Preoperative Near-Infrared (NIR) Vein Visualization in Zygomatic Implant Perforated (ZIP) Flap †
Abstract
1. Introduction
2. Case Presentation
3. Technique
- Tumor marking and resection planning: Using CAD-CAM, mark the tumor and plan sufficient oncologic resection margins using a marking jig.
- Virtual resection: Execute virtual resection according to the tumor size and planned margins.
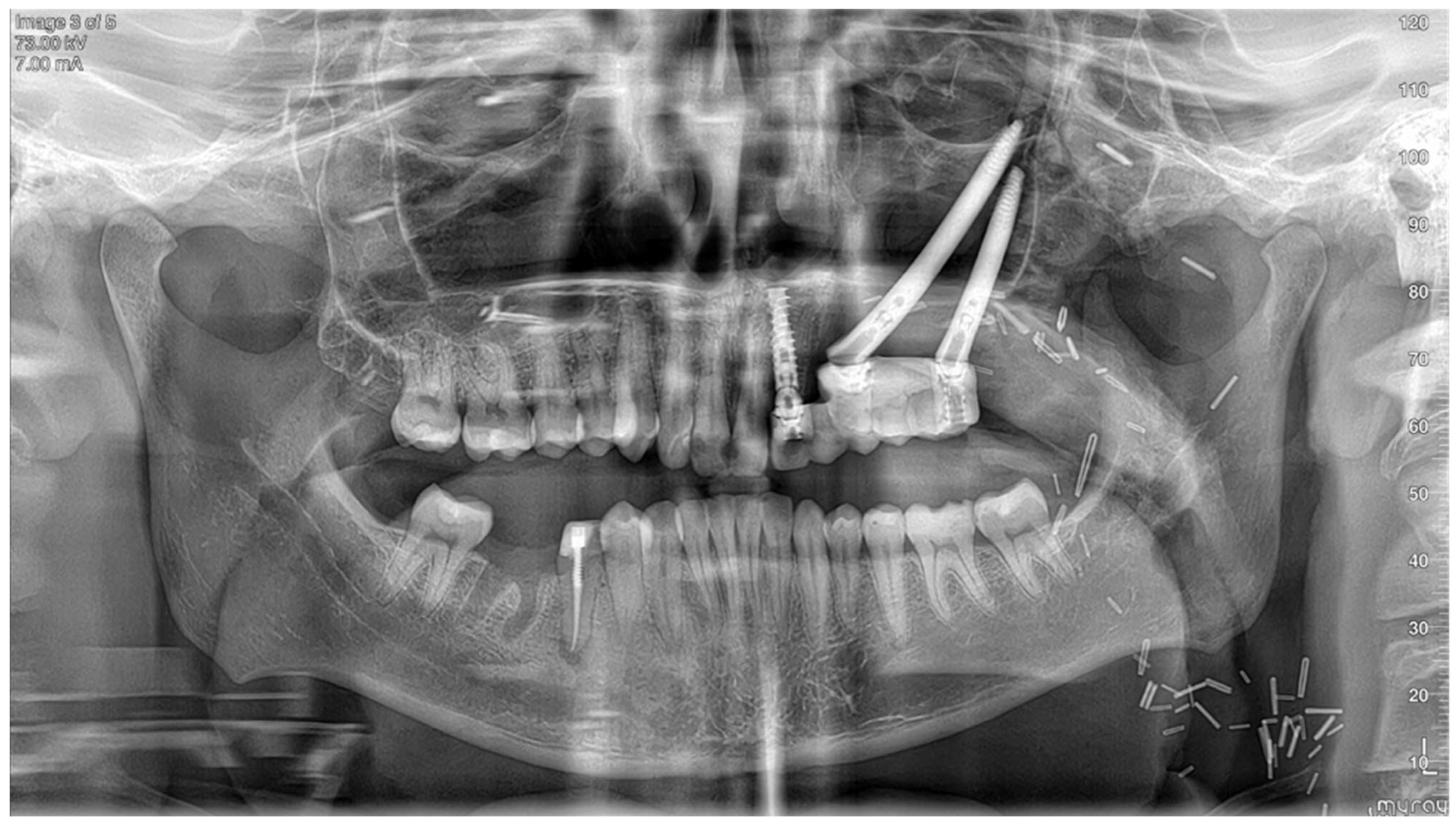
- Implant planning: Using a dental scan of both jaws, plan the positions of zygomatic implants and abutment emergence to fit the dental arch and occlusion. As a guideline, we aim for 15 mm vertical distance between the implant platform and opposing teeth.
