Multidisciplinary Treatment of Liver Metastases from Intracranial SFTs/HPCs: A Report of Three Consecutive Cases
Abstract
1. Introduction
2. Materials and Methods
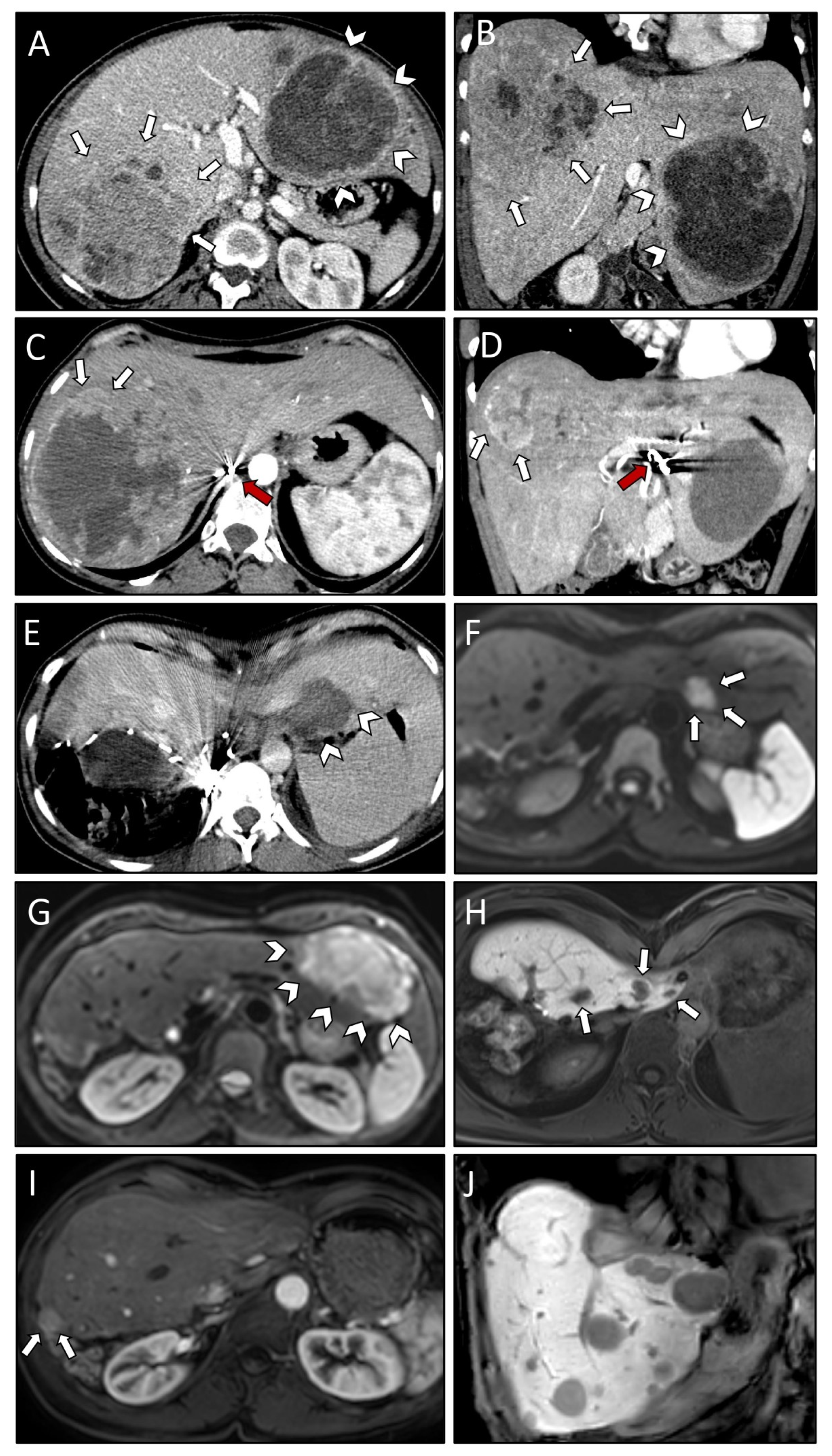
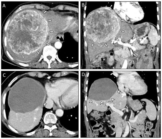
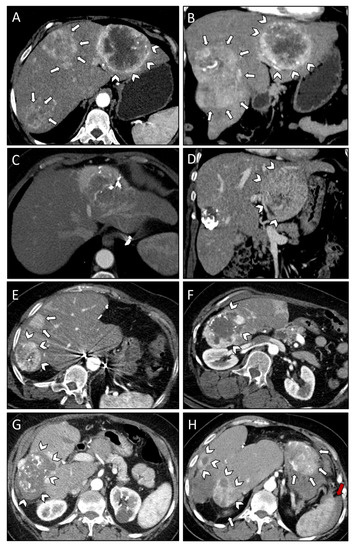
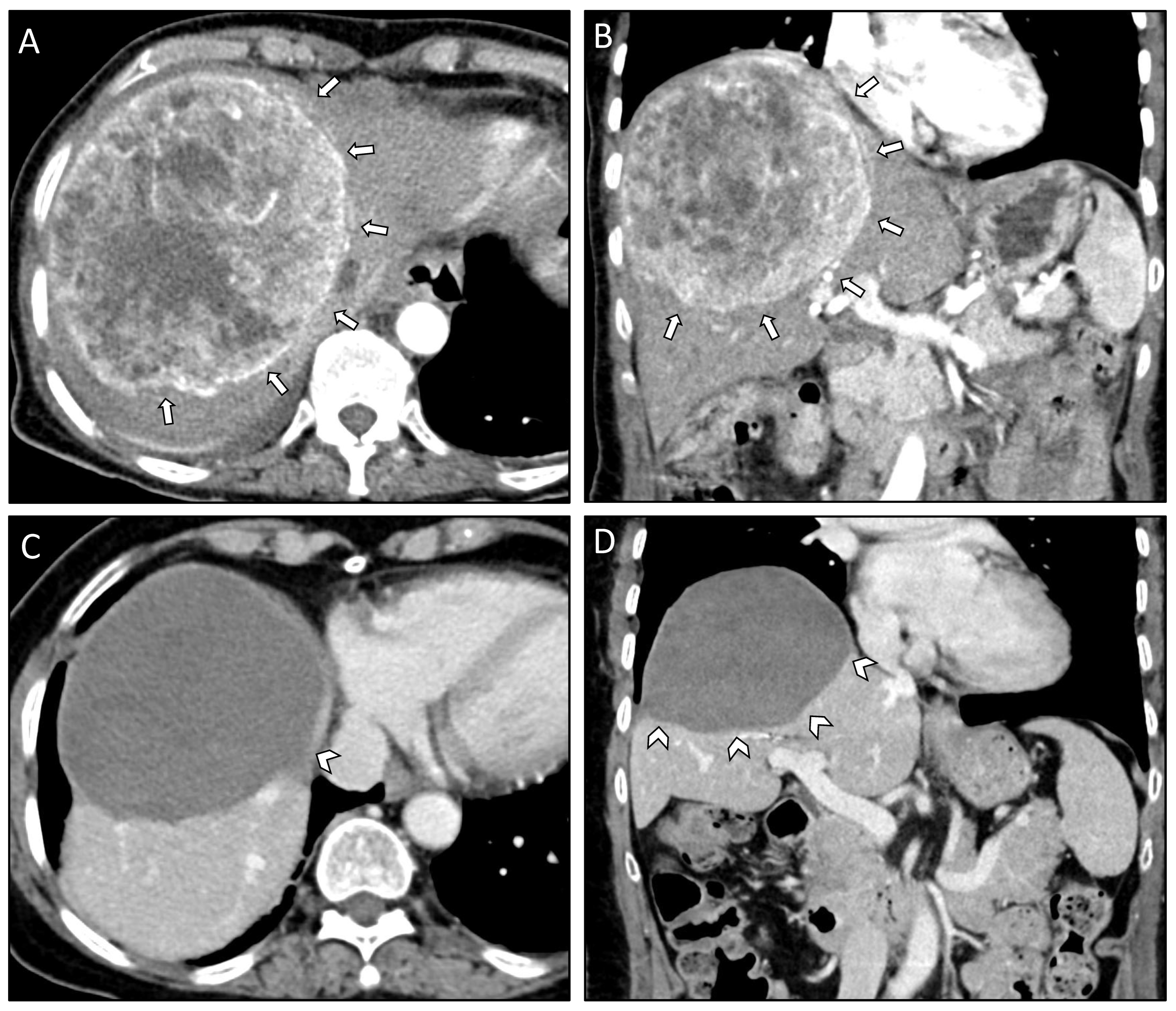
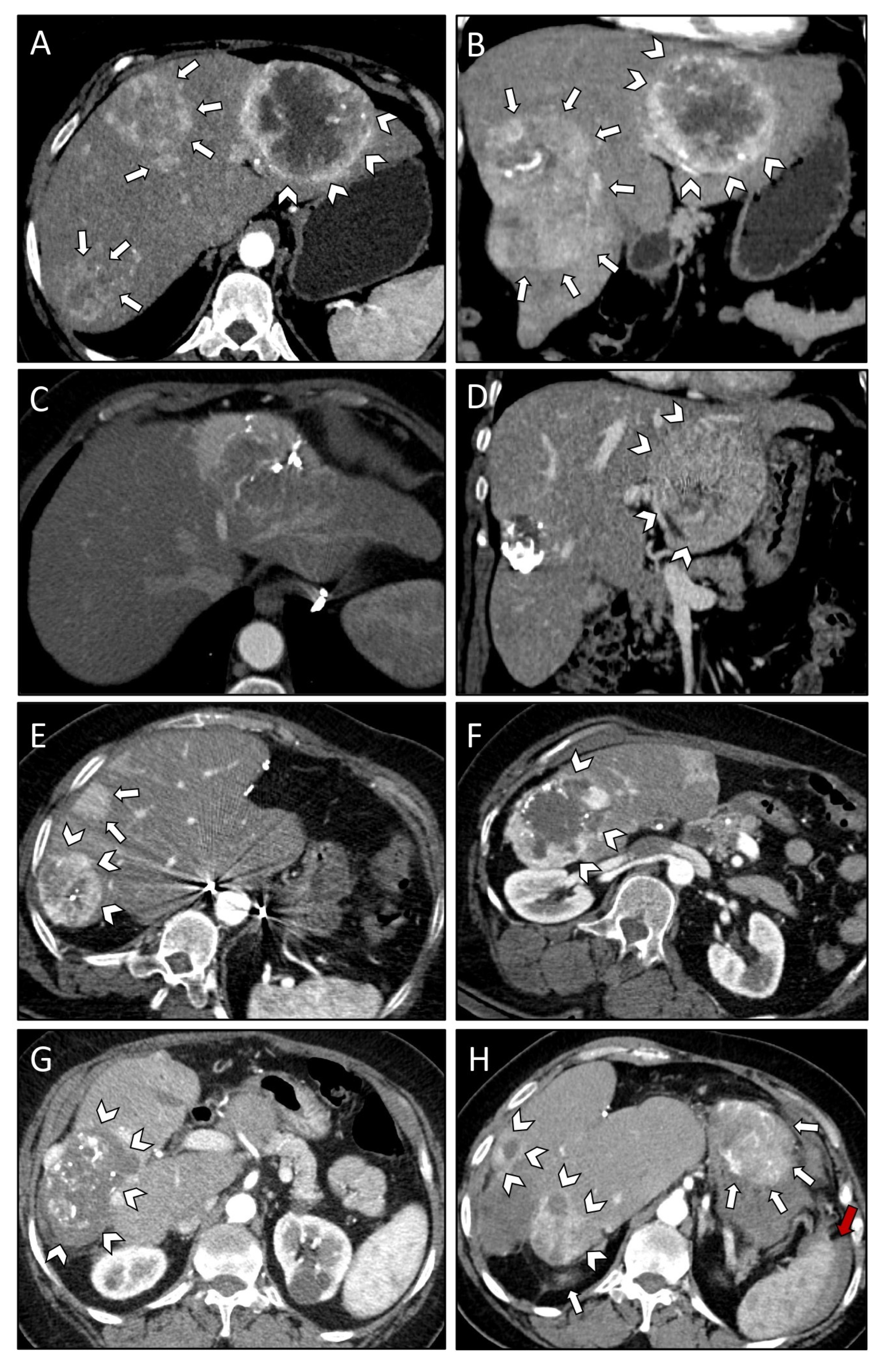
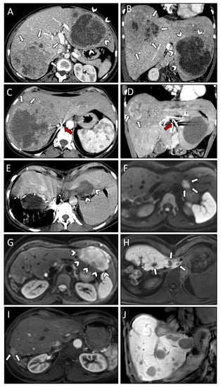
3. Results
4. Discussion
5. Conclusions
Author Contributions
Funding
Institutional Review Board Statement
Informed Consent Statement
Data Availability Statement
Conflicts of Interest
References
- Ratneswaren, T.; Hogg, F.R.A.; Gallagher, M.J.; Ashkan, K. Surveillance for metastatic hemangiopericytoma-solitary fibrous tumors-systematic literature review on incidence, predictors and diagnosis of extra-cranial disease. J. Neurooncol. 2018, 138, 447–467. [Google Scholar] [CrossRef] [PubMed]
- Han, Y.; Zhang, Q.; Yu, X.; Han, X.; Wang, H.; Xu, Y.; Qiu, X.; Jin, F. Immunohistochemical detection of STAT6, CD34, CD99 and BCL-2 for diagnosing solitary fibrous tumors/hemangiopericytomas. Int. J. Clin. Exp. Pathol. 2015, 8, 13166–13175. [Google Scholar] [PubMed]
- Bouvier, C.; Métellus, P.; de Paula, A.M.; Vasiljevic, A.; Jouvet, A.; Guyotat, J.; Mokhtari, K.; Varlet, P.; Dufour, H.; Figarella-Branger, D. Solitary fibrous tumors and hemangiopericytomas of the meninges: Overlapping pathological features and common prognostic factors suggest the same spectrum of tumors. Brain Pathol. (Zur. Switz.) 2012, 22, 511–521. [Google Scholar] [CrossRef] [PubMed]
- Tihan, T.; Viglione, M.; Rosenblum, M.K.; Olivi, A.; Burger, P.C. Solitary fibrous tumors in the central nervous system. A clinicopathologic review of 18 cases and comparison to meningeal hemangiopericytomas. Arch. Pathol. Lab. Med. 2003, 127, 432–439. [Google Scholar] [CrossRef]
- Hayashi, Y.; Uchiyama, N.; Nakada, M.; Iwato, M.; Kita, D.; Higashi, R.; Hirota, Y.; Kai, Y.; Kuratsu, J.; Hamada, J. A reevaluation of the primary diagnosis of hemangiopericytoma and the clinical importance of differential diagnosis from solitary fibrous tumor of the central nervous system. Clin. Neurol. Neurosurg. 2009, 111, 34–38. [Google Scholar] [CrossRef]
- Chmielecki, J.; Crago, A.M.; Rosenberg, M.; O’Connor, R.; Walker, S.R.; Ambrogio, L.; Auclair, D.; McKenna, A.; Heinrich, M.C.; Frank, D.A.; et al. Whole-exome sequencing identifies a recurrent NAB2-STAT6 fusion in solitary fibrous tumors. Nat. Genet. 2013, 45, 131–132. [Google Scholar] [CrossRef]
- Louis, D.N.; Perry, A.; Reifenberger, G.; von Deimling, A.; Figarella-Branger, D.; Cavenee, W.K.; Ohgaki, H.; Wiestler, O.D.; Kleihues, P.; Ellison, D.W. The 2016 World Health Organization Classification of Tumors of the Central Nervous System: A summary. Acta Neuropathol. 2016, 131, 803–820. [Google Scholar] [CrossRef]
- Dey, B.; Gochhait, D.; Kaushal, G.; Barwad, A.; Pottakkat, B. Solitary Fibrous Tumor of the Liver: A Rare Tumor in a Rarer Location. Rare Tumors 2016, 8, 137–138. [Google Scholar] [CrossRef]
- Fritchie, K.J.; Jin, L.; Rubin, B.P.; Burger, P.C.; Jenkins, S.M.; Barthelmeß, S.; Moskalev, E.A.; Haller, F.; Oliveira, A.M.; Giannini, C. NAB2-STAT6 Gene Fusion in Meningeal Hemangiopericytoma and Solitary Fibrous Tumor. J. Neuropathol. Exp. Neurol. 2016, 75, 263–271. [Google Scholar] [CrossRef]
- Sung, K.S.; Moon, J.H.; Kim, E.H.; Kang, S.G.; Kim, S.H.; Suh, C.O.; Lee, K.S.; Chang, W.S.; Chang, J.H. Solitary fibrous tumor/hemangiopericytoma: Treatment results based on the 2016 WHO classification. J. Neurosurg. 2018, 130, 418–425. [Google Scholar] [CrossRef]
- Robinson, D.R.; Wu, Y.M.; Kalyana-Sundaram, S.; Cao, X.; Lonigro, R.J.; Sung, Y.S.; Chen, C.L.; Zhang, L.; Wang, R.; Su, F.; et al. Identification of recurrent NAB2-STAT6 gene fusions in solitary fibrous tumor by integrative sequencing. Nat. Genet. 2013, 45, 180–185. [Google Scholar] [CrossRef] [PubMed]
