Resolution of Metastatic Subungal Eccrine Porocarcinoma Treated with Intralesional Interleukin-2
Abstract
1. Introduction
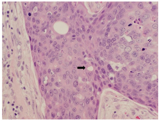
2. Case Report
3. Discussion
Author Contributions
Funding
Conflicts of Interest
References
- Rongioletti, F.; Mărgăritescu, I.; Smoller, B.R. Rare Malignant Skin Tumors; Springer: Berlin, Germany, 2015. [Google Scholar]
- Salih, A.M.; Kakamad, F.H.; Essa, R.A.; Rauf, G.M.; Masrur, S.A.; Shvan, H.M.; Rawezh, Q.S.; Hunar, A.H.; Dahat, A.H.; Othman, S. Porocarcinoma: A systematic review of literature with a single case report. Int. J. Surg. Case Rep. 2017, 30, 13–16. [Google Scholar] [CrossRef] [PubMed]
- Riera-Leal, L.; Guevara-Gutiérrez, E.; Barrientos-García, J.G.; Madrigal-Kasem, R.; Briseño-Rodríguez, G.; Tlacuilo-Parra, A. Eccrine porocarcinoma: Epidemiologic and histopathologic characteristics. Int. J. Dermatol. 2015, 54, 580–586. [Google Scholar] [CrossRef] [PubMed]
- Nazemi, A.; Higgins, S.; Swift, R.; In, G.; Miller, K.; Wysong, A. Eccrine Porocarcinoma. Dermatol. Surg. 2018, 44, 1247–1261. [Google Scholar] [CrossRef] [PubMed]
- Tolkachjov, S.N.; Hocker, T.L.; Camilleri, M.J.; Baum, C.L. Treatment of Porocarcinoma With Mohs Micrographic Surgery. Dermatol. Surg. 2016, 42, 745–750. [Google Scholar] [CrossRef] [PubMed]
- Fukuda, K.; Tabolli, S.; Fukuyama, M.; Kakuta, R.; Sato, M.; Nakamura, Y.; Tanese, K.; Masugi, Y.; Amagai, M. Metastatic eccrine porocarcinoma successfully treated with carboplatin and epirubicin chemotherapy. J. Dermatol. 2015, 42, 928–930. [Google Scholar] [CrossRef] [PubMed]
- Godillot, C.; Boulinguez, S.; Riffaud, L.; Sibaud, V.; Chira, C.; Tournier, E.; Paul, C.; Meyer, N. Complete response of a metastatic porocarcinoma treated with paclitaxel, cetuximab and radiotherapy. Eur. J. Cancer 2018, 90, 142–145. [Google Scholar] [CrossRef] [PubMed]
- Dummer, R.; Becker, J.C.; Boser, B.; Hartmann, A.A.; Burg, G. Successful Therapy of Metastatic Eccrine Poroma Using Perilesional Interferon Alfa and Interleukin 2. Arch. Dermatol. 1992, 128, 1127–1128. [Google Scholar] [CrossRef] [PubMed]
- Nagasawa, T.; Hirata, A.; Niiyama, S.; Enomoto, Y.; Fukuda, H. Successful treatment of porocarcinoma with maxacalcitol and imiquimod. Dermatol. Ther. 2019, 32, e12830. [Google Scholar] [CrossRef] [PubMed]
- Torchia, D.; Amorosi, A.; Cappugi, P. Intralesional Photodynamic Therapy for Eccrine Porocarcinoma. Dermatol. Surg. 2015, 41, 853–854. [Google Scholar] [CrossRef] [PubMed]
- Imafuku, K.; Hata, H.; Kitamura, S.; Iwata, H.; Shimizu, H. In-transit metastasis of advanced eccrine porocarcinoma. Int. J. Dermatol. 2015, 54, e503–e505. [Google Scholar] [CrossRef] [PubMed]
- A Rosalia, R.; Arenas-Ramirez, N.; Bouchaud, G.; Raeber, M.E.; Boyman, O. Use of enhanced interleukin-2 formulations for improved immunotherapy against cancer. Curr. Opin. Chem. Biol. 2014, 23, 39–46. [Google Scholar] [CrossRef] [PubMed]
- Klapper, J.A.; Downey, S.G.; Smith, F.O.; Yang, J.C.-H.; Hughes, M.S.; Kammula, U.S.; Sherry, R.M.; Royal, R.E.; Steinberg, S.M.; Rosenberg, S. High-dose interleukin-2 for the treatment of metastatic renal cell carcinoma. Cancer 2008, 113, 293–301. [Google Scholar] [CrossRef] [PubMed]
