Next Article in Journal
Management of Life-Threatening Hemorrhage from Maxillofacial Firearm Injuries Using Foley Catheter Balloon Tamponade
Previous Article in Journal
The Role of Helmet Fastening in Motorcycle Road Traffic Accidents
 
 
Craniomaxillofacial Trauma & Reconstruction is published by MDPI from Volume 18 Issue 1 (2025). Previous articles were published by another publisher in Open Access under a CC-BY (or CC-BY-NC-ND) licence, and they are hosted by MDPI on mdpi.com as a courtesy and upon agreement with Sage.
Font Type:
Arial Georgia Verdana
Font Size:
Aa Aa Aa
Line Spacing:
Column Width:
Background:
Article

Impacted Mandibular Third Molars and Their Influence on Mandibular Angle and Condyle Fractures

by
Anhad Mehra
1,
Venkatesh Anehosur
1,* and
Niranjan Kumar
2
1
Department of Oral and Maxillofacial Surgery, SDM College of Dental Sciences and Hospital, Dharwad 580009, Karnataka, India
2
SDM Craniofacial Unit and Research Centre, SDM College of Medical Sciences and Hospital, Dharwad, Karnataka, India
*
Author to whom correspondence should be addressed.
Craniomaxillofac. Trauma Reconstr. 2019, 12(4), 291-300; https://doi.org/10.1055/s-0039-1685459
Submission received: 14 July 2018 / Revised: 1 January 2019 / Accepted: 7 February 2019 / Published: 2 April 2019

Abstract

The aim of this study is to retrospectively analyze the effect unerupted or partially erupted third molars have on the angle and condyle fracture patterns of the mandible. It also focuses on evaluating the type of impaction that causes angle fracture and the level at which the condyle most commonly fractures. The study involves all the patients who had undergone treatment for condylar and angle of the mandible fractures from 2010 to 2017 in our craniofacial center. The case records and orthopantomograms of each patient were taken into consideration and a correlation was established based on gender, age, etiology, presence of third molars, position of third molars, angulation, and root development of third molars. Of the 150 angle fracture patients, 146 had third molars and 4 did not, whereas of the 130 condyle fractures, third molar was present in 54 patients and absent in 76. The prevalence of angle fractures was statistically significant when a third molar was present, whereas the prevalence of condyle fractures was higher when third molar was absent. The results of age, etiology, angulation, position, and root development of third molars were also statistically significant. However, sex of the patient did not influence the fracture pattern. The presence of an impacted third molar or a completely erupted one has a definite influence on the fracture pattern of the mandible. The occurrence of angle and condyle fractures was mostly affected by the continuity of the cortical bone at the angle of the mandible. Hence, prophylactic removal of mandibular third molars does increase the risk of condyle fractures.

Despite being the largest and strongest bone of the facial skeleton, its protrusion makes mandible the most vulnerable to fractures. [1] Its susceptibility to trauma can easily be analyzed by studies put forth by different authors. [2] Mandibular fractures have been found to occupy a significant percentage of all maxillofacial injuries, as studies put forth by Gassner et al. and Tanaka et al. observed that mandibular fractures account for 24.3 and 68.6% of maxillofacial trauma, respectively. [3,4] Biomechanical properties of the mandible, position during injury, overlying soft tissue, force properties (direction, intensity, location of point, and impact), and the teeth present are some of the range of factors, which decide the pattern of mandibular condyle and angle fractures. [2]. The most common sites of fracture of the mandible are condyle (29.1%), angle (24.5%), symphysis (22%), and body (16%). However, there is a broad variation seen in how these findings translate in different researches because statistics put forth by Ogundare et al. suggested angle fractures to have the highest incidence at 36%. [5] Meisami et al. provided statistics to prove that condylar and angle fractures have almost equal weightage in sites of mandible (25–33%). [6]
A strong association has been observed between the presence and absence of mandibular third molars and angle and condylar fractures of the mandible, in most of the literature put forth by different authors. The presence of mandibular third molars, especially if it is partially or completely unerupted, reduces the bone quality and bone mass of the angle of the mandible. [1,2,3,4,5] The presence tends to increase the likelihood of angle fracture by 1.9 fold. [1] Some other observations made by different authors were a 3.8 times increase, [7,8] a 2.4 times increase, [9] and two- to threefold increase in angle fractures due to the presence of impacted third molars.
However, clinical data have suggested a decreased incidence of condylar fractures in cases with present M3, concluding that when the fragility of the angle increases, the condyle is spared.
In contrast, recent studies have proven increased likelihood of condyle fractures in the absence of impacted mandibular third molars or a completely erupted one. However, the absence also tends to decrease the frequency of angle fractures. The segment where the ramus of the mandible meets the condyle is responsible for indirectly transmitting impact forces toward the condyle due to the difference in rigidity, which is higher in the ramus as compared with condyle.
In our study, an effort has been made to prove and draw conclusions from the hypothesis of the relationship between third molar and angle and condylar fractures of the mandible using variables such as type of impaction, severity of impaction, injury mechanism, position of third molar, and the root development.

