Next Article in Journal
Mechanisms Involved in the Adverse Cardiovascular Effects of Selective Cyclooxygenase-2 Inhibitors
Previous Article in Journal
Global Prevalence of Isolated Systolic, Isolated Diastolic, and Systodiastolic Hypertension: A Systematic Review and Meta-Analysis
 
 
Font Type:
Arial Georgia Verdana
Font Size:
Aa Aa Aa
Line Spacing:
Column Width:
Background:
Case Report

Double TAVI: What’s Next?

1
Department of Internal Medicine/Cardiology, Klinik Barmelweid AG, 5017 Barmelweid, Switzerland
2
Department of Cardiology, University Hospital Basel, 4031 Basel, Switzerland
*
Author to whom correspondence should be addressed.
Cardiovasc. Med. 2025, 28(1), 4; https://doi.org/10.3390/cardiovascmed28010004
Submission received: 3 November 2025 / Accepted: 18 November 2025 / Published: 20 November 2025

Abstract

Transcatheter aortic valve implantation is rapidly emerging as the leading treatment for severe aortic valve stenosis, especially in elderly and high-risk or inoperable patients. Prosthetic embolism is a rare but serious complication of transcatheter aortic valve replacement. Patients who develop prosthetic embolism are at increased risk of mortality and morbidity. These include stroke and aortic dissection associated with manipulation of the prosthesis in the ascending aorta. Treatment of valve embolisms into the aorta may differ depending on the type of valve; however, it traditionally relies on repositioning the valve to an appropriate position. To date, there are no established pharmaceutical guidelines for the management of patients with valve prosthesis embolization. We present a case report of the implantation of a second aortic valve prosthesis after periprocedural embolization of the first transcatheter valve, resulting in residual floating in the ascending aorta and following treatment with oral anticoagulation as well as single antiplatelet therapy due to the increased risk of thrombogenesis. This case report provides an example of the management of a transcatheter valve embolization with residual floating and highlights the need for further studies to address this issue.

1. Introduction

Since the introduction of transcatheter aortic valve implantation (TAVI) in Switzerland in 2007, starting with only 18 cases, an increasing trend has been observed, leading to a total of 2004 TAVI procedures in the year 2021 [1]. This increase can be attributed to several factors, including the exponential growth in the prevalence of degenerative aortic valve stenosis and the aging demographic of the general population. Nowadays, advanced age plays a significant role in discussions within heart teams, as older patients are more likely to be considered for less invasive procedures. Consequently, TAVI has emerged as the preferred treatment approach for a wide range of elderly patients presenting with symptomatic severe aortic stenosis [2].
In contrast to surgical aortic valve replacement, where the prosthetic valve is sewn into place, TAVI relies on the principle of unfolding and anchoring, which carries the inherent risk of periprocedural or delayed transcatheter valve embolization and migration (TVEM) [3]. Predisposing risk factors for TVEM include anatomical factors such as bulky calcified leaflets, the presence of a bicuspid aortic valve, interference with left ventricular structures like severe ventricular hypertrophy or mitral prosthesis struts, and a horizontal aortic annulus (angulation > 48°). Technical factors contributing to the risk include sizing errors, high deployment, incomplete balloon inflation, pacing failure or premature pacing termination, postdilation of the transcatheter valve, failure to retract the delivery sheath, and resuscitation manoeuvres. Device-related factors include the use of self-expanding, first-generation, and resheathable devices, as well as manufacturing defects [3,4,5].
A study using data from the TRAVEL (Transcatheter Heart Valve Embolization and Migration) registry, covering a total of 29,636 TAVI procedures performed between January 2010 and December 2017 across 26 participating centres in Europe and North America, identified 273 cases of TVEM (0.92%, ranging from 0.28 to 3.68% across all centres). Out of these cases, 217 (79.5%) involved embolization into the ascending aorta, while 56 (20.5%) resulted in embolization into the left ventricle, with the majority occurring either during or shortly after prosthesis placement [3]. According to the limited data available, TVEM, although occurring rarely, is associated with a poor prognosis [3]. The most frequently used definitive therapy has been the implantation of a second prosthesis, which has demonstrated a high degree of technical success and acceptable procedural outcomes [3].
The standard pharmaceutical therapy after successful TAVI includes single antiplatelet therapy (SAPT) in patients with no baseline indications for oral anticoagulation (OAC) [6]. Although OAC is not currently the standard of care after TAVI, it may need to be considered if certain thrombotic complications, such as valve thrombosis, cerebrovascular events, and atrial fibrillation, occur [7]. To date, there are no established guidelines for the management of valve prosthesis embolization.
We report about the implantation of a second aortic valve prosthesis after periprocedural embolization of the first transcatheter valve, which resulted in postprocedural residual floating in the ascending aorta and postprocedural treatment with OAC in addition to monotherapy with antiplatelet agents.

