Obstructive Jaundice Induced by Hilar Mucinous Cystic Neoplasm of the Liver: A Rare Case Report and Literature Review
Abstract
1. Introduction
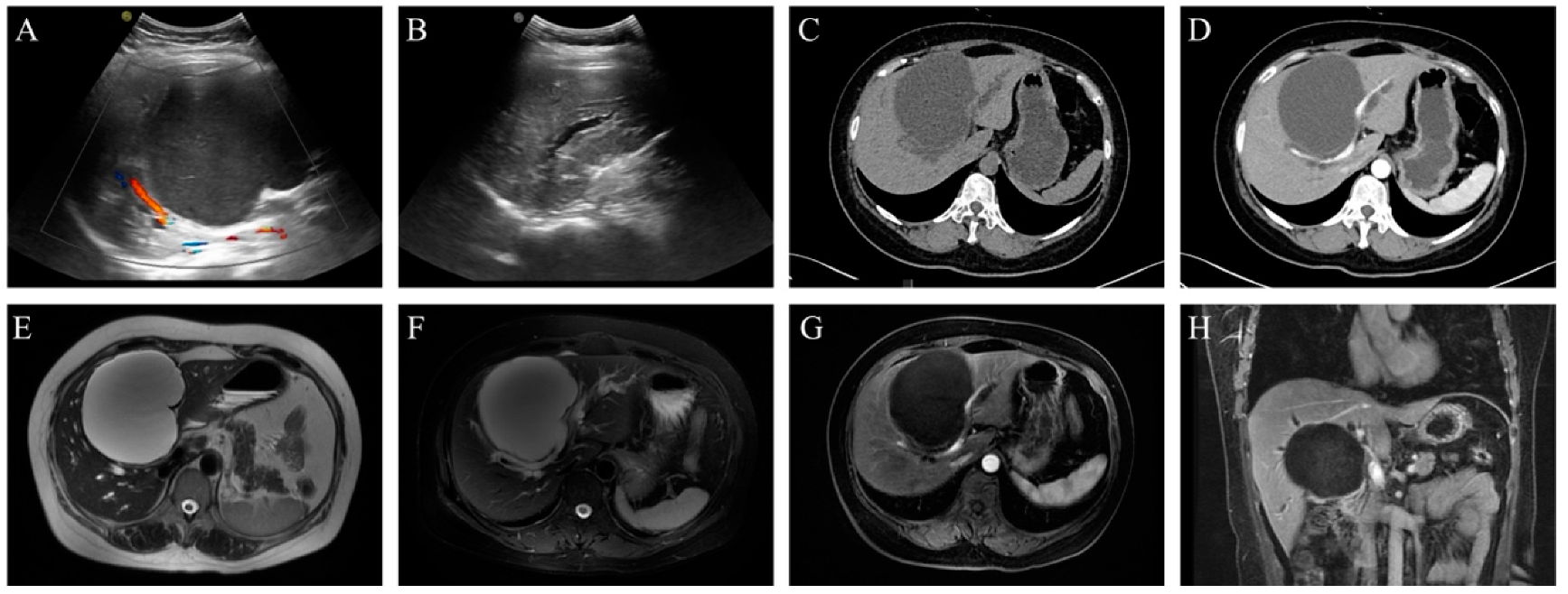
2. Case Presentation
3. Discussion
4. Conclusions
Author Contributions
Funding
Institutional Review Board Statement
Informed Consent Statement
Data Availability Statement
Acknowledgments
Conflicts of Interest
Abbreviations
| MCN-L | Mucinous Cystic Neoplasm of the Liver |
| CT | Computed Tomography |
| MRI | Magnetic Resonance Imaging |
| MDT | Multidisciplinary Team |
| WHO | World Health Organization |
| ER | Estrogen Receptor |
| PR | Progesterone Receptor |
| CA19-9 | Carbohydrate Antigen 199 |
| CEA | Carcinoembryonic Antigen |
| RNA | Ribonucleic Acid |
| IPNB | Intraductal Papillary Neoplasm of Bile Duct |
| TBIL | Total Bilirubin |
| WBC | White Blood Cell Count |
References
- Marrero, J.A.; Ahn, J.; Rajender Reddy, K. ACG clinical guideline: The diagnosis and management of focal liver lesions. Am. J. Gastroenterol. 2014, 109, 1328–1347. [Google Scholar] [CrossRef] [PubMed]
- Zen, Y.; Pedica, F.; Patcha, V.R.; Capelli, P.; Zamboni, G.; Casaril, A.; Quaglia, A.; Nakanuma, Y.; Heaton, N.; Portmann, B. Mucinous cystic neoplasms of the liver: A clinicopathological study and comparison with intraductal papillary neoplasms of the bile duct. Mod. Pathol. 2011, 24, 1079–1089. [Google Scholar] [CrossRef]
- Quigley, B.; Reid, M.D.; Pehlivanoglu, B.; Squires, M.H.; Maithel, S.; Xue, Y.; Hyejeong, C.; Akkas, G.; Muraki, T.; Kooby, D.A.; et al. Hepatobiliary Mucinous Cystic Neoplasms with Ovarian Type Stroma (So-Called “Hepatobiliary Cystadenoma/Cystadenocarcinoma”): Clinicopathologic Analysis of 36 Cases Illustrates Rarity of Carcinomatous Change. Am. J. Surg. Pathol. 2018, 42, 95–102. [Google Scholar] [CrossRef] [PubMed]
- Van Treeck, B.J.; Lotfalla, M.; Czeczok, T.W.; Mounajjed, T.; Moreira, R.K.; Allende, D.S.; Reid, M.D.; Naini, B.V.; Westerhoff, M.; Adsay, N.V.; et al. Molecular and Immunohistochemical Analysis of Mucinous Cystic Neoplasm of the Liver. Am. J. Clin. Pathol. 2020, 154, 837–847. [Google Scholar] [CrossRef] [PubMed]
- Kubota, K.; Nakanuma, Y.; Kondo, F.; Hachiya, H.; Miyazaki, M.; Nagino, M.; Yamamoto, M.; Isayama, H.; Tabata, M.; Kinoshita, H.; et al. Clinicopathological features and prognosis of mucin-producing bile duct tumor and mucinous cystic tumor of the liver: A multi-institutional study by the Japan Biliary Association. J. Hepatobiliary Pancreat. Sci. 2014, 21, 176–185. [Google Scholar] [CrossRef] [PubMed]
- Li, Y.-C.; Shi, A.-d.; Li, K.-S. Case report: Obstructive jaundice caused by biliary cystadenoma. Front. Oncol. 2023, 13, 1165979. [Google Scholar] [CrossRef] [PubMed]
- Chandrasinghe, P.C.; Liyanage, C.; Deen, K.I.; Wijesuriya, S.R. Obstructive jaundice caused by a biliary mucinous cystadenoma in a woman: A case report. J. Med. Case Rep. 2013, 7, 278. [Google Scholar] [CrossRef] [PubMed]
