Cardiac Metastasis from Myxoid Liposarcoma Managed Successfully with Chemotherapy and Radiotherapy: Case Report and Review of the Literature
Abstract
1. Background
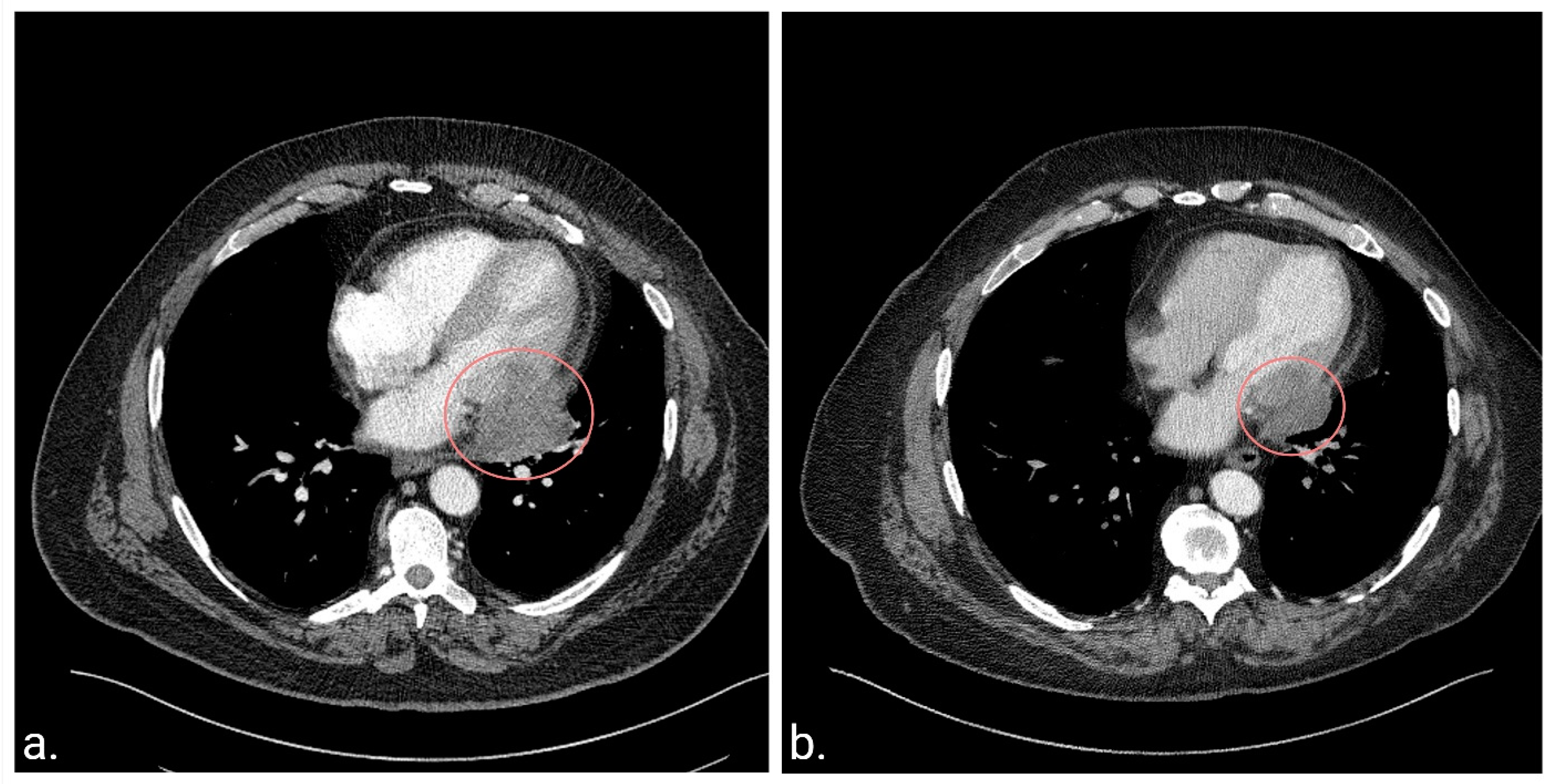
2. Case Report
3. Discussion
4. Conclusions
Author Contributions
Funding
Institutional Review Board Statement
Informed Consent Statement
Data Availability Statement
Acknowledgments
Conflicts of Interest
References
- WHO Classification of Tumours Editorial Board. Soft Tissue and Bone Tumours, 5th ed.; Publication of the WHO Classification of Tumours; International Agency for Research on Cancer: Lyon, France, 2020; Volume 3. [Google Scholar]
- Zafar, R.; Wheeler, Y. Liposarcoma. In StatPearls; StatPearls Publishing LLC.: Treasure Island, FL, USA, 2023. [Google Scholar]
- Jo, V.Y.; Fletcher, C.D.M. WHO classification of soft tissue tumours: An update based on the 2013 (4th) edition. Pathology 2014, 46, 95–104. [Google Scholar] [CrossRef] [PubMed]
- Sbaraglia, M.; Bellan, E.; Dei Tos, A.P. The 2020 WHO Classification of Soft Tissue Tumours: News and perspectives. Pathologica 2021, 113, 70–84. [Google Scholar] [CrossRef] [PubMed]
- Alaggio, R.; Coffin, C.M.; Weiss, S.W.; Bridge, J.A.; Issakov, J.; Oliveira, A.M.; Folpe, A.L. Liposarcomas in young patients: A study of 82 cases occurring in patients younger than 22 years of age. Am. J. Surg. Pathol. 2009, 33, 645–658. [Google Scholar] [CrossRef] [PubMed]
- Scapa, J.V.; Cloutier, J.M.; Raghavan, S.S.; Peters-Schulze, G.; Varma, S.; Charville, G.W. DDIT3 Immunohistochemistry Is a Useful Tool for the Diagnosis of Myxoid Liposarcoma. Am. J. Surg. Pathol. 2021, 45, 230–239. [Google Scholar] [CrossRef]
- Pérez-Losada, J.; Sánchez-Martín, M.; Rodríguez-García, M.A.; Pérez-Mancera, P.A.; Pintado, B.; Flores, T.; Battaner, E.; Sánchez-Garćia, I. Liposarcoma initiated by FUS/TLS-CHOP: The FUS/TLS domain plays a critical role in the pathogenesis of liposarcoma. Oncogene 2000, 19, 6015–6022. [Google Scholar] [CrossRef]
- Visgauss, J.D.; Wilson, D.A.; Perrin, D.L.; Colglazier, R.; French, R.; Mattei, J.-C.; Griffin, A.M.; Wunder, J.S.; Ferguson, P.C. Staging and Surveillance of Myxoid Liposarcoma: Follow-up Assessment and the Metastatic Pattern of 169 Patients Suggests Inadequacy of Current Practice Standards. Ann. Surg. Oncol. 2021, 28, 7903–7911. [Google Scholar] [CrossRef]
- Muratori, F.; Bettini, L.; Frenos, F.; Mondanelli, N.; Greto, D.; Livi, L.; Franchi, A.; Roselli, G.; Scorianz, M.; Capanna, R.; et al. Myxoid Liposarcoma: Prognostic Factors and Metastatic Pattern in a Series of 148 Patients Treated at a Single Institution. Int. J. Surg. Oncol. 2018, 2018, 8928706. [Google Scholar] [CrossRef]
- Haniball, J.; Sumathi, V.P.; Kindblom, L.G.; Abudu, A.; Carter, S.R.; Tillman, R.M.; Jeys, L.; Spooner, D.; Peake, D.; Grimer, R.J. Prognostic factors and metastatic patterns in primary myxoid/round-cell liposarcoma. Sarcoma 2011, 2011, 538085. [Google Scholar] [CrossRef]
- Fuglø, H.M.; Maretty-Nielsen, K.; Hovgaard, D.; Keller, J.; Safwat, A.A.; Petersen, M.M. Metastatic pattern, local relapse, and survival of patients with myxoid liposarcoma: A retrospective study of 45 patients. Sarcoma 2013, 2013, 548628. [Google Scholar] [CrossRef]
- Ikuta, K.; Sakai, T.; Koike, H.; Okada, T.; Imagama, S.; Nishida, Y. Cardiac metastases from primary myxoid liposarcoma of the thigh: A case report. World J. Surg. Oncol. 2020, 18, 227. [Google Scholar] [CrossRef]
