Next Article in Journal
Pediatric Palate Fractures: An Assessment of Patterns and Management at a Level 1 Trauma Center
Previous Article in Journal
To What Extent Does Illicit Drug Use Predispose to Facial Injury? An Institutional Investigation for an Emergent Problem
 
 
Craniomaxillofacial Trauma & Reconstruction is published by MDPI from Volume 18 Issue 1 (2025). Previous articles were published by another publisher in Open Access under a CC-BY (or CC-BY-NC-ND) licence, and they are hosted by MDPI on mdpi.com as a courtesy and upon agreement with Sage.
Font Type:
Arial Georgia Verdana
Font Size:
Aa Aa Aa
Line Spacing:
Column Width:
Background:
Article

Serial Perioperative Assessment of Free Flap Perfusion with Laser Angiography

by
Anthony Massaro
1,
Juliana Gomez
1,
Ashleigh Michelle Weyh
1,
Anthony Bunnell
1,
Matthew Warrick
2,
Philip Pirgousis
1,3 and
Rui Fernandes
1,*
1
Department of Oral and Maxillofacial Surgery, University of Florida Jacksonville, 653W. Eighth Street 2nd Floor, LRC Building, Jacksonville, FL 32209, USA
2
Department of Anesthesia, University of Florida Jacksonville, Jacksonville, FL, USA
3
Department of Otorhinolaryngology and Head and Neck Surgery, Mayo Clinic Jacksonville, Jacksonville, FL, USA
*
Author to whom correspondence should be addressed.
Craniomaxillofac. Trauma Reconstr. 2021, 14(1), 16-22; https://doi.org/10.1177/1943387520930608
Submission received: 1 December 2019 / Revised: 31 December 2019 / Accepted: 1 February 2020 / Published: 15 June 2020

Abstract

:
Study Design: Prospective cohort study. Objective: Reconstruction with microvascular free flaps is quite predictable but excessive fluids intraoperatively and excessive use of vasopressors have been implicated in postoperative complications. However, vasopressors assist in limiting fluid administration and counteract vasodilatory effects of general anesthetics, while maintaining proper intravascular volume. This is of paramount importance during surgery to ensure adequate tissue and organ perfusion. The purpose of this study is to quantify perfusion changes in free flaps at specific time points during peri- and postoperative periods, incorporating SPY technology. Methods: A prospective study of patients who underwent free flap reconstruction was conducted (n = 9), using SPY laser angiography with indocyanine green to assess effects of general anesthetics and vasopressors on flap perfusion. Free flaps were evaluated prior to pedicle division, after inset and anastomosis, and in the immediate postoperative setting. Mean perfusion, mean arterial pressure, total operative time, fluid shifts, and vasopressor use were recorded. Data were analyzed with univariate and multivariable analyses. Results: Those with major complications in this cohort, on average received less vasopressors, had shorter operation times and less blood loss, however, they received more fluids intraoperatively. Conclusion: Changes in mean perfusion to the free flap during the intraoperative and immediate postoperative period are nominal.

