Are Columnar Cell Lesions the Earliest Non-Obligate Precursor in the Low-Grade Breast Neoplasia Pathway?
Abstract
1. Introduction
2. Historical Overview and Terminology
3. Radiologic Findings
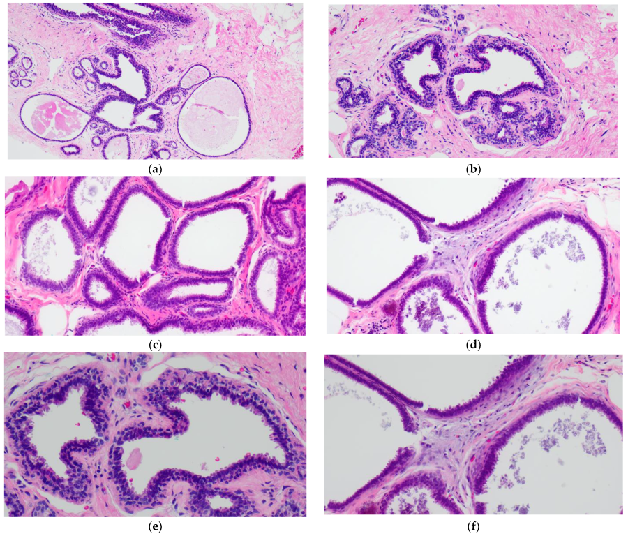
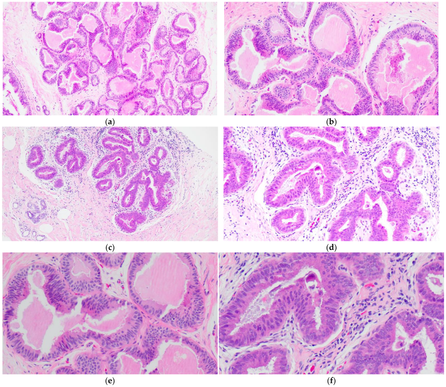
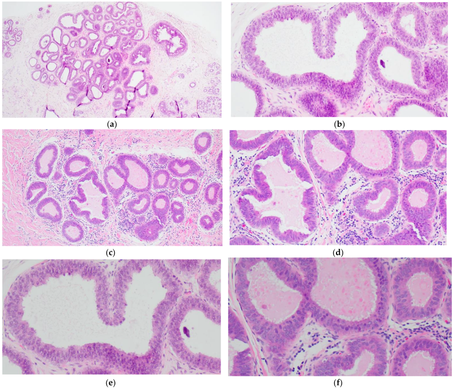
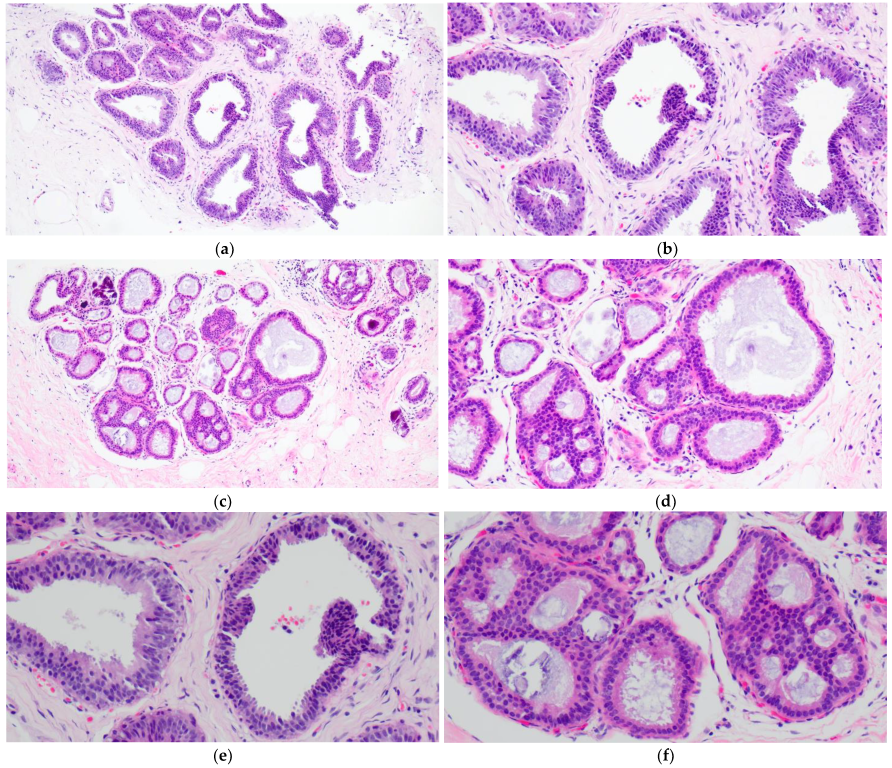
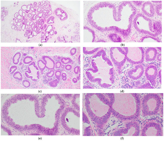
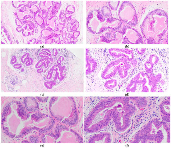
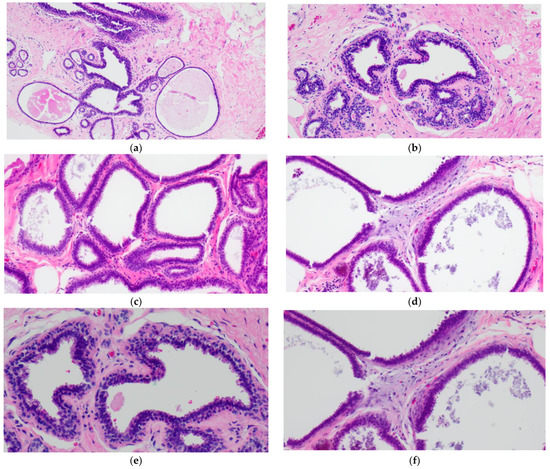
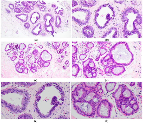
4. Histologic Features
5. Cytologic Features
6. Immunohistochemical Markers
7. Molecular Alterations
8. Columnar Cell Lesions in the Male Breast
9. Clinical Significance
10. Conclusions
Author Contributions
Funding
Institutional Review Board Statement
Informed Consent Statement
Data Availability Statement
Conflicts of Interest
References
- Hoon Tan, P.H.; Ellis, I.; Allison, K.; Brogi, E.; Fox, S.B.; Lakhani, S.; Lazar, A.J.; Morris, E.A.; Sahin, A.; Salgado, R.; et al. (Eds.) World Health Organization Classification of Tumours of the Breast, 5th ed.; IARC Press: Lyon, France, 2019. [Google Scholar]
- Kim, M.J.; Kim, E.-K.; Oh, K.K.; Park, B.-W.; Kim, H. Columnar Cell Lesions of the Breast: Mammographic and US Features. Eur. J. Radiol. 2006, 60, 264–269. [Google Scholar] [CrossRef] [PubMed]
- Verschuur-Maes, A.H.J.; van Gils, C.H.; van den Bosch, M.A.A.J.; De Bruin, P.C.; van Diest, P.J. Digital Mammography: More Microcalcifications, More Columnar Cell Lesions without Atypia. Mod. Pathol. 2011, 24, 1191–1197. [Google Scholar] [CrossRef] [PubMed]
- Luiten, J.D.; Korte, B.; Voogd, A.C.; Vreuls, W.; Luiten, E.J.T.; Strobbe, L.J.; Rutten, M.J.C.M.; Plaisier, M.L.; Lohle, P.N.; Hooijen, M.J.H.; et al. Trends in Frequency and Outcome of High-Risk Breast Lesions at Core Needle Biopsy in Women Recalled at Biennial Screening Mammography, a Multiinstitutional Study. Int. J. Cancer 2019, 145, 2720–2727. [Google Scholar] [CrossRef] [PubMed]
- Said, S.M.; Visscher, D.W.; Nassar, A.; Frank, R.D.; Vierkant, R.A.; Frost, M.H.; Ghosh, K.; Radisky, D.C.; Hartmann, L.C.; Degnim, A.C. Flat Epithelial Atypia and Risk of Breast Cancer: A Mayo Cohort Study. Cancer 2015, 121, 1548–1555. [Google Scholar] [CrossRef]
- Fraser, J.L.; Raza, S.; Chorny, K.; Connolly, J.L.; Schnitt, S.J. Columnar Alteration with Prominent Apical Snouts and Secretions: A Spectrum of Changes Frequently Present in Breast Biopsies Performed for Microcalcifications. Am. J. Surg. Pathol. 1998, 22, 1521–1527. [Google Scholar] [CrossRef]
- Oyama, T.; Maluf, H.; Koerner, F. Atypical Cystic Lobules: An Early Stage in the Formation of Low-Grade Ductal Carcinoma in Situ. Virchows Arch. 1999, 435, 413–421. [Google Scholar] [CrossRef]
- Guerra-Wallace, M.M.; Christensen, W.N.; White, R.L. A Retrospective Study of Columnar Alteration with Prominent Apical Snouts and Secretions and the Association with Cancer. Am. J. Surg. 2004, 188, 395–398. [Google Scholar] [CrossRef]
- Bianchi, S.; Bendinelli, B.; Castellano, I.; Piubello, Q.; Renne, G.; Cattani, M.G.; Di Stefano, D.; Carrillo, G.; Laurino, L.; Bersiga, A.; et al. Morphological Parameters of Flat Epithelial Atypia (FEA) in Stereotactic Vacuum-Assisted Needle Core Biopsies Do Not Predict the Presence of Malignancy on Subsequent Surgical Excision. Virchows Arch. 2012, 461, 405–417. [Google Scholar] [CrossRef]
- Khoumais, N.A.; Scaranelo, A.M.; Moshonov, H.; Kulkarni, S.R.; Miller, N.; McCready, D.R.; Youngson, B.J.; Crystal, P.; Done, S.J. Incidence of Breast Cancer in Patients with Pure Flat Epithelial Atypia Diagnosed at Core-Needle Biopsy of the Breast. Ann. Surg. Oncol. 2013, 20, 133–138. [Google Scholar] [CrossRef]
- Oyama, T.; Iijima, K.; Takei, H.; Horiguchi, J.; Iino, Y.; Nakajima, T.; Koerner, F. Atypical Cystic Lobule of the Breast: An Early Stage of Low-Grade Ductal Carcinoma in-Situ. Breast Cancer 2000, 7, 326–331. [Google Scholar] [CrossRef]
- Abdel-Fatah, T.M.A.; Powe, D.G.; Hodi, Z.; Lee, A.H.S.; Reis-Filho, J.S.; Ellis, I.O. High Frequency of Coexistence of Columnar Cell Lesions, Lobular Neoplasia, and Low Grade Ductal Carcinoma in Situ with Invasive Tubular Carcinoma and Invasive Lobular Carcinoma. Am. J. Surg. Pathol. 2007, 31, 417–426. [Google Scholar] [CrossRef]
- Gopalan, A.; Hoda, S.A. Columnar Cell Hyperplasia and Lobular Carcinoma in Situ Coexisting in the Same Duct. Breast J. 2005, 11, 210. [Google Scholar] [CrossRef]
- Brandt, S.M.; Young, G.Q.; Hoda, S.A. The “Rosen Triad”: Tubular Carcinoma, Lobular Carcinoma in Situ, and Columnar Cell Lesions. Adv. Anat. Pathol. 2008, 15, 140–146. [Google Scholar] [CrossRef]