- Macagno, N.; Figarella-Branger, D.; Mokthari, K.; Metellus, P.; Jouvet, A.; Vasiljevic, A.; Loundou, A.; Bouvier, C. Differential Diagnosis of Meningeal SFT-HPC and Meningioma: Which Immunohistochemical Markers Should Be Used? Am. J. Surg. Pathol. 2016, 40, 270–278. [Google Scholar] [CrossRef] [PubMed]
- Rutkowski, M.J.; Jian, B.J.; Bloch, O.; Chen, C.; Sughrue, M.E.; Tihan, T.; Barani, I.J.; Berger, M.S.; McDermott, M.W.; Parsa, A.T. Intracranial hemangiopericytoma: Clinical experience and treatment considerations in a modern series of 40 adult patients. Cancer 2012, 118, 1628–1636. [Google Scholar] [CrossRef] [PubMed]
- Vuorinen, V.; Sallinen, P.; Haapasalo, H.; Visakorpi, T.; Kallio, M.; Jääskeläinen, J. Outcome of 31 intracranial haemangiopericytomas: Poor predictive value of cell proliferation indices. Acta Neurochir. (Wien) 1996, 138, 1399–1408. [Google Scholar] [CrossRef] [PubMed]
- Mena, H.; Ribas, J.L.; Pezeshkpour, G.H.; Cowan, D.N.; Parisi, J.E. Hemangiopericytoma of the central nervous system: A review of 94 cases. Hum. Pathol. 1991, 22, 84–91. [Google Scholar] [CrossRef]
- Fountas, K.N.; Kapsalaki, E.; Kassam, M.; Feltes, C.H.; Dimopoulos, V.G.; Robinson, J.S.; Smith, J.R. Management of intracranial meningeal hemangiopericytomas: Outcome and experience. Neurosurg. Rev. 2006, 29, 145–153. [Google Scholar] [CrossRef]
- Reddy, S.; Plitt, A.; Raisanen, J.; Patel, A.R.; Gopal, P.; Timmerman, R.; Patel, T.R. Intracranial anaplastic hemangiopericytoma presenting with simultaneous extra-cranial metastases: A case report and review of the literature. Surg. Neurol. Int. 2019, 10, 148. [Google Scholar] [CrossRef]
- Hasimu, A.; Fu, Q.; Wang, H.; Zhou, Q.J.; Li, S.S.; Geng, D.J.; Liu, C.; Liu, B. Hepatic metastasis from a meningeal hemangiopericytoma: A case report. Medicine (Baltimore) 2020, 99, e21605. [Google Scholar] [CrossRef]
- Agha, R.A.; Borrelli, M.R.; Farwana, R.; Koshy, K.; Fowler, A.J.; Orgill, D.P.; Zhu, H.; Alsawadi, A.; Noureldin, A.; Rao, A.; et al. The PROCESS 2018 statement: Updating Consensus Preferred Reporting Of CasE Series in Surgery (PROCESS) guidelines. Int. J. Surg. 2018, 60, 279–282. [Google Scholar] [CrossRef]
- Bale, R.; Widmann, G.; Stoffner, D.I.R. Stereotaxy: Breaking the limits of current radiofrequency ablation techniques. Eur. J. Radiol. 2010, 75, 32–36. [Google Scholar] [CrossRef]
- Bale, R.; Schullian, P.; Eberle, G.; Putzer, D.; Zoller, H.; Schneeberger, S.; Manzl, C.; Moser, P.; Oberhuber, G. Stereotactic Radiofrequency Ablation of Hepatocellular Carcinoma: A Histopathological Study in Explanted Livers. Hepatology 2019, 70, 840–850. [Google Scholar] [CrossRef] [PubMed]
- Makary, M.S.; Khandpur, U.; Cloyd, J.M.; Mumtaz, K.; Dowell, J.D. Locoregional Therapy Approaches for Hepatocellular Carcinoma: Recent Advances and Management Strategies. Cancers 2020, 12, 1914. [Google Scholar] [CrossRef] [PubMed]
- Schullian, P.; Laimer, G.; Putzer, D.; Effenberger, M.; Bale, R. Stereotactic radiofrequency ablation of primary liver tumors in the caudate lobe. HPB (Oxford) 2020, 22, 470–478. [Google Scholar] [CrossRef] [PubMed]
- Ecker, R.D.; Marsh, W.R.; Pollock, B.E.; Kurtkaya-Yapicier, O.; McClelland, R.; Scheithauer, B.W.; Buckner, J.C. Hemangiopericytoma in the central nervous system: Treatment, pathological features, and long-term follow up in 38 patients. J. Neurosurg. 2003, 98, 1182–1187. [Google Scholar] [CrossRef]
- Giordan, E.; Marton, E.; Wennberg, A.M.; Guerriero, A.; Canova, G. A review of solitary fibrous tumor/hemangiopericytoma tumor and a comparison of risk factors for recurrence, metastases, and death among patients with spinal and intracranial tumors. Neurosurg. Rev. 2021, 44, 1299–1312. [Google Scholar] [CrossRef]
- Peters, K.B.; McLendon, R.; Morse, M.A.; Vredenburgh, J.J. Treatment of Recurrent Intracranial Hemangiopericytoma with SRC-Related Tyrosine Kinase Targeted Therapy: A Case Report. Case Rep. Oncol. 2010, 3, 93–97. [Google Scholar] [CrossRef] [PubMed]
