Next Article in Journal
Quality: A Community Commitment
Previous Article in Journal
Long-Term Complications of Isolated and Combined Condylar Fractures: A Retrospective Study
 
 
Craniomaxillofacial Trauma & Reconstruction is published by MDPI from Volume 18 Issue 1 (2025). Previous articles were published by another publisher in Open Access under a CC-BY (or CC-BY-NC-ND) licence, and they are hosted by MDPI on mdpi.com as a courtesy and upon agreement with Sage.
Font Type:
Arial Georgia Verdana
Font Size:
Aa Aa Aa
Line Spacing:
Column Width:
Background:
Case Report

Staged Head and Neck Reconstruction: Heresy or a Reasoned Approach in a Select Group of Patients?

by
Mark L. Urken
1,2,
Quinn O’Malley
1,
Mykayla Sandler
1,
Monica H. Xing
1,*,
Edward Ansari
2,
Neil Mundi
2,
Daniel Buchbinder
2,
Eran Alon
3 and
Devin Okay
2
1
The THANC (Thyroid, Head and Neck Cancer) Foundation 10 Union Square East, Suite 5B, New York, NY 10003, USA
2
Department of Otolaryngology-Head and Neck Surgery, Icahn School of Medicine at Mount Sinai Hospital, Mount Sinai Beth Israel, New York, NY, USA
3
Department of Otolaryngology Head and Neck Surgery, The Chaim Sheba Medical Center, Tel-Hashomer, Israel
*
Author to whom correspondence should be addressed.
Craniomaxillofac. Trauma Reconstr. 2022, 15(3), 253-263; https://doi.org/10.1177/19433875211031361
Submission received: 1 November 2020 / Revised: 1 December 2020 / Accepted: 1 January 2021 / Published: 8 July 2021

Abstract

:
Study Design: case series. Objective: The restoration of defects in a single procedure with microvascular free flap reconstruction has become a mainstay of head and neck surgery. Yet in patients with complex defects and pre-existing comorbid medical conditions, a staged-reconstructive approach can enhance the safety of the procedure and improve the patient’s outcome. Methods: We present 3 representative case examples of a larger series of patients who underwent reconstruction of major defects and discuss the usefulness of a staged-reconstructive approach in the management of complex patients. Results: All 3 patients, with an existing composite defect in the setting of prior radiation therapy, underwent successful staged-reconstructive surgery using a variety of free tissue and regional flap transfers. Conclusions: A staged approach facilitates the reconstruction of complex composite defects, increases vessel availability, and mitigates the risk of flap failure. Although this approach commits the patient to multiple procedures and a more prolonged plan of care, it is preferable to 1 operation in specific complex situations with adverse, high-risk clinical features.

Introduction

Surgical management of head and neck cancer has evolved to utilize microvascular free flap reconstruction following ablative surgery for patients with advanced disease. A major thrust of the contemporary era of microvascular reconstructive surgery is the restoration of patients at the time of the ablative procedure. This stands in stark contrast to the prior era of head and neck reconstructive surgery, in which surgeons relied on time-consuming and often laborious techniques to reconstruct complex defects. Some of these procedures included using flap delay to expand the vascularity of marginal areas and to waltz tissue from distant sites.[1,2]
However, there is a subset of advanced head and neck cancer patients who are unsuitable candidates for single-stage reconstructions, and are better served by multi-staged procedures. These patients often present with complex comorbid medical conditions and have had prior surgery and radiation therapy.
In this select group of patients, it has been the senior author’s approach to adopt a staged set of reconstructions. This method allows for closure of the oral cavity and eliminates the risk of a salivary leak in future procedures, while decreasing the number of vascular anastomoses required in any given operation. Additionally, the first stage of the reconstruction can provide potential recipient vessels for a subsequent stage, decreasing the need for vein grafts in the vessel-depleted neck.
This paper aims to present a select group of patients managed with sequential reconstructions to increase awareness of the clinical circumstances and techniques employed. There are no other reported series in the literature that address this management approach.