- Bezak, B.; Artemiou, P.; Hulman, M.; Chnupa, P.; Busikova, P.; Bartovic, B. Metastatic myxoid liposarcoma of the interventricular septum. J. Card. Surg. 2020, 35, 662–663. [Google Scholar] [CrossRef] [PubMed]
- Porres-Aguilar, M.; De Cicco, I.; Anaya-Ayala, J.E.; Porres-Muñoz, M.; Santos-Martínez, L.E.; Flores-García, C.A.; Osorio, H. Cardiac metastasis from liposarcoma to the right ventricle complicated by massive pulmonary tumor embolism. Arch. Cardiol. Mex. 2019, 89, 258–261. [Google Scholar] [CrossRef] [PubMed]
- Passhak, M.; Amsalem, Y.; Vlodavsky, E.; Varaganov, I.; Bar-Sela, G. Cerebral Liposarcoma Embolus From Heart Metastasis Successfully Treated by Endovascular Extraction Followed by Cardiac Surgery. Vasc. Endovasc. Surg. 2018, 52, 653–657. [Google Scholar] [CrossRef] [PubMed]
- Motevalli, D.; Tavangar, S.M. Extensive left ventricular, pulmonary artery, and pericardial metastasis from myxoid liposarcoma 16 years after the initial detection of the primary tumour: A case report and review of the literature. Malays. J. Pathol. 2017, 39, 201–205. [Google Scholar] [PubMed]
- Dendramis, G.; Di Lisi, D.; Paleologo, C.; Novo, G.; Novo, S. Large left ventricular metastasis in patient with liposarcoma. J. Cardiovasc. Med. 2016, 17 (Suppl S2), e166–e168. [Google Scholar] [CrossRef]
- Farmer, R.P.; Schowinsky, J.T.; Lindeque, B.G.P. Myxoid Liposarcoma of the Thigh with Metastasis to the Left Ventricle of the Heart: A Case Report. JBJS Case Connect. 2015, 5, e91. [Google Scholar] [CrossRef]
- Xu, J.; Zheng, Y.; Wang, L.; Feng, Q.; Yu, C.; Zhu, S. Anesthetic management of the removal of a giant metastatic cardiac liposarcoma occupying right ventricle and pulmonary artery. J. Cardiothorac. Surg. 2014, 9, 56. [Google Scholar] [CrossRef][Green Version]
- Vajtai, Z.; Korngold, E.; Hooper, J.E.; Sheppard, B.C.; Foster, B.R.; Coakley, F.V. Suprarenal retroperitoneal liposarcoma with intracaval tumor thrombus: An imaging mimic of adrenocortical carcinoma. Clin. Imaging 2014, 38, 75–77. [Google Scholar] [CrossRef]
- Pino, P.G.; Zampi, G.; Pergolini, A.; Pero, G.; Polizzi, V.; Sbaraglia, F.; Minardi, G.; Musumeci, F. Metastatic liposarcoma of the heart. Case series and brief literature review. Herz 2013, 38, 938–942. [Google Scholar] [CrossRef]
- Mottahedi, B.; Asadi, M.; Amini, S.; Alizadeh, L. Round cell liposarcoma metastatic to the heart. J. Card. Surg. 2013, 28, 672–674. [Google Scholar] [CrossRef]
- Agaimy, A.; Rösch, J.; Weyand, M.; Strecker, T. Primary and metastatic cardiac sarcomas: A 12-year experience at a German heart center. Int. J. Clin. Exp. Pathol. 2012, 5, 928–938. [Google Scholar] [PubMed]
- Fernández-Golfín, C.; Jiménez López-Guarch, C.; Enguita Valls, A.B.; Forteza, A. Cardiac myxoid liposarcoma metastasis: Cardiac magnetic resonance features. Eur. Heart J. Cardiovasc. Imaging 2012, 13, 880. [Google Scholar] [CrossRef] [PubMed][Green Version]
- Markovic, Z.Z.; Mladenovic, A.; Banovic, M.; Ivanovic, B. Correlation of different imaging modalities in pre-surgical evaluation of pericardial metastasis of liposarcoma. Chin. Med. J. 2012, 125, 3752–3754. [Google Scholar] [PubMed]
- Mitomi, M.; Kimura, K.; Iguchi, Y.; Hayashida, A.; Nishimura, H.; Irei, I.; Okawaki, M.; Ikeda, H. A case of stroke due to tumor emboli associated with metastatic cardiac liposarcoma. Intern. Med. 2011, 50, 1489–1491. [Google Scholar] [CrossRef] [PubMed]
