Matrix WaveTM System for Mandibulo-Maxillary Fixation—Just Another Variation on the MMF Theme?—Part II: In Context to Self-Made Hybrid Erich Arch Bars and Commercial Hybrid MMF Systems—Literature Review and Analysis of Design Features
Abstract
1. Introduction
- To provide a compilation of the literature on hybrid MMF modalities.
- To analyze the design features and functionalities of commercial hybrid systems, focusing on their ability to preclude tooth root damage by the targeting function of the screw-receiving (bone anchor) holes/slots for interradicular bone anchorage; this is not about an objective comparison or conclusive ranking (‘superiority listing’), but to present a juxtaposition of the systems for self-evaluation by the readers.
2. Methods
3. Results
3.1. Review—MMF Appliances
3.2. Self-Made Hybrid Erich Arch Bars—EAB Modifications

3.3. Hybrid Arch Bars—Self-Made EAB Modifications—Clinical Studies in Comparison to Former MMF Modalities
3.4. The League of Commercial Hybrid MMF Systems (CHMMFS)
3.5. SMARTLock Hybrid MMF System
3.5.1. Technical Features
3.5.2. Mode of Application
3.5.3. SMARTLock Hybrid MMF System—Clinical Studies
3.5.4. SMARTLock Hybrid MMF System—Economics/Cost Analyses
3.5.5. SMARTLock Hybrid MMF System—Extended Range of Applications
3.5.6. SMARTLock Hybrid MMF System—Comprehensive Appraisal
3.6. OmniMaxTM MMF System
3.6.1. Technical Features
3.6.2. Mode of Application
3.6.3. OmniMaxTM MMF System—Clinical Studies
3.7. L1 MMF System (KLS Martin)
3.7.1. Technical Features
3.7.2. L1 MMF System—Mode of Application
3.7.3. L1 MMF Device (KLS Martin)—Clinical Studies
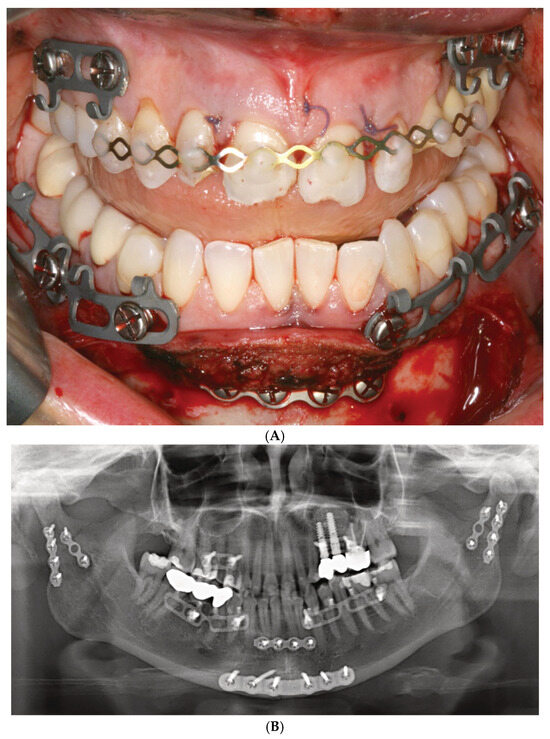
3.8. Matrix WaveTM System (DePuySynthes)
3.8.1. Technical Features
3.8.2. Mode of Application
3.8.3. MatrixWave MMF System (DePuySynthes)—Clinical Study
3.9. Juxtaposition of the League of CHMMFSs
3.9.1. Common and Distinguishing Technical Features—Embodiments, Design and Targeting Functionality
SMARTLock MMF System
OmniMax MMF System
L1 MMF System

Matrix WaveTM System
3.9.2. Bony Fixation/CHMMFS Retaining Locking Screws
3.9.3. Locking Screw Differences
3.9.4. Cleats
4. Discussion
4.1. Wire-Stick Injuries
4.2. Speed of Application
4.3. Segmentation
4.4. Removal
4.5. Screw Insertion Sites
4.6. Oral Mucosa
4.7. Recommendations—Screw Length and Diameter
4.8. Imaging
4.9. Tooth Root Injuries
4.10. Targeting Function—Juxtaposition of the Commercial Hybrid MMF League Members
4.11. Tension Banding
4.12. Transoral ORIF—Vestibular Incision Placement
4.13. Other Associated Risk Factors and Complications
4.14. Screw Loosening/Postoperative Stability
4.15. Health-Related Quality of Life
4.16. Indications
4.17. Synopsis—The League of Commercial MMF Systems (CHMMFSs)
4.18. Limitations of This Review
5. Relevance and Conclusions
Supplementary Materials
Author Contributions
Funding
Conflicts of Interest
References
- Cornelius, C.P.; Liokatis, P.G.; Doerr, T.; Matic, D.; Fusetti, S.; Rasse, M.; Gellrich, N.C.; Heiland, M.; Buchbinder, D. Matrix WaveTM System for mandibulo-maxillary fixation—Just another variation on the MMF theme ?—Part I: A review on the provenance, evolution and properties of the system. Preprints 2025. [Google Scholar] [CrossRef]
- Tellioglu, A.T.; Keser, A.; Sensöz, Ö. Maxillomandibular fixation with a combination of arch bars and screws. Eur. J. Plast. Surg. 1998, 21, 215–216. [Google Scholar] [CrossRef]
- Gibbons, A.J.; Evans, M.J.; Abdullakutty, A.; Grew, N.R. Interesting case: Arch bar support using self-drilling intermaxillary fixation screws. Br. J. Oral Maxillofac. Surg. 2005, 43, 364. [Google Scholar] [CrossRef]
- de Queiroz, S. Modification of arch bars used for intermaxillary fixation in oral and maxillofacial surgery. Int. J. Oral Maxillofac. Surg. 2013, 42, 481–482. [Google Scholar] [CrossRef] [PubMed]
- Suresh, V.; Sathyanarayanan, N.; Venugopalan, V.; Beena, A.T. A simple maneuvre for promising results—Opening the winglets of an arch bar for placement of screws: A Technical note. GJRA Glob. J. Res. Anal. 2015, 4, 368–369. [Google Scholar]
- Rothe, T.M.; Kumar, P.; Shah, N.; Shah, R.; Kumar, A.; Das, D. Evaluation of efficacy of intermaxillary fixation screws versus modified arch bar for intermaxillary fixation. Natl. J. Maxillofac. Surg. 2018, 9, 134–139. [Google Scholar] [CrossRef]
