Not COVID-19, Don’t Overlook Pneumocystis in Patients on Gefitinib!
Abstract
Simple Summary
Abstract
1. Introduction
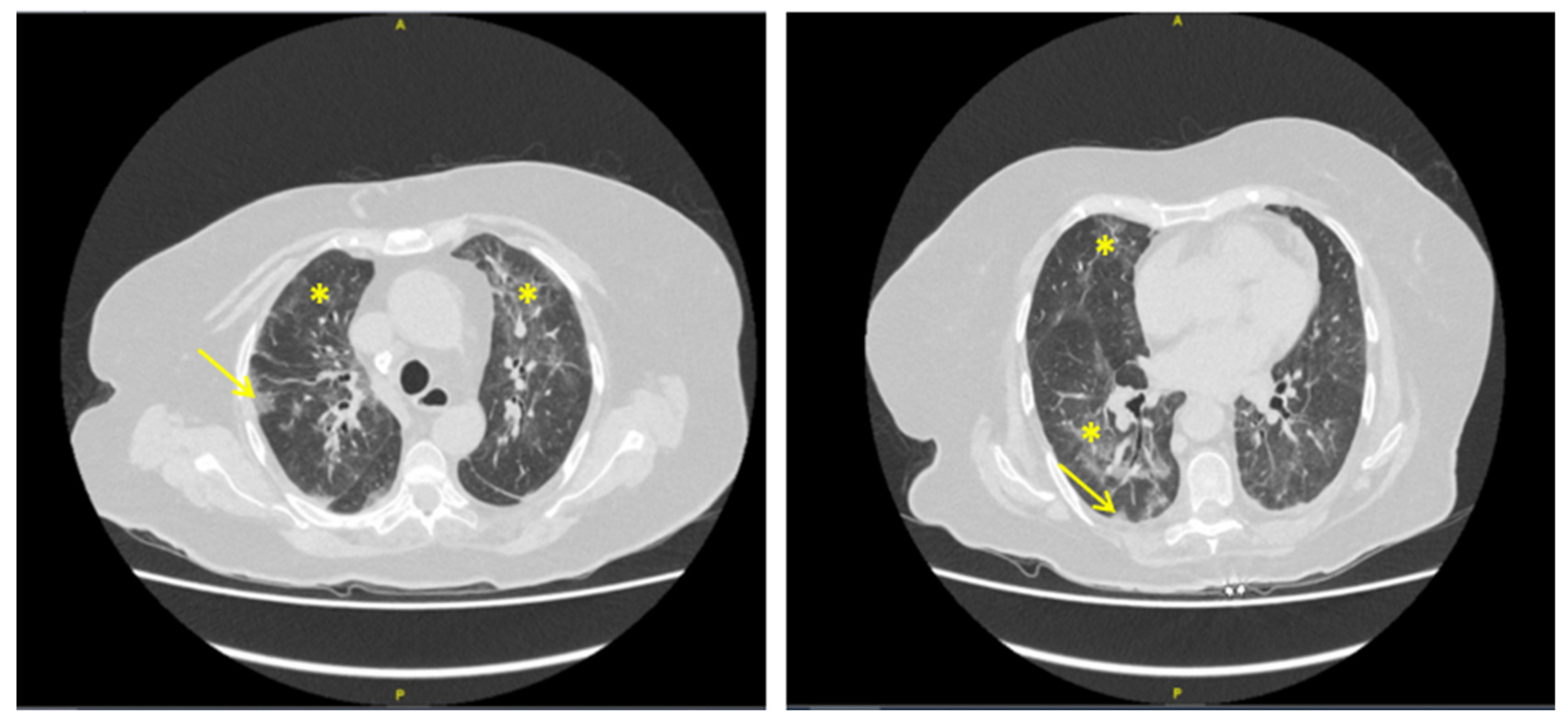
2. Case Presentation
3. Discussion
4. Conclusions
Author Contributions
Funding
Acknowledgments
Conflicts of Interest
References
- Ye, Z.; Zhang, Y.; Wang, Y.; Huang, Z.; Song, B. Chest CT Manifestations of New Coronavirus Disease 2019 (COVID-19): A Pictorial Review. Eur. Radiol. 2020, 30, 4381–4389. [Google Scholar] [CrossRef] [PubMed]
- Kovács, A.; Palásti, P.; Veréb, D.; Bozsik, B.; Palkó, A.; Kincses, Z.T. The Sensitivity and Specificity of Chest CT in the Diagnosis of COVID-19. Eur. Radiol. 2020. [Google Scholar] [CrossRef] [PubMed]
- The RECOVERY Collaborative Group. Dexamethasone in Hospitalized Patients with Covid-19—Preliminary Report. N. Engl. J. Med. 2020. [Google Scholar] [CrossRef]
- Simpson, S.; Kay, F.U.; Abbara, S.; Bhalla, S.; Chung, J.H.; Chung, M.; Henry, T.S.; Kanne, J.P.; Kligerman, S.; Ko, J.P.; et al. Radiological Society of North America Expert Consensus Statement on Reporting Chest CT Findings Related to COVID-19. Endorsed by the Society of Thoracic Radiology, the American College of Radiology, and RSNA—Secondary Publication. J. Thorac. Imaging 2020, 35, 219–227. [Google Scholar] [CrossRef] [PubMed]
- Lee, K.-C.; Kang, E.-Y.; Yong, H.S.; Kim, C.; Lee, K.Y.; Hwang, S.H.; Oh, Y.-W. A Stepwise Diagnostic Approach to Cystic Lung Diseases for Radiologists. Korean J Radiol. 2019, 20, 1368. [Google Scholar] [CrossRef] [PubMed]
- Salzer, H.J.F.; Schäfer, G.; Hoenigl, M.; Günther, G.; Hoffmann, C.; Kalsdorf, B.; Alanio, A.; Lange, C. Clinical, Diagnostic, and Treatment Disparities between HIV-Infected and Non-HIV-Infected Immunocompromised Patients with Pneumocystis Jirovecii Pneumonia. Respiration 2018, 96, 52–65. [Google Scholar] [CrossRef] [PubMed]
- Reinwald, M.; Silva, J.T.; Mueller, N.J.; Fortún, J.; Garzoni, C.; de Fijter, J.W.; Fernández-Ruiz, M.; Grossi, P.; Aguado, J.M. ESCMID Study Group for Infections in Compromised Hosts (ESGICH) Consensus Document on the Safety of Targeted and Biological Therapies: An Infectious Diseases Perspective (Intracellular Signaling Pathways: Tyrosine Kinase and MTOR Inhibitors). Clin. Microbiol. Infect. 2018, 24, S53–S70. [Google Scholar] [CrossRef] [PubMed]
- Schwarz, M.; Kocher, F.; Niedersuess-Beke, D.; Rudzki, J.; Hochmair, M.; Widmann, G.; Hilbe, W.; Pircher, A. Immunosuppression for Immune Checkpoint-Related Toxicity Can Cause Pneumocystis Jirovecii Pneumonia (PJP) in Non–Small-Cell Lung Cancer (NSCLC): A Report of 2 Cases. Clin. Lung Cancer 2019, 20, e247–e250. [Google Scholar] [CrossRef] [PubMed]