- Sahoo, S.; Recant, W.M. Triad of Columnar Cell Alteration, Lobular Carcinoma in Situ, and Tubular Carcinoma of the Breast. Breast J. 2005, 11, 140–142. [Google Scholar] [CrossRef]
- Rosen, P.P. Columnar Cell Hyperplasia Is Associated with Lobular Carcinoma in Situ and Tubular Carcinoma. Am. J. Surg. Pathol. 1999, 23, 1561. [Google Scholar] [CrossRef]
- Leibl, S.; Regitnig, P.; Moinfar, F. Flat Epithelial Atypia (DIN 1a, Atypical Columnar Change): An Underdiagnosed Entity Very Frequently Coexisting with Lobular Neoplasia. Histopathology 2007, 50, 859–865. [Google Scholar] [CrossRef]
- Gomes, D.S.; Balabram, D.; Porto, S.S.; Gobbi, H. Lobular Neoplasia: Frequency and Association with Other Breast Lesions. Diagn. Pathol. 2011, 6, 74. [Google Scholar] [CrossRef]
- Brogi, E.; Oyama, T.; Koerner, F.C. Atypical Cystic Lobules in Patients with Lobular Neoplasia. Int. J. Surg. Pathol. 2001, 9, 201–206. [Google Scholar] [CrossRef]
- Collins, L.C.; Achacoso, N.A.; Nekhlyudov, L.; Fletcher, S.W.; Haque, R.; Quesenberry, C.P.; Alshak, N.S.; Puligandla, B.; Brodsky, G.L.; Schnitt, S.J.; et al. Clinical and Pathologic Features of Ductal Carcinoma in Situ Associated with the Presence of Flat Epithelial Atypia: An Analysis of 543 Patients. Mod. Pathol. 2007, 20, 1149–1155. [Google Scholar] [CrossRef]
- Foote, F.W.; Stewart, F.W. Comparative Studies of Cancerous Versus Noncancerous Breasts. Ann. Surg. 1945, 121, 197–222. [Google Scholar] [CrossRef]
- Wellings, S.R.; Jensen, H.M.; Marcum, R.G. An Atlas of Subgross Pathology of the Human Breast with Special Reference to Possible Precancerous Lesions. J. Natl. Cancer Inst. 1975, 55, 231–273. [Google Scholar]
- Lee, S.; Mohsin, S.K.; Mao, S.; Hilsenbeck, S.G.; Medina, D.; Allred, D.C. Hormones, Receptors, and Growth in Hyperplastic Enlarged Lobular Units: Early Potential Precursors of Breast Cancer. Breast Cancer Res. 2006, 8, R6. [Google Scholar] [CrossRef]
- Allred, D.C.; Mohsin, S.K.; Fuqua, S.A. Histological and Biological Evolution of Human Premalignant Breast Disease. Endocr. Relat. Cancer 2001, 8, 47–61. [Google Scholar] [CrossRef]
- Azzopardi, J.G.; Ahmed, A.; Millis, R.R. Problems in Breast Pathology. Major Probl. Pathol. 1979, 11, 1–466. [Google Scholar]
- Tavassoli, F.A. Ductal Intraepithelial Neoplasia of the Breast. Virchows Arch. 2001, 438, 221–227. [Google Scholar] [CrossRef]
- Tavassoli, F.A.; Devilee, P. Pathology and Genetics of Tumours of the Breast and Female Genitale Organs; World Health Organization Classification of Tumours: Geneva, Switzerland; International Agency for Research on Cancer: Lyon, France, 2003; ISBN 978-92-832-2412-9. [Google Scholar]
- Schnitt, S.J.; Vincent-Salomon, A. Columnar Cell Lesions of the Breast. Adv. Anat. Pathol. 2003, 10, 113–124. [Google Scholar] [CrossRef]
- Simpson, P.T.; Gale, T.; Reis-Filho, J.S.; Jones, C.; Parry, S.; Sloane, J.P.; Hanby, A.; Pinder, S.E.; Lee, A.H.S.; Humphreys, S.; et al. Columnar Cell Lesions of the Breast: The Missing Link in Breast Cancer Progression? A Morphological and Molecular Analysis. Am. J. Surg. Pathol. 2005, 29, 734–746. [Google Scholar] [CrossRef]
- Goldstein, N.S.; Kestin, L.J.; Vicini, F.A. Monomorphic Epithelial Proliferations: Characterization and Evidence Suggesting They Are the Pool of Partially Transformed Lesions from Which Some Invasive Carcinomas Arise. Am. J. Clin. Pathol. 2007, 128, 1023–1034. [Google Scholar] [CrossRef]
- Shaaban, A.M.; Sloane, J.P.; West, C.R.; Moore, F.R.; Jarvis, C.; Williams, E.M.I.; Foster, C.S. Histopathologic Types of Benign Breast Lesions and the Risk of Breast Cancer: Case-Control Study. Am. J. Surg. Pathol. 2002, 26, 421–430. [Google Scholar] [CrossRef]
- Kunju, L.P.; Kleer, C.G. Significance of Flat Epithelial Atypia on Mammotome Core Needle Biopsy: Should It Be Excised? Hum. Pathol. 2007, 38, 35–41. [Google Scholar] [CrossRef]
- Rosen, P.P.; Hoda, S.A.; Brogi, E.; Koerner, F.C. Rosen’s Breast Pathology, 4th ed.; Wolters Kluwer Health: Philadelphia, PA, USA, 2014; ISBN 978-1-4511-7653-7. [Google Scholar]
- Koerner, F.C. Diagnostic Problems in Breast Pathology; Saunders/Elsevier: Philadelphia, PA, USA, 2009; ISBN 978-1-4160-2612-9. [Google Scholar]
- Lakhani, S.R.; Ellis, I.O.; Schnitt, S.J.; Tan, P.H.; van de Vijver, M.J. (Eds.) World Health Organization Classification of Tumours of the Breast, 4th ed.; IARC Press: Lyon, France, 2012. [Google Scholar]
- De Boer, M.; Verschuur-Maes, A.H.J.; Buerger, H.; Moelans, C.B.; Steenkamer, M.; Savola, S.; van Diest, P.J. Role of Columnar Cell Lesions in Breast Carcinogenesis: Analysis of Chromosome 16 Copy Number Changes by Multiplex Ligation-Dependent Probe Amplification. Mod. Pathol. 2018, 31, 1816–1833. [Google Scholar] [CrossRef] [PubMed]