- Dogan, U.; Zamani, A.; Gormus, N.; Paksoy, Y.; Avunduk, M.C.; Demirbas, S. The first case report of a metastatic myxoid liposarcoma invading the left atrial cavity and pulmonary vein. Heart Surg. Forum 2011, 14, E261–E263. [Google Scholar] [CrossRef]
- Lazopoulos, G.; Papastavrou, L.; Kantartzis, M. Giant metastatic cardiac and abdominal liposarcomas causing hemodynamic deterioration. Thorac. Cardiovasc. Surg. 2011, 59, 121–123. [Google Scholar] [CrossRef]
- Ribeiro, P.; Lemos, J.; Vaz, A.; Correia, A.; Girão, F.; Henriques, P. Something inside the heart: A myxoid liposarcoma with cardiac involvement. Rev. Port. Cardiol. 2011, 30, 341–346. [Google Scholar]
- Komoda, S.; Komoda, T.; Weichert, W.; Hetzer, R. Surgical treatment for epicardial metastasis of myxoid liposarcoma involving atrioventricular sulcus. J. Card. Surg. 2009, 24, 457–460. [Google Scholar] [CrossRef]
- Chughtai, A.; Cronin, P.; Lucas, D.R.; Prager, R.; Kazerooni, E.A. Metastatic shoulder liposarcoma to the right ventricle: CT findings. J. Thorac. Imaging 2007, 22, 195–198. [Google Scholar] [CrossRef]
- Fairman, E.B.; Mauro, V.M.; Cianciulli, T.F.; Rubio, M.; Charask, A.A.; Bustamante, J.; Barrero, C.M. Liposarcoma causing left ventricular outflow tract obstruction and syncope: A case report and review of the literature. Int. J. Cardiovasc. Imaging 2005, 21, 513–518. [Google Scholar] [CrossRef]
- Kono, T.; Amano, J.; Sakaguchi, M.; Kitahara, H. Successful resection of cardiac metastatic liposarcoma extending into the SVC, right atrium, and right ventricle. J. Card. Surg. 2005, 20, 364–365. [Google Scholar] [CrossRef] [PubMed]
- Aoyama, A.; Isowa, N.; Chihara, K.; Ito, T. Pericardial metastasis of myxoid liposarcoma causing cardiac tamponade. Jpn. J. Thorac. Cardiovasc. Surg. 2005, 53, 193–195. [Google Scholar] [CrossRef] [PubMed]
- Lee, D.S.; Barnard, M.; Freeman, M.R.; Hutchison, S.J.; Graham, A.F.; Chiu, B. Cardiac encasement by metastatic myxoid liposarcoma. Cardiovasc. Pathol. 2002, 11, 322–325. [Google Scholar] [CrossRef] [PubMed]
- Wong, S.P.; Ng, C.S.; Wan, S.; Lee, T.W.; Wan, I.Y.; Yim, A.P.; Arifi, A.A. Giant metastatic myxoid liposarcoma causing cardiac tamponade: A case report. Jpn. J. Clin. Oncol. 2002, 32, 480–482. [Google Scholar] [CrossRef] [PubMed][Green Version]
- Ng, C.; Stebbing, J.; Judson, I. Cardiac metastasis from a myxoid liposarcoma. Clin. Oncol. 2001, 13, 384–385. [Google Scholar] [CrossRef]
- Sugiyama, K.; Okubo, T.; Kamigaki, Y.; Kin, H. Cardiac metastatic liposarcoma. Jpn. J. Thorac. Cardiovasc. Surg. 2000, 48, 663–665. [Google Scholar] [CrossRef]
- Gacem, K.; Vachon, L.; Benard, T.; Delaire, C.; Bouvier, J.M. Right atrioventricular metastasis of a myxoid liposarcoma. Case report and al review of the literature. Arch. Mal. Coeur Vaiss. 2000, 93, 1155–1158. [Google Scholar]
- Hatton, M.Q.; Reid, R.; Barrett, A. Metastatic liposarcoma: A cause of symptomatic acute pericarditis. Sarcoma 1997, 1, 181–182. [Google Scholar] [CrossRef]
- Wilhelmi, U.; Fellner, F.; Friedel, N.; Wieseler, H. Myxoid liposarcoma with pericardial metastasis. Rontgenpraxis 1997, 50, 119–121. [Google Scholar]
- Papa, M.Z.; Shinfeld, A.; Klein, E.; Greif, F.; Ben-Ari, G. Cardiac metastasis of liposarcoma. J. Surg. Oncol. 1994, 55, 132–134. [Google Scholar] [CrossRef]
- Oshima, M.; Kondo, T.; Uno, Y. Metastatic cardiac liposarcoma diagnosed by thallium-201 myocardial single photon emission computed tomography. Clin. Nucl. Med. 1993, 18, 801–803. [Google Scholar] [CrossRef] [PubMed]
