Interdisciplinary Management of Minimally Displaced Orbital Roof Fractures: Delayed Pulsatile Exophthalmos and Orbital Encephalocele
Abstract
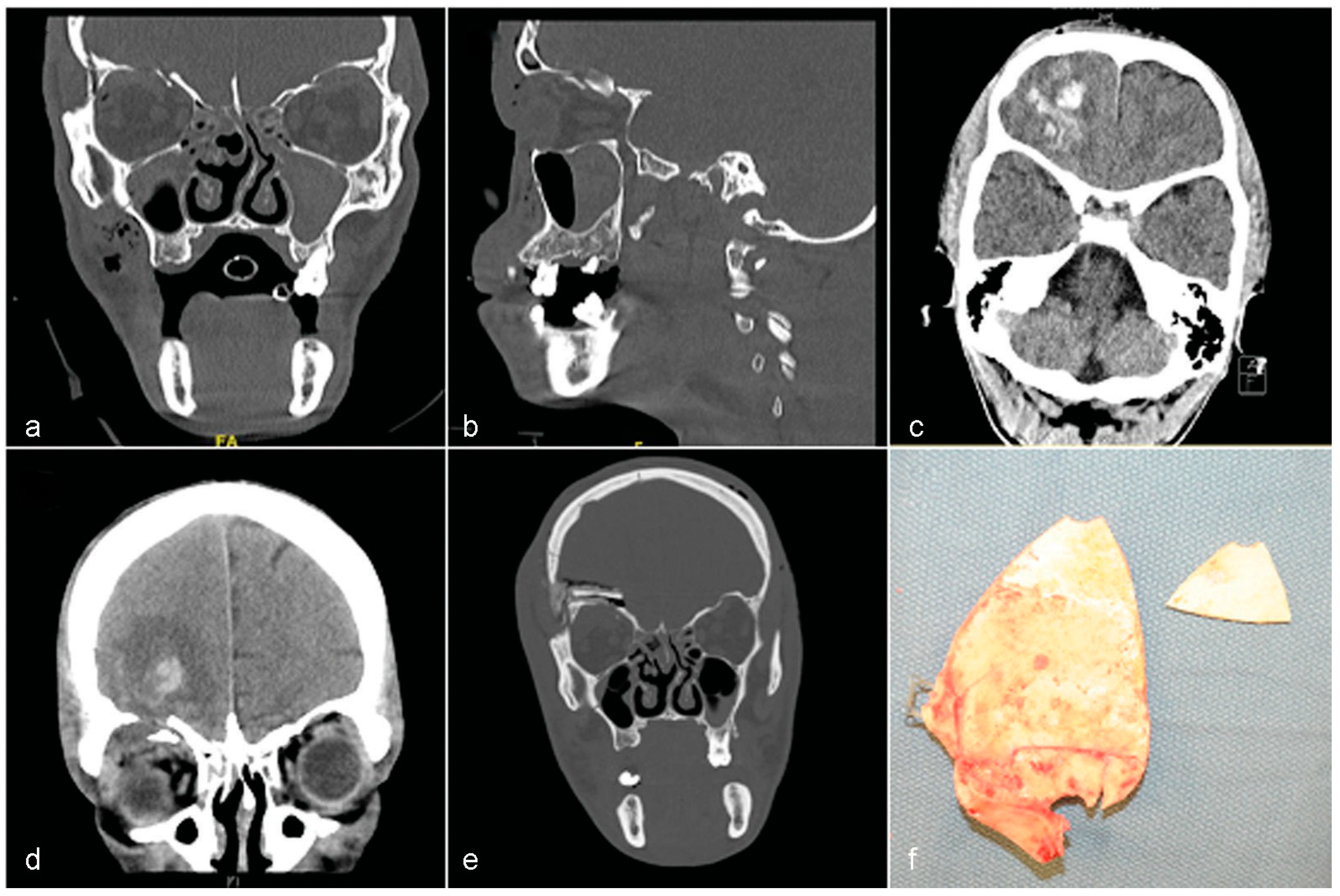
:Case 1
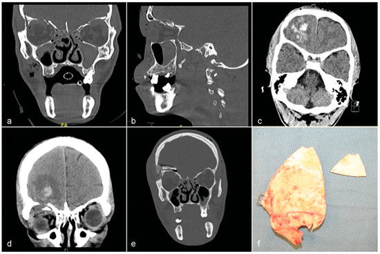
Case 2
Discussion

References
- Cossman, J.P.; Morrison, C.S.; Taylor, H.O.; Salter, A.B.; Klinge, P.M.; Sullivan, S.R. Traumatic orbital roof fractures: Interdisciplinary evaluation and management. Plast Reconstr Surg 2014, 133, 335e–343e. [Google Scholar] [CrossRef] [PubMed]
- Haug, R.H.; Van Sickels, J.E.; Jenkins, W.S. Demographics and treatment options for orbital roof fractures. Oral Surg Oral Med Oral Pathol Oral Radiol Endod 2002, 93, 238–246. [Google Scholar] [CrossRef] [PubMed]
- Kim, J.W.; Bae, T.H.; Kim, W.S.; Kim, H.K. Early reconstruction of orbital roof fractures: Clinical features and treatment outcomes. Arch Plast Surg 2012, 39, 31–35. [Google Scholar] [CrossRef]
- Martello, J.Y.; Vasconez, H.C. Supraorbital roof fractures: A formidable entity with which to contend. Ann Plast Surg 1997, 38, 223–227. [Google Scholar] [CrossRef] [PubMed]
- Sullivan, W.G. Displaced orbital roof fractures: Presentation and treatment. Plast Reconstr Surg 1991, 87, 657–661. [Google Scholar] [CrossRef]
- Antonyshyn, O.; Gruss, J.S.; Kassel, E.E. Blow-in fractures of the orbit. Plast Reconstr Surg 1989, 84, 10–20. [Google Scholar] [CrossRef]
- Fulcher, T.P.; Sullivan, T.J. Orbital roof fractures: Management of ophthalmic complications. Ophthal Plast Reconstr Surg 2003, 19, 359–363. [Google Scholar]
- Piotrowski, W.P.; Beck-Mannagetta, J. Surgical techniques in orbital roof fractures: Early treatment and results. J Craniomaxillofac Surg 1995, 23, 6–11. [Google Scholar]
- Righi, S.; Boffano, P.; Guglielmi, V.; Rossi, P.; Martorina, M. Diagnosis and imaging of orbital roof fractures: A review of the current literature. Oral Maxillofac Surg 2015, 19, 1–4. [Google Scholar]
- Scholsem, M.; Scholtes, F.; Collignon, F.; et al. Surgical management of anterior cranial base fractures with cerebrospinal fluid fistulae: A single-institution experience. Neurosurgery 2008, 62, 463–469, discussion 469–471. [Google Scholar]
- Penfold, C.N.; Lang, D.; Evans, B.T. The management of orbital roof fractures. Br J Oral Maxillofac Surg 1992, 30, 97–103. [Google Scholar] [CrossRef] [PubMed]
