Total Iliocaval Reconstruction in a Complex Palliative Patient with Malignant Inferior Vena Cava Syndrome
Abstract
1. Introduction
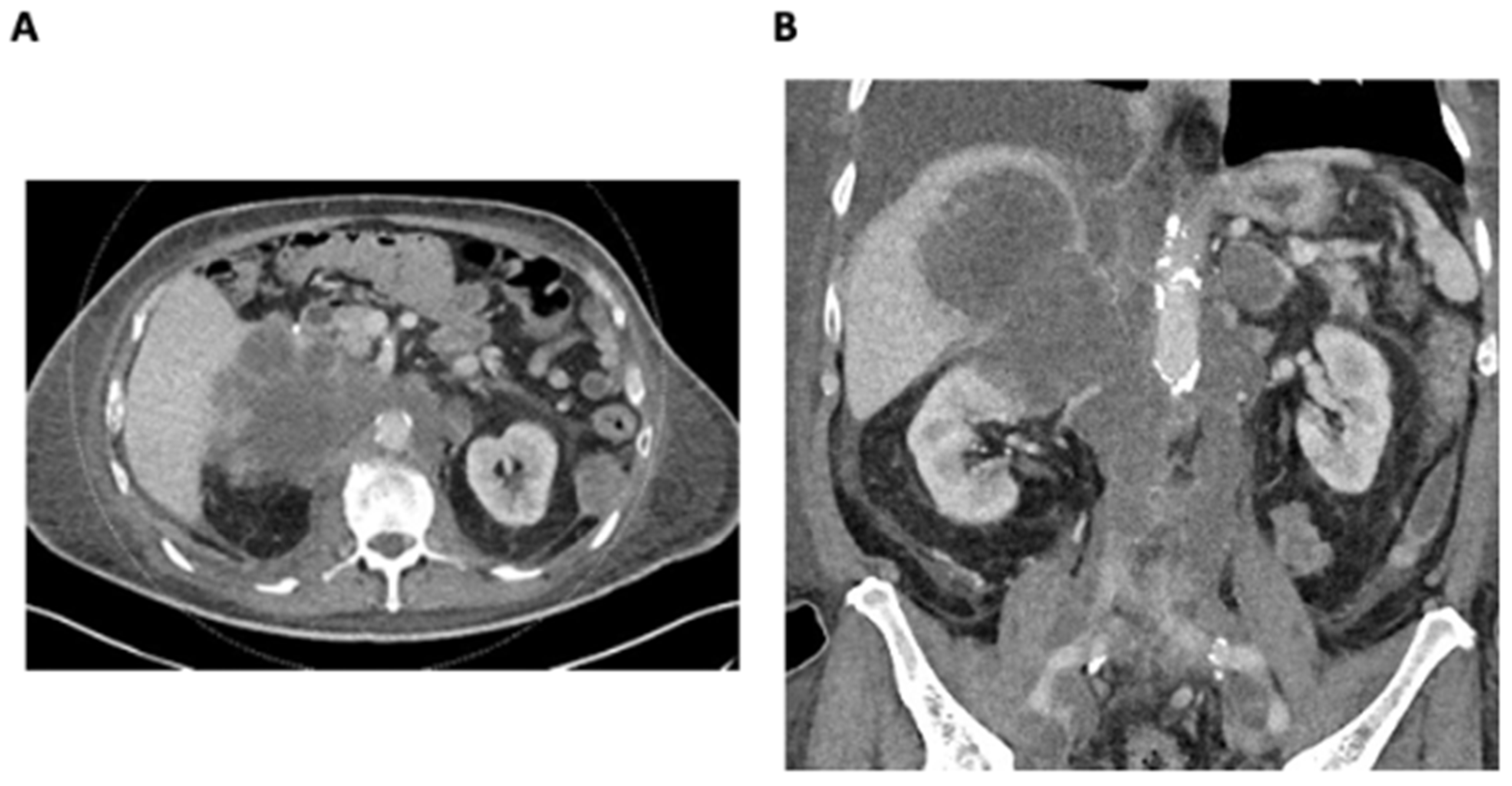
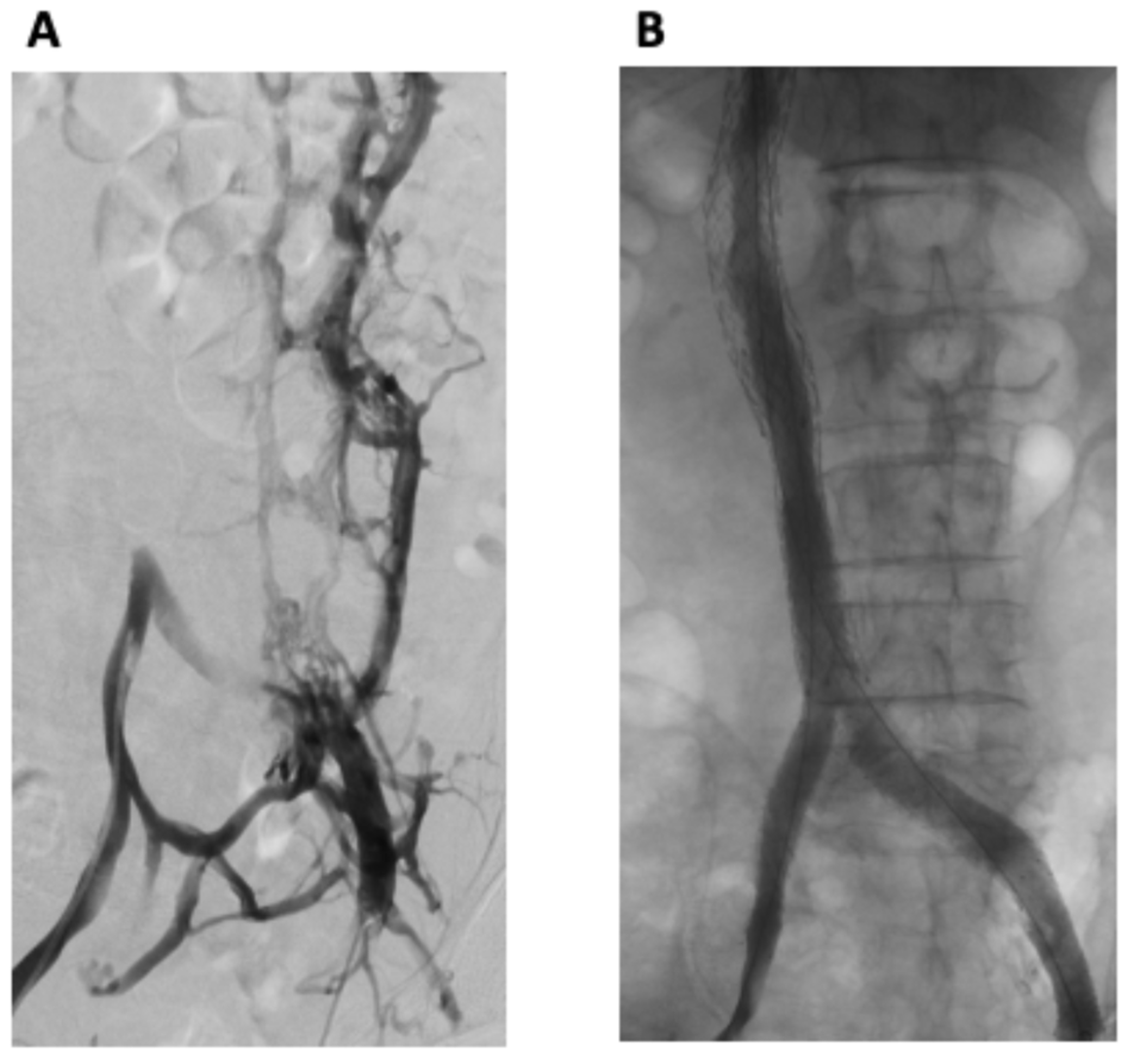
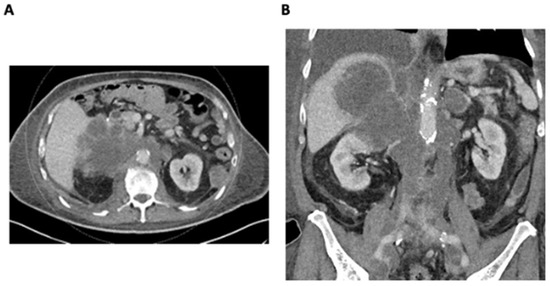
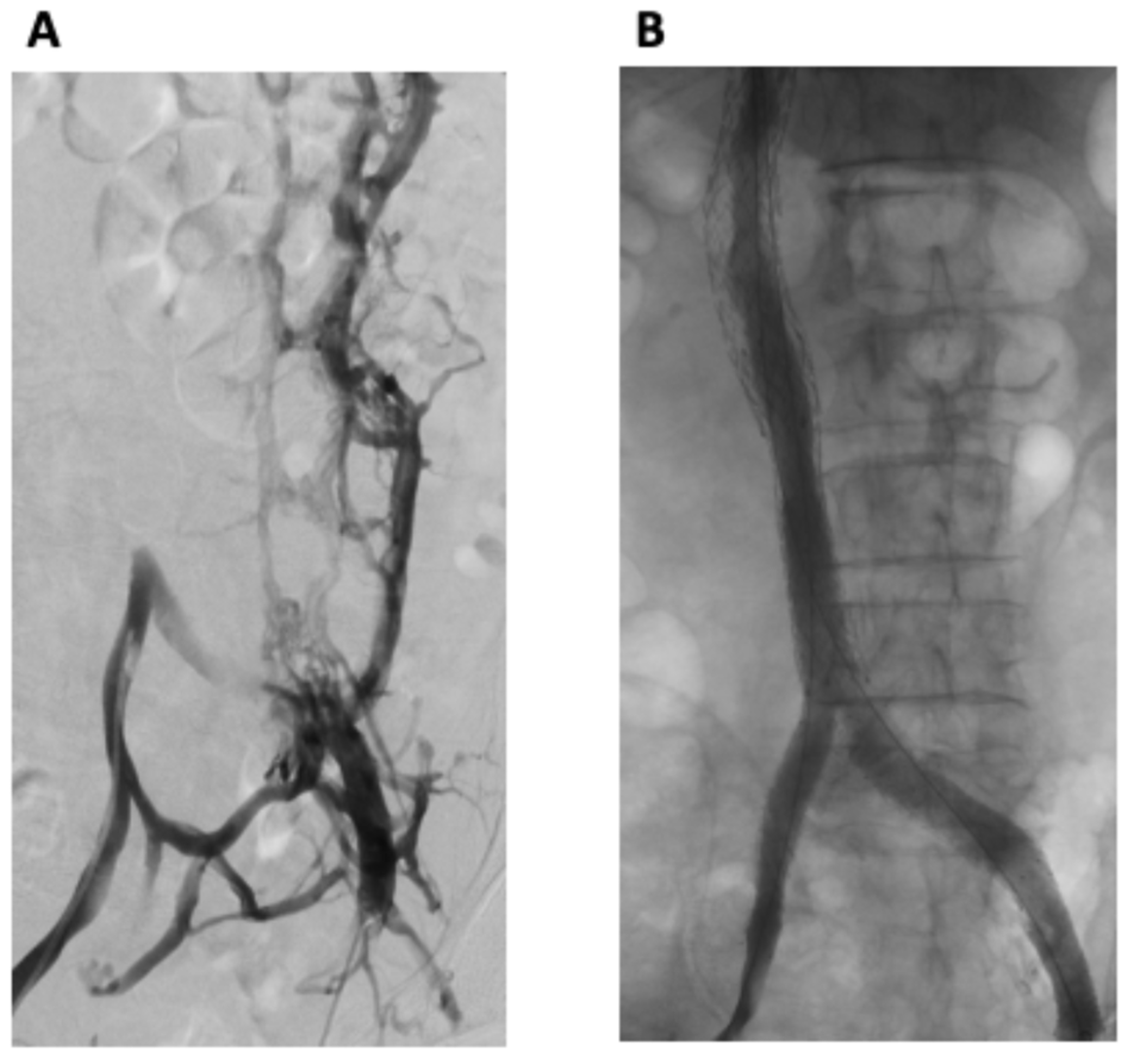
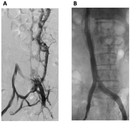
2. Detailed Case Description
3. Discussion
4. Conclusions
Author Contributions
Funding
Institutional Review Board Statement
Informed Consent Statement
Data Availability Statement
Conflicts of Interest
References
- Klein-Weigel, P.F.; Elitok, S.; Ruttloff, A.; Reinhold, S.; Nielitz, J.; Steindl, J.; Lutfi, P.; Rehmenklau-Bremer, L.; Hillner, B.; Fuchs, H.; et al. Inferior vena cava-syndrome. Vasa 2021, 50, 250–264. [Google Scholar] [CrossRef] [PubMed]
- Alkhouli, M.; Morad, M.; Narins, C.R.; Raza, F.; Bashir, R. Inferior Vena Cava Thrombosis. JACC Cardiovasc. Interv. 2016, 9, 629–643. [Google Scholar] [CrossRef] [PubMed]
- Kuetting, D.; Thomas, D.; Wilhelm, K.; Pieper, C.C.; Schild, H.H.; Meyer, C. Endovascular Management of Malignant Inferior Vena Cava Syndromes. Cardiovasc. Intervent Radiol. 2017, 40, 1873–1881. [Google Scholar] [CrossRef]
- Delaney, C.L.; Puckridge, P.J. Reconstruction of the iliocaval venous confluence using arterial stent technology. J. Vasc. Surg. Cases Innov. Tech. 2020, 6, 247–249. [Google Scholar] [CrossRef] [PubMed]
- Zhang, Q.; Huang, Q.; Shen, B.; Sun, J.; Wang, X.; Liu, H. Efficacy and safety of endovascular intervention for the management of primary entire-inferior vena cava occlusion. Cardiovasc. Intervent Radiol. 2015, 38, 665–671. [Google Scholar] [CrossRef]