Introduction

Microvascular free flap reconstruction is considered the gold standard for reconstruction of large soft and hard tissue defects in the head and neck.[1,2,3] Success rates range from 91% to 99%, continuing to improve with advances in technology, refinement of surgical technique, and optimization of periand postoperative management of both the flap and donor sites.[4,5,6,7] Still, flap failures remain a concern, leading to the development of multiple flap monitoring modalities. Risk indicators for flap complications are multifactorial and include previous flap failure, medical comorbidities, American Society of Anesthesiologists (ASA) physical status classification of III or greater, excessive intraoperative fluid administration, poor tissue or vessel quality, and poor perfusion.[5,7,8] According to recent literature, crystalloids, when administered rapidly, may cause a hypercoagulable state and can cause flap and donor site edema when administered in volumes exceeding 7 liters. Thus, optimal intraoperative fluid management is critical to facilitate flap survival.[8,9,10] Use of vasopressors is common to maintain mean arterial pressure (MAP) and perfusion and can minimize the need for excessive fluid administration during microsurgical flap reconstruction.[11,12] Intraoperative vasopressors further counteract vasodilatory effects of commonly used anesthetics. However, vasopressors are used with caution, as vasoconstriction associated with their use was presumed historically to result in free flap complications which may include peripheral vasospasm, reduced flap perfusion, or promotion of thrombosis causing flap failure.[13] However, judicious use of vasopressors can be imperative for maintenance of a stable intraoperative hemodynamic state, despite the possible complications described earlier.[14,15,16]
Intraoperative evaluation of free flap perfusion has been developed to identify and correct vessel occlusion as well as guide clinical decisions as to the need for flap revision or tissue resection. Clinical judgment further provides relevant information to assess the degree of tissue perfusion, however variation in anatomic location of perforating vessels and perfusion zones complicating flap design calls for more sophisticated methods to assess perfusion. Fluorescein dye was historically utilized to evaluate perfusion and ultimately allowed for other fluorescent agents to be developed.[17,18,19,20] Laser angiography using indocyanine green (LA-ICG) is able to assess vascularity in the recipient site as well as circulation and perfusion in free or pedicled flaps (Figure 1).[21,22,23] Laser angiography using indocyanine green remains in the intravascular space for about 3 to 5 minutes, allowing for multiple doses during a single surgery—an improvement from fluorescein which cannot be used repeatedly.[24] SPY Elite system (LifeCell Corp; manufactured by Novadaq Technologies Inc) is a near-infrared video camera system used for LA-ICG angiography, which utilizes filters to detect fluorescent signals in vessels with diameters as small as 1 mm when integrated into the optical path of a surgical microscope.[24,25] This allows for a high magnification to visualize the anastomosis and overall greater predictability of adequate perfusion.
The investigators hypothesized that the vasodilatory effects of inhalational and intravenous anesthetics would result in initial increase in flap perfusion perioperatively that would then decrease in the immediate postoperative period as the effects of anesthetic medication begin to attenuate. The specific aims of the study are (1) to measure and compare the perfusion changes in free flaps from the peri- to postoperative period, (2) to assess the potential effects of specific volatile and intravenous anesthetics as well as vasoactive medications on perfusion of free flaps, and (3) to evaluate for an association between interval free flap perfusion and postoperative complications.