2. Case Description

An 84-year-old female patient with severe aortic valve stenosis (maximal/mean rise of left ventricular pressure [dP max/mean] 81/53 mm Hg) without insufficiency, a TAVIcomputed tomography (CT) calcium score of 4024, and New York Heart Association (NYHA) functional classification Class III was admitted for an elective TAVI procedure.
The patient’s medical history included a recent diagnosis of coronary artery disease involving two vessels (50% stenosis of the right coronary artery [RCA] proximally with post-stenotic aneurysmal dilation of the mid RCA, 50% stenosis in the mid and apical left anterior descending artery, and in the diagonal branch), suspicion of an intraductal papillarymucinous neoplasm or fatty interdigitations as an incidental finding during a TAVI-CT, and suspicion of bronchial asthma. An electrocardiogram showed a pre-existing first-degree atrioventricular block.
With a EuroSCORE II (European system for cardiac operative risk evaluation) of 2.65%, the patient was classified as having a low perioperative risk, but given the patient’s advanced age, TAVI was considered to be the most appropriate approach.
The preprocedural TAVI-CT showed an asymmetric calcium distribution with no calcification in the left ventricular outflow tract and a horizontal aortic annulus (Figure 1). With an average aortic annulus diameter of 24 mm and a maximum of 29 mm, the Evolut™ PRO+ 29 mm valve (Medtronic Cardiovascular, Minneapolis, MN, USA) was selected for the procedure.
No significant conduction abnormalities were observed during the periprocedural period, but there were fluctuations in heart rate with bradycardia down to 30 beats per minute, necessitating the placement of a temporary pacemaker. During the first implantation attempt of an Evolut™ PRO+ 29 mm valve following standard technique through the right femoral artery, the prosthesis embolized in the ascending aorta. Due to the strongly horizontal aorta, severe calcification of the aortic arch, and the high risk of injuring the aorta during repositioning, the prosthesis had to be left in place. Due to anatomical circumstances, the prosthesis was not expected to compromise the extracranial feeding vessels or coronary arteries. Subsequently, the implantation of an Edwards SAPIEN 3 Ultra™ 26 mm valve (Edwards Lifesciences, Irvine, CA, USA) through the right femoral artery was performed without complications.
