Next Article in Journal
Cardiology Update 20 India – an Educational Online Programme of the Zurich Heart House
Previous Article in Journal
Dual Antiplatelet Therapy After Percutaneous Coronary Intervention Over Time: One Size Does Not Fit All
 
 
Cardiovascular Medicine is published by MDPI from Volume 28 Issue 1 (2025). Previous articles were published by another publisher in Open Access under a CC-BY (or CC-BY-NC-ND) licence, and they are hosted by MDPI on mdpi.com as a courtesy and upon agreement with Editores Medicorum Helveticorum (EMH).
Font Type:
Arial Georgia Verdana
Font Size:
Aa Aa Aa
Line Spacing:
Column Width:
Background:
Case Report

Re-Re-Re-Operation bei Graftausriss der Aorten-Prothese: Stellenwert regelmässiger Nachkontrollen

by
Mönkediek Frederik
1,
Eckstein Friedrich S.
1,*,
Schurr Ulrich
1,
Zuber Michel
2 and
Koechlin Luca
1
1
Department of Cardiac Surgery, University Hospital Basel, Spitalstrasse 21, CH-4031 Basel, Switzerland
2
Ärztezentrum, Othmarsingen, Switzerland
*
Author to whom correspondence should be addressed.
Cardiovasc. Med. 2021, 24(5), w02135; https://doi.org/10.4414/cvm.2021.02135
Submission received: 9 June 2020 / Revised: 9 July 2020 / Accepted: 9 August 2020 / Published: 9 September 2020

Abstract

After intervention on the thoracic aorta, various early and late complications can occur. Here we present the case of a 63-year-old patient with a false aortic aneurysm 17 years after the last aortic surgery, stressing the importance of life-long follow-up.

