Angiopoietin-Like Protein 4 and Insulin-Like Growth Factor-1 Expression in Invasive Breast Carcinoma in Young Women
Abstract
:Simple Summary
Abstract
1. Introduction

2. Materials and Methods
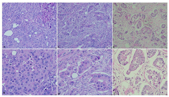
2.1. Study Design, Participants, and Specimen
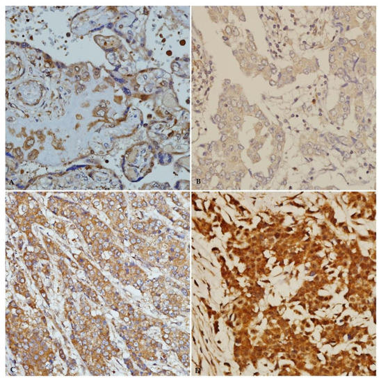
2.2. Immunohistochemical Staining and Scoring System
2.3. Statistical Analysis
3. Results
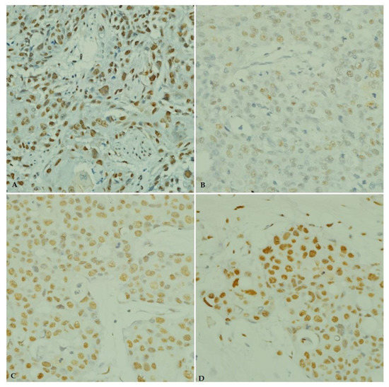
3.1. Immunohistochemical Expression of ANGPTL-4 and IGF-1
3.2. Associations of ANGPTL-4 and IGF-1 Expression with Breast Carcinoma Molecular Subtypes
3.3. Clinicopathological Predictors of ANGPTL-4 and IGF-1 Expression
3.3.1. Clinicopathological Predictors of ANGPTL4 Expression
3.3.2. Clinicopathological Predictors of IGF-1
4. Discussion
5. Conclusions
Author Contributions
Funding
Institutional Review Board Statement
Informed Consent Statement
Data Availability Statement
Acknowledgments
Conflicts of Interest
References
- Siegel, R.L.; Miller, K.D.; Jemal, A. Cancer statistics. CA Cancer J. Clin. 2016, 66, 7–30. [Google Scholar] [CrossRef] [Green Version]
- Donegan, W.L. Tumor-related prognostic factors for breast cancer. CA Cancer J. Clin. 1997, 47, 28–51. [Google Scholar] [CrossRef] [PubMed]
- Nicolini, A.; Ferrari, P.; Duffy, M.J. Prognostic and predictive biomarkers in breast cancer: Past, present and future. Semin Cancer Biol. 2018, 52 (Pt 1), 56–73. [Google Scholar] [CrossRef] [PubMed]
- Zhu, P.; Goh, Y.Y.; Chin, H.F.A.; Kersten, S.; Tan, N.S. Angiopoietin-like 4: A decade of research. Biosci. Rep. 2011, 32, 211–219. [Google Scholar] [CrossRef] [PubMed]
- Oike, Y.; Akao, M.; Kubota, Y.; Suda, T. Angiopoietin-like proteins: Potential new targets for metabolic syndrome therapy. Trends Mol. Med. 2005, 11, 473–479. [Google Scholar] [CrossRef] [PubMed]
- Nakayama, T.; Hirakawa, H.; Shibata, K.; Nazneen, A.; Abe, K.; Nagayasu, T.; Taguchi, T. Expression of angiopoietin-like 4 (ANGPTL4) in human colorectal cancer: ANGPTL4 promotes venous invasion and distant metastasis. Oncol. Rep. 2011, 25, 929–935. [Google Scholar] [CrossRef] [PubMed]
- Adhikary, T.; Brandt, D.T.; Kaddatz, K.; Stockert, J.C.; Naruhn, S.; Meissner, W.A.; Finkernagel, F.; Obert, J.; Lieber, S.; Scharfe, M.; et al. Inverse PPARβ/δ agonists suppress oncogenic signaling to the ANGPTL4 gene and inhibit cancer cell invasion. Oncogene 2013, 32, 5241–5252. [Google Scholar] [CrossRef] [PubMed] [Green Version]
- Zhao, J.; Liu, J.; Wu, N.; Zhang, H.; Zhang, S.; Li, L.; Wang, M. ANGPTL4 overexpression is associated with progression and poor prognosis in breast cancer. Oncol. Lett. 2020, 20, 2499–2505. [Google Scholar] [CrossRef]