Materials and Methods

This study was evaluated, and approval was granted by the University of Florida—Jacksonville’s College of Medicine institutional review board. To address study aims, the investigators designed and implemented a prospective cohort study, enrolling patients who underwent head and neck or extremity microvascular free flap reconstruction. All interventions were performed at the University of Florida Jacksonville, by the Department of Oral and Maxillofacial Surgery. Patients eligible for inclusion were ≥18 years and underwent free flap surgery from August 2016 to April 2017. Eligible patients were identified at the preoperative clinic appointment, and written consent was obtained.
On the day of surgery, patients underwent general anesthesia, with standard ASA monitoring equipment, and arterial lines were utilized with all patients for continuous blood pressure monitoring. The ablative portion of surgery was performed, and free flap donor site was determined based on tissue density, size of defect, and tissue type needed to complete optimal closure of the defect. Once the perforator free flap was harvested, but prior to division of the pedicle, 7.5 mg of indocyanine green was injected intravenously, and then initially assessed with the SPY-Elite Imaging System, per manufacturer instructions. Multiple points of perfusion across the flap were measured to calculate a mean perfusion value, and MAP was calculated from the arterial line. Next, the free flap pedicle was separated from its donor site, and microvascular anastomosis was completed under magnification. A second dose of 7.5 mg of indocyanine green was then injected, and the flap perfusion was measured in the same fashion.
At the completion of the case, but prior to emergence from anesthesia, the flap was evaluated via clinical and Doppler examination prior to leaving the operating room. Clinical examination included standard subjective indices to assess tissue perfusion, including capillary refill, color, and flap temperature. The patient was awakened and extubated in the operating room and then transported to the postanesthesia care unit (PACU). Within the first 60 minutes of arrival to PACU, a final 7.5 mg of indocyanine green was injected intravenously, the free flap was again evaluated with the SPY system for mean perfusion and the arterial line for MAP. A final clinical examination was performed, which included the same subjective indices as above as well as Doppler evaluation. Postoperatively, patients were all treated per standard recovery after surgery guidelines.
The main outcome variable of this study was perforator free flap perfusion, measured at 3 different time points: (1) immediately prior to division of the pedicle of the free flap from the donor site, (2) after completion of anastomosis, and (3) in the PACU within 60 minutes. SPY quantitatively measured perfusion by taking measurements of fluorescence intensity with an infrared camera, recording the peak perfusion which is considered the difference between the baseline and the peak of fluorescence intensity. This is then translated into a relative and absolute measure of perfusion (Figure 2). Perfusion was measured at 5 points evenly distributed across the free flap with the SPY system, using absolute values. These can range from 0 to 255 absolute perfusion units (APU). For the SPY Elite system, studies have placed a cutoff value of <10 being predictive of flap necrosis.[26] Perfusion was secondarily measured via MAP from the arterial line at these same 3 time points. In the postoperative period, patients were monitored for complications for 4 weeks. Major complications were defined as a flap failure or those with need for intervention in the operating room to salvage the flap. Data were also collected regarding wound healing complications and infections. Complications were qualitatively measured as binary data, either present or not present, with no stratification of severity.
Measurements of perfusion was taken at the skin paddle of the free flap. Relative perfusion was measured in percentages and represented by the colored lines, while the maximum and minimum points of perfusion across the free flap are in absolute units, 125 APU and 22 APU.
Statistical analysis was completed utilizing SAS (SAS Institute Inc). Data were analyzed as frequencies for categorical variables and as means with standard deviations for continuous variables. Univariate and multivariable analyses were performed to evaluate associations between MAP and mean perfusion. In univariate analysis, the Spearman rank correlation was used. Repeated-measures analysis models were fit to data to determine presence of significant change in mean perfusion over time and if this change was associated with MAP. A significant MAP by time interaction would indicate that the effect of MAP on the mean perfusion is different across time periods. For multiple comparisons within a set of least square means, the P values of the comparisons were adjusted to preserve a family wise error rate of 5%.

Results

In all, 12 patients were consented, but 9 patients met inclusion criteria and completed the study; 3 patients were withdrawn because they did not receive free flap reconstructions as it was determined intraoperatively that the surgical defect could be optimally reconstructed with a regional flap. There were 6 males and 4 females, with a mean age of 55.4 + 13.8 years. Demographics of patients are detailed in Table 1. Data were collected on patients at 3 designated time points for all but 1 patient, who did not get measurements at time point 3 due to a medical emergency in the PACU. The patient was experiencing chest pain and electrocardiogram changes, requiring urgent consultation and workup by the cardiology team.
The majority of patients were male (66.7%) and undergoing surgery for a malignant pathology (66.7%). Only one patient received a free flap for reconstruction of an extremity. Intraoperative variables summary is detailed in Table 2. The majority of donor sites were osteocutaneous fibula free flaps (66.7%), and most patients received at least 1 type of pressor (88.9%). The mean perfusion at time 1 (raised flap with intact pedicle to donor site) was 45.8 + 25.0; at time 2 (following completion of anastomosis), it was 57.8 + 40.5; and at time 3 (in the PACU), it was 53.6 + 39.9. The mean MAP at time 1 was 77 + 11.1; at time 2, it was 75.2 + 11.8; and at time 3, it was the highest at 100.5 + 23.7. There was no significant correlation between mean perfusion and MAP at any time (P = .93, P = .37, and P = .53), respectively. Results for each time interval are detailed in Table 3 and generalized trend in Figure 3.
Each point on the graph correlates to a study patient. The black dots correlate with a patient who did not experience a postoperative complication. Patients 4, 5, and 6 did experience postoperative complications and are indicated by symbols indicated in the Figure 3 legend. Note those with complications had a trend of lower perfusion postoperatively, however in this cohort low MAP was not associated with complications. Perfusion is measured in APU and MAP in mm Hg.
Three patients had major free flap complications, either need for intervention to salvage the flap and address venous thrombosis (n = 1) or salvage due to flap failure/necrosis (n = 2). Other minor complications that resolved without intervention were superficial dehiscence in the operating room (n = 1) and a surgical site infection (n = 1). Evaluating the patients with major complications, the average perfusion score over all 3 time points of these 3 patients was 60% less than those without a complication (36.5 vs 61.9; P = .322). The difference in mean perfusion of these 3 patients with failures approached statistical significance when comparing values only measured at time 3 (PACU; 22.9 vs 72.6; P = .06). Mean MAP over the 3 time points was similar between the 2 groups (88.9 vs 84.5; P = .758).
Overall, the cohort affected by major complications used the lowest amount of total vasopressors, had shorter operation times, and had less blood loss intraoperatively. This group had increased mean fluid administration (45% more) when compared to those without complications (7.4 vs 5.1 mL/kg/h; P = 0.180).