Materials and Methods

A retrospective study was conducted on 280 patients who were treated for mandibular angle and condyle fractures in our Craniofacial Unit from 2010 to 2017. Research ethics committee approved the study.
Records and panoramic radiographs of all patients treated for mandibular condylar and angular fractures were analyzed and a correlation was established based on the following:
  • Distribution of mandibular fractures (angle and condyle) by gender and age.
  • Relationship between the presence of mandibular third molars and mandibular angle and condyle fractures.
  • Relationship between mandibular third molar position and mandibular angle and condyle fractures.
  • Relationship between angulation of mandibular third molars and mandibular angle and condyle fractures.
  • Relationship between the root development of mandibular third molars and mandibular angle and .condyle fractures.
The inclusion criteria for angle fractures involved (1) patients who had sustained isolated unilateral angle fractures, (2) patients whose complete information was available, and (3) cases which helped evaluate the influence of the presence and position of a mandibular third molar in mandibular angle fracture. The exclusion criteria involved (1) patients whose information was incomplete, (2) cases that reported fractures during third molar extractions, (3) cases that reported fractures during orthognathic surgeries due to bad splits involving third molars, (4) pathological fractures due to lesions involving third molars, and (5) patients with underlying bone metabolism disorders (osteopenia, osteoporosis).
The inclusion criteria for condyle fractures involved (1) patients who had sustained unilateral condyle fractures with or without associated concomitant mandibular fractures and (2) patients whose complete information was available. The exclusion criteria for condyle fractures involved (1) incomplete information, (2) presence of concomitant ankylosis of temporomandibular joint in condylar injuries, and (3) Condylar fractures previously treated surgically in other hospitals.
The primary predictor variable was presence/absence of impacted mandibular third molar. The secondary predictor variables taken into account were age and sex of patients followed by determination of impaction depth and eruption space of third molars using the classification system of Pell and Gregory.
The outcome variable was angle fracture or condyle fracture of mandible (presence or absence).
The statistical analysis was performed using SPSS Statistics software (SPSS Inc., Chicago, IL). Statistical significance was determined using the chi-squared tests.

Results

A total of 280 patients were considered for our retrospective study. The patients evaluated had been diagnosed with angle and condyle fractures and were admitted in our craniofacial unit for the treatment of the same.
Of the total, 150 patients were of angle fractures occupying 53.6% of the sample set and 130 were of condyle fractures, constituting 46.4% of the sample (Figure 1).
Subcondylar fractures accounted for 87.6% of the condyle fractures, whereas condylar head and neck fractures composed of 7.6 and 4.6%, respectively.

Gender and Distribution of Mandibular Angle and Condyle Fractures

Of the total, 141 male patients (94%) and 9 female patients (6%) were diagnosed with angle fracture of the mandible.
Of the condyle fractures, 117 were male patients (90%) and 13 were female patients (10%; Figure 2,Table 1). However, the p-value was found to be statistically insignificant and this variable could not be used to establish a predilection of mandibular fractures based on the sex of the patients.

Age and Distribution of Mandibular Angle and Condyle Fractures

Among the angle fractures, the highest incidence was observed in patients 20 to 29 years age group (75 patients; 50%) followed by 30 to 39 years (34 patients; 22.67%), 40 to 49 years (22 patients; 14.67%), 10 to 19 years (16 patients; 10.67%), and older than 50 years age bracket (3 patients; 2%), respectively.
Among the condyle fractures, the highest incidence was observed in patients 20 to 29 years age group (57 patients; 43.85%) followed by 30 to 39 years (32 patients; 24.62%), 10 to 19 years (15 patients; 11.54%), 40 to 49 years (13 patients, 10%), and older than 50 years age bracket (13 patients, 10%), respectively.
The highest incidence for both the fractures was seen in 20 to 29 years age group and the mean ages calculated for both angle and condyle fractures were 28.99 and 30.27 years, respectively (Figure 3; Table 2).

Etiology or Cause of Fracture and Distribution of Mandibular Angle and Condyle Fractures

Among the angle fractures, road traffic accident had the highest incidence of etiology and was seen in 86 patients (57.33%). The other causes of trauma were fall and assault which were seen in 48 (32%) and 16 (10.67%) patients, respectively.
Among the condyle fractures, fall was the most common cause of fracture (84 patients; 64.62%). Road traffic accident (44 patients; 33.85%) was the second most common etiology followed by assault (2 patients; 1.54% [Figure 4, Table 3]).

Relationship between Presence and Absence of Mandibular Third Molar and Angle and Condyle Fractures

Of the mandibular angle fractures, 146 patients (97.33%) had mandibular third molars and 4 patients (2.67%) did not have third molars. The presence of a mandibular third molar in angle fractures was statistically and significantly higher than in patients who did not have them.
Of the condyle fractures, 76 patients (58.46%) had absence of mandibular third molars, whereas 54 patients (41.54%) had third molars. The absence of a mandibular third molar in condylar fractures was statistically and significantly higher than in patients where third molars were present (Figure 5, Figure 6, Figure 7 and Figure 8; Table 4).

Relationship between Mandibular Third Molar Angulation and Mandibular Angle and Condyle Fractures

Of the 146 mandibular angle fracture patients who had a lower third molar, the highest incidence was seen in mesioangular angulation (105 patients; 71.92%) followed by horizontal angulation (29 patients; 19.86%), vertical angulation (10 patients; 6.85%), and distoangular angulation (2 patients; 1.37%), respectively.
Of the 54 mandibular condyle fracture patients, who had a lower third molar, the highest incidence was seen in vertical angulation (34 patients; 62.96%) followed by mesioangular angulation (13 patients; 24.07%), distoangular angulation (5 patients; 9.26%), and horizontal angulation (2 patients; 3.70% [Figure 9, Figure 10 and Figure 11; Table 5]), respectively.

Relationship between Mandibular Third Molar Position and Mandibular Angle and Condyle Fractures

Of the 146 mandibular angle fracture patients, who had a lower third molar, position with the highest incidence was seen in class II position B (94 patients; 64.38%) followed by class I position B (27 patients; 18.49%), class I position A (15 patients; 10.27%), class II position A (8 patients; 5.48%), class II position C (1 patient; 0.68%), and class III position B (1 patient; 0.68%), respectively.
Of the 54 mandibular condyle fracture patients, who had a lower third molar, position with highest incidence was seen in class I position A (48 patients; 88.89%) followed by class II position A (3 patients; 5.56%), class I position B (2 patients; 3.70%), and class II position B (1 patient; 1.85%), respectively (Figure 12; Table 6).

