Atrial Fibrillation Ablation from Above
Abstract
Introduction
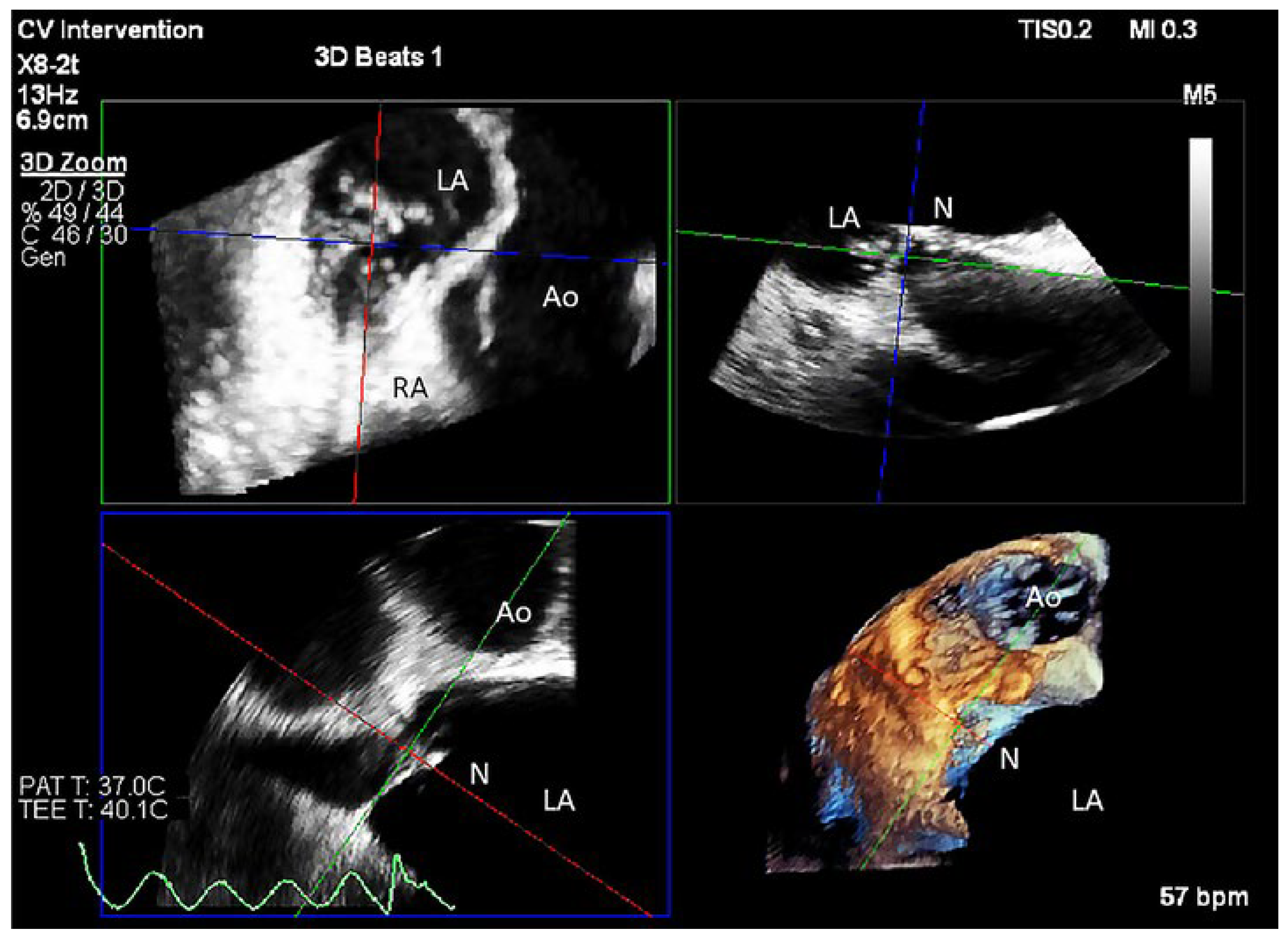
Case description
Discussion
Conclusions
Disclosure statement
Learning points
- Congenital or acquired inferior vena cava interruption are rare conditions, but can preclude standard transfemoral access for left atrial procedures.
- A superior approach for transseptal access and ablation is feasible, but clinical experience is limited in most ablation centres.
