Incidence and Risk Factors of Inferior Rectus Muscle Palsy in Pediatric Orbital Blowout Fractures
Abstract
:Methods
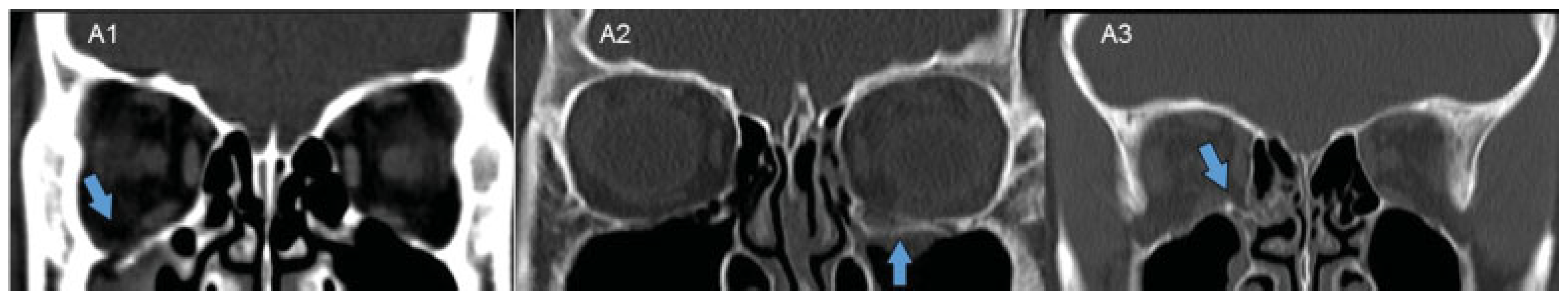
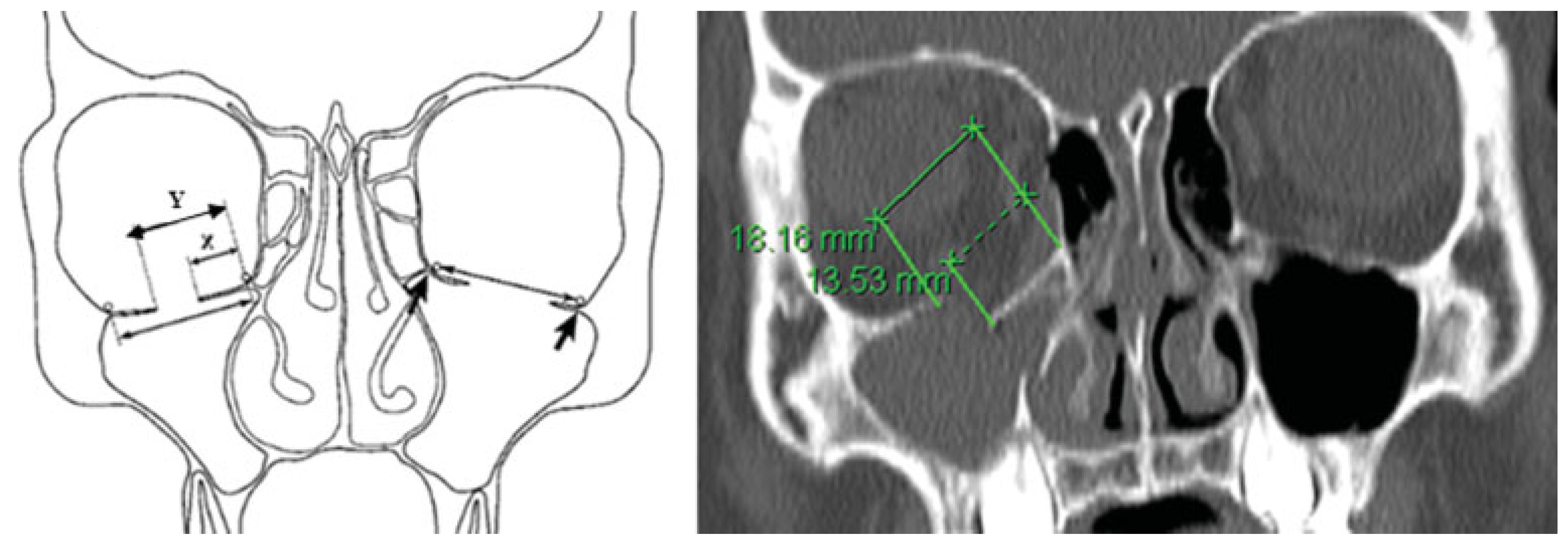
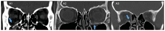
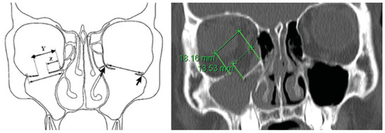
Results
Discussion
Funding
Conflicts of Interest
References
- Wojno, T.H. The incidence of extraocular muscle and cranial nerve palsy in orbital floor blow-out fractures. Ophthalmology 1987, 94, 682–687. [Google Scholar] [CrossRef] [PubMed]
- Sloan, B.; McNab, A.A. Inferior rectus rupture following blowout fracture. Aust N Z J Ophthalmol 1998, 26, 171–173. [Google Scholar] [CrossRef] [PubMed]
- Yano, H.; Minagawa, T.; Masuda, K.; Hirano, A. Urgent rescue of ‘missing rectus’ in blowout fracture. J Plast Reconstr Aesthet Surg 2009, 62, e301–e304. [Google Scholar]
- Iliff, N.; Manson, P.N.; Katz, J.; Rever, L.; Yaremchuk, M. Mechanisms of extraocular muscle injury in orbital fractures. Plast Reconstr Surg 1999, 103, 787–799. [Google Scholar] [PubMed]
- Lyon, D.B.; Newman, S.A. Evidence of direct damage to extraocular muscles as a cause of diplopia following orbital trauma. Ophthal Plast Reconstr Surg 1989, 5, 81–91. [Google Scholar] [CrossRef]
- von Noorden, G.K.; Hansell, R. Clinical characteristics and treatment of isolated inferior rectus paralysis. Ophthalmology 1991, 98, 253–257. [Google Scholar] [CrossRef]
- Awadein, A. Clinical findings, orbital imaging, and intraoperative findings in patients with isolated inferior rectus muscle paresis or underaction. J AAPOS 2012, 16, 345–349. [Google Scholar] [CrossRef]
- Ludwig, I.H.; Brown, M.S. Flap tear of rectus muscles: An underlying cause of strabismus after orbital trauma. Ophthal Plast Reconstr Surg 2002, 18, 443–449, Discussion 450. [Google Scholar] [CrossRef]
- Yip, C.C.; Jain, A.; McCann, J.D.; Demer, J.L. Inferior rectus muscle transection: A cause of diplopia after non-penetrating orbital trauma. Graefes Arch Clin Exp Ophthalmol 2006, 244, 1698–1700. [Google Scholar]
- Chatzistefanou, K.I.; Kushner, B.J.; Gentry, L.R. Magnetic resonance imaging of the arc of contact of extraocular muscles: Implications regarding the incidence of slipped muscles. J AAPOS 2000, 4, 84–93. [Google Scholar] [CrossRef]
