Modified Temporal Incision For the Management of Zygomatic Arch Fractures—A Retrospective Study for 7 Years
Abstract
Introduction
Exclusion Criteria
- Zygomaticarch treated by closed reduction under LA.
- Zygomatic arch fracture with cranial bone fracture associated with neurological defi-cits.
- Bilateral zygomatic arch fractures treated with ORIF.
- Ozyazgan’s classification.
Materials and Methods
- ZAF treated between 2 days and 60 days of the injury which included malunited or non-united frac- tures with trismus.
- Ozyazgan’s classification was followed to classify ZAF and associated ZMC fractures (Table 1).
- -
- Type-I-B(D).
- -
- Type-II-B(D).
- -
- bilateral or unilateral Lefort I, II and III fractures.
- -
- bilateral or unilateral mandibular fractures.
Results
Discussion
Conclusion
Declaration of Conflicting Interests
Ethical Approval
Informed Consent
Funding
References
- Ozyazgan I, Gu¨nay GK, Eskitas¸c¸ioglu T, Ozko¨se M, Coruh A. A new proposal of classification of zygomatic arch fractures. J Oral Maxillofac Surg. 2007, 65, 462–469. [Google Scholar] [CrossRef] [PubMed]
- Watson D, Reuther MS. Scar revision techniques-pearls and pitfalls. Facial Plast Surg. 2012, 28, 487–491. [Google Scholar] [CrossRef] [PubMed]
- Rudolph R, Schneider G. Scar revision. In: Georgiade GS, Riefkohl R, Levin LS eds. Plastic Maxillofacial and Recon- structive Surgery, 8: Williams and Wilkins; 1997, 1997.
- House JW, Brackmann DE. Facial nerve grading system. Otolaryngol Head Neck Surg. 1985, 93, 146–147. [Google Scholar] [CrossRef]
- Seddon, HJ. Surgical Disorders of the Peripheral Nerves. Churchill Livingstone; 1972.
- Sunderland, S. Nerves and Nerve Injuries. 2nd ed. Churchill Livingstone; 1978. 780-795.
- Werner JA, Frenkler JE, Lippert BM, Folz BJ. Isolated zygomatic arch fracture: report on a modified surgical technique. Plast Reconstr Surg. 2002, 109, 1085–1089. [Google Scholar] [CrossRef] [PubMed]
- Gupta A, Lehl G. Minimal access percutaneous approach for the management of zygomatic arch fractures. Int J Oral Maxillofac Surg, 8: 46.
- Zingg M, Laedrach K, Chen J, et al. Classification and treat- ment of zygomatic fractures—a review of 1,025 cases. J Oral Maxillofac Surg. 1992, 50, 778–790. [Google Scholar] [CrossRef]
- Zingg M, Chowdhury K, Ladrach K, Vuillemin T, Sutter F, Raveh J. Treatment of 813 zygoma-lateral orbital complex fractures—new aspects. Arch Otolaryngol Head Neck Surg. 1991, 117, 611–620. [Google Scholar] [CrossRef]
- Banks, P. Killey’s Fracture of the Middle Third of the Facial Skeleton. 5th ed. Varghese Publishing House; 1992.
- Hollier LH, Thornton J, Pazmino P, Stal S. The management of orbito zygomatic fractures. Plast Reconstr Surg. 2003, 111, 2386–2392. [Google Scholar] [CrossRef]
- Gruss JS, Van Wyck L, Phillips JH, Antonyshyn O. The Importance of the zygomatic arch in complex midfacial fracture repair and correction of posttraumatic orbitozygo- matic deformities. Plast Reconstr Surg. 1990, 85, 878–890. [Google Scholar] [CrossRef]
