Parotid Gland Mass as the First Manifestation of Recurrent Metastatic Breast Carcinoma: Diagnostic Pitfalls and Therapeutic Considerations in Oral-Maxillofacial Care
Simple Summary
Abstract
1. Introduction
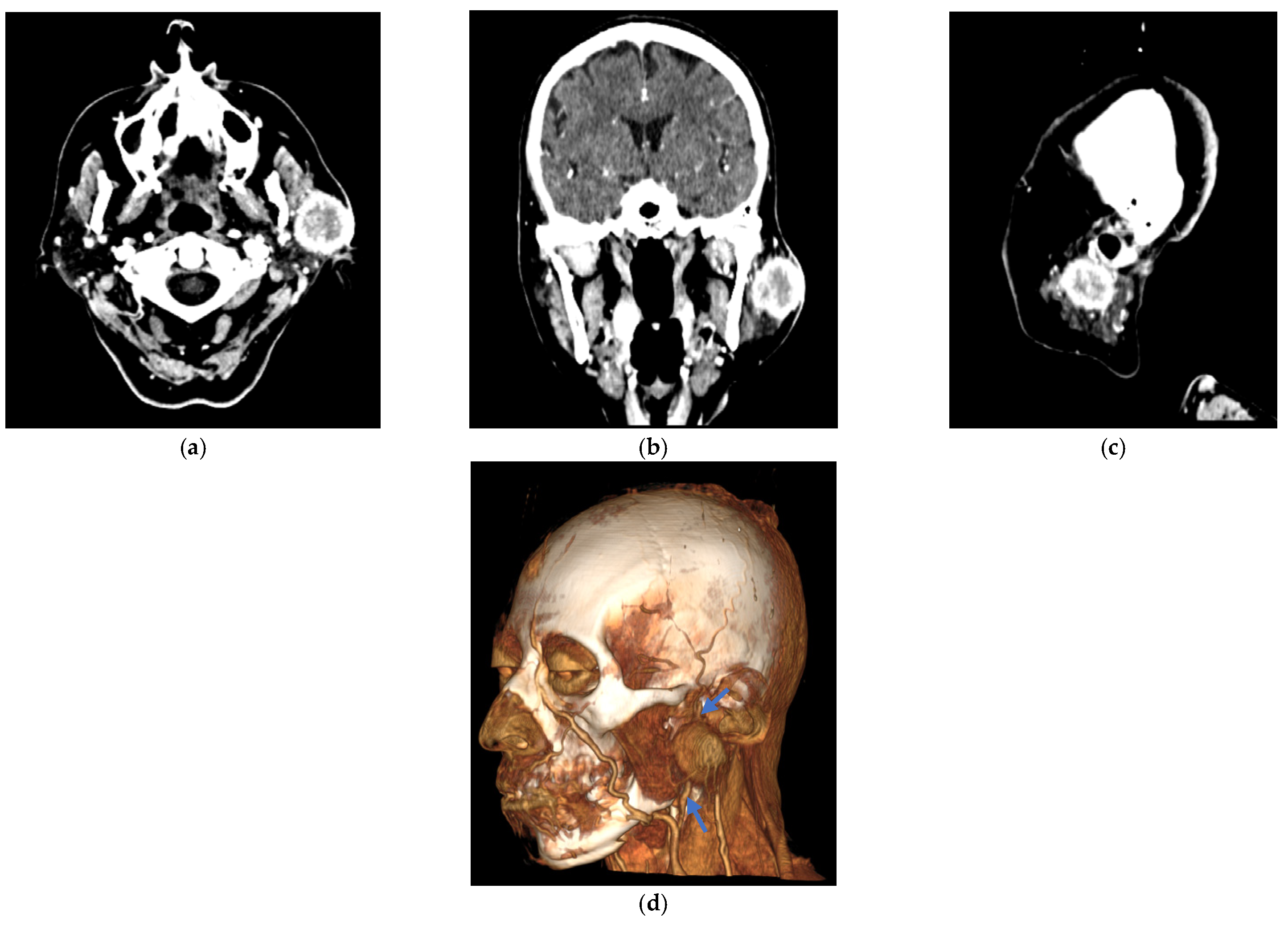
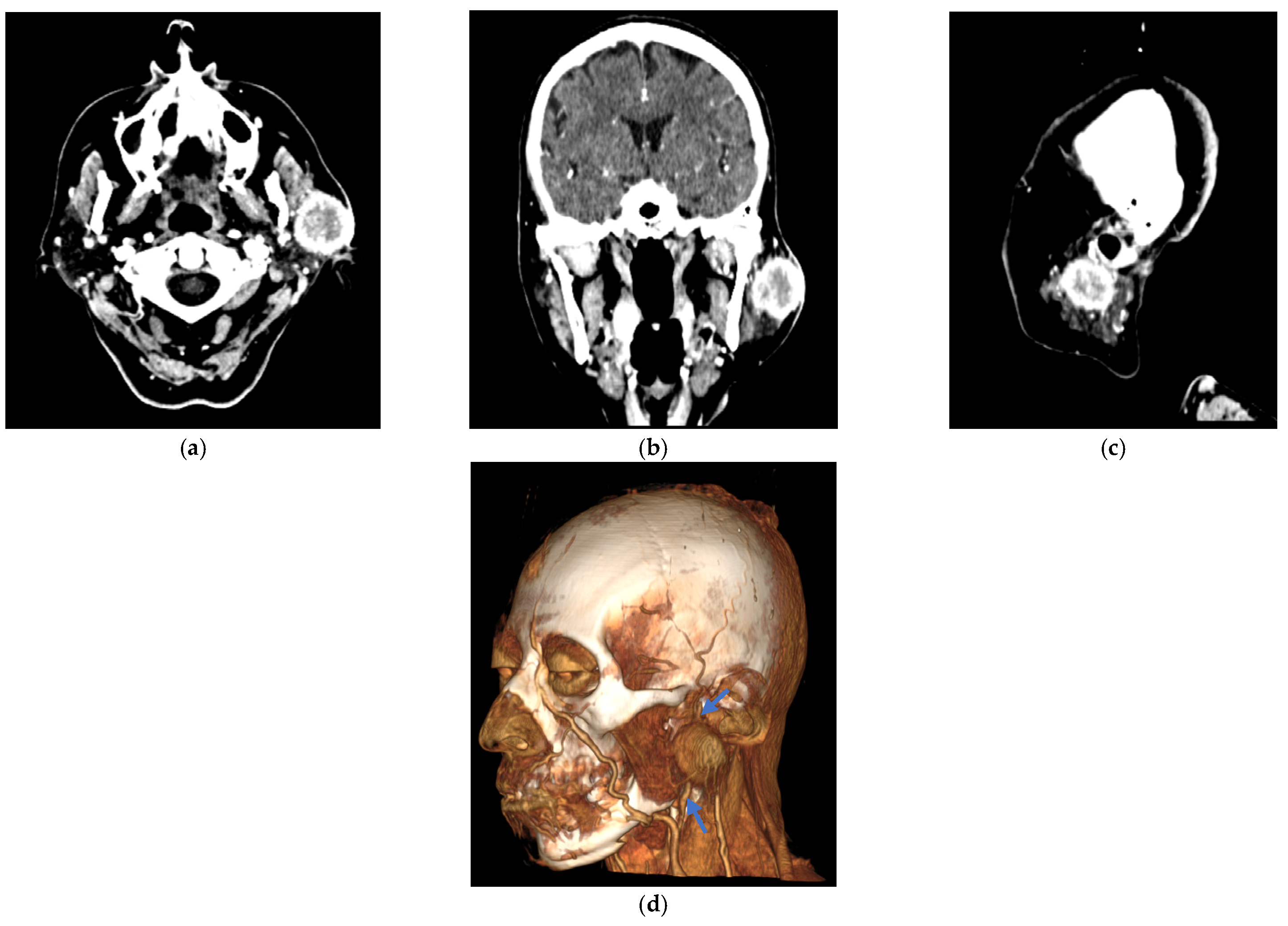
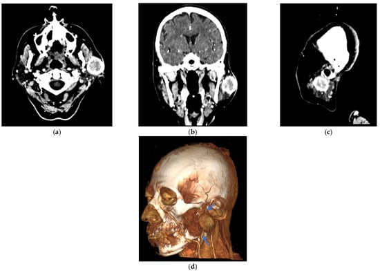
2. Case Presentation
| Time | Event | Key Details |
|---|---|---|
| Year −2 | Primary right breast cancer | Carcinoma NST, initial TNM recorded as Tis N0 Mx. Treatment: right radical mastectomy, 25 radiotherapy sessions, 6 chemotherapy courses and tamoxifen maintenance. Remission for 18 months. |
| T0 (cytology FNAC) | Left preauricular mass (2-month history) | Well-defined, erythematous, firm, mobile lesion, no facial nerve palsy, no cervical lymphadenopathy. Stensen’s duct patent. Full oncologic work-up requested. FNAC of the lesion Chronic inflammatory changes, no malignancy; pleomorphic adenoma suspected |
| T0 (imaging) | Contrast-enhanced head/neck CT | Well-defined nodule 30 × 30 mm in the left parotid with avid enhancement. |
| T0 (cytology) | FNAB of the lesion | Chronic inflammatory changes, no malignancy; pleomorphic adenoma suspected. |
| T0 (systemic staging) | Oncology consult and studies | Chest X-ray and PET/CT negative for metastatic disease at that time. |
| T0 + 3 weeks | Surgery | Left superficial parotidectomy (Blair approach), facial nerve preserved; hemostasis achieved, Blake drain placed. Discharged at 24 h with ibuprofen and clindamycin. |
| T0 + 3 days/+1 week | Postoperative follow-up | Favorable course, drain removed, no signs of infection or local recurrence. |
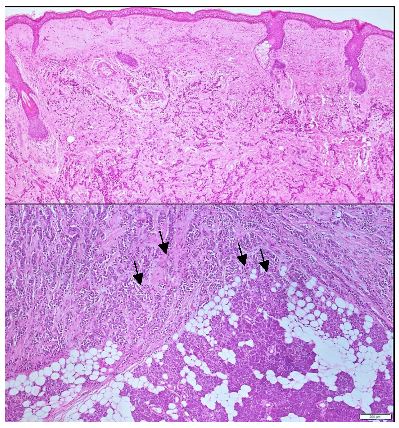
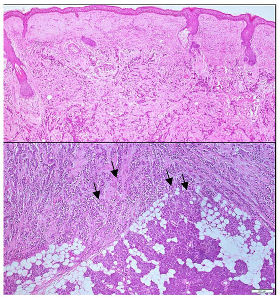
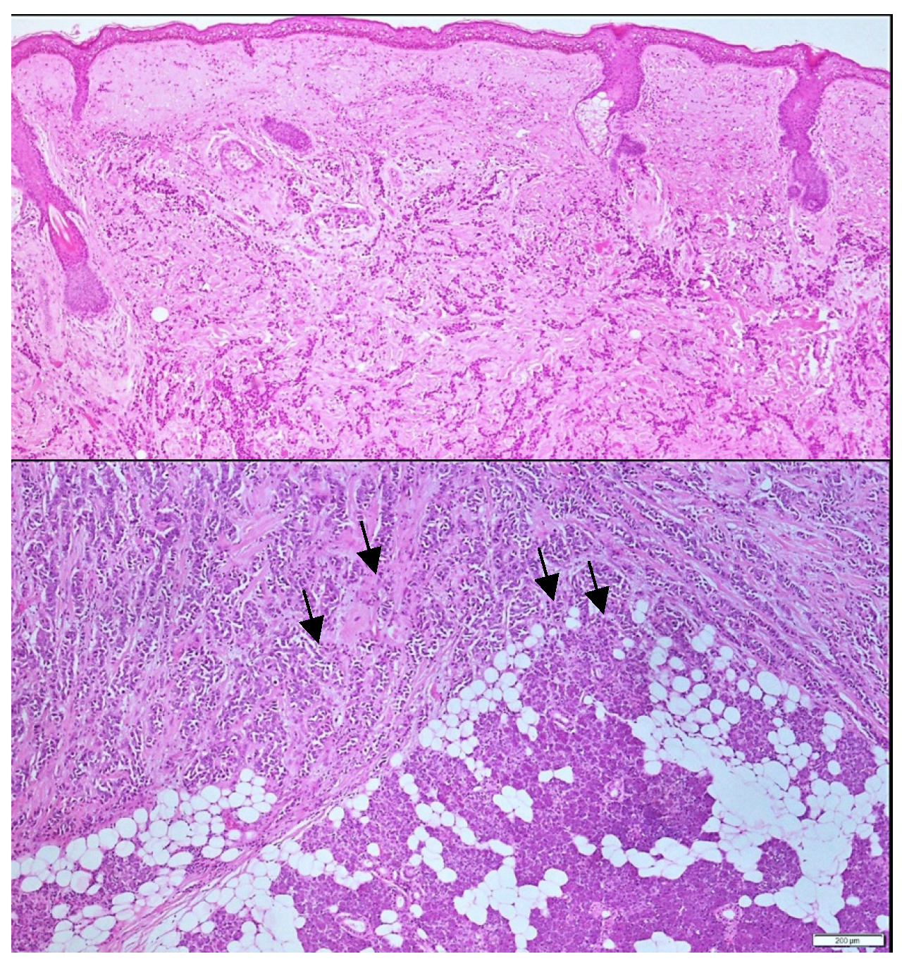
| Post-surgery (pathology) | Definitive diagnosis | Metastatic breast carcinoma infiltrating parotid parenchyma and an intraparotid lymph node (level VIII). IHC: PR positive (90%), CEA positive (90%); ER and HER2 negative. |
| T0 + 5 months | Systemic progression and outcome | Development of pulmonary metastases, death from complications of advanced disease. |

3. Discussion
4. Conclusions