- Wheeler, D.A.; Edmondson, H.A. Cystadenoma with mesenchymal stroma (CMS) in the liver and bile ducts. A clinicopathologic study of 17 cases, 4 with malignant change. Cancer 1985, 56, 1434–1445. [Google Scholar] [CrossRef] [PubMed]
- Shyu, S.; Singhi, A.D. Cystic biliary tumors of the liver: Diagnostic criteria and common pitfalls. Hum. Pathol. 2021, 112, 70–83. [Google Scholar] [CrossRef]
- Simo, K.A.; McKillop, I.H.; Ahrens, W.A.; Martinie, J.B.; Iannitti, D.A.; Sindram, D. Invasive biliary mucinous cystic neoplasm: A review. HPB 2012, 14, 725–740. [Google Scholar] [CrossRef]
- Nagtegaal, I.D.; Odze, R.D.; Klimstra, D.; Paradis, V.; Rugge, M.; Schirmacher, P.; Washington, K.M.; Carneiro, F.; Cree, I.A. The 2019 WHO classification of tumours of the digestive system. Histopathology 2020, 76, 182–188. [Google Scholar] [CrossRef] [PubMed]
- Katsura, H.; Hori, T.; Harada, H.; Matsumura, K.; Yamamoto, M.; Yamada, M.; Yazawa, T.; Sasaki, B.; Kuriyama, K.; Tani, M.; et al. Mucinous Cystic Adenoma of the Liver: A Thought-Provoking Case of an Uncommon Hepatic Neoplasm. Am. J. Case Rep. 2021, 22, e931368. [Google Scholar] [CrossRef]
- Kozaka, K.; Takahashi, H.; Inoue, A.; Graham, R.P.D.; Boyum, J.H.; Heiken, J.P.; Takahashi, N. Mucinous cystic neoplasms of the liver with biliary prolapse. Jpn. J. Radiol. 2023, 41, 409–416. [Google Scholar] [CrossRef]
- Fuks, D.; Voitot, H.; Paradis, V.; Belghiti, J.; Vilgrain, V.; Farges, O. Intracystic concentrations of tumour markers for the diagnosis of cystic liver lesions. Br. J. Surg. 2014, 101, 408–416. [Google Scholar] [CrossRef]
- Lee, C.-W.; Tsai, H.-I.; Lin, Y.-S.; Wu, T.-H.; Yu, M.-C.; Chen, M.-F. Intrahepatic biliary mucinous cystic neoplasms: Clinicoradiological characteristics and surgical results. BMC Gastroenterol. 2015, 15, 67. [Google Scholar] [CrossRef]
- Shi, B.; Yu, P.; Meng, L.; Li, H.; Wang, Z.; Cao, L.; Yan, J.; Shao, Y.; Zhang, Y.; Zhu, Z. A paradigm shift in diagnosis and treatment innovation for mucinous cystic neoplasms of the liver. Sci. Rep. 2024, 14, 16507. [Google Scholar] [CrossRef] [PubMed]
- Preetha, M.; Chung, A.Y.F.; Lim-Tan, S.-K.; Lim, D.T.H.; Thng, C.-H. Intrahepatic biliary cystadenoma presenting with obstructive jaundice. Asian J. Surg. 2004, 27, 243–245. [Google Scholar] [CrossRef]
- Baudin, G.; Novellas, S.; Buratti, M.S.; Saint-Paul, M.C.; Chevallier, P.; Gugenheim, J.; Bruneton, J.N. Atypical MRI features of a biliary cystadenoma revealed by jaundice. Clin. Imaging 2006, 30, 413–415. [Google Scholar] [CrossRef] [PubMed]
- Seidel, R.; Weinrich, M.; Pistorius, G.; Fries, P.; Schneider, G. Biliary cystadenoma of the left intrahepatic duct (2007: 2b). Eur. Radiol. 2007, 17, 1380–1383. [Google Scholar] [CrossRef]
- Yu, F.C.; Chen, J.H.; Yang, K.C.; Wu, C.C.; Chou, Y.Y. Hepatobiliary cystadenoma: A report of two cases. J. Gastrointestin Liver Dis. 2008, 17, 203–206. [Google Scholar] [PubMed]
- Yi, B.; Cheng, Q.-B.; Jiang, X.-Q.; Liu, C.; Luo, X.-J.; Dong, H.; Zhang, B.-H.; Wu, M.-C. A special growth manner of intrahepatic biliary cystadenoma. World J. Gastroenterol. 2009, 15, 6134–6136. [Google Scholar] [CrossRef]
