A Retrospective Cohort Study of 45 Cases Treated With Surgery First Approach in Orthognathic Surgery and a Short Review
Abstract
:1. Introduction
2. Patients and Methods
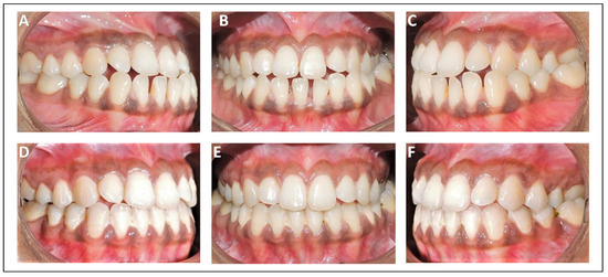
3. Results
4. Discussion
5. Conclusion
Funding
Conflicts of Interest
References
- Trauner, R.; Obwegeser, H. The surgical correction of mandibular prognathism and retrognathia with consideration of genioplasty. Oral Surg Oral Med Oral Pathol Oral Radiol Endod. 1957, 10, 677–689. [Google Scholar]
- Worms, F.W.; Meskin, L.H.; Isaacson, R.J. Open-bite. Am J Orthod. 1971, 59, 589–595. [Google Scholar] [PubMed]
- Worms, F.W.; Isaacson, R.J.; Speidel, T.M. Surgical orthodontic treatment planning: profile analysis and mandibular surgery. Angle Orthod. 1976, 46, 1–25. [Google Scholar] [PubMed]
- Nagasaka, H.; Sugawara, J.; Kawamura, H.; Nanda, R. “Surgery first” skeletal class III correction using the skeletal anchorage system. J Clin Orthod. 2009, 43, 97–105. [Google Scholar]
- Alfaro, F.H.; Martinez, R.G.; Coral, A.M.; Escriche, C.B. “Surgery first” in bimaxillary orthognathic surgery. J Oral Maxillofac Surg. 2011, 69, e201–e207. [Google Scholar]
- Uribe, F.; Adabi, S.; Janakiraman, N.; et al. Treatment duration and factors associated with the surgery-first approach: a twocenter study. Prog Orthod. 2015, 16, 29–32. [Google Scholar]
- Luther, F.; Morris, D.O.; Hart, C. Orthodontic preparation for orthognathic surgery: How long does it take and why? A retrospective study. Br J Oral Maxillofac Surg. 2003, 41, 401–406. [Google Scholar]
- Chiu, Y.T.; Huang, C.S.; Ko, E.W.C.; Chen, Y.R. Presurgical orthodontics versus no presurgical orthodontics: treatment outcome of surgical-orthodontic correction for skeletal class III open bite. Plast Reconstr Surg. 2010, 126, 2074–2083. [Google Scholar]
- Huang, C.S.; Hsu, S.S.; Chen, Y.-R. Systematic review of the surgery–first approach in orthognathic surgery. Biomed J. 2014, 37, 184–190. [Google Scholar]
- Dowling, P.A.; Espeland, L.; Krogstad, O.; Stenvik, A.; Kelly, A. Duration of orthodontic treatment involving orthognathic surgery. Int J Adult Orthodon Orthognath Surg. 1999, 14, 146–152. [Google Scholar]
- Diaz, P.M.; Garcia, R.G.; Gias, L.N.; et al. Time used for orthodontic surgical treatment of dentofacial deformities in white patients. J Oral Maxillofac Surg. 2010, 68, 88–92. [Google Scholar] [PubMed]
- Zeitoun, D. Surgery first: Which protocols for which results? J Dentofacial Anom Orthod. 2017, 20, 407–422. [Google Scholar]
- Sugawara, J. Surgery-first approach vs traditional approach. Am J Orthodon and Orthopaed Society. 2013, 25, 537–544. [Google Scholar]
- Ko, E.W.; Lin, S.C.; Chen, Y.R.; Huang, C.S. Skeletal and dental variables related to the stability of orthognathic surgery in skeletal class III malocclusion with a surgery-first approach. J Oral Maxillofac Surg. 2013, 71, e215–e223. [Google Scholar]
- Wirthlin, J.O.; Shetye, P.R. Orthodontist’s role in orthognathic surgery. Semin Plast Surg. 2013, 27, 137–144. [Google Scholar]
- Verna, C. Regional acceleratory phenomenon. Front Oral Biol. 2016, 18, 28–35. [Google Scholar]
- Wilcko, M.T.; Wilcko, W.M.; Pulver, J.J.; Bissada, N.F.; Bouquot, J.E. Accelerated osteogenic orthodontics technique: a 1-stage surgically facilitated rapid orthodontic technique with alveolar augmentation. J Oral Maxillofac Surg. 2009, 67, 2149–2159. [Google Scholar]