After the valve implantation was completed, an ultrasound examination was conducted to confirm the position of the valve. The initial echocardiographic follow-up showed a correctly positioned aortic valve prosthesis with normal function (mean gradient of 8 mm Hg) and no significant transvalvular regurgitation. The embolized valve prosthesis floated in the ascending aorta with a pulse-synchronous cranio-caudal translation of approximately 1.5 cm.
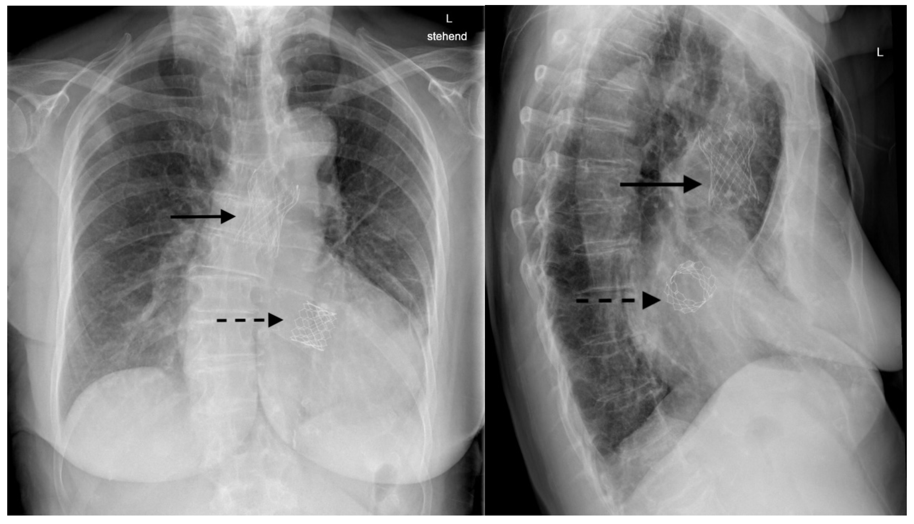
After recovery from the TAVI in the presence of clinical signs of heart failure, a chest X-ray and a repeat transthoracic echocardiography were performed to assess the position of the grafts (Figure 2).
In the case of mild cardiac decompensation, short-term diuretic therapy with torasemide was administered. A follow-up echocardiogram demonstrated good systolic function (visually estimated left ventricular ejection fraction [LVEF] of 55%). The intact valve prosthesis remained in the correct position with normal function (mean gradient of 8 mm Hg, maximum aortic velocity [Vmax] of 2 m/s) and no trans- or paravalvular regurgitation. The embolized valve prosthesis continued to float within the ascending aorta. In direct comparison to the previous examination, the mobility of the embolized prosthesis was reduced, particularly in terms of craniocaudal movement, with only minimal lateral pulse-synchronous movement remaining. Postinterventional, a therapy regimen consisting of Apixaban and Aspirin® for a cumulative duration of six months was initiated. The rationale for this combined therapeutic approach with OAC and SAPT was based on the hypothesis that the embolized valve, with its apposition and residual pulsatile motion, poses an additional increased risk of thrombogenesis. Treatment with a non-vitamin K oral anticoagulant was chosen over vitamin K antagonists due to its lower susceptibility to interactions with food and other medications, as well as the elimination of the need for monitoring of the international normalized ratio (INR). Furthermore, treatment with angiotensin-converting enzyme (ACE) inhibitors and statins was initiated.
During the 2-month cardiological follow-up, the patient presented without dyspnea or symptoms of angina. Echocardiography showed preserved global systolic function (visually estimated LVEF of 55–60%). The gradients across the correctly implanted aortic valve were normal (dP max/mean 14/9 mm Hg), with no insufficiency. The incorrectly placed prosthesis in the ascending aorta continued to show a slight pulse-synchronous movement. The therapy with OAC and SAPT was continued.