- De Boer, M.; van Diest, P.J. Blunt Duct Adenosis: A Separate Entity from Columnar Cell Lesions? J. Clin. Pathol. 2022, 75, 5–9. [Google Scholar] [CrossRef] [PubMed]
- Grabenstetter, A.; Brennan, S.; Salagean, E.D.; Morrow, M.; Brogi, E. Flat Epithelial Atypia in Breast Core Needle Biopsies with Radiologic-Pathologic Concordance: Is Excision Necessary? Am. J. Surg. Pathol. 2020, 44, 182–190. [Google Scholar] [CrossRef] [PubMed]
- Solorzano, S.; Mesurolle, B.; Omeroglu, A.; El Khoury, M.; Kao, E.; Aldis, A.; Meterissian, S. Flat Epithelial Atypia of the Breast: Pathological-Radiological Correlation. AJR Am. J. Roentgenol. 2011, 197, 740–746. [Google Scholar] [CrossRef]
- Senetta, R.; Campanino, P.P.; Mariscotti, G.; Garberoglio, S.; Daniele, L.; Pennecchi, F.; Macrì, L.; Bosco, M.; Gandini, G.; Sapino, A. Columnar Cell Lesions Associated with Breast Calcifications on Vacuum-Assisted Core Biopsies: Clinical, Radiographic, and Histological Correlations. Mod. Pathol. 2009, 22, 762–769. [Google Scholar] [CrossRef]
- Martel, M.; Barron-Rodriguez, P.; Tolgay Ocal, I.; Dotto, J.; Tavassoli, F.A. Flat DIN 1 (Flat Epithelial Atypia) on Core Needle Biopsy: 63 Cases Identified Retrospectively among 1751 Core Biopsies Performed over an 8-Year Period (1992–1999). Virchows Arch. 2007, 451, 883–891. [Google Scholar] [CrossRef]
- Becker, A.K.; Gordon, P.B.; Harrison, D.A.; Hassell, P.R.; Hayes, M.M.; van Niekerk, D.; Wilson, C.M. Flat Ductal Intraepithelial Neoplasia 1A Diagnosed at Stereotactic Core Needle Biopsy: Is Excisional Biopsy Indicated? AJR Am. J. Roentgenol. 2013, 200, 682–688. [Google Scholar] [CrossRef]
- Lavoué, V.; Roger, C.M.; Poilblanc, M.; Proust, N.; Monghal-Verge, C.; Sagan, C.; Tas, P.; Mesbah, H.; Porée, P.; Gay, C.; et al. Pure Flat Epithelial Atypia (DIN 1a) on Core Needle Biopsy: Study of 60 Biopsies with Follow-up Surgical Excision. Breast Cancer Res. Treat. 2011, 125, 121–126. [Google Scholar] [CrossRef]
- Rakha, E.A.; Lee, A.H.S.; Jenkins, J.A.; Murphy, A.E.; Hamilton, L.J.; Ellis, I.O. Characterization and Outcome of Breast Needle Core Biopsy Diagnoses of Lesions of Uncertain Malignant Potential (B3) in Abnormalities Detected by Mammographic Screening. Int. J. Cancer 2011, 129, 1417–1424. [Google Scholar] [CrossRef]
- Elif, A.; Burcu, S.; Nazan, C.; Sumru, C.Z.; Kemal, A.N. Columnar Cell Lesions of the Breast: Radiological Features and Histological Correlation. Med. Ultrason. 2015, 17, 147–154. [Google Scholar] [CrossRef][Green Version]
- Prowler, V.L.; Joh, J.E.; Acs, G.; Kiluk, J.V.; Laronga, C.; Khakpour, N.; Lee, M.C. Surgical Excision of Pure Flat Epithelial Atypia Identified on Core Needle Breast Biopsy. Breast 2014, 23, 352–356. [Google Scholar] [CrossRef]
- Santucci, D.; Faiella, E.; Calabrese, A.; Favale, L.; Zobel, B.B.; de Felice, C. Our Radiological Experience on B3 Lesions: Correlation Between Mammographic and MRI Findings with Histologic Definitive Result. Clin. Breast Cancer 2019, 19, e643–e653. [Google Scholar] [CrossRef]
- Saladin, C.; Haueisen, H.; Kampmann, G.; Oehlschlegel, C.; Seifert, B.; Rageth, L.; Rageth, C.; Stadlmann, S.; Kubik-Huch, R.A.; On behalf of the MIBB Group. Lesions with Unclear Malignant Potential (B3) after Minimally Invasive Breast Biopsy: Evaluation of Vacuum Biopsies Performed in Switzerland and Recommended Further Management. Acta Radiol. 2016, 57, 815–821. [Google Scholar] [CrossRef]
- Peres, A.; Barranger, E.; Becette, V.; Boudinet, A.; Guinebretiere, J.-M.; Cherel, P. Rates of Upgrade to Malignancy for 271 Cases of Flat Epithelial Atypia (FEA) Diagnosed by Breast Core Biopsy. Breast Cancer Res. Treat. 2012, 133, 659–666. [Google Scholar] [CrossRef]
- Srour, M.K.; Donovan, C.; Chung, A.; Harit, A.; Dadmanesh, F.; Giuliano, A.E.; Amersi, F. Flat Epithelial Atypia on Core Needle Biopsy Does Not Always Mandate Excisional Biopsy. Breast J. 2020, 26, 679–684. [Google Scholar] [CrossRef]
- Dialani, V.; Venkataraman, S.; Frieling, G.; Schnitt, S.J.; Mehta, T.S. Does Isolated Flat Epithelial Atypia on Vacuum-Assisted Breast Core Biopsy Require Surgical Excision? Breast J. 2014, 20, 606–614. [Google Scholar] [CrossRef]
- Okamoto, S.; Chen, S.-T.; Covelli, J.D.; DeMartini, W.B.; Daniel, B.L.; Ikeda, D.M. High-Risk Lesions Diagnosed at MRI-Guided Vacuum-Assisted Breast Biopsy: Imaging Characteristics, Outcome of Surgical Excision or Imaging Follow-Up. Breast Cancer 2020, 27, 405–414. [Google Scholar] [CrossRef]
- Tozaki, M.; Yamashiro, N.; Sakamoto, M.; Sakamoto, N.; Mizuuchi, N.; Fukuma, E. Magnetic Resonance-Guided Vacuum-Assisted Breast Biopsy: Results in 100 Japanese Women. Jpn. J. Radiol. 2010, 28, 527–533. [Google Scholar] [CrossRef]