- Surgical guide preparation: Plan a surgical guide for both zygomatic and standard implants (Figure 9). Ensure that the guide fits accurately to the post-resection maxillary and zygomatic defect boundaries. We recommend printing a 3D model to help the surgeon visualize the expected surgical defect (Figure 10). For cases with high uncertainty, surgical cutting guides can be printed (though they were not used in this case).
- Free flap template planning: Print a free-flap template from elastic material to precisely measure flap size and geometry (Figure 11). After determining the side of vascular pedicle emergence, mark the preferred perforation sites for zygomatic implants on the template.
- Vascular mapping: Using an NIR vein visualization device, mark the superficial vasculature on the skin paddle. Place the free flap template over the skin paddle, aligning the preferred perforation sites with a vascular-safe area.
- Pre-perforation verification: After free flap harvesting and insetting, palpate the abutments over the zygomatic implant just before perforating the flap to ensure proper alignment of the planned perforation site.
- Flap Perforation: Create a stab incision with a #11 blade and gently dilate with fine Mosquito forceps. Avoid over-enlarging the perforation, maintaining soft tissue tension to allow abutment insertion while preventing outward displacement. Use sutures as needed to reinforce tissue tension around the abutment.
- Immediate restoration: Following free flap anastomosis, the prosthodontic team can proceed with immediate dental restoration. This restoration can be planned using CAD-CAM, based on the planned zygomatic implants, abutment emergence, and the patient’s occlusion.




4. Discussion
5. Conclusions
Author Contributions
Funding
Institutional Review Board Statement
Informed Consent Statement
Data Availability Statement
Conflicts of Interest
References
- Hanasono, M.M.; Silva, A.K.; Yu, P.; Skoracki, R.J. A comprehensive algorithm for oncologic maxillary reconstruction. Plast. Reconstr. Surg. 2013, 131, 47–60. [Google Scholar] [CrossRef] [PubMed]
- Betz, S.; Kim, R.Y.; Jelmini, J.; Williams, F.C.; Hammer, D.A. Is Maxillary Jaw in a Day Feasible? Atlas Oral Maxillofac. Surg. Clin. N. Am. 2024, 32, 141–149. [Google Scholar] [CrossRef] [PubMed]
- Ettinger, K.S.; Arce, K.; Bunnell, A.M.; Nedrud, S.M. Mandibular Reconstruction: When to Graft, When to Flap, and When to Say No. Atlas Oral Maxillofac. Surg. Clin. N. Am. 2023, 31, 91–104. [Google Scholar] [CrossRef] [PubMed]
- Kanatas, A.; Ghazali, N.; Lowe, D.; Udberg, M.; Heseltine, J.; O’Mahony, E.; Rogers, S.N. Issues patients would like to discuss at their review consultation: Variation by early and late stage oral, oropharyngeal and laryngeal subsites. Eur. Arch. Oto-Rhino-Laryngol. 2013, 270, 1067–1074. [Google Scholar] [CrossRef] [PubMed]
- Dattani, A.; Richardson, D.; Butterworth, C.J. A novel report on the use of an oncology zygomatic implant-retained maxillary obturator in a paediatric patient. Int. J. Implant. Dent. 2017, 3, 37. [Google Scholar] [CrossRef] [PubMed]
- Hirsch, D.L.; Howell, K.L.; Levine, J.P. A novel approach to palatomaxillary reconstruction: Use of radial forearm free tissue transfer combined with zygomaticus implants. J. Oral Maxillofac. Surg. 2009, 67, 2466–2472. [Google Scholar] [CrossRef] [PubMed]
- Butterworth, C.J.; Lowe, D.; Rogers, S.N. The Zygomatic Implant Perforated (ZIP) flap reconstructive technique for the management of low-level maxillary malignancy—Clinical & patient related outcomes on 35 consecutively treated patients. Head Neck 2022, 44, 345–358. [Google Scholar] [PubMed]
- Karaaltin, M.V. Utilizing the vein viewer technology to map out a venous flap preoperatively. J. Reconstr. Microsurg. 2013, 29, 423–424. [Google Scholar] [CrossRef] [PubMed]