Discussion

The main goal of this study was to quantify the perfusion changes in perforator free flaps in the peri- and postoperative period. Results demonstrate that perfusion was found to have a nominal change over time as a whole. Mean perfusion was near equal among all 3 time points, with a minimal increase in MAP at the third time point in the PACU, and all MAP values were within a normal range not needing intervention to maintain normal tissue perfusion. However, when evaluating individual patients experiencing complications, lower than desired mean perfusion values were seen. These patients were administered the lowest amounts of vasopressors during surgery but also were given the highest volume of intraoperative fluids. As this study was conducted at the beginning of our experience using the SPY system, these patients possibly would now undergo re-evaluation and/or revision of the anastomosis prior to leaving the operating room based on these low mean perfusion values (APUs < 10), as this is known to be associated with necrosis. However, at the time of this study, LA-ICG was used strictly to confirm patency of the anastomosis and to visualize complete perfusion of the flap, which was present in all cases. It is also important to note that all 3 patients with major complications had either osteoradionecrosis (patients 4 and 5) or in the case of patient 6 a previously nonhealing wound. These variables in themselves create a hostile local tissue bed and are known contributors to flap failure. This could be confounding the results of these 3 patients with major complications having shorter operating room times, less blood loss, and less use of vasopressors, as these surgeries would not require as extensive of an ablation and neck dissection as the other patients undergoing a primary cancer resection. So, although they had shorter and less complex surgeries, their individual comorbidities were likely a stronger determinate of their poor outcomes.
Perioperative management of free flaps requires multisystem continuous monitoring. In this study, the variables assessed can be measured to reflect flap vitality and may imply postoperative success or failure. However, assessing multiple variables precludes definitive identification of a single causative factor for flap demise. An Edwards Flo Trac system can evaluate intraoperative causes of hypotension by monitoring stroke volume variation (SVV) and stroke volume index (SVI). If a patient is hypotensive with an elevated SVV value, in theory, they would be a good candidate for a fluid challenge to correct their hypotension and, hence, their end-organ perfusion. If they have hypotension with a relatively normal SVV and relatively normal SVI, they may benefit from a vasopressor to increase their afterload. Finally, if they have hypotension with a relatively normal SVV with a low SVI they may benefit from an inotrope to increase their cardiac contractility, but if their SVI is high a diuretic may be needed to correct volume overload and optimize them on the Starling curve. Despite their many clinical assumptions, these monitors may be used in conjunction with clinical judgment to evaluate and appropriately treat causes of hypotension in patients receiving microvascular free flaps (ie, volume status, cardiac contractility and/or afterload) to ensure an appropriate use of fluids, vasopressors, or inotropes is employed intraoperatively. If fluid levels and excess vasopressor administration are 2 possible causes for flap failure, an Edwards monitor could theoretically be incorporated to eliminate the unknown variable of fluid demand since it would now be measured directly. However, it is not often used in routine cases.
Laser angiography using indocyanine green is now established as a beneficial clinical tool when used as an adjuvant technique to evaluate perfusion of free flaps; although the majority of monitoring today remains based on subjective clinical evaluation. This is problematic, as the success of a flap salvage surgery is negatively affected by delays in revision from onset of ischemia to time of surgical exploration. Laser angiography using indocyanine green also has increased utility when monitoring buried flaps or flaps in the oral cavity or oropharynx with limited visibility. Additionally, MAP has commonly been used as a surrogate marker for flap perfusion; however in this study at time 3, the 3 patients who experienced major complications all had adequate MAP but poor perfusion. Thus, measuring perfusion with SPY could potentially be a better marker of perfusion and method to screen for potentially problematic flaps. Future implementation of LA-ICG could be routine employment in the postoperative period, in conjunction with clinical examination, and would be beneficial for routine flap monitoring. In the current treatment paradigm, this practice is cost-prohibitive, but with time and greater acceptance, the cost could decrease. The value added by preventing the need for flap revision and reducing complications will have its own place in reducing health-care costs.
The limitations of this study are the small sample size and use of multiple types of free flaps. Statistically significant trends may have been seen with a larger sample. We also were not able to record outcome variables for 1 patient at time point 3 due to a medical emergency postoperatively. External validity of this study is difficult to quantify, as this is the only study currently measuring perfusion and MAP prospectively at these 3 specific points in time. However, our perfusion values do align with those of other studies that have taken multiple measurements, albeit at different points in time.[27] There is also inconsistency among studies as some use intrinsic transit time (reflecting blood flow velocity), while conversely, other groups have used APUs.
In conclusion, LA-ICG is a valuable tool in assessing free flap perfusion as it is noninvasive and adds minimal time to the overall operation. There was not a statistically significant change noted in vascular perfusion to free flaps in the intraoperative versus postoperative period. The flap failures in this cohort were associated with low mean perfusion of the free flap postoperatively, and excessive fluid administration intraoperatively.