- Folpe, A.L.; Fanburg-Smith, J.C.; Billings, S.D.; Bisceglia, M.; Bertoni, F.; Cho, J.Y.; Econs, M.J.; Inwards, C.Y.; Jan de Beur, S.M.; Mentzel, T.; et al. Most osteomalacia-associated mesenchymal tumors are a single histopathologic entity: An analysis of 32 cases and a comprehensive review of the literature. Am. J. Surg. Pathol. 2004, 28, 1–30. [Google Scholar] [CrossRef]
- Chan, J.K.; Cheuk, W.; Ho, L.C.; Wen, J.M. Recurrent meningeal hemangiopericytoma with multiple metastasis and hypoglycemia: A case report. Case Rep. Med. 2012, 2012, 628756. [Google Scholar] [CrossRef]
- Nussbaum, L.A.; Walton, R.M.; Nussbaum, E.S. Non-islet cell tumor-induced hypoglycemia in the setting of metastatic intracranial hemangiopericytoma: Case report and review of the literature. Br. J. Neurosurg. 2019, 1–3. [Google Scholar] [CrossRef]
- Maeda, M.; Fukuda, T.; Miyake, M.; Takahashi, H.; Ikegami, M. Extracranial metastatic solitary fibrous tumor/hemangiopericytoma expressing G-CSF and its receptor. Neuropathology 2021, 41, 288–292. [Google Scholar] [CrossRef]
- Sohda, T.; Yun, K. Insulin-like growth factor II expression in primary meningeal hemangiopericytoma and its metastasis to the liver accompanied by hypoglycemia. Hum. Pathol. 1996, 27, 858–861. [Google Scholar] [CrossRef]
- Zafar, H.; Takimoto, C.H.; Weiss, G. Doege-Potter syndrome. Med. Oncol. 2003, 20, 403–407. [Google Scholar] [CrossRef]
- Chamberlain, M.H.; Taggart, D.P. Solitary fibrous tumor associated with hypoglycemia: An example of the Doege-Potter syndrome. J. Thorac. Cardiovasc. Surg. 2000, 119, 185–187. [Google Scholar] [CrossRef]
- Adams, J.; Lodge, J.P.; Parker, D. Liver transplantation for metastatic hemangiopericytoma associated with hypoglycemia. Transplantation 1999, 67, 488–489. [Google Scholar] [CrossRef]
- Doege, K.W. Fibro-sarcoma of the mediastinum. Ann. Surg. 1930, 92, 955–960. [Google Scholar]
- Potter, R.P. Intrathoracic Tumors. Radiology 1930, 14, 60–61. [Google Scholar] [CrossRef]
- Anaforoğlu, İ.; Şimşek, A.; Turan, T.; Algün, E. Hemangiopericytoma-associated hypoglycemia improved by glucocorticoid therapy: A case report. Endocrine 2009, 36, 151–154. [Google Scholar] [CrossRef]
- Grunenberger, F.; Bachellier, P.; Chenard, M.P.; Massard, G.; Caraman, P.L.; Perrin, E.; Zapf, J.; Jaeck, D.; Schlienger, J.L. Hepatic and pulmonary metastases from a meningeal hemangiopericytoma and severe hypoglycemia due to abnormal secretion of insulin-like growth factor: A case report. Cancer 1999, 85, 2245–2248. [Google Scholar] [CrossRef]
- Goldner, W. Cancer-Related Hypercalcemia. J. Oncol. Pract. 2016, 12, 426–432. [Google Scholar] [CrossRef]
- Pelosof, L.C.; Gerber, D.E. Paraneoplastic syndromes: An approach to diagnosis and treatment. Mayo Clin. Proc. 2010, 85, 838–854. [Google Scholar] [CrossRef]
- Zagzag, J.; Hu, M.I.; Fisher, S.B.; Perrier, N.D. Hypercalcemia and cancer: Differential diagnosis and treatment. CA Cancer J. Clin. 2018, 68, 377–386. [Google Scholar] [CrossRef] [PubMed]
- Nakada, S.; Minato, H.; Takegami, T.; Kurose, N.; Ikeda, H.; Kobayashi, M.; Sasagawa, Y.; Akai, T.; Kato, T.; Yamamoto, N.; et al. NAB2-STAT6 fusion gene analysis in two cases of meningeal solitary fibrous tumor/hemangiopericytoma with late distant metastases. Brain Tumor Pathol. 2015, 32, 268–274. [Google Scholar] [CrossRef] [PubMed]
- Damodaran, O.; Robbins, P.; Knuckey, N.; Bynevelt, M.; Wong, G.; Lee, G. Primary intracranial haemangiopericytoma: Comparison of survival outcomes and metastatic potential in WHO grade II and III variants. J. Clin. Neurosci. 2014, 21, 1310–1314. [Google Scholar] [CrossRef] [PubMed]
- Meredith, J.; Belter, L. Malignant Meningioma: Case Report of a Parasagittal Meningioma of the Right Cerebral Hemisphere with Multiple Extracranial Metastases to the Vertebrae, Sacrum, Ribs, Clavicle, Lungs, Liver, Left Kidney, Mediastinum and Pancreas. South. Med. J. 1959, 52, 1035–1040. [Google Scholar] [CrossRef]