- Justus, T.; Chang, B.I.; Bloomquist, D.; Ramsay, D.S. Human gingival and pulpal blood flow during healing after Le Fort I osteotomy. J Oral Maxillofac Surg. 2001, 59, 2–7. [Google Scholar]
- Sebaoun, J.D.; Ferguson, D.J.; Wilcko, M.T.; Wilcko, W.M. Alveolar osteotomy and rapid orthodontic treatments. Orthod Fr. 2007, 78, 217–225. [Google Scholar]
- Yang, L.; Xiao, Y.; Liang, Y.; Wang, X.; Li, J.V.; Liao, G. Does the surgery-first approach produce better outcomes in orthognathic surgery? A systematic review and meta-analysis. J Oral Maxillofac Surg. 2017, 75, 2422–2429. [Google Scholar]
- Hernandez-Alfaro, F.; Guijarro-Martinez, R.; Peiro-Guijarro, M.A. Surgery first in orthognathic surgery: What have we learned? A comprehensive workflow based on 45 consecutive cases. J Oral Maxillofac Surg. 2014, 72, 376–390. [Google Scholar] [CrossRef]
- Baek, S.H.; Ahn, H.W.; Kwon, Y.H.; Choi, J.Y. Surgery first approach in skeletal class III malocclusion treated with 2jaw surgery: evaluation of surgical movement and postoperative orthodontic treatment. J Craniofac Surg. 2010, 21, 332–338. [Google Scholar]




| Category | Number of patients | Male | Female | Age in years (mean + SD) | Treatment period in months (mean + SD) |
| Bimaxillary protrusion | 14 | 5 | 9 | 23.2 + 4.75 | 18.2 + 5.76 |
| Skeletal class III | 31 | 12 | 19 | 20.6 + 4.11 | 12.2 + 4.22 |
| Total | 45 | 17 | 28 | 21.2 + 4.43 | 15.2 + 4.89 |
| Surgical modalities | Number of patients |
| Segmental Le Fort I maxillary osteotomy + mandibular subapical osteotomy | 10 |
| Segmental Le Fort I maxillary osteotomy + mandibular subapical osteotomy + BSSRO | 2 |
| Segmental Le Fort I maxillary osteotomy + mandibular subapical osteotomy + genioplasty | 2 |
| Total | 14 |
| Surgical modalities | Number of patients |
| Le Fort I maxillary osteotomy + BSSRO | 17 |
| Le Fort I maxillary osteotomy + BSSRO + genioplasty | 3 |
| Le Fort I maxillary osteotomy | 2 |
| BSSRO | 7 |
| BSSRO + genioplasty | 2 |
| Total | 31 |
© 2020 by the author. The Author(s) 2020.
Share and Cite
Singh, G.; Gurung, U.S.; Mishra, M.; Gaur, A. A Retrospective Cohort Study of 45 Cases Treated With Surgery First Approach in Orthognathic Surgery and a Short Review. Craniomaxillofac. Trauma Reconstr. 2021, 14, 64-69. https://doi.org/10.1177/1943387520950082
Singh G, Gurung US, Mishra M, Gaur A. A Retrospective Cohort Study of 45 Cases Treated With Surgery First Approach in Orthognathic Surgery and a Short Review. Craniomaxillofacial Trauma & Reconstruction. 2021; 14(1):64-69. https://doi.org/10.1177/1943387520950082
Chicago/Turabian StyleSingh, Gaurav, Utsav Singh Gurung, Madan Mishra, and Amit Gaur. 2021. "A Retrospective Cohort Study of 45 Cases Treated With Surgery First Approach in Orthognathic Surgery and a Short Review" Craniomaxillofacial Trauma & Reconstruction 14, no. 1: 64-69. https://doi.org/10.1177/1943387520950082
APA StyleSingh, G., Gurung, U. S., Mishra, M., & Gaur, A. (2021). A Retrospective Cohort Study of 45 Cases Treated With Surgery First Approach in Orthognathic Surgery and a Short Review. Craniomaxillofacial Trauma & Reconstruction, 14(1), 64-69. https://doi.org/10.1177/1943387520950082