- Kushner, B.J. Surgical treatment of paralysis of the inferior division of the oculomotor nerve. Arch Ophthalmol 1999, 117, 485–489. [Google Scholar] [PubMed]
- Tessier, P. The classic reprint: Experimental study of fractures of the upper jaw. 3. René Le Fort, M.D., Lille, France. Plast Reconstr Surg 1972, 50, 600–607. [Google Scholar] [PubMed]
- Tessier, P. The classic reprint. Experimental study of fractures of the upper jaw. I and II. René Le Fort, M.D. Plast Reconstr Surg 1972, 50, 497–506. [Google Scholar]
- Le Fort, R. Etude experimentale sur les fractures de la machoire superieure. Rev Chir Paris 1901, 23, 208–279. [Google Scholar]
- Pfeiffer, R.L. Traumatic enophthalmos. Trans Am Ophthalmol Soc 1943, 41, 293–306. [Google Scholar]
- Haug, R.H.; Foss, J. Maxillofacial injuries in the pediatric patient. Oral Surg Oral Med Oral Pathol Oral Radiol Endod 2000, 90, 126–134. [Google Scholar]
- Yoon, K.C.; Seo, M.S.; Park, Y.G. Orbital trapdoor fracture in children. J Korean Med Sci 2003, 18, 881–885. [Google Scholar]
- Joshi, S.; Kassira, W.; Thaller, S.R. Overview of pediatric orbital fractures. J Craniofac Surg 2011, 22, 1330–1332. [Google Scholar]
- Ploder, O.; Klug, C.; Voracek, M.; Burggasser, G.; Czerny, C. Evaluation of computer-based area and volume measurement from coronal computed tomography scans in isolated blowout fractures of the orbital floor. J Oral Maxillofac Surg 2002, 60, 1267–1272, Discussion 1273–1274. [Google Scholar]
- Kushner, B.J. Paresis and restriction of the inferior rectus muscle after orbital floor fracture. Am J Ophthalmol 1982, 94, 81–86. [Google Scholar]
- Kashima, T.; Akiyama, H.; Kishi, S. Longitudinal tear of the inferior rectus muscle in orbital floor fracture. Orbit 2012, 31, 171–173. [Google Scholar] [CrossRef] [PubMed]
- Warwick, W.; Williams, P.L. Gray’s Anatomy, 35th ed.; Longman Group: London, UK, 1973; pp. 997–999. [Google Scholar]
- Zayed, M.G.; Quhill, H.; Burke, J.P. Inferior rectus muscle palsy with constant diplopia following orbito-facial trauma. Br Ir Orthopt J 2014, 11, 50–52. [Google Scholar]
- Baumann, A.; Troulis, M.J.; Kaban, L.B. Facial trauma I: Midfacial fractures. In Pediatric Oral and Maxillofacial Surgery; Kaban, L.B., Troulis, M.J., Eds.; Saunders: Philadelphia, PA, USA, 2004; pp. 425–440. [Google Scholar]




| Fracture | ||
|---|---|---|
| CT Slice | X (mm) | Y (mm) |
| 15 | 0 | 0 |
