Tricuspid Regurgitation: Assessment and New Frontiers
Abstract
Introduction
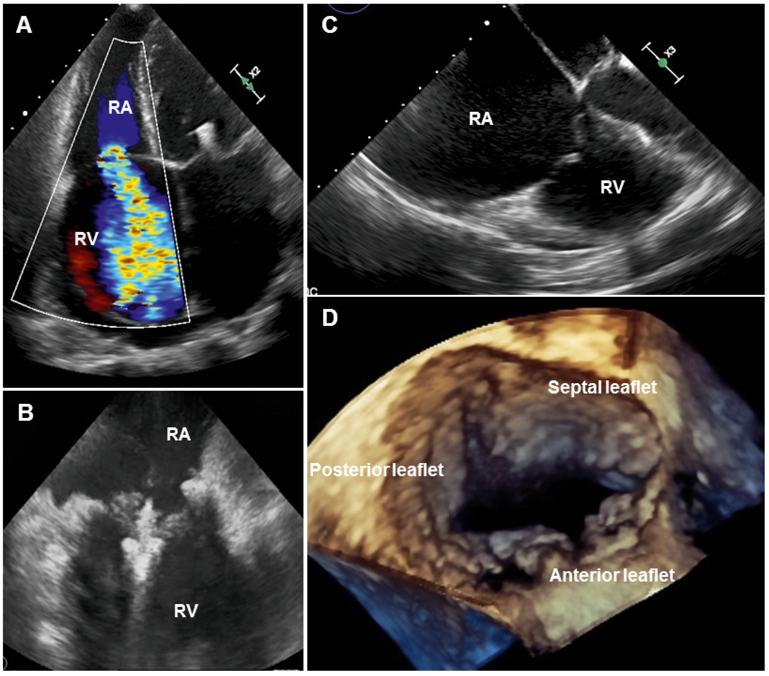
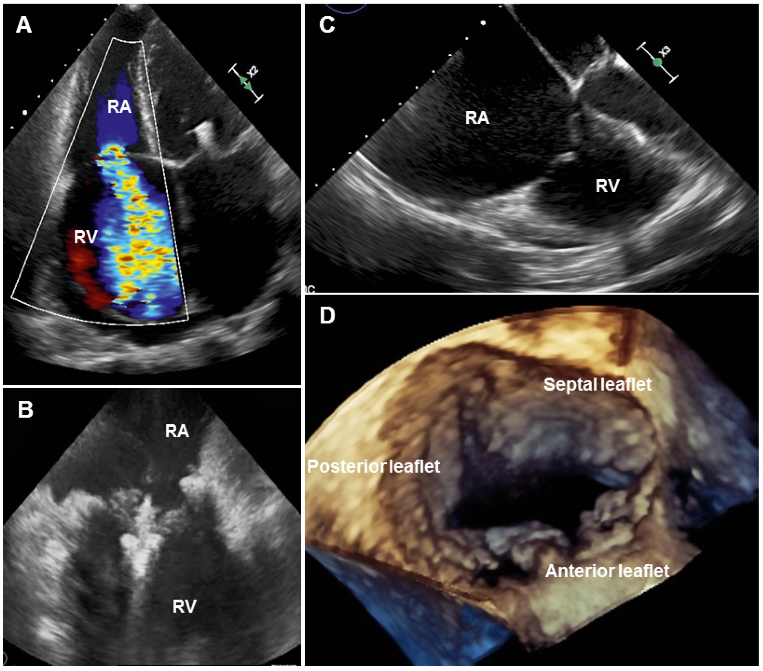
TR assessment with multi-imaging modalities
Transcatheter tricuspid valve replacement
Transcatheter tricuspid valve repair
Edge-to-edge repair at the tricuspid position
The Trialign system
The TriCinch system
Cardioband at the tricuspid position
The Millipede annular ring
Tricuspid valve spacer
Caval valve implantation
Transatrial intrapericardial tricuspid annuloplasty (TRAIPTA)
MIA™ Minimally Invasive Annuloplasty Technology for Tricuspid
Conclusion
Disclosure Statement
References
- Taramasso, M.; Vanermen, H.; Maisano, F.; Guidotti, A.; La Canna, G.; Alfieri, O. The growing clinical importance of secondary tricuspid regurgitation. J Am Coll Cardiol 2012, 59, 703–710. [Google Scholar]
- Kim, Y.J.; Kwon, D.A.; Kim, H.K.; Park, J.S.; Hahn, S.; Kim, K.H.; et al. Determinants of surgical outcome in patients with isolated tricuspid regurgitation. Circulation 2009, 120, 1672–1678. [Google Scholar]
- Kwon, D.A.; Park, J.S.; Chang, H.J.; Kim, Y.J.; Sohn, D.W.; Kim, K.B.; et al. Prediction of outcome in patients undergoing surgery for severe tricuspid regurgitation following mitral valve surgery and role of tricuspid annular systolic velocity. Am J Cardiol 2006, 98, 659–661. [Google Scholar]
- Staab, M.E.; Nishimura, R.A.; Dearani, J.A. Isolated tricuspid valve surgery for severe tricuspid regurgitation following prior left heart valve surgery: analysis of outcome in 34 patients. J Heart Valve Dis 1999, 8, 567–574. [Google Scholar]
- Vahanian, A.; Alfieri, O.; Andreotti, F.; Antunes, M.J.; Baron-Esquivias, G.; Baumgartner, H.; et al. Guidelines on the management of valvular heart disease (version 2012). Eur Heart J 2012, 33, 2451–2496. [Google Scholar]
- Nishimura, R.A.; Otto, C.M.; Bonow, R.O.; Carabello, B.A.; Erwin, J.P., 3rd; Guyton, R.A.; et al. For the American College of Cardiology/American Heart Association Task Force on Practice G. 2014 AHA/ACC guideline for the management of patients with valvular heart disease: a report of the American College of Cardiology/American Heart Association Task Force on Practice Guidelines. J Am Coll Cardiol 2014, 63, e57–e185. [Google Scholar]
- Zoghbi, W.A.; Enriquez-Sarano, M.; Foster, E.; Grayburn, P.A.; Kraft, C.D.; Levine, R.A.; et al. For the American Society of Echcardiography. Recommendations for evaluation of the severity of native valvular regurgitation with two-dimensional and Doppler echocardiography. J Am Soc Echocardiogr 2003, 16, 777–802. [Google Scholar]