- Siriwardana, P.N.; Pathirana, A. Episodic biliary obstruction due to an intrahepatic biliary cystadenoma: A case report. J. Med. Case Rep. 2009, 3, 9032. [Google Scholar] [CrossRef] [PubMed]
- Gonzalez, M.; Majno, P.; Terraz, S.; Morel, P.; Rubbia-Brandt, L.; Mentha, G. Biliary cystadenoma revealed by obstructive jaundice. Dig. Liver Dis. 2009, 41, e11–e13. [Google Scholar] [CrossRef] [PubMed]
- Jawad, N.; Woolf, A.K.; Chin-Aleong, J.-A.; Greaves, R.; Kocher, H.M. Biliary Cystadenoma Causing Obstructive Jaundice: Case Report and Literature Review. Case Rep. Gastroenterol. 2009, 3, 269–274. [Google Scholar] [CrossRef] [PubMed]
- Harmouch, T.; Vullierme, M.-P.; Sauvanet, A.; Paradis, V.; Amarti, A. Hepatobiliary cystadenoma revealed by a jaundice: A case report. Case Rep. Gastrointest. Med. 2011, 2011, 895605. [Google Scholar] [CrossRef][Green Version]
- Vyas, S.; Markar, S.; Ezzat, T.; Rodriguez-Justo, M.; Webster, G.; Imber, C.; Malago, M. Hepato-biliary Cystadenoma with Intraductal Extension: Unusual Cause of Obstructive Jaundice. J. Gastrointest. Cancer 2012, 43 (Suppl. S1), S32–S37. [Google Scholar] [CrossRef]
- Romagnoli, R.; Patrono, D.; Paraluppi, G.; David, E.; Tandoi, F.; Strignano, P.; Lupo, F.; Salizzoni, M. Liver transplantation for symptomatic centrohepatic biliary cystadenoma. Clin. Res. Hepatol. Gastroenterol. 2011, 35, 408–413. [Google Scholar] [CrossRef] [PubMed]
- Cecka, F.; Ferko, A.; Subrt, Z.; Jon, B. Giant biliary cystadenoma: A case report. Acta Chir. Belg. 2011, 111, 176–178. [Google Scholar] [CrossRef] [PubMed]
- Soochan, D.; Keough, V.; Wanless, I.; Molinari, M. Intra and extra-hepatic cystadenoma of the biliary duct. Review of literature and radiological and pathological characteristics of a very rare case. BMJ Case Rep. 2012, 2012, bcr0120125497. [Google Scholar] [CrossRef]
- Abe, Y.; Kasuya, K.; Itoi, T.; Kikuchi, S.; Ikeuchi, N.; Ishii, K.; Serizawa, H.; Shimazu, M. Hepatobiliary cystadenoma of the liver prolapsing into the extrahepatic bile duct (with video). Gastrointest. Endosc. 2012, 75, 1099, discussion 100. [Google Scholar] [CrossRef] [PubMed]
- Rayapudi, K.; Schmitt, T.; Olyaee, M. Filling Defect on ERCP: Biliary Cystadenoma, a Rare Tumor. Case Rep. Gastroenterol. 2013, 7, 7–13. [Google Scholar] [CrossRef] [PubMed]
- Takano, Y.; Nagahama, M.; Yamamura, E.; Maruoka, N.; Mizukami, H.; Tanaka, J.-I.; Ohike, N.; Takahashi, H. Prolapse into the bile duct and expansive growth is characteristic behavior of mucinous cystic neoplasm of the liver: Report of two cases and review of the literature. Clin. J. Gastroenterol. 2015, 8, 148–155. [Google Scholar] [CrossRef] [PubMed]
- Li, H.; Peng, B. Laparoscopic Anatomical Left Hepatectomy for Intrahepatic Bile Duct Papillary Mucinous Cystadenoma With Intraoperative Vascular Repair: A Case Report. Medicine 2016, 95, e2802. [Google Scholar] [CrossRef]