- Rothe, T.M.; Kumar, P.; Shah, N.; Shah, R.; Mahajan, A.; Kumar, A. Comparative evaluation of efficacy of conventional arch bar, intermaxillary fixation screws, and modified arch bar for intermaxillary fixation. J. Maxillofac. Oral Surg. 2019, 18, 412–418. [Google Scholar] [CrossRef]
- Pathak, P.; Thomas, S.; Bhargava, D.; Beena, S. A prospective comparative clinical study on modified screw retained arch bar (SRAB) and conventional Erich’s arch bar (CEAB). Oral Maxillofac. Surg. 2019, 23, 285–289. [Google Scholar] [CrossRef]
- Hassan, S.; Farooq, S.; Kapoor, M.; Shah, A. Comparative evaluation of modified Erich’s arch bar, conventional Erich’s arch bar and intermaxillary fixation screws in maxillo-mandibular fixation: A prospective clinical study. Int. J. Med. Res. Res. Prof. 2018, 4, 41–45. [Google Scholar] [CrossRef][Green Version]
- Venugopalan, V.; Satheesh, G.; Balatandayoudham, A.; Duraimurugan, S.; Balaji, T.S. A comparative randomized prospective clinical study on modified Erich arch bar with conventional Erich arch bar for maxillomandibular fixation. Ann. Maxillofac. Surg. 2020, 10, 287–291. [Google Scholar] [CrossRef]
- Elhadidi, M.H.; Awad, S.; Elsheikh, H.A.; Tawfik, M.A. Comparison of clinical efficacy of screw-retained arch bar vs conventional Erich’s arch bar in maxillomandibular fixation: A randomized clinical trial. J. Contemp. Dent. Pract. 2023, 24, 928–935. [Google Scholar] [CrossRef] [PubMed]
- Kohler, K.; Pinto, J.; Johnston, T.S.; Papay, F.A., Jr. Maxillo-mandibular, Fixation, Devices. Patent No. U.S. 10,470,806 B2, 12 November 2019. [Google Scholar]
- Marcus, J.R. Intermaxillary Fixation Device and Method of Using Same. Patent No. U.S. 8,118,850 B2, 21 February 2012. [Google Scholar]
- Marcus, J.R.; Powers, D. Stryker SMARTLock Hybrid Maxillomandibular Fixation System: Clinical application, complications, and radiographic findings. Plast Reconstr. Surg. 2016, 138, 948e–949e. [Google Scholar] [CrossRef] [PubMed]
- Nizam, S.A.; Ziccardi, V.B. Use of hybrid MMF in oral and maxillofacial surgery: A retrospective review. J. Maxillofac. Trauma 2014, 3, 1–8. [Google Scholar]
- Chao, A.H.; Hulsen, J. Bone-supported arch bars are associated with comparable outcomes to Erich arch bars in the treatment of mandibular fractures with intermaxillary fixation. J. Oral Maxillofac. Surg. 2015, 73, 306–313. [Google Scholar] [CrossRef]
- Kendrick, D.E.; Park, C.M.; Fa, J.M.; Barber, J.S.; Indresano, A.T. Stryker SMARTLock Hybrid Maxillomandibular Fixation System: Clinical application, complications, and radiographic findings. Plast. Reconstr. Surg. 2016, 137, 142e–150e. [Google Scholar] [CrossRef]
- Kendrick, D.E.; Park, C.M. Reply: Stryker SMARTLock Hybrid Maxillomandibular Fixation System: Clinical application, complications, and radiographic findings. Plast. Reconstr. Surg. 2016, 138, 949e–950e. [Google Scholar] [CrossRef]
- Rani, E.B.; Reddy, S.; Amarnath, K.; Suresh Kumar, M.; Visalakhshi, G. Bone supported arch bar versus Erich arch bar for intermaxillary fixation: A comparative clinical study in maxillofacial fractures. Int. J. Curr. Res. 2018, 10, 69848–69850. [Google Scholar]
- Bouloux, G.F. Publication: Does the use of hybrid arch bars for the treatment of mandibular fractures reduce the length of surgery? J. Oral Maxillofac. Surg. 2018, 76, 2592–2597. [Google Scholar] [CrossRef]
- King, B.J.; Christensen, B.J. Hybrid arch bars reduce placement time and glove perforations compared with Erich arch bars during the application of intermaxillary fixation: A randomized controlled trial. J. Oral Maxillofac. Surg. 2019, 77, e1–e1228. [Google Scholar] [CrossRef]
- Khelemsky, R.; Powers, D.; Greenberg, S.; Suresh, V.; Silver, E.J.; Turner, M. The hybrid arch bar is a cost-beneficial alternative in the open treatment of mandibular fractures. Craniomaxillofac. Trauma Reconstr. 2019, 12, 128–133. [Google Scholar] [CrossRef]
- Sankar, H.; Rai, S.; Jolly, S.S.; Rattan, V. Comparison of efficacy and safety of hybrid arch bar with Erich arch bar in the management of mandibular fractures: A randomized clinical trial. Craniomaxillofac. Trauma Reconstr. 2023, 16, 94–101. [Google Scholar] [CrossRef] [PubMed]
- Burman, S.; Rao, S.; Ankush, A.; Uppal, N. Comparison of hybrid arch bar versus conventional arch bar for temporary maxillomandibular fixation during treatment of jaw fractures: A prospective comparative study. J. Korean Assoc. Oral Maxillofac. Surg. 2023, 49, 332–338. [Google Scholar] [CrossRef] [PubMed]