Methods

We report a case series of three patients treated at our institution who underwent staged reconstructions of major defects following initial treatment for head and neck cancer.
Case 1
A 65-year-old male with a history of multiply-recurrent basal cell skin cancers of the head and neck region presented with a large palatomaxillary defect, significant distortion of the upper lip, and a severe nasal deformity. His medical history was significant for being immunocompromised secondary to therapy for a lung transplant at age 40.
The patient’s skin cancer was initially treated with combined resection and adjuvant radiation of the nose. Four years later, the patient underwent total nasal reconstruction with a forehead flap at an outside institution, during which residual carcinoma was found. This persistent disease was subsequently treated with proton therapy. One year following proton therapy, the patient underwent a palatomaxillectomy resection for a new cancer, leaving a large nasal defect and an opening in the right cheek that directly communicated with the mouth and maxillectomy cavity (Figure 1).
Since the patient was immunocompromised and heavily radiated, it was decided to stage the reconstructive surgeries to allow for sealing of the oral cavity, before proceeding with an osteocutaneous fibula free flap. In the first stage, the patient underwent reconstruction of the midface region using a combination of a radial forearm flap and a submental island transposition flap. The former was used to reconstruct the soft tissue lining of the oral cavity and the palatal defect, while the latter was used to restore the facial skin with color matched skin.
The second stage was performed three months later with reconstruction of the palatomaxillary defect using a left fibular free flap. Preoperative computer planning was performed to achieve two goals: restoration of the palatal arch with vascularized bone (Figure 2); and the positioning of vascularized bone at the nasion to permit strategic placement of osseointegrated implants to support a nasal prosthesis (Figure 3).
The patient underwent reirradiation for orbital squamous cell carcinoma (SCC) with a second course of proton therapy (Figure 4). Despite the intervening radiation therapy, dental rehabilitation was successfully achieved with dental implants placed into the fibula flap (Figure 5).
Case 2
A 55-year-old female with a history of SCC of the maxilla presented with a composite defect involving her right cheek, nose, and palatomaxillary complex. The patient’s maxillary SCC was initially treated at an outside institution with resection and reconstruction using an iliac crest free flap, which was unsuccessful due to vascular compromise in the postoperative period. She was not a candidate for a fibular transfer due to unfavorable arterial anatomy of the lower extremity. A left radial forearm free flap was performed to reconstruct this extensive defect, followed by concurrent chemoradiation (Figure 6). Following adjuvant therapy, the patient was left with a large defect in her cheek, which communicated directly with the oral cavity through the maxillectomy cavity.
The initial approach was to perform a left scapular free flap, which was complicated by early postoperative flap ischemia that could not be corrected despite salvage efforts. A hematologic workup revealed a factor V Leiden (FVL) mutation.
It was determined that proceeding with free tissue transfer would be best accomplished in a staged fashion with perioperative prophylactic heparinization. Bone reconstruction was felt to be vital for a successful outcome, and a staged approach to reconstruction with the remaining scapular flap was the preferred course of action.
At the first stage, the patient underwent a right radial forearm free flap to reconstruct the palate and seal the oral cavity. Performing only the radial forearm free flap during the first stage of the reconstruction necessitated only 1 vascular anastomosis and permitted a potential arterial graft and venous graft that could then be used in the second phase for the scapular flap transfer.
The second stage was performed three months later with the reconstruction of the right maxilla and right facial skin using a right scapular free flap. Unfortunately, the radial artery was thrombosed and could not be utilized for the new scapular free flap. As a result, the decision was made to harvest the transverse cervical artery and the internal jugular vein, along with a cephalic vein graft. The patient’s post-operative course was uneventful, and she remained on heparin for two weeks before being transitioned to coumadin.
The patient had significant scarring of the right facial skin, as well as a severe ectropion. To overcome this deformity, she then underwent an ipsilateral posterior scalp flap, measuring 8 cm × 6 cm. A tissue expander was placed and a delay phenomenon was performed by incising the boundaries of the flap (Figure 7). Once the 6 cm × 4 cm tissue expander was in place, four endosseous maxillary dental implants were placed into the scapula.
After six weeks of expansion, the patient underwent transfer of the posterior scalp flap, which resurfaced the entire right half of the midface and extended to the inferior orbital rim. The patient still needed additional skin in the cheek below the lower eyelid, so a superiorly based cheek flap (8 x 3 cm) was transferred to restore this region (Figure 8). The patient subsequently underwent placement of a provisional dental prosthesis using the previously placed endosseous maxillary implants (Figure 9). Her final nasal reconstruction involved transfer of a paramedian forehead flap to reconstruct the persistent deformity on the right side of the nose (Figure 10). The patient healed well and is scheduled to have a definitive dental prosthesis fabricated as well as refinement of the facial soft tissues.
Case 3
A 29-year-old man presented for reconstruction of a combined mandibular-maxillary defect. He had a complex 12-year history of treatment for adenoid cystic carcinoma of the right maxillary sinus. The patient had initially been treated with external beam radiation; nine years later, he underwent an extensive resection of the right maxillary sinus and base of skull for a recurrence. Rehabilitation of the palatal defect was achieved with a palatal prosthesis.
The patient then presented to our clinic one year later with a central palatal defect, as well as mandibular osteoradionecrosis that had resulted in a pathologic fracture. The patient had severe trismus that prevented him from removing his palatal prosthesis. In addition, the skin of the right cheek showed signs of thinning over the fracture and severe radiation fibrosis (Figure 11).
A staged approach was adopted in order to address the patient’s multitude of problems. At the initial surgery, a segmental mandibular resection and coronoidectomy were performed. The bony mandibular defect was bridged with a 3D reconstruction plate. During this procedure, the central palatal defect was reconstructed with a radial forearm flap that sealed the palate and restored the mucosa of the right cheek and floor of mouth (Figure 12). A subcutaneous fascial extension of the radial forearm flap was placed over the reconstruction plate to protect the thinned, radiated facial skin (Figure 13).
Despite this maneuver, it became evident that the damaged skin would not tolerate the mandibular fixation hardware. To overcome this problem, a tissue expander was placed into the donor site of the right posterior scalp flap (Figure 14). Following pre-expansion of the posterior scalp flap for six weeks, a fibular free flap was transferred to reconstruct the mandibular defect, and the posterior scalp flap was placed over the posterior, inferior cheek (Figure 15). After three weeks of uneventful healing, the posterior scalp flap was transected and returned (Figure 16).