- Anand, S.; Chandrasekar, S.; Raja, K.; Pottakkat, B. Mucinous cystic neoplasm of the liver with biliary communication: An exception to the current classification. BMJ Case Rep. 2019, 12, bcr-2018. [Google Scholar] [CrossRef]
- Srinivas, T.; Bhat, S.P.; Sunder, G.; Sivarajan, R. Mucinous Cystic Neoplasm of the Liver and Extrahepatic Biliary Tract with Ascending Cholangitis: A Case Report and Review of the Literature. Indian J. Surg. Oncol. 2020, 11, 204–207. [Google Scholar] [CrossRef] [PubMed]
- Erdogan, D.; Kloek, J.; Lamers, W.H.; Offerhaus, G.J.A.; Busch, O.R.C.; Gouma, D.J.; van Gulik, T.M. Mucinous cystadenomas in liver: Management and origin. Dig. Surg. 2010, 27, 19–23. [Google Scholar] [CrossRef] [PubMed]
- Nilsson, L.N.; Keane, M.G.; Shamali, A.; Millastre Bocos, J.; Marijinissen van Zanten, M.; Antila, A.; Verdejo Gil, C.; Del Chiaro, M.; Laukkarinen, J. Nature and management of pancreatic mucinous cystic neoplasm (MCN): A systematic review of the literature. Pancreatology 2016, 16, 1028–1036. [Google Scholar] [CrossRef] [PubMed]
- Soares, K.C.; Arnaoutakis, D.J.; Kamel, I.; Anders, R.; Adams, R.B.; Bauer, T.W.; Pawlik, T.M. Cystic neoplasms of the liver: Biliary cystadenoma and cystadenocarcinoma. J. Am. Coll. Surg. 2014, 218, 119–128. [Google Scholar] [CrossRef] [PubMed]
- Koffron, A.; Rao, S.; Ferrario, M.; Abecassis, M. Intrahepatic biliary cystadenoma: Role of cyst fluid analysis and surgical management in the laparoscopic era. Surgery 2004, 136, 926–936. [Google Scholar] [CrossRef] [PubMed]
- Furumaya, A.; Schulz, H.H.; Verheij, J.; Takkenberg, R.B.; Besselink, M.G.; Kazemier, G.; Erdmann, J.I.; van Delden, O.M. Diagnosis and treatment of patients with suspected mucinous cystic neoplasms of the liver: A retrospective cohort study. Langenbecks Arch. Surg. 2024, 409, 66. [Google Scholar] [CrossRef]
- Marcacuzco Quinto, A.A.; Nutu, O.A.; Rodríguez Gil, Y.; Manrique, A.; Calvo Pulido, J.; García-Sesma Perez-Fuentes, Á.; Loinaz Segurola, C.; Jiménez Romero, C.; Justo Alonso, I. Cystic liver neoplams: A single centre experience and literature review. Cirugía Española (Engl. Ed.) 2021, 99, 27–33. [Google Scholar] [CrossRef] [PubMed]
- Devaney, K.; Goodman, Z.D.; Ishak, K.G. Hepatobiliary cystadenoma and cystadenocarcinoma. A light microscopic and immunohistochemical study of 70 patients. Am. J. Surg. Pathol. 1994, 18, 1078–1091. [Google Scholar] [CrossRef] [PubMed]
- Dell’Anna, G.; Nunziata, R.; Delogu, C.; Porta, P.; Grassini, M.V.; Dhar, J.; Barà, R.; Bencardino, S.; Fanizza, J.; Mandarino, F.V.; et al. The Role of Therapeutic Endoscopic Ultrasound in Management of Malignant Double Obstruction (Biliary and Gastric Outlet): A Comprehensive Review with Clinical Scenarios. J. Clin. Med. 2024, 13, 7731. [Google Scholar] [CrossRef] [PubMed]



| No. | Age | Gender | TBIL (umol/L) | CA 19-9 (IU/mL) | Tumor Localization | Size (cm) | Symptom | Treatment | Follow-Up | Prognosis | Author | Year |
|---|---|---|---|---|---|---|---|---|---|---|---|---|
