How to Diagnose and Treat CD5-Positive Lymphomas Involving the Spleen
Abstract
1. Introduction
2. Clinical Vignette–Part 1
3. Chronic Lymphocytic Leukemia (CLL)
3.1. Definition
3.2. Clinical Features
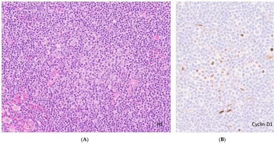
3.3. Microscopy, Immunophenotype and Genetic Profile
3.4. Differential Diagnosis
3.5. Prognosis and Treatment
4. Mantle Cell Lymphoma (MCL)
4.1. Definition
4.2. Clinical Features
4.3. Microscopy, Immunophenotype and Genetic Profile
4.4. Prognosis and Treatment
4.5. Differential Diagnosis
5. Lymphomas Rarely Expressing CD5
5.1. Prolymphocytic Leukemia
5.2. Lymphoplasmacytic Lymphoma
5.3. Splenic Marginal Zone Lymphoma
5.4. Hairy Cell Leukemia
5.5. Aggressive B Cell Lymphomas
5.5.1. Diffuse Large B Cell Lymphoma
5.5.2. T Cell/Histiocyte-Rich Large B Cell Lymphoma
5.5.3. Intravascular Large B Cell Lymphoma
6. Clinical Vignette–Part 2
7. Conclusions
- CLL and MCL, as well as HCL, have a characteristic constellation of phenotypic features in most cases.
- The presence of more than 55% of prolymphocytes in PB smears suggests prolymphocytic leukemia.
- A morphological continuum between lymphocytes, lymphoplasmocytes and plasma cells in BM is found in LPL/WM and other lymphomas with plasmacytic differentiation.
- SMZL remains a diagnosis of exclusion sharing clinical and morphological features with LPL and having a non-characteristic immunophenotype.
- The genetic tests commonly accessible to the practicing clinician contribute to the differential diagnosis in MCL, HCL and LPL, where the t(11;14) (q13;q32), BRAF V600E and MYD88L265P mutations are the rules, respectively. Deeper genetic studies should be undertaken for diagnostically difficult cases, and when findings contribute to critical prognostic stratification and therapeutic choices, such as in CLL.
Funding
Conflicts of Interest
References
- Geyer, J.T.; Prakash, S.; Orazi, A. B-Cell Neoplasms and Hodgkin Lymphoma in the Spleen. Semin. Diagn. Pathol. 2021, 38, 125–134. [Google Scholar] [CrossRef]
- World Health Origanization. WHO Classification of Tumours of Haematopoietic and Lymphoid Tissues, 4th ed.; Swerdlow, S., Campo, E., Harris, N., Jaffe, E., Pileri, S., Stein, H., Thiele, J., Eds.; IARC: Lyon, France, 2017. [Google Scholar]
- Iannitto, E.; Tripodo, C. How I Diagnose and Treat Splenic Lymphomas. Blood 2011, 117, 2585–2595. [Google Scholar] [CrossRef] [PubMed]
- Jaffe, E.S. Diagnosis and Classification of Lymphoma: Impact of Technical Advances. Semin. Hematol. 2019, 56, 30–36. [Google Scholar] [CrossRef]
- Fallah, J.; Olszewski, A.J. Diagnostic and Therapeutic Splenectomy for Splenic Lymphomas: Analysis of the National Cancer Data Base. Hematology 2019, 24, 378–386. [Google Scholar] [CrossRef] [PubMed]
- Coco, D.; Leanza, S. Indications for Surgery in Non-Traumatic Spleen Disease. Open Access Maced. J. Med. Sci. 2019, 7, 2958–2960. [Google Scholar] [CrossRef] [PubMed]
- Olson, M.C.; Atwell, T.D.; Harmsen, W.S.; Konrad, A.; King, R.L.; Lin, Y.; Wall, D.J. Safety and Accuracy of Percutaneous Image-Guided Core Biopsy of the Spleen. Am. J. Roentgenol. 2016, 206, 655–659. [Google Scholar] [CrossRef]
- John, S.; Shabana, W.; Salameh, J.P.; McInnes, M.D.F. Percutaneous Image-Guided Biopsy of the Spleen: Experience at a Single Tertiary Care Center. Can. Assoc. Radiol. J. 2021, 72, 311–316. [Google Scholar] [CrossRef] [PubMed]
- Debord, C.; Wuillème, S.; Eveillard, M.; Theisen, O.; Godon, C.; Le Bris, Y.; Béné, M.C. Flow Cytometry in the Diagnosis of Mature B-Cell Lymphoproliferative Disorders. Int. J. Lab. Hematol. 2020, 42, 113–120. [Google Scholar] [CrossRef]
- Yoshino, T.; Tanaka, T.; Sato, Y. Differential Diagnosis of Chronic Lymphocytic Leukemia/Small Lymphocytic Lymphoma and Other Indolent Lymphomas, Including Mantle Cell Lymphoma. J. Clin. Exp. Hematop. 2020, 60, 124–129. [Google Scholar] [CrossRef]
- Dronca, R.S.; Jevremovic, D.; Hanson, C.A.; Rabe, K.G.; Shanafelt, T.D.; Morice, W.G.; Call, T.G.; Kay, N.E.; Collins, C.S.; Schwager, S.M.; et al. CD5-Positive Chronic B-Cell Lymphoproliferative Disorders: Diagnosis and Prognosis of a Heterogeneous Disease Entity. Cytom. Part B-Clin. Cytom. 2010, 78 (Suppl. 1), S35–S41. [Google Scholar] [CrossRef][Green Version]
- Salles, G.; De Jong, D.; Xie, W.; Rosenwald, A.; Chhanabhai, M.; Gaulard, P.; Klapper, W.; Calaminici, M.; Sander, B.; Thorns, C.; et al. Prognostic Significance of Immunohistochemical Biomarkers in Diffuse Large B-Cell Lymphoma: A Study from the Lunenburg Lymphoma Biomarker Consortium. Blood 2011, 117, 7070–7078. [Google Scholar] [CrossRef]
- Cheson, B.D.; Fisher, R.I.; Barrington, S.F.; Cavalli, F.; Schwartz, L.H.; Zucca, E.; Lister, T.A. Recommendations for Initial Evaluation, Staging, and Response Assessment of Hodgkin and Non-Hodgkin Lymphoma: The Lugano Classification. J. Clin. Oncol. 2014, 32, 3059–3067. [Google Scholar] [CrossRef] [PubMed]
- Rao, L.; Wang, X.; Zong, Z.; Chen, Z.; Shi, X.; Yi, C.; Zhang, X.; Yang, Z. PET-CT for Evaluation of Spleen and Liver 18 F-FDG Diffuse Uptake Without Lymph Node Enlargement in Lymphoma. Medicine 2016, 95, e3750. [Google Scholar] [CrossRef] [PubMed]
- Hallek, M.; Cheson, B.D.; Catovsky, D.; Caligaris-Cappio, F.; Dighiero, G.; Döhner, H.; Hillmen, P.; Keating, M.; Montserrat, E.; Chiorazzi, N.; et al. IwCLL Guidelines for Diagnosis, Indications for Treatment, Response Assessment, and Supportive Management of CLL. Blood 2018, 131, 2745–2760. [Google Scholar] [CrossRef]
- Kansal, R.; Ross, C.W.; Singleton, T.P.; Finn, W.G.; Schnitzer, B. Histopathologic Features of Splenic Small B-Cell Lymphomas: A Study of 42 Cases With a Definitive Diagnosis by the World Health Organization Classification. Am. J. Clin. Pathol. 2003, 120, 335–347. [Google Scholar] [CrossRef] [PubMed]
- Kraemer, B.B.; Osborne, B.M.; Butler, J.J. Primary Splenic Presentation of Malignant Lymphoma and Related Disorders. A Study of 49 Cases. Cancer 1984, 54, 1606–1619. [Google Scholar] [CrossRef]