- Roeder, R.A.; Guo, L.; Lim, A.A. Is the SMARTLock Hybrid Maxillomandibular Fixation System comparable to intermaxillary fixation screws in closed reduction of condylar fractures? Ann. Plast. Surg. 2018, 81 (Suppl. 1), S35–S38. [Google Scholar] [CrossRef] [PubMed]
- Aslam-Pervez, N.; Caccamese, J.F.; Warburton, G., Jr. A randomized prospective comparison of maxillomandibular fixation (MMF) techniques: “SMARTLock” hybrid MMF versus MMF screws. Oral Surg. Oral Med. Oral Pathol. Oral Radiol. 2020, 130, 640–644. [Google Scholar] [CrossRef]
- Edmunds, M.C.; McKnight, T.A.; Runyan, C.M.; Downs, B.W.; Wallin, J.L. A clinical comparison and economic evaluation of Erich arch bars, 4-point fixation, and bone-supported arch bars for maxillomandibular fixation. JAMA Otolaryngol. Head Neck Surg. 2019, 145, 536–541. [Google Scholar] [CrossRef]
- Salavadi, R.K.; Sowmya, J.; Mani Kumari, B.; Kamath, K.P.; Anand, P.S.; Kumar, N.M.R.; Jadhav, P. Comparison of the efficacy of Erich arch bars, IMF screws and SMART Lock Hybrid arch bars in the management of mandibular fractures—A Randomized clinical study. J. Stomatol. Oral Maxillofac. Surg. 2025, 102217. [Google Scholar] [CrossRef]
- Wilt, D.; Kim, C.; StJohn, D. Do hybrid arch bars pose a risk to the dentition? In Proceedings of the American College of Oral and Maxillofacial Surgeons—40th Annual Scientififc Conference and Exhibition, Santa Fe, NM, USA, 7–9 April 2019. [Google Scholar]
- Carlson, A.R.; Shammas, R.L.; Allori, A.C.; Powers, D.B. A technique for reduction of edentulous fractures using dentures and SMARTLock Hybrid Fixation System. Plast. Reconstr. Surg. Glob. Open 2017, 5, e1473. [Google Scholar] [CrossRef]
- Jain, A.; Taneja, S.; Rai, A. What is a better modality of maxillomandibular fixation: Bone-supported arch bars or Erich arch bars? A systematic review and meta-analysis. Br. J. Oral Maxillofac. Surg. 2021, 59, 858–866. [Google Scholar] [CrossRef]
- Sulistyani, L.D.; Ariawan, D.; Julia, V.; Latief, M.A.; Utomo, Y.A.; Heriasti, M.D.; Santiago, S.; Utami, D.D.; Ristiawan, I. Treatment outcome comparison between tooth borne vs bone borne intermaxillary fixation devices-a systematic review. J. Int. Dent. Med. Res. 2024, 17, 435–444. [Google Scholar]
- Hamid, S.T.; Bede, S.Y. The use of screw retained hybrid arch bar for maxillomandibular fixation in the treatment of mandibular fractures: A comparative study. Ann. Maxillofac. Surg. 2021, 11, 247–252. [Google Scholar] [CrossRef]
- Kalluri, M.H.; Edalatpour, A.; Thadikonda, K.M.; Blum, J.D.; Garland, C.B.; Cho, D.Y. Patient outcomes and complications following various maxillomandibular fixation techniques: A systematic review and meta-analysis. J. Plast. Reconstr. Aesthetic Surg. 2024, 92, 151–176. [Google Scholar] [CrossRef] [PubMed]
- Ghobadi, S.; Garcia, S.R.; Hausman, A.; Robinson, S.; Billard, M.; Luby, R.N. Contourable Plate. U.S. Patent No. 0,297,272 A1, 22 October 2015. [Google Scholar]
- Aukerman, W.; Dodson, B.; Simunich, T.; Shayesteh, K. Comparison of Biomet Omnimax(©) versus traditional arch bar placement in trauma patients with facial fractures. Am. Surg. 2022, 88, 523–524. [Google Scholar] [CrossRef] [PubMed]
- Morio, W.; Kendrick, D.E.; Steed, M.B.; Stein, K.M. The Omnimax MMF System: A cohort study for clinical evaluation. Preliminary results of an ongoing study. J. Oral Maxillofac. Surg. 2018, 76, e79–e80. [Google Scholar] [CrossRef]
- Woodburn, W.N.; Griffith, W.; Barber, J.R.; Parranto, G. Flexible Maxillo-Mandibular Fixation Device. U.S. Patent No. 982,077 B2, 23 June 2018. [Google Scholar]
- Kiwanuka, E.; Iyengar, R.; Jehle, C.C.; Mehrzad, R.; Kwan, D. The use of Synthes MatrixWAVE bone anchored arch bars for closed treatment of multiple concurrent mandibular fractures. J. Oral Biol. Craniofac. Res. 2017, 7, 153–157. [Google Scholar] [CrossRef]
- Frigg, R.; Richter, J.; Leuenberger, S.; Cornelius, C.P.; Hamel, R.J. Flexible Maxillo-Mandibular Fixation Device. Patent No. US 10,130,404 B2, 20 November 2018. [Google Scholar]
- Ainamo, A.; Ainamo, J.; Poikkeus, R. Continuous widening of the band of attached gingiva from 23 to 65 years of age. J. Periodontal Res. 1981, 16, 595–599. [Google Scholar] [CrossRef]
- Anand, P.S.; Bansal, A.; Shenoi, B.R.; Kamath, K.P.; Kamath, N.P.; Anil, S. Width and thickness of the gingiva in periodontally healthy individuals in a central Indian population: A cross-sectional study. Clin. Oral Investig. 2022, 26, 751–759. [Google Scholar] [CrossRef]