- Maleux, G.; Vertenten, B.; Laenen, A.; De Wever, L.; Heye, S.; Clement, P.; Oyen, R. Palliative endovascular treatment of cancer-related iliocaval obstructive disease: Technical and clinical outcomes. Acta Radiol. 2016, 57, 451–456. [Google Scholar] [CrossRef]
- Augustin, A.M.; Lucius, L.J.; Thurner, A.; Kickuth, R. Malignant obstruction of the inferior vena cava: Clinical experience with the self-expanding Sinus-XL stent system. Abdom. Radiol. 2022, 47, 3604–3614. [Google Scholar] [CrossRef] [PubMed]
- Aly, A.K.; Moussa, A.M.; Chevallier, O.; Kishore, S.; Petre, E.; Friedman, A.; Bryce, Y.; Gonzalez, A.; Camacho, J.; Santos, E.; et al. Iliocaval and iliofemoral venous stenting for obstruction secondary to tumor compression. CVIR Endovasc. 2024, 7, 33. [Google Scholar] [CrossRef]
- Oudkerk, M.; Heystraten, F.M.; Stoter, G. Stenting in malignant vena caval obstruction. Cancer 1993, 71, 142–146. [Google Scholar] [CrossRef]
- Charnsangavej, C.; Carrasco, C.H.; Wallace, S.; Wright, K.C.; Ogawa, K.; Richli, W.; Gianturco, C. Stenosis of the vena cava: Preliminary assessment of treatment with expandable metallic stents. Radiology 1986, 161, 295–298. [Google Scholar]
- Gagne, P.J.; Tahara, R.W.; Fastabend, C.P.; Dzieciuchowicz, L.; Marston, W.; Vedantham, S.; Ting, W.; Iafrati, M.D. Venography versus intravascular ultrasound for diagnosing and treating iliofemoral vein obstruction. J. Vasc. Surg. Venous Lymphat. Disord. 2017, 5, 678–687. [Google Scholar] [CrossRef]
- Secemsky, E.A.; Aronow, H.D.; Kwolek, C.J.; Meissner, M.; Muck, P.E.; Parikh, S.A.; Winokur, R.S.; George, J.C.; Salazar, G.; Murphy, E.H.; et al. Intravascular Ultrasound Use in Peripheral Arterial and Deep Venous Interventions: Multidisciplinary Expert Opinion From SCAI/AVF/AVLS/SIR/SVM/SVS. J. Vasc. Interv. Radiol. 2024, 35, 335–348. [Google Scholar] [CrossRef] [PubMed]
