Successful Management of Natalizumab-Associated Primary Central Nervous System Lymphoma through Autologous Stem Cell Transplant
Abstract
1. Introduction
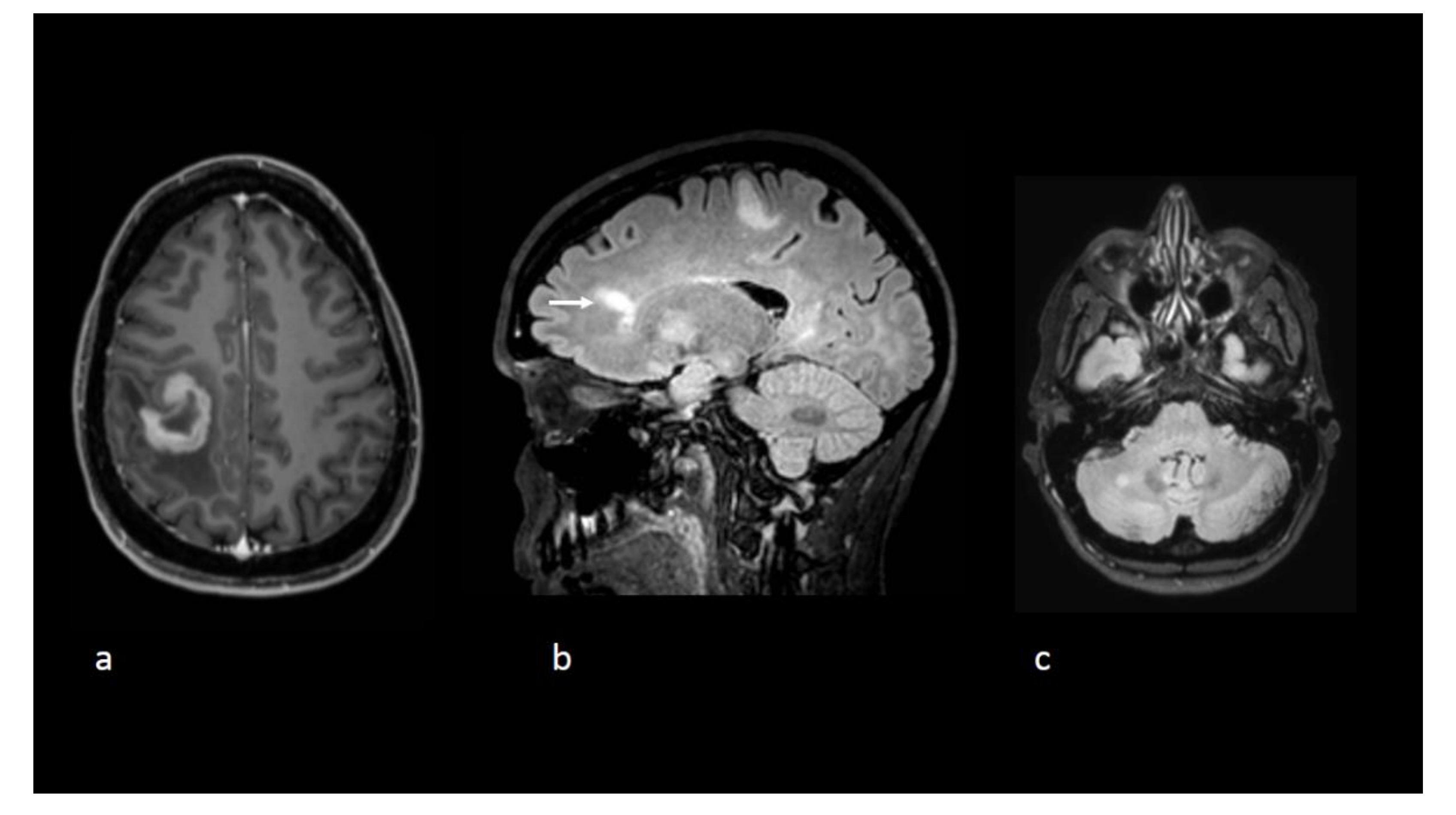
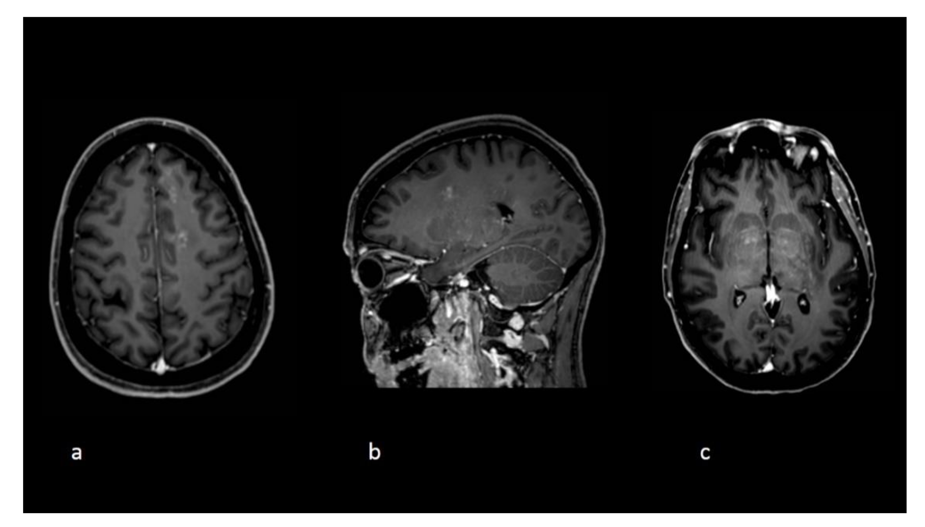
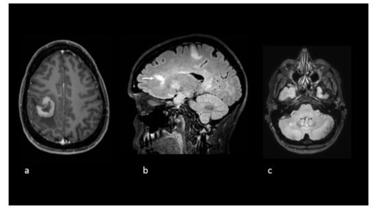
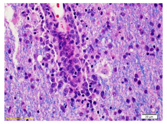
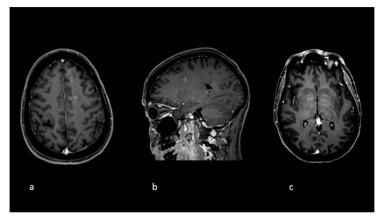
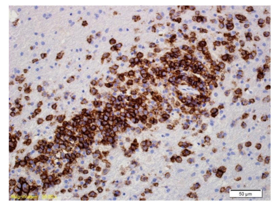
2. Case Description
3. Discussion
4. Conclusions
Author Contributions
Funding
Conflicts of Interest
References
- Schaff, L.R.; Grommes, C. Updates on Primary Central Nervous System Lymphoma. Curr. Oncol. Rep. 2018, 20, 11. [Google Scholar] [CrossRef] [PubMed]
- Bar-Or, A.; Pender, M.P.; Khanna, R.; Steinman, L.; Hartung, H.-P.; Maniar, T.; Croze, E.; Aftab, B.T.; Giovannoni, G.; Joshi, M.A. Epstein–Barr Virus in Multiple Sclerosis: Theory and Emerging Immunotherapies. Trends Mol. Med. 2020, 26, 296–310. [Google Scholar] [CrossRef] [PubMed]
- Ransohoff, R.M. Natalizumab for multiple sclerosis. N. Engl. J. Med. 2007, 356, 2622–2629. [Google Scholar] [CrossRef] [PubMed]
- Sartori, D.; Grundmark, B. Natalizumab and rapidly evolving central nervous system lymphoma. WHO Pharm. Newsl. 2017, 6, 14–19. [Google Scholar]
- Nixon, M.; Menger, R.P.; Kalakoti, P.; Thakur, J.D.; Dossani, R.H.; Sharma, K.; Nanda, A.; Guthikonda, B. Natalizumab-Associated Primary Central Nervous System Lymphoma. World Neurosurg. 2018, 109, 152–159. [Google Scholar] [CrossRef] [PubMed]
- Ferreri, A.J.M.; Cwynarski, K.; Pulczynski, E.; Ponzoni, M.; Deckert, M.; Politi, L.S.; Torri, V.; Fox, C.P.; La Rosé, P.; Schorb, E.; et al. Chemoimmunotherapy with methotrexate, cytarabine, thiotepa, and rituximab (MATRix regimen) in patients with primary CNS lymphoma: Results of the first randomisation of the International Extranodal Lymphoma Study Group-32 (IELSG32) phase 2 trial. Lancet Haematol. 2016, 3, e217–e227. [Google Scholar] [CrossRef]
- Naranjo, C.A.; Busto, U.; Sellers, E.M.; Sandor, P.; Ruiz, I.; Roberts, E.A.; Janecek, E.; Domecq, C.; Greenblatt, D.J. A method for estimating the probability of adverse drug reactions. Clin. Pharmacol. Ther. 1981, 30, 239–245. [Google Scholar] [CrossRef] [PubMed]