- Langlard, J.M.; Lefévre, M.; Fiche, M.; Chevallier, J.C.; Godin, O.; Bouhour, J.B. [Right atrioventricular metastasis of myxoid liposarcoma. Prolonged course after repeated surgery and chemotherapy]. Arch. Mal. Coeur Vaiss. 1992, 85, 1353–1356. [Google Scholar] [PubMed]
- Maloisel, F.; Dufour, P.; Drawin, T.; Liu, K.L.; Bellocq, J.P.; Sacrez, A.; Oberling, F. [Embolization of the foramen ovale in metastatic course of abdominal liposarcoma]. Ann. Cardiol. Angeiol. 1991, 40, 81–84. [Google Scholar]
- Schrem, S.S.; Colvin, S.B.; Weinreb, J.C.; Glassman, E.; Kronzon, I. Metastatic cardiac liposarcoma: Diagnosis by transesophageal echocardiography and magnetic resonance imaging. J. Am. Soc. Echocardiogr. 1990, 3, 149–153. [Google Scholar] [CrossRef] [PubMed]
- Ozoux, J.P.; Berton, C.; de Calan, L.; Guillou, L.; Cosnay, P. Cardiac metastasis from a myxoid liposarcoma. J. Thorac. Cardiovasc. Surg. 1988, 96, 668–669. [Google Scholar] [CrossRef]
- Bartels, P.; O’Callaghan, W.G.; Peyton, R.; Sethi, G.; Maley, T. Metastatic liposarcoma of the right ventricle with outflow tract obstruction: Restrictive pathophysiology predicts poor surgical outcome. Am. Heart J. 1988, 115, 696–698. [Google Scholar] [CrossRef]
- Lagrange, J.L.; Despins, P.; Spielman, M.; Le Chevalier, T.; de Lajartre, A.Y.; Fontaine, F.; Sarrazin, D.; Contesso, G.; Génin, J.; Rouesse, J.; et al. Cardiac metastases. Case report on an isolated cardiac metastasis of a myxoid liposarcoma. Cancer 1986, 58, 2333–2337. [Google Scholar] [CrossRef]
- Pizzarello, R.A.; Goldberg, S.M.; Goldman, M.A.; Gottesman, R.; Fetten, J.V.; Brown, N.; Kahn, E.I.; Stein, H.L. Tumor of the heart diagnosed by magnetic resonance imaging. J. Am. Coll. Cardiol. 1985, 5, 989–991. [Google Scholar] [CrossRef][Green Version]
- Ravikumar, T.S.; Topulos, G.P.; Anderson, R.W.; Grage, T.B. Surgical resection for isolated cardiac metastases. Arch. Surg. 1983, 118, 117–120. [Google Scholar] [CrossRef]
- Godwin, J.D.; Axel, L.; Adams, J.R.; Schiller, N.B.; Simpson, P.C., Jr.; Gertz, E.W. Computed tomography: A new method for diagnosing tumor of the heart. Circulation 1981, 63, 448–451. [Google Scholar] [CrossRef]
- Mavroudis, C.; Way, L.W.; Lipton, M.; Gertz, E.W.; Ellis, R.J. Diagnosis and operative treatment of intracavitary liposarcoma of the right ventricle. J. Thorac. Cardiovasc. Surg. 1981, 81, 137–140. [Google Scholar] [CrossRef] [PubMed]
- Tong, E.C.; Rubenfeld, S. Cardiac metastasis from myxoid liposarcoma emphasizing its radiosensitivity. Am. J. Roentgenol. Radium Ther. Nucl. Med. 1968, 103, 792–799. [Google Scholar] [CrossRef] [PubMed]
- Scott, R.W.; Garvin, C.F. Tumors of the heart and pericardium. Am. Heart J. 1939, 17, 431–436. [Google Scholar] [CrossRef]
- Hallahan, D.E.; Vogelzang, N.J.; Borow, K.M.; Bostwick, D.G.; Simon, M.A. Cardiac metastases from soft-tissue sarcomas. J. Clin. Oncol. 1986, 4, 1662–1669. [Google Scholar] [CrossRef] [PubMed]
- Thurber, D.L.; Edwards, J.E.; Achor, R.W. Secondary malignant tumors of the pericardium. Circulation 1962, 26, 228–241. [Google Scholar] [CrossRef]
- Kline, I.K. Cardiac lymphatic involvement by metastatic tumor. Cancer 1972, 29, 799–808. [Google Scholar] [CrossRef]
- Poole, G.V., Jr.; Meredith, J.W.; Breyer, R.H.; Mills, S.A. Surgical implications in malignant cardiac disease. Ann. Thorac. Surg. 1983, 36, 484–491. [Google Scholar] [CrossRef]