- Doello, K.; Amezcua, V.; García, J.; Valdivia, J. Pneumocystis Jirovecii Pneumonia in a Non-Small Cell Lung Cancer Patient on Chemoradiotherapy: A Case Report. Saudi J. Med. Med. Sci. 2020, 8, 53–55. [Google Scholar] [CrossRef] [PubMed]
- Chamilos, G.; Lionakis, M.S.; Kontoyiannis, D.P. Call for Action: Invasive Fungal Infections Associated with Ibrutinib and Other Small Molecule Kinase Inhibitors Targeting Immune Signaling Pathways. Clin. Infect Dis. 2018, 66, 140–148. [Google Scholar] [CrossRef] [PubMed]
- Pawelec, G. Does Patient Age Influence Anti-Cancer Immunity? Semin. Immunopathol. 2019, 41, 125–131. [Google Scholar] [CrossRef] [PubMed]
- Ryan, C.E.; Cheng, M.P.; Issa, N.C.; Brown, J.R.; Davids, M.S. Pneumocystis Jirovecii Pneumonia and Institutional Prophylaxis Practices in CLL Patients Treated with BTK Inhibitors. Blood Adv. 2020, 4, 1458–1463. [Google Scholar] [CrossRef] [PubMed]
- Lee, E.H.; Kim, E.Y.; Lee, S.H.; Roh, Y.H.; Leem, A.Y.; Song, J.H.; Kim, S.Y.; Chung, K.S.; Jung, J.Y.; Kang, Y.A.; et al. Risk Factors and Clinical Characteristics of Pneumocystis Jirovecii Pneumonia in Lung Cancer. Sci. Rep. 2019, 9, 2094. [Google Scholar] [CrossRef] [PubMed]
- Rawluk, J.; Waller, C.F. Gefitinib. Recent Results Cancer Res. 2018, 211, 235–246. [Google Scholar] [CrossRef] [PubMed]

Publisher’s Note: MDPI stays neutral with regard to jurisdictional claims in published maps and institutional affiliations. |
© 2021 by the authors. Licensee MDPI, Basel, Switzerland. This article is an open access article distributed under the terms and conditions of the Creative Commons Attribution (CC BY) license (http://creativecommons.org/licenses/by/4.0/).
Share and Cite
Barben, J.; Quipourt, V.; Vovelle, J.; Putot, A.; Manckoundia, P. Not COVID-19, Don’t Overlook Pneumocystis in Patients on Gefitinib! Curr. Oncol. 2021, 28, 961-964. https://doi.org/10.3390/curroncol28010094
Barben J, Quipourt V, Vovelle J, Putot A, Manckoundia P. Not COVID-19, Don’t Overlook Pneumocystis in Patients on Gefitinib! Current Oncology. 2021; 28(1):961-964. https://doi.org/10.3390/curroncol28010094
Chicago/Turabian StyleBarben, Jérémy, Valérie Quipourt, Jérémie Vovelle, Alain Putot, and Patrick Manckoundia. 2021. "Not COVID-19, Don’t Overlook Pneumocystis in Patients on Gefitinib!" Current Oncology 28, no. 1: 961-964. https://doi.org/10.3390/curroncol28010094
APA StyleBarben, J., Quipourt, V., Vovelle, J., Putot, A., & Manckoundia, P. (2021). Not COVID-19, Don’t Overlook Pneumocystis in Patients on Gefitinib! Current Oncology, 28(1), 961-964. https://doi.org/10.3390/curroncol28010094