- Vitale, C.; Montalbano, M.C.; Salvetti, C.; Boccellato, E.; Griggio, V.; Boccadoro, M.; Coscia, M. Autoimmune Complications in Chronic Lymphocytic Leukemia in the Era of Targeted Drugs. Cancers 2020, 12, 282. [Google Scholar] [CrossRef]
- De Back, T.R.; Kater, A.P.; Tonino, S.H. Autoimmune Cytopenias in Chronic Lymphocytic Leukemia: A Concise Review and Treatment Recommendations. Expert Rev. Hematol. 2018, 11, 613–624. [Google Scholar] [CrossRef]
- Dhalla, F.; Lucas, M.M.; Schuh, A.A.; Bhole, M.M.; Jain, R.R.; Patel, S.Y.; Misbah, S.; Chapel, H. Antibody Deficiency Secondary to Chronic Lymphocytic Leukemia: Should Patients Be Treated with Prophylactic Replacement Immunoglobulin? J. Clin. Immunol. 2014, 34, 277–282. [Google Scholar] [CrossRef]
- Rawstron, A.C.; Fazi, C.; Agathangelidis, A.; Villamor, N.; Letestu, R.; Nomdedeu, J.; Palacio, C.; Stehlikova, O.; Kreuzer, K.A.; Liptrot, S.; et al. A Complementary Role of Multiparameter Flow Cytometry and High-Throughput Sequencing for Minimal Residual Disease Detection in Chronic Lymphocytic Leukemia: An European Research Initiative on CLL Study. Leukemia 2016, 30, 929–936. [Google Scholar] [CrossRef]
- Rawstron, A.C.; Kreuzer, K.A.; Soosapilla, A.; Spacek, M.; Stehlikova, O.; Gambell, P.; McIver-Brown, N.; Villamor, N.; Psarra, K.; Arroz, M.; et al. Reproducible Diagnosis of Chronic Lymphocytic Leukemia by Flow Cytometry: An European Research Initiative on CLL (ERIC) & European Society for Clinical Cell Analysis (ESCCA) Harmonisation Project. Cytom. Part B-Clin. Cytom. 2018, 94, 121–128. [Google Scholar] [CrossRef]
- Gibson, S.E.; Swerdlow, S.H.; Ferry, J.A.; Surti, U.; Cin, P.D.; Harris, N.L.; Hasserjian, R.P. Reassessment of Small Lymphocytic Lymphoma in the Era of Monoclonal B-Cell Lymphocytosis. Haematologica 2011, 96, 1144–1152. [Google Scholar] [CrossRef]
- Döhner, H.; Stilgenbauer, S.; Benner, A.; Leupolt, E.; Kröber, A.; Bullinger, L.; Döhner, K.; Bentz, M.; Lichter, P. Genomic Aberrations and Survival in Chronic Lymphocytic Leukemia. N. Engl. J. Med. 2000, 343, 1910–1916. [Google Scholar] [CrossRef]
- Eichhorst, B.; Robak, T.; Montserrat, E.; Ghia, P.; Niemann, C.U.; Kater, A.P.; Gregor, M.; Cymbalista, F.; Buske, C.; Hillmen, P.; et al. Chronic Lymphocytic Leukaemia: ESMO Clinical Practice Guidelines for Diagnosis, Treatment and Follow-Up. Ann. Oncol. 2021, 32, 23–33. [Google Scholar] [CrossRef]
- Goede, V.; Fischer, K.; Engelke, A.; Schlag, R.; Lepretre, S.; Montero, L.F.C.; Montillo, M.; Fegan, C.; Asikanius, E.; Humphrey, K.; et al. Obinutuzumab as Frontline Treatment of Chronic Lymphocytic Leukemia: Updated Results of the CLL11 Study. Leukemia 2015, 29, 1602–1604. [Google Scholar] [CrossRef] [PubMed]
- Autore, F.; Strati, P.; Laurenti, L.; Ferrajoli, A. Morphological, Immunophenotypic, and Genetic Features of Chronic Lymphocytic Leukemia with Trisomy 12: A Comprehensive Review. Haematologica 2018, 103, 931–938. [Google Scholar] [CrossRef] [PubMed]
- Bosch, F.; Dalla-Favera, R. Chronic Lymphocytic Leukaemia: From Genetics to Treatment. Nat. Rev. Clin. Oncol. 2019, 16, 684–701. [Google Scholar] [CrossRef]
- Hamblin, T.J.; Davis, Z.; Gardiner, A.; Oscier, D.G.; Stevenson, F.K. Unmutated Ig V(H) Genes Are Associated with a More Aggressive Form of Chronic Lymphocytic Leukemia. Blood 1999, 94, 1848–1854. [Google Scholar] [CrossRef]
- Damle, R.N.; Wasil, T.; Fais, F.; Ghiotto, F.; Valetto, A.; Allen, S.L.; Buchbinder, A.; Budman, D.; Dittmar, K.; Kolitz, J.; et al. Ig V Gene Mutation Status and CD38 Expression As Novel Prognostic Indicators in Chronic Lymphocytic Leukemia. Blood 1999, 94, 1840–1847. [Google Scholar] [CrossRef]
- Queirós, A.C.; Villamor, N.; Clot, G.; Martinez-Trillos, A.; Kulis, M.; Navarro, A.; Penas, E.M.M.; Jayne, S.; Majid, A.; Richter, J.; et al. A B-Cell Epigenetic Signature Defines Three Biologic Subgroups of Chronic Lymphocytic Leukemia with Clinical Impact. Leukemia 2015, 29, 598–605. [Google Scholar] [CrossRef] [PubMed]
- Wojdacz, T.K.; Amarasinghe, H.E.; Kadalayil, L.; Beattie, A.; Forster, J.; Blakemore, S.J.; Parker, H.; Bryant, D.; Larrayoz, M.; Clifford, R.; et al. Clinical Significance of DNA Methylation in Chronic Lymphocytic Leukemia Patients: Results from 3 UK Clinical Trials. Blood Adv. 2019, 3, 2474–2481. [Google Scholar] [CrossRef]
- Stamatopoulos, K.; Agathangelidis, A.; Rosenquist, R.; Ghia, P. Antigen Receptor Stereotypy in Chronic Lymphocytic Leukemia. Leukemia 2017, 31, 282–291. [Google Scholar] [CrossRef]
- Puente, X.S.; Pinyol, M.; Quesada, V.; Conde, L.; Ordóñez, G.R.; Villamor, N.; Escaramis, G.; Jares, P.; Beá, S.; González-Díaz, M.; et al. Whole-Genome Sequencing Identifies Recurrent Mutations in Chronic Lymphocytic Leukaemia. Nature 2011, 475, 101–105. [Google Scholar] [CrossRef] [PubMed]
- Nadeu, F.; Delgado, J.; Royo, C.; Baumann, T.; Stankovic, T.; Pinyol, M.; Jares, P.; Navarro, A.; Martín-García, D.; Beà, S.; et al. Clinical Impact of Clonal and Subclonal TP53, SF3B1, BIRC3, NOTCH1, and ATM Mutations in Chronic Lymphocytic Leukemia. Blood 2016, 127, 2122–2130. [Google Scholar] [CrossRef]
- Leeksma, A.C.; Taylor, J.; Wu, B.; Gardner, J.R.; He, J.; Nahas, M.; Gonen, M.; Alemayehu, W.G.; te Raa, D.; Walther, T.; et al. Clonal Diversity Predicts Adverse Outcome in Chronic Lymphocytic Leukemia. Leukemia 2019, 33, 390–402. [Google Scholar] [CrossRef]
- Gaidano, G.; Rossi, D. The Mutational Landscape of Chronic Lymphocytic Leukemia and Its Impact on Prognosis and Treatment. Hematology 2017, 2017, 329–337. [Google Scholar] [CrossRef]
- International CLL-IPI Working Group. An International Prognostic Index for Patients with Chronic Lymphocytic Leukaemia (CLL-IPI): A Meta-Analysis of Individual Patient Data. Lancet Oncol. 2016, 17, 779–790. [Google Scholar] [CrossRef]
- Ahn, I.E.; Tian, X.; Ipe, D.; Cheng, M.; Albitar, M.; Tsao, L.C.; Zhang, L.; Ma, W.; Herman, S.E.M.; Gaglione, E.M.; et al. Prediction of Outcome in Patients With Chronic Lymphocytic Leukemia Treated With Ibrutinib: Development and Validation of a Four-Factor Prognostic Model. J. Clin. Oncol. 2021, 39, 576–585. [Google Scholar] [CrossRef] [PubMed]