- Crystal, P.; Sadaf, A.; Bukhanov, K.; McCready, D.; O’Malley, F.; Helbich, T.H. High-Risk Lesions Diagnosed at MRI-Guided Vacuum-Assisted Breast Biopsy: Can Underestimation Be Predicted? Eur. Radiol. 2011, 21, 582–589. [Google Scholar] [CrossRef]
- Speer, M.E.; Huang, M.L.; Dogan, B.E.; Adrada, B.E.; Candelaria, R.P.; Hess, K.R.; Hansakul, P.; Yang, W.T.; Rauch, G.M. High Risk Breast Lesions Identified on MRI-Guided Vacuum-Assisted Needle Biopsy: Outcome of Surgical Excision and Imaging Follow-Up. Br. J. Radiol. 2018, 91, 20180300. [Google Scholar] [CrossRef]
- Michaels, A.Y.; Ginter, P.S.; Dodelzon, K.; Naunheim, M.R.; Abbey, G.N. High-Risk Lesions Detected by MRI-Guided Core Biopsy: Upgrade Rates at Surgical Excision and Implications for Management. AJR Am. J. Roentgenol. 2021, 216, 622–632. [Google Scholar] [CrossRef]
- Boyd, N.F.; Martin, L.J.; Yaffe, M.J.; Minkin, S. Mammographic Density and Breast Cancer Risk: Current Understanding and Future Prospects. Breast Cancer Res. 2011, 13, 223. [Google Scholar] [CrossRef]
- Turashvili, G.; McKinney, S.; Martin, L.; Gelmon, K.A.; Watson, P.; Boyd, N.; Aparicio, S. Columnar Cell Lesions, Mammographic Density and Breast Cancer Risk. Breast Cancer Res. Treat. 2009, 115, 561–571. [Google Scholar] [CrossRef]
- Ghosh, K.; Vierkant, R.A.; Frank, R.D.; Winham, S.; Visscher, D.W.; Pankratz, V.S.; Scott, C.G.; Brandt, K.; Sherman, M.E.; Radisky, D.C.; et al. Association between Mammographic Breast Density and Histologic Features of Benign Breast Disease. Breast Cancer Res. 2017, 19, 134. [Google Scholar] [CrossRef] [PubMed]
- Katayama, A.; Toss, M.S.; Parkin, M.; Sano, T.; Oyama, T.; Quinn, C.M.; Ellis, I.O.; Rakha, E.A. Nuclear Morphology in Breast Lesions: Refining Its Assessment to Improve Diagnostic Concordance. Histopathology 2022, 80, 515–528. [Google Scholar] [CrossRef]
- Yamashita, Y.; Ichihara, S.; Moritani, S.; Yoon, H.-S.; Yamaguchi, M. Does Flat Epithelial Atypia Have Rounder Nuclei than Columnar Cell Change/Hyperplasia? A Morphometric Approach to Columnar Cell Lesions of the Breast. Virchows Arch. 2016, 468, 663–673. [Google Scholar] [CrossRef]
- Lim, C.N.; Ho, B.C.S.; Bay, B.H.; Yip, G.; Tan, P.H. Nuclear Morphometry in Columnar Cell Lesions of the Breast: Is It Useful? J. Clin. Pathol. 2006, 59, 1283–1286. [Google Scholar] [CrossRef]
- Samples, L.S.; Rendi, M.H.; Frederick, P.D.; Allison, K.H.; Nelson, H.D.; Morgan, T.R.; Weaver, D.L.; Elmore, J.G. Surgical Implications and Variability in the Use of the Flat Epithelial Atypia Diagnosis on Breast Biopsy Specimens. Breast 2017, 34, 34–43. [Google Scholar] [CrossRef]
- Tan, P.H.; Ho, B.C.-S.; Selvarajan, S.; Yap, W.M.; Hanby, A. Pathological Diagnosis of Columnar Cell Lesions of the Breast: Are There Issues of Reproducibility? J. Clin. Pathol. 2005, 58, 705–709. [Google Scholar] [CrossRef]
- Gomes, D.S.; Porto, S.S.; Balabram, D.; Gobbi, H. Inter-Observer Variability between General Pathologists and a Specialist in Breast Pathology in the Diagnosis of Lobular Neoplasia, Columnar Cell Lesions, Atypical Ductal Hyperplasia and Ductal Carcinoma in Situ of the Breast. Diagn. Pathol. 2014, 9, 121. [Google Scholar] [CrossRef]
- O’Malley, F.P.; Mohsin, S.K.; Badve, S.; Bose, S.; Collins, L.C.; Ennis, M.; Kleer, C.G.; Pinder, S.E.; Schnitt, S.J. Interobserver Reproducibility in the Diagnosis of Flat Epithelial Atypia of the Breast. Mod. Pathol. 2006, 19, 172–179. [Google Scholar] [CrossRef] [PubMed]
- Darvishian, F.; Singh, B.; Simsir, A.; Ye, W.; Cangiarella, J.F. Atypia on Breast Core Needle Biopsies: Reproducibility and Significance. Ann. Clin. Lab. Sci. 2009, 39, 270–276. [Google Scholar] [PubMed]
- Haupt, B.; Schwartz, M.R.; Xu, Q.; Ro, J.Y. Columnar Cell Lesions: A Consensus Study among Pathology Trainees. Hum. Pathol. 2010, 41, 895–901. [Google Scholar] [CrossRef]
- Saqi, A.; Mazziotta, R.; Hamele-Bena, D. Columnar Cell Lesions: Fine-Needle Aspiration Biopsy Features. Diagn. Cytopathol. 2004, 31, 370–375. [Google Scholar] [CrossRef]
- Jensen, K.C.; Kong, C.S. Cytologic Diagnosis of Columnar-Cell Lesions of the Breast. Diagn. Cytopathol. 2007, 35, 73–79. [Google Scholar] [CrossRef]
- Tremblay, G.; Deschênes, J.; Alpert, L.; Quenneville, L.A.M. Overexpression of Estrogen Receptors in Columnar Cell Change and in Unfolding Breast Lobules. Breast J. 2005, 11, 326–332. [Google Scholar] [CrossRef]
- Dessauvagie, B.F.; Zhao, W.; Heel-Miller, K.A.; Harvey, J.; Bentel, J.M. Characterization of Columnar Cell Lesions of the Breast: Immunophenotypic Analysis of Columnar Alteration of Lobules with Prominent Apical Snouts and Secretions. Hum. Pathol. 2007, 38, 284–292. [Google Scholar] [CrossRef]
