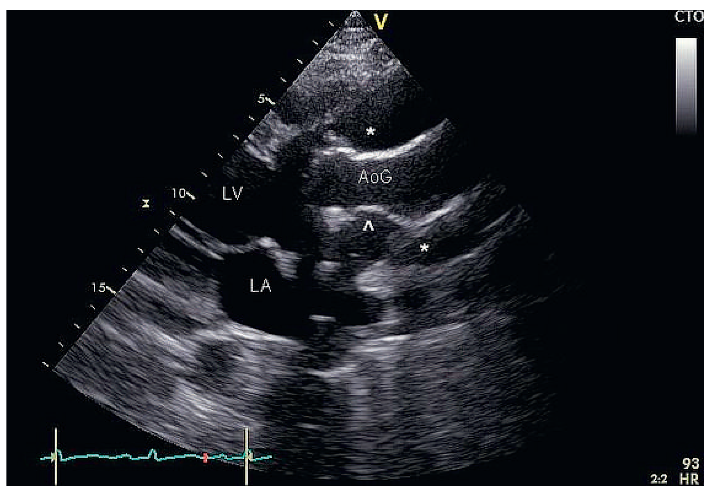
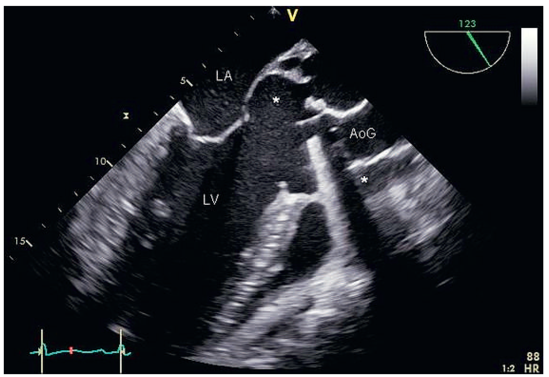
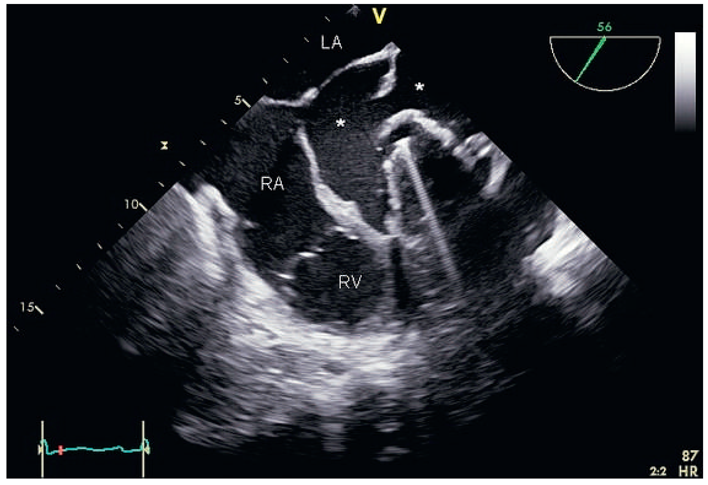
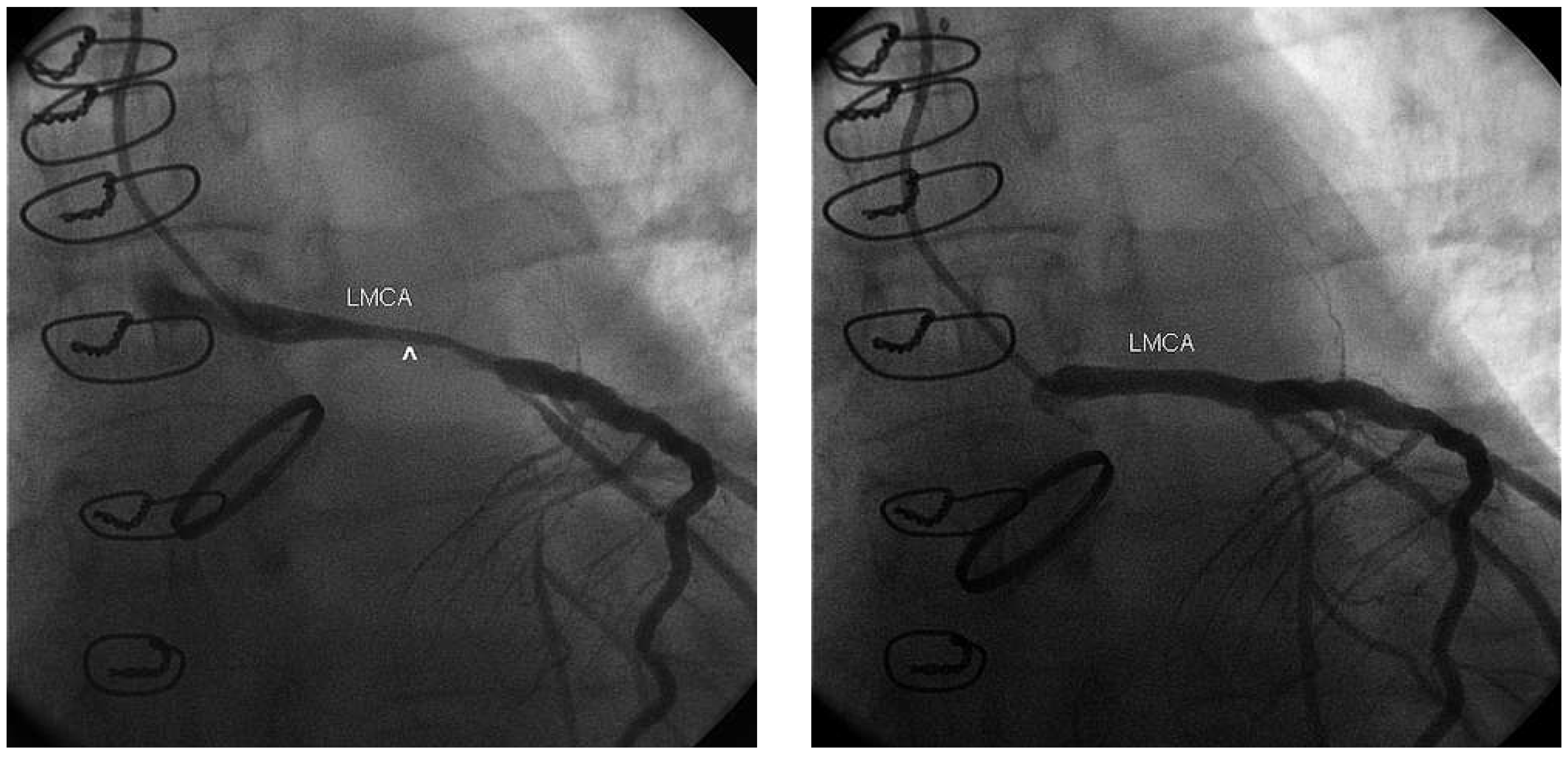
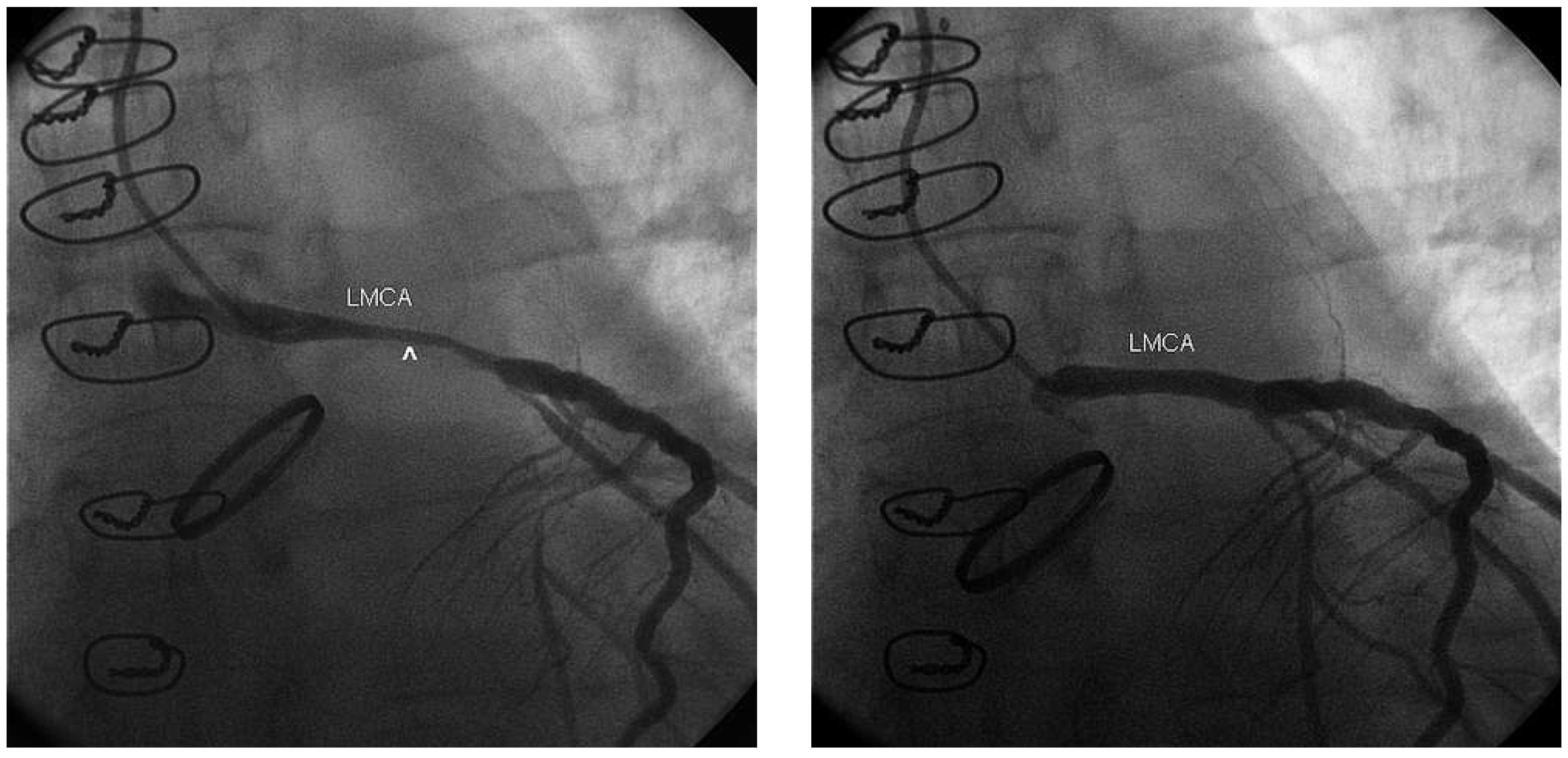
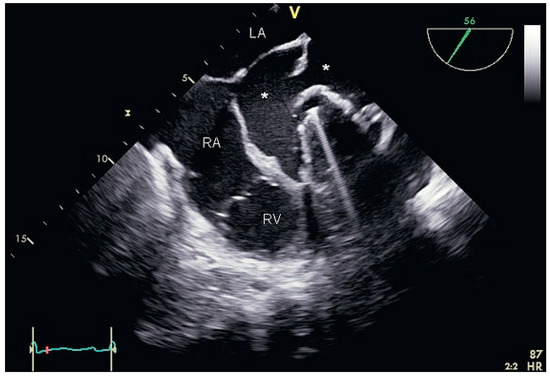
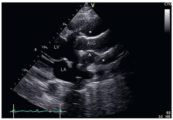
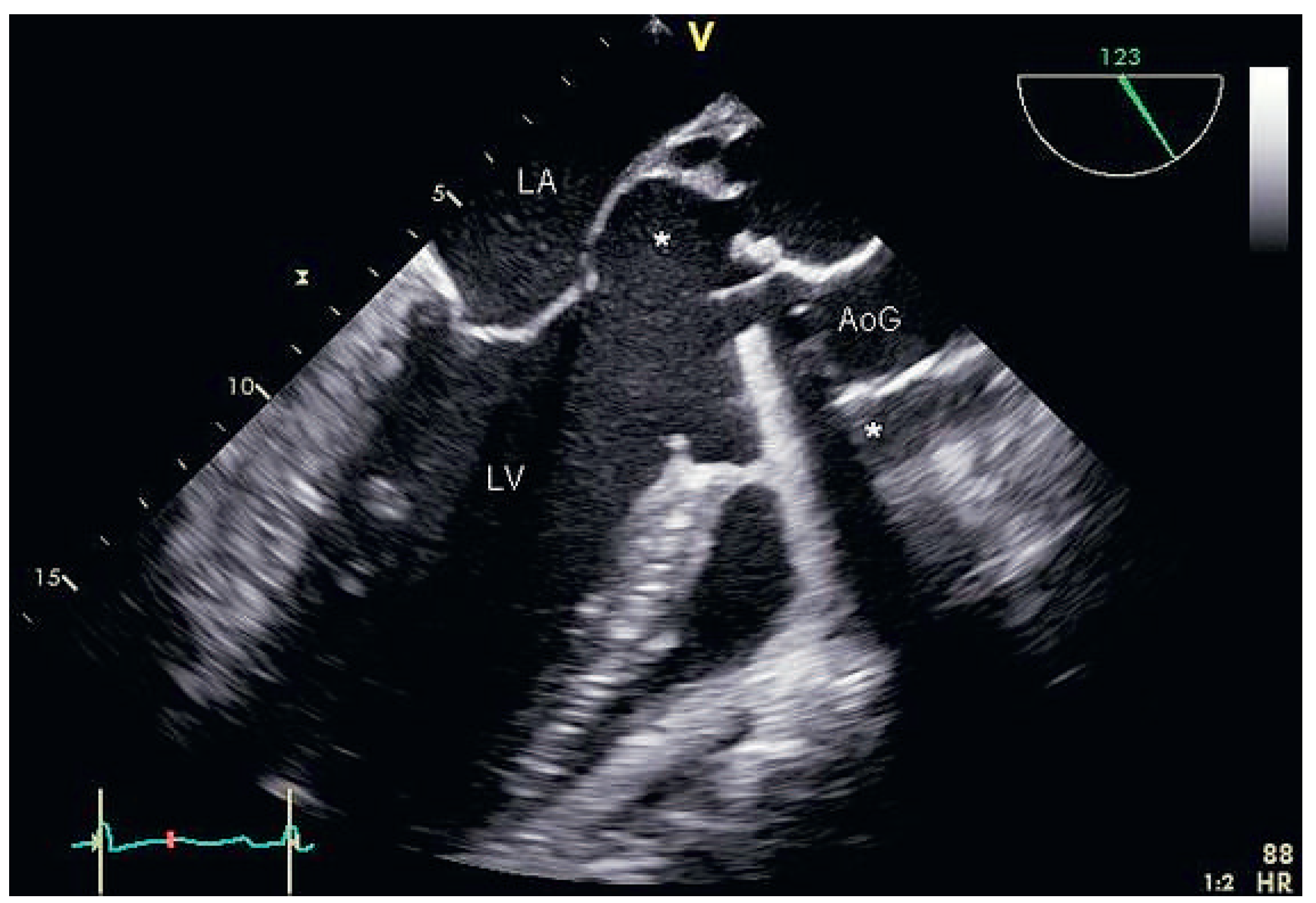
Partial Aortic Graft Disconnection Due to Endocarditis: A Rare Cause of Dynamic Coronary Artery Compression
Funding/potential competing interests
References