- Kovacs, G.; Robrecht, S.; Fink, A.M.; Bahlo, J.; Cramer, P.; Von Tresckow, J.; Maurer, C.; Langerbeins, P.; Fingerle-Rowson, G.; Ritgen, M.; et al. Minimal Residual Disease Assessment Improves Prediction of Outcome in Patients with Chronic Lymphocytic Leukemia (CLL) Who Achieve Partial Response: Comprehensive Analysis of Two Phase III Studies of the German CLL Study Group. J. Clin. Oncol. 2016, 34, 3758–3765. [Google Scholar] [CrossRef] [PubMed]
- Dimier, N.; Delmar, P.; Ward, C.; Morariu-Zamfir, R.; Fingerle-Rowson, G.; Bahlo, J.; Fischer, K.; Eichhorst, B.; Goede, V.; Van Dongen, J.J.M.; et al. A Model for Predicting Effect of Treatment on Progression-Free Survival Using MRD as a Surrogate End Point in CLL. Blood 2018, 131, 955–962. [Google Scholar] [CrossRef]
- Kater, A.P.; Wu, J.Q.; Kipps, T.; Eichhorst, B.; Hillmen, P.; D’Rozario, J.; Assouline, S.; Owen, C.; Robak, T.; de la Serna, J.; et al. Venetoclax plus Rituximab in Relapsed Chronic Lymphocytic Leukemia: 4-Year Results and Evaluation of Impact of Genomic Complexity and Gene Mutations from the MURANO Phase III Study. J. Clin. Oncol. 2020, 38, 4042–4054. [Google Scholar] [CrossRef]
- Kurtz, D.M.; Esfahani, M.S.; Scherer, F.; Soo, J.; Jin, M.C.; Liu, C.L.; Newman, A.M.; Dührsen, U.; Hüttmann, A.; Casasnovas, O.; et al. Dynamic Risk Profiling Using Serial Tumor Biomarkers for Personalized Outcome Prediction. Cell 2019, 178, 699–713. [Google Scholar] [CrossRef]
- Shanafelt, T.D.; Wang, X.V.; Kay, N.E.; Hanson, C.A.; O’Brien, S.; Barrientos, J.; Jelinek, D.F.; Braggio, E.; Leis, J.F.; Zhang, C.C.; et al. Ibrutinib–Rituximab or Chemoimmunotherapy for Chronic Lymphocytic Leukemia. N. Engl. J. Med. 2019, 381, 432–443. [Google Scholar] [CrossRef]
- Cappell, K.M.; Sherry, R.M.; Yang, J.C.; Goff, S.L.; Vanasse, D.A.; McIntyre, L.; Rosenberg, S.A.; Kochenderfer, J.N. Long-Term Follow-Up of Anti-CD19 Chimeric Antigen Receptor T-Cell Therapy. J. Clin. Oncol. 2020, 38, 3805–3815. [Google Scholar] [CrossRef]
- Collett, L.; Howard, D.R.; Munir, T.; McParland, L.; Oughton, J.B.; Rawstron, A.C.; Hockaday, A.; Dimbleby, C.; Phillips, D.; McMahon, K.; et al. Assessment of Ibrutinib plus Rituximab in Front-Line CLL (FLAIR Trial): Study Protocol for a Phase III Randomised Controlled Trial. Trials 2017, 18, 387. [Google Scholar] [CrossRef]
- Hillmen, P.; Rawstron, A.C.; Brock, K.; Muñoz-Vicente, S.; Yates, F.J.; Bishop, R.; Boucher, R.; MacDonald, D.; Fegan, C.; McCaig, A.; et al. Ibrutinib plus Venetoclax in Relapsed/Refractory Chronic Lymphocytic Leukemia: The CLARITY Study. J. Clin. Oncol. 2019, 37, 2722–2729. [Google Scholar] [CrossRef] [PubMed]
- Jain, N.; Keating, M.; Thompson, P.; Ferrajoli, A.; Burger, J.; Borthakur, G.; Takahashi, K.; Estrov, Z.; Fowler, N.; Kadia, T.; et al. Ibrutinib and Venetoclax for First-Line Treatment of CLL. N. Engl. J. Med. 2019, 380, 2095–2103. [Google Scholar] [CrossRef] [PubMed]
- Rogers, K.A.; Huang, Y.; Ruppert, A.S.; Abruzzo, L.V.; Andersen, B.L.; Awan, F.T.; Bhat, S.A.; Dean, A.; Lucas, M.; Banks, C.; et al. Phase II Study of Combination Obinutuzumab, Ibrutinib, and Venetoclax in Treatment-Naïve and Relapsed or Refractory Chronic Lymphocytic Leukemia. J. Clin. Oncol. 2020, 38, 3626–3637. [Google Scholar] [CrossRef] [PubMed]
- Hallek, M. Towards Control Of Chronic Lymphocytic Leukemia With Targeted Agents. Hematol. Oncol. 2021, 39, 26–144. [Google Scholar] [CrossRef]
- Dreyling, M.; Campo, E.; Hermine, O.; Jerkeman, M.; Le Gouill, S.; Rule, S.; Shpilberg, O.; Walewski, J.; Ladetto, M. Newly Diagnosed and Relapsed Mantle Cell Lymphoma: ESMO Clinical Practice Guidelines for Diagnosis, Treatment and Follow-Up. Ann. Oncol. 2017, 28 (Suppl. 4), iv62–iv71. [Google Scholar] [CrossRef]
- Ferrer, A.; Salaverria, I.; Bosch, F.; Villamor, N.; Rozman, M.; Beà, S.; Giné, E.; López-Guillermo, A.; Campo, E.; Montserrat, E. Leukemic Involvement Is a Common Feature in Mantle Cell Lymphoma. Cancer 2007, 109, 2473–2480. [Google Scholar] [CrossRef] [PubMed]
- Croci, G.A.; Hoster, E.; Beà, S.; Clot, G.; Enjuanes, A.; Scott, D.W.; Cabeçadas, J.; Veloza, L.; Campo, E.; Clasen-Linde, E.; et al. Reproducibility of Histologic Prognostic Parameters for Mantle Cell Lymphoma: Cytology, Ki67, P53 and SOX11. Virchows Arch. 2020, 477, 259–267. [Google Scholar] [CrossRef] [PubMed]
- Argatoff, L.H.; Connors, J.M.; Klasa, R.J.; Horsman, D.E.; Gascoyne, R.D. Mantle Cell Lymphoma: A Clinicopathologic Study of 80 Cases. Blood 1997, 89, 2067–2078. [Google Scholar] [CrossRef] [PubMed]
- Ribera-Cortada, I.; Martinez, D.; Amador, V.; Royo, C.; Navarro, A.; Beà, S.; Gine, E.; De Leval, L.; Serrano, S.; Wotherspoon, A.; et al. Plasma Cell and Terminal B-Cell Differentiation in Mantle Cell Lymphoma Mainly Occur in the SOX11-Negative Subtype. Mod. Pathol. 2015, 28, 1435–1447. [Google Scholar] [CrossRef]
- Liu, Z.; Dong, H.Y.; Gorczyca, W.; Tsang, P.; Cohen, P.; Stephenson, C.F.; Berger, C.S.; Wu, C.D.; Weisberger, J. CD5—Mantle Cell Lymphoma. Am. J. Clin. Pathol. 2002, 118, 216–224. [Google Scholar] [CrossRef][Green Version]
- Gao, J.; Peterson, L.A.; Nelson, B.; Goolsby, C.; Chen, Y.H. Immunophenotypic Variations in Mantle Cell Lymphoma. Am. J. Clin. Pathol. 2009, 132, 699–706. [Google Scholar] [CrossRef]
- Gualco, G.; Weiss, L.M.; Harrington, W.J.; Bacchi, C.E. BCL6, MUM1, and CD10 Expression in Mantle Cell Lymphoma. Appl. Immunohistochem. Mol. Morphol. 2010, 18, 103–108. [Google Scholar] [CrossRef] [PubMed]
- Phelps, A.; Gorgan, M.; Elaba, Z.; Pennington, M.; Norwood, C.; Rezuke, W.; Murphy, M.J. CD10-Positive Blastoid Mantle Cell Lymphoma with Secondary Cutaneous Involvement. J. Cutan. Pathol. 2013, 40, 765–767. [Google Scholar] [CrossRef]
- Fu, K.; Weisenburger, D.D.; Greiner, T.C.; Dave, S.; Wright, G.; Rosenwald, A.; Chiorazzi, M.; Iqbal, J.; Gesk, S.; Siebert, R.; et al. Cyclin D1-Negative Mantle Cell Lymphoma: A Clinicopathologic Study Based on Gene Expression Profiling. Blood 2005, 106, 4315–4321. [Google Scholar] [CrossRef]
- Zeng, W.; Fu, K.; Quintanilla-Fend, L.; Lim, M.; Ondrejka, S.; Hsi, E.D. Cyclin D1-Negative Blastoid Mantle Cell Lymphoma Identified by SOX11 Expression. Am. J. Surg. Pathol. 2012, 36, 214–219. [Google Scholar] [CrossRef]