Author Contributions
Funding
Institutional Review Board Statement
Informed Consent Statement
Data Availability Statement
Acknowledgments
Conflicts of Interest
References
- Franc, C.; Espa, R. Breast cancer. Breast Cancer 2024, 1, 6–11. [Google Scholar]
- Soerjomataram, I.; Bray, F. Planning for tomorrow: Global cancer incidence and the role of prevention 2020–2070. Nat. Rev. Clin. Oncol. 2021, 18, 663–672. [Google Scholar] [CrossRef]
- Jahan, S.; Al-Saigul, A.M.; Abdelgadir, M.H. Breast cancer. J. R. Soc. Med. 2016, 70, 515–517. [Google Scholar]
- Zhu, H.; Doğan, B.E. American Joint Committee on Cancer’s Staging System for Breast Cancer, Eighth Edition: Summary for Clinicians. Eur. J. Breast Health 2021, 17, 234–238. [Google Scholar] [CrossRef]
- Shaath, H.; Elango, R.; Alajez, N.M. Molecular Classification of Breast Cancer Utilizing Long Non-Coding RNA (lncRNA) Transcriptomes Identifies Novel Diagnostic lncRNA Panel for Triple-Negative Breast Cancer. Cancers 2021, 13, 5350. [Google Scholar] [CrossRef]
- Ramamoorthy, P.; Dandawate, P.; Jensen, R.A.; Anant, S. Celastrol and Triptolide Suppress Stemness in Triple Negative Breast Cancer: Notch as a Therapeutic Target for Stem Cells. Biomedicines 2021, 9, 482. [Google Scholar] [CrossRef]
- Burguin, A.; Diorio, C. Molecular classification of breast cancer and its impact on personalized treatment strategies. J. Pers. Med. 2021, 11, 808. [Google Scholar] [CrossRef]
- Mahtani, R.L.; Dempsey, N.G.; Sandoval, A. HER2-positive metastatic breast cancer. Cancer Consult Expert Clin. Pract. 2023, 1, 163–178. [Google Scholar]
- Crane, R.; Baker, C.R. Breast cancer treatment. Am. Acad. Fam. Physicians 2021, 10, 145–153. [Google Scholar]
- Smolarz, B.; Zadrożna Nowak, A.; Romanowicz, H. Breast cancer—Epidemiology, classification, pathogenesis and treatment: A review. Cancers 2022, 14, 2569. [Google Scholar] [CrossRef]
- Aiken, C.; Joyce, S. News & views research. Cell 2011, 1, 4–5. [Google Scholar]
- Park, M.; Kim, D.; Ko, S.; Kim, A.; Mo, K.; Yoon, H. Breast Cancer Metastasis: Mechanisms and Therapeutic Implications. Int. J. Mol. Sci. 2022, 23, 6806. [Google Scholar] [CrossRef]
