Next Article in Journal
Digitalization and Artificial Intelligence in (Heart-) Medicine
Previous Article in Journal
Right-Sided Atrial Flutter Ablation After Tricuspid Valve-in-Valve Replacement
 
 
Cardiovascular Medicine is published by MDPI from Volume 28 Issue 1 (2025). Previous articles were published by another publisher in Open Access under a CC-BY (or CC-BY-NC-ND) licence, and they are hosted by MDPI on mdpi.com as a courtesy and upon agreement with Editores Medicorum Helveticorum (EMH).
Font Type:
Arial Georgia Verdana
Font Size:
Aa Aa Aa
Line Spacing:
Column Width:
Background:
Case Report

Treatment of Complex Atrial Arrhythmias in Lamin Heart Disease

by
Stefano Caselli
1,
Lam Dang
1,
Kurt Mayer
2,
Christine Attenhofer Jost
1 and
Christoph Scharf
1,*
1
Herzgefässmedizin, Hirslanden Klinik im Park, 8027 Zurich, Switzerland
2
Kurt Meyer Clinical Practice, 7000 Chur, Switzerland
*
Author to whom correspondence should be addressed.
Cardiovasc. Med. 2023, 26(6), 202; https://doi.org/10.4414/cvm.2023.1243927837
Submission received: 22 August 2023 / Revised: 22 September 2023 / Accepted: 22 October 2023 / Published: 22 November 2023

Abstract

We report unusual manifestations of Lamin mutations (noncompaction, vertical pulmonary vein connection) associated with highly complex atrial arrhythmias, which were not mappable by contact mapping due to unstable reference and activation patterns. The advantages of a novel noncontact mapping technology allowing beat-to-beat analysis of electrical activation in the entire heart chamber simultaneously by localizing electrical charge density (Coulomb/area) are discussed.

Introduction

In younger patients, Lamin heart disease is an underdiagnosed etiology of complex irregular atrial arrhythmias occurring in the absence of pulmonary vein activity. As serial measurements of the contact electrogram (EGM) cannot be annotated in such cases, we used a novel noncontact mapping array to localize and target these arrhythmias. We present two sisters with focal atrial arrhythmias originating from the right and left interatrial septum. The diagnosis of Lamin A/C mutation was made years after the intervention. Additional findings such as conduction system disease and unusual morphological abnormalities, such as ventricular noncompaction and abnormal pulmonary vein connection are presented.

Case Report Patient A

This female patient was diagnosed with left ventricular noncompaction (Figure 1), left ventricular ejection fraction (LVEF) 0.52 and frequent (30%) premature ventricular contractions (PVC) at the age of 37. The magnetic resonance imaging showed no scar nor late enhancement. An electrophysiological study was performed and the PVCs were mapped in the left ventricular outflow tract and were successfully ablated. Nine years later, at the age of 46 years, she presented with LVEF of 0.47, frequent episodes of nonsustained ventricular tachycardia (NSVT) and symptomatic paroxysmal atrial fibrillation. The patient underwent pulmonary vein isolation and prophylactic implantation of an implantable cardioverter-defibrillator (ICD) for intermittent atrioventricular (AV) block and NSVT associated with noncompaction. One year later, a redo procedure for multiple left atrial arrhythmias was performed, but the irregular atrial activation patterns could not be mapped with the contact mapping system. An antiarrhythmic treatment with flecainide was administered but had to be stopped after two years because of declining LVEF (to 0.35). Then, at the age of 50 years, she underwent a redo procedure for left atrial arrhythmias when a novel noncontact mapping system (AcQMap®, Acutus Medical) had become available [1]. This system allows a beatto-beat analysis of the atrial activation by assessing the electrical charge (Coulomb/area) simultaneously in the entire atrium. The method has been validated against contact mapping in sinus rhythm and atrial fibrillation [2]. Noncontact maps were acquired for a duration of 30 s each.
There was no activity in any pulmonary vein and low voltage in the left atrium. A left atrial map showed an atrial arrhythmia originating from the interatrial septum region with a cycle length of around 270 ms (Figure 2A and D). Then a right atrial map was performed, which showed an earlier origin at the opposite site in the right atrial septum (Figure 2B and C). Here radiofrequency ablation (RFA) was applied, despite barely visible local EGMs on the ablation catheter. The arrhythmia slowed to 360 ms (Figure 2B) and converted to sinus rhythm in the right atrium, while the left atrium stayed in arrhythmia (Figure 2E). Another left atrial map confirmed the origin in the septum, and further ablation there led to termination of the arrhythmia in the left atrium (Figure 2F). Afterwards, a very long interatrial conduction time of 200 ms was observed.
During follow up of three years, the patient remained free of atrial arrhythmias longer than two minutes according to the ICD interrogation in the absence of any antiarrhythmic drug (Figure 4). However, she experienced repeated strokes despite anticoagulation with a vitamin K antagonist (phenprocoumon), which were attributed to thromboembolism from the noncompacted ventricular myocardium. Therefore, the anticoagulation was combined with acetylsalicylic acid.