Relationship between Root Development of Mandibular Third Molar and Mandibular Angle and Condyle Fractures

Based on root development of the mandibular third molars, mandibular angle fractures were more frequent when the mandibular third molar had a developed root (140 patients; 95.89%). Mandibular condyle fractures were more frequent when roots were not yet completely developed (35 patients; 64.81% [Figure 13 and Figure 14; Table 7]).

Discussion

A broad variation is seen in factors and variables governing mandibular angle and condyle fractures. Determinants such as direction, severity and impact of force, the presence of soft-tissue bulk, occlusal loading pattern, biomechanical characteristics such as bone density mass, and anatomic structures creating weak areas are accountable for mandibular fractures to occur. [6,10] Many studies have been put forth proving the increased risk of mandibular angle fractures due to the presence of an impacted third molar; however, there is scanty evidence and low emphasis on the distribution of angle and condyle fractures on the basis of age of the patient, sex, etiology of the trauma, presence and position of third molar, and development of roots. [6,11,12]
In our study, gender of the patient was considered a variable, as all the patients who were operated from 2010 to 2017 were taken into consideration. However, as per statistics, p-value was found to be 0.2153 (p < 0.05), which was statistically insignificant, hence failing to establish a relationship between the sex of the patient and mandibular fractures. In many studies, male predilection has been seen over females for mandibular fractures. A similar male inclination was found in studies put forth by Busuito et al. (1986), Eriksson and Willmar (1987), Fridrich et al. (1992), Oji (1999), Ogundare et al., Sirimaharaj and Pyungtanasup (2008), and Bormann et al. (2009). [5,13] Majority of the fractures were found in men, mostly due to higher physical activity and their involvement in road traffic accidents. However, studies performed by Barde et al. and Subhasharaj et al. (2008) revealed a male:female ratio of 3.7:1 and 5.1:1, respectively, proving an increase in the trend of female involvement in mandibular trauma too. [14]
Since direct trauma was one of the most common causes, age of the patient was taken into consideration as a variable. In our study, among the angle and condyle fractures, the highest incidence was observed in patients of 20 to 29 years age group. The mean age for both angle and condyle fractures was within 20 to 29 years age bracket. The social activity of young adults makes them more prone to trauma as compared with children, middle aged, and elderly persons. [13]
In our study, the incidence of both angle and condyle fractures was highly affected by the age of the patients. However, our results were not complementary to those of Patil, who depicted that mandibular fractures were more prevalent among the older generations. [15] Similar deductions were also made by Duan and Zhang. [16]
Etiology or the cause of trauma was one of the variables of our study. We found that road traffic accidents were more responsible for angle fractures as falls were for condyle fractures. The most common cause of mandibular fractures in today’s day and age is road traffic accident, followed by violence or assaults as per Chrcanovic et al. [13] According to Duan and Zhang, the highest incidence for mandibular fractures is seen in patients who were in road traffic accidents (44%), followed by assault (24%), fall (18%), and others. [16] Our group A (angle fractures) results were contradicted by findings of Mah et al., who found assault or being struck by an object to be a more relevant cause of fracture; however, their results complemented our group B (condyle fractures) etiology which was followed by road traffic accidents. [1] Tiwari et al. put forth that road traffic accidents were responsible for both angle and condyle fractures attributing up to 25% of patients with erupted mandibular third molars and 42% without third molars. [17] Zhu et al. depicted two groups—one with unerupted third molars in which assault was a major etiological factor (41.6%) and the other without third molars in which assaults occupied 37.6% of the factors. [12]
The statistical significance found in our results in relation to the presence and absence of impacted mandibular third molars and angle and condyle fractures was similar to the one found in a study by Mah et al. [1] Reitzik et al. found that mandibular angle fractures were frequent in monkeys with impacted third molars due to the presence of only 60% strength as compared with a mandible without third molars. [18] Tevepaugh and Dodson established that mandibular angle fractures were 3.8 times more likely to occur in the presence of a mandibular third molar than in the absence of the same. [8] A similar result was established by Safdar and Meechan, Tiwari et al., and Halmos et al. [11,17,19] The frequency of condyle fractures was found more in patients with absence of mandibular third molars or the ones who did not have impacted ones (79% erupted) as put forth by Zhu et al., Duan and Zhang, and Iida et al. [12,16,20] However, study of Ugboko et al. conflicted with most of the researches and depicted that third molars were not a predisposing factor for angle fractures. [21] Thus, prophylactic extractions of symptom-free mandibular third molars may strengthen the angle region, but at the same time the force generated may fracture the mandible elsewhere, especially the condyle. [17] A theory that the presence of a mandibular third molar tends to reduce the cross-section area of the angle which in turn reduces the tensile strength of the bone, encouraging the propagation of fracture along the path of least resistance, was supported by Safdar and Meechan and Ma’aita and Alwrikat, [11,22] but was in conflict with Wolujewicz, Tevepaugh and Dodson, and Lee and Dodson who failed to establish this relation. [8,23,24] Another interesting finding in different studies was the protective effect which the presence of third molars had on the condyle of the mandible and a similar effect which absence had on the angle of the mandible. [25,26]
The angulation of the mandibular third molar is also known to have a profound effect on the site of mandibular fracture, complementary to our results. Our results were supported by studies of Revanth et al. and Fuselier et al. for the group A (angle fracture) patients, who also found mesioangular impactions more prevalent. [27,28] Thangavelu et al. analyzed and validated the importance of angulation of M3s to the risk of angle and condyle fractures of the mandible. The most common angulation among angle fractures was mesioangular, which supported our data, but their finding of distoangular impactions among condyle fractures contradicted our results. [29] Similarities were found in group B (condyle fractures), in which results put forth by Mah et al. and Patil matched our findings but conflicted with results of group A (angle fractures). Horizontal impaction was a relevant finding in the former’s study while vertical impaction was common in the latter’s study. [1,15] A similar conflict was also found with the result of Ma’aita and Alwrikat who found vertical and distoangular impactions more prominent among angle fractures. [20,22] Duan and Zhang compared vertical and horizontal positions for both angle and condyle fractures and found partially erupted third molars more prevalent among angle fractures and completely erupted third molars more common among condyle fractures for both the angulations. [16]