- Hukill, P.B.; Lowman, R.M. Visceral metastasis from a meningioma: Report of a case. Ann. Surg. 1960, 152, 804–808. [Google Scholar] [CrossRef]
- Petito, C.K.; Porro, R.S. Angioblastic meningioma with hepatic metastasis. J. Neurol. Neurosurg. Psychiatry 1971, 34, 541–545. [Google Scholar] [CrossRef][Green Version]
- Jestico, J.V.; Lantos, P.L. Malignant meningioma with liver metastases and hypoglycaemia. A case report. Acta Neuropathol. 1976, 35, 357–361. [Google Scholar]
- Itoh, Y.; Kowada, M.; Sakamoto, T.; Kojima, H. Electron microscopic study of metastatic hemangiopericytic meningioma. No Shinkei Geka 1984, 12, 1187–1193. [Google Scholar]
- Yoshida, T.; Matsumoto, S.; Menjo, H.; Takahashi, A.; Yamamoto, M.; Yamanaka, H.; Hasegawa, T.; Oguri, T.; Sugawara, Y.; Nagamatsu, K.; et al. A case of hemangiopericytoma associated with hypoglycemia. Nihon Naika Gakkai Zasshi 1988, 77, 674–679. [Google Scholar] [CrossRef][Green Version]
- Chakravarty, B.J.; Munn, S.; Lane, M.R. Hepatic metastasis from a meningeal haemangiopericytoma. Aust. N. Z. J. Med. 1991, 21, 884–885. [Google Scholar] [CrossRef]
- Kaneko, T.; Harada, A.; Isshiki, K.; Murakami, H.; Nakao, A.; Nonami, T.; Yano, M.; Kakumu, S.; Takagi, H. Hemangiopericytomatous meningioma metastasized to the liver: Report of a case and review of the literature. Surg. Today 1993, 23, 644–648. [Google Scholar] [CrossRef] [PubMed]
- Niwa, M.; Kobayashi, T.; Kuchiwaki, H.; Furuse, M. A case of hemangiopericytoma with multiple extracranial metastasis: A case report. No Shinkei Geka 1998, 26, 241–245. [Google Scholar] [PubMed]
- Someya, M.; Sakata, K.-i.; Oouchi, A.; Nagakura, H.; Satoh, M.; Hareyama, M. Four Cases of Meningeal Hemangiopericytoma Treated with Surgery and Radiotherapy. Jpn. J. Clin. Oncol. 2001, 31, 548–552. [Google Scholar] [CrossRef] [PubMed]
- Spatola, C.; Privitera, G. Recurrent intracranial hemangiopericytoma with extracranial and unusual multiple metastases: Case report and review of the literature. Tumori 2004, 90, 265–268. [Google Scholar] [CrossRef] [PubMed]
- Kim, K.A.; Gonzalez, I.; McComb, J.G.; Giannotta, S.L. Unusual Presentations of Cerebral Solitary Fibrous Tumors: Report of Four Cases. Neurosurgery 2004, 54, 1004–1009. [Google Scholar] [CrossRef] [PubMed]
- Chang, C.C.; Chang, Y.Y.; Lui, C.C.; Huang, C.C.; Liu, J.S. Meningeal hemangiopericytoma with delayed multiple distant metastases. J. Chin. Med. Assoc. 2004, 67, 527–532. [Google Scholar] [PubMed]
- Miyamoto, S.; Matsuda, W.; Tsunoda, T.; Sasaki, M.; Itabashi, M. Multiple extracranial metastases from a meningeal hemangiopericytoma and severe hypoglycemia: A case report. No Shinkei Geka 2004, 32, 367–372. [Google Scholar]
- Iwamuro, M.; Nakamura, S.; Shiraha, H.; Kobayashi, Y.; Fukatsu, H.; Yamamoto, K. A case of primary intracranial hemangiopericytoma with hepatic metastases: Successful treatment with radiofrequency ablation and transcatheter arterial chemoembolization. Clin. J. Gastroenterol. 2009, 2, 30–35. [Google Scholar] [CrossRef]
- Chan, W.S.W.; Zhang, J.; Khong, P.L. 18F-FDG-PET-CT imaging findings of recurrent intracranial haemangiopericytoma with distant metastases. Br. J. Radiol. 2010, 83, e172–e174. [Google Scholar] [CrossRef]
- Lee, S.J.; Kim, S.T.; Park, S.H.; Choi, Y.L.; Park, J.B.; Kim, S.-J.; Lee, J. Successful use of pazopanib for treatment of refractory metastatic hemangiopericytoma. Clin. Sarcoma Res. 2014, 4, 13. [Google Scholar] [CrossRef]
- De Martin, E.; Coilly, A.; Guettier, C.; Samuel, D. Liver metastases from meningeal hemangiopericytoma. Liver Int. 2015, 35, 2337. [Google Scholar] [CrossRef] [PubMed]
- Nickerson, T.P.; Fahy, A.S.; Bingener, J. Laparoscopic resection of intra-abdominal metastasis from intracranial hemangiopericytoma. Int. J. Surg. Case Rep. 2015, 15, 50–53. [Google Scholar] [CrossRef] [PubMed]