- Mousavi, N.; Cheezum, M.K.; Aghayev, A.; Padera, R.; Vita, T.; Steigner, M.; Hulten, E.; Bittencourt, M.S.; Dorbala, S.; Di Carli, M.F.; et al. Assessment of Cardiac Masses by Cardiac Magnetic Resonance Imaging: Histological Correlation and Clinical Outcomes. J. Am. Heart Assoc. 2019, 8, e007829. [Google Scholar] [CrossRef]
- Tumma, R.; Dong, W.; Wang, J.; Litt, H.; Han, Y. Evaluation of cardiac masses by CMR-strengths and pitfalls: A tertiary center experience. Int. J. Cardiovasc. Imaging 2016, 32, 913–920. [Google Scholar] [CrossRef]
- Sedaghat, S.; Sedaghat, M.; Meschede, J.; Jansen, O.; Both, M. Diagnostic value of MRI for detecting recurrent soft-tissue sarcoma in a long-term analysis at a multidisciplinary sarcoma center. BMC Cancer 2021, 21, 398. [Google Scholar] [CrossRef]
- Leung, C.Y.; Cummings, R.G.; Reimer, K.A.; Lowe, J.E. Chondrosarcoma metastatic to the heart. Ann. Thorac. Surg. 1988, 45, 291–295. [Google Scholar] [CrossRef] [PubMed]
- Maebayashi, A.; Nagaishi, M.; Nakajima, T.; Hata, M.; Xiaoyan, T.; Kawana, K. Successful surgical treatment of cardiac metastasis from uterine leiomyosarcoma: A case report and literature review. J. Obstet. Gynaecol. Res. 2020, 46, 795–800. [Google Scholar] [CrossRef] [PubMed]
- Cuadrado, M.; García-Camarero, T.; Expósito, V.; Val-Bernal, J.F.; Gómez-Román, J.J.; Garijo, M.F. Cardiac intracavitary metastasis of a malignant solitary fibrous tumor: Case report and review of the literature on sarcomas with left intracavitary extension. Cardiovasc. Pathol. 2007, 16, 241–247. [Google Scholar] [CrossRef] [PubMed]
- Iyigun, T.; Ciloglu, U.; Ariturk, C.; Civelek, A.; Tosun, R. Recurrent cardiac metastasis of primary femoral osteosarcoma: A case report. Heart Surg. Forum 2010, 13, E333–E335. [Google Scholar] [CrossRef][Green Version]
- Vargas-Barron, J.; Keirns, C.; Barragan-Garcia, R.; Beltran-Ortega, A.; Rotberg, T.; Santana-Gonzalez, A.; Salazar-Davila, E. Intracardiac extension of malignant uterine tumors. Echocardiographic detection and successful surgical resection. J. Thorac. Cardiovasc. Surg. 1990, 99, 1099–1103. [Google Scholar] [CrossRef]
- Martin, J.L.; Boak, J.G. Cardiac metastasis from uterine leiomyosarcoma. J. Am. Coll. Cardiol. 1983, 2, 383–386. [Google Scholar] [CrossRef][Green Version]
- Haslinger, M.; Dinges, C.; Granitz, M.; Klieser, E.; Hoppe, U.C.; Lichtenauer, M. Right Heart Failure Due to Secondary Chondrosarcoma in the Right Atrium. Circ. Cardiovasc. Imaging 2020, 13, e009824. [Google Scholar] [CrossRef]
- Cazzato, F.; D’Ercole, A.; De Luca, G.; Aiello, F.B.; Croce, A. Neck subcutaneous nodule as first metastasis from broad ligament leiomyosarcoma: A case report and review of literature. BMC Surg. 2020, 20, 297. [Google Scholar] [CrossRef]
- Chandramohan, N.K.; Hussain, M.B.; Nayak, N.; Kattoor, J.; Pandey, M.; Krishnankutty, R. Multiple cardiac metastases from Ewing’s sarcoma. Can. J. Cardiol. 2005, 21, 525–527. [Google Scholar]
- Recchia, F.; Saggio, G.; Amiconi, G.; Di Blasio, A.; Cesta, A.; Candeloro, G.; Rea, S.; Nappi, G. Cardiac metastases in malignant fibrous histiocytoma. A case report. Tumori 2006, 92, 76–78. [Google Scholar] [CrossRef]
- Takenaka, S.; Hashimoto, N.; Araki, N.; Hamada, K.; Naka, N.; Joyama, S.; Kakunaga, S.; Ueda, T.; Myoui, A.; Yoshikawa, H. Eleven cases of cardiac metastases from soft-tissue sarcomas. Jpn. J. Clin. Oncol. 2011, 41, 514–518. [Google Scholar] [CrossRef] [PubMed]
- Jones, R.L.; Fisher, C.; Al-Muderis, O.; Judson, I.R. Differential sensitivity of liposarcoma subtypes to chemotherapy. Eur. J. Cancer 2005, 41, 2853–2860. [Google Scholar] [CrossRef] [PubMed]