As put forth by a prominent section of authors, the angle and condyle fracture patterns are influenced not only by the presence or absence but also by the position of third molars. Our results were statistically significant and complemented the study put forth by Mah et al., who also proved that class II position B was prevalent among angle fractures, while absence of third molar (class 0 position 0) and class I position A was one of the key reasons for condyle fractures to occur. [1] Iida et al. supported the fact that class I was most responsible for mandibular fractures but unerupted third molars with class II position B and class III were accountable for the fractures to occur at the angle region, hence supporting our results for the same. [20] Safdar and Meechan put forth the hypothesis that the amount of bony space occupied by an unerupted third molar can establish a direct relationship between the relative loss of bony integrity and weakness of that area of bone. Hence, proving that more deeply an impaction is seated, the more chances are of an angle fracture to occur. [11] Lee and Dodson put forth the theory that a class III impaction or the deepest impaction was 50% less likely to cause a fracture of the angle than a partially erupted tooth, proving the concept that continuity of cortical bone plays an essential role in maintaining the integrity of the mandible. [24] A similar theory was also suggested by Meisami et al. [6] According to Halmos et al., there is a variable amount of risk depending on the position of third molar, the risk being greater in Pell and Gregory’s classes I and II and positions A and B. [19] We confirm the results of Thangavelu et al., who also contemplated that highest incidence of angle fracture was found in class II position B and position A was more common among condyle fractures. [29] However, Tevepaugh and Dodson failed to hypothesize the relationship between angle fracture and mandibular third molar. [1,8] Specifically, for condylar fractures, Duan and Zhang found class 0 to have a higher incidence followed by class I which supported our study; however, position C was more prominent as compared with position A, which contradicted our findings. [16] Wolujewicz et al. also contradicted different studies stating that the presence of third molar does have an effect on the angle and condyle fractures, but the position is not a predisposing factor. [23]
Finite element analysis studies have taken the front row in determining the forces acting around the different parts of the mandible and the concentration of stresses associated with them. Cho and Kim developed a three-dimensional (3D) finite element model study to determine the dynamic loads acting on different sites of the mandible to determine the stress concentration. They concluded that mandibular angle and the neck of the condyle were the most vulnerable to fractures due to concentration of load. They put forth that angle of the mandible is of reduced quality due to roots of the third molar and because the condyle automatically links this region to the upper skull, it also becomes a fracture site in the mandible. [30]
A similar finite model study was performed by Antic et al., who generated three mandibular models from computed tomographic scans—one with an erupted third molar, one with partially impacted M3, and one without any M3. They were inflicted with a frontal and a lateral blow. The calculation of Von misses and principle stresses was performed. They concluded that angle region with impacted M3 showed highest stress in front blow and over the condylar region without M3. Similar finding was deduced with the lateral blow. [2]
Bezerra et al. also performed a 3D finite model element study and found that the presence of a mandibular third molar resulted in greater stress concentration at the angle of mandible, whereas a similar effect was seen over the neck of the condyle on absence of M3. The conclusion drawn from their study was more of an anatomical and structural deduction; primary and secondary stresses were both responsible for angle and condyle fractures. [31]
A recent meta-analysis performed by Armond et al., in which observational studies were included and 704 articles on mandibular third molars with angle fractures were assessed. They concluded that there was a positive connection between the presence of an impacted M3 and angle fracture (case–control studies: odds ratio [OR], 3.27). [25,26]
The third molar positions most favorable to angle fracture according to Pell and Gregory’s classification was class II position B, which is complementary to our results. The protective factors for angle fractures were class I position A.
A similar meta-analysis, with same number of observational cases, was performed for condyle fractures too. The deduction was that presence of a mandibular third molar reduced the risk of condyle fractures (case–control studies: OR 0.30). The assessment of all studies regarding condyle fractures proved that class I position A, as per Pell and Gregory’s classification, [32] was the most favorable position for condyle fractures, which is similar to our results. Class II position B acts as protective factors for condyle fractures. [25,26]
The developed roots of the mandibular third molar were also taken as a determinant for the angle and condyle fracture pattern. Similar results were found by a retrospective study performed by Mah et al. who proved that condylar fractures were mostly associated with tooth germs or undeveloped roots, while horizontal impactions were a more common etiology for angle fractures due to the completely developed ones, hence concluding that mandibular angle and condyle fractures were significantly affected by the presence of third molar and continuity of cortical bone at the angle. [1]
Irrespective of the conclusions drawn from our study, more research is still required to comprehensively examine the direction of strength and external force application, the quality of bone of the mandible, and the correlation between these factors and mandible angle and condyle fractures.

Conclusion

From our retrospective analysis, it can be concluded that the presence or absence of impacted mandibular third molars has a definite impact on the mandibular fracture pattern. The presence of an unerupted third molar tends to increase the susceptibility of fracture of the mandible at the angle region; however, its presence in turn acts as a protective factor for the condyle. The position and angulation of the impacted third molars are also important variables for the determination of the site of fracture.
The absence or complete eruption of the third molars makes the condyle more liable for fracture and acts as a protective mechanism for the angle.
The presence of angle fractures with third molars and of condyle fractures without third molars is found to be statistically significant. Hence, proving the fact that occurrence of fractures is mainly due to discontinuity of the cortical bone caused by the presence of impacted third molars. Therefore, prophylactic removal of mandibular third molars does increase the risk of condyle fractures.