Case Report Patient B

This otherwise healthy female patient underwent RFA at the age of 39 for atrial tachycardia from the right atrial free wall. At the time, she had a normal echocardiogram with normal LVEF, morphology and size of both ventricles. There was only mild biatrial enlargement and minimal mitral regurgitation. At the age of 46, a pacemaker (PM) was implanted for intermitted second and third degree AV block. One year later, she had atrial flutter and underwent successful RFA at the cavotricuspid isthmus. At the time, prolonged atrial conduction times were noted with a transisthmus interval of 320 ms and a split potential of 188 ms in the absence of antiarrhythmic drugs. At the age of 48, the patient presented with incessant PM mediated tachycardia in the presence of complete anterograde AV block. Therefore, the retrogradely conducting slow pathway had to be ablated.
At the age of 51 years, the patient had a transient ischemic attack. Because of symptomatic atrial arrhythmia, an electrophysiology procedure with AcQMap® from Acutus Medical was performed. During contrast injection into the left superior pulmonary vein (LSPV), an abnormal vertical vein connection to the brachiocephalic and superior caval vein (SCV) was found (Figure 3A,B).
The pulmonary veins had no activity during an irregular atrial arrhythmia of varying cycle length between 230 and 260 ms with very low amplitudes on surface electrocardiogram (ECG) (Figure 3D). Beat-to-beat atrial mapping with the Acutus system showed a focal origin of about 0.5 cm diameter at the anteroseptal left atrium (Figure 3C). During RFA conversion to sinus rhythm was observed (Figure 3E). No further atrial arrhythmia could be induced with pacing down to 250 ms cycle length. During follow up of 1.5 years, the patient remained free of relevant atrial arrhythmia (atrial fibrillation burden <0.7% in the PM interrogation) (Figure 4). An upgrade to an ICD was done in 2021, when the Lamin mutation had been diagnosed. The vertical vein connection was closed percutaneously with an Amplatzer™ cardiac plug.

Genetic Testing

Because of the positive family history, genetic testing was performed which revealed a heterozygous mutation in the exon 6 of the LMNA gene c.1129C>T (p.Arg377Cys) rs397517889 in both sisters (patient A and B). The same mutation was found in an asymptomatic 21-year-old son of patient A with NSVT. For primary prevention he underwent prophylactic ICD implantation.

Discussion

These are the first case reports of complex irregular atrial arrhythmias mapped with a novel noncontact mapping system (AcQMap®, Acutus Medical) in Lamin heart disease. Contact mapping had not been successful because of irregular and varying atrial conduction patterns. Instead, beat-to-beat analysis of the simultaneous activation in the entire heart chamber by the noncontact mapping system localizing the electrical charge density on the atrial wall successfully showed the origin of arrhythmias without annotation. The electrograms at target sites showed minimal amplitudes at maximum gain further illustrating the limitations of contact mapping by filtering and subtraction for bipolar EGM. The visualization of activation wavefronts repeatedly arising from the same regions by AcQMap® indicated the true focal origin of these unusual atrial arrhythmias in the absence of any pulmonary vein activity. Interestingly, they arose from the same region in the interatrial septum and were associated with interatrial and AV block in otherwise healthy young patients, which is typical for Lamin heart disease [3,4,5]. During follow up of two and three years, no major recurrences have been demonstrated in PM and ICD interrogation, which illustrates the successful mapping and ablation strategy using this novel mapping technology.
These two sisters with Lamin A/C mutation demonstrate two rare morphological features, which have not been described previously in this disease: noncompacted left ventricular myocardium leading to recurrent strokes and a vertical vein connection from the LSPV to the SCV. Whether these are other manifestations of the variable mutations of Lamin disease or just coincidence remains an open question today. The diagnosis by genetic testing helps to assess prognosis and support the indication for prophylactic ICD implantation [5,6].

Ethics Statement

Written informed consent was obtained.