Authors’ Note

Portions of this article were presented as an oral abstract at the International Congress of Oral and Maxillofacial Surgery in Hong Kong, 2017. All patients enrolled in the study completed full consent forms. IRB approval was obtained via the University of Florida Jacksonville. SPY Intraoperative Perfusion Assessment System distributed in North America by LifeCell Corp; manufactured by Novadaq Technologies Inc.

Funding

The author(s) received no financial support for the research, authorship, and/or publication of this article.

Conflicts of Interest

The author(s) declared the following potential conflicts of interest with respect to the research, authorship, and/or publication of this article: All authors have viewed and agree to this submission. The SPY elite packages used for this study were donated for research purposes by NovaDaq, which has since been acquired by Stryker.

References

  1. Hidalgo, D.A.; Disa, J.J.; Cordeiro, P.G.; Hu, Q.Y. A review of 716 consecutive free flaps for oncologic surgical defects: refinement in donor-site selection and technique. Plast Reconstr Surg. discussion 733–734. 1998, 102, 722–732. [Google Scholar] [CrossRef] [PubMed]
  2. Mücke, T.; Wolff, K.D.; Wagenpfeil, S.; Mitchell, D.A.; Hölzle, F. Immediate microsurgical reconstruction after tumor ablation predicts survival among patients with head and neck carcinoma. Ann Surg Oncol. 2010, 17, 287–295. [Google Scholar] [CrossRef] [PubMed]
  3. Ragbir, M.; Brown, J.; Mehanna, H. Reconstructive considerations in head and neck surgical oncology: United Kingdom National Multidisciplinary Guidelines. J Laryngol Otol. 2016, 130, S191–S197. [Google Scholar] [CrossRef] [PubMed]
  4. Kwok, A.C.; Agarwal, J.P. An analysis of free flap failure using the ACS NSQIP database. Does flap site and flap type matter? Microsurgery. 2017, 37, 531–538. [Google Scholar] [CrossRef]
  5. Mücke, T.; Ritschl, L.M.; Roth, M.; et al. Predictors of free flap loss in the head and neck region: a four-year retrospective study with 451 microvascular transplants at a single centre. J Craniomaxillofac Surg. 2016, 44, 1292–1298. [Google Scholar] [CrossRef]
  6. Suh, J.D.; Sercarz, J.A.; Abemayor, E.; et al. Analysis of outcome and complications in 400 cases of microvascular head and neck reconstruction. Arch Otolaryngol Head Neck Surg. 2004, 130, 962–966. [Google Scholar] [CrossRef]
  7. Zhou, W.; Zhang, W.B.; Yu, Y.; et al. Risk factors for free flap failure: a retrospective analysis of 881 free flaps for head and neck defect reconstruction. Int J Oral Maxillofac Surg. 2017, 46, 941–945. [Google Scholar] [CrossRef]
  8. Lin, Y.; He, J.F.; Zhang, X.; Wang, H.M. Intraoperative factors associated with free flap failure in the head and neck region: a four-year retrospective study of 216 patients and review of the literature. Int J Oral Maxillofac Surg. 2019, 48, 447–451. [Google Scholar] [CrossRef]
  9. Haughey, B.H.; Wilson, E.; Kluwe, L.; et al. Free flap reconstruction of the head and neck: analysis of 241 cases. Otolaryngol Head Neck Surg. 2001, 125, 10–17. [Google Scholar] [CrossRef]
  10. Ruttmann, T.G.; James, M.F.; Finlayson, J. Effects on coagulation of intravenous crystalloid or colloid in patients undergoing peripheral vascular surgery. Br J Anaesth. 2002, 89, 226–230. [Google Scholar] [CrossRef]
  11. Brinkman, J.N.; Derks, L.H.; Klimek, M.; Mureau, M.A. Perioperative fluid management and use of vasoactive and antithrombotic agents in free flap surgery: a literature review and clinical recommendations. J Reconstr Microsurg. 2013, 29, 357–366. [Google Scholar] [PubMed]