Ethical Approval Clearance

The manuscript was reviewed by Institutional review Board for publication. Owing to the retrospective nature of this study, it was granted an exemption in writing by the Research Committee of the SDM College of Dental Sciences and Hospital, Dharwad, Karnataka, India. This article does not contain any studies with human participants or animals performed by any of the authors.

Acknowledgments

The authors would like to thank Dr. Srinath Thakur, Principal, SDM college of Dental Sciences and Hospital, and Dr. Niranjan Kumar, Director, SDM Craniofacial Centre for the encouragement and facilities provided.

Conflicts of Interest

The authors would like to declare that there is no funding received from any source and there is no conflict of interest.

References

  1. Mah, D.H.; Kim, S.G.; Moon, S.Y.; Oh, J.S.; You, J.S. Relationship between mandibular condyle and angle fractures and the presence of mandibular third molars. J Korean Assoc Oral Maxillofac Surg 2015, 41, 3–10. [Google Scholar] [CrossRef]
  2. Antic, S.; Vukicevic, A.M.; Milasinovic, M.; et al. Impact of the lower third molar presence and position on the fragility of mandibular angle and condyle: A three-dimensional finite element study. J Craniomaxillofac Surg 2015, 43, 870–878. [Google Scholar] [CrossRef] [PubMed]
  3. Gassner, R.; Tuli, T.; Hächl, O.; Rudisch, A.; Ulmer, H. Cranio-maxillofacial trauma: A 10 year review of 9,543 cases with 21,067 injuries. J Craniomaxillofac Surg 2003, 31, 51–61. [Google Scholar] [CrossRef]
  4. Tanaka, N.; Tomitsuka, K.; Shionoya, K.; et al. Aetiology of maxillofacial fracture. Br J Oral Maxillofac Surg 1994, 32, 19–23. [Google Scholar] [CrossRef] [PubMed]
  5. Ogundare, B.O.; Bonnick, A.; Bayley, N. Pattern of mandibular fractures in an urban major trauma center. J Oral Maxillofac Surg 2003, 61, 713–718. [Google Scholar] [CrossRef] [PubMed]
  6. Meisami, T.; Sojat, A.; Sàndor, G.K.; Lawrence, H.P.; Clokie, C.M. Impacted third molars and risk of angle fracture. Int J Oral Maxillofac Surg 2002, 31, 140–144. [Google Scholar] [CrossRef]
  7. Zhou, H.H.; Liu, Q.; Cheng, G.; Li, Z.B. Aetiology, pattern and treatment of mandibular condylar fractures in 549 patients: A 22-year retrospective study. J Craniomaxillofac Surg 2013, 41, 34–41. [Google Scholar] [CrossRef]
  8. Tevepaugh, D.B.; Dodson, T.B. Are mandibular third molars a risk factor for angle fractures? A retrospective cohort study. J Oral Maxillofac Surg 1995, 53, 646–649, discussion 649–650. [Google Scholar] [CrossRef]
  9. Hanson, B.P.; Cummings, P.; Rivara, F.P.; John, M.T. The association of third molars with mandibular angle fractures: A meta-analysis. J Can Dent Assoc 2004, 70, 39–43. [Google Scholar]
  10. Gaddipati, R.; Ramisetty, S.; Vura, N.; Kanduri, R.R.; Gunda, V.K. Impacted mandibular third molars and their influence on mandibular angle and condyle fractures–a retrospective study. J Craniomaxillofac Surg 2014, 42, 1102–1105. [Google Scholar] [CrossRef]
  11. Safdar, N.; Meechan, J.G. Relationship between fractures of the mandibular angle and the presence and state of eruption of the lower third molar. Oral Surg Oral Med Oral Pathol Oral Radiol Endod 1995, 79, 680–684. [Google Scholar] [CrossRef] [PubMed]
  12. Zhu, S.J.; Choi, B.H.; Kim, H.J.; et al. Relationship between the presence of unerupted mandibular third molars and fractures of the mandibular condyle. Int J Oral Maxillofac Surg 2005, 34, 382–385. [Google Scholar] [CrossRef]
  13. Chrcanovic, B.R.; Abreu, M.H.; Freire-Maia, B.; Souza, L.N. 1,454 mandibular fractures: A 3-year study in a hospital in Belo Horizonte, Brazil. J Craniomaxillofac Surg 2012, 40, 116–123. [Google Scholar] [CrossRef]
  14. Barde, D.; Mudhol, A.; Madan, R. Prevalence and pattern of mandibular fracture in Central India. Natl J Maxillofac Surg 2014, 5, 153–156. [Google Scholar] [CrossRef]
  15. Patil, P.M. Unerupted lower third molars and their influence on fractures of the mandibular angle and condyle. Br J Oral Maxillofac Surg 2012, 50, 443–446. [Google Scholar] [CrossRef]
  16. Duan, D.H.; Zhang, Y. Does the presence of mandibular third molars increase the risk of angle fracture and simultaneously decrease the risk of condylar fracture? Int J Oral Maxillofac Surg 2008, 37, 25–28. [Google Scholar] [CrossRef] [PubMed]