- Ainamo, J.; Löe, H. Anatomical characteristics of gingiva. A clinical and microscopic study of the free and attached gingiva. J. Periodontol. 1966, 37, 5–13. [Google Scholar] [CrossRef]
- Jennes, M.E.; Sachse, C.; Flugge, T.; Preissner, S.; Heiland, M.; Nahles, S. Gender- and age-related differences in the width of attached gingiva and clinical crown length in anterior teeth. BMC Oral Health 2021, 21, 287. [Google Scholar] [CrossRef]
- Vlachodimou, E.; Fragkioudakis, I.; Vouros, I. Is There an Association between the Gingival Phenotype and the Width of Keratinized Gingiva? A Systematic Review. Dent. J. 2021, 9, 34. [Google Scholar] [CrossRef]
- Ayoub, A.F.; Rowson, J. Comparative assessment of two methods used for interdental immobilization. J. Craniomaxillofac. Surg. 2003, 31, 159–161. [Google Scholar] [CrossRef]
- Bali, R.; Sharma, P.; Garg, A. Incidence and patterns of needlestick injuries during intermaxillary fixation. Br. J. Oral Maxillofac. Surg. 2011, 49, 221–224. [Google Scholar] [CrossRef] [PubMed]
- Osodin, T.E.; Akadiri, O.A.; Akinmoladun, V.I.; Fasola, A.O.; Olaitan, A.A. Surgical Glove Perforation and Percutaneous Injury during Intermaxillary Fixation with 0.5 Mm Stainless Steel Wire. West Afr. J. Med. 2022, 39, 823–828. [Google Scholar]
- Brandtner, C.; Borumandi, F.; Krenkel, C.; Gaggl, A. Blunt wires in oral and maxillofacial surgery. Br. J. Oral Maxillofac. Surg. 2015, 53, 301–302. [Google Scholar] [CrossRef] [PubMed]
- Saman, M.; Kadakia, S.; Ducic, Y. Postoperative maxillomandibular fixation after open reduction of mandible fractures. JAMA Facial Plast. Surg. 2014, 16, 410–413. [Google Scholar] [CrossRef] [PubMed][Green Version]
- Oruc, M.; Isik, V.M.; Kankaya, Y.; Gürsoy, K.; Sungur, N.; Aslan, G.; Koçer, U. Analysis of fractured mandible over two decades. J. Craniofac. Surg. 2016, 27, 1457–1461. [Google Scholar] [CrossRef]
- Ellis, E., 3rd; Carlson, D.S. The effects of mandibular immobilization on the masticatory system. A review. Clin. Plast. Surg. 1989, 16, 133–146. [Google Scholar]
- Ellis, E., 3rd; Graham, J. Use of a 2.0-mm locking plate/screw system for mandibular fracture surgery. J. Oral Maxillofac. Surg. 2002, 60, 642–645; discussion 645–646. [Google Scholar] [CrossRef]
- Rughubar, V.; Vares, Y.; Singh, P.; Filipsky, A.; Creanga, A.; Iqbal, S.; Alkhalil, M.; Kormi, E.; Hanken, H.; Calle, A.R.; et al. Combination of rigid and nonrigid fixation versus nonrigid fixation for bilateral mandibular fractures: A multicenter randomized controlled trial. J. Oral Maxillofac. Surg. 2020, 78, 1781–1794. [Google Scholar] [CrossRef]
- Diaconu, S.C.; McNichols, C.H.L.; Liang, Y.; Orkoulas-Razis, D.B.; Woodall, J.; Rasko, Y.M.; Grant, M.P.; Nam, A.J. Utility of postoperative mandibulomaxillary fixation after rigid internal fixation of isolated mandibular fractures. J. Craniofac. Surg. 2018, 29, 930–936. [Google Scholar] [CrossRef]
- Kumar, I.; Singh, V.; Bhagol, A.; Goel, M.; Gandhi, S. Supplemental maxillomandibular fixation with miniplate osteosynthesis-required or not? Oral Maxillofac. Surg. 2011, 15, 27–30. [Google Scholar] [CrossRef]
- Roccia, F.; Sobrero, F.; Raveggi, E.; Rabufetti, A.; Scolozzi, P.; Dubron, K.; Politis, C.; Ganasouli, D.; Zanakis, S.N.; Jelovac, D.; et al. European multicenter prospective analysis of the use of maxillomandibular fixation for mandibular fractures treated with open reduction and internal fixation. J Stomatol Oral Maxillofac Surg. 2023, 124, 101376. [Google Scholar] [CrossRef] [PubMed]
- Shenoy, N.A.; Shah, N.; Shah, J. A questionnaire survey on postoperative intermaxillary fixation in mandibular trauma: Is its use based on evidence? Natl. J. Maxillofac. Surg. 2011, 2, 141–146. [Google Scholar] [CrossRef] [PubMed]
- Brettin, B.T.; Grosland, N.M.; Qian, F.; Southard, K.A.; Stuntz, T.D.; Morgan, T.A.; Marshall, S.D.; Southard, T.E. Bicortical vs monocortical orthodontic skeletal anchorage. Am. J. Orthod. Dentofac. Orthop. 2008, 134, 625–635. [Google Scholar] [CrossRef]
- Yang, L.; Li, F.; Cao, M.; Chen, H.; Wang, X.; Chen, X.; Gao, W.; Petrone, J.F.; Ding, Y. Quantitative evaluation of maxillary interradicular bone with cone-beam computed tomography for bicortical placement of orthodontic mini-implants. Am. J. Orthod. Dentofac. Orthop. 2015, 147, 725–737. [Google Scholar] [CrossRef]
- Haddad, R.; Saadeh, M. Distance to alveolar crestal bone: A critical factor in the success of orthodontic mini-implants. Prog. Orthod. 2019, 20, 19. [Google Scholar] [CrossRef]