Fallbericht

Anamnese und Diagnostik

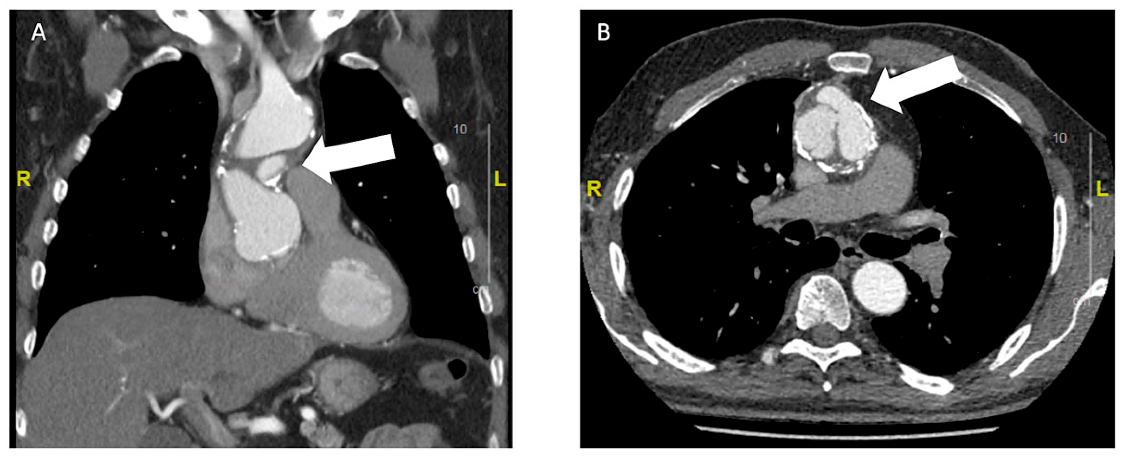
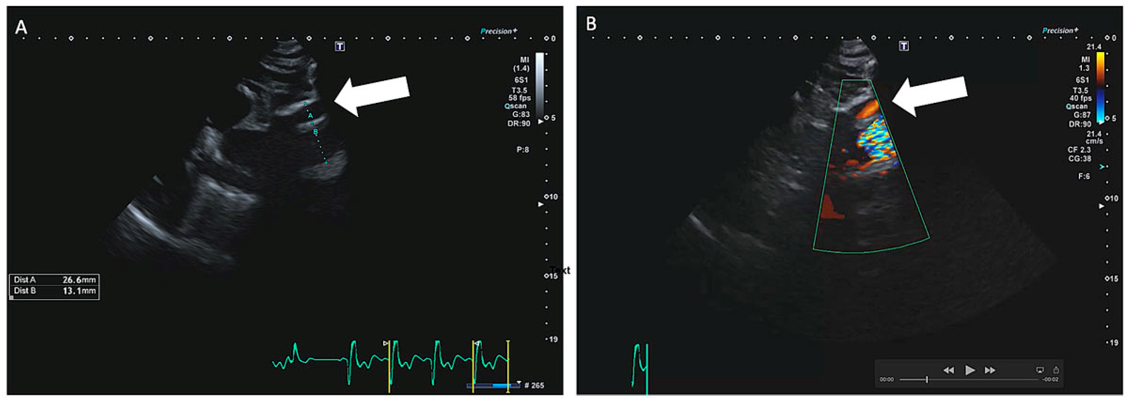
Bei einem 63-jährigen Patienten besteht ein Status nach mechanischem Aortenklappenersatz 1994 mittels St. Jude Medical© 25 mm bei kombiniertem Aortenklappenvitium, notfallmässigem Ersatz der Aorta ascendens mit 30-mm-Gefässprothese und Erhalt der Aortenklappenprothese im hypothermen Kreislaufstillstand bei Aortendissektion Typ A im Jahr 2001 und erneuter Reoperation bei Nahtaneurysmen mit Ersatz der Aorta ascendens und des Aortenbogens mit Haemoshield-Gefässprothese im Jahr 2003. Bei einer routinemässig durchgeführten Nachkontrolle durch den niedergelassenen Kardiologen wurde mittels transthorakaler Echokardiographie (TTE) ein perfundiertes Pseudoaneurysma im Bereich des proximalen Aortengrafts festgestellt (Abbildung 1). Daraufhin wurde der klinisch beschwerdefreie und hämodynamisch stabile Patient zur dringlichen Computertomographie (CT) in ein peripheres Spital überwiesen. Dort bestätigte sich der Verdacht eines Pseudoaneurysma im Sinne eines Nahthaneurysma (ca. 47 × 19 × 44 mm) ausgehend von der Aorta-ascendens-Prothese mit hochgradigem Verdacht auf Graftdehiszenz zwischen Ascendes- und Aortenbogengraft (Abbildung 2).
Abbildung 1. Nachweis des perfundierten Pseudoaneurysma (weisser Pfeil) in der echokardiographischen Kontrolle (A: parasternale lange Achse; B: mit Farbdoppler). Dabei zeigt sich die systolisch perfundierte Höhle vor dem Aortengraft.
Abbildung 1. Nachweis des perfundierten Pseudoaneurysma (weisser Pfeil) in der echokardiographischen Kontrolle (A: parasternale lange Achse; B: mit Farbdoppler). Dabei zeigt sich die systolisch perfundierte Höhle vor dem Aortengraft.
Cardiovascmed 24 w02135 g001
Abbildung 2. Die präoperative CT-Angiographie (A: frontaler Schnitt; B: transversaler Schnitt) zeigt das perfundierte Nahtaneurysma (weisser Pfeil).
Abbildung 2. Die präoperative CT-Angiographie (A: frontaler Schnitt; B: transversaler Schnitt) zeigt das perfundierte Nahtaneurysma (weisser Pfeil).
Cardiovascmed 24 w02135 g002
Daraufhin erfolgte die Verlegung zur operativen Sanierung. Bei Aufnahme zeigte sich im Rahmen weiterführender präoperativer Diagnostik, in einer erneut durchgeführten TTE-Untersuchung, eine linksventrikuläre Ejektionsfraktion (LVEF) von 48%. Es wurden keine Wandbewegungsstörungen und keine relevanten Herzklappendysfunktionen festgestellt. Der mittlere Druck über der Aortenklappen-Prothese war 19/11 mm Hg. Die rechtsventrikuläre Funktion, sowie der systolische pulmonal-arterielle Druck (19 mm Hg) waren normal. Ein Perikarderguss konnte nicht nachgewiesen werden. Laborchemisch zeigten sich leicht erhöhte Leukozyten (11.45 × 109/l) bei normalem C-reaktivem Protein (CRP). Im präoperativ durchgeführten Linksherzkatheter zeigten sich keine relevanten Stenosen der Herzkranzgefässe.