- Padua, D.; Zhang, X.; Wang, Q.; Nadal, C.; Gerald, W.L.; Gomis, R.; Massagué, J. TGFβ Primes Breast Tumors for Lung Metastasis Seeding through Angiopoietin-like 4. Cell 2008, 133, 66–77. [Google Scholar] [CrossRef] [Green Version]
- Cai, Y.-C.; Yang, H.; Wang, K.-F.; Chen, T.-H.; Jiang, W.-Q.; Shi, Y.-X. ANGPTL4 overexpression inhibits tumor cell adhesion and migration and predicts favorable prognosis of triple-negative breast cancer. BMC Cancer 2020, 20, 878. [Google Scholar] [CrossRef]
- Ikushima, H.; Miyazono, K. TGFβ signalling: A complex web in cancer progression. Nat. Cancer 2010, 10, 415–424. [Google Scholar] [CrossRef] [PubMed]
- Christopoulos, P.F.; Msaouel, P.; Koutsilieris, M. The role of the insulin-like growth factor-1 system in breast cancer. Mol. Cancer 2015, 14, 43. [Google Scholar] [CrossRef] [Green Version]
- Chong, Y.M.; Subramanian, A.; Sharma, A.K.; Mokbel, K. The potential clinical applications of insulin-like growth factor-1 ligand in human breast cancer. Anticancer Res. 2007, 27, 1617–1624. [Google Scholar]
- Dunn, S.E.; Hardman, R.A.; Kari, F.W.; Barrett, J.C. Insulin-like growth factor 1 (IGF-1) alters drug sensitivity of HBL100 human breast cancer cells by inhibition of apoptosis induced by diverse anticancer drugs. Cancer Res. 1997, 57, 2687–2693. [Google Scholar]
- Ekyalongo, R.C.; Yee, D. Revisiting the IGF-1R as a breast cancer target. Npj Precis. Oncol. 2017, 1, 14. [Google Scholar] [CrossRef] [Green Version]
- Murphy, N.; Knuppel, A.; Papadimitriou, N.; Martin, R.M.; Tsilidis, K.K.; Smith-Byrne, K.; Fensom, G.; Perez-Cornago, A.; Travis, R.C.; Key, T.J.; et al. Insulin-like growth factor-1, insulin-like growth factor-binding protein-3, and breast cancer risk: Observational and Mendelian randomization analyses with ~430,000 women. Ann. Oncol. 2020, 31, 641–649. [Google Scholar] [CrossRef] [PubMed] [Green Version]
- Ianza, A.; Sirico, M.; Bernocchi, O.; Generali, D. Role of the IGF-1 Axis in Overcoming Resistance in Breast Cancer. Front. Cell Dev. Biol. 2021, 9, 667. [Google Scholar] [CrossRef]
- Kaemmerer, D.; Peter, L.; Lupp, A.; Schulz, S.; Sänger, J.; Baum, R.P.; Prasad, V.; Hommann, M. Comparing of IRS and Her2 as immunohistochemical scoring schemes in gastroenteropancreatic neuroendocrine tumors. Int. J. Clin. Exp. Pathol. 2012, 5, 187–194. [Google Scholar]
- Shafik, N.M.; Mohamed, D.A.; Bedder, A.E.; El-Gendy, A.M. Significance of tissue expression and serum levels of angiopoietin-like protein 4 in breast cancer progression: Link to NF-κB/P65 activity and pro-inflammatory cytokines. Asian Pac. J. Cancer Prev. 2016, 16, 8579–8587. [Google Scholar] [CrossRef] [PubMed] [Green Version]
- Atlas, T.H.P. ANGPTL4. Available online: https://www.proteinatlas.org/ENSG00000167772-ANGPTL4/cell (accessed on 1 June 2021).