- Chung, P.W.; Deheshi, B.M.; Ferguson, P.C.; Wunder, J.S.; Griffin, A.M.; Catton, C.N.; Bell, R.S.; White, L.M.; Kandel, R.A.; O’Sullivan, B. Radiosensitivity translates into excellent local control in extremity myxoid liposarcoma: A comparison with other soft tissue sarcomas. Cancer 2009, 115, 3254–3261. [Google Scholar] [CrossRef] [PubMed]
- Nassif, E.F.; Keung, E.Z.; Thirasastr, P.; Somaiah, N. Myxoid Liposarcomas: Systemic Treatment Options. Curr. Treat. Options Oncol. 2023, 24, 274–291. [Google Scholar] [CrossRef]


| Year Published | Authors | Histology (Location) of the Primary Tumor | Cardiac Metastasis Diagnosis Age in Years | Location(s) of Cardiac Metastasis | Time to Cardiac Metastasis | Solitary Cardiac Metastasis/Additional Metastatic Sites | Cardiac Surgery (Provided Rationale When Surgery Was Not Performed) | Outcome Following the Diagnosis of Cardiac Metastasis | Ref. |
|---|---|---|---|---|---|---|---|---|---|
| 2024 | Stergiopoulos et al. | Myxoid liposarcoma (thigh) | 62 | LV, pericardium | 19 years | Solitary cardiac | No (high-risk surgical procedure) | Patient still alive with stable disease at 11-year follow-up | Present publication |
| 2020 | Ikuta et al. | Myxoid liposarcoma (thigh) | 40 | LV | 2 years | Solitary cardiac | Yes | Confirmed death 2 years later | [12] |
| 2020 | Bezak et al. | Myxoid liposarcoma (gluteal region) | 52 | IVS | 3 years | Solitary cardiac | Yes | Patient still alive at 3-week follow-up | [13] |
| 2019 | Porres-Aguilar et al. | Myxoid liposarcoma (thigh) | 63 | RV | At initial diagnosis | Thigh (primary site) | No (poor surgical candidacy) | Confirmed death 4 days later | [14] |
| 2018 | Passhak et al. | Myxoid liposarcoma (ankle) | 49 | LV | 9 years | Abdomen | Yes | Patient still alive under chemotherapy at 3-year follow-up | [15] |
| 2017 | Motevalli et al. | Myxoid liposarcoma (lower limb) | 46 | LV, pericardium | 16 years | Solitary cardiac | No (expired soon after admission) | Confirmed death a few hours later | [16] |
| 2016 | Dendramis et al. | Dedifferentiated liposarcoma (pleura) | 44 | LV | At initial diagnosis | Multiple metastases | No (poor prognosis) | Confirmed death 3 months later | [17] |
| 2015 | Farmer et al. | Myxoid liposarcoma (lower limb) | 61 | LV | 17 years | Solitary cardiac | No (tumor deemed as nonresectable) | Confirmed death soon after diagnosis | [18] |
| 2014 | Xu et al. | Myxoid liposarcoma (thigh) | 60 | RV, PA | 20 years | Solitary cardiac | Yes | - | [19] |
| 2014 | Vajtai et al. | Dedifferentiated liposarcoma (suprarenal retroperitoneal) | 57 | RA, IVC | 4 months | IVC | No (expired soon after diagnosis) | Confirmed death 2 months later | [20] |
| 2013 | Pino et al. | Myxoid liposarcoma (shoulder) | 36 | LUPV, LA, LV | 2 years | Solitary cardiac | Yes | Confirmed death 2 months later | [21] |
| 2013 | Pino et al. | Myxoid liposarcoma (lung) | 35 | RA | 3 years | Solitary cardiac | Yes | Patient still alive at 1.5-year follow-up | [21] |
| 2013 | Pino et al. | Round cell liposarcoma (popliteal fossa) | 23 | Pericardium | 3 years | Solitary cardiac | Yes | Confirmed death 1.5 months later | [21] |
| 2013 | Mottahedi et al. | Round cell liposarcoma (knee) (HG) | 50 | RA, RV, SVC | 4 years | Solitary cardiac | Yes | Patient still alive at 1-year follow-up | [22] |
| 2012 | Agaimy et al. | Myxoid liposarcoma (thigh) | 65 | RA, IVC | 3 years | Solitary cardiac | Yes | Confirmed death 2 months later | [23] |