- Bolling, J.P.; Wesley, R.E. Conservative treatment of orbital roof blow in fracture. Ann Ophthalmol 1987, 19, 75–76. [Google Scholar]
- Antonelli, V.; Cremonini, A.M.; Campobassi, A.; Pascarella, R.; Zofrea, G.; Servadei, F. Traumatic encephalocele related to orbital roof fractures: Report of six cases and literature review. Surg Neurol 2002, 57, 117–125. [Google Scholar] [CrossRef]
- Jaiswal, M.; Sundar, I.V.; Gandhi, A.; Purohit, D.; Mittal, R.S. Acute traumatic orbital encephalocele: A case report with review of literature. J Neurosci Rural Pract 2013, 4, 467–470. [Google Scholar] [CrossRef] [PubMed]
- Mokal, N.J.; Desai, M.F. Titanium mesh reconstruction of orbital roof fracture with traumatic encephalocele: A case report and review of literature. Craniomaxillofac Trauma Reconstr 2012, 5, 11–18. [Google Scholar] [CrossRef]
- Lee, H.J.; Jilani, M.; Frohman, L.; Baker, S. CT of orbital trauma. Emerg Radiol 2004, 10, 168–172. [Google Scholar] [CrossRef] [PubMed]
- Lewis, A.I.; Tomsick, T.A.; Tew, J.M., Jr. Management of 100 consecutive direct carotid-cavernous fistulas: Results of treatment with detachable balloons. Neurosurgery 1995, 36, 239–244, discussion 244–245. [Google Scholar] [CrossRef]
- Liang, W.; Xiaofeng, Y.; Weiguo, L.; Wusi, Q.; Gang, S.; Xuesheng, Z. Traumatic carotid cavernous fistula accompanying basilar skull fracture: A study on the incidence of traumatic carotid cavernous fistula in the patients with basilar skull fracture and the prognostic analysis about traumatic carotid cavernous fistula. J Trauma 2007, 63, 1014–1020. [Google Scholar] [CrossRef]
- Ashrafian, H. Pulsatile pseudo-proptosis, aortic regurgitation and 31 eponyms. Int J Cardiol 2006, 107, 421–423. [Google Scholar] [CrossRef]
- Ding, D.; Liu, K.C. Orbital venous congestion: Rare manifestation of an intracranial arteriovenous malformation. J Clin Neurosci 2014, 21, 522–524. [Google Scholar] [CrossRef]
- Park, E.S.; Jung, Y.J.; Yun, J.H.; Ahn, J.S.; Lee, D.H. Intraosseous arteriovenous malformation of the sphenoid bone presenting with orbital symptoms mimicking cavernous sinus dural arteriovenous fistula: A case report. J Cerebrovasc Endovasc Neurosurg 2013, 15, 251–254. [Google Scholar] [PubMed]
- Dale, E.L.; Strait, T.A.; Sargent, L.A. Orbital reconstruction for pulsatile exophthalmos secondary to sphenoid wing dysplasia. Ann Plast Surg 2014, 72, S107–S111. [Google Scholar] [CrossRef] [PubMed]