- Lancellotti, P.; Tribouilloy, C.; Hagendorff, A.; Moura, L.; Popescu, B.A.; Agricola, E.; et al. For the European Association of Echocardiography. European Association of Echocardiography recommendations for the assessment of valvular regurgitation. Part 1: aortic and pulmonary regurgitation (native valve disease). Eur J Echocardiogr 2010, 11, 223–244. [Google Scholar]
- Rudski, L.G.; Lai, W.W.; Afilalo, J.; Hua, L.; Handschumacher, M.D.; Chandrasekaran, K.; et al. Guidelines for the echocardiographic assessment of the right heart in adults: a report from the American Society of Echocardiography endorsed by the European Association of Echocardiography, a registered branch of the European Society of Cardiology, and the Canadian Society of Echocardiography. J Am Soc Echocardiogr 2010, 23, 685–713, quiz 786–788. [Google Scholar]
- Rodes-Cabau, J.; Taramasso, M.; O'Gara, P.T. Diagnosis and treatment of tricuspid valve disease: current and future perspectives. Lancet 2016. [Google Scholar]
- Calvert, P.A.; Himbert, D.; Brochet, E.; Radu, C.; Iung, B.; Hvass, U.; et al. Transfemoral implantation of an Edwards SAPIEN valve in a tricuspid bioprosthesis without fluoroscopic landmarks. EuroIntervention 2012, 7, 1336–1339. [Google Scholar]
- Hoendermis, E.S.; Douglas, Y.L.; van den Heuvel, A.F. Percutaneous Edwards SAPIEN valve implantation in the tricuspid position: case report and review of literature. EuroIntervention 2012, 8, 628–633. [Google Scholar]
- Van Garsse, L.A.; Ter Bekke, R.M.; van Ommen, V.G. Percutaneous transcatheter valve-in-valve implantation in stenosed tricuspid valve bioprosthesis. Circulation 2011, 123, e219–e221. [Google Scholar]
- Roberts, P.; Spina, R.; Vallely, M.; Wilson, M.; Bailey, B.; Celermajer, D.S. Percutaneous tricuspid valve replacement for a stenosed bioprosthesis. Circ Cardiovasc Interv 2010, 3, e14–e15. [Google Scholar][Green Version]
- Scarsini, R.; Lunardi, M.; Pesarini, G.; Castriota, F.; Feola, M.; Ferrero, V.; et al. Long-term follow-up after trans-catheter tricuspid valve-in-valve replacement with balloon-expandable aortic valves. Int J Cardiol 2017, 235, 141–146. [Google Scholar][Green Version]
- McElhinney, D.B.; Cabalka, A.K.; Aboulhosn, J.A.; Eicken, A.; Boudjemline, Y.; Schubert, S.; Himbert, D.; et al. Valve-in-Valve International Database R. Transcatheter Tricuspid Valve-in-Valve Implantation for the Treatment of Dysfunctional Surgical Bioprosthetic Valves: An International, Multicenter Registry Study. Circulation 2016, 133, 1582–1593. [Google Scholar][Green Version]