- Murphy, E.; Gibson, K.; Sapoval, M.; Dexter, D.J.; Kolluri, R.; Razavi, M.; Black, S. Pivotal Study Evaluating the Safety and Effectiveness of the Abre Venous Self-Expanding Stent System in Patients With Symptomatic Iliofemoral Venous Outflow Obstruction. Circ. Cardiovasc. Interv. 2022, 15, e010960. [Google Scholar] [CrossRef]
- Gwon, D.I.; Ko, G.Y.; Kim, J.H.; Shin, J.H.; Yoon, H.K.; Sung, K.B. Malignant superior vena cava syndrome: A comparative cohort study of treatment with covered stents versus uncovered stents. Radiology 2013, 266, 979–987. [Google Scholar] [CrossRef] [PubMed]
- Wang, Z.S.; Li, C.W.; Li, J.X.; Wu, W.J.; Li, Y.; Shi, J.G. Covered versus uncovered stent insertion for malignant superior vena cava obstruction. Minim. Invasive Ther. Allied Technol. 2020, 29, 353–358. [Google Scholar] [CrossRef] [PubMed]
- Hage, A.N.; Srinivasa, R.N.; Abramowitz, S.D.; Cooper, K.J.; Khaja, M.S.; Barnes, G.D.; Chick, J.F.B. Endovascular iliocaval reconstruction for the treatment of iliocaval thrombosis: From imaging to intervention. Vasc. Med. 2018, 23, 267–275. [Google Scholar] [CrossRef] [PubMed]
- Kinariwala, D.; Liles, A.; Williams, D.M.; Khaja, M.S. Iliocaval Reconstruction: Review of Technique, Challenges, and Outcomes. Semin. Intervent Radiol. 2022, 39, 464–474. [Google Scholar] [CrossRef]
- Marcy, P.Y.; Magne, N.; Bentolila, F.; Drouillard, J.; Bruneton, J.N.; Descamps, B. Superior vena cava obstruction: Is stenting necessary? Support. Care Cancer. 2001, 9, 103–107. [Google Scholar] [CrossRef]
- Apostolova, Y.; Mehier, P.; Qanadli, S.D.; Pruijm, M. Inferior vena cava thrombosis as a possible cause of nephrotic-range proteinuria: Two case reports. J. Med. Case Rep. 2021, 15, 569. [Google Scholar] [CrossRef]