- Lorusso, G.; Rüegg, C. New insights into the mechanisms of organ-specific breast cancer metastasis. Semin. Cancer Biol. 2012, 22, 226–233. [Google Scholar] [CrossRef]
- Gupta, S.; Shingade, M.M.; Pangarkar, M.; Nithiakumar, A.E.; Sharma, P.; Aga, N.; Qureshi, K.; Hassan, M.E.M.; Yadav, A.B. Breast cancer metastasizing to salivary glands: Systematic review. Natl. J. Maxillofac. Surg. 2024, 15, 199–207. [Google Scholar] [CrossRef]
- Calo, L.; Alboni, T.; Bruno, C.; Policardo, F.; Feraco, A.; Tralongo, P.; Vegni, F.; Mulè, A.; Brigato, F.; Rossi, G.; et al. Metastases to the parotid glands: An institutional experience. Cytopathology 2024, 35, 488–496. [Google Scholar] [CrossRef]
- Franzen, A.M.; Günzel, T.; Lieder, A. Parotid gland metastases of distant primary tumours: A diagnostic challenge. Auris Nasus Larynx 2016, 43, 187–191. [Google Scholar] [CrossRef]
- Cserni, G.; Chmielik, E.; Cserni, B.; Tot, T. The new TNM-based staging of breast cancer. Virchows Arch. 2018, 472, 697–703. [Google Scholar] [CrossRef]
- Grégoire, V.; Ang, K.; Budach, W.; Grau, C.; Hamoir, M.; Langendijk, J.A.; Lee, A.; Le, Q.-T.; Maingon, P.; Nutting, C.; et al. Delineation of the neck node levels for head and neck tumors: A 2013 update. DAHANCA, EORTC, HKNPCSG, NCIC CTG, NCRI, RTOG, TROG consensus guidelines. Radiother. Oncol. 2014, 110, 172–181. [Google Scholar] [CrossRef]
- Meher-Homji, D.R.; Gavadia, M.L.; Dabhoiwala, N.F. Carcinoma of the breast metastatic to the anterior part of the tongue. Indian J. Cancer 1967, 4, 340-2. [Google Scholar]
- Veness, M.J.; Porceddu, S.; Palme, C.E.; Morgan, G.J. Cutaneous head and neck squamous cell carcinoma metastatic to parotid and cervical lymph nodes. Head Neck 2007, 29, 621–631. [Google Scholar] [CrossRef]
- Bissett, D.; Bessell, E.; Bradley, P.; Morgan, D.; McKenzie, C. Parotid metastases from carcinoma of the breast. Clin. Radiol. 1989, 40, 309–310. [Google Scholar] [CrossRef]
- Perez-Fidalgo, J.A.; Chirivella, I.; Laforga, J.; Colio, J.M.; Blanes, M.D.; Baydal, R.; Roselló, S.; De-La-Morena, E.; Lluch, A. Parotid gland metastasis of a breast cancer. Clin. Transl. Oncol. 2007, 9, 264–265. [Google Scholar] [CrossRef]
