Next Article in Journal
Diagnostik bei Kongenitalen Vitien: Stethoskop, Echokardiographie und/oder MRI?
Previous Article in Journal
Breitkomplextachykardie: Supraventrikulärer oder Ventrikulärer Ursprung?
 
 
Cardiovascular Medicine is published by MDPI from Volume 28 Issue 1 (2025). Previous articles were published by another publisher in Open Access under a CC-BY (or CC-BY-NC-ND) licence, and they are hosted by MDPI on mdpi.com as a courtesy and upon agreement with Editores Medicorum Helveticorum (EMH).
Font Type:
Arial Georgia Verdana
Font Size:
Aa Aa Aa
Line Spacing:
Column Width:
Background:
Interesting Images

Abnormal Motion of Valve Prosthesis

Department of Cardiology, University Hospital CHUV, CH-1011 Lausanne, Switzerland
*
Author to whom correspondence should be addressed.
Cardiovasc. Med. 2006, 9(9), 327; https://doi.org/10.4414/cvm.2006.01197
Submission received: 29 June 2006 / Revised: 29 July 2006 / Accepted: 29 August 2006 / Published: 29 September 2006

Case Report

A 73-year-old woman was operated for symptomatic critical aortic stenosis due to bicuspid valve with placement of a bioprosthesis (Carpentier-Edward). Four months afterwards, she suffered from intermittent high grade fever with chilIs and weight loss (3–4 kg in one month). As she did not improve after 15 days of amoxicillin therapy, she was hospitalised. On admission, mild fever (37.5 °C) and a moderate (3/6) systolic murmur were noticed. There was no night sweating or any cutaneous lesion. Other examinations were within normal limits. The laboratory demonstrated increased CRP without leucocytosis. Blood cultures were obtained and were negative.
Transthoracic echocardiography was performed with only apical views available (Figure 1). It demonstrated abnormal motion of the prosthesis annulus but only a mild aortic insufficiency. Neither vegetations nor abscess were visualised. As the probability of prosthetic endocarditis was high, a transoesophageal echocardiography (Figure 2 and Figure 3) was organised immediately afterwards. It demonstrated a partially dehiscent prosthesis due to a subjacent hemicircumferential paraprosthetic abscess. This abscess has spontaneously drained, leaving a large cavity. Large vegetations were also observed on the leaflets of the bioprosthetic valve.
Considering the high risk of complications such as severe acute aortic regurgitation as well as systemic emboli, the patient was operated on an emergency basis. The surgeon described during the operation a partially dehiscent valve one-third of the circumferential diameter. Underneath, he found a large paraprosthetic abcess located along the annulus. Non-coronary and right coronary leaflets of the prosthesis were covered by large amount of vegetations.
The infected bioprosthetic valve was replaced by another bioprosthesis (Shellhigh 23 mm). Broad-based antibiotherapy (vancomycin, gentamycin and rifampicine) was introduced postoperatively. Early after surgery, the patient became afebrile with diminution of CRP values. No microorganisms grew on preoperative blood cultures and results of intra-operative cultures are pending.
Key words: echocardiography, endocarditis.