Conflicts of Interest

Stefano Caselli, Kurt Mayer and Christine Attenhofer Jost have reported no financial support nor other potential conflict of interest. Lam Dang received fees from Acutus Medical Inc. and is a minor stockholder. Christof Scharf is a founder of Acutus Medical Inc. and a moderate stockholder, but has received no payments yet. He holds minor royalties and licenses from Acutus Medical Inc. Initial patents have been granted and are subject to a royalty agreement.

References

  1. Grace, A.; Willems, S.; Meyer, C.; Verma, A.; Heck, P.; Zhu, M.; et al. High-resolution noncontact charge-density mapping of endocardial activation. JCI Insight. 2019, 4, e126422. [Google Scholar] [CrossRef] [PubMed]
  2. Shi, R.; Parikh, P.; Chen, Z.; Angel, N.; Norman, M.; Hussain, W.; et al. Validation of Dipole Density Mapping During Atrial Fibrillation and Sinus Rhythm in Human Left Atrium. JACC Clin Electrophysiol. 2020, 6, 171–181. [Google Scholar] [CrossRef] [PubMed]
  3. Captur, G.; Arbustini, E.; Bonne, G.; Syrris, P.; Mills, K.; Wahbi, K.; et al. Lamin and the heart. Heart. 2018, 104, 468–479. [Google Scholar] [CrossRef] [PubMed]
  4. Chauvel, R.; Derval, N.; Duchateau, J.; Denis, A.; Tixier, R.; Welte, N.; et al. Persistent atrial fibrillation ablation in cardiac laminopathy: Electrophysiological findings and clinical outcomes. Heart Rhythm. 2021, 18, 1115–1121. [Google Scholar] [CrossRef] [PubMed]
  5. Hasselberg, N.E.; Haland, T.F.; Saberniak, J.; Brekke, P.H.; Berge, K.E.; Leren, T.P.; et al. Lamin A/C cardiomyopathy: Young onset, high penetrance, and frequent need for heart transplantation. Eur Heart J. 2018, 39, 853–860. [Google Scholar] [CrossRef] [PubMed]
  6. van Rijsingen, I.A.; Arbustini, E.; Elliott, P.M.; Mogensen, J.; Hermans-van Ast, J.F.; van der, K.o.o.i. AJ.; et al. Risk factors for malignant ventricular arrhythmias in lamin a/c mutation carriers a European cohort study. J Am Coll Cardiol. 2012, 59, 493–500. [Google Scholar] [CrossRef] [PubMed]
  7. Priori, S.G.; Blomström-Lundqvist, C.; Mazzanti, A.; Blom, N.; Borggrefe, M.; Camm, J.; et al. ESC Scientific Document Group. 2015 ESC Guidelines for the management of patients with ventricular arrhythmias and the prevention of sudden cardiac death: The Task Force for the Management of Patients with Ventricular Arrhythmias and the Prevention of Sudden Cardiac Death of the European Society of Cardiology (ESC). Endorsed by: Association for European Paediatric and Congenital Cardiology (AEPC). Eur Heart J. 2015, 36, 2793–2867. [Google Scholar] [CrossRef] [PubMed]
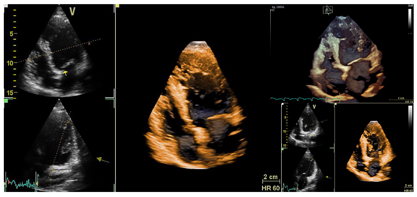
Figure 1. Noncompacted myocardium in Lamin mutation. Echocardiographic examination of patient A at the age of 37 showing highly trabeculated and mildly dilated left ventricle. In short axis, in end-systole a noncompacted/compacted ratio of 2.4 was calculated; this in addition to a borderline ejection fraction of 52% suggested a diagnosis of left ventricular noncompaction. The left ventricular diastolic function was normal. The right ventricle was not dilated and showed normal function. No valvular abnormalities were detected.
Figure 1. Noncompacted myocardium in Lamin mutation. Echocardiographic examination of patient A at the age of 37 showing highly trabeculated and mildly dilated left ventricle. In short axis, in end-systole a noncompacted/compacted ratio of 2.4 was calculated; this in addition to a borderline ejection fraction of 52% suggested a diagnosis of left ventricular noncompaction. The left ventricular diastolic function was normal. The right ventricle was not dilated and showed normal function. No valvular abnormalities were detected.
Cardiovascmed 26 00202 g001
Figure 2. Electrophysiology procedure of patient A demonstrating arrhythmia from opposite sites at the right and left atrial septum. A) Initial arrhythmia. Surface electrocardiogram (ECG) with flat p waves. The electrogram (EGM) showed atypical atrial flutter with concentric coronary sinus (CS) activation. B) Arrhythmia slowing to 356 ms during radiofrequency ablation (RFA) in the right atrium (EGM). C) Graphical display of arrhythmia of the right atrium originating from the right atrial septum. The colors display the history of propagation of the arrhythmia (blue = oldest activation; red = most recent activation). The targeted RFA site is marked with a white star. D) Graphical display of arrhythmia originating in the left atrial septum in AP view. The origin is marked with a white star. E) During RFA at the septal target in right atrium on AcQMap® above the right atrium converted to sinus rhythm (SR) while arrhythmia persisted in the left atrium (see CS EGM). F) During RFA at the septal target the left atrium converted to SR. dist: distal; prox: proximal.
Figure 2. Electrophysiology procedure of patient A demonstrating arrhythmia from opposite sites at the right and left atrial septum. A) Initial arrhythmia. Surface electrocardiogram (ECG) with flat p waves. The electrogram (EGM) showed atypical atrial flutter with concentric coronary sinus (CS) activation. B) Arrhythmia slowing to 356 ms during radiofrequency ablation (RFA) in the right atrium (EGM). C) Graphical display of arrhythmia of the right atrium originating from the right atrial septum. The colors display the history of propagation of the arrhythmia (blue = oldest activation; red = most recent activation). The targeted RFA site is marked with a white star. D) Graphical display of arrhythmia originating in the left atrial septum in AP view. The origin is marked with a white star. E) During RFA at the septal target in right atrium on AcQMap® above the right atrium converted to sinus rhythm (SR) while arrhythmia persisted in the left atrium (see CS EGM). F) During RFA at the septal target the left atrium converted to SR. dist: distal; prox: proximal.
Cardiovascmed 26 00202 g002
Figure 3. Electrophysiology procedure of patient B showing a vertical vein connection and an atrial arrhythmia from the left atrial septum. A) and B) Two consecutive images during contrast injection into the left superior pulmonary vein (LSPV) draining into the superior caval vein (SVC). C) Mapping of atrial arrhythmia with AcQMap® showing the target site at the left atrial septum in AP view with a white star. D) Surface electrocardiogram (ECG) showing the Initial arrhythmia with concentric coronary sinus (CS) activation and termination during radiofrequency ablation at site of white star. E) Non-inducibility during atrial pacing down to atrial effective refractory period of 250 ms.
Figure 3. Electrophysiology procedure of patient B showing a vertical vein connection and an atrial arrhythmia from the left atrial septum. A) and B) Two consecutive images during contrast injection into the left superior pulmonary vein (LSPV) draining into the superior caval vein (SVC). C) Mapping of atrial arrhythmia with AcQMap® showing the target site at the left atrial septum in AP view with a white star. D) Surface electrocardiogram (ECG) showing the Initial arrhythmia with concentric coronary sinus (CS) activation and termination during radiofrequency ablation at site of white star. E) Non-inducibility during atrial pacing down to atrial effective refractory period of 250 ms.
Cardiovascmed 26 00202 g003
Figure 4. Follow up results on implantable cardioverter-defibrillator interrogation in both patients.
Figure 4. Follow up results on implantable cardioverter-defibrillator interrogation in both patients.
Cardiovascmed 26 00202 g004