- Howlett, D.C.; Menezes, L.J.; Lewis, K.; Moody, A.B.; Violaris, N.; Williams, M.D. Sonographically Guided Core Biopsy of A Parotid Mass. Am. J. Roentgenol. 2007, 188, 223–227. [Google Scholar] [CrossRef]
- Kong, X.; Li, H.; Han, Z. The diagnostic role of ultrasonography, computed tomography, magnetic resonance imaging, positron emission tomography/computed tomography, and real-time elastography in the differentiation of benign and malignant salivary gland tumors: A meta-analysis. Oral Surgery, Oral Med. Oral Pathol. Oral Radiol. 2019, 128, 431–443.e1. [Google Scholar] [CrossRef]
- Jiang, Z.; Guo, J.; Hu, L.; Zhao, X.; Yang, S.; Zhong, X.; Lei, X.; Tang, Q. Comparative analysis of elastosonography and 18 F-FDG PET/CT in differentiating benign and malignant salivary gland tumors: A systematic review and meta-analysis. BMC Oral Health 2025, 25, 464. [Google Scholar] [CrossRef]
- Kim, S.Y.; Borner, U.; Lee, J.-H.; Wagner, F.; Vogel, D.W.T. Magnetic resonance imaging of parotid gland tumors: A pictorial essay. BMC Med. Imaging 2022, 22, 1–14. [Google Scholar] [CrossRef]
- Kapadia, S.B.; Barnes, L. Expression of androgen receptor, gross cystic disease fluid protein, and CD44 in salivary duct carcinoma. Mod Pathol. 1998, 11, 1033-8. [Google Scholar]
- Wick, M.R.; Ockner, D.M.; Mills, S.E.; Ritter, J.H.; Swanson, P.E. Homologous Carcinomas of the Breasts, Skin, and Salivary Glands: A Histologic and Immunohistochemical Comparison of Ductal Mammary Carcinoma, Ductal Sweat Gland Carcinoma, and Salivary Duct Carcinoma. Am. J. Clin. Pathol. 1998, 109, 75–84. [Google Scholar] [CrossRef]
- Jecker, P.; Hartwein, J. Metastasis to the parotid gland: Is a radical surgical approach justified? Am. J. Otolaryngol. 1996, 17, 102–105. [Google Scholar] [CrossRef]
- Kmeid, M.; Kamar, F.G.; Nasser, S.; Moukarzel, N. Metachronous, Single Metastasis to the Parotid, from Primary Breast Cancer: A Case Report and Review of the Literature. Case Rep. Oncol. Med. 2016, 2016, 1–5. [Google Scholar] [CrossRef]
- Cao, X.S.; Cong, B.B.; Yu, Z.Y. Parotid gland metastasis from carcinoma of the breast detected by PET/CT: Case report and review. Medicine 2018, 97, e10616. [Google Scholar] [CrossRef]