- Manatakis, D.K.; Delis, S.G.; Ptohis, N.; Korkolopoulou, P.; Dervenis, C. Multidisciplinary Approach to Hepatic Metastases of Intracranial Hemangiopericytoma: A Case Report and Review of the Literature. Case Rep. Oncol. Med. 2015, 2015, 214306. [Google Scholar] [CrossRef] [PubMed]
- Urata, K.; Ikegami, T.; Nakazawa, Y.; Ohno, Y.; Kobayashi, A.; Mita, A.; Sano, K.; Kurozumi, M.; Miyagawa, S. Living-Donor Liver Transplantation for Hepatic Metastasis From Meningeal Hemangiopericytoma: A Case Report. Transplant. Proc. 2015, 47, 2274–2277. [Google Scholar] [CrossRef]
- Han, N.; Kim, H.; Min, S.K.; Paek, S.-H.; Park, C.-K.; Choi, S.-H.; Chae, U.R.; Park, S.-H. Meningeal Solitary Fibrous Tumors with Delayed Extracranial Metastasis. J. Pathol. Transl. Med. 2016, 50, 113–121. [Google Scholar] [CrossRef]
- Lo, R.C.; Suriawinata, A.A.; Rubin, B.P. Liver metastasis of meningeal hemangiopericytoma: A study of 5 cases. Clin. Mol. Hepatol. 2016, 22, 188–191. [Google Scholar] [CrossRef]
- Patro, K.C.; Palla, M.; Kashyap, R. Unusual Case of Metastatic Intracranial Hemangiopericytoma and Emphasis on Role of 68Ga-PSMA PET in Imaging. Clin. Nucl. Med. 2018, 43, e331–e333. [Google Scholar] [CrossRef]
- Maeda, O.; Ohka, F.; Maesawa, S.; Matsuoka, A.; Shimokata, T.; Mitsuma, A.; Urakawa, H.; Nakamura, S.; Shimoyama, Y.; Nakaguro, M.; et al. Solitary fibrous tumor/hemangiopericytoma treated with temozolomide plus bevacizumab: A report of four cases and literature review. Nagoya J. Med. Sci. 2020, 82, 631–644. [Google Scholar]
- Tree, A.C.; Khoo, V.S.; Eeles, R.A.; Ahmed, M.; Dearnaley, D.P.; Hawkins, M.A.; Huddart, R.A.; Nutting, C.M.; Ostler, P.J.; van As, N.J. Stereotactic body radiotherapy for oligometastases. Lancet Oncol. 2013, 14, e28–e37. [Google Scholar] [CrossRef]
- Mahadevan, A.; Blanck, O.; Lanciano, R.; Peddada, A.; Sundararaman, S.; D’Ambrosio, D.; Sharma, S.; Perry, D.; Kolker, J.; Davis, J. Stereotactic Body Radiotherapy (SBRT) for liver metastasis—Clinical outcomes from the international multi-institutional RSSearch® Patient Registry. Radiat. Oncol. 2018, 13, 26. [Google Scholar] [CrossRef]
- Stacchiotti, S.; Simeone, N.; Lo Vullo, S.; Morosi, C.; Greco, F.G.; Gronchi, A.; Barisella, M.; Collini, P.; Zaffaroni, N.; Dagrada, G.P.; et al. Activity of axitinib in progressive advanced solitary fibrous tumour: Results from an exploratory, investigator-driven phase 2 clinical study. Eur. J. Cancer 2019, 106, 225–233. [Google Scholar] [CrossRef] [PubMed]
- Park, M.S.; Patel, S.R.; Ludwig, J.A.; Trent, J.C.; Conrad, C.A.; Lazar, A.J.; Wang, W.L.; Boonsirikamchai, P.; Choi, H.; Wang, X.; et al. Activity of temozolomide and bevacizumab in the treatment of locally advanced, recurrent, and metastatic hemangiopericytoma and malignant solitary fibrous tumor. Cancer 2011, 117, 4939–4947. [Google Scholar] [CrossRef] [PubMed]
- Park, M.S.; Ravi, V.; Araujo, D.M. Inhibiting the VEGF–VEGFR pathway in angiosarcoma, epithelioid hemangioendothelioma, and hemangiopericytoma/solitary fibrous tumor. Curr. Opin. Oncol. 2010, 22, 351–355. [Google Scholar] [CrossRef]
- Stacchiotti, S.; Negri, T.; Palassini, E.; Conca, E.; Gronchi, A.; Morosi, C.; Messina, A.; Pastorino, U.; Pierotti, M.A.; Casali, P.G.; et al. Sunitinib malate and figitumumab in solitary fibrous tumor: Patterns and molecular bases of tumor response. Mol. Cancer Ther. 2010, 9, 1286–1297. [Google Scholar] [CrossRef] [PubMed]
- Ebata, T.; Shimoi, T.; Bun, S.; Miyake, M.; Yoshida, A.; Shimomura, A.; Noguchi, E.; Yonemori, K.; Shimizu, C.; Fujiwara, Y.; et al. Efficacy and Safety of Pazopanib for Recurrent or Metastatic Solitary Fibrous Tumor. Oncology 2018, 94, 340–344. [Google Scholar] [CrossRef] [PubMed]
- Martin-Broto, J.; Cruz, J.; Penel, N.; Le Cesne, A.; Hindi, N.; Luna, P.; Moura, D.S.; Bernabeu, D.; de Alava, E.; Lopez-Guerrero, J.A.; et al. Pazopanib for treatment of typical solitary fibrous tumours: A multicentre, single-arm, phase 2 trial. Lancet Oncol. 2020, 21, 456–466. [Google Scholar] [CrossRef]