- Mozos, A.; Royo, C.; Hartmann, E.; De Jong, D.; Baró, C.; Valera, A.; Fu, K.; Weisenburger, D.D.; Delabie, J.; Chuang, S.S.; et al. SOX11 Expression Is Highly Specific for Mantle Cell Lymphoma and Identifies the Cyclin D1-Negative Subtype. Haematologica 2009, 94, 1555–1562. [Google Scholar] [CrossRef] [PubMed]
- Thorsélius, M.; Walsh, S.; Eriksson, I.; Thunberg, U.; Johnson, A.; Backlin, C.; Enblad, G.; Sundström, C.; Roos, G.; Rosenquist, R. Somatic Hypermutation and VH Gene Usage in Mantle Cell Lymphoma. Eur. J. Haematol. 2002, 68, 217–224. [Google Scholar] [CrossRef] [PubMed]
- Orchard, J.; Garand, R.; Davis, Z.; Babbage, G.; Sahota, S.; Matutes, E.; Catovsky, D.; Thomas, P.W.; Avet-Loiseau, H.; Oscier, D.G. A Subset of t(11;14) Lymphoma with Mantle Cell Features Displays Mutated IgVH Genes and Includes Patients with Good Prognosis, Nonnodal Disease. Blood 2003, 101, 4975–4981. [Google Scholar] [CrossRef] [PubMed]
- Thelander, E.F.; Rosenquist, R. Molecular Genetic Characterization Reveals New Subsets of Mantle Cell Lymphoma. Leuk. Lymphoma 2008, 49, 1042–1049. [Google Scholar] [CrossRef] [PubMed]
- Williams, M.E.; Nichols, G.E.; Swerdlow, S.H.; Stoler, M.H. In Situ Hybridization Detection of Cyclin Dl MRNA in Centrocytic/Mantle Cell Lymphoma. Ann. Oncol. 1995, 6, 297–299. [Google Scholar] [CrossRef]
- Martín-Garcia, D.; Navarro, A.; Valdés-Mas, R.; Clot, G.; Gutiérrez-Abril, J.; Prieto, M.; Ribera-Cortada, I.; Woroniecka, R.; Rymkiewicz, G.; Bens, S.; et al. CCND2 and CCND3 Hijack Immunoglobulin Light-Chain Enhancers in Cyclin D12 Mantle Cell Lymphoma. Blood 2019, 133, 940–951. [Google Scholar] [CrossRef]
- Salaverria, I.; Royo, C.; Carvajal-Cuenca, A.; Clot, G.; Navarro, A.; Valera, A.; Song, J.Y.; Woroniecka, R.; Rymkiewicz, G.; Klapper, W.; et al. CCND2 Rearrangements Are the Most Frequent Genetic Events in Cyclin D1—Mantle Cell Lymphoma. Blood 2013, 121, 1394–1402. [Google Scholar] [CrossRef]
- Hoster, E.; Rosenwald, A.; Berger, F.; Bernd, H.W.; Hartmann, S.; Loddenkemper, C.; Barth, T.F.E.; Brousse, N.; Pileri, S.; Rymkiewicz, G.; et al. Prognostic Value of Ki-67 Index, Cytology, and Growth Pattern in Mantle-Cell Lymphoma: Results from Randomized Trials of the European Mantle Cell Lymphoma Network. J. Clin. Oncol. 2016, 34, 1386–1394. [Google Scholar] [CrossRef]
- Navarro, A.; Beà, S.; Jares, P.; Campo, E. Molecular Pathogenesis of Mantle Cell Lymphoma. Hematol. Oncol. Clin. N. Am. 2020, 34, 795–807. [Google Scholar] [CrossRef]
- Slotta-Huspenina, J.; Koch, I.; de Leval, L.; Keller, G.; Klier, M.; Bink, K.; Kremer, M.; Raffeld, M.; Fend, F.; Quintanilla-Martinez, L. The Impact of Cyclin D1 MRNA Isoforms, Morphology and P53 in Mantle Cell Lymphoma: P53 Alterations and Blastoid Morphology Are Strong Predictors of a High Proliferation Index. Haematologica 2012, 97, 1422–1430. [Google Scholar] [CrossRef]
- Jain, P.; Wang, M. Blastoid Mantle Cell Lymphoma. Hematol. Oncol. Clin. N. Am. 2020, 34, 941–956. [Google Scholar] [CrossRef]
- Eskelund, C.W.; Kolstad, A.; Jerkeman, M.; Räty, R.; Laurell, A.; Eloranta, S.; Smedby, K.E.; Husby, S.; Pedersen, L.B.; Andersen, N.S.; et al. 15-Year Follow-up of the Second Nordic Mantle Cell Lymphoma Trial (MCL2): Prolonged Remissions without Survival Plateau. Br. J. Haematol. 2016, 175, 410–418. [Google Scholar] [CrossRef]
- Fernàndez, V.; Salamero, O.; Espinet, B.; Solé, F.; Royo, C.; Navarro, A.; Camacho, F.; Beà, S.; Hartmann, E.; Amador, V.; et al. Genomic and Gene Expression Profiling Defines Indolent Forms of Mantle Cell Lymphoma. Cancer Res. 2010, 70, 1408–1418. [Google Scholar] [CrossRef]
- Federmann, B.; Frauenfeld, L.; Pertsch, H.; Borgmann, V.; Steinhilber, J.; Bonzheim, I.; Fend, F.; Quintanilla-Martinez, L. Highly Sensitive and Specific in Situ Hybridization Assay for Quantification of SOX11 MRNA in Mantle Cell Lymphoma Reveals Association of TP53 Mutations with Negative and Low SOX11 Expression. Haematologica 2020, 105, 754–764. [Google Scholar] [CrossRef] [PubMed]
- Silkenstedt, E.; Linton, K.; Dreyling, M. Mantle Cell Lymphoma—Advances in Molecular Biology, Prognostication and Treatment Approaches. Br. J. Haematol. 2021, 39, 31–38. [Google Scholar] [CrossRef]
- Martin, P.; Ghione, P.; Dreyling, M. Mantle Cell Lymphoma—Current Standards of Care and Future Directions. Cancer Treat. Rev. 2017, 58, 51–60. [Google Scholar] [CrossRef] [PubMed]
- McCulloch, R.; Eyre, T.A.; Rule, S. What Causes Bruton Tyrosine Kinase Inhibitor Resistance in Mantle Cell Lymphoma and How Should We Treat Such Patients? Hematol. Oncol. Clin. N. Am. 2020, 34, 923–939. [Google Scholar] [CrossRef]
- Hermine, O.; Hoster, E.; Walewski, J.; Bosly, A.; Stilgenbauer, S.; Thieblemont, C.; Szymczyk, M.; Bouabdallah, R.; Kneba, M.; Hallek, M.; et al. Addition of High-Dose Cytarabine to Immunochemotherapy before Autologous Stem-Cell Transplantation in Patients Aged 65 Years or Younger with Mantle Cell Lymphoma (MCL Younger): A Randomised, Open-Label, Phase 3 Trial of the European Mantle Cell Lymphoma N. Lancet 2016, 388, 565–575. [Google Scholar] [CrossRef]
- Le Gouill, S.; Thieblemont, C.; Oberic, L.; Moreau, A.; Bouabdallah, K.; Dartigeas, C.; Damaj, G.; Gastinne, T.; Ribrag, V.; Feugier, P.; et al. Rituximab after Autologous Stem-Cell Transplantation in Mantle-Cell Lymphoma. N. Engl. J. Med. 2017, 377, 1250–1260. [Google Scholar] [CrossRef]
- Zoellner, A.; Unterhalt, M.; Stilgenbauer, S.; Hübel, K.; Thieblemont, C.; Metzner, B.; Kluin-Nelemans, H.; Hiddemann, W.; Dreyling, M.; Hoster, E. Autologos Stem Cell Transplantation in First Remissoni Significantly Prolongs Progression-Fre Survival And Overall Survilval in Mantle Cell Lymphoma. Hematol. Oncol. 2019, 37, 43–44. [Google Scholar] [CrossRef]
- Robak, T.; Jin, J.; Pylypenko, H.; Verhoef, G.; Siritanaratkul, N.; Drach, J.; Raderer, M.; Mayer, J.; Pereira, J.; Tumyan, G.; et al. Frontline Bortezomib, Rituximab, Cyclophosphamide, Doxorubicin, and Prednisone (VR-CAP) versus Rituximab, Cyclophosphamide, Doxorubicin, Vincristine, and Prednisone (R-CHOP) in Transplantation-Ineligible Patients with Newly Diagnosed Mantle Cell Lymphoma. Lancet Oncol. 2018, 19, 1449–1458. [Google Scholar] [CrossRef]