| 16 | 8.1 | 12.3 |
| 17 | 9.3 | 13.1 |
| 18 | 13.5 | 18.2 |
| 19 | 7.6 | 14.8 |
| 20 | 3.1 | 11.8 |
| 21 | 0.2 | 9.6 |
| 22 | 0 | 4.5 |
| 23 | 0 | 2.0 |
| 24 | 0 | 0 |
| With IR Palsy (N = 5) | Without IR Palsy (N = 43) | p-Value | |
| Age, mean (SD), y | 16.4 ± 1.5 *a | 12.4 ± 3.3 | 0.04 |
| Gender, n (%) | |||
| Female | 1 (20.0%) | 7 (16.3%) | 0.83 |
| Male | 4 (80.0%) | 36 (83.7%) | |
| Race, n (%) | |||
| Chinese | 4 (80.0%) | 27 (62.8%) | 0.66 |
| Malay | 0 (0.0%) | 10 (23.3%) | |
| Indian | 0 (0.0%) | 5 (11.6%) | |
| Others | 1 (20.0%) | 1 (2.3%) | |
| Mechanism of injury, n (%) | |||
| Assault | 3 (60.0%) | 18 (41.9%) | 0.41 |
| Sports | 1 (20.0%) | 6 (14.0%) | |
| Domestic injuries | 0 (0.0%) | 12 (27.8%) | |
| Road accidents | 1 (20.0%) | 7 (16.3%) | |
| Unilaterality of fracture, n (%) | |||
| Right | 4 (80.0%) | 23 (53.5%) | 0.62 |
| Left | 1 (20.0%) | 20 (46.5%) | |
| With IR Palsy (N = 5) | Without IR Palsy (N = 43) | p-Value | |
|---|---|---|---|
| Diplopia, n (%) | |||
| Yes | 4 (80.0%) | 28 (65.1%) | 0.52 |
| No | 1 (20.0%) | 15 (34.9%) | |
| Infraorbital hypoesthesia, n (%) | |||
| Yes | 2 (40.0%) | 12 (27.9%) | 0.50 |
| No | 3 (60.0%) | 31 (72.1%) | |
| Vasovagal symptoms, n (%) | |||
| Yes | 1 (20.0%) | 10 (23.3%) | 0.81 |
| No | 4 (80.0%) | 33 (76.7) | |
| Enophthalmos, n (%) | |||
| Yes | 1 (20.0%) | 9 (20.9%) | 0.78 |
| No | 4 (80.0%) | 34 (79.1%) | |
| Preoperative motility, median (range) | |||
| Upgaze | −2 (−0.5 to −3) | −1 (0 to −4) | 0.006 |
| Downgaze | −3 (−2 to −3) | 0 (0 to −3) | 0.01 |
| Right gaze | −0.5 (0 to −1) | 0 (0 to −2) | 0.09 |
| Left gaze | 0 (0 to −1) | 0 (0 to −1) | 0.08 |
| Preoperative orthoptics, n (%) | |||
| Orthophoric | 4 (80.0%) | 32 (74.4%) | 0.21 |
| Hypertropia | 1 (20.0%) | 2 (4.7%) | 0.31 |
| Exotropia | 0 (0.0%) | 2 (4.7%) | 0.23 |
| Hyperphoria | 0 (0.0%) | 3 (7.0%) | 0.14 |
| Exophoria | 0 (0.0%) | 4 (9.2%) | 0.22 |
| Mechanism of injury, n (%) | |||
| Road traffic accident | 1 (20.0%) | 5 (11.6%) | 0.13 |
| Assault | 3 (60%) | 6 (14.0%) | 0.22 |
| Other blunt trauma, e.g., sports related | 1 (20%) | 32 (74.4%) | 0.09 |
| Timing from injury to surgery, mean (SD), d | 6.4 ± 10.0 | 12.9 ± 20.7 | 12.1 ± 15.3 |
| Postoperative orthoptics, n (%) | |||
| Orthophoric | 0 (0.0%) | 35 (81.4%) | 0.38 |