  17. Tiwari, A.; Lata, J.; Mishra, M. Influence of the impacted mandibular third molars on fractures of the mandibular angle and condyle—A prospective clinical study. J Oral Biol Craniofac Res 2016, 6, 227–230. [Google Scholar] [CrossRef]
  18. Reitzik, M.; Lownie, J.F.; Cleaton-jones, P.; Austin, J. Experimental fractures of monkey mandibles. Int J Oral Surg 1978, 7, 100–103. [Google Scholar] [CrossRef] [PubMed]
  19. Halmos, D.R.; Ellis, E., III; Dodson, T.B. Mandibular third molars and angle fractures. J Oral Maxillofac Surg 2004, 62, 1076–1081. [Google Scholar] [CrossRef]
  20. Iida, S.; Hassfeld, S.; Reuther, T.; Nomura, K.; Mühling, J. Relationship between the risk of mandibular angle fractures and the status of incompletely erupted mandibular third molars. J Craniomaxillofac Surg 2005, 33, 158–163. [Google Scholar] [CrossRef]
  21. Ugboko, V.I.; Oginni, F.O.; Owotade, F.J. An investigation into the relationship between mandibular third molars and angle fractures in Nigerians. Br J Oral Maxillofac Surg 2000, 38, 427–429. [Google Scholar] [PubMed]
  22. Ma’aita, J.; Alwrikat, A. Is the mandibular third molar a risk factor for mandibular angle fracture? Oral Surg Oral Med Oral Pathol Oral Radiol Endod 2000, 89, 143–146. [Google Scholar]
  23. Wolujewicz, M.A. Fractures of the mandible involving the impacted third molar tooth: An analysis of 47 cases. Br J Oral Surg 1980, 18, 125–131. [Google Scholar]
  24. Lee, J.T.; Dodson, T.B. The effect of mandibular third molar presence and position on the risk of an angle fracture. J Oral Maxillofac Surg 2000, 58, 394–398. [Google Scholar] [PubMed]
  25. Armond, A.C.V.; Martins, C.C.; Glória, J.C.R.; Galvão, E.L.; Dos Santos, C.R.R.; Falci, S.G.M. Influence of third molars in mandibular fractures. Part 1: Mandibular angle-a meta-analysis. Int J Oral Maxillofac Surg 2017, 46, 716–729. [Google Scholar] [CrossRef] [PubMed]
  26. Armond, A.C.V.; Martins, C.C.; Glória, J.C.R.; Galvão, E.L.; Dos Santos, C.R.R.; Falci, S.G.M. Influence of third molars in mandibular fractures. Part 2: Mandibular condyle-a meta-analysis. Int J Oral Maxillofac Surg 2017, 46, 730–739. [Google Scholar]
  27. Revanth Kumar, S.; Sinha, R.; Uppada, U.K.; Ramakrishna Reddy, B.V.; Paul, D. Mandibular third molar position influencing the condylar and angular fracture patterns. J Maxillofac Oral Surg 2015, 14, 956–961. [Google Scholar]
  28. Fuselier, J.C.; Ellis, E.E., III; Dodson, T.B. Do mandibular third molars alter the risk of angle fracture? J Oral Maxillofac Surg 2002, 60, 514–518. [Google Scholar]
  29. Thangavelu, A.; Yoganandha, R.; Vaidhyanathan, A. Impact of impacted mandibular third molars in mandibular angle and condylar fractures. Int J Oral Maxillofac Surg 2010, 39, 136–139. [Google Scholar]
  30. Cho, S.J.; Kim, Y.G. The study on mandibular fracture mechanism using dynamic 3dimensional finite analysis. J Korean Assoc Maxillofac Plast Reconstr Surg. 2002, 24, 470–481. [Google Scholar]
  31. Bezerra, T.P.; Silva Junior, F.I.; Scarparo, H.C.; Costa, F.W.; Studart-Soares, E.C. Do erupted third molars weaken the mandibular angle after trauma to the chin region? A 3D finite element study. Int J Oral Maxillofac Surg 2013, 42, 474–480. [Google Scholar] [CrossRef] [PubMed]
  32. Pell, G.; Gregory, B.T. Impacted mandibular third molars: Classification and modified technique for removal. Dent Dig 1933, 39, 330–338. [Google Scholar]
Figure 1. Distribution of mandibular angle and condyle fracture.
Figure 1. Distribution of mandibular angle and condyle fracture.
Cmtr 12 00041 g001
Figure 2. Distribution of male and female patients in two groups (angle and condyle fractures).
Figure 2. Distribution of male and female patients in two groups (angle and condyle fractures).
Cmtr 12 00041 g002
Figure 3. Distribution of patients in two groups (angle and condyle fractures) by age groups.
Figure 3. Distribution of patients in two groups (angle and condyle fractures) by age groups.
Cmtr 12 00041 g003
Figure 4. Distribution of patients in two groups (angle and condyle fractures) by etiology of trauma.
Figure 4. Distribution of patients in two groups (angle and condyle fractures) by etiology of trauma.
Cmtr 12 00041 g004
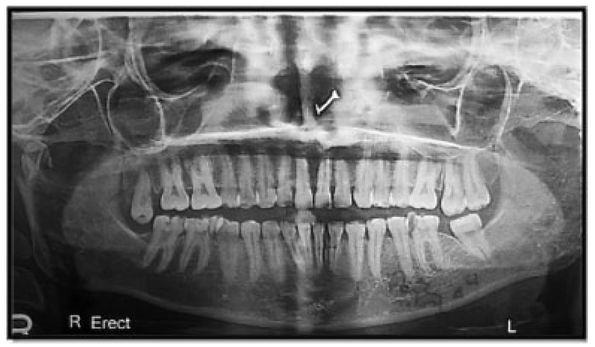