Discussion

In the early era of head and neck reconstruction, surgeons attempted complex and often time-consuming procedures to successfully transfer tissue from donor sites. The “waltzing” tubed pedicled flap, described by Sir Harold Gillies involved a tube of skin and soft tissue that was swung or “waltzed” to the recipient site in a series of surgical procedures that relied upon neovascularization of the skin, allowing it to be moved to the desired recipient site in a step wise fashion.[1] Tagliacozzi described a method to reconstruct the nose, in which a skin flap from the arm was sutured to the nasal stump while retaining its blood supply in the arm until a new blood supply was established in the face.[3] After a period of time, the flap was released from the arm and based solely on the vascular supply in the face.[3]
One of the major advances associated with the advent of microvascular surgery was the reliable, single-stage transfer of tissue of varying types to the head and neck region.[4] The ability to achieve reconstruction in a single operative setting saved time, allowed for a more rapid preparedness to undergo adjuvant therapy, and provided a quicker return to a favorable quality of life. However, select cases may require multiple flaps transferred from more than 1 donor site in order to achieve the desired outcome.
Difficulties in free tissue reconstruction can occur due to the availability of recipient vessels, impaired wound healing in previously radiated recipient sites, presence of thrombotic disorders, infection, and poor local tissue vascularity. These factors make reconstruction in a single operation particularly risky and place valuable donor tissue at risk.
The three patients described in this series had extensive previous treatment and underlying conditions that complicated reconstructive efforts. They each had a composite defect in the setting of prior radiation therapy involving multiple facial subunits. In two patients, this defect was addressed with a pre-expanded posterior scalp flap, while a submental flap was used in the third to restore facial skin with skin of favorably matched color and texture. In all three cases there was a need to import vascularized bone and soft tissue, which was achieved with a fibular flap in two patients and a scapular flap in the third.
In Case 1, the patient was immunocompromised due to his previous lung transplant. Immunosuppressive medications have been shown to impair wound healing and to increase the risk of flap loss, anastomotic thrombosis, and operative morbidity.[5] In addition, extensive radiation therapy led to a recipient bed with impaired wound healing.
After the transfer of the radial forearm flap to seal the oral cavity and the submental flap to reconstruct the cutaneous defect of the cheek, the stage was set for the transfer of vascularized bone. The goal of the bone transfer was three-fold: 1. to establish midface architectural support and upper lip projection; 2. to provide a platform of vascularized bone for implant placement to support dental rehabilitation; 3. to strategically introduce vascularized bone for implant placement to retain a nasal prosthesis. Dental rehabilitation was readily accomplished along with a secondary vestibuloplasty in order to promote oral competence.
In Case 2, the patient suffered from an underlying hypercoagulable state that resulted in two free flap failures. This led to the decision to stage the procedures in order to ensure the safe and successful transfer of a soft tissue free flap before putting another bone flap at risk. In addition, an attempt was made to avoid a vein graft in the subsequent scapular transfer by placing the radial artery in a strategic location for use in that second free flap. However, that radial artery could not be repurposed for arterial inflow to the scapular flap due to subsequent thrombosis. Anticoagulation was utilized throughout the perioperative period for the scapular flap. Perioperative therapeutic heparinization was employed with trepidation for the transfer of a microvascular flap as large as a scapular free flap.
In Case 3, the patient presented with a twice radiated recipient site. Reconstructive procedures performed in previously radiated settings are associated with higher complication rates, due in part to the creation of an environment of chronic ischemia in the recipient bed caused by destruction of the microvasculature.[6,7,8] These risks are magnified in head and neck reconstructions due to the impact on recipient vessels, which are prone to more advanced atherosclerotic changes, thereby impacting the safety and reliability of microsurgical procedures.[9,10]
Staging of the reconstruction achieves several benefits. The first stage can serve as documentation of wound healing and proof that the patient can undergo a successful free flap. Staged reconstruction also allows for the importation of additional recipient vessels that can be utilized for subsequent flap transfers. This strategy was adopted in Case 2 in this series, but the radial artery thrombosed after cessation of anticoagulation following the first procedure, which eliminated this option in the subsequent flap transfer.
In planning a staged procedure, there is no absolute rule that determines how much time should pass following the first stage before the second stage of the reconstruction can be performed. In general, we give patients at least three to four weeks after the first procedure to allow them to fully recover. If the second procedure involves pre-expansion of a skin flap, the time between procedures will need to be prolonged to allow for adequate expansion. Successful wound healing after each stage must be documented in order to proceed to the subsequent stage.

Conclusion

At times, a staged reconstruction with multiple, sequential surgeries may be preferable to a single operation with multiple components. This facilitates the reconstruction of different anatomical components, allows for the demonstration of flap success following the first stage, and improves vessel availability in patients with impaired wound healing, coagulopathies, and immunosuppression. Sealing of the oral cavity and elimination of the risk of a salivary fistula in subsequent stages reduces risk of flap loss. Donor site utilization must be planned in a strategic manner in order to achieve the desired outcome and maximum benefit for the patient.

Funding

The author(s) received no financial support for the research, authorship, and/or publication of this article.

Acknowledgments

We thank the Mount Sinai Health System for its generous support of this research.

Conflicts of Interest

The author(s) declared no potential conflicts of interest with respect to the research, authorship, and/or publication of this article.