- Vincent-Salomon, A. Columnar lesions: A frequent diagnosis in breast pathology! Ann. Pathol. 2003, 23, 593–596. [Google Scholar]
- Otterbach, F.; Bànkfalvi, A.; Bergner, S.; Decker, T.; Krech, R.; Boecker, W. Cytokeratin 5/6 Immunohistochemistry Assists the Differential Diagnosis of Atypical Proliferations of the Breast. Histopathology 2000, 37, 232–240. [Google Scholar] [CrossRef]
- Kusama, R.; Fujimori, M.; Matsuyama, I.; Fu, L.; Ishii, K.; Hama, Y.; Asanuma, K.; Shingu, K.; Kobayashi, S.; Tsuchiya, S. Clinicopathological Characteristics of Atypical Cystic Duct (ACD) of the Breast: Assessment of ACD as a Precancerous Lesion. Pathol. Int. 2000, 50, 793–800. [Google Scholar] [CrossRef]
- De Potter, C.R.; Foschini, M.P.; Schelfhout, A.M.; Schroeter, C.A.; Eusebi, V. Immunohistochemical Study of Neu Protein Overexpression in Clinging in Situ Duct Carcinoma of the Breast. Virchows Arch. A Pathol. Anat. Histopathol. 1993, 422, 375–380. [Google Scholar] [CrossRef]
- Noel, J.-C.; Fayt, I.; Fernandez-Aguilar, S.; Buxant, F.; Boutemy, R. Proliferating Activity in Columnar Cell Lesions of the Breast. Virchows Arch. 2006, 449, 617–621. [Google Scholar] [CrossRef]
- Tomasino, R.M.; Morello, V.; Gullo, A.; Pompei, G.; Agnese, V.; Russo, A.; Rinaldi, G. Assessment of “Grading” with Ki-67 and c-Kit Immunohistochemical Expressions May Be a Helpful Tool in Management of Patients with Flat Epithelial Atypia (FEA) and Columnar Cell Lesions (CCLs) on Core Breast Biopsy. J. Cell. Physiol. 2009, 221, 343–349. [Google Scholar] [CrossRef]
- Park, S.Y.; Kwon, H.J.; Lee, H.E.; Ryu, H.S.; Kim, S.-W.; Kim, J.H.; Kim, I.A.; Jung, N.; Cho, N.-Y.; Kang, G.H. Promoter CpG Island Hypermethylation during Breast Cancer Progression. Virchows Arch. 2011, 458, 73–84. [Google Scholar] [CrossRef]
- Verschuur-Maes, A.H.J.; de Bruin, P.C.; van Diest, P.J. Epigenetic Progression of Columnar Cell Lesions of the Breast to Invasive Breast Cancer. Breast Cancer Res. Treat. 2012, 136, 705–715. [Google Scholar] [CrossRef]
- Moinfar, F.; Man, Y.G.; Bratthauer, G.L.; Ratschek, M.; Tavassoli, F.A. Genetic Abnormalities in Mammary Ductal Intraepithelial Neoplasia-Flat Type (“clinging Ductal Carcinoma in Situ”): A Simulator of Normal Mammary Epithelium. Cancer 2000, 88, 2072–2081. [Google Scholar] [CrossRef]
- Aulmann, S.; Elsawaf, Z.; Penzel, R.; Schirmacher, P.; Sinn, H.P. Invasive Tubular Carcinoma of the Breast Frequently Is Clonally Related to Flat Epithelial Atypia and Low-Grade Ductal Carcinoma in Situ. Am. J. Surg. Pathol. 2009, 33, 1646–1653. [Google Scholar] [CrossRef]
- Go, E.M.L.; Tsang, J.Y.S.; Ni, Y.-B.; Yu, A.M.; Mendoza, P.; Chan, S.-K.; Lam, C.C.; Lui, P.C.; Tan, P.-H.; Tse, G.M. Relationship between Columnar Cell Changes and Low-Grade Carcinoma in Situ of the Breast--a Cytogenetic Study. Hum. Pathol. 2012, 43, 1924–1931. [Google Scholar] [CrossRef]
- Qi, L.; Bart, J.; Tan, L.P.; Platteel, I.; van der Sluis, T.; Huitema, S.; Harms, G.; Fu, L.; Hollema, H.; van den Berg, A. v\Expression of MiR-21 and Its Targets (PTEN, PDCD4, TM1) in Flat Epithelial Atypia of the Breast in Relation to Ductal Carcinoma in Situ and Invasive Carcinoma. BMC Cancer 2009, 9, 163. [Google Scholar] [CrossRef]
- Dabbs, D.J.; Carter, G.; Fudge, M.; Peng, Y.; Swalsky, P.; Finkelstein, S. Molecular Alterations in Columnar Cell Lesions of the Breast. Mod. Pathol. 2006, 19, 344–349. [Google Scholar] [CrossRef]
- Ellsworth, R.E.; Ellsworth, D.L.; Weyandt, J.D.; Fantacone-Campbell, J.L.; Deyarmin, B.; Hooke, J.A.; Shriver, C.D. Chromosomal Alterations in Pure Nonneoplastic Breast Lesions: Implications for Breast Cancer Progression. Ann. Surg. Oncol. 2010, 17, 1688–1694. [Google Scholar] [CrossRef] [PubMed]
- Aulmann, S.; Braun, L.; Mietzsch, F.; Longerich, T.; Penzel, R.; Schirmacher, P.; Sinn, H.P. Transitions between Flat Epithelial Atypia and Low-Grade Ductal Carcinoma in Situ of the Breast. Am. J. Surg. Pathol. 2012, 36, 1247–1252. [Google Scholar] [CrossRef] [PubMed]
- Verschuur-Maes, A.H.J.; Moelans, C.B.; de Bruin, P.C.; van Diest, P.J. Analysis of Gene Copy Number Alterations by Multiplex Ligation-Dependent Probe Amplification in Columnar Cell Lesions of the Breast. Cell. Oncol. 2014, 37, 147–154. [Google Scholar] [CrossRef] [PubMed]
- Ni, Y.-B.; Mujtaba, S.; Shao, M.-M.; Lacambra, M.; Tsang, J.Y.S.; Chan, S.-K.; Tse, G.M. Columnar Cell-like Changes in the Male Breast. J. Clin. Pathol. 2014, 67, 45–48. [Google Scholar] [CrossRef]
- Verschuur-Maes, A.H.J.; Kornegoor, R.; de Bruin, P.C.; Oudejans, J.J.; van Diest, P.J. Do Columnar Cell Lesions Exist in the Male Breast? Histopathology 2014, 64, 818–825. [Google Scholar] [CrossRef]
