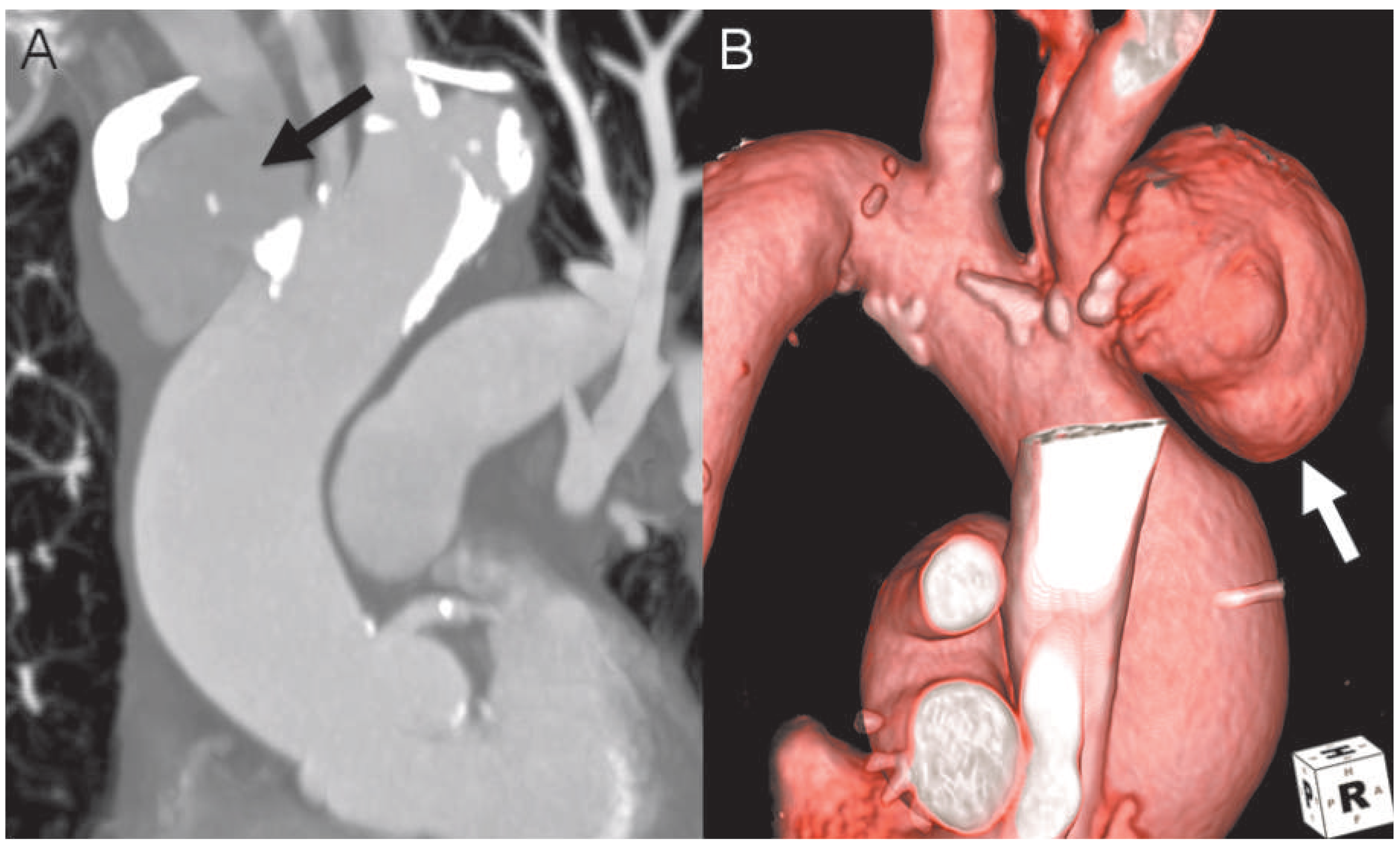
Simple Repair Technique for Rupture of the Brachiocephalic Trunk
Funding/Potential Competing Interests


© 2015 by the author. Attribution-Non-Commercial-NoDerivatives 4.0.
Share and Cite
Zuk, G.; Bremerich, J.; Eckstein, F.; Matt, P. Simple Repair Technique for Rupture of the Brachiocephalic Trunk. Cardiovasc. Med. 2015, 18, 68. https://doi.org/10.4414/cvm.2015.00320
Zuk G, Bremerich J, Eckstein F, Matt P. Simple Repair Technique for Rupture of the Brachiocephalic Trunk. Cardiovascular Medicine. 2015; 18(2):68. https://doi.org/10.4414/cvm.2015.00320
Chicago/Turabian StyleZuk, Grzegorz, Jens Bremerich, Friedrich Eckstein, and Peter Matt. 2015. "Simple Repair Technique for Rupture of the Brachiocephalic Trunk" Cardiovascular Medicine 18, no. 2: 68. https://doi.org/10.4414/cvm.2015.00320
APA StyleZuk, G., Bremerich, J., Eckstein, F., & Matt, P. (2015). Simple Repair Technique for Rupture of the Brachiocephalic Trunk. Cardiovascular Medicine, 18(2), 68. https://doi.org/10.4414/cvm.2015.00320
