Trisomie 21 et Malformation Cardiaque
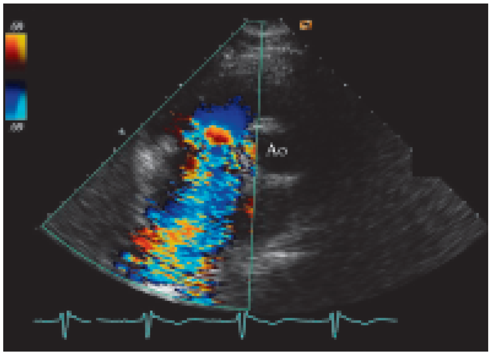
Présentation de cas
Commentaires
References
- Stos, B.; et al. Avantages et risques de la chirurgie cardiaque dans la trisomie 21. Arch pediatr. 2004, 11, 1197–1201. [Google Scholar] [CrossRef] [PubMed]
- Boening, A.; et al. Long-term results after surgical correction of atrioventricular septal defects. Eur J Cardiothorac Surg 2002, 22, 167–173. [Google Scholar] [CrossRef] [PubMed]
- Bando, K.; et al. Surgical management of complete atrioventricular septal defects. A twenty-year experience. J Thorac Cardiovasc Surg. 1995, 110, 1543–1554. [Google Scholar] [CrossRef] [PubMed]
- Gatzoulis, M.; Webb, G.; Daubeney, P. Diagnosis and Management of Adult Congenital Heart Disease; Churchill Livingstone: London, UK, 2003. [Google Scholar]



© 2006 by the author. Attribution - Non-Commercial - NoDerivatives 4.0.
Share and Cite
J., B.; N., S.; A., D. Trisomie 21 et Malformation Cardiaque. Cardiovasc. Med. 2006, 9, 402. https://doi.org/10.4414/cvm.2006.01211
J. B, N. S, A. D. Trisomie 21 et Malformation Cardiaque. Cardiovascular Medicine. 2006; 9(11):402. https://doi.org/10.4414/cvm.2006.01211
Chicago/Turabian StyleJ., Bouchardy, Sekarski N., and Delabays A. 2006. "Trisomie 21 et Malformation Cardiaque" Cardiovascular Medicine 9, no. 11: 402. https://doi.org/10.4414/cvm.2006.01211
APA StyleJ., B., N., S., & A., D. (2006). Trisomie 21 et Malformation Cardiaque. Cardiovascular Medicine, 9(11), 402. https://doi.org/10.4414/cvm.2006.01211