3. Discussion

In our case, the embolism of a self-expanding TAVI prosthesis was treated by implanting a second prosthesis, while the first prosthesis remained in a floating position in the ascending aorta.
Treatment of valve embolisms into the aorta may differ depending on the type of valve; however, it traditionally relies on repositioning the valve to an appropriate supra- annular position. If a balloon-expandable valve embolizes, it should be tried to retract the valve into the descending aorta by retrieving a valvuloplasty balloon that has been inflated distally to the valve. If a self-expanding valve embolizes, in the majority of cases the valve cannot be safely retrieved from beyond the aortic arch because of the risk of stroke, so it is preferable to secure it at the level of the ascending aorta, above the sinotubular junction, to avoid compressing the aortic root and the supra-aortic trunks.
In our case, the embolized valve had to be left in place due to a strongly horizontal aorta, severe calcification of the aortic arch, and the high risk of inducing an aortic injury during repositioning.
Thrombotic events are a significant concern during and after TAVI procedures and are associated with various procedural- and valve-related factors. Antithrombotic therapy is necessary after TAVI to prevent thrombotic complications, but it raises the risk of bleeding [7]. In patients without an established indication for OAC after successful TAVI, a treatment strategy including OAC was associated with a higher risk of death or thromboembolic complications and a higher risk of bleeding than an antiplatelet-based strategy [8]. Research shows that the incidence of bleeding and the risk of major or life-threatening bleeding complications were significantly lower with SAPT compared to dual antiplatelet therapy, with no difference in the beneficial effect on ischemic events [9,10].
Therefore, the ESC/EACTS (European Society of Cardiology and European Association for Cardio-Thoracic Surgery) guidelines recommend a lifelong OAC therapy for TAVI patients who have other indications for OAC (Class I, Level of Evidence B) and a lifelong SAPT in patients with no baseline indication for OAC (Class I, Level of Evidence A). Finally, routine use of OAC after TAVI is not recommended in patients with no baseline indication for OAC (Class III, Level of Evidence B) [6].
However, although TVEM has been described previously, there are currently neither guidelines on optimal pharmaceutical therapy nor research on whether a different follow-up schedule should be advised. The management of an embolized valve, especially when it involves residual movement, demonstrates the challenges involved in decision-making following a complication and illustrates the balancing act between reducing thrombotic risk and avoiding excessive bleeding. In our case, OAC in combination with SAPT was chosen solely as a precautionary measure, as we believe that the pulse-synchronous movement and apposition of the embolized valve prosthesis pose an increased risk of thromboembolic events. Therefore, in cases with residual valve movement, our advice is to consider prescribing anticoagulation. However, individual risk-benefit considerations should be taken into account.
This case also highlights the importance of a thorough preprocedural assessment, which includes not only the patient’s age and an assessment of intraoperative risk but also the evaluation of anatomical factors to ensure optimal device selection and valve sizing. Moreover, it emphasizes the need for additional monitoring to detect any late complications and to see whether a different follow-up schedule is needed.

4. Conclusions

The management of an embolized valve, particularly in the presence of residual motion, presents significant clinical decision-making challenges. The lack of established guidelines on optimal pharmaceutical therapy or follow-up schedules further complicates this process. In the case described the combination of OAC and SAPT was used as a precautionary measure due to the perceived increased risk of thromboembolic events from the embolized prosthetic valve with residual movement. This highlights the importance of individualised risk-benefit analysis in the management of such cases, particularly when considering anticoagulation therapy. In addition, the case highlights the critical need for thorough pre-procedural assessment, including consideration of patient-specific anatomical factors, to optimise device selection and sizing. Finally, it emphasises the need for ongoing monitoring to detect late complications and assess the potential need for revised follow-up protocols.

Author Contributions

R.R.: Conceptualization and design; analysis and interpretation of the data; writing—original draft preparation. M.L.: Analysis and interpretation of the data; supervision regarding important scientific content. C.A.K.: Analysis and interpretation of the data; supervision regarding important scientific content and technical aspects. All authors have read and agreed to the published version of the manuscript.

Funding

This research received no external funding.

Institutional Review Board Statement

Ethical review and approval were waived for this study, due to it being a retrospective review of data collected as part of routine care.

Informed Consent Statement

As this case study was a retrospective review, with data collected as part of routine care, consent for participation was not obtained. Written informed consent has been obtained from the patient to publish this paper.

Data Availability Statement

The original contributions presented in this study are included in the article. Further inquiries can be directed to the corresponding author.

