Next Article in Journal
Percutaneous Left Ventricular Assist Device to Support PCI of Unprotected Left Main Coronary Artery Disease
Previous Article in Journal
Die Wissenschaftliche Produktivität in der Schweiz
 
 
Cardiovascular Medicine is published by MDPI from Volume 28 Issue 1 (2025). Previous articles were published by another publisher in Open Access under a CC-BY (or CC-BY-NC-ND) licence, and they are hosted by MDPI on mdpi.com as a courtesy and upon agreement with Editores Medicorum Helveticorum (EMH).
Font Type:
Arial Georgia Verdana
Font Size:
Aa Aa Aa
Line Spacing:
Column Width:
Background:
Interesting Images

Akute Dyspnoe bei chronischem Vorhofflimmern

Medizinische Klinik, Spital Schwyz, 6430 Schwyz, Switzerland
Cardiovasc. Med. 2004, 7(6), 269; https://doi.org/10.4414/cvm.2004.01031
Submission received: 30 March 2004 / Revised: 30 April 2004 / Accepted: 30 May 2004 / Published: 30 June 2004
Eine 67j hrige Patientin leidet seit 16 Monaten infolge einer hypertensiven Herzkrankheit an einem tachykarden Vorhofflimmern, das weder auf Sotalol noch Amiodarone in einen Sinusrhythmus konvertiert werden konnte. Vor 11 Monaten wurde ausw rts eine Elektrokonversion mit 30 100 Joule erfolglos durchgef hrt. Die Patientin wurde dort mit einer oralen Antikoagulation, Amiodarone 200 mg tgl. entlassen. Zwischenzeitlich erhielt die Patientin zus tzlich Digoxin 0,25 mg tgl.
5 Tage vor Eintritt bemerkte die Patientin Atemnot, subfebrile Temperaturen bis 37,6 5C sowie Reizhusten und Kopfschmerzen. Eine vom Hausarzt wegen radiologisch basal beidseits nachgewiesenen Lungeninfiltraten eingeleitete antibiotische Therapie zwei Tage vor Eintritt hielt die zunehmende Verschlechterung der Dyspnoe nicht auf.
Die Patientin war afebril, zyanotisch, tachydyspnoisch. Rasselger usche waren ber beiden Lungen h rbar. Der Blutdruck betrug 125/65 mm Hg, der arrhythmische Puls 84/min.
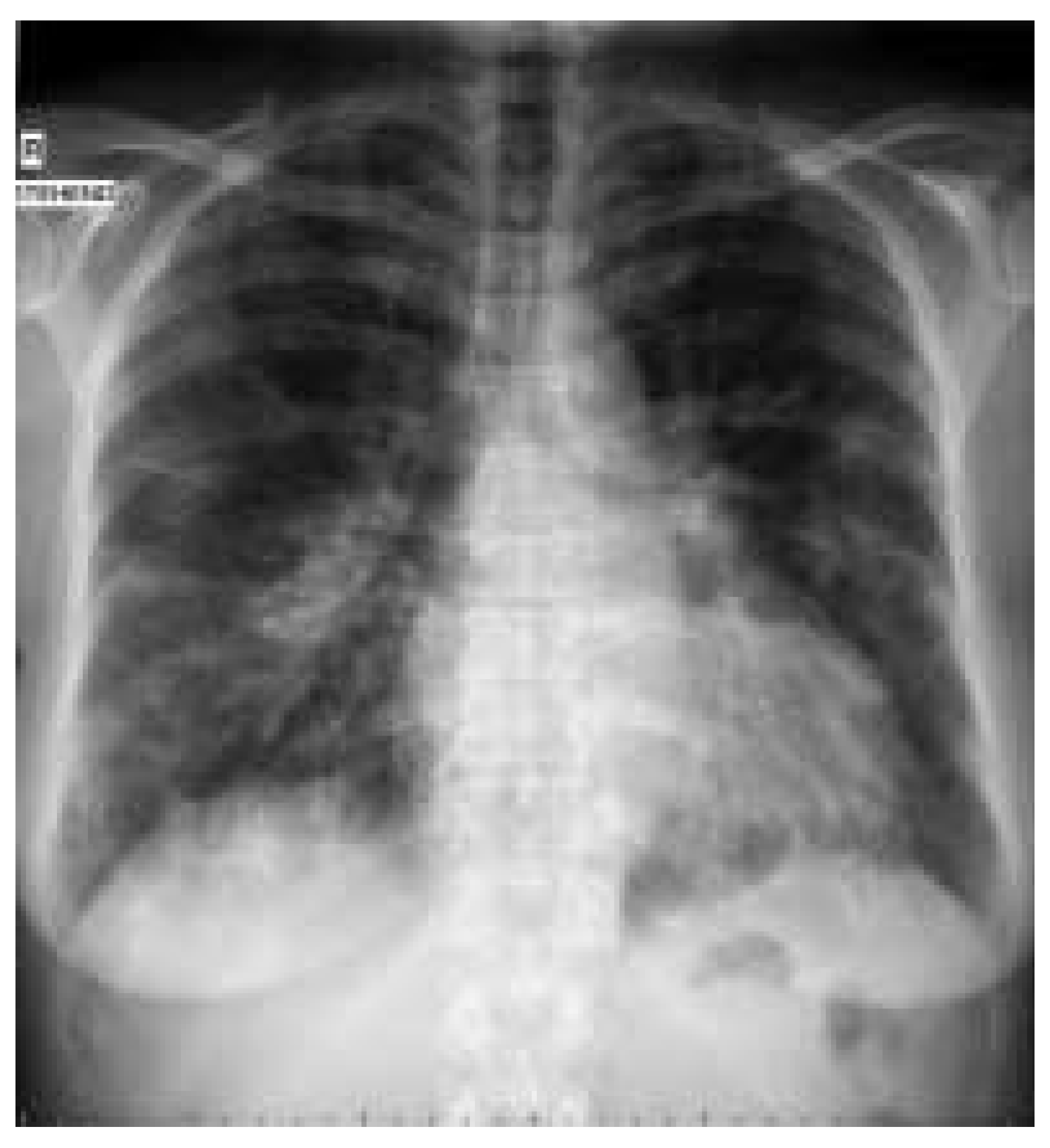
Die arterielle Blutgasanalyse zeigte eine Hypox mie (pO2 3,7 kPa; SO2 64%) trotz Hyperventilation (pCO2 3,7 kPa; pH 7,53). Die BSR betrug 81 mm/h, das CRP 391 mg/l. Die Leukozytose von 17,6109/l war ohne Linksverschiebung. Der INR betrug 5,4. Kreatininkinase und Troponin waren normal. Hingegen waren die LDH auf 777 U/l (normal 240 480) und die alkalische Phosphatase auf 241 U/l (normal 42 98) erh ht. Der Digoxin-Spiegel lag mit 2,7 nmol/l etwas ber dem therapeutischen Bereich (1 2,6), der Desethylamiodarone-Spiegel mit 1,6 mmol/l im Normbereich (0,6 3,0). Drei Blutkulturen blieben ohne Wachstum, das Sputum war ohne relevanten pathologischen Befund. Legionellen und Pneumocystis carinii wurden ausgeschlossen. Das Thorax-R ntgenbild zeigt schwere interstitielle Ver nderungen (Abb. 1).