- Matzke, M.; Schreiber, S.; Elolf, E.; Metz, I.; Mawrin, C.; Heinze, H.-J.; Sailer, M. Natalizumab-associated central nervous system lymphoma?—Another patient. Mult. Scler. J. 2012, 18, 1653–1654. [Google Scholar] [CrossRef] [PubMed]
- Na, A.; Hall, N.; Kavar, B.; King, J.O. Central nervous system lymphoma associated with natalizumab. J. Clin. Neurosci. 2014, 21, 1068–1070. [Google Scholar] [CrossRef] [PubMed]
- Schweikert, A.; Hoshi, M.; Hemmer, B.; Berthele, A. Natalizumab and primary central nervous system lymphoma revisited. Ann. Neurol. 2011, 69, 1061–1062. [Google Scholar] [CrossRef]
- Ferreri, A.J.M.; Cwynarski, K.; Pulczynski, E.; Fox, C.P.; Schorb, E.; La Rosé, P.; Binder, M.; Fabbri, A.; Torri, V.; Minacapelli, E.; et al. Whole-brain radiotherapy or autologous stem-cell transplantation as consolidation strategies after high-dose methotrexate-based chemoimmunotherapy in patients with primary CNS lymphoma: Results of the second randomisation of the International Extranodal Lymphoma Study Group-32 phase 2 trial. Lancet Haematol. 2017, 4, e510–e523. [Google Scholar] [PubMed]
- Houillier, C.; Taillandier, L.; Dureau, S.; Lamy, T.; Laadhari, M.; Chinot, O.; Moluçon-Chabrot, C.; Soubeyran, P.; Gressin, R.; Choquet, S.; et al. Radiotherapy or Autologous Stem-Cell Transplantation for Primary CNS Lymphoma in Patients 60 Years of Age and Younger: Results of the Intergroup ANOCEF-GOELAMS Randomized Phase II PRECIS Study. J. Clin. Oncol. 2019, 37, 823. [Google Scholar] [CrossRef] [PubMed]
- Miller, R.C.; Lachance, D.H.; Lucchinetti, C.F.; Keegan, B.M.; Gavrilova, R.H.; Brown, P.D.; Weinshenker, B.G.; Rodriguez, M. Multiple sclerosis, brain radiotherapy, and risk of neurotoxicity: The Mayo Clinic experience. Int. J. Radiat. Oncol. 2006, 66, 1178–1186. [Google Scholar] [CrossRef] [PubMed]
- Das, J.; Sharrack, B.; Snowden, J. Autologous Haematopoietic Stem Cell Transplantation in Multiple Sclerosis: A Review of Current Literature and Future Directions for Transplant Haematologists and Oncologists. Curr. Hematol. Malign. Rep. 2019, 14, 127–135. [Google Scholar] [CrossRef] [PubMed]




| Agent | Dose | Posology |
|---|---|---|
| MATrix protocol | ||
| Rituximab | 375 mg/m2 | Intravenous (IV) on days −5 and 0 |