- Pan, F.; Kau, C.H.; Zhou, H.; Souccar, N. The anatomical evaluation of the dental arches using cone beam computed tomography--an investigation of the availability of bone for placement of mini-screws. Head. Face Med. 2013, 9, 13. [Google Scholar] [CrossRef]
- Lee, K.J.; Joo, E.; Kim, K.D.; Lee, J.S.; Park, Y.C.; Yu, H.S. Computed tomographic analysis of tooth-bearing alveolar bone for orthodontic miniscrew placement. Am. J. Orthod. Dentofac. Orthop. 2009, 135, 486–494. [Google Scholar] [CrossRef]
- Cheng, S.J.; Tseng, I.Y.; Lee, J.J.; Kok, S.H. A prospective study of the risk factors associated with failure of mini-implants used for orthodontic anchorage. Int. J. Oral. Maxillofac. Implants 2004, 19, 100–106. [Google Scholar]
- Palone, M.; Darsie, A.; Maino, G.B.; Siciliani, G.; Spedicato, G.A.; Lombardo, L. Analysis of biological and structural factors implicated in the clinical success of orthodontic miniscrews at posterior maxillary interradicular sites. Clin. Oral Investig. 2022, 26, 3523–3532. [Google Scholar] [CrossRef]
- Xin, Y.; Wu, Y.; Chen, C.; Wang, C.; Zhao, L. Miniscrews for orthodontic anchorage: Analysis of risk factors correlated with the progressive susceptibility to failure. Am. J. Orthod. Dentofac. Orthop. 2022, 162, e192–e202. [Google Scholar] [CrossRef]
- Poggio, P.M.; Incorvati, C.; Velo, S.; Carano, A. “Safe zones”: A guide for miniscrew positioning in the maxillary and mandibular arch. Angle Orthod. 2006, 76, 191–197. [Google Scholar] [CrossRef] [PubMed]
- Mehta, S.; Arqub, S.A.; Sharma, R.; Patel, N.; Tadinada, A.; Upadhyay, M.; Yadav, S. Variability associated with mandibular ramus area thickness and depth in subjects with different growth patterns, gender, and growth status. Am. J. Orthod. Dentofac. Orthop. 2022, 161, e223–e234. [Google Scholar] [CrossRef] [PubMed]
- Deguchi, T.; Nasu, M.; Murakami, K.; Yabuuchi, T.; Kamioka, H.; Takano-Yamamoto, T. Quantitative evaluation of cortical bone thickness with computed tomographic scanning for orthodontic implants. Am. J. Orthod. Dentofac. Orthop. 2006, 129, 721.e7–721.e12. [Google Scholar] [CrossRef]
- Park, J.; Cho, H.J. Three-dimensional evaluation of interradicular spaces and cortical bone thickness for the placement and initial stability of microimplants in adults. Am. J. Orthod. Dentofac. Orthop. 2009, 136, 314.e1–314.e12; discussion 314–315. [Google Scholar] [CrossRef]
- Ikenaka, R.; Koizumi, S.; Otsuka, T.; Yamaguchi, T. Effects of root contact length on the failure rate of anchor screw. J. Oral Sci. 2022, 64, 232–235. [Google Scholar] [CrossRef]
- Falci, S.G.; Douglas-de-Oliveira, D.W.; Stella, P.E.; Santos, C.R. Is the Erich arch bar the best intermaxillary fixation method in maxillofacial fractures? A systematic review. Med. Oral Patol. Oral Cir. Bucal. 2015, 20, e494–e499. [Google Scholar] [CrossRef]
- Kuroda, S.; Yamada, K.; Deguchi, T.; Hashimoto, T.; Kyung, H.M.; Takano-Yamamoto, T. Root proximity is a major factor for screw failure in orthodontic anchorage. Am. J. Orthod. Dentofac. Orthop. 2007, 131 (Suppl. 4), S68–S73. [Google Scholar] [CrossRef]
- Martinelli, F.L.; Luiz, R.R.; Faria, M.; Nojima, L.I. Anatomic variability in alveolar sites for skeletal anchorage. Am. J. Orthod. Dentofac. Orthop. 2010, 138, 252.e1–252.e9; discussion 252–253. [Google Scholar] [CrossRef]
- Bhalla, K.; Kalha, A.S. Co-axial computed tomography for optimizing orthodontic miniscrew implant size and site of placement. Int. J. Orthod. Milwaukee 2013, 24, 33–35. [Google Scholar]
- Caetano, G.R.; Soares, M.Q.; Oliveira, L.B.; Junqueira, J.L.; Nascimento, M.C. Two-dimensional radiographs versus cone-beam computed tomography in planning mini-implant placement: A systematic review. J. Clin. Exp. Dent. 2022, 14, e669–e677. [Google Scholar] [CrossRef]
- An, J.H.; Kim, Y.I.; Kim, S.S.; Park, S.B.; Son, W.S.; Kim, S.H. Root proximity of miniscrews at a variety of maxillary and mandibular buccal sites: Reliability of panoramic radiography. Angle Orthod. 2019, 89, 611–616. [Google Scholar] [CrossRef] [PubMed]
- Asscherickx, K.; Vannet, B.V.; Wehrbein, H.; Sabzevar, M.M. Root repair after injury from mini-screw. Clin. Oral Implants Res. 2005, 16, 575–578. [Google Scholar] [CrossRef] [PubMed]
- Brisceno, C.E.; Rossouw, P.E.; Carrillo, R.; Spears, R.; Buschang, P.H. Healing of the roots and surrounding structures after intentional damage with miniscrew implants. Am. J. Orthod. Dentofac. Orthop. 2009, 135, 292–301. [Google Scholar] [CrossRef] [PubMed]