Figure 5. Angle fracture with the presence of impacted mandibular third molar.
Figure 5. Angle fracture with the presence of impacted mandibular third molar.
Cmtr 12 00041 g005
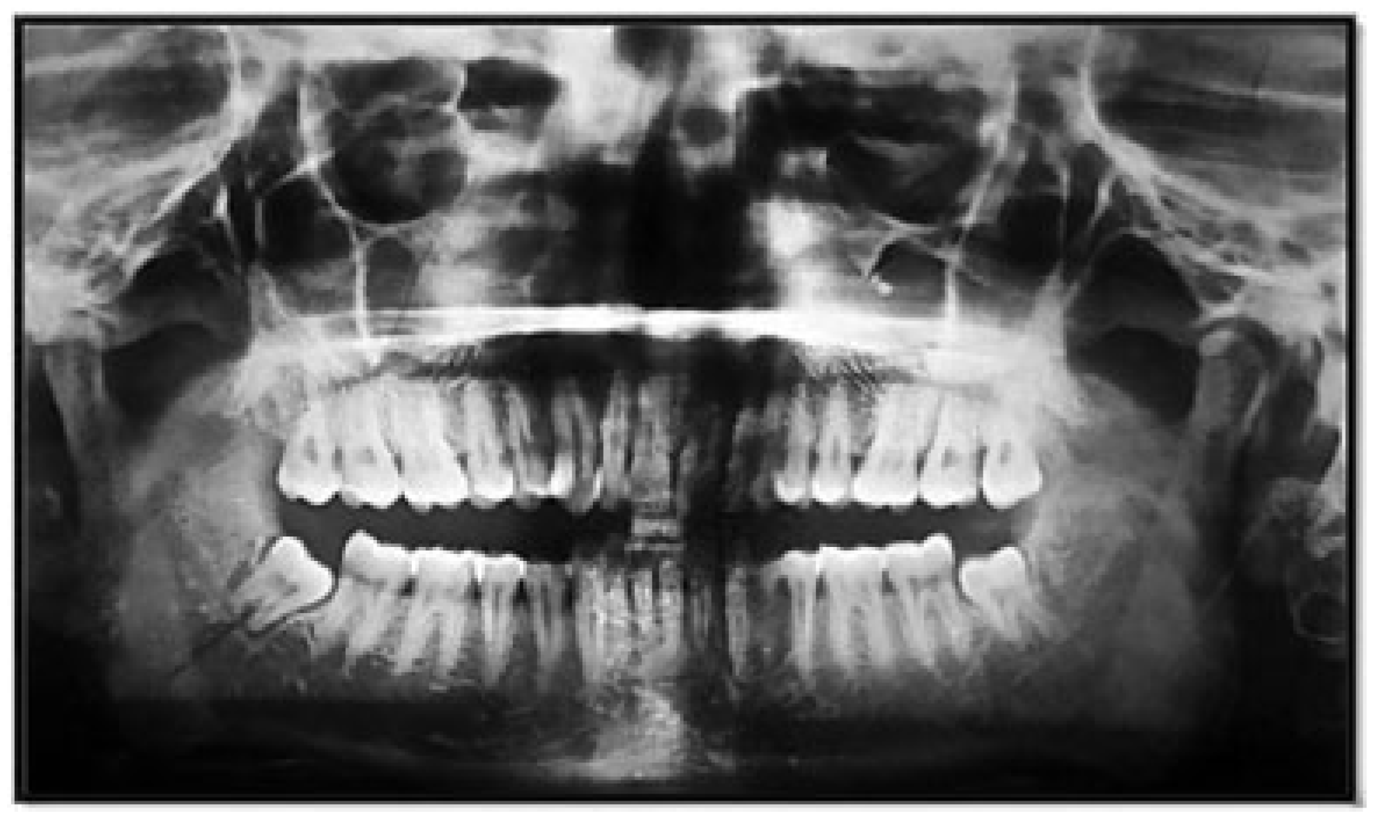
Figure 6. Right condyle fracture with the absence of mandibular third molar.
Figure 6. Right condyle fracture with the absence of mandibular third molar.
Cmtr 12 00041 g006
Figure 7. Right subcondylar fracture with the absence of mandibular third molar.
Figure 7. Right subcondylar fracture with the absence of mandibular third molar.
Cmtr 12 00041 g007
Figure 8. Comparison of two groups (angle and condyle fractures) with respect to the status of the presence of mandibular third molar.
Figure 8. Comparison of two groups (angle and condyle fractures) with respect to the status of the presence of mandibular third molar.
Cmtr 12 00041 g008
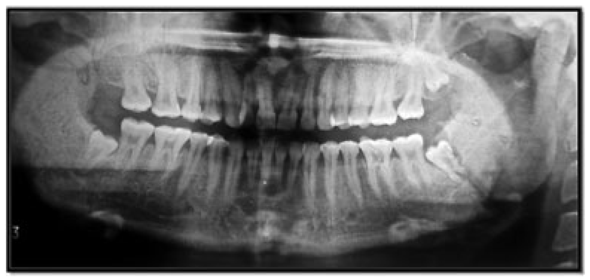
Figure 9. Angle fracture with mesioangular class II position B impaction.
Figure 9. Angle fracture with mesioangular class II position B impaction.
Cmtr 12 00041 g009
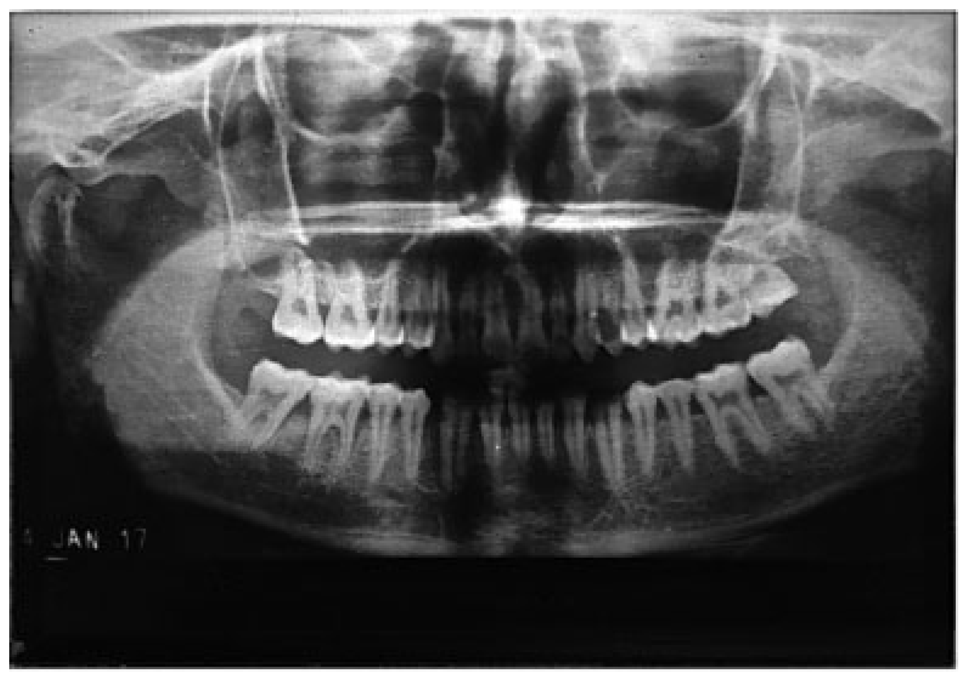
Figure 10. Right subcondylar fracture with vertical class I position A mandibular third molar.
Figure 10. Right subcondylar fracture with vertical class I position A mandibular third molar.
Cmtr 12 00041 g010
Figure 11. Comparison of two groups (angle and condyle fractures) with respect to angulation of third molar.
Figure 11. Comparison of two groups (angle and condyle fractures) with respect to angulation of third molar.
Cmtr 12 00041 g011
Figure 12. Comparison of two groups (angle and condyle fractures) with respect to the status of the position of third molar.
Figure 12. Comparison of two groups (angle and condyle fractures) with respect to the status of the position of third molar.
Cmtr 12 00041 g012
Figure 13. Right condyle fracture with undeveloped roots of the mandibular third molars.
Figure 13. Right condyle fracture with undeveloped roots of the mandibular third molars.
Cmtr 12 00041 g013
Figure 14. Comparison of two groups (angle and condyle fractures) with respect to the status of the root development.
Figure 14. Comparison of two groups (angle and condyle fractures) with respect to the status of the root development.
Cmtr 12 00041 g014
Table 1. Distribution of male and female patients in two groups (angle and condyle fractures).
Table 1. Distribution of male and female patients in two groups (angle and condyle fractures).
Cmtr 12 00041 i001
Table 2. Distribution of patients in two groups (angle and condyle fractures) by age groups.
Table 2. Distribution of patients in two groups (angle and condyle fractures) by age groups.
Cmtr 12 00041 i002
ap-Value is 0.0452 (p < 0.05) and is statistically significant.
Table 3. Comparison of two groups (angle and condyle fractures) with respect to the status of etiology.
Table 3. Comparison of two groups (angle and condyle fractures) with respect to the status of etiology.
Cmtr 12 00041 i003
ap-Value is 0.0001 (p < 0.05) and is statistically significant.
Table 4. Relationship between presence and absence of mandibular third molar and angle and condyle fractures.
Table 4. Relationship between presence and absence of mandibular third molar and angle and condyle fractures.
Cmtr 12 00041 i004
ap-Value is 0.0001 (p < 0.05) and is statistically significant.
Table 5. Relationship between mandibular third molar angulation and mandibular angle and condyle fractures.
Table 5. Relationship between mandibular third molar angulation and mandibular angle and condyle fractures.
Cmtr 12 00041 i005
ap-Value is 0.0001 (p < 0.05) and is statistically significant.
Table 6. Relationship between mandibular third molar position and mandibular angle and condyle fractures.
Table 6. Relationship between mandibular third molar position and mandibular angle and condyle fractures.
Cmtr 12 00041 i006
ap-Value is 0.0001 (p < 0.05) and is statistically significant.
Table 7. Relationship between root development of mandibular third molar and mandibular angle and condyle fractures.
Table 7. Relationship between root development of mandibular third molar and mandibular angle and condyle fractures.
Cmtr 12 00041 i007
ap-Value is 0.0001 (p < 0.05) and is statistically significant.