- Hata, S.; Nomura, T.; Iwasaki, K.; Sato, R.; Yamasaki, M.; Sato, F.; Mimata, H. Hypoxia-induced angiopoietin-like protein 4 as a clinical biomarker and treatment target for human prostate cancer. Oncol. Rep. 2017, 38, 120–128. [Google Scholar] [CrossRef] [Green Version]
- Milani, M.; Harris, A.L. Targeting tumour hypoxia in breast cancer. Eur. J. Cancer 2008, 44, 2766–2773. [Google Scholar] [CrossRef] [PubMed]
- Gao, T.; Li, J.-Z.; Lu, Y.; Zhang, C.-Y.; Li, Q.; Mao, J.; Li, L.-H. The mechanism between epithelial mesenchymal transition in breast cancer and hypoxia microenvironment. Biomed. Pharmacother. 2016, 80, 393–405. [Google Scholar] [CrossRef] [PubMed]
- Shibata, K.; Nakayama, T.; Hirakawa, H.; Hidaka, S.; Nagayasu, T. Clinicopathological significance of angiopoietin-like protein 4 expression in oesophageal squamous cell carcinoma. J. Clin. Pathol. 2010, 63, 1054–1058. [Google Scholar] [CrossRef] [PubMed]
- Ito, Y.; Oike, Y.; Yasunaga, K.; Hamada, K.; Miyata, K.; Matsumoto, S.-I.; Sugano, S.; Tanihara, H.; Masuho, Y.; Suda, T. Inhibition of angiogenesis and vascular leakiness by angiopoietin-related protein 4. Cancer Res. 2003, 63, 6651–6657. [Google Scholar] [PubMed]
- Galaup, A.; Cazes, A.; Le Jan, S.; Philippe, J.; Connault, E.; Le Coz, E.; Mekid, H.; Mir, L.M.; Opolon, P.; Corvol, P.; et al. Angiopoietin-like 4 prevents metastasis through inhibition of vascular permeability and tumor cell motility and invasiveness. Proc. Natl. Acad. Sci. USA 2006, 103, 18721–18726. [Google Scholar] [CrossRef] [Green Version]
- Tan, M.J.; Teo, Z.; Sng, M.K.; Zhu, P.; Tan, N.S. Emerging Roles of Angiopoietin-like 4 in Human Cancer. Mol. Cancer Res. 2012, 10, 677–688. [Google Scholar] [CrossRef] [Green Version]
- Shiratsuchi, I.; Akagi, Y.; Kawahara, A.; Kinugasa, T.; Romeo, K.; Yoshida, T.; Ryu, Y.; Gotanda, Y.; Kage, M.; Shirouzu, K. Expression of IGF-1 and IGF-1R and their relation to clinicopathological factors in colorectal cancer. Anticancer Res. 2011, 31, 2541–2545. [Google Scholar]
- Chhabra, Y.; Waters, M.J.; Brooks, A. Role of the growth hormone–IGF-1 axis in cancer. Expert Rev. Endocrinol. Metab. 2011, 6, 71–84. [Google Scholar] [CrossRef]
- Mu, L.; Tuck, D.; Katsaros, D.; Lu, L.; Schulz, V.; Perincheri, S.; Menato, G.; Scarampi, L.; Harris, L.; Yu, H. Favorable outcome associated with an IGF-1 ligand signature in breast cancer. Breast Cancer Res. Treat. 2012, 133, 321–331. [Google Scholar] [CrossRef]
- Kahlert, S.; Nuedling, S.; van Eickels, M.; Vetter, H.; Meyer, R.; Grohé, C. Estrogen Receptor α Rapidly Activates the IGF-1 Receptor Pathway. J. Biol. Chem. 2000, 275, 18447–18453. [Google Scholar] [CrossRef] [Green Version]