- Kluin-Nelemans, H.C.; Hoster, E.; Hermine, O.; Walewski, J.; Geisler, C.H.; Trneny, M.; Stilgenbauer, S.; Kaiser, F.; Doorduijn, J.K.; Salles, G.; et al. Treatment of Older Patients With Mantle Cell Lymphoma (MCL): Long-Term Follow-Up of the Randomized European MCL Elderly Trial. J. Clin. Oncol. 2020, 38, 248–256. [Google Scholar] [CrossRef]
- Salles, G.; Wang, M. Role of Maintenance Rituximab (MR) after First Line (1L) Bendamustine + Rituximab (BR) or R-Chop in Patients (PTS) with Mantle Cell lymphoma (MCL) from A Large US Real-World (RW) Cohor; Salles, G., Ed.; EHA Library: Amsterdam, the Netherlands, 2021; p. 325543. [Google Scholar]
- Wang, M.L.; Rule, S.; Martin, P.; Goy, A.; Auer, R.; Kahl, B.S.; Jurczak, W.; Advani, R.H.; Romaguera, J.E.; Williams, M.E.; et al. Targeting BTK with Ibrutinib in Relapsed or Refractory Mantle-Cell Lymphoma. N. Engl. J. Med. 2013, 369, 507–516. [Google Scholar] [CrossRef] [PubMed]
- Ansell, S.M.; Tang, H.; Kurtin, P.J.; Koenig, P.A.; Inwards, D.J.; Shah, K.; Ziesmer, S.C.; Feldman, A.L.; Rao, R.; Gupta, M.; et al. Temsirolimus and Rituximab in Patients with Relapsed or Refractory Mantle Cell Lymphoma: A Phase 2 Study. Lancet Oncol. 2011, 12, 361–368. [Google Scholar] [CrossRef][Green Version]
- Dreyling, M.; Jurczak, W.; Jerkeman, M.; Silva, R.S.; Rusconi, C.; Trneny, M.; Offner, F.; Caballero, D.; Joao, C.; Witzens-Harig, M.; et al. Ibrutinib versus Temsirolimus in Patients with Relapsed or Refractory Mantle-Cell Lymphoma: An International, Randomised, Open-Label, Phase 3 Study. Lancet 2016, 387, 770–778. [Google Scholar] [CrossRef]
- Wang, M.; Rule, S.; Zinzani, P.L.; Goy, A.; Casasnovas, O.; Smith, S.D.; Damaj, G.; Doorduijn, J.; Lamy, T.; Morschhauser, F.; et al. Acalabrutinib in Relapsed or Refractory Mantle Cell Lymphoma (ACE-LY-004): A Single-Arm, Multicentre, Phase 2 Trial. Lancet 2018, 391, 659–667. [Google Scholar] [CrossRef]
- Wang, M.; Munoz, J.; Goy, A.; Locke, F.L.; Jacobson, C.A.; Hill, B.T.; Timmerman, J.M.; Holmes, H.; Jaglowski, S.; Flinn, I.W.; et al. KTE-X19 CAR T-Cell Therapy in Relapsed or Refractory Mantle-Cell Lymphoma. N. Engl. J. Med. 2020, 382, 1331–1342. [Google Scholar] [CrossRef]
- Rattotti, S.; Croci, G.; Ferretti, V.V.; Morello, L.; Marino, D.; Carli, G.; Ferrero, S.; Loseto, G.; Olivieri, J.; Pelosini, M.; et al. Mantle Cell Lymphoma Mimicking Mucosa-Associated Lymphoid Tissue (MALT) Lymphomas: A Pathological Characterization (on Behalf of the "Fondazione Italiana Linfomi (FIL)—Postgraduate Master Course"). Blood 2017, 130 (Suppl. 1). [Google Scholar]
- Shibata, K.; Shimamoto, Y.; Nakano, S.; Miyahara, M.; Nakano, H.; Yamaguchi, M. Mantle Cell Lymphoma with the Features of Mucosa-Associated Lymphoid Tissue (MALT) Lymphoma in an HTLV-I-Seropositive Patient. Ann. Hematol. 1995, 70, 47–51. [Google Scholar] [CrossRef]
- Jain, P.; Fayad, L.E.; Rosenwald, A.; Young, K.H.; O’Brien, S. Recent Advances in de Novo CD5+ Diffuse Large B Cell Lymphoma. Am. J. Hematol. 2013, 88, 798–802. [Google Scholar] [CrossRef]
- Vela-Chávez, T.; Adam, P.; Kremer, M.; Bink, K.; Bacon, C.M.; Menon, G.; Ferry, J.A.; Fend, F.; Jaffe, E.S.; Quintanilla-Martínez, L. Cyclin D1 Positive Diffuse Large B-Cell Lymphoma Is a Post-Germinal Center-Type Lymphoma without Alterations in the CCND1 Gene Locus. Leuk. Lymphoma 2011, 52, 458–466. [Google Scholar] [CrossRef]
- Aukema, S.M.; Croci, G.A.; Bens, S.; Oehl-Huber, K.; Wagener, R.; Ott, G.; Rosenwald, A.; Kluin, P.M.; van den Berg, E.; Bosga-Bouwer, A.G.; et al. Mantle Cell Lymphomas with Concomitant MYC and CCND1 Breakpoints Are Recurrently TdT Positive and Frequently Show High-Grade Pathological and Genetic Features. Virchows Arch. 2021, 479, 133–145. [Google Scholar] [CrossRef]
- Jain, A.G.; Chang, C.C.; Ahmad, S.; Mori, S. Leukemic Non-Nodal Mantle Cell Lymphoma: Diagnosis and Treatment. Curr. Treat. Options Oncol. 2018, 20, 85. [Google Scholar] [CrossRef]
- Cross, M.; Dearden, C. B and T Cell Prolymphocytic Leukaemia. Best Pract. Res. Clin. Haematol. 2019, 32, 217–228. [Google Scholar] [CrossRef] [PubMed]
- Lens, D.; De Schouwer, P.J.J.C.; Hamoudi, R.A.; Abdul-Rauf, M.; Farahat, N.; Matutes, E.; Crook, T.; Dyer, M.J.S.; Catovsky, D. P53 Abnormalities in B-Cell Prolymphocytic Leukemia. Blood 1997, 89, 2015–2023. [Google Scholar] [CrossRef] [PubMed]
- Chapiro, E.; Pramil, E.; Diop, M.; Roos-Weil, D.; Dillard, C.; Gabillaud, C.; Maloum, K.; Settegrana, C.; Baseggio, L.; Lesesve, J.F.; et al. Genetic Characterization of B-Cell Prolymphocytic Leukemia: A Prognostic Model Involving MYC and TP53. Blood 2019, 134, 1821–1831. [Google Scholar] [CrossRef] [PubMed]
- Eyre, T.A.; Fox, C.P.; Boden, A.; Bloor, A.; Dungawalla, M.; Shankara, P.; Went, R.; Schuh, A.H. Idelalisib-Rituximab Induces Durable Remissions in TP53 Disrupted B-PLL but Results in Significant Toxicity: Updated Results of the UK-Wide Compassionate Use Programme. Br. J. Haematol. 2019, 184, 667–671. [Google Scholar] [CrossRef]
- Gordon, M.J.; Raess, P.W.; Young, K.; Spurgeon, S.E.F.; Danilov, A.V. Ibrutinib Is an Effective Treatment for B-Cell Prolymphocytic Leukaemia. Br. J. Haematol. 2017, 179, 501–503. [Google Scholar] [CrossRef] [PubMed]
- Owen, R.G.; Treon, S.P.; Al-Katib, A.; Fonseca, R.; Greipp, P.R.; McMaster, M.L.; Morra, E.; Pangalis, G.A.; San Miguel, J.F.; Branagan, A.R.; et al. Clinicopathological Definition of Waldenstrom’s Macroglobulinemia: Consensus Panel Recommendations from the Second International Workshop on Waldenstrom’s Macroglobulinemia. Semin. Oncol. 2003, 30, 110–115. [Google Scholar] [CrossRef] [PubMed]
- Paiva, B.; Montes, M.C.; García-Sanz, R.; Ocio, E.M.; Alonso, J.; De Las Heras, N.; Escalante, F.; Cuello, R.; De Coca, A.G.; Galende, J.; et al. Multiparameter Flow Cytometry for the Identification of the Waldenström’s Clone in IgM-MGUS and Waldenström’s Macroglobulinemia: New Criteria for Differential Diagnosis and Risk Stratification. Leukemia 2014, 28, 166–173. [Google Scholar] [CrossRef]