- Vyas, V.; Sharma, A.; Goyal, S.; Kothari, N. Infrared vein visualization devices for ease of intravenous access in children: Hope versus hype. Anaesthesiol. Intensive Ther. 2021, 53, 69–78. [Google Scholar] [CrossRef] [PubMed]
- Ferrario, S.; Sorrentino, G.; Cavallaro, G.; Cortinovis, I.; Traina, S.; Muscolo, S.; Agosteo, A.; Santini, G.; Lagostina, E.; Mosca, F. Near-infrared system’s efficiency for peripheral intravenous cannulation in a level III neonatal intensive care unit: A cross-sectional study. Eur. J. Pediatr. 2022, 181, 2747–2755. [Google Scholar] [CrossRef] [PubMed]
- Cuper, N.J.; de Graaff, J.C.; Verdaasdonk, R.M.; Kalman, C.J. Near-infrared imaging in intravenous cannulation in children: A cluster randomized clinical trial. Pediatrics 2013, 131, e191–e197. [Google Scholar] [CrossRef] [PubMed]
- Hattori, Y.; Imai, S.; Nakamura, R.; Niu, A. Use of a near-infrared vein visualization device in partial second toe pulp flap transfer for fingertip reconstruction. Microsurgery 2020, 40, 719–720. [Google Scholar] [CrossRef] [PubMed]
- Edge, R.; Butcher, R. Vein Illumination Devices in Long-Term and Acute Care Settings: A Review of Clinical Effectiveness, Cost-Effectiveness and Guidelines. Canadian Agency for Drugs and Technologies in Health. 2020. Available online: https://europepmc.org/article/NBK/nbk563452 (accessed on 11 January 2026). [PubMed]
- Lida, T.; Mihara, M.; Yoshimatsu, H.; Hara, H.; Narushima, M.; Koshima, I. Versatility of a Near-Infrared Vein Visualization Device in Plastic and Reconstructive Surgery. Plast. Reconstr. Surg. 2012, 130, 637e–638e. [Google Scholar] [CrossRef] [PubMed]
- Vosselman, N.; Glas, H.H.; de Visscher, S.A.H.; Kraeima, J.; Merema, B.J.; Reintsema, H.; Raghoebar, G.M.; Witjes, M.J.H. Immediate implant-retained prosthetic obturation after maxillectomy based on zygomatic implant placement by 3D-guided surgery: A cadaver study. Int. J. Implant. Dent. 2021, 7, 54. [Google Scholar] [CrossRef] [PubMed]









Disclaimer/Publisher’s Note: The statements, opinions and data contained in all publications are solely those of the individual author(s) and contributor(s) and not of MDPI and/or the editor(s). MDPI and/or the editor(s) disclaim responsibility for any injury to people or property resulting from any ideas, methods, instructions or products referred to in the content. |
© 2026 by the authors. Published by MDPI on behalf of the AO Foundation. Licensee MDPI, Basel, Switzerland. This article is an open access article distributed under the terms and conditions of the Creative Commons Attribution (CC BY) license.
Share and Cite
Fleissig, Y.; Elia, J.; Hirshoren, N.; Sabato, A.; Ginzburg, E.; Abu Tair, J.; Weinberger, J.M.; Sharon, S. Preoperative Near-Infrared (NIR) Vein Visualization in Zygomatic Implant Perforated (ZIP) Flap. Craniomaxillofac. Trauma Reconstr. 2026, 19, 19. https://doi.org/10.3390/cmtr19020019
Fleissig Y, Elia J, Hirshoren N, Sabato A, Ginzburg E, Abu Tair J, Weinberger JM, Sharon S. Preoperative Near-Infrared (NIR) Vein Visualization in Zygomatic Implant Perforated (ZIP) Flap. Craniomaxillofacial Trauma & Reconstruction. 2026; 19(2):19. https://doi.org/10.3390/cmtr19020019
Chicago/Turabian StyleFleissig, Yoram, Jhonatan Elia, Nir Hirshoren, Amalia Sabato, Eleonora Ginzburg, Jawad Abu Tair, Jeffrey M. Weinberger, and Shay Sharon. 2026. "Preoperative Near-Infrared (NIR) Vein Visualization in Zygomatic Implant Perforated (ZIP) Flap" Craniomaxillofacial Trauma & Reconstruction 19, no. 2: 19. https://doi.org/10.3390/cmtr19020019
APA StyleFleissig, Y., Elia, J., Hirshoren, N., Sabato, A., Ginzburg, E., Abu Tair, J., Weinberger, J. M., & Sharon, S. (2026). Preoperative Near-Infrared (NIR) Vein Visualization in Zygomatic Implant Perforated (ZIP) Flap. Craniomaxillofacial Trauma & Reconstruction, 19(2), 19. https://doi.org/10.3390/cmtr19020019