- Casa, A.J.; Potter, A.S.; Malik, S.; Lazard, Z.; Kuiatse, I.; Kim, H.-T.; Tsimelzon, A.; Creighton, C.J.; Hilsenbeck, S.G.; Brown, P.H.; et al. Estrogen and insulin-like growth factor-I (IGF-I) independently down-regulate critical repressors of breast cancer growth. Breast Cancer Res. Treat. 2011, 132, 61–73. [Google Scholar] [CrossRef] [PubMed]
- Macias, H.; Hinck, L. Mammary gland development. Wiley Interdiscip. Rev. Dev. Biol. 2012, 1, 533–557. [Google Scholar] [CrossRef] [PubMed] [Green Version]




| % of Positive Cells | Intensity Scoring | Score (0–12) | IRS Classification |
|---|---|---|---|
| 0 = No positive cells | 0 = No color | 0–1 = Negative | 0 = Negative |
| 1 ≤0% | 1 = Mild reaction | 2–3 = Mild | 1 = Positive, weak |
| 2 = 10–50% | 2 = Moderate reaction | 4–8 = Moderate | 2 = Positive, intermediate |
| 3 = 51–80% | 3 = Intense reaction | 9–12 = Strong positive | 3 = Positive, strong |
| 4 ≥80% | |||
| Percentage of positive cells X intensity staining = score (0–12) | |||
| Variables | Mean (SD) | n (%) |
|---|---|---|
| Age | 37.24 (5.37) | |
| Age group | ||
| 20–29 | 6 (8) | |
| 30–39 | 38 (50.7) | |
| 40–44 | 31 (41.3) | |
| Race | ||
| Malay | 70 (93) | |
| Chinese | 2 (3) | |
| Others | 3(4) | |
| Specimen Type | ||
| Biopsy | 29 (39) | |
| Wide local excision | 3 (4) | |
| Mastectomy | 43 (57) | |
| Tumor Size | ||
| Biopsy | 29 (39) | |
| <5 cm | 18 (24) | |
| ≥5 cm | 28(37) | |
| LN Status | ||
| Positive | 55 (73.7) | |
| Negative | 17 (22.6) | |
| Unknown | 3 (4) | |
| Histology Subtype | ||
| Invasive carcinoma, NST | 70 (93.3) | |
| Invasive lobular carcinoma | 1 (1.3) | |
| Metaplastic carcinoma | 3 (4) | |
| Mucinous carcinoma | 1 (1.3) | |
| Histological Grade | ||
| I | 10 (13.3) | |
| II | 39 (52) | |
| III | 26 (34.7) | |
| ER Status | ||
| Positive | 42 (56) | |
| Negative | 33 (44) | |
| PR Status | ||
| Positive | 36 (48) | |
| Negative | 39 (52) | |
| HER2 Status | ||
| 0 | 21 (28) | |
| 1 | 19 (25.3) | |
| 2 | 13 (17.3) | |
| 3 | 22 (29.4) | |
| Molecular Subtype | ||
| Luminal A | 29 (38.7) | |
| Luminal B | 15 (20) | |
| HER overexpression | 11 (14.7) | |
| Triple-negative | 20 (26.7) |
| Expression | N | Proportion (95% CI) |
|---|---|---|
| ANGPTL-4 | ||
| Negative | 25 | |
| Positive | 50 | 66.7 (54.8, 77.1)% |
| IGF-1 | ||
| Negative | 8 | |
| Positive | 67 | 89.3 (80.1, 95.3)% |
| Molecular Subtype | ANGPTL-4 Expression | χ2 Statistic (df) | p-Value 1 | |
|---|---|---|---|---|
| Negative n (%) | Positive n (%) | |||