- Feldman, T.; Kar, S.; Elmariah, S.; Smart, S.C.; Trento, A.; Siegel, R.J.; et al. Investigators EI. Randomized Comparison of Percutaneous Repair and Surgery for Mitral Regurgitation: 5-Year Results of EVEREST II. J Am Coll Cardiol 2015, 66, 2844–2854. [Google Scholar][Green Version]
- Hammerstingl, C.; Schueler, R.; Malasa, M.; Werner, N.; Nickenig, G. Transcatheter treatment of severe tricuspid regurgitation with the MitraClip system. Eur Heart J 2016, 37, 849–853. [Google Scholar][Green Version]
- Nickenig, G.; Kowalski, M.; Hausleiter, J.; Braun, D.; Schofer, J.; Yzeiraj, E.; et al. Transcatheter Treatment of Severe Tricuspid Regurgitation with the Edge-to-Edge: MitraClip Technique. Circulation 2017. [Google Scholar][Green Version]
- Taramasso, M.; Zuber, M.; Kuwata, S.; Nietlispach, F.; Maisano, F. Clipping of the tricuspid valve: proposal of a “Rosetta Stone” nomenclature for procedural 3D transoesophageal guidance. EuroIntervention 2017, 12, e1825–e1827. [Google Scholar][Green Version]
- Hahn, R.T.; Meduri, C.U.; Davidson, C.J.; Lim, S.; Nazif, T.M.; Ricciardi, M.J.; et al. Early Feasibility Study of a Transcatheter Tricuspid Valve Annuloplasty: SCOUT Trial 30-Day Results. J Am Coll Cardiol 2017, 69, 1795–1806. [Google Scholar][Green Version]
- Kuwata, S.; Taramasso, M.; Guidotti, A.; Nietlispach, F.; Maisano, F. Evaluation of Valtech’s transcatheter mitral valve repair device. Expert Rev Med Devices 2017, 14, 189–195. [Google Scholar][Green Version]
- Kuwata, S.; Taramasso, M.; Nietlispach, F.; Maisano, F. Transcatheter tricuspid valve repair toward a surgical standard: first-in-man report of direct annuloplasty with a cardioband device to treat severe functional tricuspid regurgitation. Eur Heart J 2017, 38, 1261. [Google Scholar][Green Version]
- Campelo-Parada, F.; Perlman, G.; Philippon, F.; Ye, J.; Thompson, C.; Bedard, E.; et al. First-in-Man Experience of a Novel Transcatheter Repair System for Treating Severe Tricuspid Regurgitation. J Am Coll Cardiol 2015, 66, 2475–2483. [Google Scholar][Green Version]
- Sengupta, P.P.; Narula, J. Keeping off the wrong track on the right side: planning for transcatheter caval valve implantation. JACC Cardiovasc Imaging 2015, 8, 232–234. [Google Scholar][Green Version]