Discussion

Prosthetic valve endocarditis (PVE) accounts for 10–25% of all endocarditis. Cases are usually classified in early or late depending on whether infection arises within one year of surgery or later. Incidence is l–3% during the first year and 3–6% by five years. The risk is higher during the first two to three months and is similar for mechanical and bioprosthetic valves [1].
Early infection is favoured by the nonendothelialisation of the annulus and valve structure. So the pathogens have direct access to these materials and frequently cause perivalvular infection and abscess formation [2]. The early PVE is due primarily to organisms associated with nosocomial infections, especially Staphylococcus epidermidis or aureus, gram negative bacilli and Candida species.
The pathogenesis of late PVE resemble native valve endocarditis. The spectrum of microorganisms involved in late PVE mirrors that of native valve and consists in streptococci, S. aureus, enterococci, coagulase-negative staphylococci, HACEK group of gramnegative coccobacilli.
Main clinical presentations of PVE include heart failure due to severe paraprosthetic valvular insufficiency, systemic emboli and fever >38% [3]. The incidence of these manifestations is very similar to those of native valves. The diagnosis is based on c1inical presentation, positive blood cultures and pathognomonic echocardiographic pattern of endocarditis [4,5].
If blood cultures are positive in 90% or more in the absence of prior antibiotic therapy, negative cultures are more and more frequently frequent and represents now around 5–30% of the cases. This is in a major part the consequences of prior antibiotic administration, such as in this case, but can also be due to infection caused by fastidious organisms [6].
Transthoracic and transoesophageal echocardiography are actually main stones for the diagnosis of the affection and the management of endocarditis. Transoesophageal echocardiography (TEE) which is superior in sensitivity and specificity to transthoracic echocardiography (TTE) is mandatory for diagnosis and early detections of local complications (class I indication according to the ACC/AHA/ASE recommendations) [7,8].
The main complications of PVE consist in paravalvular abscesses. Aortic valve is the most exposed to this risk. Abcess or perivalvular extension of the infection is less common in mitral valve endocarditis.
Abcess formation leads to paravalvular leakage and finally dehiscence of the valve, which is usually responsible for paravalvular regurgitation. Fistulas into cavities of the heart can also occurred. Paraprosthetic infections can also spread out in the septum or the adjacent structure such as the tricuspid valve. Bioprosthetic valves are exposed to the risk of leaflet destruction. In a recent French study, abscesses were found in 51% and vegetations in 61%, without significant differences between early and late PVE. Incidence of emboli were 30%. There were no differences between early and late PVE in terms of complications [9].
PVE is associated with a very high mortality rate and the best treatment option is still debated [9]. For a whole PVE population, the mortality rate seems not to be different between surgical and medical treatment. However, for patients who suffered from early PVE, complicated PVE, and PVE caused by Staphylococcus aureus, early surgery combined to extensive long term antibiotic therapy is actually considered as the best option [9].
In a recent paper (Oakley and Hall) [10], the authors emphasise the role of surgery and make clinicians aware of the risk of waiting too much with antibiotics. They wrote: “when the patient is not doing well, … in general it is a serious mistake to delay urgently needed surgery in an attempt to give more antibiotics before surgery. The benefits of surgery are often enormous and usually almost immediate.”
In the hand of experienced cardiac surgeons, the thirty day mortality after surgery for PVE is 10–30%, which is lower than the mortality rate of around 80% observed under medical treatment [11]. According to the Euro Heart Survey, the most frequent indications for surgery in cases of PVE are heart failure, followed by persistent sepsis and embolism. Other indications are: (1.) presence of vegetations of any size (2.) fungal endocarditis or due to gram negative (non HACEK) micro-organisms (particularly P. aeruginosa) and multidrug resistant enterococci (3.) persistent bacteraemia after a prolonged course (7–10 days) of appropriate antibiotic therapy without non cardiac cause for bacteraemia [12]. Most patients have more than one reason for surgical intervention.
If the use of homograft aortic root replacement may be highly useful for tissue reconstruction in case of diffuse infection, they represent only a small percentage of the material used (around 15%). In most cases, the infected valve is replaced by a mechanical valve or a bioprosthesis. The patients who need large resection of the infected tissue are exposed to a risk of re-operation for residual leakage. This risk is estimated to be 10–20% for in-hospital survivors. The rate of recurrent PVE is 6 to 15%.
In conclusion, PVE endocarditis is a high risk clinical situation. TEE remains an important tool for diagnosis and management of PVE. Early PVE, complicated PVE and PVE due to aggressive germs (Staphyloccus aureus, fungi) benefit from early surgery.