| 1 | 58 | F | 283 | 1188 | Left lobe | NA | Jaundice, abdominal pain | Left lobectomy | 12 months | Alive without recurrence | Preetha et al. [17] | 2004 |
| 2 | 40 | F | N/A | N/A | Left lobe | 7 | Jaundice, abdominal pain | Left lobectomy | 6 months | Alive without recurrence | Baudin et al. [18] | 2006 |
| 3 | 43 | F | 18.8 | 51.6 | Left lobe (S2/S3) | 10 | Jaundice, abdominal pain | Segment II/III resection, cholecystectomy | N/A | N/A | Seidel et al. [19] | 2007 |
| 4 | 58 | M | 133.4 | 107 | Left lobe | NA | Jaundice, abdominal pain | Left lobectomy, cholecystectomy | N/A | N/A | Yu et al. [20] | 2008 |
| 5 | 56 | F | 434 | 92.1 | Left lobe (S4) | 5.5 | Jaundice, abdominal pain | Left lobectomy | 12 months | Alive without recurrence | Yi et al. [21] | 2009 |
| 6 | 25 | F | N/A | Normal | Left lobe (S4b) | 5.5 | Jaundice, abdominal pain, pruritus | Left lobectomy, cholecystectomy | 24 months | Alive without recurrence | Siriwardana et al. [22] | 2009 |
| 7 | 32 | F | N/A | 43 | Left lobe (S3) | 7.9 | Jaundice, abdominal pain, diarrhea | Left lobectomy | N/A | N/A | Gonzalez et al. [23] | 2009 |
| 8 | 40 | F | 50 | N/A | Hilar | 7 | Jaundice, abdominal pain | Left lobectomy | 12 months | Alive without recurrence | Jawad et al. [24] | 2009 |
| 9 | 57 | F | N/A | >7000 | Left lobe (S4) | 5 | Jaundice, abdominal pain | Left lobectomy, cholecystectomy | 12 months | Alive without recurrence | Harmouch et al. [25] | 2011 |
| 10 | 41 | F | N/A | N/A | Left lobe (S3/S4) | 5 | Jaundice, abdominal pain | Left lobectomy, bile duct resection | 18 months | Alive without recurrence | Vyas et al. [26] | 2011 |
| 11 | 53 | F | 193.2 | Normal | S4/S8 | 10 | Jaundice | Liver transplantation | 48 months | Alive without recurrence | Romagnoli et al. [27] | 2011 |
| 12 | 29 | F | 310 | >29,000 | Left lobe | 8 | Jaundice, abdominal pain | Left lobectomy | 12 months | Alive without recurrence | Cecka et al. [28] | 2011 |
| 13 | 62 | F | 19 | Normal | Left lobe | NA | Jaundice, dysuria | Left lobectomy, bile duct resection | 24 months | Alive without recurrence | Soochan et al. [29] | 2012 |
| 14 | 28 | F | N/A | N/A | Left lobe (S4) | 7.3 | Jaundice, abdominal pain | Left lobectomy, bile duct resection, cholecystectomy | N/A | N/A | Abe et al. [30] | 2012 |
| 15 | 37 | F | 54.7 | Normal | Left lobe | 2.9 | Jaundice, abdominal bloating | Left lobectomy, bile duct resection | N/A | N/A | Rayapudi et al. [31] | 2013 |
| 16 | 39 | F | N/A | >1000 | Left lobe (S4) | NA | Jaundice, mild hepatomegaly, pruritus | Left lobectomy | 3 months | Alive without recurrence | Chandrasinghe et al. [7] | 2013 |
| 17 | 57 | F | 46.2 | 99 | Left lobe (S4) | 8.3 | Jaundice, abdominal pain, fever | Left lobectomy, cholecystectomy | N/A | N/A | Takano et al. [32] | 2015 |
| 18 | 26 | F | 70.1 | Normal | Left lobe (S4) | 6.1 | Jaundice | Left lobectomy | N/A | N/A | ||
| 19 | 78 | F | 64.4 | Normal | Left lobe | NA | Jaundice, fever | Left lobectomy | N/A | N/A | Li et al. [33] | 2016 |