- Lauten, A.; Doenst, T.; Hamadanchi, A.; Franz, M.; Figulla, H.R. Percutaneous bicaval valve implantation for transcatheter treatment of tricuspid regurgitation: clinical observations and 12-month follow-up. Circ Cardiovasc Interv 2014, 7, 268–272. [Google Scholar][Green Version]
- Rakita, V.; Lakhter, V.; Patil, P.; O’Neill, B.P. Intermediate term hemodynamic effects of single inferior vena cava valve implant for the treatment of severe tricuspid regurgitation. Catheter Cardiovasc Interv 2017. [Epub ahead of print]. [Google Scholar][Green Version]
- O’Neill, B.P.; Wheatley, G.; Bashir, R.; Edmundowicz, D.; O’Murchu, B.; O’Neill, W.W.; et al. Study design and rationale of the heterotopic implantation of the Edwards-Sapien XT transcatheter valve in the inferior VEna cava for the treatment of severe tricuspid regurgitation (HOVER) trial. Catheter Cardiovasc Interv 2016, 88, 287–293. [Google Scholar][Green Version]
- Rogers, T.; Ratnayaka, K.; Sonmez, M.; Franson, D.N.; Schenke, W.H.; Mazal, J.R.; et al. Transatrial intrapericardial tricuspid annuloplasty. JACC Cardiovasc Interv 2015, 8, 483–491. [Google Scholar][Green Version]





Disclaimer/Publisher’s Note: The statements, opinions and data contained in all publications are solely those of the individual author(s) and contributor(s) and not of MDPI and/or the editor(s). MDPI and/or the editor(s) disclaim responsibility for any injury to people or property resulting from any ideas, methods, instructions or products referred to in the content. |
© 2017 by the authors. Attribution - Non-Commercial - NoDerivatives 4.0.
Share and Cite
Kuwata, S.; Zuber, M.; Pozzoli, A.; Nietlispach, F.; Tanner, F.C.; Maisano, F.; Taramasso, M. Tricuspid Regurgitation: Assessment and New Frontiers. Cardiovasc. Med. 2017, 20, 203. https://doi.org/10.4414/cvm.2017.00514
Kuwata S, Zuber M, Pozzoli A, Nietlispach F, Tanner FC, Maisano F, Taramasso M. Tricuspid Regurgitation: Assessment and New Frontiers. Cardiovascular Medicine. 2017; 20(9):203. https://doi.org/10.4414/cvm.2017.00514
Chicago/Turabian StyleKuwata, Shingo, Michel Zuber, Alberto Pozzoli, Fabian Nietlispach, Felix C. Tanner, Francesco Maisano, and Maurizio Taramasso. 2017. "Tricuspid Regurgitation: Assessment and New Frontiers" Cardiovascular Medicine 20, no. 9: 203. https://doi.org/10.4414/cvm.2017.00514
APA StyleKuwata, S., Zuber, M., Pozzoli, A., Nietlispach, F., Tanner, F. C., Maisano, F., & Taramasso, M. (2017). Tricuspid Regurgitation: Assessment and New Frontiers. Cardiovascular Medicine, 20(9), 203. https://doi.org/10.4414/cvm.2017.00514
