Asymptomatic Bland-White-Garland Syndrome in a 13-Year-Old Girl
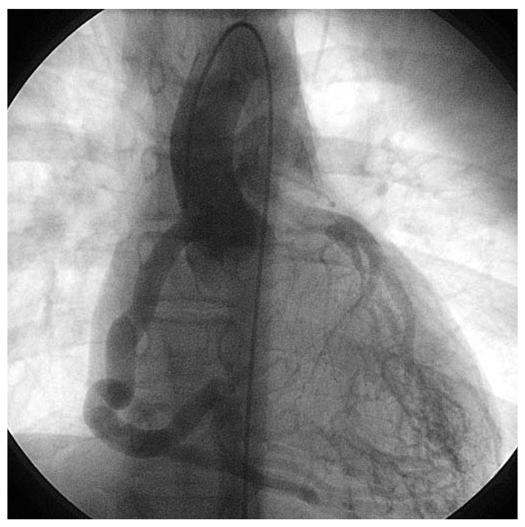
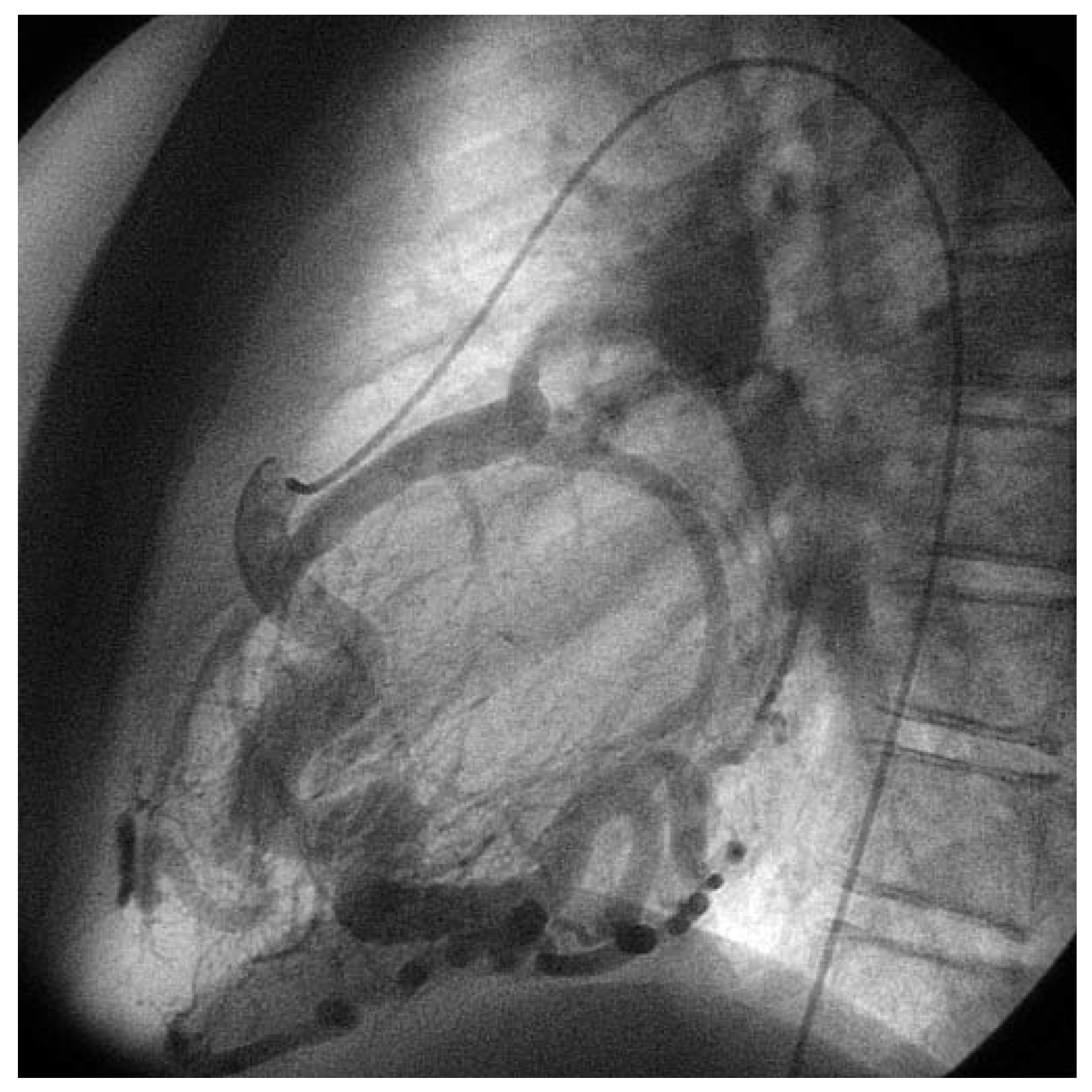
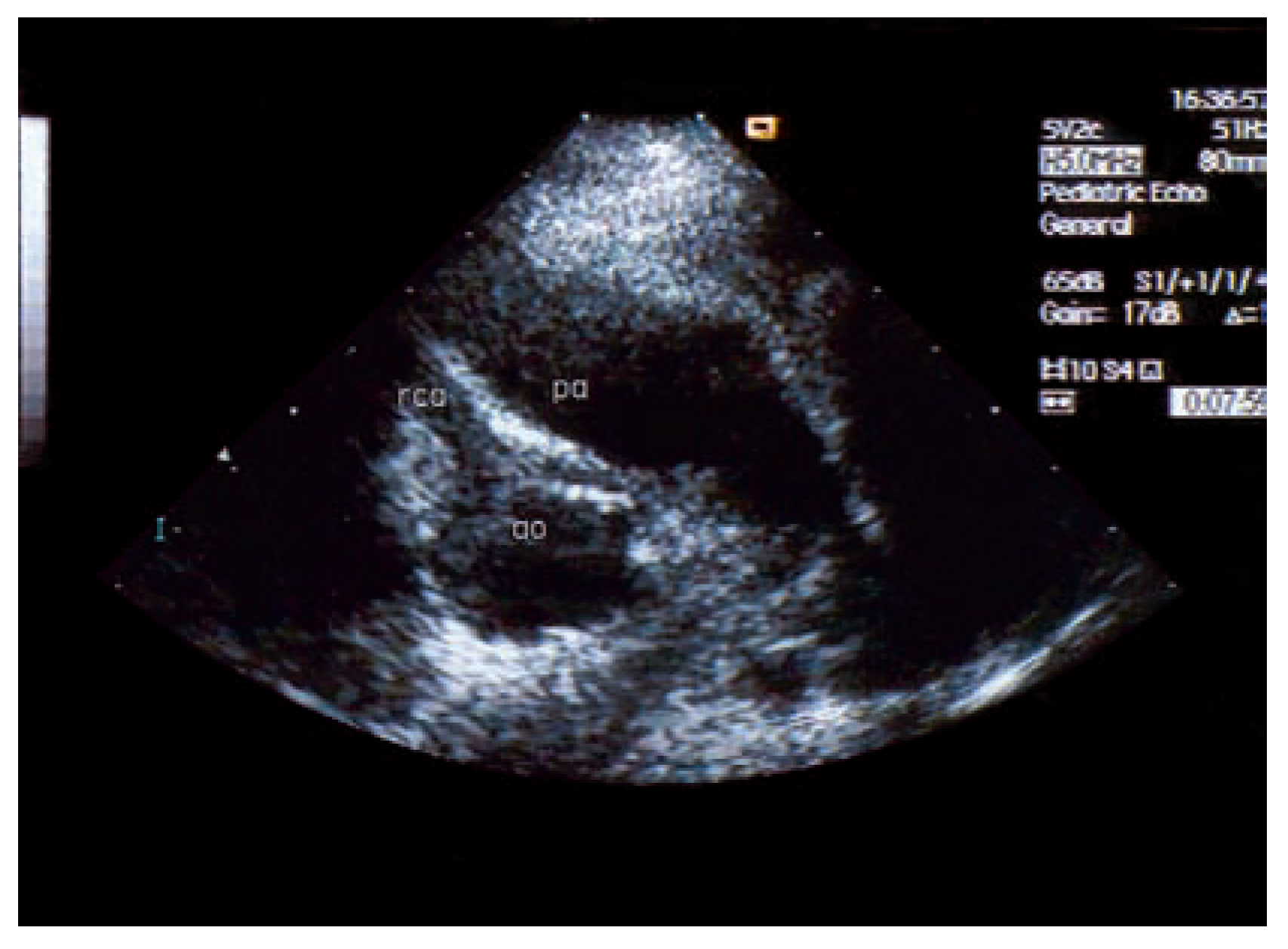
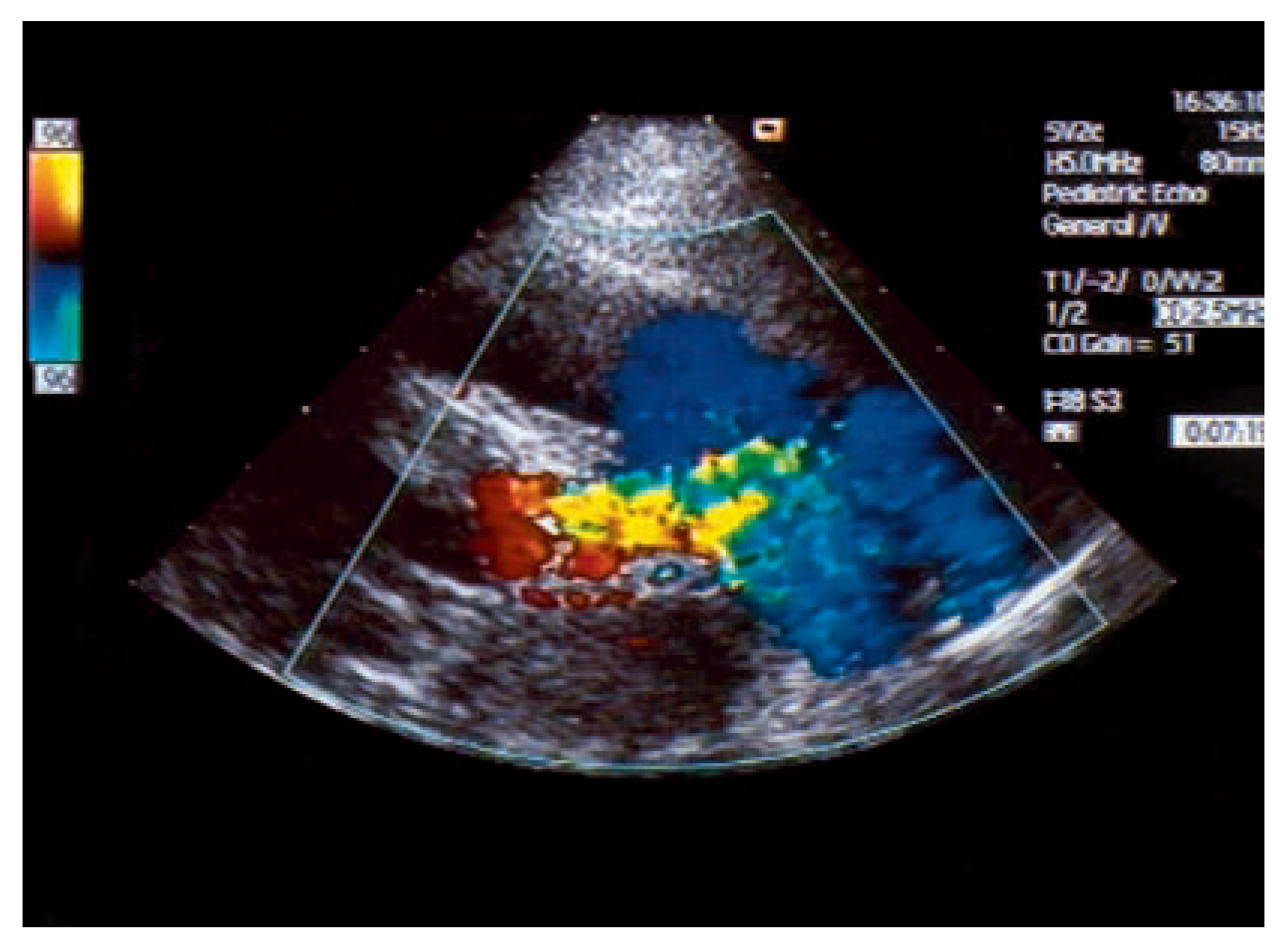
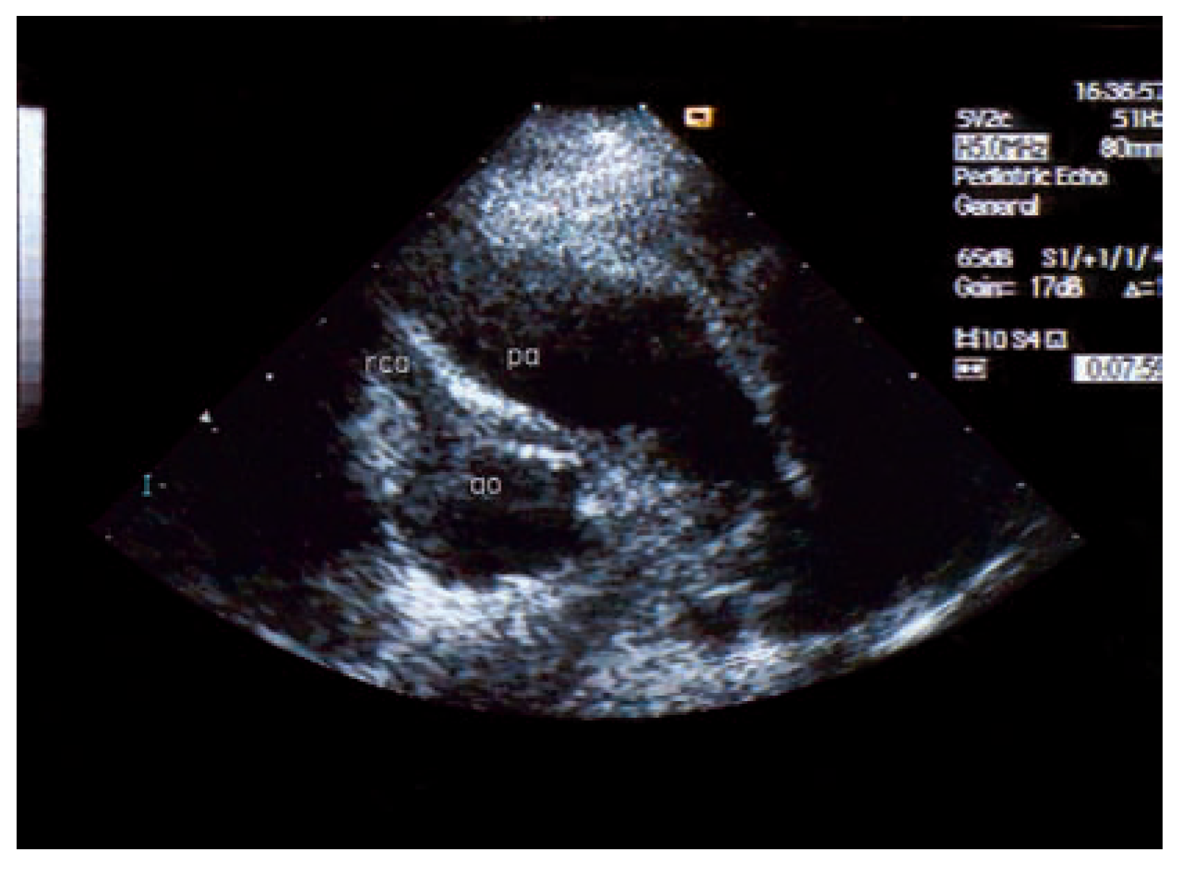