- Aga, N.; Shreevats, R.; Gupta, S.; Sandhu, H.; Hassan, M.E.; Prajapati, H.V. Oral Soft Tissue Metastasis from Breast Cancer as the Only Primary Source: Systematic Review. Avicenna J. Med. 2024, 14, 022–038. [Google Scholar] [CrossRef]
- Guo, F.; Fu, H.; Wang, Y.; Hua, Y.; Wang, X.; Zhang, Y.; Jian, J.; Jia, Z.; Zhang, G. Clinical features and prognosis of parotid metastasis of breast cancer: Retrospective analysis of 57 cases. Front. Oncol. 2024, 14, 1442713. [Google Scholar] [CrossRef]
- Ando, K.; Masumoto, N.; Sakamoto, M.; Teraoka, K.; Suzuki, T.; Kurihara, T.; Abe, S.; Tozaki, M.; Fukuma, E.; Hoshi, K. Parotid Gland Metastasis of Breast Cancer: Case Report and Review of the Literature. Breast Care 2011, 6, 471–473. [Google Scholar] [CrossRef]
- Salman, L.; Ali, Z.A.S.; Howlett, D.C. Breast carcinoma metastasis to the submandibular gland: Clinical, sonographic and pathological findings of a rare entity. Ultrasound 2024, 33, 66–69. [Google Scholar] [CrossRef]
- Duncan, M.; Monteiro, M.; Quante, M. Bilateral parotid gland metastases from carcinoma of the breast that presented 25 years after initial treatment. Br. J. Oral Maxillofac. Surg. 2015, 53, 94–96. [Google Scholar] [CrossRef]
- Dangore-Khasbage, S.B.; Degwekar, S.S.; Bhowate, R.R.; Bhake, A. Metastatic involvement of parotid from carcinoma of the breast—a case report. Oral Maxillofac. Surg. 2009, 13, 49–53. [Google Scholar] [CrossRef]
- Kollias, J.; Gill, P. Superficial parotidectomy for parotid metastases from breast cancer. Breast 1997, 6, 108–109. [Google Scholar] [CrossRef]
- Ben Dhia, S.; Belaid, I.; Stita, W.; Hochlaf, M.; Ezzairi, F.; Ben Ahmed, S. Bilateral parotid gland metastasis from a breast invasive ductal carcinoma. J. Cancer Res. Ther. 2020, 16, 672–674. [Google Scholar] [CrossRef]
- Jung, H.K.; Lim, Y.-J.; Kim, W. Breast Cancer Metastasis to the Parotid: A Case Report with Imaging Findings. Am. J. Case Rep. 2021, 22, e934311-1–e934311-5. [Google Scholar] [CrossRef]
- Jakharia-Shah, A.; Wheatley, H.; Beesley, M. Reminder of an important clinical lesson: Breast cancer metastasis to the parotid gland. BMJ Case Rep. 2019, 12, e226494. [Google Scholar] [CrossRef]