- Park, Y.S.; Kim, H.S.; Kim, J.H.; Choi, S.H.; Kim, D.S.; Ryoo, Z.Y.; Kim, J.Y.; Lee, S. NAB2-STAT6 fusion protein mediates cell proliferation and oncogenic progression via EGR-1 regulation. Biochem. Biophys. Res. Commun. 2020, 526, 287–292. [Google Scholar] [CrossRef] [PubMed]



| Histologic Features | WHO Grade | Old Definition |
|---|---|---|
| High collagen content, low cellularity | I | SFT |
| Low collagen content, higher cellularity, staghorn vasculature | II | HPC |
| Anaplastic appearance, ≥5 mitosis per 10 HPFs | III | Anaplastic HPC |
| Case Number | #1 | #2 | #3 |
|---|---|---|---|
| Patient age at diagnosis (years) | 67 | 39 | 65 |
| Patient sex | Female | Female | Female |
| Comorbidities/Notes | Parkinson’s disease | Childbed | Depression |
| WHO grade | II | II | II |
| Mitosis/10 HPF | 0 | 2 | 2 |
| Ki-67 index | 5% | 10–15% | 2% |
| Liver metastasis | |||
| Time to occurrence from initial diagnosis (years) | 8 | 8 | 15 |
| Location at initial diagnosis | Right lobe | Bilobar | Bilobar |
| Number at initial diagnosis | 1 | 3 | 3 |
| Size of largest metastasis at initial diagnosis | 13 cm | 12 cm | 13 cm |
| Paraneoplastic syndromes | Hypercalcemia | Hypoglycemia | None |
| Immunohistochemistry | |||
| CD34 | N/A | Positive | Negative |
| CD99 | N/A | Positive | Positive |
| STAT6 | Positive | N/A | N/A |
| Vimentin | N/A | N/A | Positive |
| Case #1 | Treatment | Comments | Liver Segments | Classification | Complications |
| 05.11.2018 | SRFA | 1 lesion, 13 cm, 6 needles, 47 min ablation time | V, VII, VIII | Initial | none |
| 29.11.2018 | SRFA | 1 lesion, 13 cm, 28 needles, 223 min ablation time | VIII | Initial | none |
| 11.12.2018 | SRFA | 1 lesion, 13 cm, 13 needles, 60 min ablation time | V, VII, VIII | Initial | none |
| 28.01.2019 | SRFA | 1 lesion, 13 cm, 15 needles, 43 min ablation time | V, VII, VIII | Initial | none |
| 01.03.2019 | SRFA | 1 lesion, 13 cm, 5 needles, 17 min ablation time | VIII | Local recurrence | none |
| 05.11.2020 | SRFA | 1 lesion, 13 cm, 12 needles, 59 min ablation time | VIII, V | Distant recurrence | none |
| Case #2 | Treatment | Comments | Liver Segments | Classification | Complications |
| 16.06.2015 | TAE | Embozene™ Microspheres (500 μm), Soft Embolization Coils (Boston Scientific), Pushable Fibered and Detachable Non-Fibered Microcoils (Cook Medical) | VII, VIII, II, III | Initial | none |
| 31.07.2015 | TAE | Embozene™ Microspheres (2 × 100 μm, 4 × 250 μm, 1 × 750 μm) | VII, VIII | Initial | Infection of necrotic liver tissue (CD II) |
| 22.09.2015 | TAE | Embozene™ Microspheres (4 × 100 μm, 2 × 250 μm, 2 × 400 μm) | V, VIII | Initial | Infection of necrotic liver tissue (CD II) |
| 01.12.2015 | Surgery | Right hemihepatectomy | V-VIII | Local recurrence | none |
| 15.02.2016 | SRFA + liver packing | 3 lesions, 3 cm max. diameter, 6 needles, 17 min ablation time | II | New lesions | none |
| 10.11.2016 | Surgery | 2 lesions, Resection S II + III, 6 h 47 min | II, III | Local recurrence | none |
| 16.03.2017 | SRFA | 1 lesion, 2 cm max. diameter, 3 needles, 6 min ablation time | IVa | New lesion | none |
| 11.08.2017 | SRFA | 3 lesions, 0.8 cm max. diameter, 5 needles, 12 min ablation time | IVa | New lesions | none |
| 01.02.2018 | SRFA | 2 lesions, 1 cm max. diameter, 2 needles, 8 min ablation time | IVb | New lesions | none |
| 11.19–01.20 | Systemic therapy | Axitinib | New lesions, local recurrence | Progressive disease under therapy axitinib (new intracranial tumor 01/20) | |
| 09.06.2020 | Systemic therapy | Temozolomide, bevacizumab | New lesions | Progressive disease under therapy | |
| Case #3 | Treatment | Comments | Liver Segments | Classification | Complications |
| 05.05.2014 | TAE | Contour™ PVA Embolization Particles (255–500 μm), Pushable Fibered Microcoils (Cook Medical), Soft Embolization Coils (Boston Scientific), MicroPlex® Coil System (MicroVention, Inc.) | IVa, IVb, V, VI, VII | Initial | Postembolization syndrome (CD I) |