- Dao, V.; Renjen, R.; Prasad, H.S.; Rohrer, M.D.; Maganzini, A.L.; Kraut, R.A. Cementum, pulp, periodontal ligament, and bone response after direct injury with orthodontic anchorage screws: A histomorphologic study in an animal model. J. Oral Maxillofac. Surg. 2009, 67, 2440–2445. [Google Scholar] [CrossRef]
- Roccia, F.; Tavolaccini, A.; Dell’Acqua, A.; Fasolis, M. An audit of mandibular fractures treated by intermaxillary fixation using intraoral cortical bone screws. J. Craniomaxillofac. Surg. 2005, 33, 251–254. [Google Scholar] [CrossRef]
- Rai, A.; Datarkar, A.; Borle, R.M. Are maxillomandibular fixation screws a better option than Erich arch bars in achieving maxillomandibular fixation? A randomized clinical study. J. Oral Maxillofac. Surg. 2011, 69, 3015–3018. [Google Scholar] [CrossRef]
- West, G.H.; Griggs, J.A.; Chandran, R.; Precheur, H.V.; Buchanan, W.; Caloss, R. Treatment outcomes with the use of maxillomandibular fixation screws in the management of mandible fractures. J. Oral Maxillofac. Surg. 2014, 72, 112–120. [Google Scholar] [CrossRef]
- Spiessl, B. Application of the tension band principle in the Mandible, Tension band plate Part I, Basic principles, 4.1.2.1–4.1.2.4. In Internal Fixation of the Mandible—A Manual of AO/ASIF Principles; Springer: Berlin/Heidelberg, Germany, 1989; p. 34 f. [Google Scholar]
- Yaremchuck, M.J.; Manson, P.N. Rigid internal fixation of mandibular fractures. In Rigid Fixation of the Craniomaxillofacial Skeleton; Yaremchuk, M.J., Gruss, J., Manson, P.N., Eds.; Butterworth-Heinemann: Oxford, UK, 1992; Chapter 14; pp. 179–186. [Google Scholar]
- Holmes, S.; Hutchison, I. Caution in use of bicortical intermaxillary fixation screws. Br. J. Oral Maxillofac. Surg. 2000, 38, 574. [Google Scholar] [CrossRef]
- Farr, D.R.; Whear, N.M. Intermaxillary fixation screws and tooth damage. Br. J. Oral Maxillofac. Surg. 2002, 40, 84–85. [Google Scholar] [CrossRef]
- Coburn, D.G.; Kennedy, D.W.; Hodder, S.C. Complications with intermaxillary fixation screws in the management of fractured mandibles. Br. J. Oral Maxillofac. Surg. 2002, 40, 241–243. [Google Scholar] [CrossRef]
- Schulte, W.; Lukas, D. The Periotest method. Int. Dent. J. 1992, 42, 433–440. [Google Scholar] [PubMed]
- Schulte, W.; Lukas, D. Periotest to monitor osseointegration and to check the occlusion in oral implantology. J. Oral Implantol. 1993, 19, 23–32. [Google Scholar] [PubMed]
- Watanabe, T.; Miyazawa, K.; Fujiwara, T.; Kawaguchi, M.; Tabuchi, M.; Goto, S. Insertion torque and Periotest values are important factors predicting outcome after orthodontic miniscrew placement. Am. J. Orthod. Dentofac. Orthop. 2017, 152, 483–488. [Google Scholar] [CrossRef]
- Mardirossian, G. Intermaxillary fixation-torture or therapy? Clin. Prev. Dent. 1982, 4, 22–24.106. [Google Scholar]
- Nayak, S.S.; Gadicherla, S.; Roy, S.; Chichra, M.; Dhaundiyal, S.; Nayak, V.S.; Kamath, V. Assessment of quality of life in patients with surgically treated maxillofacial fractures. F1000Research 2023, 12, 483. [Google Scholar] [CrossRef]
- Omeje, K.U.; Rana, M.; Adebola, A.R.; Efunkoya, A.A.; Olasoji, H.O.; Purcz, N.; Gellrich, N.-C.; Rana, M. Quality of life in treatment of mandibular fractures using closed reduction and maxillomandibular fixation in comparison with open reduction and internal fixation—A randomized prospective study. J. Craniomaxillofac. Surg. 2014, 42, 1821–1826. [Google Scholar] [CrossRef]
- van den Bergh, B.; de Mol van Otterloo, J.J.; van der Ploeg, T.; Tuinzing, D.B.; Forouzanfar, T. IMF-screws or arch bars as conservative treatment for mandibular condyle fractures: Quality of life aspects. J. Craniomaxillofac. Surg. 2015, 43, 1004–1009. [Google Scholar] [CrossRef]
- Kim, Y.G.; Yoon, S.H.; Oh, J.W.; Kim, D.H.; Lee, K.C. Comparison of intermaxillary fixation techniques for mandibular fractures with focus on patient experience. Arch. Craniofac. Surg. 2022, 23, 23–28. [Google Scholar] [CrossRef]
- Han, M.D.; Gray, S.; Grodman, E.; Schiappa, M.; Kusnoto, B.; Miloro, M. Does maxillomandibular fixation technique affect occlusion quality in segmental LeFort I osteotomy? J. Oral Maxillofac. Surg. 2024, 82, 648–654. [Google Scholar] [CrossRef]
- Ali, A.S.; Graham, R.M. Perils of intermaxillary fixation screws. Br. J. Oral Maxillofac. Surg. 2020, 58, 728–730. [Google Scholar] [CrossRef]