- Kornegoor, R.; Verschuur-Maes, A.H.J.; Buerger, H.; van Diest, P.J. The 3-Layered Ductal Epithelium in Gynecomastia. Am. J. Surg. Pathol. 2012, 36, 762–768. [Google Scholar] [CrossRef]
- Doebar, S.C.; Slaets, L.; Cardoso, F.; Giordano, S.H.; Bartlett, J.M.; Tryfonidis, K.; Dijkstra, N.H.; Schröder, C.P.; van Asperen, C.J.; Linderholm, B.; et al. Male Breast Cancer Precursor Lesions: Analysis of the EORTC 10085/TBCRC/BIG/NABCG International Male Breast Cancer Program. Mod. Pathol. 2017, 30, 509–518. [Google Scholar] [CrossRef]
- Boulos, F.I.; Dupont, W.D.; Simpson, J.F.; Schuyler, P.A.; Sanders, M.E.; Freudenthal, M.E.; Page, D.L. Histologic Associations and Long-Term Cancer Risk in Columnar Cell Lesions of the Breast: A Retrospective Cohort and a Nested Case-Control Study. Cancer 2008, 113, 2415–2421. [Google Scholar] [CrossRef]
- Aroner, S.A.; Collins, L.C.; Schnitt, S.J.; Connolly, J.L.; Colditz, G.A.; Tamimi, R.M. Columnar Cell Lesions and Subsequent Breast Cancer Risk: A Nested Case-Control Study. Breast Cancer Res. 2010, 12, R61. [Google Scholar] [CrossRef]
- Eusebi, V.; Foschini, M.P.; Cook, M.G.; Berrino, F.; Azzopardi, J.G. Long-Term Follow-up of in Situ Carcinoma of the Breast with Special Emphasis on Clinging Carcinoma. Semin. Diagn. Pathol. 1989, 6, 165–173. [Google Scholar]
- Bijker, N.; Peterse, J.L.; Duchateau, L.; Julien, J.P.; Fentiman, I.S.; Duval, C.; Di Palma, S.; Simony-Lafontaine, J.; de Mascarel, I.; van de Vijver, M.J. Risk Factors for Recurrence and Metastasis after Breast-Conserving Therapy for Ductal Carcinoma-in-Situ: Analysis of European Organization for Research and Treatment of Cancer Trial 10853. J. Clin. Oncol. 2001, 19, 2263–2271. [Google Scholar] [CrossRef]
- De Mascarel, I.; MacGrogan, G.; Mathoulin-Pélissier, S.; Vincent-Salomon, A.; Soubeyran, I.; Picot, V.; Coindre, J.-M.; Mauriac, L. Epithelial Atypia in Biopsies Performed for Microcalcifications. Practical Considerations about 2833 Serially Sectioned Surgical Biopsies with a Long Follow-Up. Virchows Arch. 2007, 451, 1–10. [Google Scholar] [CrossRef][Green Version]
- Lee, T.-Y.J.; Macintosh, R.F.; Rayson, D.; Barnes, P.J. Flat Epithelial Atypia on Breast Needle Core Biopsy: A Retrospective Study with Clinical-Pathological Correlation. Breast J. 2010, 16, 377–383. [Google Scholar] [CrossRef]
- Piubello, Q.; Parisi, A.; Eccher, A.; Barbazeni, G.; Franchini, Z.; Iannucci, A. Flat Epithelial Atypia on Core Needle Biopsy: Which Is the Right Management? Am. J. Surg. Pathol. 2009, 33, 1078–1084. [Google Scholar] [CrossRef]
- Chivukula, M.; Bhargava, R.; Tseng, G.; Dabbs, D.J. Clinicopathologic Implications of “Flat Epithelial Atypia” in Core Needle Biopsy Specimens of the Breast. Am. J. Clin. Pathol. 2009, 131, 802–808. [Google Scholar] [CrossRef]
- Noske, A.; Pahl, S.; Fallenberg, E.; Richter-Ehrenstein, C.; Buckendahl, A.-C.; Weichert, W.; Schneider, A.; Dietel, M.; Denkert, C. Flat Epithelial Atypia Is a Common Subtype of B3 Breast Lesions and Is Associated with Noninvasive Cancer but Not with Invasive Cancer in Final Excision Histology. Hum. Pathol. 2010, 41, 522–527. [Google Scholar] [CrossRef]
- Ingegnoli, A.; d’Aloia, C.; Frattaruolo, A.; Pallavera, L.; Martella, E.; Crisi, G.; Zompatori, M. Flat Epithelial Atypia and Atypical Ductal Hyperplasia: Carcinoma Underestimation Rate. Breast J. 2010, 16, 55–59. [Google Scholar] [CrossRef]
- Noël, J.-C.; Buxant, F.; Engohan-Aloghe, C. Immediate Surgical Resection of Residual Microcalcifications after a Diagnosis of Pure Flat Epithelial Atypia on Core Biopsy: A Word of Caution. Surg. Oncol. 2010, 19, 243–246. [Google Scholar] [CrossRef]
- Verschuur-Maes, A.H.J.; Witkamp, A.J.; de Bruin, P.C.; van der Wall, E.; van Diest, P.J. Progression Risk of Columnar Cell Lesions of the Breast Diagnosed in Core Needle Biopsies. Int. J. Cancer 2011, 129, 2674–2680. [Google Scholar] [CrossRef]
- Biggar, M.A.; Kerr, K.M.; Erzetich, L.M.; Bennett, I.C. Columnar Cell Change with Atypia (Flat Epithelial Atypia) on Breast Core Biopsy-Outcomes Following Open Excision. Breast J. 2012, 18, 578–581. [Google Scholar] [CrossRef]
- Uzoaru, I.; Morgan, B.R.; Liu, Z.G.; Bellafiore, F.J.; Gaudier, F.S.; Lo, J.V.; Pakzad, K. Flat Epithelial Atypia with and without Atypical Ductal Hyperplasia: To Re-Excise or Not. Results of a 5-Year Prospective Study. Virchows Arch. 2012, 461, 419–423. [Google Scholar] [CrossRef] [PubMed]
- Villa, A.; Chiesa, F.; Massa, T.; Friedman, D.; Canavese, G.; Baccini, P.; Calabrese, M.; Tagliafico, A. Flat Epithelial Atypia: Comparison between 9-Gauge and 11-Gauge Devices. Clin. Breast Cancer 2013, 13, 450–454. [Google Scholar] [CrossRef] [PubMed]