Conflicts of Interest

Christoph Ado Kaiser is a proctor for UniMedTec GmbH Switzerland and does clinical audits for the Swiss Federal Office of Public Health, for both the payments go to the institution. He received support for attending various scientific meetings from Abbott Vascular, Boston Scientific and Medtronic. The other authors have no potential conflict of interest to declare.

Abbreviations

The following abbreviations are used in this manuscript:
TAVItranscatheter aortic valve implantation
TVEMtranscatheter valve embolization and migration
SAPTsingle antiplatelet therapy
OACoral anticoagulation
CTcomputed tomography
NYHANew York Heart Association
RCAright coronary artery
LVEFvisually estimated left ventricular ejection fraction
Vmaxmaximum aortic velocity
INRinternational normalized ratio
ACEangiotensin-converting enzyme
ESC/EACTSEuropean Society of Cardiology and European Association for Cardio-Thoracic Surgery

References

  1. Wagener, M.; Boeddinghaus, J.; Gaemperli, O.; Räber, L.; Nietlispach, F.; Meier, P.; Muller, O.; Weilenmann, D.; Jeger, R.; Swiss Working Group Interventional Cardiology of the Swiss Society of Cardiology. Trends in Coronary and Structural Heart Interventions in Switzerland over the Last 16 Years and Impact of COVID-19: Insights from the National Swiss PCI Survey. J. Clin. Med. 2022, 11, 7459. [Google Scholar] [CrossRef] [PubMed]
  2. Attinger-Toller, A.; Ferrari, E.; Tueller, D.; Templin, C.; Muller, O.; Nietlispach, F.; Toggweiler, S.; Noble, S.; Roffi, M.; Jeger, R.; et al. Age-Related Outcomes After Transcatheter Aortic Valve Replacement: Insights from the SwissTAVI Registry. JACC Cardiovasc. Interv. 2021, 14, 952–960. [Google Scholar] [CrossRef] [PubMed]
  3. Kim, W.-K.; Schäfer, U.; Tchetche, D.; Nef, H.; Arnold, M.; Avanzas, P.; Rudolph, T.; Scholtz, S.; Barbanti, M.; Kempfert, J.; et al. Incidence and outcome of peri-procedural transcatheter heart valve embolization and migration: The TRAVEL registry (TranscatheteR HeArt Valve EmboLization and Migration). Eur. Heart J. 2019, 40, 3156–3165. [Google Scholar] [CrossRef] [PubMed]
  4. Frumkin, D.; Pietron, M.; Kind, A.; Brand, A.; Knebel, F.; Laule, M.; Leistner, D.M.; Landmesser, U.; Krackhardt, F.; Sherif, M.; et al. Valve embolization during transcatheter aortic valve implantation: Incidence, risk factors and follow-up by computed tomography. Front. Cardiovasc. Med. 2022, 9, 928740. [Google Scholar] [CrossRef] [PubMed]
  5. Moreno-Samos, J.C.; Vidovich, M.I. Device Embolization in Transcatheter Aortic Valve Procedures: Expect the Unexpected. JACC Case Rep. 2019, 1, 105–107. [Google Scholar] [CrossRef] [PubMed]
  6. Praz, F.; Borger, M.A.; Lanz, J.; Marin-Cuartas, M.; Abreu, A.; Adamo, M.; Marsan, N.A.; Barili, F.; Bonaros, N.; Cosyns, B.; et al. 2025 ESC/EACTS Guidelines for the management of valvular heart disease: Developed by the task force for the management of valvular heart disease of the European Society of Cardiology (ESC) and the European Association for Cardio-Thoracic Surgery (EACTS). Eur. Heart J. 2025, ehaf194. [Google Scholar] [CrossRef] [PubMed]
  7. Greco, A.; Capodanno, D. Anticoagulation after Transcatheter Aortic Valve Implantation: Current Status. Interv. Cardiol. 2020, 15, e02. [Google Scholar] [CrossRef] [PubMed]