- Left axillary or right internal jugular vein are the preferred access sites for a superior transseptal approach.
- Deflectable sheaths and dedicated pigtail radiofrequency wires are more suitable for a superior approach than a fixed-curve sheath and standard Brockenbrough and/or radiofrequency needles.
- Team work with imaging specialists for intraoperative guiding is critical for a safe and successful procedure.
References
- ESC Scientific Document Group; Hindricks, G.; Potpara, T.; Dagres, N.; Arbelo, E.; Bax, J.J.; Blomström-Lundqvist, C. 2020 ESC Guidelines for the diagnosis and management of atrial fibrillation developed in collaboration with the European Association for Cardio-Thoracic Surgery (EACTS): The Task Force for the diagnosis and management of atrial fibrillation of the European Society of Cardiology (ESC) Developed with the special contribution of the European Heart Rhythm Association (EHRA) of the ESC. Eur. Heart J. 2021, 42, 373–498. [Google Scholar]
- Bass, J.E.; Redwine, M.D.; Kramer, L.A.; Huynh, P.T.; Harris, J.H. Spectrum of congenital anomalies of the inferior vena cava: cross-sectional imaging findings. Radiographics 2000, 20, 639–652. [Google Scholar] [CrossRef] [PubMed]
- Santangeli, P.; Kodali, S.; Liang, J.J. How to perform left atrial transseptal access and catheter ablation of atrial fibrillation from a superior approach. J. Cardiovasc. Electrophysiol. 2020, 31, 293–299. [Google Scholar] [CrossRef] [PubMed]
- Liang, J.J.; Lin, A.; Mohanty, S.; Muser, D.; Briceno, D.F.; Burkhardt, J.D. Radiofrequency-Assisted Transseptal Access for Atrial Fibrillation Ablation Via a Superior Approach. JACC Clin. Electrophysiol. 2020, 6, 272–281. [Google Scholar] [CrossRef] [PubMed]
- Betensky, B.P.; Santangeli, P. Radiofrequency wire-facilitated transseptal access using a superior approach for atrial fibrillation ablation in a patient with inferior vena cava obstruction. HeartRhythm Case Rep. 2016, 2, 265–267. [Google Scholar] [CrossRef] [PubMed]
- Lim, H.E.; Pak, H.N.; Tse, H.F.; Lau, C.P.; Hwang, C.; Kim, Y.H. Catheter ablation of atrial fibrillation via superior approach in patients with interruption of the inferior vena cava. Heart Rhythm 2009, 6, 174–179. [Google Scholar] [CrossRef] [PubMed]
- Kox, T.; Laubenthal, F.; Imnadze, G. Successful transseptal puncture and cryoballoon ablation of symptomatic paroxysmal atrial fibrillation via jugular access in a patient with bilateral thrombotic femoral vein occlusion. HeartRhythm Case Rep. 2019, 5, 347–350. [Google Scholar] [CrossRef] [PubMed]





© 2022 by the authors. Attribution - Non-Commercial - NoDerivatives 4.0.
Share and Cite
Madaffari, A.; Brugger, N.; Gräni, C.; Rimoldi, S.F.; Roten, L.; Reichlin, T. Atrial Fibrillation Ablation from Above. Cardiovasc. Med. 2022, 25, 2205. https://doi.org/10.4414/cvm.2022.02205
Madaffari A, Brugger N, Gräni C, Rimoldi SF, Roten L, Reichlin T. Atrial Fibrillation Ablation from Above. Cardiovascular Medicine. 2022; 25(5):2205. https://doi.org/10.4414/cvm.2022.02205
Chicago/Turabian StyleMadaffari, Antonio, Nicolas Brugger, Christoph Gräni, Stefano F. Rimoldi, Laurent Roten, and Tobias Reichlin. 2022. "Atrial Fibrillation Ablation from Above" Cardiovascular Medicine 25, no. 5: 2205. https://doi.org/10.4414/cvm.2022.02205
APA StyleMadaffari, A., Brugger, N., Gräni, C., Rimoldi, S. F., Roten, L., & Reichlin, T. (2022). Atrial Fibrillation Ablation from Above. Cardiovascular Medicine, 25(5), 2205. https://doi.org/10.4414/cvm.2022.02205
