Sténose Mitrale et Valvuloplastie Mitrale Percutanée
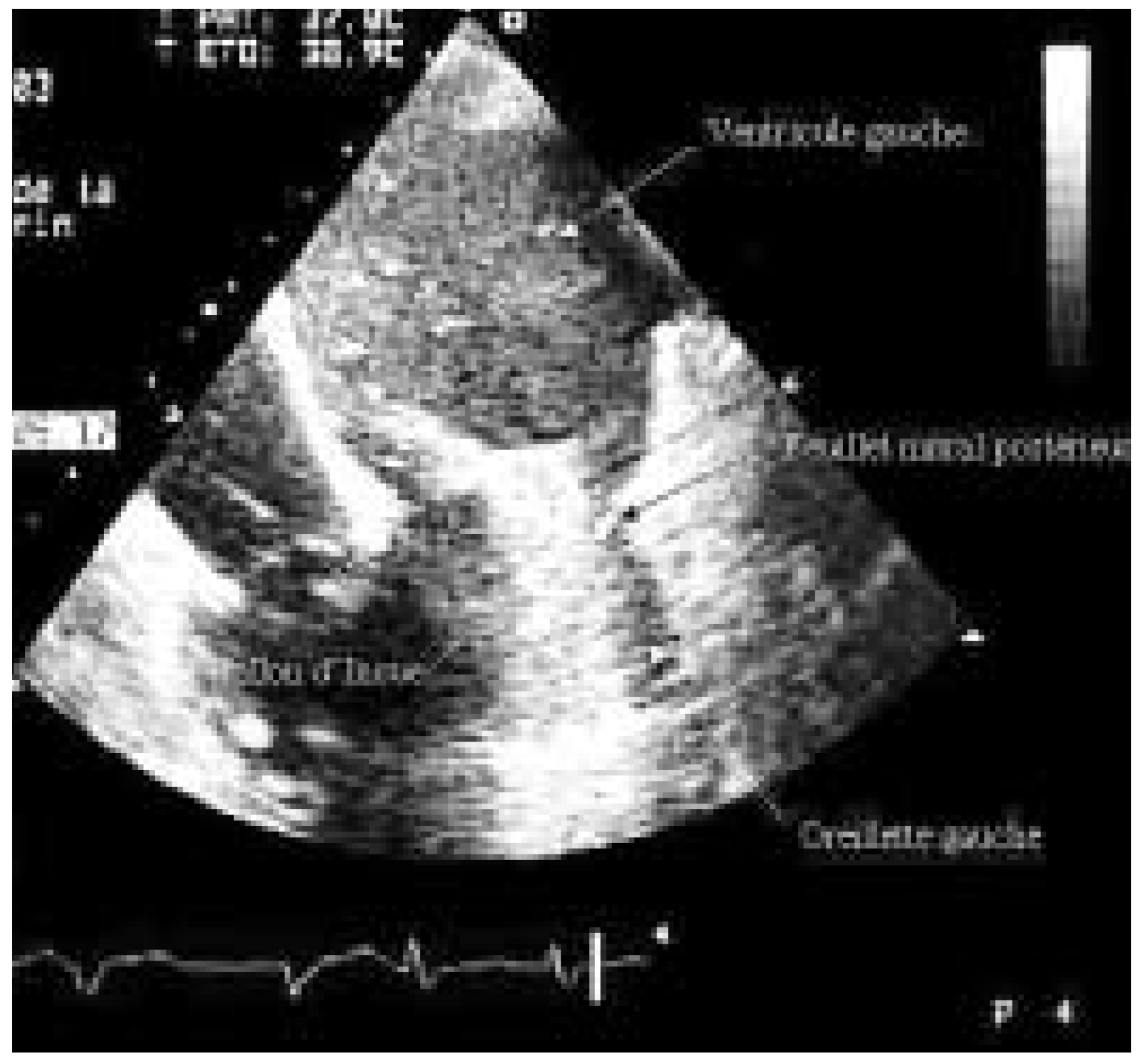
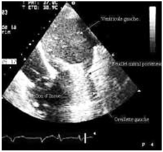
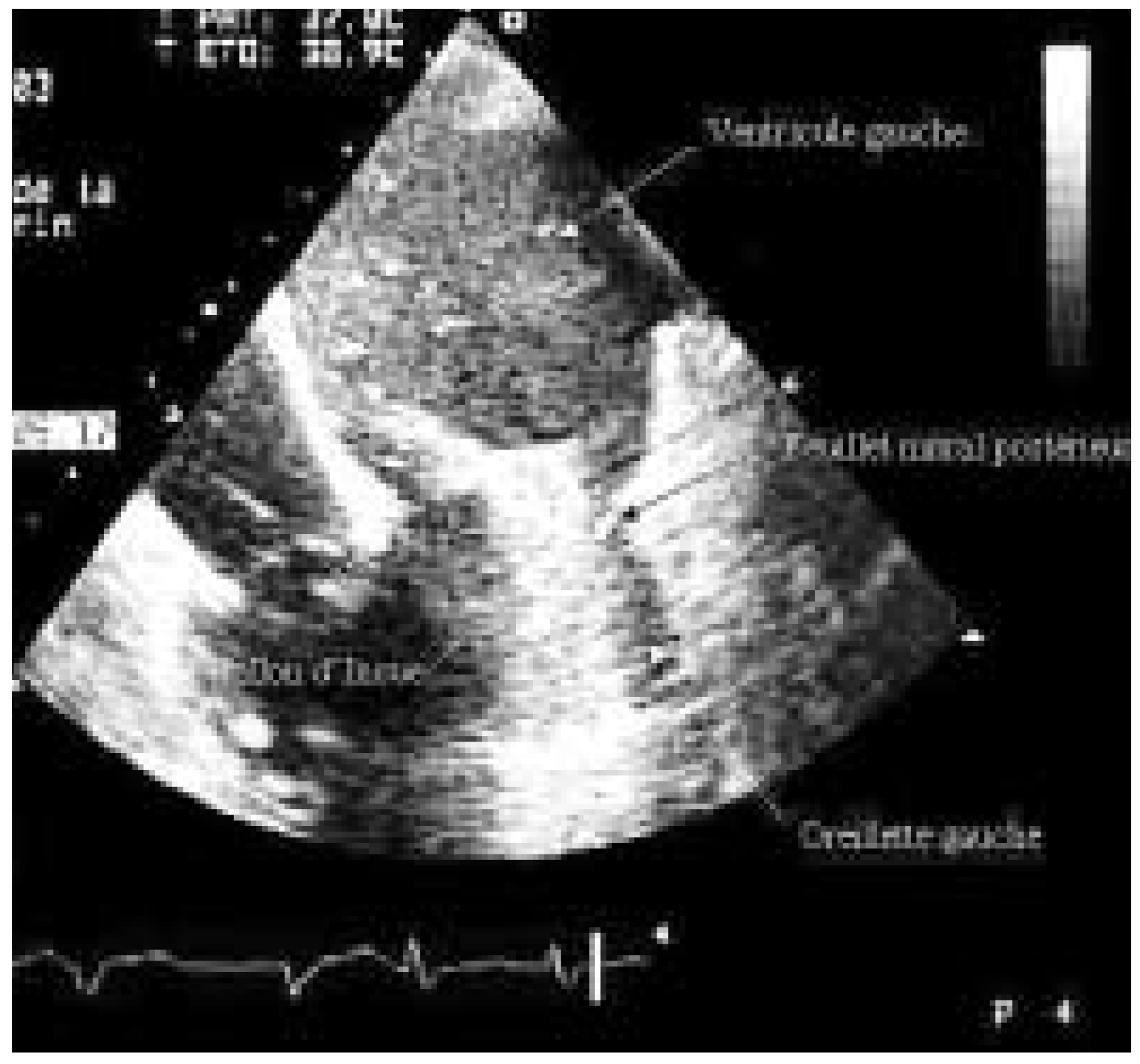
Description du cas
Réferences
- Bonow, R.O.; et al. ACC/AHA Guidelines for the management of patients with valvular heart disease. JACC 1998, 32, 1486–1588. [Google Scholar] [CrossRef] [PubMed]
- Turi, Z.G.; Reyes, V.P.; Raju, B.S.; Raju, A.R.; Kumar, D.N.; Rajagopal, P.; et al. Percutaneous balloon versus surgical closed commissurotomy for mitral stenosis. A prospective, randomized trial. Circulation 1991, 83, 1179–1185. [Google Scholar] [CrossRef] [PubMed]



© 2004 by the author. Attribution - Non-Commercial - NoDerivatives 4.0.
Share and Cite
Zaza, S.; De Benedetti, E.; Bettoni, M. Sténose Mitrale et Valvuloplastie Mitrale Percutanée. Cardiovasc. Med. 2004, 7, 337. https://doi.org/10.4414/cvm.2004.01046
Zaza S, De Benedetti E, Bettoni M. Sténose Mitrale et Valvuloplastie Mitrale Percutanée. Cardiovascular Medicine. 2004; 7(9):337. https://doi.org/10.4414/cvm.2004.01046
Chicago/Turabian StyleZaza, Stéphane, Edoardo De Benedetti, and Marco Bettoni. 2004. "Sténose Mitrale et Valvuloplastie Mitrale Percutanée" Cardiovascular Medicine 7, no. 9: 337. https://doi.org/10.4414/cvm.2004.01046
APA StyleZaza, S., De Benedetti, E., & Bettoni, M. (2004). Sténose Mitrale et Valvuloplastie Mitrale Percutanée. Cardiovascular Medicine, 7(9), 337. https://doi.org/10.4414/cvm.2004.01046
