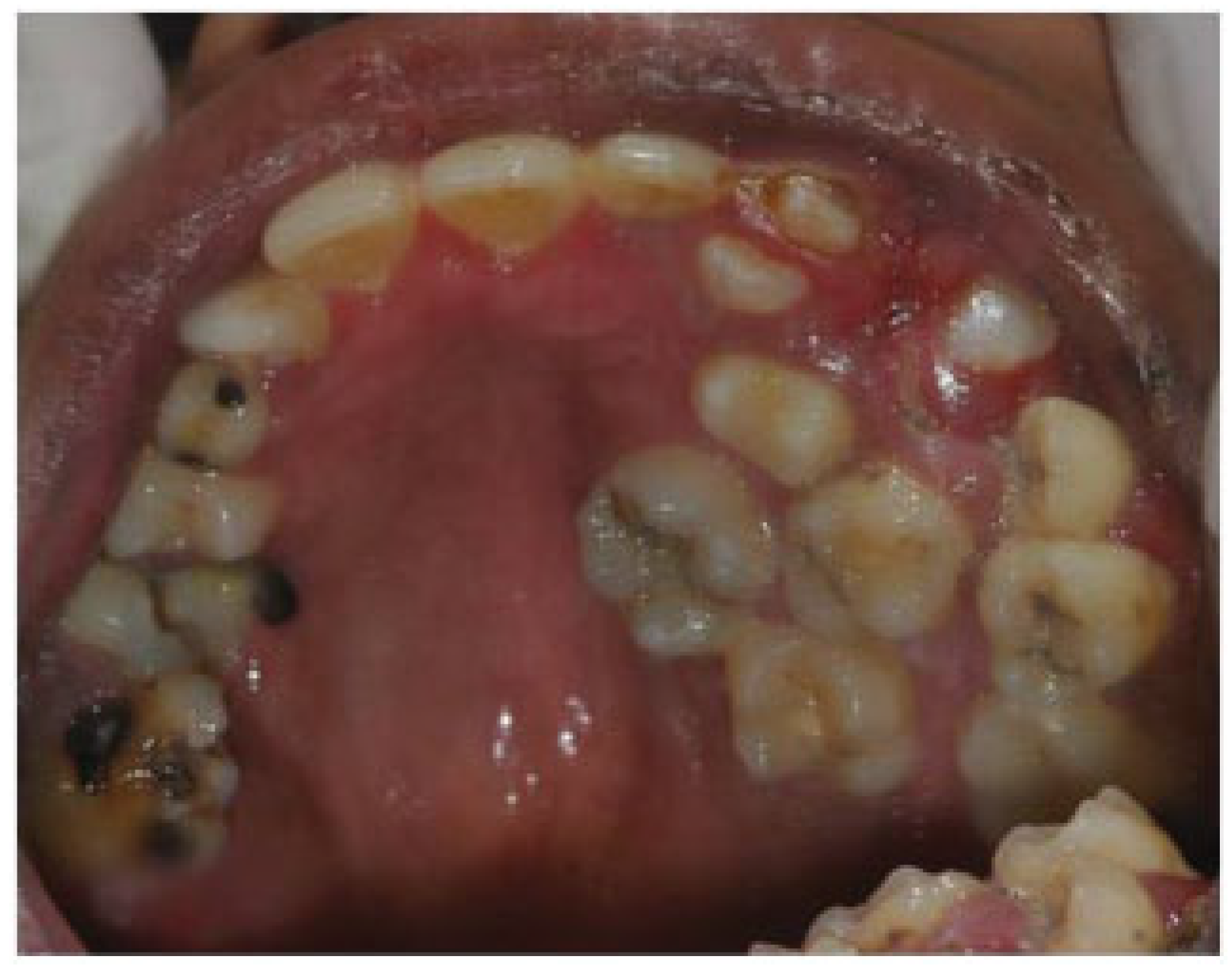
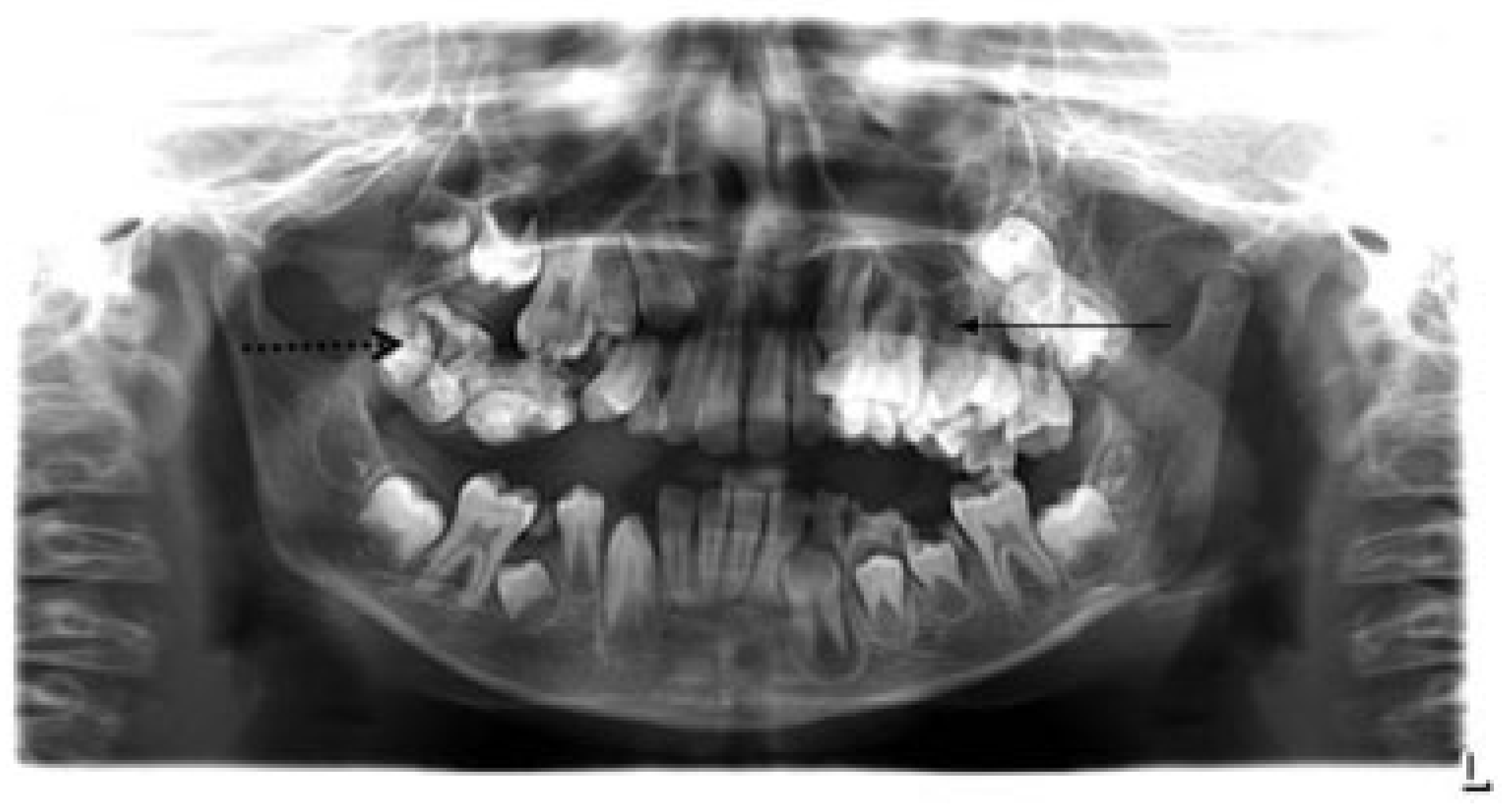
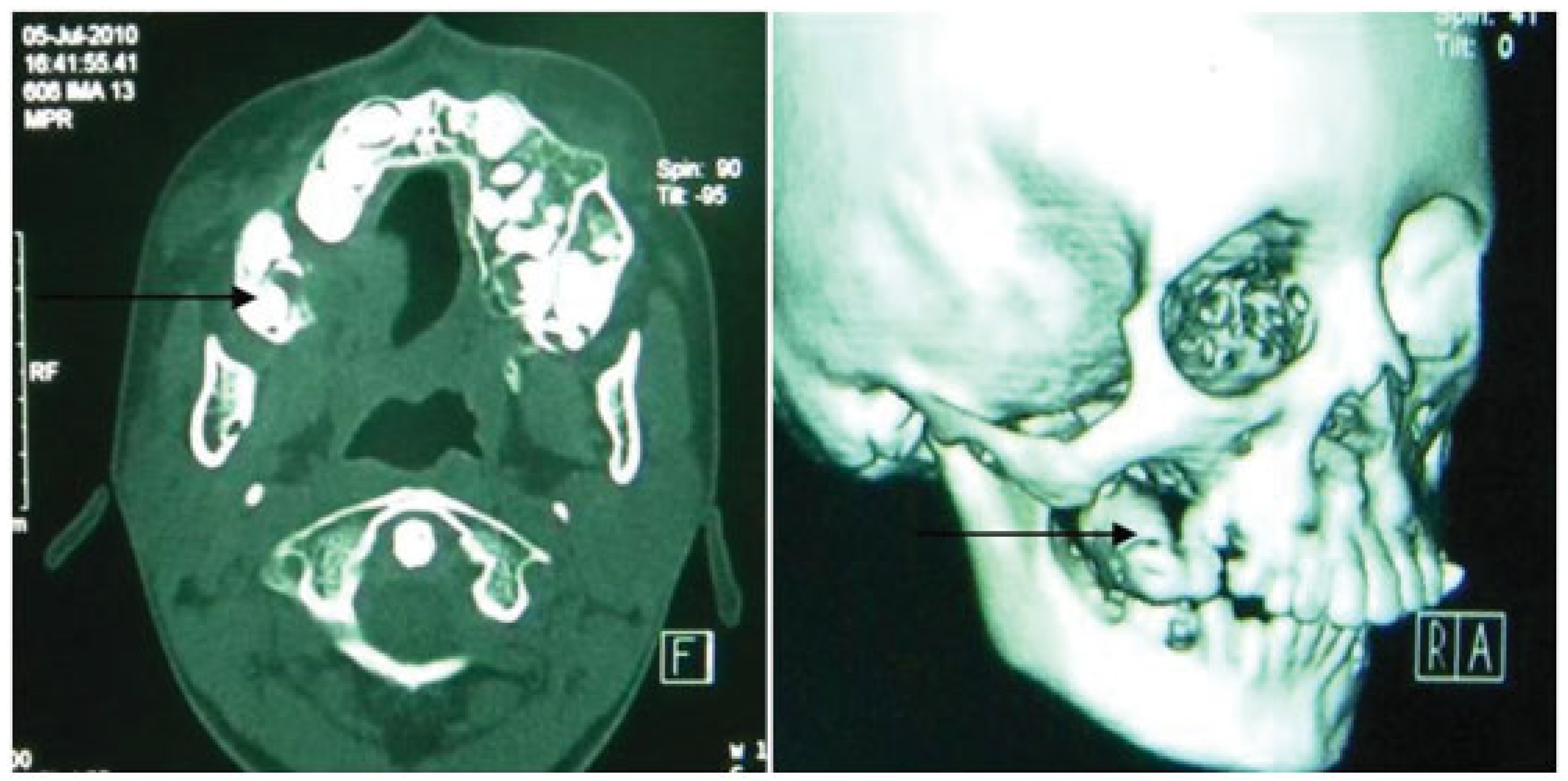
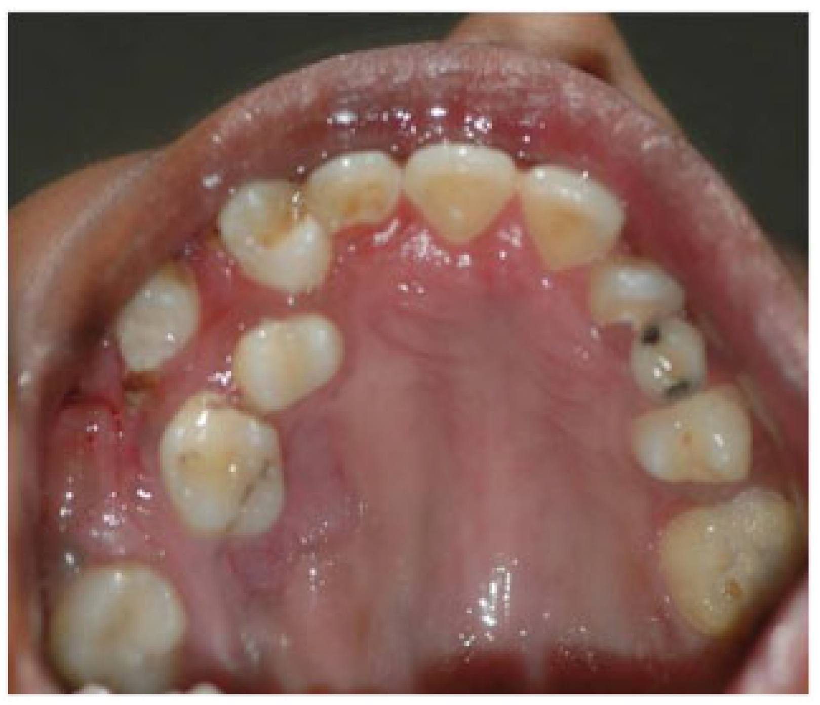
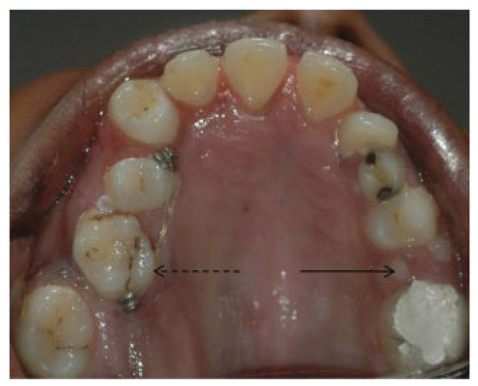
:Case Report
- Incomplete Tessier 7 soft tissue facial cleft and a complete skeletal Tessier 7 cleft on the right side
- Incomplete Tessier 5 skeletal and soft tissue Tessier 6 facial cleft on the left side
Acknowledgments
References
- Schlenker, J.D.; Ricketson, G.; Lynch, J.B. Classification of oblique facial clefts with Microopthalmia. Plast. Reconstr. Surg. 1979, 63, 680–688. [Google Scholar] [CrossRef] [PubMed]
- van der Meulen, J.C.H. Oblique facial clefts: Pathology, etiology, and reconstruction. Plast. Reconstr. Surg. 1985, 76, 212–224. [Google Scholar] [CrossRef] [PubMed]
- Tessier, P. Anatomical classification facial, cranio-facial and latero- facial clefts. J. Maxillofac. Surg. 1976, 4, 69–92. [Google Scholar] [CrossRef] [PubMed]