- San Miguel, J.F.; Vidriales, M.B.; Ocio, E.; Mateo, G.; Sánchez-Guijo, F.; Sánchez, M.L.; Escribano, L.; Bárez, A.; Moro, M.J.; Hernández, J.; et al. Immunophenotypic Analysis of Waldenstrom’s Macroglobulinemia. Semin. Oncol. 2003, 30, 187–195. [Google Scholar] [CrossRef] [PubMed]
- Dimopoulos, M.A.; Kastritis, E.; Ghobrial, I.M. Waldenström’s Macroglobulinemia: A Clinical Perspective in the Era of Novel Therapeutics. Ann. Oncol. 2016, 27, 233–240. [Google Scholar] [CrossRef] [PubMed]
- Treon, S.P.; Xu, L.; Yang, G.; Zhou, Y.; Liu, X.; Cao, Y.; Sheehy, P.; Manning, R.J.; Patterson, C.J.; Tripsas, C.; et al. MYD88 L265P Somatic Mutation in Waldenström’s Macroglobulinemia. N. Engl. J. Med. 2012, 367, 826–833. [Google Scholar] [CrossRef] [PubMed]
- Treon, S.P.; Xu, L.; Hunter, Z. MYD88 Mutations and Response to Ibrutinib in Waldenström’s Macroglobulinemia. N. Engl. J. Med. 2015, 373, 584–586. [Google Scholar] [CrossRef]
- Yu, X.; Li, W.; Deng, Q.; Li, L.; Hsi, E.D.; Young, K.H.; Zhang, M.; Li, Y. MYD88 L265P Mutation in Lymphoid Malignancies. Cancer Res. 2018, 78, 2457–2462. [Google Scholar] [CrossRef]
- Kaiser, L.M.; Hunter, Z.R.; Treon, S.P.; Buske, C. CXCR4 in Waldenström’s Macroglobulinema: Chances and Challenges. Leukemia 2021, 35, 333–345. [Google Scholar] [CrossRef]
- Castillo, J.J.; Treon, S.P. Management of Waldenström Macroglobulinemia in 2020. Hematology 2020, 20, 372–379. [Google Scholar] [CrossRef]
- Treon, S.P.; Meid, K.; Gustine, J.; Yang, G.; Xu, L.; Liu, X.; Patterson, C.J.; Hunter, Z.R.; Branagan, A.R.; Laubach, J.P.; et al. Long-Term Follow-Up of Ibrutinib Monotherapy in Symptomatic, Previously Treated Patients with Waldenström Macroglobulinemia. J. Clin. Oncol. 2021, 39, 565–575. [Google Scholar] [CrossRef]
- Dimopoulos, M.A.; Kastritis, E. How I Treat Waldenström Macroglobulinemia. Blood 2019, 134, 2022–2035. [Google Scholar] [CrossRef]
- Dimopoulos, M.A.; Tedeschi, A.; Trotman, J.; García-Sanz, R.; Macdonald, D.; Leblond, V.; Mahe, B.; Herbaux, C.; Tam, C.; Orsucci, L.; et al. Phase 3 Trial of Ibrutinib plus Rituximab in Waldenström’s Macroglobulinemia. N. Engl. J. Med. 2018, 378, 2399–2410. [Google Scholar] [CrossRef]
- Mollejo, M.; Camacho, F.I.; Algara, P.; Ruiz-Ballesteros, E.; García, J.F.; Piris, M.A. Nodal and Splenic Marginal Zone B Cell Lymphomas. Hematol. Oncol. 2005, 23, 108–118. [Google Scholar] [CrossRef]
- Matutes, E. Splenic Marginal Zone Lymphoma: Disease Features and Management. Expert Rev. Hematol. 2013, 6, 735–745. [Google Scholar] [CrossRef]
- Zucca, E.; Arcaini, L.; Buske, C.; Johnson, P.W.; Ponzoni, M.; Raderer, M.; Ricardi, U.; Salar, A.; Stamatopoulos, K.; Thieblemont, C.; et al. Marginal Zone Lymphomas: ESMO Clinical Practice Guidelines for Diagnosis, Treatment and Follow-Up. Ann. Oncol. 2020, 31, 17–29. [Google Scholar] [CrossRef]
- Mollejo, M.; Menárguez, J.; Guisado-Vasco, P.; Bento, L.; Algara, P.; Montes-Moreno, S.; Rodriguez-Pinilla, M.S.; Cruz, M.A.; Casado, F.; Montalbán, C.; et al. Hepatitis C Virus-Related Lymphoproliferative Disorders Encompass a Broader Clinical and Morphological Spectrum than Previously Recognized: A Clinicopathological Study. Mod. Pathol. 2014, 27, 281–293. [Google Scholar] [CrossRef]
- Xochelli, A.; Kalpadakis, C.; Gardiner, A.; Baliakas, P.; Vassilakopoulos, T.P.; Mould, S.; Davis, Z.; Stalika, E.; Kanellis, G.; Angelopoulou, M.K.; et al. Clonal B-Cell Lymphocytosis Exhibiting Immunophenotypic Features Consistent with a Marginal-Zone Origin: Is This a Distinct Entity? Blood 2014, 123, 1199–1206. [Google Scholar] [CrossRef]
- Baseggio, L.; Traverse-Glehen, A.; Petinataud, F.; Callet-Bauchu, E.; Berger, F.; Ffrench, M.; Couris, C.M.; Thieblemont, C.; Morel, D.; Coiffier, B.; et al. CD5 Expression Identifies a Subset of Splenic Marginal Zone Lymphomas with Higher Lymphocytosis: A Clinico-Pathological, Cytogenetic and Molecular Study of 24 Cases. Haematologica 2010, 95, 604–612. [Google Scholar] [CrossRef] [PubMed]
- Gailllard, B.; Cornillet-Lefebvre, P.; Le, Q.H.; Maloum, K.; Pannetier, M.; Lecoq-Lafon, C.; Grange, B.; Jondreville, L.; Michaux, L.; Nadal, N.; et al. Clinical and Biological Features of B-Cell Neoplasms with CDK6 Translocations: An Association with a Subgroup of Splenic Marginal Zone Lymphomas Displaying Frequent CD5 Expression, Prolymphocytic Cells, and TP53 Abnormalities. Br. J. Haematol. 2021, 193, 72–82. [Google Scholar] [CrossRef]
- Salido, M.; Baró, C.; Oscier, D.; Stamatopoulos, K.; Dierlamm, J.; Matutes, E.; Traverse-Glehen, A.; Berger, F.; Felman, P.; Thieblemont, C.; et al. Cytogenetic Aberrations and Their Prognostic Value in a Series of 330 Splenic Marginal Zone B-Cell Lymphomas: A Multicenter Study of the Splenic B-Cell Lymphoma Group. Blood 2010, 116, 1479–1488. [Google Scholar] [CrossRef]
- Campos-Martín, Y.; Martínez, N.; Martínez-López, A.; Cereceda, L.; Casado, F.; Algara, P.; Oscier, D.; Menarguez, F.J.; García, J.F.; Piris, M.A.; et al. Clinical and Diagnostic Relevance of NOTCH2 and KLF2 Mutations in Splenic Marginal Zone Lymphoma. Haematologica 2017, 102, e310–e312. [Google Scholar] [CrossRef] [PubMed]
- Arcaini, L.; Rossi, D.; Paulli, M. Splenic Marginal Zone Lymphoma: From Genetics to Management. Blood 2016, 127, 2072–2081. [Google Scholar] [CrossRef] [PubMed]
- Xing, K.H.; Kahlon, A.; Skinnider, B.F.; Connors, J.M.; Gascoyne, R.D.; Sehn, L.H.; Savage, K.J.; Slack, G.W.; Shenkier, T.N.; Klasa, R.; et al. Outcomes in Splenic Marginal Zone Lymphoma: Analysis of 107 Patients Treated in British Columbia. Br. J. Haematol. 2015, 169, 520–527. [Google Scholar] [CrossRef]
- Grever, M.R.; Abdel-Wahab, O.; Andritsos, L.A.; Banerji, V.; Barrientos, J.; Blachly, J.S.; Call, T.G.; Catovsky, D.; Dearden, C.; Demeter, J.; et al. Consensus Guidelines for the Diagnosis and Management of Patients with Classic Hairy Cell Leukemia. Blood 2017, 129, 553–560. [Google Scholar] [CrossRef]