References

  1. Matthews, D.N. Gillies: mastermind of modern plastic surgery. Br J Plast Surg. 1979, 32, 68–77. [Google Scholar] [CrossRef] [PubMed]
  2. Bakamjian, V.Y. A Two-stage method for pharyngoesophageal reconstruction with a primary pectoral skin flap. Plast Reconstr Surg. 1965, 36, 173–184. [Google Scholar] [CrossRef] [PubMed]
  3. Zimbler, M.S. Gaspare Tagliacozzi (1545-1599): renaissance surgeon. Arch Facial Plast Surg. 2001, 3, 283–284. [Google Scholar] [CrossRef] [PubMed]
  4. Vos, J.D.; Burkey, B.B. Functional outcomes after free flap reconstruction of the upper aerodigestive tract. Curr Opin Otolaryngol Head Neck Surg. 2004, 12, 305–310. [Google Scholar] [CrossRef] [PubMed]
  5. Sbitany, H.; Xu, X.; Hansen, S.L.; Young, D.M.; Hoffman, W.Y. The effects of immunosuppressive medications on outcomes in microvascular free tissue transfer. Plast Reconstr Surg. 2014, 133, 552e–558e. [Google Scholar] [CrossRef] [PubMed]
  6. Lee, S.; Thiele, C. Factors associated with free flap complications after head and neck reconstruction and the molecular basis of fibrotic tissue rearrangement in preirradiated soft tissue. J Oral Maxillofac Surg. 2010, 68, 2169–2178. [Google Scholar] [CrossRef] [PubMed]
  7. Momeni, A.; Kim, R.Y.; Kattan, A.; Tennefoss, J.; Lee, T.H.; Lee, G.K. The effect of preoperative radiotherapy on complication rate after microsurgical head and neck reconstruction. J Plast Reconstr Aesthet Surg. 2011, 64, 1454–1459. [Google Scholar] [CrossRef] [PubMed]
  8. Benatar, M.J.; Dassonville, O.; Chamorey, E.; et al. Impact of preoperative radiotherapy on head and neck free flap reconstruction: a report on 429 cases. J Plast Reconstr Aesthet Surg. 2013, 66, 478–482. [Google Scholar] [CrossRef] [PubMed]
  9. Bengtson, B.P.; Schusterman, M.A.; Baldwin, B.J.; et al. Influence of prior radiotherapy on the development of postoperative complications and success of free tissue transfers in head and neck cancer reconstruction. Am J Surg. 1993, 166, 326–330. [Google Scholar] [CrossRef] [PubMed]
  10. Krag, C.; De Rose, G.; Lyczakowski, T.; Freeman, C.R.; Shapiro, S.H. Free flaps and irradiated recipient vessels: an experimental study in rabbits. Br J Plast Surg. 1982, 35, 328–336. [Google Scholar] [CrossRef] [PubMed]
Figure 1. Preoperative photo of this patient with a large orocutaneous and oroantral fistula, upper lip retraction, and nasal deformity.
Figure 1. Preoperative photo of this patient with a large orocutaneous and oroantral fistula, upper lip retraction, and nasal deformity.
Cmtr 15 00034 g001
Figure 2. Having completed the first stage in the reconstruction with a combined submental flap (A) and a radial forearm flap to resurface the palate, computer planning was performed. The 3D images demonstrate the extent of the midface defect (B) and the design of the fibular free flap to restore the palatal arch and to bring vascularized bone to the cephalad portion of the rhinectomy defect for placement of implants to support a nasal prosthesis (C). The complexity of the bone design and contouring is demonstrated (D).
Figure 2. Having completed the first stage in the reconstruction with a combined submental flap (A) and a radial forearm flap to resurface the palate, computer planning was performed. The 3D images demonstrate the extent of the midface defect (B) and the design of the fibular free flap to restore the palatal arch and to bring vascularized bone to the cephalad portion of the rhinectomy defect for placement of implants to support a nasal prosthesis (C). The complexity of the bone design and contouring is demonstrated (D).
Cmtr 15 00034 g002
Figure 3. Occlusal view of Stage II Implant surgery with palatal tissue transfer and vestibuloplasty (A). A surgical stent is connected to the implants immediately in order to promote healing over 6 to 8 weeks and to advance function. It is left in place until a definitive prosthesis is fabricated (B).