| Luminal A | 10 (40.0) | 19 (38.0) | 0.60 (3) | 0.897 |
| Luminal B | 6 (24.0) | 9 (18.0) | ||
| HER-2 overexpression | 3 (12.0) | 8 (16.0) | ||
| Triple-negative | 6 (24.0) | 14 (28.0) | ||
| Molecular Subtype | IGF-1 Expression | p-Value 1 | |
|---|---|---|---|
| Negative (n = 8) | Positive (n = 67) | ||
| Luminal A | 2 (25.0) | 27 (40.3) | 0.091 |
| Luminal B | 0 (0.0) | 15 (22.4) | |
| HER-2 overexpression | 1 (12.5) | 10 (14.9) | |
| Triple-negative | 5 (62.5) | 15 (22.4) | |
| Clinicopathological Characteristics | ANGPTL4 Expression | |
|---|---|---|
| Negative (n = 25) | Positive (n = 50) | |
| Histological Grade | ||
| Grade 1 | 1 (4.0) | 9 (18.0%) |
| Grade 2 | 14 (56.0) | 25 (50.0%) |
| Grade 3 | 10 (40.0) | 16 (32.0%) |
| Tumor Size | ||
| <5 cm | 11 (44.0) | 19 (38.0%) |
| >5 cm | 14 (56.0) | 29 (58.0%) |
| Unknown | 0 (0.0) | 2 (4.0%) |
| Lymph Node | ||
| Negative | 4 (16.0) | 13 (26.0) |
| Positive | 21 (84.0) | 34 (68.0) |
| Unknown | 0 (0.0) | 3 (6.0) |
| ER Status | ||
| Positive | 10 (40.0) | 23 (46.0) |
| Negative | 15 (60.0) | 27 (54.0) |
| PR Status | ||
| Positive | 13 (52.0) | 26 (52.0) |
| Negative | 12 (48.0) | 24 (48.0) |
| HER2 Status | ||
| Negative (0, 1+, 2+) | 19 (76.0) | 34 (68.0) |
| Positive (3+) | 6 (24.0) | 16 (32.0) |
| Molecular Subtype | ||
| Non-triple–negative | 19 (76.0) | 36 (72.0) |
| Triple-negative | 6 (24.0) | 14 (28.0) |
| Clinicopathological Predictors | Adjusted OR (95% CI) | p-Value |
|---|---|---|
| Histological Grade | ||
| Grade 1 | 12.39 (1.54, 277.51) | 0.040 |
| Grade 2 | 1.79 (0.56, 6.20) | 0.334 |
| Grade 3 | 1 | |
| Tumor Size | ||
| <5 cm | 1 | |
| >5 cm | 2.11 (0.57, 8.34) | 0.268 |
| Lymph Node | ||
| Negative | 1 | |
| Positive | 0.35 (0.06, 1.60) | 0.198 |
| ER Status | ||
| Positive | 1 | |
| Negative | 0.92 (0.12, 6.98) | 0.930 |
| PR Status | ||
| Positive | 1 | |
| Negative | 0.65 (0.12, 3.43) | 0.607 |
| HER2 Status | ||
| Negative (0, 1+, 2+) | 1 | |
| Positive (3+) | 3.47 (0.80, 18.00) | 0.111 |
| Molecular Subtype | ||
| Non-triple–negative | 1 | |
| Triple-negative | 3.83 (0.49, 32.75) | 0.204 |
| Clinicopathological Characteristics | IGF-1 Expression | |
|---|---|---|
| Negative (n = 8) | Positive (n = 67) | |
| Histological Grade | ||
| Grade 1 | 0 (0.0%) | 10 (14.9%) |
| Grade 2 | 2 (25.0%) | 37 (55.2%) |
| Grade 3 | 6 (75.0%) | 20 (29.9%) |
| Tumor Size | ||
| <5 cm | 3 (37.5%) | 27 (40.3%) |
| >5 cm | 5 (62.5%) | 38 (56.7%) |
| Unknown | 0 (0.0) | 2 (3.0) |
| Lymph Node | ||
| Negative | 2 (25.0) | 15 (22.4) |
| Positive | 6 (75.0) | 49 (73.1) |
| Unknown | 0 (0.0) | 3 (4.5) |
| ER Status | ||