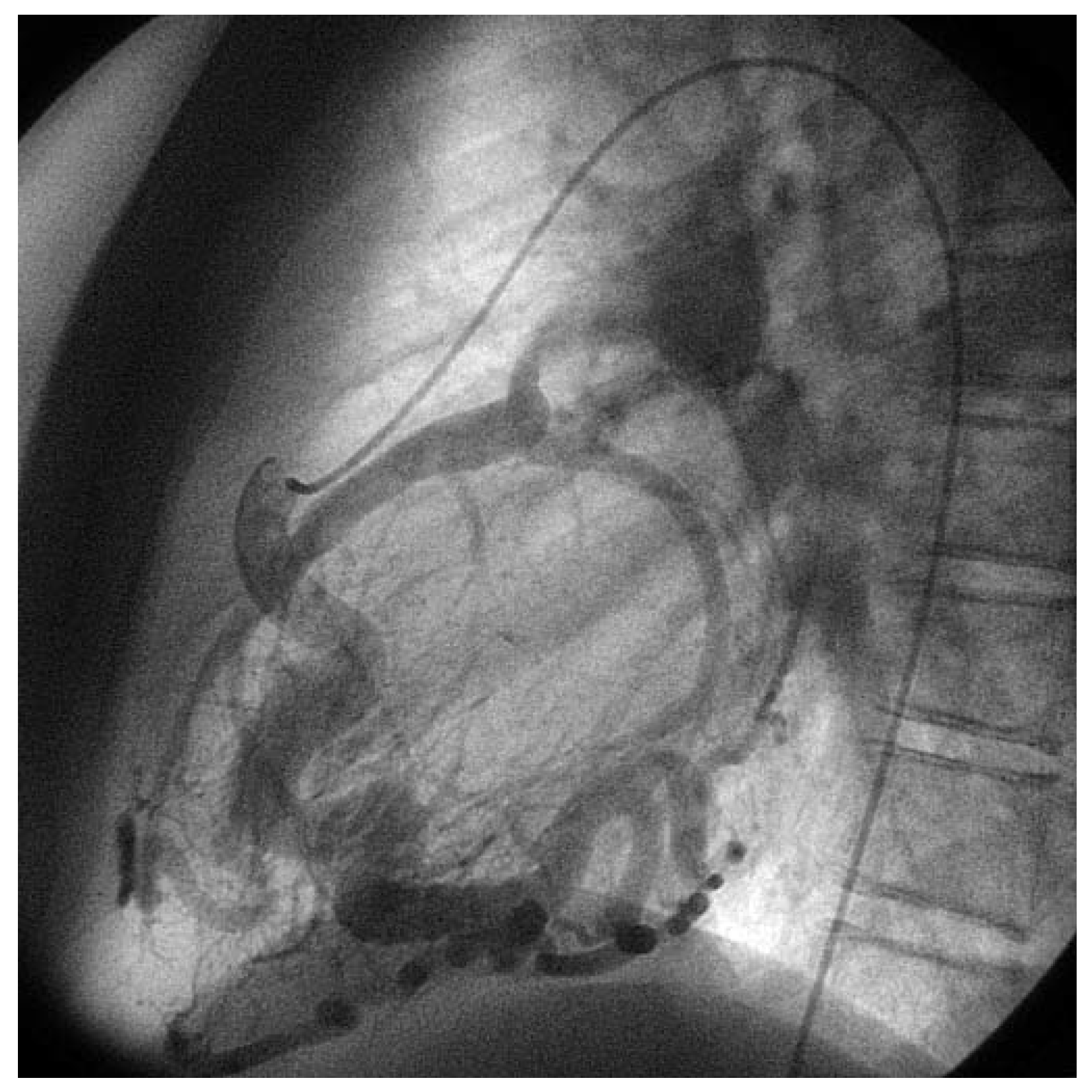
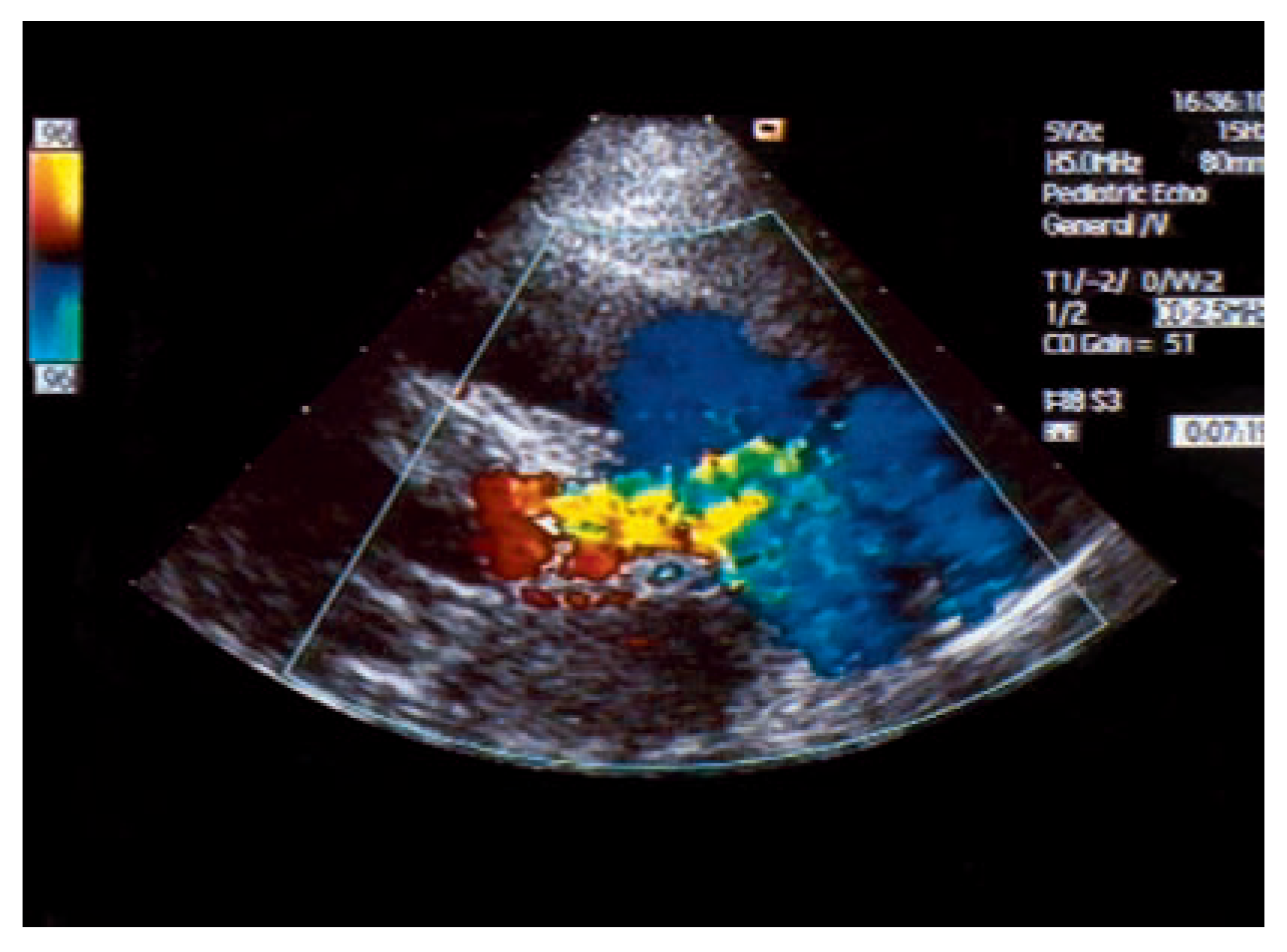
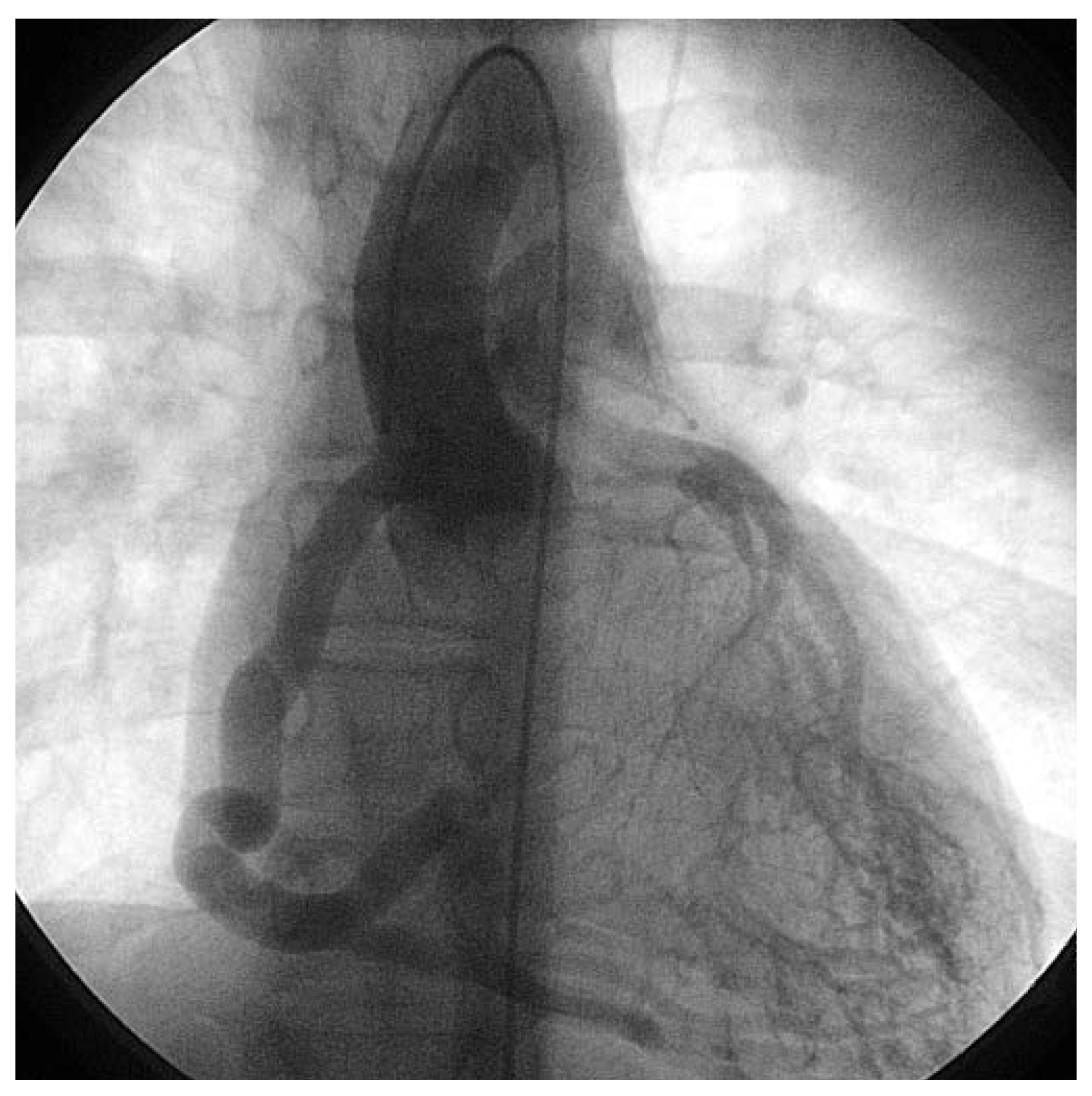
Case report





Discussion
References
- Bolt, I.; Spalinger, J.; Pfammatter, J.P. Cardiac features in the presymptomatic period in a neonate