- Bratton, S.L.; Chestnut, R.M.; Ghajar, J.; et al. Brain Trauma Foundation; American Association of Neurological Surgeons; Congress of Neurological Surgeons; Joint Section on Neurotrauma and Critical Care, AANS/CNS. Guidelines for the management of severe traumatic brain injury. VIII. Intracranial pressure thresholds. J Neurotrauma 2007, 24 (Suppl. S1), S55–S58. [Google Scholar] [PubMed]
- Chesnut, R.M.; Temkin, N.; Carney, N.; et al. Global Neurotrauma Research Group. A trial of intracranial-pressure monitoring in traumatic brain injury. N Engl J Med 2012, 367, 2471–2481. [Google Scholar]
- Stam, L.H.; Wolvius, E.B.; Schubert, W.; Koudstaal, M.J. Natural course of orbital roof fractures. Craniomaxillofac Trauma Reconstr 2014, 7, 294–297. [Google Scholar]


© 2016 by the author. The Author(s) 2016.
Share and Cite
Ha, A.Y.; Mangham, W.; Frommer, S.A.; Choi, D.; Klinge, P.; Taylor, H.O.; Oyelese, A.A.; Sullivan, S.R. Interdisciplinary Management of Minimally Displaced Orbital Roof Fractures: Delayed Pulsatile Exophthalmos and Orbital Encephalocele. Craniomaxillofac. Trauma Reconstr. 2017, 10, 11-15. https://doi.org/10.1055/s-0036-1584395
Ha AY, Mangham W, Frommer SA, Choi D, Klinge P, Taylor HO, Oyelese AA, Sullivan SR. Interdisciplinary Management of Minimally Displaced Orbital Roof Fractures: Delayed Pulsatile Exophthalmos and Orbital Encephalocele. Craniomaxillofacial Trauma & Reconstruction. 2017; 10(1):11-15. https://doi.org/10.1055/s-0036-1584395
Chicago/Turabian StyleHa, Austin Y., William Mangham, Sarah A. Frommer, David Choi, Petra Klinge, Helena O. Taylor, Adetokunbo A. Oyelese, and Stephen R. Sullivan. 2017. "Interdisciplinary Management of Minimally Displaced Orbital Roof Fractures: Delayed Pulsatile Exophthalmos and Orbital Encephalocele" Craniomaxillofacial Trauma & Reconstruction 10, no. 1: 11-15. https://doi.org/10.1055/s-0036-1584395
APA StyleHa, A. Y., Mangham, W., Frommer, S. A., Choi, D., Klinge, P., Taylor, H. O., Oyelese, A. A., & Sullivan, S. R. (2017). Interdisciplinary Management of Minimally Displaced Orbital Roof Fractures: Delayed Pulsatile Exophthalmos and Orbital Encephalocele. Craniomaxillofacial Trauma & Reconstruction, 10(1), 11-15. https://doi.org/10.1055/s-0036-1584395