  8. Dangas, G.D.; Tijssen, J.G.; Wöhrle, J.; Søndergaard, L.; Gilard, M.; Möllmann, H.; Makkar, R.R.; Herrmann, H.C.; Giustino, G.; Baldus, S.; et al. A Controlled Trial of Rivaroxaban after Transcatheter Aortic- Valve Replacement. N. Engl. J. Med. 2020, 382, 120–129. [Google Scholar] [CrossRef] [PubMed]
  9. Maes, F.; Stabile, E.; Ussia, G.P.; Tamburino, C.; Pucciarelli, A.; Masson, J.-B.; Marsal, J.R.; Barbanti, M.; Côté, M.; Rodés-Cabau, J. Meta-analysis comparing single versus dual antiplatelet therapy following transcatheter aortic valve implantation. Am. J. Cardiol. 2018, 122, 310–315. [Google Scholar] [CrossRef] [PubMed]
  10. Brouwer, J.; Nijenhuis, V.J.; Delewi, R.; Hermanides, R.S.; Holvoet, W.; Dubois, C.L.; Frambach, P.; De Bruyne, B.; van Houwelingen, G.K.; Van Der Heyden, J.A.; et al. Aspirin With or Without Clopidogrel after Transcatheter Aortic-Valve Implantation. N. Engl. J. Med. 2020, 383, 1447–1457. [Google Scholar] [CrossRef] [PubMed]
Figure 1. Preprocedural transcatheter aortic valve implantation computed tomography with 3D volume rendering showing calcium distribution in the aorta and aortic valve calcification. LAO: Left anterior oblique projection; LC: Left coronary; MIP: Maximum intensity projection; NC: Noncoronary; RAO: Right anterior oblique projection; RC: Right coronary; VR: Virtual reality.
Figure 1. Preprocedural transcatheter aortic valve implantation computed tomography with 3D volume rendering showing calcium distribution in the aorta and aortic valve calcification. LAO: Left anterior oblique projection; LC: Left coronary; MIP: Maximum intensity projection; NC: Noncoronary; RAO: Right anterior oblique projection; RC: Right coronary; VR: Virtual reality.
Cardiovascmed 28 00004 g001
Figure 2. Double transcatheter aortic valve implantation. The embolized prosthesis is in the ascending aorta (dashed arrow), and the second aortic valve prosthesis is in the correct position (arrow).
Figure 2. Double transcatheter aortic valve implantation. The embolized prosthesis is in the ascending aorta (dashed arrow), and the second aortic valve prosthesis is in the correct position (arrow).
Cardiovascmed 28 00004 g002
Disclaimer/Publisher’s Note: The statements, opinions and data contained in all publications are solely those of the individual author(s) and contributor(s) and not of MDPI and/or the editor(s). MDPI and/or the editor(s) disclaim responsibility for any injury to people or property resulting from any ideas, methods, instructions or products referred to in the content.

Share and Cite

MDPI and ACS Style

Ratyte, R.; Löffel, M.; Kaiser, C.A. Double TAVI: What’s Next? Cardiovasc. Med. 2025, 28, 4. https://doi.org/10.3390/cardiovascmed28010004

AMA Style

Ratyte R, Löffel M, Kaiser CA. Double TAVI: What’s Next? Cardiovascular Medicine. 2025; 28(1):4. https://doi.org/10.3390/cardiovascmed28010004

Chicago/Turabian Style

Ratyte, Ruta, Mirjam Löffel, and Christoph Ado Kaiser. 2025. "Double TAVI: What’s Next?" Cardiovascular Medicine 28, no. 1: 4. https://doi.org/10.3390/cardiovascmed28010004

APA Style

Ratyte, R., Löffel, M., & Kaiser, C. A. (2025). Double TAVI: What’s Next? Cardiovascular Medicine, 28(1), 4. https://doi.org/10.3390/cardiovascmed28010004

Article Metrics

Back to TopTop