- Liu, Z.; Gao, N.; Shen, L.; Yang, J.; Zhu, Y.; Li, Z.; Si, Y. Endovascular treatment for symptomatic iliac vein compression syndrome: A prospective consecutive series of 48 patients. Ann. Vasc. Surg. 2014, 28, 695–704. [Google Scholar] [CrossRef]
- Neglen, P.; Hollis, K.C.; Olivier, J.; Raju, S. Stenting of the venous outflow in chronic venous disease: Long-term stent-related outcome, clinical, and hemodynamic result. J. Vasc. Surg. 2007, 46, 979–990. [Google Scholar] [CrossRef] [PubMed]
- Abdul-Haqq, R.; Novak, Z.; Pearce, B.J.; Matthews, T.C.; Patterson, M.A.; Jordan, W.D., Jr.; Passman, M.A. Routine extended follow-up surveillance of iliac vein stents for iliocaval venous obstruction may not be warranted. J. Vasc. Surg. Venous Lymphat. Disord. 2017, 5, 500–505. [Google Scholar] [CrossRef] [PubMed]
- Kishore, S.; Khaja, M.S.; Thornburg, B.; Sharma, A.M.; Knuttinen, M.G.; Shamoun, F.; Mantha, S.; Desai, K.R.; Sista, A.K.; Black, S.A.; et al. Antithrombotic Therapy After Venous Interventions: AJR Expert Panel Narrative Review. AJR Am. J. Roentgenol. 2022, 219, 175–187. [Google Scholar] [CrossRef] [PubMed]
- Xiao, N.; Genet, M.; Khaja, M.; Desai, K.R. Antithrombotic Therapy after Deep Venous Intervention. Semin. Intervent Radiol. 2022, 39, 357–363. [Google Scholar] [CrossRef]
- Takeuchi, Y.; Arai, Y.; Sone, M.; Sugawara, S.; Aramaki, T.; Sato, R.; Kichikawa, K.; Tanaka, T.; Morishita, H.; Ito, T.; et al. Evaluation of stent placement for vena cava syndrome: Phase II trial and phase III randomized controlled trial. Support. Care Cancer 2019, 27, 1081–1088. [Google Scholar] [CrossRef]
- Erben, Y.; Bjarnason, H.; Oladottir, G.L.; McBane, R.D.; Gloviczki, P. Endovascular recanalization for nonmalignant obstruction of the inferior vena cava. J. Vasc. Surg. Venous Lymphat. Disord. 2018, 6, 173–182. [Google Scholar] [CrossRef]