- Zhou, L.; Xu, H.; Zhou, J.; Ouyang, B.; Wang, C. A Rare Case of Hairy Cell Leukemia with Co-Expression of Cd5 and Cyclin D1: A Diagnostic Pitfall. Mol. Clin. Oncol. 2020, 13, 74. [Google Scholar] [CrossRef] [PubMed]
- Chen, Y.-H.; Tallman, M.S.; Goolsby, C.; Peterson, L. Immunophenotypic Variations in Hairy Cell Leukemia. Am. J. Clin. Pathol. 2006, 125, 251–259. [Google Scholar] [CrossRef] [PubMed]
- Cortazar, J.M.; DeAngelo, D.J.; Pinkus, G.S.; Morgan, E.A. Morphological and Immunophenotypical Features of Hairy Cell Leukaemia Involving Lymph Nodes and Extranodal Tissues. Histopathology 2017, 71, 112–124. [Google Scholar] [CrossRef]
- Garnache Ottou, F.; Chandesris, M.O.; Lhermitte, L.; Callens, C.; Beldjord, K.; Garrido, M.; Bedin, A.S.; Brouzes, C.; Villemant, S.; Rubio, M.T.; et al. Peripheral Blood 8 Colour Flow Cytometry Monitoring of Hairy Cell Leukaemia Allows Detection of High-Risk Patients. Br. J. Haematol. 2014, 166, 50–59. [Google Scholar] [CrossRef] [PubMed]
- Akarca, A.U.; Shende, V.H.; Ramsay, A.D.; Diss, T.; Pane-Foix, M.; Rizvi, H.; Calaminici, M.R.; Grogan, T.M.; Linch, D.; Marafioti, T. BRAF V600E Mutation-Specific Antibody, a Sensitive Diagnostic Marker Revealing Minimal Residual Disease in Hairy Cell Leukaemia. Br. J. Haematol. 2013, 162, 848–851. [Google Scholar] [CrossRef]
- Cornet, E.; Tomowiak, C.; Tanguy-Schmidt, A.; Lepretre, S.; Dupuis, J.; Feugier, P.; Devidas, A.; Mariette, C.; Leblond, V.; Thiéblemont, C.; et al. Long-Term Follow-up and Second Malignancies in 487 Patients with Hairy Cell Leukaemia. Br. J. Haematol. 2014, 166, 390–400. [Google Scholar] [CrossRef]
- Else, M.; Dearden, C.E.; Catovsky, D. Long-Term Follow-up after Purine Analogue Therapy in Hairy Cell Leukaemia. Best Pract. Res. Clin. Haematol. 2015, 28, 217–229. [Google Scholar] [CrossRef]
- Chihara, D.; Kantarjian, H.; O’Brien, S.; Jorgensen, J.; Pierce, S.; Faderl, S.; Ferrajoli, A.; Poku, R.; Jain, P.; Thompson, P.; et al. Long-Term Durable Remission by Cladribine Followed by Rituximab in Patients with Hairy Cell Leukaemia: Update of a Phase II Trial. Br. J. Haematol. 2016, 174, 760–766. [Google Scholar] [CrossRef]
- Chihara, D.; Arons, E.; Stetler-Stevenson, M.; Yuan, C.M.; Wang, H.W.; Zhou, H.; Raffeld, M.; Xi, L.; Steinberg, S.M.; Feurtado, J.; et al. Randomized Phase II Study of First-Line Cladribine with Concurrent or Delayed Rituximab in Patients with Hairy Cell Leukemia. J. Clin. Oncol. 2020, 38, 1527–1538. [Google Scholar] [CrossRef]
- Kreitman, R.J.; Dearden, C.; Zinzani, P.L.; Delgado, J.; Karlin, L.; Robak, T.; Gladstone, D.E.; le Coutre, P.; Dietrich, S.; Gotic, M.; et al. Moxetumomab Pasudotox in Relapsed/Refractory Hairy Cell Leukemia. Leukemia 2018, 32, 1768–1777. [Google Scholar] [CrossRef]
- Tiacci, E.; Park, J.H.; De Carolis, L.; Chung, S.S.; Broccoli, A.; Scott, S.; Zaja, F.; Devlin, S.; Pulsoni, A.; Chung, Y.R.; et al. Targeting Mutant BRAF in Relapsed or Refractory Hairy-Cell Leukemia. N. Engl. J. Med. 2015, 373, 1733–1747. [Google Scholar] [CrossRef] [PubMed]
- Dietrich, S.; Pircher, A.; Endris, V.; Peyrade, F.; Wendtner, C.M.; Follows, G.A.; Hüllein, J.; Jethwa, A.; Ellert, E.; Walther, T.; et al. BRAF Inhibition in Hairy Cell Leukemia with Low-Dose Vemurafenib. Blood 2016, 127, 2847–2855. [Google Scholar] [CrossRef]
- Maitre, E.; Cornet, E.; Troussard, X. Hairy Cell Leukemia: 2020 Update on Diagnosis, Risk Stratification, and Treatment. Am. J. Hematol. 2019, 94, 1413–1422. [Google Scholar] [CrossRef]
- Robak, T.; Janus, A.; Jamroziak, K.; Tiacci, E.; Kreitman, R.J. Vemurafenib and Rituximab in Patients with Hairy Cell Leukemia Previously Treated with Moxetumomab Pasudotox. J. Clin. Med. 2021, 10, 2800. [Google Scholar] [CrossRef] [PubMed]
- Bairey, O.; Shvidel, L.; Perry, C.; Dann, E.J.; Ruchlemer, R.; Tadmor, T.; Goldschmidt, N. Characteristics of Primary Splenic Diffuse Large B-Cell Lymphoma and Role of Splenectomy in Improving Survival. Cancer 2015, 121, 2909–2916. [Google Scholar] [CrossRef] [PubMed]
- Shimono, J.; Miyoshi, H.; Kiyasu, J.; Sato, K.; Kamimura, T.; Eto, T.; Miyagishima, T.; Nagafuji, K.; Teshima, T.; Ohshima, K. Clinicopathological Analysis of Primary Splenic Diffuse Large B-Cell Lymphoma. Br. J. Haematol. 2017, 178, 719–727. [Google Scholar] [CrossRef]
- Poeschel, V.; Held, G.; Ziepert, M.; Witzens-Harig, M.; Holte, H.; Thurner, L.; Borchmann, P.; Viardot, A.; Soekler, M.; Keller, U.; et al. Four versus Six Cycles of CHOP Chemotherapy in Combination with Six Applications of Rituximab in Patients with Aggressive B-Cell Lymphoma with Favourable Prognosis (FLYER): A Randomised, Phase 3, Non-Inferiority Trial. Lancet 2019, 394, 2271–2281. [Google Scholar] [CrossRef]
- Bologna, S.; Vander Borght, T.; Briere, J.; Ribrag, V.; Damaj, G.L.; Thieblemont, C.; Feugier, P.; Peyrade, F.; Lebras, L.; Coso, D.; et al. Early Positron Emission Tomography Response-adapted Treatment in Locallized Diffuse Large B-Cell Lymphoma (AAIPI = 0): Results of The Phase 3 LYSA LNH 09-1B Trial. Hematol. Oncol. 2021, 39. [Google Scholar] [CrossRef]
- Abramson, J.S. T-Cell/Histiocyte-Rich B-Cell Lymphoma: Biology, Diagnosis, and Management. Oncologist 2006, 11, 384–392. [Google Scholar] [CrossRef] [PubMed]
- Chang, C.C.; Bunyi-Teopengco, E.; Eshoa, C.; Chitambar, C.R.; Kampalath, B. CD5+ T-Cell/Histiocyte-Rich Large B-Cell Lymphoma. Mod. Pathol. 2002, 15, 1051–1057. [Google Scholar] [CrossRef]
- Tousseyn, T.; De Wolf-Peeters, C. T Cell/Histiocyte-Rich Large B-Cell Lymphoma: An Update on Its Biology and Classification. Virchows Arch. 2011, 459, 557–563. [Google Scholar] [CrossRef] [PubMed]
- Ponzoni, M.; Campo, E.; Nakamura, S. Intravascular Large B-Cell Lymphoma: A Chameleon with Multiple Faces and Many Masks. Blood 2018, 132, 1561–1567. [Google Scholar] [CrossRef]
- Ponzoni, M.; Ferreri, A.J.M.; Campo, E.; Facchetti, F.; Mazzucchelli, L.; Yoshino, T.; Murase, T.; Pileri, S.A.; Doglioni, C.; Zucca, E.; et al. Definition, Diagnosis, and Management of Intravascular Large B-Cell Lymphoma: Proposals and Perspectives from an International Consensus Meeting. J. Clin. Oncol. 2007, 25, 3168–3173. [Google Scholar] [CrossRef]