| Hypertropia | 5 (100.0%) | 2 (4.7%) | <0.005 |
| Hyperphoria | 0 (0.0%) | 2 (4.7%) | 0.35 |
| Exophoria | 0 (0.0%) | 4 (9.3%) | 0.42 |
| Follow-up, mean (SD), mo | 9.4 ± 2.4 | 6.1 ± 3.4 | – |
| No | Age/Gender | Time from Injury to Surgery (d) | Pre-op Orthoptics | Pre-op Motility | Post-op Hypertropia (PD) | Head-Tilt Test | Time from Surgery to Resolution of IR Palsy (wk) |
|---|---|---|---|---|---|---|---|
| 1 | 18/Female | 1 | Orthophoric | −3 downgaze −2 upgaze −0.5 right and left gaze | 10 | Not worse on any side | 4 |
| 2 | 18/Male | 5 | Hypertropic | −3 downgaze −2 upgaze | 15 | +6 PD on head tilt to opposite side | 10 |
| 3 | 17/Male | 24 | Orthophoric | −2 downgaze −0.5 upgaze −0.5 right gaze | 12 | Not worse on any side | 4 |
| 4 | 13/Male | 1 | Orthophoric | −2 downgaze −0.5 upgaze | 14 | Not worse on any side | 5 |
| 5 | 16/Male | 1 | Orthophoric | −3 downgaze −2 upgaze −1 right and left gaze | 20 | Not worse on any side | 5 |
| With IR Palsy (N = 5) | Without IR Palsy (N = 43) | p-Value | |
|---|---|---|---|
| Fracture extent, n (%) | |||
| A1 | 2 (40.0%) | 16 (37.2%) | 0.52 |
| A2 | 2 (40.0%) | 13 (30.2%) | 0.47 |
| A3 | 1 (20.0%) | 14 (32.6%) | 0.55 |
| Fracture area, mean ± SD, cm2 | 1.8 ± 0.7 | 0.7 ± 0.2 | 0.01 |
© 2017 by the author. The Author(s) 2017.
Share and Cite
Young, S.M.; Koh, Y.T.; Chan, E.W.; Amrith, S. Incidence and Risk Factors of Inferior Rectus Muscle Palsy in Pediatric Orbital Blowout Fractures. Craniomaxillofac. Trauma Reconstr. 2018, 11, 28-34. https://doi.org/10.1055/s-0037-1601884
Young SM, Koh YT, Chan EW, Amrith S. Incidence and Risk Factors of Inferior Rectus Muscle Palsy in Pediatric Orbital Blowout Fractures. Craniomaxillofacial Trauma & Reconstruction. 2018; 11(1):28-34. https://doi.org/10.1055/s-0037-1601884
Chicago/Turabian StyleYoung, Stephanie M., Yan Tong Koh, Errol W. Chan, and Shantha Amrith. 2018. "Incidence and Risk Factors of Inferior Rectus Muscle Palsy in Pediatric Orbital Blowout Fractures" Craniomaxillofacial Trauma & Reconstruction 11, no. 1: 28-34. https://doi.org/10.1055/s-0037-1601884
APA StyleYoung, S. M., Koh, Y. T., Chan, E. W., & Amrith, S. (2018). Incidence and Risk Factors of Inferior Rectus Muscle Palsy in Pediatric Orbital Blowout Fractures. Craniomaxillofacial Trauma & Reconstruction, 11(1), 28-34. https://doi.org/10.1055/s-0037-1601884