- Burgess, C.A.; Foden, N.M.; Winter, S.C. A Lesion in the Parotid Gland. JAMA Otolaryngol. Head Neck Surg. 2015, 141, 845–846. [Google Scholar] [CrossRef]
- Mayer, M.; Thoelken, R.; Jering, M.; Märkl, B.; Zenk, J. Metastases of Cutaneous Squamous Cell Carcinoma Seem to be the Most Frequent Malignancies in the Parotid Gland: A Hospital-Based Study From a Salivary Gland Center. Head Neck Pathol. 2021, 15, 843–851. [Google Scholar] [CrossRef]




| Author, Year and Ref | Laterality of Major Salivary Gland (MSG), Parotid (PG), Submandibular Gland (SMG), R Right, L Left | Breast Primary Histology | Biological Subtype/Markers | Breast TNM at Diagnosis | PET-CT, CT, MRI | Therapy | Survival Months |
|---|---|---|---|---|---|---|---|
| Ando K. 2011 [34] | PG, L | Invasive lobular carcinoma (primary) | HER2+, ER−, PR− | Stage IV (cT1N3M1) | PG SUV = 9.8 | Left mastectomy with axillary clearance surgery, chemotherapy, partial parotidectomy | N/A |
| Salman L. 2025 [35] | MSG, R | Adenocarcinoma with metastatic carcinoma from a breast primary | GATA3+, CK7+, ER+, HER2− | Stage III | Additional bony metastatic disease | Mastectomy, axillary node dissection, and chemotherapy. Palliative treatment | N/A |
| Duncan M 2015 [36] | PG, bilateral | Adenocarcinoma of breast | ER+ | N/A | N/A | N/A | N/A |
| Dangore-Khasbage. 2009 [37] | PG, L | Primary: right breast carcinoma | N/A | N/A | N/A | N/A | N/A |
| Kollias J. 1997 [38] | PG n = 57 24 patients ipsilateral PG, 18 cases contralateral or bilateral PG | Predominant pathological subtype: invasive ductal carcinoma | ER+, PR+, HER2+, GATA3+, Ki67+, FISH− | T2N1M0 = Stage IIB | Multiple bone metastases | 21 cases parotidectomy, 9 superficial parotidectomy, 21chemotherapy and 25 radiotherapy | 6 months |
| Ben Dhia S. 2020 [39] | PG, bilateral | Invasive ductal carcinoma (primary) | ER+, PR+, HER2− | pT4N1 = stage IIIA | Metastatic skin nodules and multiple bone metastases | Palliative chemotherapy and hemostatic radiotherapy | 5 months |