Therapie

Aufgrund des grossen Pseudoaneurysma mit Nachweis einer Peri-Graft-Perfusion wurde die Indikation zur baldigen Re-Re-Re-Operation gestellt und mit dem Patienten ausführlich die Operation und mögliche Komplikationen besprochen. Nach Kanülierung der rechten Arteria subclavia sowie perkutaner Kanülierung der rechten V. femoralis wurde die Herz-Lungen-Maschine installiert und der Patient mit Zieltemperatur 28 °C (Blase) heruntergekühlt. Nach medianer Sternotomie erfolgte die Einlage eines Linksventkatheters über die rechte obere Lungenvene bei flimmerndem Herzen. Danach wurde die Aorta ascendens distal im Bereich des Bogens geklemmt und die Aorta-ascendens-Prothese sowie das Aortenaneurysma inzidiert und selektiv kristalloide Kardioplegie verabreicht (Abbildung 3). Es zeigte sich eine Dehiszenz der beiden zusammengenähten Prothesen sowie ein schwer verkalkter sinotubulärer Übergang.
Abbildung 3. Intraoperative Abbildung mit der ehemaligen Aortenprothese (weisser Pfeil) sowie Anteilen des Pseudoaneurysma (schwarzer Pfeil; A: kaudal, B: kranial).
Abbildung 3. Intraoperative Abbildung mit der ehemaligen Aortenprothese (weisser Pfeil) sowie Anteilen des Pseudoaneurysma (schwarzer Pfeil; A: kaudal, B: kranial).
Cardiovascmed 24 w02135 g003
Nach Erreichen der angestrebten Körpertemperatur wurde in Kopf-Tief-Lage der Truncus brachiocephalicus geklemmt, unter singulärer, antegrader Hirnperfusion (via Arteria subclavia rechts) die Aortenklemme gelöst, die Ascendensprothese bis an den Abgang des Truncus brachiocephalicus reseziert und eine 30-mm-Vascutek©-Antefloprothese an die Bogenprothese anastomosiert. Im Weiteren wurde die aortale Kanüle der Herz-Lungen-Maschine an die eingenähte Antefloprothese angeschlossen, der Patient gewärmt und im Bereich des sinutubulären Überganges der Graft End-zu-End mit der Aortenprothese vernäht. Nach Wiederaufwärmen des Patienten und Reperfusion erfolgte der problemlose Abgang von der Herz-Lungen-Maschine.

Verlauf

Der postoperative Verlauf gestaltete sich unkompliziert. Der Patient konnte am ersten postoperativen Tag extubiert und am zweiten postoperativen Tag von der Intensivstation auf die Normalstation verlegt werden. Eine CT-Kontrolle vor Austritt zeigte einen regelrechten postoperativen Situs. Am 13. postoperativen Tag erfolgte die Verlegung in die Rehabilitation.

Diskussion

Da es nach Eingriffen an der thorakalen Aorta zu diversen Früh- und Spätkomplikationen, wie beispielsweise Pseudoaneurysmata (Nahtaneurysmata), aneurysmatischen Erweiterungen der in situ belassenen Teile der Aorta oder Infektionen kommen kann, sind Nachkontrollen (klinisch sowie mittels Bildgebung) neben einer strengen Blutdruckeinstellung ein wesentlicher Bestandteil der Betreuung von betroffenen Patienten [1,2,3,4].
Die Europäische Gesellschaft der Kardiologie (European Society of Cardiology, ESC) empfiehlt in ihren Guidelines nach Interventionen an der thorakalen Aorta, offen oder endovaskulär (thoracic endovascular aortic repair, TEVAR), generell eine Nachsorge nach einem Monat (zum Ausschluss einer Frühkomplikation), nach sechs Monaten, nach 12 Monaten und anschliessend in jährlichen Abständen [1]. Klinisch steht zudem eine normotone Blutdruckeinstellung im Vordergrund [1].
Während die Guidelines nach TEVAR-Interventionen CT Kontrollen nach 1,6 und 12 Monaten und danach in jährlichen Intervallen empfehlen (mit Möglichkeit von 2 Jahres-Intervallen bei einem stabilen Verlauf über 24 Monate), sind die Empfehlungen nach chirurgischer Therapie weniger stringent. Sollte nach einem Jahr ein stabiler Verlauf im CT dokumentiert worden sein, sind weniger häufige Kontrollen vermutlich ausreichend. Im Falle einer stattgehabten Dissektion mit Ausbreitung der Dissektionsmembran bis in die abdominale Aorta oder weiter peripher sind jedoch ähnliche Intervalle anzustreben wie nach TEVAR [1].
Dieses ist in Einklang mit unserer internen Follow-up-Strategie bei Patienten nach chirurgischem Ersatz oder Eingriffen an der Aorta ascendens. Patienten nach Eingriffen an der Aorta ascendens, z.B. nach Aneurysma der Aorta ascendens, nach Typ-A-Dissektion oder nach Aortenwurzelrekonstruktion, erhalten noch vor Austritt aus dem Spital eine CT- Kontrolle. Im Anschluss daran finden nach 6 und 12 Monaten weitere CT- Kontrollen innerhalb einer spezialisierten, chirurgisch geführten «Aortensprechstunde» statt. In Abhängigkeit vom aktuellen Untersuchungsbefund und dem Alter des Patienten wird ein individueller Nachkontroll-Rhythmus für die bildgebenden Nachkontrollen festgelegt, dies meist als jährliche Nachkontrollen. Eine zusätzliche klinische kardiologische Kontrolle zur strikten Blutdruckeinstellung und transthorakaler Echokardiographie (TTE) sollte jedoch zwingend jährlich erfolgen.
Beim Patienten aus unserem Fallbericht war der Prothesenausriss ein Zufallsbefund im TTE 17 Jahre nach der letzten Operation. Hier bestand die Nachkontrolle aus einem jährlichen Kontrolltermin beim niedergelassenen Kardiologen, bei dem zur Diagnostik jeweils ein TTE durchgeführt wurde. In einem solchen wurde auch das Nahtaneurysma nachgewiesen und die weitere Diagnostik und Therapie in die Wege geleitet.
Zusammenfassend möchten wir mit unserem Fallbericht auf die Notwendigkeit regelmässiger klinischer und bildgebender Nachkontrollen nach Chirurgie an der thorakalen Aorta und im speziellen nach Operationen an der Aorta ascendens hinweisen.