- Sharaf, B.A.; Morris, J.M.; Kuruoglu, D. EPPOCRATIS: A point-of-care utilization of virtual surgical planning and three-dimensional printing for the management of acute craniomaxillofacial trauma. J. Clin. Med. 2021, 10, 5640. [Google Scholar] [CrossRef] [PubMed]
- Salinas, C.A.; Morris, J.M.; Sharaf, B.A. Craniomaxillofacial trauma: The past, present and the future. J. Craniofac. Surg. 2023, 34, 1427–1430. [Google Scholar] [CrossRef] [PubMed]
- Liokatis, P.G.; Cornelius, C.P.; Thompson, G.; Gebretsadik, H.; Diaz, V. A registry study to collect clinical data on the MatrixWAVETM Mandibulo-Maxillary Fixation System (FRMatrixWAVE). Patient recruitment and data evaluation completed. In Preparation—End 2025. 2025; in press. [Google Scholar]
- Schopper, H.; Krane, N.A.; Sykes, K.J.; Yu, K.; Kriet, J.D.; Humphrey, C.D. Trends in maxillomandibular fixation technique at a single academic institution. Craniomaxillofac. Trauma Reconstr. 2024, 17, 119–123. [Google Scholar] [CrossRef] [PubMed]
- Johnson, A.W.; Akkina, S.R.; Bevans, S.E. Maxillomandibular fixation: Understanding the risks and benefits of contemporary techniques in adults. Facial Plast Surg. Aesthet. Med. 2025, 27, 98–105. [Google Scholar] [CrossRef]
- Akkina, S.R.; Bevans, S.E.; Johnson, A.W. Techniques for maxillomandibular fixation: Old and new. Curr. Opin. Otolaryngol. Head Neck Surg. 2025, 33, 216–221. [Google Scholar] [CrossRef]
- Greene, J.C.; Vermillion, J.R. The simplified oral hygiene index. J. Am. Dent. Assoc. 1964, 68, 7–13. [Google Scholar] [CrossRef]
- Turesky, S.; Gilmore, N.D.; Glickman, I. Reduced plaque formation by the chloromethyl analogue of victamine C. J. Periodontol. 1970, 41, 41–43. [Google Scholar] [CrossRef]
- Quigley, G.A.; Hein, J.W. Comparative cleansing efficiency of manual and power brushing. J. Am. Dent. Assoc. 1962, 65, 26–29. [Google Scholar] [CrossRef]
- Pieper, S.P.; Schimmele, S.R.; Johnson, J.A.; Harper, J.L. A prospective study of the efficacy of various gloving techniques in the application of Erich arch bars. J. Oral Maxillofac. Surg. 1995, 53, 1174–1176; discussion 1177. [Google Scholar] [CrossRef]
- Campos, J.; Zucoloto, M.L.; Bonafé, F.S.S.; Maroco, J. General Oral Health Assessment Index: A new evaluation proposal. Gerodontology 2017, 34, 334–342. [Google Scholar] [CrossRef]
- Win, K.K.; Handa, Y.; Ichihara, H.; Tatematsu, N.; Fujitsuka, H.; Ohkubo, T. Intermaxillary fixation using screws. Report of a technique. Int. J. Oral Maxillofac. Surg. 1991, 20, 283–284. [Google Scholar] [CrossRef] [PubMed]
- Newaskar, V.; Agrawal, D.; Idrees, F.; Patel, P. Simple way of fixing a Gunning-type splint to the bone using intermaxillary fixation screws: Technical note. Br. J. Oral Maxillofac. Surg. 2013, 51, e59–e60. [Google Scholar] [CrossRef] [PubMed]
- Chaudhary, Z.; Sharma, R.; Krishnan, S. Maxillo Mandibular Fixation in Edentulous Scenarios: Combined MMF Screws and Gunning Splints. J. Maxillofac. Oral Surg. 2014, 13, 213–214. [Google Scholar] [CrossRef]
- Wolter, D. Bone Plate Arrangement. U.S. Patent No. 4,794,918, 3 January 1989. [Google Scholar]
- Wolter, D.; Schümann, U.; Seide, K. Universeller Titanfixateur interne.Entwicklungsgeschichte, Prinzip, Mechanik, Implantatgestaltung und operativer Einsatz. [The universal titanium internal fixator. Development, mechanics, implant design, and surgical application]. Trauma Berufskrankheit. 1999, 1, 307–319. [Google Scholar] [CrossRef]
- Greenbaum, T.; Pitance, L.; Kedem, R.; Emodi-Perlman, A. The mouth-opening muscular performance in adults with and without temporomandibular disorders: A systematic review. J. Oral Rehabil. 2022, 49, 476–494. [Google Scholar] [CrossRef]
- Brunton, P.A.; Loch, C.; Waddell, J.N.; Bodansky, H.J.; Hall, R.; Gray, A. Estimation of jaw-opening forces in adults. Orthod. Craniofac. Res. 2018, 21, 57–62. [Google Scholar] [CrossRef]
- Alsamak, S.; Psomiadis, S.; Gkantidis, N. Positional guidelines for orthodontic mini-implant placement in the anterior alveolar region: A systematic review. Int. J. Oral. Maxillofac. Implants 2013, 28, 470–479. [Google Scholar] [CrossRef]
- Shalchi, M.; Kajan, Z.D.; Shabani, M.; Khosravifard, N.; Khabbaz, S.; Khaksari, F. Cone-Beam Computed Tomographic Assessment of Bone Thickness in the Mandibular Anterior Region for Application of Orthodontic Mini-Screws. Turk. J. Orthod. 2021, 34, 102–108. [Google Scholar] [CrossRef]
- Fayed, M.M.; Pazera, P.; Katsaros, C. Optimal sites for orthodontic mini-implant placement assessed by cone beam computed tomography. Angle Orthod. 2010, 80, 939–951. [Google Scholar] [CrossRef]