Abbildung 1. Thorax-Röntgenbild bei Eintritt: schwere interstitielle Veränderungen.
Abbildung 1. Thorax-Röntgenbild bei Eintritt: schwere interstitielle Veränderungen.
Cardiovascmed 07 00269 g001
Das EKG best tigte das chronische normokarde Vorhofflimmern. Auff llig war die QTc-Verl ngerung auf 500 ms sowie muldenf rmige ST-Senkungen in V4V6 sowie in den Extremit tenableitungen entsprechend der Amiodarone- bzw. Digoxin-Medikation (Abb. 2). Echokardiographisch konnte die hypertensive Herzkrankheit neben der m ssigen Drucksteigerung im Lungenkreislauf best tigt werden.
Abbildung 2. EKG bei Eintritt: Normokardes Vorhofflimmern 85/min. Steillage. QRS 80 ms, QTc 500 ms. Periphere Niederspannung. Repolarisationsstörungen V4–V6 und in den Extremitätenableitungen.
Abbildung 2. EKG bei Eintritt: Normokardes Vorhofflimmern 85/min. Steillage. QRS 80 ms, QTc 500 ms. Periphere Niederspannung. Repolarisationsstörungen V4–V6 und in den Extremitätenableitungen.
Cardiovascmed 07 00269 g002
Eine antibiotische Therapie mit Clarithromycin und Ceftriaxon ergab keine klinische Verbesserung. Eine Intubation konnte durch CPAP-Beatmung knapp vermieden werden. Das Amiodarone wurde sistiert und Prednisolon 200 mg über 3 Tage parenteral verabreicht, dann in absteigender Dosierung auf 60 mg reduziert und auf eine perorale Medikation in gleicher Dosierung gewechselt und über 40 Tage unverändert belassen. Das Clarithromycin wurde am vierten Tag sistiert, das Ceftriaxon am 10. Tag.
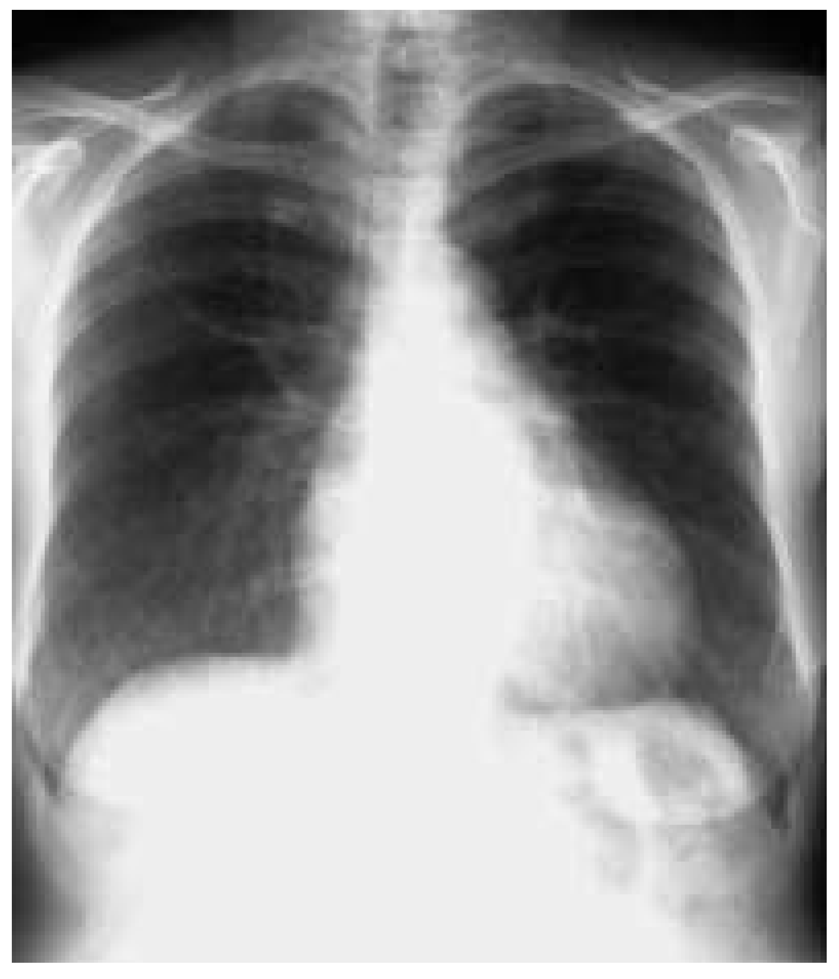
Unter der Steroidtherapie kam es während der Hospitalisation zu einer deutlichen klinischen Besserung der Dyspnoe und der Blutgasanalyse (pO2 6,8 kPa, SO2 89%, pCO2 4,4 kPa, pH 7,46). Das CRP sank auf 8 mg/l, die LDH auf 490 U/l und die alkalische Phosphatase auf 125 U/l.
Zusammenfassend bestand eine Amiodarone-induzierte Pneumopathie, die auf die Steroidtherapie aussergew hnlich gut ansprach (Abb. 3). Infolge des verbreiteten Einsatzes des Medikamentes ist vermehrt mit Nebenwirkungen zu rechnen, auch in der niedrigeren Dosierung von 200 mg tgl. [1,2]. Wenn immer m glich, sollte auf den Einsatz von Amiodarone zur alleinigen Frequenzkontrolle beim Vorhofflimmern verzichtet werden. Bei Auftreten einer pulmonalen Verschlechterung unter Amiodarone-Therapie ist immer an diese schwere Form der Nebenwirkung zu denken und das Amiodarone abzusetzen oder durch eine alternative antiarrhythmische Behandlungsform zu ersetzen. Steroide zur Behandlung der Amiodarone-induzierten Pneumopathie sind umstritten. Bei unserer Patientin f hrte sie schnell zu einer deutlichen Verbesserung der Symptome wie auch des radiologischen Befundes.
Abbildung 3. Thorax-Röntgenbild bei Austritt.
Abbildung 3. Thorax-Röntgenbild bei Austritt.
Cardiovascmed 07 00269 g003