- Shimada, K.; Yamaguchi, M.; Atsuta, Y.; Matsue, K.; Sato, K.; Kusumoto, S.; Nagai, H.; Takizawa, J.; Fukuhara, N.; Nagafuji, K.; et al. Rituximab, Cyclophosphamide, Doxorubicin, Vincristine, and Prednisolone Combined with High-Dose Methotrexate plus Intrathecal Chemotherapy for Newly Diagnosed Intravascular Large B-Cell Lymphoma (PRIMEUR-IVL): A Multicentre, Single-Arm, Phase 2 Trial. Lancet Oncol. 2020, 21, 593–602. [Google Scholar] [CrossRef]
- Jain, P.; Dreyling, M.; Seymour, J.F.; Wang, M. High-Risk Mantle Cell Lymphoma: Definition, Current Challenges, and Management. J. Clin. Oncol. 2020, 38, 4302–4316. [Google Scholar] [CrossRef]



| CLL | cMCL | nn MCL | PLL | HCL | LPL | SMZL | |
|---|---|---|---|---|---|---|---|
| Clinical features | Lymphocytosis, lymphadenopathy, cytopenias, occasional autoimmune phenomena | Adenopathy, splenomegaly, frequent BM and GI infiltration, possible lymphocytosis | Lymphocytosis, splenomegaly without lymphadenopathy | Massive splenomegaly, rapidly raising lymphocytosis, systemic symptoms | Splenomegaly (occasionally bulky) without adenopathy; cytopenias, fatigue, opportunistic infections | Hepatosplenomegaly, lymphadenopathy, cytopenias, hyperviscosity, neuropathy, cryoglobulinemia, hemolytic anemia | Splenomegaly, cytopenias, variable lymphocytosis rare adenopathy, autoimmune phenomena |
| PB smear | Small round lymphocytes, scant cytoplasm, clumpy chromatin, smudged cells | Small lymphocytes with irregular nuclei (classical forms); variants with pleomorphic and blastoid cells (10%) | Small lymphocytes with irregular nuclei | >55% prolymphocytes | Small/medium lymphocytes with abundant pale cytoplasm and regular villous projections | (Occasionally) small lymphocytes, lymphoplasmocytes and plasma cells | Small lymphocytes with short, polar cytoplasmic projections (villous lymphocytes) |
| Phenotype | CD5-positive with CD20 dim light chain dim, CD79b dim/negative, CD23, CD200 and CD81 positove CD10 negative FMC7 negative | CD5-positive with CD19 + CD20 bright, CD22 bright, light chains bright CD79b bright CD23 CD200 and CD10 negative all except CLL FMC7 positive | Same as cMCL | Bright CD19, CD20, CD22, CD79a/CD79b and surface light chains. Variable CD5, CD200, CD23 | Bright CD19, CD20, CD22 and CD200. Annexin A1 and CD72 At least 3 of the following: CD25, CD11c, CD103 and CD123 | CD19-, CD20-, CD79a-, CD22dim-, CD25- + CD27-positive IgM-positive. Rare CD5-positive. CD10-, CD23-, CD103-negative | CD20-, CD19-, CD79a- and surface IgM- and IgD-positive. CD10- and CD23-negative CD43 is usually positive in all low-grade B-cell lymphomas except Follicular |
| BM histology | Diffuse or nodular infiltration by small lymphocytes; proliferation centers; paraimmunoblasts | Small lymphocytes with irregular nuclei in classical forms, Pleomorphic and blastoid cells forms in 10% cases | Small lymphocytes with irregular nuclei, dispersed chromatin, occasionally prominent nucleoli. | Interstitial or nodular infiltration by prolymphocytes | Interstitial infiltration by widely spaced tumor cells, “fried egg” appearance, positive Increased reticulin. | Diffuse, nodular and/or interstitial infiltration by small lymphocytes, lymphoplasmacytes and plasma cells. Mast cells frequently increased | Sinusoidal or nodular small lymphocytic infiltrate |
| Distinctive genetic findings | FISH panel * IGVH mutational status TP53 mutations | t(11;14)(q13;q32). Additional alterations (DNA repairing including TP53 mutations, cell cycle regulators, apoptosis). Genomic complexity. IGVH-unmutated | t(11;14)(q13;q32) Few additional genetic alterations. IGVH-mutated. Possible acquisition of TP53 and other poor prognosis mutations | TP53 mutations (75%). MYC abnormalities (50%) | BRAF V600F mutations (>90–95%) | MYD88L265P mutation (>90%). CRXC4 mutations (30–40%) | Del7q (25–40%), NOTCH2 (20–40%) and KLF2 (30–40%) mutations. Possible TP53 mutations |
| Spleen histology | Mostly white pulp, red pulp also involved. Proliferation centers less common than in LN Plasmacytoid differentiation possible | Expanded white pulp, infiltration of the red pulp possible. Nodules may be large and confluent. Residual germinal centers in 50% of cases. Possible marginal zone-like area at the periphery of the nodules. | Same as cMCL | White pulp nodules, red pulp also involved | Red pulp involvement with tumor cells filling cords. Hairy cells surrounding pooled erythrocytes (blood lakes/pseudosinusoids) | Nodular red pulp infiltration by lymphoplasmacytic cells. Diffuse growth also possible | Nodules in white pulp replacing germinal centers and effacing mantle zones. Marginal zone differentiation with dispersed centroblastic cells. Red pulp also involved with nodules of large cells, and small cells in the sinuses |
Publisher’s Note: MDPI stays neutral with regard to jurisdictional claims in published maps and institutional affiliations. |
© 2021 by the authors. Licensee MDPI, Basel, Switzerland. This article is an open access article distributed under the terms and conditions of the Creative Commons Attribution (CC BY) license (https://creativecommons.org/licenses/by/4.0/).
Share and Cite
Cabeçadas, J.; Nava, V.E.; Ascensao, J.L.; Gomes da Silva, M. How to Diagnose and Treat CD5-Positive Lymphomas Involving the Spleen. Curr. Oncol. 2021, 28, 4611-4633. https://doi.org/10.3390/curroncol28060390
Cabeçadas J, Nava VE, Ascensao JL, Gomes da Silva M. How to Diagnose and Treat CD5-Positive Lymphomas Involving the Spleen. Current Oncology. 2021; 28(6):4611-4633. https://doi.org/10.3390/curroncol28060390
Chicago/Turabian StyleCabeçadas, José, Victor E. Nava, Joao L. Ascensao, and Maria Gomes da Silva. 2021. "How to Diagnose and Treat CD5-Positive Lymphomas Involving the Spleen" Current Oncology 28, no. 6: 4611-4633. https://doi.org/10.3390/curroncol28060390
APA StyleCabeçadas, J., Nava, V. E., Ascensao, J. L., & Gomes da Silva, M. (2021). How to Diagnose and Treat CD5-Positive Lymphomas Involving the Spleen. Current Oncology, 28(6), 4611-4633. https://doi.org/10.3390/curroncol28060390