- Atkins, M.B.; Lotze, M.T.; Dutcher, J.P.; Fisher, R.I.; Weiss, G.; Margolin, K.; Abrams, J.; Sznol, M.; Parkinson, D.; Hawkins, M.; et al. High-Dose Recombinant Interleukin 2 Therapy for Patients with Metastatic Melanoma: Analysis of 270 Patients Treated Between 1985 and 1993. J. Clin. Oncol. 1999, 17, 2105. [Google Scholar] [CrossRef] [PubMed]
- Smith, F.O.; Downey, S.G.; Klapper, J.A.; Yang, J.C.; Sherry, R.M.; Royal, R.E.; Kammula, U.S.; Hughes, M.S.; Restifo, N.P.; Levy, C.L.; et al. Treatment of Metastatic Melanoma Using Interleukin-2 Alone or in Conjunction with Vaccines. Clin. Cancer Res. 2008, 14, 5610–5618. [Google Scholar] [CrossRef] [PubMed]
- Hassan, S.; Petrella, T.M.; Zhang, T.; Kamel-Reid, S.; Nordio, F.; Baccarelli, A.; Sade, S.; Naert, K.; Al Habeeb, A.; Ghazarian, D.; et al. Pathologic Complete Response to Intralesional Interleukin-2 Therapy Associated with Improved Survival in Melanoma Patients with In-Transit Disease. Ann. Surg. Oncol. 2014, 22, 1950–1958. [Google Scholar] [CrossRef] [PubMed]
- Nouri, N.; Garbe, C. Intralesional immunotherapy as a strategy to treat melanoma. Expert Opin. Biol. Ther. 2016, 16, 619–626. [Google Scholar] [CrossRef] [PubMed]
- Palleschi, G.M.; Dragoni, F.; Urso, C. Subungual Eccrine Porocarcinoma. Dermatol. Surg. 2017, 43, 995–996. [Google Scholar] [CrossRef] [PubMed]
- Bhari, N.; Arava, S.K.; Jangid, B.L.; Srivastava, A.; Sharma, V.K. A fleshy growth below the nail plate in an elderly man. Int. J. Dermatol. 2017, 56, 899–901. [Google Scholar] [CrossRef] [PubMed]



Publisher’s Note: MDPI stays neutral with regard to jurisdictional claims in published maps and institutional affiliations. |
© 2020 by the authors. Licensee MDPI, Basel, Switzerland. This article is an open access article distributed under the terms and conditions of the Creative Commons Attribution (CC BY) license (http://creativecommons.org/licenses/by/4.0/).
Share and Cite
Drohan, A.; Melvin, J.; Murphy, J.; Giacomantonio, C.; Helyer, L. Resolution of Metastatic Subungal Eccrine Porocarcinoma Treated with Intralesional Interleukin-2. Curr. Oncol. 2021, 28, 220-225. https://doi.org/10.3390/curroncol28010024
Drohan A, Melvin J, Murphy J, Giacomantonio C, Helyer L. Resolution of Metastatic Subungal Eccrine Porocarcinoma Treated with Intralesional Interleukin-2. Current Oncology. 2021; 28(1):220-225. https://doi.org/10.3390/curroncol28010024
Chicago/Turabian StyleDrohan, Ashley, Jennifer Melvin, Joanne Murphy, Carman Giacomantonio, and Lucy Helyer. 2021. "Resolution of Metastatic Subungal Eccrine Porocarcinoma Treated with Intralesional Interleukin-2" Current Oncology 28, no. 1: 220-225. https://doi.org/10.3390/curroncol28010024
APA StyleDrohan, A., Melvin, J., Murphy, J., Giacomantonio, C., & Helyer, L. (2021). Resolution of Metastatic Subungal Eccrine Porocarcinoma Treated with Intralesional Interleukin-2. Current Oncology, 28(1), 220-225. https://doi.org/10.3390/curroncol28010024