- Barbetseas, J.; Crawford, E.S.; Safi, H.J.; Coselli, J.S.; Quinones, M.A.; Zoghbi, W.A. Doppler echocardiographic evaluation of pseudoaneurysms complicating composite grafts of the ascending aorta. Circulation. 1992, 85, 212–222. [Google Scholar] [CrossRef] [PubMed]
- Sohail, M.R.; Gray, A.L.; Baddour, L.M.; Tlejyeh, I.M.; Virk, A. Infective endocarditis due to Propionibacterium species. Clin Microbiol Infect. 2009, 15, 387–394. [Google Scholar] [CrossRef] [PubMed]





© 2014 by the author. Attribution - Non-Commercial - NoDerivatives 4.0.
Share and Cite
Studer Bruengger, A.A.; Kurz, D.J.; Genoni, M.; Bernheim, A.M. Partial Aortic Graft Disconnection Due to Endocarditis: A Rare Cause of Dynamic Coronary Artery Compression. Cardiovasc. Med. 2014, 17, 95. https://doi.org/10.4414/cvm.2014.00221
Studer Bruengger AA, Kurz DJ, Genoni M, Bernheim AM. Partial Aortic Graft Disconnection Due to Endocarditis: A Rare Cause of Dynamic Coronary Artery Compression. Cardiovascular Medicine. 2014; 17(3):95. https://doi.org/10.4414/cvm.2014.00221
Chicago/Turabian StyleStuder Bruengger, Annina A., David J. Kurz, Michele Genoni, and Alain M. Bernheim. 2014. "Partial Aortic Graft Disconnection Due to Endocarditis: A Rare Cause of Dynamic Coronary Artery Compression" Cardiovascular Medicine 17, no. 3: 95. https://doi.org/10.4414/cvm.2014.00221
APA StyleStuder Bruengger, A. A., Kurz, D. J., Genoni, M., & Bernheim, A. M. (2014). Partial Aortic Graft Disconnection Due to Endocarditis: A Rare Cause of Dynamic Coronary Artery Compression. Cardiovascular Medicine, 17(3), 95. https://doi.org/10.4414/cvm.2014.00221
 
        