Share and Cite

MDPI and ACS Style

Caselli, S.; Dang, L.; Mayer, K.; Jost, C.A.; Scharf, C. Treatment of Complex Atrial Arrhythmias in Lamin Heart Disease. Cardiovasc. Med. 2023, 26, 202. https://doi.org/10.4414/cvm.2023.1243927837

AMA Style

Caselli S, Dang L, Mayer K, Jost CA, Scharf C. Treatment of Complex Atrial Arrhythmias in Lamin Heart Disease. Cardiovascular Medicine. 2023; 26(6):202. https://doi.org/10.4414/cvm.2023.1243927837

Chicago/Turabian Style

Caselli, Stefano, Lam Dang, Kurt Mayer, Christine Attenhofer Jost, and Christoph Scharf. 2023. "Treatment of Complex Atrial Arrhythmias in Lamin Heart Disease" Cardiovascular Medicine 26, no. 6: 202. https://doi.org/10.4414/cvm.2023.1243927837

APA Style

Caselli, S., Dang, L., Mayer, K., Jost, C. A., & Scharf, C. (2023). Treatment of Complex Atrial Arrhythmias in Lamin Heart Disease. Cardiovascular Medicine, 26(6), 202. https://doi.org/10.4414/cvm.2023.1243927837

Article Metrics

Back to TopTop