  12. Swanson, E.W.; Cheng, H.T.; Susarla, S.M.; et al. Intraoperative use of vasopressors is safe in head and neck free tissue transfer. J Reconstr Microsurg. 2016, 32, 087–093. [Google Scholar] [CrossRef] [PubMed]
  13. Goh, C.S.; Ng, M.J.; Song, D.H.; Ooi, A. Perioperative vasopressor use in free flap surgery: a systematic review and meta-analysis. J Reconstr Microsurg. 2019, 35, 529–540. [Google Scholar] [CrossRef] [PubMed]
  14. Fang, L.; Liu, J.; Yu, C.; et al. Intraoperative use of vasopressors does not increase the risk of free flap compromise and failure in cancer patients. Ann Surg. 2018, 268, 379–384. [Google Scholar] [CrossRef]
  15. Kelly, D.A.; Reynolds, M.; Crantford, C.; Pestana, I.A. Impact of intraoperative vasopressor use in free tissue transfer for head, neck, and extremity reconstruction. Ann Plast Surg. 2014, 72, S135–S138. [Google Scholar] [CrossRef]
  16. Pattani, K.M.; Byrne, P.; Boahene, K.; Richmon, J. What makes a good flap go bad? A critical analysis of the literature of intraoperative factors related to free flap failure. Laryngoscope. 2010, 120, 717–723. [Google Scholar] [CrossRef]
  17. Beckler, A.D.; Ezzat, W.H.; Seth, R.; Nabili, V.; Blackwell, K.E. Assessment of fibula flap skin perfusion in patients undergoing oromandibular reconstruction: comparison of clinical findings, fluorescein, and indocyanine green angiography. JAMA Facial Plast Surg. 2015, 17, 422–426. [Google Scholar] [CrossRef]
  18. Cha, H.G.; Kwon, J.G.; Kim, E.K. Intraoperative detection of leakage using topical fluorescein following free flap inset in head and neck reconstruction. J Craniofac Surg. 2019, 30, e333–e335. [Google Scholar] [CrossRef]
  19. Kerrigan, C.L.; Daniel, R.K. Monitoring acute skin-flap failure. Plast Reconstr Surg. 1983, 71, 519–524. [Google Scholar] [CrossRef]
  20. Marzella, L.; Jesudass, R.R.; Manson, P.M.; Myers, R.A.; Bulkley, G.B. Functional and structural evaluation of the vasculature of skin flaps after ischemia and reperfusion. Plast Reconstr Surg. 1988, 81, 742–750. [Google Scholar] [CrossRef]
  21. Green, J.M.I.I.I.; Thomas, S.; Sabino, J.; et al. Use of intraoperative fluorescent angiography to assess and optimize free tissue transfer in head and neck reconstruction. J Oral Maxillofac Surg. 2013, 71, 1439–1449. [Google Scholar] [CrossRef] [PubMed]
  22. Maxwell, A.K.; Deleyiannis, F.W.B. Utility of indocyanine green angiography in arterial selection during free flap harvest in patients with severe peripheral vascular disease. Plast Reconstr Surg Glob Open. 2016, 4, 1097. [Google Scholar] [CrossRef] [PubMed]
  23. Sacks, J.M.; Nguyen, A.T.; Broyles, J.M.; et al. Near-infrared laserassisted indocyanine green imaging for optimizing the design of the anterolateral thigh flap. Eplasty. 2012, 12, 30. [Google Scholar]
  24. Griffiths, M.; Chae, M.P.; Rozen, W.M. Indocyanine green-based fluorescent angiography in breast reconstruction. Gland surg. 2016, 5, 133. [Google Scholar]
  25. Sood, M.; Glat, P. Potential of the SPY intraoperative perfusion assessment system to reduce ischemic complications in immediate postmastectomy breast reconstruction. Ann Surg Innov Res. 2013, 7, 9. [Google Scholar] [CrossRef]
  26. Jeon, F.; Varghese, J.; Griffin, M.; Butler, P.E.; Ghosh, D.; Mosahebi, A. Systematic review of methodologies used to assess mastectomy flap viability. BJS open. 2018, 2, 175–184. [Google Scholar] [CrossRef]