Figure 3. Occlusal view of Stage II Implant surgery with palatal tissue transfer and vestibuloplasty (A). A surgical stent is connected to the implants immediately in order to promote healing over 6 to 8 weeks and to advance function. It is left in place until a definitive prosthesis is fabricated (B).
Cmtr 15 00034 g003
Figure 4. Once healing is completed, an implant-supported fixed dental prosthesis is attached to the implants (A). The prosthesis is screw-retained and is retrievable. Occlusal view after palatomaxillary reconstruction and prosthetic rehabilitation (B).
Figure 4. Once healing is completed, an implant-supported fixed dental prosthesis is attached to the implants (A). The prosthesis is screw-retained and is retrievable. Occlusal view after palatomaxillary reconstruction and prosthetic rehabilitation (B).
Cmtr 15 00034 g004
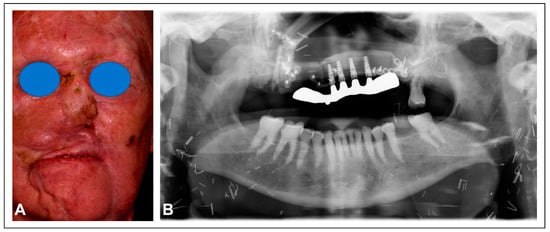
Figure 5. Frontal view of the patient status-post fibula free flap reconstruction of the mid-face (A). Panoramic radiographic of fibula reconstruction and implant rehabilitation with titanium framework (B). Surgical reconstruction to re-establish the stable base of the maxilla with an implant-supported fixed dental prosthesis provides optimal functional recovery to the patient.
Figure 5. Frontal view of the patient status-post fibula free flap reconstruction of the mid-face (A). Panoramic radiographic of fibula reconstruction and implant rehabilitation with titanium framework (B). Surgical reconstruction to re-establish the stable base of the maxilla with an implant-supported fixed dental prosthesis provides optimal functional recovery to the patient.
Cmtr 15 00034 g005
Figure 6. Following a right maxillectomy and partial rhinectomy, as well as a failed iliac free flap, the patient underwent a radial forearm free flap to repair the defect (A). The patient desired to have dental rehabilitation of the upper palate (B).
Figure 6. Following a right maxillectomy and partial rhinectomy, as well as a failed iliac free flap, the patient underwent a radial forearm free flap to repair the defect (A). The patient desired to have dental rehabilitation of the upper palate (B).
Cmtr 15 00034 g006
Figure 7. The patient had persistent scarring of the right cheek as well severe retraction of the lower eyelid following a successful staged radial forearm flap which was then followed by a scapular osteocutaneous free flap, both performed with therapeutic anticoagulation during the perioperative period. A tissue expander was placed into the right posterior scalp flap donor site (A), and subsequent transfer was combined with release of the lower eyelid (B).
Figure 7. The patient had persistent scarring of the right cheek as well severe retraction of the lower eyelid following a successful staged radial forearm flap which was then followed by a scapular osteocutaneous free flap, both performed with therapeutic anticoagulation during the perioperative period. A tissue expander was placed into the right posterior scalp flap donor site (A), and subsequent transfer was combined with release of the lower eyelid (B).
Cmtr 15 00034 g007
Figure 8. Three weeks following flap transfer, the distal superior tip of the posterior scalp flap had demarcated and needed to be debrided (A). At the time of the return of the scalp flap pedicle, a superiorly based cheek flap (dotted lines) was transposed into the upper medial cheek defect ((B) and (C)). The resulting cheek defect from this local flap was closed with the scalp flap.
Figure 8. Three weeks following flap transfer, the distal superior tip of the posterior scalp flap had demarcated and needed to be debrided (A). At the time of the return of the scalp flap pedicle, a superiorly based cheek flap (dotted lines) was transposed into the upper medial cheek defect ((B) and (C)). The resulting cheek defect from this local flap was closed with the scalp flap.
Cmtr 15 00034 g008
Figure 9. Several weeks following the return of the posterior scalp flap, a favorable position of the lower eyelid was achieved, and the persistent deformity in the lateral aspect of the nose is evident (A). Dental rehabilitation was achieved with an implant-supported prosthesis (B).