| 2012 | Fernandez-Golfin et al. | Myxoid liposarcoma (lower limb) | 68 | Pericardium | - | Solitary cardiac | Yes | - | [24] |
| 2012 | Markovic et al. | Myxoid liposarcoma (thigh) | 45 | Pericardium | 5 years | Solitary cardiac | Yes | Patient still alive at 6-month follow-up | [25] |
| 2011 | Mitomi et al. | Dedifferentiated liposarcoma (retroperitoneal) | 71 | LV, pericardium | 1 year | Lungs | No (expired soon after diagnosis) | Confirmed death 2 days later | [26] |
| 2011 | Dogan et al. | Myxoid liposarcoma (thigh) | 54 | LA, LUPV | 4 years | Solitary cardiac | Yes | Confirmed death 10 months later | [27] |
| 2011 | Lazopoulos et al. | Myxoid liposarcoma (thigh) | 63 | LV, pericardium | 13 years | Abdomen | Yes | Patient disease-free at 6-month follow-up | [28] |
| 2011 | Ribeiro et al. | Myxoid liposarcoma | 70 | LV | At initial diagnosis | Abdomen, lungs, pleura | No (extensive disease) | Palliative care only | [29] |
| 2009 | Komoda et al. | Myxoid liposarcoma (thigh) | 52 | RA, RV, epicardium, AV sulcus | 17 years | Retroperitoneum | Yes | Patient still alive at 30-month follow-up | [30] |
| 2007 | Chughtai et al. | Pleomorphic liposarcoma (shoulder) | 46 | RV | 3 years | Lungs | Yes | - | [31] |
| 2005 | Fairman et al. | Myxoid liposarcoma (thigh) (LG) | 56 | LV | 12 years | Solitary cardiac | Yes | - | [32] |
| 2005 | Kono et al. | Myxoid liposarcoma (lower limb) | 60 | RA, RV, SVC | 13 years | Solitary cardiac | Yes | Patient still alive at 10-month follow-up | [33] |
| 2005 | Aoyama et al. | Myxoid liposarcoma (thigh) | 63 | Pericardium | 1 year | Pleura | Yes | Confirmed death soon after the operation | [34] |
| 2002 | Lee et al. | Myxoid liposarcoma (thigh) | 53 | Extensive cardiac | 5 years | Solitary cardiac | Yes | Confirmed death during the operation | [35] |
| 2002 | Wong et al. | Myxoid liposarcoma (chest) | 54 | RV | 7 years | Solitary cardiac | Yes | Patient had stable disease at 6-month follow-up | [36] |
| 2001 | Ng et al. | Myxoid liposarcoma (thigh) | 45 | Interventricular septum, paracardiac region | 3 years | Thighs, mediastinum, iliac nodes, adrenal, azygo-oesophageal space | No (extensive disease) | Non-cardiac disease progression 11-month follow-up | [37] |
| 2000 | Sugiyama et al. | Myxoid liposarcoma | 61 | RV | 11 years | Solitary cardiac | Yes | Confirmed death 6 days after the operation | [38] |
| 2000 | Gacem et al. | Myxoid liposarcoma (groin) | 57 | Pericardium | 13 years | Solitary cardiac | Yes | Patient still alive at 36-month follow-up | [39] |
| 1997 | Hatton et al. | Myxoid liposarcoma | 42 | Pericardium | 3 years | Abdomen, pelvis, lungs | No (extensive disease) | Confirmed death 1 year later | [40] |
| 1997 | Wilhelmi et al. | Myxoid liposarcoma (LG) | 53 | Pericardium | 9 years | Solitary cardiac | Yes | Patient still alive at 7-month follow-up | [41] |
| 1994 | Papa et al. | Myxoid liposarcoma (thigh) | 45 | LV | 15 years | Abdomen | No (tumor deemed as nonresectable) | Patient still alive at 6-month follow-up | [42] |
| 1993 | Oshima et al. | Myxoid liposarcoma (thigh) | 37 | LV | 5 years | - | - | - | [43] |
| 1992 | Langlard et al. | Myxoid liposarcoma (thigh) | 54 | RV | 5 years | Solitary cardiac | Yes | Confirmed death 2 years later | [44] |
| 1991 | Maloisel et al. | Myxoid liposarcoma (lower limb) | 28 | RA | 4 years | Lungs | No | Confirmed death 3 months later | [45] |