- Barrette, L.X.; McLaughlin, S.W.; Vance, A.Z.; Trerotola, S.O.; Soulen, M.C.; Sudheendra, D.; Dagli, M.; Redmond, J.W.; Clark, T.W.I. Inferior Vena Cava Reconstruction in Symptomatic Patients Using Palmaz Stents: A Retrospective Single-Center Experience. Ann. Vasc. Surg. 2020, 66, 370–377. [Google Scholar] [CrossRef]
- Morita, S.; Sugawara, S.; Suda, T.; Prasetyo, D.; Kobayashi, Y.; Hoshi, T.; Abe, S.; Yagi, K.; Terai, S. Stent Placement for Malignant Inferior Vena Cava Syndrome in a Patient with Recurrent Colon Cancer. Intern. Med. 2020, 59, 2885–2890. [Google Scholar] [CrossRef]
- Hartung, O.; Otero, A.; Boufi, M.; De Caridi, G.; Barthelemy, P.; Juhan, C.; Alimi, Y.S. Mid-term results of endovascular treatment for symptomatic chronic nonmalignant iliocaval venous occlusive disease. J. Vasc. Surg. 2005, 42, 1138–1144, discussion 1144. [Google Scholar] [CrossRef]
- Hartung, O.; Loundou, A.D.; Barthelemy, P.; Arnoux, D.; Boufi, M.; Alimi, Y.S. Endovascular management of chronic disabling ilio-caval obstructive lesions: Long-term results. Eur. J. Vasc. Endovasc. Surg. 2009, 38, 118–124. [Google Scholar] [CrossRef]
- Morris, R.I.; Jackson, N.; Smith, A.; Black, S.A. A Systematic Review of the Safety and Efficacy of Inferior Vena Cava Stenting. Eur. J. Vasc. Endovasc. Surg. 2023, 65, 298–308. [Google Scholar] [CrossRef] [PubMed]
- Chick, J.; Bundy, J.; Srinivasa, R.; Hage, A.; Gemmete, J. Iliocaval Reconstruction Value Analysis Using a Time-Driven Activity-Based Costing Approach. 2018. Available online: https://www.jvascsurg.org/article/S0741-5214(18)30781-X/fulltext (accessed on 3 July 2024).