Das Wichtigste für die Praxis

  • Nach Eingriffen an der thorakalen Aorta kann es zu diversen Früh- als auch Spätkomplikationen, wie beispielsweise Pseudoaneurysmata (Nahtaneurysmata), aneurysmatischen Erweiterungen der Prothesen, der in situ belassenen Teile der Aorta oder Infektionsproblematiken kommen.
  • Klinisch steht eine gute Blutdruckeinstellung im Vordergrund, diese sollte mindestens einmal jährlich erfolgen.
  • Regelmässige klinische, echokardiographische und computertomographische Nachkontrollen sind generell ein wesentlicher Bestandteil der Betreuung von Patienten nach Aortenchirurgie.
  • Initial sollten bildgeberische Kontrollen 1,6 und 12 Monate postoperativ und danach in jährlichen Intervallen durchgeführt werden. In Abhängigkeit vom aktuellen Untersuchungsbefund und dem Alter des Patienten kann ein individueller Nachkontroll-Rhythmus für die bildgebenden Nachkontrollen festgelegt werden.

Disclosure Statement

No financial support and no other potential conflict of interest relevant to this article was reported.

References

  1. Erbel, R.; Aboyans, V.; Boileau, C.; Bossone, E.; Bartolomeo, R.D.; Eggebrecht, H.; The Task Force for the Diagnosis and Treatment of Aortic Diseases of the European Society of Cardiology (ESC); et al. 2014 ESC Guidelines on the diagnosis and treatment of aortic diseases: Document covering acute and chronic aortic diseases of the thoracic and abdominal aorta of the adult. Eur Heart J. 2014, 35, 2873–2926. [Google Scholar] [CrossRef] [PubMed]
  2. Mohammadi, S.; Bonnet, N.; Leprince, P.; Kolsi, M.; Rama, A.; Pavie, A.; et al. Reoperation for false aneurysm of the ascending aorta after its prosthetic replacement: surgical strategy. Ann Thorac Surg. 2005, 79, 147–152, discussion 152. [Google Scholar] [CrossRef] [PubMed]
  3. Di Eusanio, M.; Berretta, P.; Bissoni, L.; Petridis, F.D.; Di Marco, L.; Di Bartolomeo, R. Re-operations on the proximal thoracic aorta: results and predictors of short- and long-term mortality in a series of 174 patients. Eur J Cardiothorac Surg. 2011, 40, 1072–1076. [Google Scholar] [CrossRef] [PubMed][Green Version]
  4. Leontyev, S.; Borger, M.A.; Davierwala, P.; Walther, T.; Lehmann, S.; Kempfert, J.; et al. Redo aortic valve surgery: early and late outcomes. Ann Thorac Surg. 2011, 91, 1120–1126. [Google Scholar] [CrossRef] [PubMed]

Share and Cite

MDPI and ACS Style

Frederik, M.; Friedrich S., E.; Ulrich, S.; Michel, Z.; Luca, K. Re-Re-Re-Operation bei Graftausriss der Aorten-Prothese: Stellenwert regelmässiger Nachkontrollen. Cardiovasc. Med. 2021, 24, w02135. https://doi.org/10.4414/cvm.2021.02135

AMA Style

Frederik M, Friedrich S. E, Ulrich S, Michel Z, Luca K. Re-Re-Re-Operation bei Graftausriss der Aorten-Prothese: Stellenwert regelmässiger Nachkontrollen. Cardiovascular Medicine. 2021; 24(5):w02135. https://doi.org/10.4414/cvm.2021.02135

Chicago/Turabian Style

Frederik, Mönkediek, Eckstein Friedrich S., Schurr Ulrich, Zuber Michel, and Koechlin Luca. 2021. "Re-Re-Re-Operation bei Graftausriss der Aorten-Prothese: Stellenwert regelmässiger Nachkontrollen" Cardiovascular Medicine 24, no. 5: w02135. https://doi.org/10.4414/cvm.2021.02135

APA Style

Frederik, M., Friedrich S., E., Ulrich, S., Michel, Z., & Luca, K. (2021). Re-Re-Re-Operation bei Graftausriss der Aorten-Prothese: Stellenwert regelmässiger Nachkontrollen. Cardiovascular Medicine, 24(5), w02135. https://doi.org/10.4414/cvm.2021.02135

Article Metrics

Back to TopTop