| 24.06.2014 | TAE | Contour™ PVA Embolization Particles (150–500 μm) | II, III | Initial | Postembolization syndrome (CD I) |
| 22.07.2014 | TAE | Contour™ PVA Embolization Particles (250–350 μm) | IVa, IVb, V, VI, VII | Initial | none |
| 10.11.2014 | TAE | Embozene™ Microspheres (2 × 100 μm) | IVa, IVb, V, VI, VII | Initial | none |
| 08.04.2015 | TAE | Embozene™ Microspheres (1 × 100 μm, 1 × 250 μm, 1 × 400 μm, 1 × 500 μm) | II, III | Initial | none |
| 06.05.2015 | TAE | Embozene™ Microspheres (1 × 100 μm, 1 × 200 μm) | IVa, IVb, V, VI, VII | Initial | none |
| 26.08.2015 | Surgery | Resection of left lateral segments | II + III | Initial | Bilioma (CD I) |
| 08.07.2016 | TAE | Embozene™ Microspheres (2 × 100 μm, 1 × 250 μm) | IVa, IVb, V, VI, VII | Local recurrence | none |
| 21.11.2016 | SRFA | 3 lesions, 5.1 cm max. diameter, 8 needles, 63 min ablation time | IVa, VII, VIII | Local recurrence | none |
| 07.12.2016 | SRFA | 2 lesions, 2.3 cm max. diameter, 4 needles, 59 min ablation time | IVa, VIII; | Local recurrence, new lesion | none |
| 26.01.2017 | SRFA | 2 lesions, 8 cm max. diameter, 9 needles, 74 min ablation time | VI | Local recurrence | Right pleural effusion, pigtail catheter (CD IIIa) |
| 23.03.2017 | SRFA | 2 lesions, 8 cm max. diameter, 20 needles, 104 min ablation time | V, VI | Local recurrence | none |
| 30.10.2017 | SRFA | 8 lesions, 2 cm max. diameter, 9 needles, 32 min ablation time | V, VI | Local recurrence, new lesion | none |
| 04.04.2018 | SRFA | 4 lesions, 2 cm max. diameter, 10 needles, 36 min ablation time | V, VI, VII, VIII | Local recurrence, new lesion | none |
| 05.19–08.19 | Systemic therapy | Pazopanib | Distant recurrence | Leukocytopenia, Infection, Sepsis CTCAE III |
| Case | #1 | #2 | #3 |
|---|---|---|---|
| Treatment | |||
| Surgery | No | Yes | Yes |
| TAE | No | Yes | Yes |
| SRFA | Yes | Yes | Yes |
| Systemic therapy | No | Yes | Yes |
| Highest CD complication | 0 | II | IIIa |
| CCI (points) | 0 | 29.6 | 30.2 |
| Adverse events | Sepsis | ||
| Patient status | AWD | AWD | DOD |
| Follow-up (months) | 39 | 73 | 89 |
| Time to recurrence | 19 ½ months | 3 ½ months | 9 ½ months |
| Number | Year of Publication | Author | Age #/Sex | Time to Metastasis (Years) | Other Sites of Metastatic Disease | Treatment (for Liver Metastases) | Outcome (Follow-Up in Months) * |
|---|---|---|---|---|---|---|---|
| 1 | 1959 | Meredith [44] | 44/F | 13 | Bone, Kidney, Pancreas, Mediastinum, Lung | None | DOD (N/A) |
| 2 | 1960 | Hukill and Lowman [45] | 43/F | 11 | None | Surgical resection | DOD (2) |
| 3 | 1971 | Petito and Porro [46] | 76/F | 11 | None | N/A (autopsy finding) | Died due to duodenal perforation following brain surgery |
| 4 | 1976 | Jestico et al. [47] | 47/M | 6 | Kidney, Pancreas, Lymph nodes | N/A | N/A |
| 5 | 1984 | Itoh et al. [48] | 49/M | 6 | Bone | N/A | N/A |
| 6 | 1988 | Yoshida et al. [49] | 33/M | 6 | None | Surgical resection | AWD (31) |
| 7 | 1991 | Chakravarty et al. [50] | 41/F | 6 | None | Surgical resection | NED (7) |
| 8 | 1993 | Kaneko et al. [51] | 54/M | 19 | None | Surgical resection | NED (9) |
| 9 | 1996 | Sohda et al. [31] | 64/F | 20 | None | TAE | Died due to massive liver hemorrhage following TACE |
| 10 | 1998 | Niwa et al. [52] | 55/M | 13 | Lung, Bone, Pancreas | Surgical resection, Radiotherapy | AWD (84) |
| 11 | 1999 | Grunenberger et al. [38] | 42/F | 12 | Lung, Bone | Chemotherapy, TACE, Surgical resection | NED (31) |
| 12 | 2001 | Someya et al. [53] | 56/F | 14 | Bone, Lung | None | DOD (6) |
| 13 | 2004 | Spatola and Privitera [54] | 48/F | 10 | Kidney, Breast | Surgical resection, Chemotherapy | DOD (27) |
| 14 | 2004 | Kim et al. [55] | 62/M | 7 | Bone, Lung | None | AWD (24) |
| 15 | 2004 | Chang et al. [56] | 48/F | 5 | Bone, Lung, Kidney | N/A | N/A |