| Jung H.K. 2021 [40] | PG, L | Invasive ductal carcinoma, NST | HER2+, ER−, PR−, AR− | pT4N3 = stage IIIC | Right axillary and left neck lymph node, liver, brain, bone, and skin metastases | Radical mastectomy, chemotherapy, radiation therapy, and trastuzumab | 2 months |
| Jakharia-Shah A. 2019 [41] | PG, L | Invasive ductal carcinoma + DCIS (primary) | ER+, HER2+ | T2N0M0 = stage IIA | No significant findings | Radiotherapy, chemotherapy, left parotidectomy | N/A |
| Burgess S.A. 2015 [42] | PG, R | Invasive ductal carcinoma of the right breast | CK7+, ER+, PR+, AR+ | N/A | 8mm PG irregular nodule | Palliative treatment | N/A |
| Type of Secondary Malignancy | Frequency (%) | Description/Notes |
|---|---|---|
| Cutaneous squamous cell carcinoma (SCC) metastases | 35.4 | Most frequent secondary malignancy infiltrating the parotid gland |
| Lymphomas | 14.0 | Second most common; includes non-Hodgkin types |
| Malignant melanoma (MM) metastases | 6.1 | Often from facial or scalp primary lesions |
| Carcinoma of unknown primary (CUP syndrome) | 3.7 | Metastatic parotid involvement with undetermined primary origin |
| Mucosal squamous cell carcinoma metastases | 3.0 | Secondary to mucosal head and neck sites |
| Merkel cell carcinoma metastases | 2.4 | Neuroendocrine skin carcinoma with parotid spread |
| Merkel cell carcinoma infiltration | 1.8 | Direct invasion into parotid tissue |
| Breast carcinoma metastases | 1.2 | Rare; usually from advanced systemic disease |
| Renal cell carcinoma metastases | 1.2 | Rare metastatic spread to parotid gland |
| Basal cell carcinoma infiltration | <1 | Very uncommon; single reported case |
| Langerhans cell histiocytosis | <1 | Rare histiocytic lesion involving parotid tissue |
| Sarcoma | <1 | Exceptional occurrence |
| Sinonasal adenocarcinoma metastasis | <1 | Extremely rare presentation |
Disclaimer/Publisher’s Note: The statements, opinions and data contained in all publications are solely those of the individual author(s) and contributor(s) and not of MDPI and/or the editor(s). MDPI and/or the editor(s) disclaim responsibility for any injury to people or property resulting from any ideas, methods, instructions or products referred to in the content. |