| Methotrexate | 3500 mg/m2 | IV on day 1 |
| Cytarabine | 2000 mg/m2 | IV every 12 hours (days 2 and 3) |
| Thiotepa | 30 mg/m2 | IV on day 4 |
| High-dose chemotherapy before autologous hematopoietic stem cell transplant | ||
| Carmustine | 400 mg/m2 | IV on day −6 |
| Thiotepa | 5 mg/kg | IV every 12 hours on days −5 and −4 |
Publisher’s Note: MDPI stays neutral with regard to jurisdictional claims in published maps and institutional affiliations. |
© 2020 by the authors. Licensee MDPI, Basel, Switzerland. This article is an open access article distributed under the terms and conditions of the Creative Commons Attribution (CC BY) license (http://creativecommons.org/licenses/by/4.0/).
Share and Cite
Moineau-Vallée, K.; Rinfret, J.; Luu Hoai, M.H.; St-Louis, V.; Berthelet, F.; Létourneau-Guillon, L.; Lemieux-Blanchard, É.; Prat, A.; Adam, J.-P. Successful Management of Natalizumab-Associated Primary Central Nervous System Lymphoma through Autologous Stem Cell Transplant. Curr. Oncol. 2021, 28, 203-208. https://doi.org/10.3390/curroncol28010022
Moineau-Vallée K, Rinfret J, Luu Hoai MH, St-Louis V, Berthelet F, Létourneau-Guillon L, Lemieux-Blanchard É, Prat A, Adam J-P. Successful Management of Natalizumab-Associated Primary Central Nervous System Lymphoma through Autologous Stem Cell Transplant. Current Oncology. 2021; 28(1):203-208. https://doi.org/10.3390/curroncol28010022
Chicago/Turabian StyleMoineau-Vallée, Karine, Justine Rinfret, My Hanh Luu Hoai, Valérie St-Louis, France Berthelet, Laurent Létourneau-Guillon, Émilie Lemieux-Blanchard, Alexandre Prat, and Jean-Philippe Adam. 2021. "Successful Management of Natalizumab-Associated Primary Central Nervous System Lymphoma through Autologous Stem Cell Transplant" Current Oncology 28, no. 1: 203-208. https://doi.org/10.3390/curroncol28010022
APA StyleMoineau-Vallée, K., Rinfret, J., Luu Hoai, M. H., St-Louis, V., Berthelet, F., Létourneau-Guillon, L., Lemieux-Blanchard, É., Prat, A., & Adam, J.-P. (2021). Successful Management of Natalizumab-Associated Primary Central Nervous System Lymphoma through Autologous Stem Cell Transplant. Current Oncology, 28(1), 203-208. https://doi.org/10.3390/curroncol28010022