- van der Meulen, J.C.; Mazzola, R.; Vermey-Keers, C.; Stricker, M.; Raphael, B. A morphogenetic classification of craniofacial malformations. Plast. Reconstr. Surg. 1983, 71, 560–572. [Google Scholar] [CrossRef] [PubMed]
- Rowsell, A.R. The amniotic band disruption complex. The pathogenesis of oblique facial clefts; an experimental study in the foetal rat. Br. J. Plast. Surg. 1989, 42, 291–295. [Google Scholar] [CrossRef] [PubMed]
- Mayou, B.J.; Fenton, O.M. Oblique facial clefts caused by amniotic bands. Plast. Reconstr. Surg. 1981, 68, 675–681. [Google Scholar] [CrossRef] [PubMed]
- Coady, M.S.; Moore, M.H.; Wallis, K. Amniotic band syndrome: The association between rare facial clefts and limb ring constrictions. Plast. Reconstr. Surg. 1998, 101, 640–649. [Google Scholar] [CrossRef]
- Tereza, G.P.; Carrara, C.F.; Costa, B. Tooth abnormalities of number and position in the permanent dentition of patients with complete bilateral cleft lip and palate. Cleft Palate Craniofac J. 2010, 47, 247–252. [Google Scholar] [CrossRef] [PubMed]
- Bernardes da Silva, P.R.; Costa, B.; de Carvalho Carrara, C.F. Dental anomalies of number and position in permanent dentition of patients with bilateral cleft lip: Radiographic study. Cleft Palate Craniofac J. 2008, 45, 473–476. [Google Scholar] [CrossRef] [PubMed]
- Parameswaran, A.; Ramanathan, M.; Thomas, T.K. Surgical management of lateral facial clefts —A modified W-plasty technique. Asia J. Oral. Maxillofac. Surg. 2007, 19, 150–154. [Google Scholar] [CrossRef]











© 2008 by the author. The Author(s) 2008.
Share and Cite
Ramanathan, M.; Parameswaran, A.; Jayakumar, N.; Sneha, P.; Sailer, H.F. A Rare Case of Multiple Oblique Facial Clefts with Supernumerary Teeth: Case Report. Craniomaxillofac. Trauma Reconstr. 2012, 5, 239-242. https://doi.org/10.1055/s-0032-1329541
Ramanathan M, Parameswaran A, Jayakumar N, Sneha P, Sailer HF. A Rare Case of Multiple Oblique Facial Clefts with Supernumerary Teeth: Case Report. Craniomaxillofacial Trauma & Reconstruction. 2012; 5(4):239-242. https://doi.org/10.1055/s-0032-1329541
Chicago/Turabian StyleRamanathan, Manikandhan, Ananthnarayanan Parameswaran, Naveen Jayakumar, Pendem Sneha, and H. F. Sailer. 2012. "A Rare Case of Multiple Oblique Facial Clefts with Supernumerary Teeth: Case Report" Craniomaxillofacial Trauma & Reconstruction 5, no. 4: 239-242. https://doi.org/10.1055/s-0032-1329541
APA StyleRamanathan, M., Parameswaran, A., Jayakumar, N., Sneha, P., & Sailer, H. F. (2012). A Rare Case of Multiple Oblique Facial Clefts with Supernumerary Teeth: Case Report. Craniomaxillofacial Trauma & Reconstruction, 5(4), 239-242. https://doi.org/10.1055/s-0032-1329541