| 1990 | Schrem et al. | Myxoid liposarcoma (knee) | 41 | RA | 5 years | Solitary cardiac | Yes | Patient still alive and in good condition at 1-year follow-up | [46] |
| 1988 | Ozoux et al. | Myxoid liposarcoma (thigh) | 60 | LV | 17 years | Retroperitoneum | Yes | Confirmed death 6 months later | [47] |
| 1988 | Bartels et al. | Liposarcoma | 64 | RV, PA | 17 years | Solitary cardiac (at diagnosis) | Yes | Confirmed death 14 hours after the operation | [48] |
| 1986 | Lagrange et al. | Myxoid liposarcoma (thigh) | 39 | RV | 6 years | Solitary cardiac | Yes | Patient disease-free at 10-month follow-up | [49] |
| 1985 | Pizzarello et al. | Liposarcoma | 61 | RA, RV, pericardium | 20 years | Pleura | No (Death soon post-admission) | Confirmed death 6 days later | [50] |
| 1983 | Ravikumar et al. | Myxoid liposarcoma (thigh) | 76 | Pericardium, anterior wall | 25 years | Solitary cardiac | Yes | Patient disease-free at 1-year follow-up | [51] |
| 1981 | Godwin et al. | Myxoid liposarcoma (thigh) | 59 | RV, Pericardium | 25 years | Solitary cardiac | Yes | - | [52] |
| 1981 | Mavroudis et al. | Myxoid liposarcoma (thigh) | 59 | RV, Pericardium | 25 years | Chest, diaphragm, retroperitoneum | Yes | Patient disease-free at 7-month follow-up | [53] |
| 1968 | Tong et al. | Myxoid liposarcoma (thigh) | 35 | LV | 7 years | Groin | No | Patient still alive at 30 months follow-up | [54] |
| 1939 | Scott et al. | Liposarcoma | - | Heart, pericardium | - | - | - | - | [55] |
Disclaimer/Publisher’s Note: The statements, opinions and data contained in all publications are solely those of the individual author(s) and contributor(s) and not of MDPI and/or the editor(s). MDPI and/or the editor(s) disclaim responsibility for any injury to people or property resulting from any ideas, methods, instructions or products referred to in the content. |
© 2024 by the authors. Licensee MDPI, Basel, Switzerland. This article is an open access article distributed under the terms and conditions of the Creative Commons Attribution (CC BY) license (https://creativecommons.org/licenses/by/4.0/).
Share and Cite
Stergiopoulos, G.M.; Siontis, B.L.; Petersen, I.A.; Houdek, M.T.; Ho, T.P.; Okuno, S.H.; Robinson, S.I. Cardiac Metastasis from Myxoid Liposarcoma Managed Successfully with Chemotherapy and Radiotherapy: Case Report and Review of the Literature. Curr. Oncol. 2024, 31, 5384-5398. https://doi.org/10.3390/curroncol31090398
Stergiopoulos GM, Siontis BL, Petersen IA, Houdek MT, Ho TP, Okuno SH, Robinson SI. Cardiac Metastasis from Myxoid Liposarcoma Managed Successfully with Chemotherapy and Radiotherapy: Case Report and Review of the Literature. Current Oncology. 2024; 31(9):5384-5398. https://doi.org/10.3390/curroncol31090398
Chicago/Turabian StyleStergiopoulos, Georgios M., Brittany L. Siontis, Ivy A. Petersen, Matthew T. Houdek, Thanh P. Ho, Scott H. Okuno, and Steven I. Robinson. 2024. "Cardiac Metastasis from Myxoid Liposarcoma Managed Successfully with Chemotherapy and Radiotherapy: Case Report and Review of the Literature" Current Oncology 31, no. 9: 5384-5398. https://doi.org/10.3390/curroncol31090398
APA StyleStergiopoulos, G. M., Siontis, B. L., Petersen, I. A., Houdek, M. T., Ho, T. P., Okuno, S. H., & Robinson, S. I. (2024). Cardiac Metastasis from Myxoid Liposarcoma Managed Successfully with Chemotherapy and Radiotherapy: Case Report and Review of the Literature. Current Oncology, 31(9), 5384-5398. https://doi.org/10.3390/curroncol31090398