Share and Cite

MDPI and ACS Style

Mehra, A.; Anehosur, V.; Kumar, N. Impacted Mandibular Third Molars and Their Influence on Mandibular Angle and Condyle Fractures. Craniomaxillofac. Trauma Reconstr. 2019, 12, 291-300. https://doi.org/10.1055/s-0039-1685459

AMA Style

Mehra A, Anehosur V, Kumar N. Impacted Mandibular Third Molars and Their Influence on Mandibular Angle and Condyle Fractures. Craniomaxillofacial Trauma & Reconstruction. 2019; 12(4):291-300. https://doi.org/10.1055/s-0039-1685459

Chicago/Turabian Style

Mehra, Anhad, Venkatesh Anehosur, and Niranjan Kumar. 2019. "Impacted Mandibular Third Molars and Their Influence on Mandibular Angle and Condyle Fractures" Craniomaxillofacial Trauma & Reconstruction 12, no. 4: 291-300. https://doi.org/10.1055/s-0039-1685459

APA Style

Mehra, A., Anehosur, V., & Kumar, N. (2019). Impacted Mandibular Third Molars and Their Influence on Mandibular Angle and Condyle Fractures. Craniomaxillofacial Trauma & Reconstruction, 12(4), 291-300. https://doi.org/10.1055/s-0039-1685459

Article Metrics

Back to TopTop