with anomalous left coronary artery arising from the pulmonary artery. Cardiol Young. 2003, 13, 579–581. [Google Scholar] [CrossRef] [PubMed]
- Barbetakis, N.; Efstathiou, A.; Efstathiou, N.; Papagiannopolou, P.; Soulountsi, V.; et al. A long term survivor of Bland-WhiteGarland syndrome with systemic collateral supply: Case report and review of the literature. BMC Surg. 2005, 5, 23. [Google Scholar] [CrossRef] [PubMed]
© 2007 by the authors. Attribution—Non-Commercial—NoDerivatives 4.0.
Share and Cite
Pfammatter, J.-P.; Pavlovic, M.; Windecker, S. Asymptomatic Bland-White-Garland Syndrome in a 13-Year-Old Girl. Cardiovasc. Med. 2007, 10, 179. https://doi.org/10.4414/cvm.2007.01247
Pfammatter J-P, Pavlovic M, Windecker S. Asymptomatic Bland-White-Garland Syndrome in a 13-Year-Old Girl. Cardiovascular Medicine. 2007; 10(5):179. https://doi.org/10.4414/cvm.2007.01247
Chicago/Turabian StylePfammatter, Jean-Pierre, Mladen Pavlovic, and Stephan Windecker. 2007. "Asymptomatic Bland-White-Garland Syndrome in a 13-Year-Old Girl" Cardiovascular Medicine 10, no. 5: 179. https://doi.org/10.4414/cvm.2007.01247
APA StylePfammatter, J.-P., Pavlovic, M., & Windecker, S. (2007). Asymptomatic Bland-White-Garland Syndrome in a 13-Year-Old Girl. Cardiovascular Medicine, 10(5), 179. https://doi.org/10.4414/cvm.2007.01247