| 16 | 2004 | Miyamoto et al. [57] | 61/F | N/A | Bone | N/A | N/A |
| 17 | 2009 | Iwamuro et al. [58] | 54/F | 10 | Bone | RFA, TACE | NED (60) |
| 18 | 2010 | Chan et al. [59] | 49/F | 7 | Lung | Chemotherapy | N/A |
| 19 | 2012 | Chan et al. [28] | 50/M | 7 | Kidney, Bone, Abdominal cavity, | Chemotherapy | AWD (N/A) |
| 20 | 2014 | Lee et al. [60] | 60/M | 8 | Pancreas, Lung, Bone | Surgical resection, RFA, Chemotherapy | AWD (~24) |
| 21 | 2015 | De Martin et al. [61] | 48/F | 4 | Bone | Liver transplant | NED (60) |
| 22 | 2015 | Nickerson et al. [62] | 65/M | 25 | Abdominal cavity, Bone | Chemotherapy | AWD (~36) |
| 23 | 2015 | Manatakis et al. [63] | 35/M | 12 | Bone | Surgical resection, RFA, TAE | AWD (12) |
| 24 | 2015 | Urata et al. [64] | 58/M | 16 | Bone, Lung, Soft tissue | TACE, LDLT | DOD (65) |
| 25 | 2016 | Han et al. [65] | 42/F | 18 | None | N/A | AWD (N/A) |
| 26 | 2016 | Han et al. [65] | 36/M | 6 | Lung, Bone, Spinal cord | N/A | DOD (N/A) |
| 27 | 2016 | Han et al. [65] | 53/F | 10 | Breast, Lung | N/A | AWD (N/A) |
| 28 | 2016 | Lo et al. [66] | 35/M | 5 | N/A | Chemotherapy | AWD (34) |
| 29 | 2016 | Lo et al. [66] | 51/F | 19 | N/A | Surgical resection | NED (26) |
| 30 | 2016 | Lo et al. [66] | 60/M | 16 | N/A | Surgical resection | NED (39) |
| 31 | 2016 | Lo et al. [66] | 31/F | 7 | N/A | Surgical resection, RFA | AWD (36) |
| 32 | 2016 | Lo et al. [66] | 48/M | 12 | N/A | RFA | DOD (36) |
| 33 | 2018 | Patro et al. [67] | 53/F | N/A | Bone | Chemotherapy | N/A |
| 34 | 2019 | Reddy et al. [17] | 74/M | 0 | None | SBRT, Chemotherapy | AWD (18) |
| 35 | 2020 | Hasimu et al. [18] | 62/F | 6 | None | Surgical resection | NED (6) |
| 36 | 2020 | Maeda et al. [68] | 52/F | 13 | Lung | Surgical resection, Systemic therapy | DOD (59) |
| 37 | 2021 | Maeda et al. [30] | 49/M | 10 | Lung, Kidney, Adrenal gland, Abdominal Cavity | N/A | DOD (0) |
| 38 | 2022 | Krendl et al. | 67/F | 8 | Abdominal cavity | SRFA | NED (39) |
| 39 | 2022 | Krendl et al. | 39/F | 8 | None | TAE, Surgical resection, SRFA | AWD (73) |
| 40 | 2022 | Krendl et al. | 65/F | 15 | Bone, Abdominal cavity | TAE, Surgical resection, SRFA | DOD (89) |
Publisher’s Note: MDPI stays neutral with regard to jurisdictional claims in published maps and institutional affiliations. |
© 2022 by the authors. Licensee MDPI, Basel, Switzerland. This article is an open access article distributed under the terms and conditions of the Creative Commons Attribution (CC BY) license (https://creativecommons.org/licenses/by/4.0/).
Share and Cite
Krendl, F.J.; Messner, F.; Laimer, G.; Djanani, A.; Seeber, A.; Oberhuber, G.; Öfner, D.; Wolf, D.; Schneeberger, S.; Bale, R.; et al. Multidisciplinary Treatment of Liver Metastases from Intracranial SFTs/HPCs: A Report of Three Consecutive Cases. Curr. Oncol. 2022, 29, 8720-8741. https://doi.org/10.3390/curroncol29110687
Krendl FJ, Messner F, Laimer G, Djanani A, Seeber A, Oberhuber G, Öfner D, Wolf D, Schneeberger S, Bale R, et al. Multidisciplinary Treatment of Liver Metastases from Intracranial SFTs/HPCs: A Report of Three Consecutive Cases. Current Oncology. 2022; 29(11):8720-8741. https://doi.org/10.3390/curroncol29110687
Chicago/Turabian StyleKrendl, Felix J., Franka Messner, Gregor Laimer, Angela Djanani, Andreas Seeber, Georg Oberhuber, Dietmar Öfner, Dominik Wolf, Stefan Schneeberger, Reto Bale, and et al. 2022. "Multidisciplinary Treatment of Liver Metastases from Intracranial SFTs/HPCs: A Report of Three Consecutive Cases" Current Oncology 29, no. 11: 8720-8741. https://doi.org/10.3390/curroncol29110687
APA StyleKrendl, F. J., Messner, F., Laimer, G., Djanani, A., Seeber, A., Oberhuber, G., Öfner, D., Wolf, D., Schneeberger, S., Bale, R., & Margreiter, C. (2022). Multidisciplinary Treatment of Liver Metastases from Intracranial SFTs/HPCs: A Report of Three Consecutive Cases. Current Oncology, 29(11), 8720-8741. https://doi.org/10.3390/curroncol29110687