| Positive | 2 (25.0%) | 40 (59.7%) |
| Negative | 6 (75.0%) | 27 (40.3%) |
| PR Status | ||
| Positive | 1 (12.5%) | 35 (52.2%) |
| Negative | 7 (87.5%) | 32 (47.8%) |
| HER2 Status | ||
| Negative (0, 1+, 2+) | 7 (87.5%) | 46 (68.7%) |
| Positive (3+) | 1 (12.5%) | 21 (31.3%) |
| Molecular Subtype | ||
| Non-Triple–negative | 3 (37.5%) | 52 (77.6%) |
| Triple-negative | 5 (62.5%) | 15 (22.4%) |
| Clinicopathological Predictors | Adjusted OR (95% CI) | p-Value |
|---|---|---|
| Histological Grade | ||
| Grade 1 | - | |
| Grade 2 | 10.92 (1.39, 255.51) | 0.052 |
| Grade 3 | 1 | |
| Tumor Size | ||
| <5 cm | 1 | |
| >5 cm | 2.6 (0.25, 33.21) | 0.420 |
| Lymph Node | ||
| Negative | 1 | |
| Positive | 0.46 (0.02, 5.7) | 0.573 |
| ER Status | ||
| Positive | 1 | |
| Negative | 0.77 (0.01, 44.59) | 0.895 |
| PR Status | ||
| Positive | 1 | |
| Negative | 0.07 (0, 2.13) | 0.129 |
| HER2 Status | ||
| Negative (0, 1+, 2+) | 1 | |
| Positive (3+) | 13.78 (0.41, 1626.39) | 0.209 |
| Molecular Subtype | ||
| Non-Triple-Negative | 1 | |
| Triple-Negative | 3.46 (0.05, 294.25) | 0.561 |
Publisher’s Note: MDPI stays neutral with regard to jurisdictional claims in published maps and institutional affiliations. |
© 2022 by the authors. Licensee MDPI, Basel, Switzerland. This article is an open access article distributed under the terms and conditions of the Creative Commons Attribution (CC BY) license (https://creativecommons.org/licenses/by/4.0/).
Share and Cite
Kamaludin, Z.; Siddig, A.; Yaacob, N.M.; Lam, A.K.; Rahman, W.F.W.A. Angiopoietin-Like Protein 4 and Insulin-Like Growth Factor-1 Expression in Invasive Breast Carcinoma in Young Women. Pathophysiology 2022, 29, 9-23. https://doi.org/10.3390/pathophysiology29010002
Kamaludin Z, Siddig A, Yaacob NM, Lam AK, Rahman WFWA. Angiopoietin-Like Protein 4 and Insulin-Like Growth Factor-1 Expression in Invasive Breast Carcinoma in Young Women. Pathophysiology. 2022; 29(1):9-23. https://doi.org/10.3390/pathophysiology29010002
Chicago/Turabian StyleKamaludin, Zaleha, Alaa Siddig, Najib Majdi Yaacob, Alfred K. Lam, and Wan Faiziah Wan Abdul Rahman. 2022. "Angiopoietin-Like Protein 4 and Insulin-Like Growth Factor-1 Expression in Invasive Breast Carcinoma in Young Women" Pathophysiology 29, no. 1: 9-23. https://doi.org/10.3390/pathophysiology29010002
APA StyleKamaludin, Z., Siddig, A., Yaacob, N. M., Lam, A. K., & Rahman, W. F. W. A. (2022). Angiopoietin-Like Protein 4 and Insulin-Like Growth Factor-1 Expression in Invasive Breast Carcinoma in Young Women. Pathophysiology, 29(1), 9-23. https://doi.org/10.3390/pathophysiology29010002