- Gruss JS, Phillips JH. Complex facial trauma: the evolving role of rigid fixation and immediate bone graft reconstruc- tion. Clin Plast Surg. 1989, 16, 93–104. [Google Scholar] [CrossRef]
- Turk JB, Ladrach K, Raveh J. Repair of zygomatico malar complex fractures. The Swiss method. Arch Facial Plast Surg. 1999, 1, 123–126. [Google Scholar] [CrossRef]
- Rohrich RJ, Hollier LH, Watumull D. Optimizing the man- agement of orbito zygomatic fractures. Clin Plast Surg. 1992, 19, 149–165. [Google Scholar] [CrossRef]
- Shah P, Mirza T, Simpson M. The unstable fractured zygomatic arch—simple solutions for a difficult situation. Br J Oral Maxillofac Surg. 2016, 54, 115. [Google Scholar] [CrossRef]
- Guven, O. Stabilisation of the delayed zygomatic arch fracture. Int J Oral Maxillofac Surg. 1987, 16, 445–447. [Google Scholar] [CrossRef]
- Lew DH, Park BY, Lee HB, Lew JD. Simple fixation method for unstable zygomatic arch fracture using double Kirschner’ wires. Plast Reconstr Surg. 1998, 101, 1351–1354. [Google Scholar]
- Randall DA, Bernstein PE. Epistaxis balloon catheter stabilization of zygomatic arch fractures. Ann Otol Rhinol Laryngol. 1996, 105, 68–69. [Google Scholar] [CrossRef] [PubMed]
- Uglesic V, Virag M. A method of zygomatic arch stabilization. Br J Oral Maxillofac Surg. 1994, 32, 396–397. [Google Scholar] [CrossRef]
- Stanley, RB. The zygomatic arch as a guide to reconstruction of comminuted malar fractures. Arch Otolaryngol Head Neck Surg. 1989, 115, 1459–1462. [Google Scholar] [CrossRef]
- Chen CT, Lai JP, Chen YR, Tung TC, Chen ZC, Rohrich RJ. Application of endoscope in zygomatic fracture repair. Br J Plast Surg. 2000, 53, 100–105. [Google Scholar] [CrossRef] [PubMed]
- Yang QF, Wang F, Ying K, Li JP, Xu MD. Application of temporal anterior hairline incision in internal fixation of zygomatic complex fracture [in Chinese]. Shanghai Kou Qiang Yi Xue. 2005, 14, 113–116. [Google Scholar]
- Prakasam M, Dolas RS, Managutti A, Deepashri K. A modified temporal incision: an alternative approach to the zygomatic arch. J Maxillofac Oral Surg. 2010, 9, 428–433. [Google Scholar] [CrossRef]
- Kerawala CJ, Grime RJ, Stassen LF, Perry M. The bicoronal flap (craniofacial access): an audit of morbidity and a proposed surgical modification in male pattern baldness. Br J Oral Maxillofac Surg. 2000, 38, 441–444. [Google Scholar] [CrossRef] [PubMed]
- Marschall MA, Cohen M, Garcia J, Schafer ME. Craniofacial approach for the reconstruction of severe facial injuries. J Oral Maxillofac Surg, 3: 46.
- Kumar VS, Rao NK, Mohan KR, et al. Minimizing complica- tions associated with coronal approach by application of var- ious modifications in surgical technique for treating facial trauma: a prospective study. Natl J Maxillofac Surg. 2016, 7, 21–28. [Google Scholar] [CrossRef] [PubMed]
- Kadakia S, Badhey A, Ashai S, Lee TS, Ducic Y. Alopecia following bicoronal incisions. JAMA Facial Plast Surg. 2017, 19, 220–224. [Google Scholar] [CrossRef] [PubMed]