| 20 | 20 | F | N/A | N/A | Left lobe (S4) | 6 | Jaundice, abdominal pain, pruritus, fever | Left lobectomy | 2 months | Alive without recurrence | Anand et al. [34] | 2019 |
| 21 | 28 | F | N/A | N/A | Left lobe (S4) | 5 | Jaundice, pruritus, anorexia | Left lobectomy, bile duct resection | 12 months | Alive without recurrence | ||
| 22 | 31 | F | 79 | N/A | Left lobe (S4b) | 4.4 | Jaundice, abdominal pain, vomiting, fever | Left lobectomy, bile duct resection, cholecystectomy | 6 months | Alive without recurrence | Srinivas et al. [35] | 2020 |
| 23 | 56 | F | 149.1 | 189 | Left lobe | 7.4 | Jaundice, abdominal pain, anorexia | Left lobectomy, bile duct resection, cholecystectomy | N/A | N/A | Li et al. [6] | 2023 |
| 24 | 48 | F | 136.7 | 96.9 | Hilar | 11.2 | Jaundice, abdominal pain | Segment IV resection | 12 months | Alive without recurrence | Present Case | 2024 |
| Disease Name | Main Symptoms | Laboratory Findings | Imaging Features | Pathological Features | Treatment Methods |
|---|---|---|---|---|---|
| MCN-L | Abdominal pain, bloating, loss of appetite, nausea, obstructive jaundice if bile duct compression occurs | Elevated CA19-9 | Unilocular/multilocular low-density cystic lesion, thin wall, septation or wall calcification; enhanced septa on contrast scan; no bile duct dilation | Cyst wall lined with cuboidal/columnar tumor epithelium, focal mucin staining positive, varying epithelial atypia, ovarian-like stroma with ER/PR positive | Anatomic liver resection or hemihepatectomy |
| Endometriotic Cyst | Non-specific symptoms, history of endometriosis or pelvic surgery | Elevated CA125, CA19-9 | Single/multilocular cystic mass | Endometrial epithelium and stroma, cluster of differentiation 10 (CD10), estrogen receptor (ER), progesterone receptor (PR) positive, not connected to bile ducts | Hormonal therapy or surgical removal |
| Hepatic Hydatid Cyst | Asymptomatic when small; bloating, dull pain, obstructive jaundice if large | Positive echinococcosis serology | Low-density lesion, thick wall with calcification or “cyst within a cyst”; no enhancement on contrast scan | Fibrous outer cyst and inner hydatid cyst | Surgery (primary), medication (adjunct); complete cyst removal or liver segment resection |
| Simple Hepatic Cyst | Mostly asymptomatic, large cysts may cause appetite loss, nausea, vomiting, obstructive jaundice if bile duct compression occurs | Unremarkable | Round/oval low-density shadow, extremely thin wall, clear boundaries, no enhancement on contrast scan | Single-layer cuboidal/columnar epithelium, clear cyst fluid, not connected to bile ducts | Cyst fenestration or aspiration and sclerosis |
| IPNB | Abdominal pain, bloating, fever, jaundice | Elevated CEA, CA19-9 | Cystic bile duct dilation with intraluminal nodules, “fast-in, fast-out” enhancement | Biliary-type epithelial hyperplasia, no ovarian-like stroma, ER/PR negative, papillary structures, connected to bile ducts | Segmental/lobar liver resection, hepatectomy + extrahepatic bile duct resection if needed |