  27. Hitier, M.; Cracowski, J.-L.; Hamou, C.; Righini, C.; Bettega, G. Indocyanine green fluorescence angiography for free flap monitoring: a pilot study. J Craniomaxillofac Surg. 2016, 44, 1833–1841. [Google Scholar] [CrossRef]
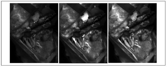
Figure 1. Snapshots through time of indocyanine green flowing across the anastomotic site in the neck to a fibula free flap visualized using the SPY system. Image on left occurs at beginning of injection of indocyanine green, and next 2 images to the right demonstrate perfusion to the flap as time passes. Perfusion is correlated with fluorescence on the image.
Figure 1. Snapshots through time of indocyanine green flowing across the anastomotic site in the neck to a fibula free flap visualized using the SPY system. Image on left occurs at beginning of injection of indocyanine green, and next 2 images to the right demonstrate perfusion to the flap as time passes. Perfusion is correlated with fluorescence on the image.
Cmtr 14 00004 g001
Figure 2. Depiction of relative and absolute perfusion measuring flap perfusion.
Figure 2. Depiction of relative and absolute perfusion measuring flap perfusion.
Cmtr 14 00004 g002
Figure 3. Mean perfusion and mean arterial pressure over 3 time points.
Figure 3. Mean perfusion and mean arterial pressure over 3 time points.
Cmtr 14 00004 g003
Table 1. Demographics of Patients.
Table 1. Demographics of Patients.
AgeDiagnosisStageComorbiditiesHistory H&N radiationDonor site
155 MSCCa lower lipn/aHypothyroidismYesScapula
241 MSCCa mandibleT2aN2bHTN, OSA, GERDNoFFF
360 FOsteosarcoma mandibleT2NxOsteoporosisNoFFF
443 MORNn/aHypothyroidismYesFFF
555 FORNn/aHypothyroidismYesFFF
634 FLLE nonhealing woundn/aNoneNoLateral arm
771 MSCCa periorbitalT3NxMxHTN, CADNoALT
868 MOsteosarcoma mandibleT1N0Hypothyroidism, HTN, Gout, CKDNoFFF
972 MSCCa mandibleT4aN0Hypothyroidism, HTN, TIANoFFF
Abbreviations: ALT, anterolateral thigh free flap; CAD, coronary artery disease; CKD, chronic kidney disease; F, female; FFF, fibula free flap; GERD, gastrooesophageal reflux disease; H&N, head and neck; HTN, hypertension; LLE, lower left; M, male; ORN, osteoradionecrosis; SCCa, squamous cell carcinoma; TIA, transient ischemic attack.
Table 2. Intraoperative Factors.
Table 2. Intraoperative Factors.
IDFlap typePhenylephrine (µg)Ephedrine (mg)Vasopressin (units)Anesthesia duration (min) Total fluids (mL/ kg/h)Total fluid loss (UOP + EBL)(mL/kg/h) Net fluids
1Cutaneous550180 2887.71.16.5
2Osteocutaneous1300 6373.80.83.1
3Osteocutaneous10035 5646.32.73.6
4Osteocutaneous64040 5103.71.32.4
5Osteocutaneous 4609.46.43.0
6Cutaneous1100 82559.03.55.5
7Myocutaneous151065 2915.12.82.3
8Osteocutaneous100030 4694.00.73.4
9Osteocutaneous615035 5253.71.81.8
Mean + SD 1372 + 186343 + 581444 + 1365.9 + 2.12.3 + 1.83.5 + 1.6
Abbreviations: EBL, estimated blood loss; UOP, urine output; SD, standard deviation.
Table 3. Mean Perfusion and MAP Outcomes at 3 Measured Time Points.a
Table 3. Mean Perfusion and MAP Outcomes at 3 Measured Time Points.a
VariableNMeanStandard deviationMinimumLower quartileMedianUpper quartileMaximum
Mean perfusion (APU)
Time 1945.825.019.427.639.052.494.4
Time 2957.840.56.430.053.082.6131.4
Time 3853.639.99.823.044.282.7118.8
Mean arterial pressure (mm Hg)
Time 1977.011.164.068.074.085.096.0
Time 2975.211.854.071.072.086.090.0
Time 38100.523.773.085.096.5113.5141.0
Abbreviation: APU, absolute perfusion unit. aTime 1, immediately prior to division of the pedicle of the free flap from the donor site; time 2, after completion of anastomosis; and time 3, in the PACU within 60 minutes.