- Gabrielli MA, Monnazzi MS, Gabrielli MF, Hochuli-Vieira E, Pereira-Filho VA, Mendes Dantas MV. Clinical evaluation of the bicoronal flap in the treatment of facial fractures: retro- spective study of 132 patients. J Craniomaxillofac Surg. 2012, 40, 51–54. [Google Scholar] [CrossRef]
- Massarelli O, Gobbi R, Soma D, Raho MT, Tullio A. An aesthetically possible alternative approach for craniomaxillo- facial trauma: the “pretrichial incision”. Craniomaxillofac Trauma Reconstr. 2011, 4, 161–170. [Google Scholar] [CrossRef]
- Campbell, WW. Evaluation and management of peripheral nerve injury. Clin Neurophysiol. 2008, 119, 1951–1965. [Google Scholar] [CrossRef]






















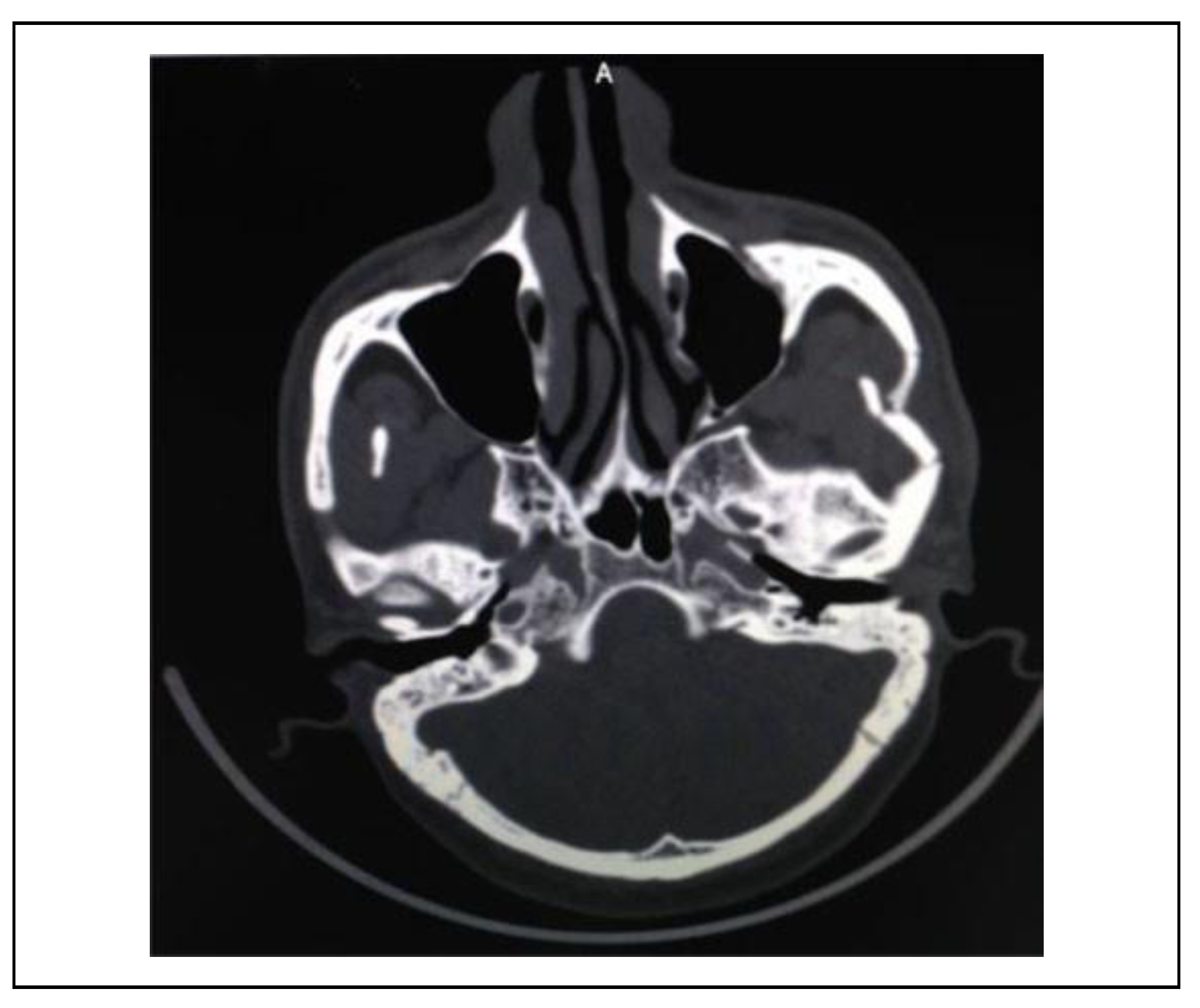
![]() |
![]() |
| Grade | 4 weeks (N ¼ 34) | 8 weeks (N ¼ 34) | 12 weeks (N ¼ 34) |
| Grade I-Normal | 13 | 13 | 34 |
| (Motion: forehead—Normal function) | |||
| Grade II-Slight Dysfunction | 0 | 9 | 0 |
| Motion: forehead—moderate to good function) | |||
| Grade III Moderate Dysfunction | 0 | 12 | 0 |
| Motion: forehead—slight to moderate movement | |||
| Grade IV Moderate Severe Dysfunction | 21 | 0 | 0 |
| Motion: forehead—none |
![]() |
Disclaimer/Publisher’s Note: The statements, opinions and data contained in all publications are solely those of the individual author(s) and contributor(s) and not of MDPI and/or the editor(s). MDPI and/or the editor(s) disclaim responsibility for any injury to people or property resulting from any ideas, methods, instructions or products referred to in the content. |
© 2025 by the authors. Published by MDPI on behalf of the AO Foundation. Licensee MDPI, Basel, Switzerland. This article is an open access article distributed under the terms and conditions of the Creative Commons Attribution (CC BY) license (https://creativecommons.org/licenses/by/4.0/).
Share and Cite
Devakumari, S.; Dominic, N.; Vijhayapriya, T.; Dinesh, D.S.; Devameena, S. Modified Temporal Incision For the Management of Zygomatic Arch Fractures—A Retrospective Study for 7 Years. Craniomaxillofac. Trauma Reconstr. 2022, 15, 12-20. https://doi.org/10.1177/1943387521989550
Devakumari S, Dominic N, Vijhayapriya T, Dinesh DS, Devameena S. Modified Temporal Incision For the Management of Zygomatic Arch Fractures—A Retrospective Study for 7 Years. Craniomaxillofacial Trauma & Reconstruction. 2022; 15(1):12-20. https://doi.org/10.1177/1943387521989550
Chicago/Turabian StyleDevakumari, S., Neil Dominic, T. Vijhayapriya, D. S. Dinesh, and S. Devameena. 2022. "Modified Temporal Incision For the Management of Zygomatic Arch Fractures—A Retrospective Study for 7 Years" Craniomaxillofacial Trauma & Reconstruction 15, no. 1: 12-20. https://doi.org/10.1177/1943387521989550
APA StyleDevakumari, S., Dominic, N., Vijhayapriya, T., Dinesh, D. S., & Devameena, S. (2022). Modified Temporal Incision For the Management of Zygomatic Arch Fractures—A Retrospective Study for 7 Years. Craniomaxillofacial Trauma & Reconstruction, 15(1), 12-20. https://doi.org/10.1177/1943387521989550