- Ceugnart, L.; Doualliez, V.; Chauvet, M.-P.; Robin, Y.-M.; Bachelle, F.; Chaveron, C.; Rocourt, N.; Pouliquen, G.; Jarraya, H.; Taieb, S. Pure Flat Epithelial Atypia: Is There a Place for Routine Surgery? Diagn. Interv. Imaging 2013, 94, 861–869. [Google Scholar] [CrossRef] [PubMed][Green Version]
- Calhoun, B.C.; Sobel, A.; White, R.L.; Gromet, M.; Flippo, T.; Sarantou, T.; Livasy, C.A. Management of Flat Epithelial Atypia on Breast Core Biopsy May Be Individualized Based on Correlation with Imaging Studies. Mod. Pathol. 2015, 28, 670–676. [Google Scholar] [CrossRef] [PubMed]
- Acott, A.A.; Mancino, A.T. Flat Epithelial Atypia on Core Needle Biopsy, Must We Surgically Excise? Am. J. Surg. 2016, 212, 1211–1213. [Google Scholar] [CrossRef]
- Mooney, K.L.; Bassett, L.W.; Apple, S.K. Upgrade Rates of High-Risk Breast Lesions Diagnosed on Core Needle Biopsy: A Single-Institution Experience and Literature Review. Mod. Pathol. 2016, 29, 1471–1484. [Google Scholar] [CrossRef]
- Ahn, H.S.; Jang, M.; Kim, S.M.; Yun, B.L.; Kim, S.-W.; Kang, E.Y.; Park, S.Y. Diagnosis of Columnar Cell Lesions and Atypical Ductal Hyperplasia by Ultrasound-Guided Core Biopsy: Findings Associated with Underestimation of Breast Carcinoma. Ultrasound Med. Biol. 2016, 42, 1457–1463. [Google Scholar] [CrossRef]
- Berry, J.S.; Trappey, A.F.; Vreeland, T.J.; Pattyn, A.R.; Clifton, G.T.; Berry, E.A.; Schneble, E.J.; Kirkpatrick, A.D.; Saenger, J.S.; Peoples, G.E. Analysis of Clinical and Pathologic Factors of Pure, Flat Epithelial Atypia on Core Needle Biopsy to Aid in the Decision of Excision or Observation. J. Cancer 2016, 7, 1–6. [Google Scholar] [CrossRef]
- Lamb, L.R.; Bahl, M.; Gadd, M.A.; Lehman, C.D. Flat Epithelial Atypia: Upgrade Rates and Risk-Stratification Approach to Support Informed Decision Making. J. Am. Coll. Surg. 2017, 225, 696–701. [Google Scholar] [CrossRef]
- McCroskey, Z.; Sneige, N.; Herman, C.R.; Miller, R.A.; Venta, L.A.; Ro, J.Y.; Schwartz, M.R.; Ayala, A.G. Flat Epithelial Atypia in Directional Vacuum-Assisted Biopsy of Breast Microcalcifications: Surgical Excision May Not Be Necessary. Mod. Pathol. 2018, 31, 1097–1106. [Google Scholar] [CrossRef]
- Hugar, S.B.; Bhargava, R.; Dabbs, D.J.; Davis, K.M.; Zuley, M.; Clark, B.Z. Isolated Flat Epithelial Atypia on Core Biopsy Specimens Is Associated with a Low Risk of Upgrade at Excision. Am. J. Clin. Pathol. 2019, 151, 511–515. [Google Scholar] [CrossRef]
- Alencherry, E.; Goel, R.; Gore, S.; Thompson, C.; Dubchuk, C.; Bomeisl, P.; Gilmore, H.; Dyhdalo, K.; Plecha, D.M. Clinical, Imaging, and Intervention Factors Associated with the Upgrade of Isolated Flat Epithelial Atypia. Clin. Imaging 2019, 54, 21–24. [Google Scholar] [CrossRef]
- Winer, L.K.; Hinrichs, B.H.; Lu, S.; Hanseman, D.; Huang, Y.; Reyna, C.; Lewis, J.; Shaughnessy, E.A. Flat Epithelial Atypia and the Risk of Sampling Error: Determining the Value of Excision after Image-Guided Core-Needle Biopsy. Am. J. Surg. 2019, 218, 730–736. [Google Scholar] [CrossRef]
- Liu, C.; Dingee, C.K.; Warburton, R.; Pao, J.-S.; Kuusk, U.; Bazzarelli, A.; Sidhu, R.; McKevitt, E.C. Pure Flat Epithelial Atypia Identified on Core Needle Biopsy Does Not Require Excision. Eur. J. Surg. Oncol. 2020, 46, 235–239. [Google Scholar] [CrossRef]
- Polom, K.; Murawa, D.; Murawa, P. Flat Epithelial Atypia Diagnosed on Core Needle Biopsy-Clinical Challenge. Rep. Pract. Oncol. Radiother. 2012, 17, 93–96. [Google Scholar] [CrossRef]
- Chan, P.M.Y.; Chotai, N.; Lai, E.S.; Sin, P.Y.; Chen, J.; Lu, S.Q.; Goh, M.H.; Chong, B.K.; Ho, B.C.S.; Tan, E.Y. Majority of Flat Epithelial Atypia Diagnosed on Biopsy Do Not Require Surgical Excision. Breast 2018, 37, 13–17. [Google Scholar] [CrossRef]
- Carrillo, M.; Maturana, G.; Maiz, C.; Romero, D.; Domínguez, F.; Oddó, D.; Villarroel, A.; Razmilic, D.; Navarro, M.E.; León, A.; et al. Breast Lesions with Atypia in Percutaneous Biopsies, Managed with Surgery in the Last 10 Years. Ecancermedicalscience 2019, 13, 923. [Google Scholar] [CrossRef]
- Ouldamer, L.; Poisson, E.; Arbion, F.; Bonneau, C.; Vildé, A.; Body, G.; Michenet, P. All Pure Flat Atypical Atypia Lesions of the Breast Diagnosed Using Percutaneous Vacuum-Assisted Breast Biopsy Do Not Need Surgical Excision. Breast 2018, 40, 4–9. [Google Scholar] [CrossRef]
- Rajan, S.; Sharma, N.; Dall, B.J.G.; Shaaban, A.M. What Is the Significance of Flat Epithelial Atypia and What Are the Management Implications? J. Clin. Pathol. 2011, 64, 1001–1004. [Google Scholar] [CrossRef]