Share and Cite

MDPI and ACS Style

Massaro, A.; Gomez, J.; Weyh, A.M.; Bunnell, A.; Warrick, M.; Pirgousis, P.; Fernandes, R. Serial Perioperative Assessment of Free Flap Perfusion with Laser Angiography. Craniomaxillofac. Trauma Reconstr. 2021, 14, 16-22. https://doi.org/10.1177/1943387520930608

AMA Style

Massaro A, Gomez J, Weyh AM, Bunnell A, Warrick M, Pirgousis P, Fernandes R. Serial Perioperative Assessment of Free Flap Perfusion with Laser Angiography. Craniomaxillofacial Trauma & Reconstruction. 2021; 14(1):16-22. https://doi.org/10.1177/1943387520930608

Chicago/Turabian Style

Massaro, Anthony, Juliana Gomez, Ashleigh Michelle Weyh, Anthony Bunnell, Matthew Warrick, Philip Pirgousis, and Rui Fernandes. 2021. "Serial Perioperative Assessment of Free Flap Perfusion with Laser Angiography" Craniomaxillofacial Trauma & Reconstruction 14, no. 1: 16-22. https://doi.org/10.1177/1943387520930608

APA Style

Massaro, A., Gomez, J., Weyh, A. M., Bunnell, A., Warrick, M., Pirgousis, P., & Fernandes, R. (2021). Serial Perioperative Assessment of Free Flap Perfusion with Laser Angiography. Craniomaxillofacial Trauma & Reconstruction, 14(1), 16-22. https://doi.org/10.1177/1943387520930608

Article Metrics

Back to TopTop