Disclaimer/Publisher’s Note: The statements, opinions and data contained in all publications are solely those of the individual author(s) and contributor(s) and not of MDPI and/or the editor(s). MDPI and/or the editor(s) disclaim responsibility for any injury to people or property resulting from any ideas, methods, instructions or products referred to in the content. |
© 2024 by the authors. Licensee MDPI, Basel, Switzerland. This article is an open access article distributed under the terms and conditions of the Creative Commons Attribution (CC BY) license (https://creativecommons.org/licenses/by/4.0/).
Share and Cite
Lofroth, J.; Pourghadiri, A.; Hadjivassiliou, A.; Heran, M.; Legiehn, G.; Ho, S.; Dhatt, R. Total Iliocaval Reconstruction in a Complex Palliative Patient with Malignant Inferior Vena Cava Syndrome. Curr. Oncol. 2024, 31, 3978-3984. https://doi.org/10.3390/curroncol31070294
Lofroth J, Pourghadiri A, Hadjivassiliou A, Heran M, Legiehn G, Ho S, Dhatt R. Total Iliocaval Reconstruction in a Complex Palliative Patient with Malignant Inferior Vena Cava Syndrome. Current Oncology. 2024; 31(7):3978-3984. https://doi.org/10.3390/curroncol31070294
Chicago/Turabian StyleLofroth, Jack, Amir Pourghadiri, Anastasia Hadjivassiliou, Manraj Heran, Gerald Legiehn, Stephen Ho, and Ravjot Dhatt. 2024. "Total Iliocaval Reconstruction in a Complex Palliative Patient with Malignant Inferior Vena Cava Syndrome" Current Oncology 31, no. 7: 3978-3984. https://doi.org/10.3390/curroncol31070294
APA StyleLofroth, J., Pourghadiri, A., Hadjivassiliou, A., Heran, M., Legiehn, G., Ho, S., & Dhatt, R. (2024). Total Iliocaval Reconstruction in a Complex Palliative Patient with Malignant Inferior Vena Cava Syndrome. Current Oncology, 31(7), 3978-3984. https://doi.org/10.3390/curroncol31070294