References

  1. Prendergast, B.D. The changing face of infective endocarditis. Heart 2006, 92, 879–885. [Google Scholar] [CrossRef] [PubMed]
  2. Moreillon, P.; Que, Y.A. Infective endocarditis. Lancet 2004, 363, 139–149. [Google Scholar] [CrossRef] [PubMed]
  3. Tornos, P.; Lung, B.; Permanyer-Miralda, G.; et al. Infective endocarditis in Europe: Lessons from the Euro heart survey. Heart 2005, 91, 571–575. [Google Scholar] [CrossRef] [PubMed]
  4. Bayer, A.S.; Bolger, A.F.; Taubert, K.A.; et al. Diagnosis and management of infective endocarditis and its complications. Circulation 1998, 98, 2936–2948. [Google Scholar] [CrossRef]
  5. Prendergast, B.D. Diagnostic criteria and problems in infective endocarditis. Heart 2004, 90, 611–613. [Google Scholar] [CrossRef] [PubMed]
  6. Brouqui, P.; Raoult, D. Endocarditis due to rare and fastidious bacteria. Clin Microbial Rev. 2001, 14, 177–207. [Google Scholar] [CrossRef] [PubMed]
  7. ACC/AHA/ASE 2003 guideline update for the clinical application of echocardiography. J Am Coll Cardiol. 2003, 42, 954–970. [CrossRef] [PubMed]
  8. Evangelista, A.; Gonzalez-Alujas, M.T. Echocardiography in infective endocarditis. Heart 2004, 89, 273–275. [Google Scholar] [CrossRef] [PubMed]
  9. Habib, G.; Tribouilloy, C.; Thuny, F.; et al. Prosthetic valve endocarditis: Who needs surgery? A multicentre study of 104 cases. Heart 2005, 91, 954–959. [Google Scholar] [CrossRef] [PubMed]
  10. Oakley, C.M.; Hall, R.J.C. Endocarditis: Problemspatients being treated for endocarditis and not doing well. Heart 2001, 85, 470–474. [Google Scholar] [CrossRef] [PubMed][Green Version]
  11. Lytle, B.W.; Priest, B.P.; Taylor, P.C.; et al. Surgical treatment of prosthetic valve endocarditis. J Thorac Cardiovasc Surg. 1996, 111, 198–210. [Google Scholar] [CrossRef] [PubMed][Green Version]
  12. Bonow, R.V.; Carabello, B.; De Leon, A.C.; et al. Recommendations for surgery for prosthetic valve endocarditis. Circulation 1998, 98, 1949. [Google Scholar] [CrossRef] [PubMed]
Figure 1. TTE apical 3 cavity. During systole, dehiscence between prosthetic annulus and septal wall.
Figure 1. TTE apical 3 cavity. During systole, dehiscence between prosthetic annulus and septal wall.
Cardiovascmed 09 00327 g001
Figure 2. TEE apical 3 cavity view. The dehiscence (big arrow) is well visualised located in the anterior part of the annulus. Vegetations are also seen (small arrow) on the bioprosthetic leaflet.
Figure 2. TEE apical 3 cavity view. The dehiscence (big arrow) is well visualised located in the anterior part of the annulus. Vegetations are also seen (small arrow) on the bioprosthetic leaflet.
Cardiovascmed 09 00327 g002
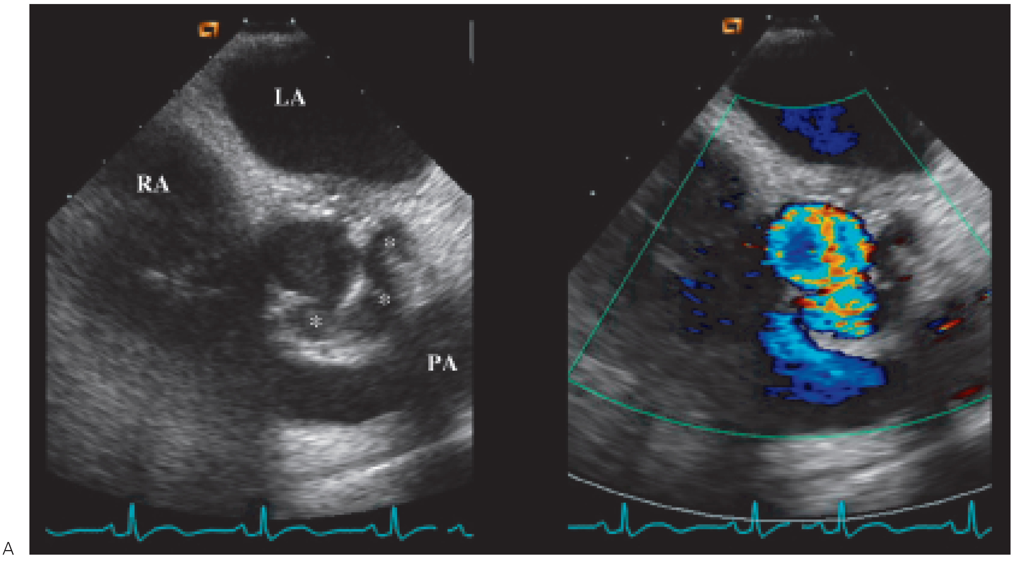
Figure 3. (A) TEE short axis view. Paravalvular abscess cavities from 1 o’clock to 7 o’clock position (*), extending from the anterior part of the annulus along the main pulmonary artery. The cavities are irrigated. (B) Large amount of vegetations fixed on bioprosthetic leaflets.
Figure 3. (A) TEE short axis view. Paravalvular abscess cavities from 1 o’clock to 7 o’clock position (*), extending from the anterior part of the annulus along the main pulmonary artery. The cavities are irrigated. (B) Large amount of vegetations fixed on bioprosthetic leaflets.
Cardiovascmed 09 00327 g003aCardiovascmed 09 00327 g003b

Share and Cite

MDPI and ACS Style

Nasratullah, M.; Jeanrenaud, X. Abnormal Motion of Valve Prosthesis. Cardiovasc. Med. 2006, 9, 327. https://doi.org/10.4414/cvm.2006.01197

AMA Style

Nasratullah M, Jeanrenaud X. Abnormal Motion of Valve Prosthesis. Cardiovascular Medicine. 2006; 9(9):327. https://doi.org/10.4414/cvm.2006.01197

Chicago/Turabian Style

Nasratullah, M., and X. Jeanrenaud. 2006. "Abnormal Motion of Valve Prosthesis" Cardiovascular Medicine 9, no. 9: 327. https://doi.org/10.4414/cvm.2006.01197

APA Style

Nasratullah, M., & Jeanrenaud, X. (2006). Abnormal Motion of Valve Prosthesis. Cardiovascular Medicine, 9(9), 327. https://doi.org/10.4414/cvm.2006.01197

Article Metrics

Back to TopTop