Figure 9. Several weeks following the return of the posterior scalp flap, a favorable position of the lower eyelid was achieved, and the persistent deformity in the lateral aspect of the nose is evident (A). Dental rehabilitation was achieved with an implant-supported prosthesis (B).
Cmtr 15 00034 g009
Figure 10. The patient underwent a paramedian forehead flap to address the nasal deformity (A), and the follow-up photo demonstrates a healed midface with an improved position of the lower eyelid (B). She will subsequently undergo a revision of the right cheek with debulking and lengthening of the upper lip.
Figure 10. The patient underwent a paramedian forehead flap to address the nasal deformity (A), and the follow-up photo demonstrates a healed midface with an improved position of the lower eyelid (B). She will subsequently undergo a revision of the right cheek with debulking and lengthening of the upper lip.
Cmtr 15 00034 g010
Figure 11. Skin changes with granulation tissue (A) over the area of a pathologic fracture (arrow) demonstrated in (B).
Figure 11. Skin changes with granulation tissue (A) over the area of a pathologic fracture (arrow) demonstrated in (B).
Cmtr 15 00034 g011
Figure 12. Following the removal of the palatal prosthesis, the extensive defect in the palate is visualized (A). A radial forearm free flap with fascial extensions (B) was used to reconstruct the entire palate and the right buccal defect. A left coronoidectomy was also performed (C).
Figure 12. Following the removal of the palatal prosthesis, the extensive defect in the palate is visualized (A). A radial forearm free flap with fascial extensions (B) was used to reconstruct the entire palate and the right buccal defect. A left coronoidectomy was also performed (C).
Cmtr 15 00034 g012
Figure 13. A 3D reconstruction plate was used to bridge the segmental defect in the mandible and then covered with the fascial extension flap (arrow) that was placed over the plate to protect the overlying skin. The palatal and buccal reconstruction is demonstrated.
Figure 13. A 3D reconstruction plate was used to bridge the segmental defect in the mandible and then covered with the fascial extension flap (arrow) that was placed over the plate to protect the overlying skin. The palatal and buccal reconstruction is demonstrated.
Cmtr 15 00034 g013
Figure 14. Severely radiation-damaged skin of the right cheek is starting to show signs of plate extrusion six weeks after surgery. At the time of the fibular flap transfer, a delay procedure was performed on the right posterior scalp flap with the placement of a tissue expander.
Figure 14. Severely radiation-damaged skin of the right cheek is starting to show signs of plate extrusion six weeks after surgery. At the time of the fibular flap transfer, a delay procedure was performed on the right posterior scalp flap with the placement of a tissue expander.
Cmtr 15 00034 g014
Figure 15. Transfer of the pre-expanded posterior scalping flap (A) into the right cheek where the damaged skin has been de-epithelialized (B). Flap inset (C) and primary closure of the donor site defect on the neck were accomplished (D).
Figure 15. Transfer of the pre-expanded posterior scalping flap (A) into the right cheek where the damaged skin has been de-epithelialized (B). Flap inset (C) and primary closure of the donor site defect on the neck were accomplished (D).
Cmtr 15 00034 g015
Figure 16. Following the completion of the staged reconstruction, the facial skin is well healed ((A) and (B)), and the intraoral lining is intact (C). The postoperative panorex demonstrates the fibular free flap repair of the right mandible (D).
Figure 16. Following the completion of the staged reconstruction, the facial skin is well healed ((A) and (B)), and the intraoral lining is intact (C). The postoperative panorex demonstrates the fibular free flap repair of the right mandible (D).
Cmtr 15 00034 g016