| Pyogenic Liver Abscess | Chills, high fever, right upper quadrant pain, fatigue, appetite loss, nausea, vomiting | Elevated WBC, infection markers, transaminases, bilirubin | Low-density lesion, abscess wall density higher than abscess cavity but lower than liver tissue, ring enhancement of abscess wall | Liver tissue destruction, many WBCs, cell debris, necrotic tissue, granulation and fibrosis in chronic cases, can be connected to bile ducts | Antibiotics, percutaneous drainage under ultrasound guidance, surgical drainage for severe cases |
| Perihilar Cholangiocarcinoma | Progressive jaundice, pruritus, weight loss, abdominal pain | Elevated bilirubin, liver enzymes, CA125, CA19-9, CEA | Irregular bile duct wall thickening, possible liver parenchyma involvement, significant bile duct dilation, delayed enhancement of lesion on contrast scan | Cholangiocarcinoma, cytokeratin 7 (CK7), cytokeratin 20 (CK20), mucin 1 (MUC-1) positive on immunohistochemistry | Radical resection |
| Mucinous Cystadenocarcinoma | Abdominal pain, jaundice | Elevated CA19-9 | Soft tissue shadow in cyst wall with enhancement on contrast scan | Significant epithelial atypia, tumor cells may invade outside cyst wall | Radical resection |
Disclaimer/Publisher’s Note: The statements, opinions and data contained in all publications are solely those of the individual author(s) and contributor(s) and not of MDPI and/or the editor(s). MDPI and/or the editor(s) disclaim responsibility for any injury to people or property resulting from any ideas, methods, instructions or products referred to in the content. |
© 2025 by the authors. Licensee MDPI, Basel, Switzerland. This article is an open access article distributed under the terms and conditions of the Creative Commons Attribution (CC BY) license (https://creativecommons.org/licenses/by/4.0/).
Share and Cite
Wei, P.; Zheng, S.; Lo, C.; Luo, Y.; Qiao, L.; Gao, J.; Zhu, J.; Wang, Y.; Li, Z. Obstructive Jaundice Induced by Hilar Mucinous Cystic Neoplasm of the Liver: A Rare Case Report and Literature Review. Curr. Oncol. 2025, 32, 126. https://doi.org/10.3390/curroncol32030126
Wei P, Zheng S, Lo C, Luo Y, Qiao L, Gao J, Zhu J, Wang Y, Li Z. Obstructive Jaundice Induced by Hilar Mucinous Cystic Neoplasm of the Liver: A Rare Case Report and Literature Review. Current Oncology. 2025; 32(3):126. https://doi.org/10.3390/curroncol32030126
Chicago/Turabian StyleWei, Pengcheng, Shengmin Zheng, Chen Lo, Yongjing Luo, Liyi Qiao, Jie Gao, Jiye Zhu, Yi Wang, and Zhao Li. 2025. "Obstructive Jaundice Induced by Hilar Mucinous Cystic Neoplasm of the Liver: A Rare Case Report and Literature Review" Current Oncology 32, no. 3: 126. https://doi.org/10.3390/curroncol32030126
APA StyleWei, P., Zheng, S., Lo, C., Luo, Y., Qiao, L., Gao, J., Zhu, J., Wang, Y., & Li, Z. (2025). Obstructive Jaundice Induced by Hilar Mucinous Cystic Neoplasm of the Liver: A Rare Case Report and Literature Review. Current Oncology, 32(3), 126. https://doi.org/10.3390/curroncol32030126