- Maeda, I.; Kanemaki, Y.; Tozaki, M.; Koizumi, H.; Oana, Y.; Okanami, Y.; Tsuchiya, K.; Shimo, A.; Kojima, Y.; Hayami, R.; et al. Positive Predictive Value for Malignancy of Pure Flat Epithelial Atypia Diagnosis by Percutaneous Needle Biopsy of the Breast: Management of FEA in Ultrasonography. Breast Cancer 2015, 22, 634–640. [Google Scholar] [CrossRef]
- Miller-Ocuin, J.L.; Fowler, B.B.; Coldren, D.L.; Chiba, A.; Levine, E.A.; Howard-McNatt, M. Is Excisional Biopsy Needed for Pure FEA Diagnosed on a Core Biopsy? Am. Surg. 2020, 86, 1088–1090. [Google Scholar] [CrossRef]
- Yu, C.-C.; Ueng, S.-H.; Cheung, Y.-C.; Shen, S.-C.; Kuo, W.-L.; Tsai, H.-P.; Lo, Y.-F.; Chen, S.-C. Predictors of Underestimation of Malignancy after Image-Guided Core Needle Biopsy Diagnosis of Flat Epithelial Atypia or Atypical Ductal Hyperplasia. Breast J. 2015, 21, 224–232. [Google Scholar] [CrossRef]
- Wahab, R.A.; Lee, S.-J.; Mulligan, M.E.; Zhang, B.; Mahoney, M.C. Upgrade Rate of Pure Flat Epithelial Atypia Diagnosed at Core Needle Biopsy: A Systematic Review and Meta-Analysis. Radiol. Imaging Cancer 2021, 3, e200116. [Google Scholar] [CrossRef]
- Ferre, R.; Kuzmiak, C.M. Upgrade Rate of Percutaneously Diagnosed Pure Flat Epithelial Atypia: Systematic Review and Meta-Analysis of 1,924 Lesions. J. Osteopat. Med. 2022, 122, 253–262. [Google Scholar] [CrossRef] [PubMed]
- Rudin, A.V.; Hoskin, T.L.; Fahy, A.; Farrell, A.M.; Nassar, A.; Ghosh, K.; Degnim, A.C. Flat Epithelial Atypia on Core Biopsy and Upgrade to Cancer: A Systematic Review and Meta-Analysis. Ann. Surg. Oncol. 2017, 24, 3549–3558. [Google Scholar] [CrossRef] [PubMed]
- Georgian-Smith, D.; Lawton, T.J. Variations in Physician Recommendations for Surgery after Diagnosis of a High-Risk Lesion on Breast Core Needle Biopsy. AJR Am. J. Roentgenol. 2012, 198, 256–263. [Google Scholar] [CrossRef] [PubMed][Green Version]
- Falomo, E.; Adejumo, C.; Carson, K.A.; Harvey, S.; Mullen, L.; Myers, K. Variability in the Management Recommendations Given for High-Risk Breast Lesions Detected on Image-Guided Core Needle Biopsy at U.S. Academic Institutions. Curr. Probl. Diagn. Radiol. 2019, 48, 462–466. [Google Scholar] [CrossRef] [PubMed]
- Kappel, C.; Seely, J.; Watters, J.; Arnaout, A.; Cordeiro, E. A Survey of Canadian Breast Health Professionals’ Recommendations for High-Risk Benign Breast Disease. Can. J. Surg. 2019, 62, 358–360. [Google Scholar] [CrossRef]
- Consensus Guideline on Concordance Assessment of Image-Guided Breast Biopsies and Management of Borderline or High-Risk Lesions. Available online: https://www.breastsurgeons.org/docs/statements/Consensus-Guideline-on-Concordance-Assessment-of-Image-Guided-Breast-Biopsies.pdf (accessed on 10 July 2022).
- Rageth, C.J.; O’Flynn, E.A.M.; Pinker, K.; Kubik-Huch, R.A.; Mundinger, A.; Decker, T.; Tausch, C.; Dammann, F.; Baltzer, P.A.; Fallenberg, E.M.; et al. Second International Consensus Conference on Lesions of Uncertain Malignant Potential in the Breast (B3 Lesions). Breast Cancer Res. Treat. 2019, 174, 279–296. [Google Scholar] [CrossRef]
- Pinder, S.E.; Shaaban, A.; Deb, R.; Desai, A.; Gandhi, A.; Lee, A.H.S.; Pain, S.; Wilkinson, L.; Sharma, N. NHS Breast Screening Multidisciplinary Working Group Guidelines for the Diagnosis and Management of Breast Lesions of Uncertain Malignant Potential on Core Biopsy (B3 Lesions). Clin. Radiol. 2018, 73, 682–692. [Google Scholar] [CrossRef]




Publisher’s Note: MDPI stays neutral with regard to jurisdictional claims in published maps and institutional affiliations. |
© 2022 by the authors. Licensee MDPI, Basel, Switzerland. This article is an open access article distributed under the terms and conditions of the Creative Commons Attribution (CC BY) license (https://creativecommons.org/licenses/by/4.0/).
Share and Cite
Strickland, S.; Turashvili, G. Are Columnar Cell Lesions the Earliest Non-Obligate Precursor in the Low-Grade Breast Neoplasia Pathway? Curr. Oncol. 2022, 29, 5664-5681. https://doi.org/10.3390/curroncol29080447
Strickland S, Turashvili G. Are Columnar Cell Lesions the Earliest Non-Obligate Precursor in the Low-Grade Breast Neoplasia Pathway? Current Oncology. 2022; 29(8):5664-5681. https://doi.org/10.3390/curroncol29080447
Chicago/Turabian StyleStrickland, Sarah, and Gulisa Turashvili. 2022. "Are Columnar Cell Lesions the Earliest Non-Obligate Precursor in the Low-Grade Breast Neoplasia Pathway?" Current Oncology 29, no. 8: 5664-5681. https://doi.org/10.3390/curroncol29080447
APA StyleStrickland, S., & Turashvili, G. (2022). Are Columnar Cell Lesions the Earliest Non-Obligate Precursor in the Low-Grade Breast Neoplasia Pathway? Current Oncology, 29(8), 5664-5681. https://doi.org/10.3390/curroncol29080447