© 2025 by the authors. Licensee MDPI, Basel, Switzerland. This article is an open access article distributed under the terms and conditions of the Creative Commons Attribution (CC BY) license (https://creativecommons.org/licenses/by/4.0/).
Share and Cite
Mar-Uribe, E.R.; Noyola-Frías, M.A.; Benítez-Cárdenas, O.A.; Torres-Hernández, E.M.; Mosqueda-Taylor, A.; Sánchez-Gutiérrez, R.; Bernal-Silva, S.; Comas-García, A.; Aguilar-Zapata, F.J.; Martínez-Rider, R.; et al. Parotid Gland Mass as the First Manifestation of Recurrent Metastatic Breast Carcinoma: Diagnostic Pitfalls and Therapeutic Considerations in Oral-Maxillofacial Care. Curr. Oncol. 2025, 32, 634. https://doi.org/10.3390/curroncol32110634
Mar-Uribe ER, Noyola-Frías MA, Benítez-Cárdenas OA, Torres-Hernández EM, Mosqueda-Taylor A, Sánchez-Gutiérrez R, Bernal-Silva S, Comas-García A, Aguilar-Zapata FJ, Martínez-Rider R, et al. Parotid Gland Mass as the First Manifestation of Recurrent Metastatic Breast Carcinoma: Diagnostic Pitfalls and Therapeutic Considerations in Oral-Maxillofacial Care. Current Oncology. 2025; 32(11):634. https://doi.org/10.3390/curroncol32110634
Chicago/Turabian StyleMar-Uribe, Esteban Raúl, Miguel Angel Noyola-Frías, Oscar Arturo Benítez-Cárdenas, Elhi Manuel Torres-Hernández, Adalberto Mosqueda-Taylor, Raquel Sánchez-Gutiérrez, Sofía Bernal-Silva, Andreu Comas-García, Francisco Javier Aguilar-Zapata, Ricardo Martínez-Rider, and et al. 2025. "Parotid Gland Mass as the First Manifestation of Recurrent Metastatic Breast Carcinoma: Diagnostic Pitfalls and Therapeutic Considerations in Oral-Maxillofacial Care" Current Oncology 32, no. 11: 634. https://doi.org/10.3390/curroncol32110634
APA StyleMar-Uribe, E. R., Noyola-Frías, M. A., Benítez-Cárdenas, O. A., Torres-Hernández, E. M., Mosqueda-Taylor, A., Sánchez-Gutiérrez, R., Bernal-Silva, S., Comas-García, A., Aguilar-Zapata, F. J., Martínez-Rider, R., & Vitales-Noyola, M. (2025). Parotid Gland Mass as the First Manifestation of Recurrent Metastatic Breast Carcinoma: Diagnostic Pitfalls and Therapeutic Considerations in Oral-Maxillofacial Care. Current Oncology, 32(11), 634. https://doi.org/10.3390/curroncol32110634