Share and Cite

MDPI and ACS Style

Urken, M.L.; O’Malley, Q.; Sandler, M.; Xing, M.H.; Ansari, E.; Mundi, N.; Buchbinder, D.; Alon, E.; Okay, D. Staged Head and Neck Reconstruction: Heresy or a Reasoned Approach in a Select Group of Patients? Craniomaxillofac. Trauma Reconstr. 2022, 15, 253-263. https://doi.org/10.1177/19433875211031361

AMA Style

Urken ML, O’Malley Q, Sandler M, Xing MH, Ansari E, Mundi N, Buchbinder D, Alon E, Okay D. Staged Head and Neck Reconstruction: Heresy or a Reasoned Approach in a Select Group of Patients? Craniomaxillofacial Trauma & Reconstruction. 2022; 15(3):253-263. https://doi.org/10.1177/19433875211031361

Chicago/Turabian Style

Urken, Mark L., Quinn O’Malley, Mykayla Sandler, Monica H. Xing, Edward Ansari, Neil Mundi, Daniel Buchbinder, Eran Alon, and Devin Okay. 2022. "Staged Head and Neck Reconstruction: Heresy or a Reasoned Approach in a Select Group of Patients?" Craniomaxillofacial Trauma & Reconstruction 15, no. 3: 253-263. https://doi.org/10.1177/19433875211031361

APA Style

Urken, M. L., O’Malley, Q., Sandler, M., Xing, M. H., Ansari, E., Mundi, N., Buchbinder, D., Alon, E., & Okay, D. (2022). Staged Head and Neck Reconstruction: Heresy or a Reasoned Approach in a Select Group of Patients? Craniomaxillofacial Trauma & Reconstruction, 15(3), 253-263. https://doi.org/10.1177/19433875211031361

Article Metrics

Back to TopTop