- Limeres Posse, J.; Abeleira Pazos, M.T.; Fernandez Casado, M.; Outumuro Rial, M.; Diz Dios, P.; Diniz-Freitas, M. Safe zones of the maxillary alveolar bone in Down syndrome for orthodontic miniscrew placement assessed with cone-beam computed tomography. Sci. Rep. 2019, 9, 12996. [Google Scholar] [CrossRef]
- Hasani, M.; Afzoon, S.; Karandish, M.; Parastar, M. Three-dimensional evaluation of the cortical and cancellous bone density and thickness for miniscrew insertion: A CBCT study of interradicular area of adults with different facial growth pattern. BMC Oral Health 2023, 23, 753. [Google Scholar] [CrossRef] [PubMed]
- Li, H.; Zhang, H.; Smales, R.J.; Zhang, Y.; Ni, Y.; Ma, J.; Wang, L. Effect of 3 vertical facial patterns on alveolar bone quality at selected miniscrew implant sites. Implant Dent. 2014, 23, 92–97. [Google Scholar] [CrossRef] [PubMed]
- Nucera, R.; Lo Giudice, A.; Bellocchio, A.M.; Spinuzza, P.; Caprioglio, A.; Perillo, L.; Matarese, G.; Cordasco, G. Bone and cortical bone thickness of mandibular buccal shelf for mini- screw insertion in adults. Angle Orthod. 2017, 87, 745–751. [Google Scholar] [CrossRef] [PubMed]
- Nucera, R.; Bellocchio, A.M.; Oteri, G.; Farah, A.J.; Rosalia, L.; Giancarlo, C.; Portelli, M. Bone and cortical bone characteristics of mandibular retromolar trigone and anterior ramus region for miniscrew insertion in adults. Am. J. Orthod. Dentofac. Orthop. 2019, 155, 330–338. [Google Scholar] [CrossRef]















| Maxillae—in the Space Between: |
|---|
| central and lateral incisors |
| 2nd premolar and 1st molar |
| 1st molar and 2nd molar (= intermolar) |
| Mandible—in the space between: |
| lateral incisor and canine |
| 1st and 2nd premolar |
| 2nd premolar and 1st molar |
| 1st molar and 2nd molar (= intermolar) |
Disclaimer/Publisher’s Note: The statements, opinions and data contained in all publications are solely those of the individual author(s) and contributor(s) and not of MDPI and/or the editor(s). MDPI and/or the editor(s) disclaim responsibility for any injury to people or property resulting from any ideas, methods, instructions or products referred to in the content. |
© 2025 by the authors. Published by MDPI on behalf of the AO Foundation. Licensee MDPI, Basel, Switzerland. This article is an open access article distributed under the terms and conditions of the Creative Commons Attribution (CC BY) license (https://creativecommons.org/licenses/by/4.0/).
Share and Cite
Cornelius, C.-P.; Liokatis, P.G.; Doerr, T.; Matic, D.; Fusetti, S.; Rasse, M.; Gellrich, N.C.; Heiland, M.; Schubert, W.; Buchbinder, D. Matrix WaveTM System for Mandibulo-Maxillary Fixation—Just Another Variation on the MMF Theme?—Part II: In Context to Self-Made Hybrid Erich Arch Bars and Commercial Hybrid MMF Systems—Literature Review and Analysis of Design Features. Craniomaxillofac. Trauma Reconstr. 2025, 18, 33. https://doi.org/10.3390/cmtr18030033
Cornelius C-P, Liokatis PG, Doerr T, Matic D, Fusetti S, Rasse M, Gellrich NC, Heiland M, Schubert W, Buchbinder D. Matrix WaveTM System for Mandibulo-Maxillary Fixation—Just Another Variation on the MMF Theme?—Part II: In Context to Self-Made Hybrid Erich Arch Bars and Commercial Hybrid MMF Systems—Literature Review and Analysis of Design Features. Craniomaxillofacial Trauma & Reconstruction. 2025; 18(3):33. https://doi.org/10.3390/cmtr18030033
Chicago/Turabian StyleCornelius, Carl-Peter, Paris Georgios Liokatis, Timothy Doerr, Damir Matic, Stefano Fusetti, Michael Rasse, Nils Claudius Gellrich, Max Heiland, Warren Schubert, and Daniel Buchbinder. 2025. "Matrix WaveTM System for Mandibulo-Maxillary Fixation—Just Another Variation on the MMF Theme?—Part II: In Context to Self-Made Hybrid Erich Arch Bars and Commercial Hybrid MMF Systems—Literature Review and Analysis of Design Features" Craniomaxillofacial Trauma & Reconstruction 18, no. 3: 33. https://doi.org/10.3390/cmtr18030033
APA StyleCornelius, C.-P., Liokatis, P. G., Doerr, T., Matic, D., Fusetti, S., Rasse, M., Gellrich, N. C., Heiland, M., Schubert, W., & Buchbinder, D. (2025). Matrix WaveTM System for Mandibulo-Maxillary Fixation—Just Another Variation on the MMF Theme?—Part II: In Context to Self-Made Hybrid Erich Arch Bars and Commercial Hybrid MMF Systems—Literature Review and Analysis of Design Features. Craniomaxillofacial Trauma & Reconstruction, 18(3), 33. https://doi.org/10.3390/cmtr18030033