Literatur

  1. Sunderji, R.; Kanji, Z.; Gin, K. Pulmonary effects of low dose amiodarone: a review of the risks an the recommendations of surveillance. Can J Cardiol 2000, 16, 1435–1440. [Google Scholar] [PubMed]
  2. Ott, M.C.; Khoor, A.; Leventhal, J.P.; Paterick, T.E.; Burger, C.D. Pulmonary toxicity in patients receiving low-dose amiodarone. Chest 2003, 123, 646–651. [Google Scholar] [CrossRef] [PubMed]
  3. Vorperian, V.R.; Havighurst, T.C.; Miller, S.; January, C.T. Adverse effect of low dose amiodarone: a meta-analysis. J Am Coll Cardiol 1997, 30, 799–801. [Google Scholar] [CrossRef] [PubMed]

Share and Cite

MDPI and ACS Style

Eichhorn, P. Akute Dyspnoe bei chronischem Vorhofflimmern. Cardiovasc. Med. 2004, 7, 269. https://doi.org/10.4414/cvm.2004.01031

AMA Style

Eichhorn P. Akute Dyspnoe bei chronischem Vorhofflimmern. Cardiovascular Medicine. 2004; 7(6):269. https://doi.org/10.4414/cvm.2004.01031

Chicago/Turabian Style

Eichhorn, Peter. 2004. "Akute Dyspnoe bei chronischem Vorhofflimmern" Cardiovascular Medicine 7, no. 6: 269. https://doi.org/10.4414/cvm.2004.01031

APA Style

Eichhorn, P. (2004). Akute Dyspnoe bei chronischem Vorhofflimmern. Cardiovascular Medicine, 7(6), 269. https://doi.org/10.4414/cvm.2004.01031

Article Metrics

Back to TopTop