Coronary Fibromuscular Dysplasia: A Rare Cause of Familial Acute Coronary Syndrome. Case Report and Review of the Literature
Abstract
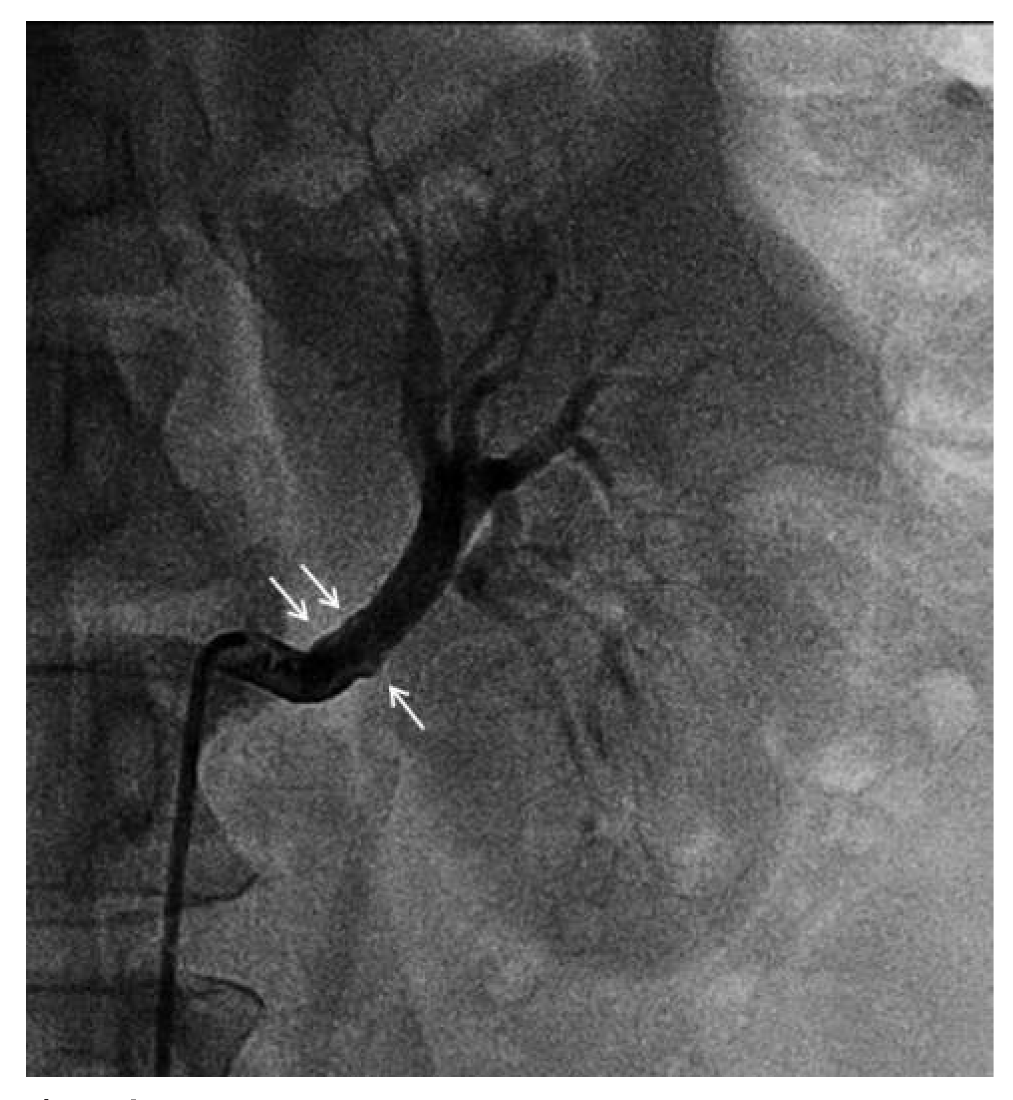
Case Description
Introduction
Coronary FMD
Spontaneous coronary artery dissection as the complication of coronary FMD
Diagnosis
Treatment strategies
Prognosis
Screening strategies
Conclusions
Funding/potential competing interests:
Abbreviations
| FMD | fibromuscular dysplasia |
| IVUS | intravascular ultrasound |
| LAD | left anterior descending artery |
| OCT | optical coherence tomography |
| SCAD | spontaneous coronary artery dissection |
References
- Oberson, M.; Stavros Kosmidis, S.; Mahler, M.; Alerci, M.; Wyttenbach, R.; Tutta, P.; et al. Coronary fibromuscular dysplasia: An elusive diagnosis. Kardiovaskuläre Medizin 2008, 11, 142–143. [Google Scholar]
- Olin, J.W.; Sealove, B.A. Diagnosis, management, and future developments of fibromuscular dysplasia. J Vasc Surg. 2011, 53, 826–836. [Google Scholar] [CrossRef] [PubMed]
- Slovut, D.P.; Olin, J.W. Fibromuscular dysplasia. N Engl J Med. 2004, 350, 1862–1871. [Google Scholar] [CrossRef]
- Touze, E.; Oppenheim, C.; Trystram, D.; Nokam, G.; Pasquini, M.; Alamowitch, S.; et al. Fibromuscular dysplasia of cervical and intracranial arteries. Int J Stroke 2010, 5, 296–305. [Google Scholar] [CrossRef]
- Persu, A.; Touze, E.; Mousseaux, E.; Barral, X.; Joffre, F.; Plouin, P.F. Diagnosis and management of fibromuscular dysplasia: An expert consensus. Eur J Clin Invest. 2012, 42, 338–347. [Google Scholar] [CrossRef]
- Leadbetter, W.F.; Burkland, C.E. Hypertension in unilateral renal disease. J Urol. 1938, 39, 611–626. [Google Scholar] [CrossRef]
- Harrison, E.G., Jr.; McCormack, L.J. Pathologic classification of renal arterial disease in renovascular hypertension. Mayo Clin Proc. 1971, 46, 161–167. [Google Scholar]
- Kincaid, O.W.; Davis, G.D.; Hallermann, F.J.; Hunt, J.C. Fibromuscular dysplasia of the renal arteries: Arteriographic features, classification, and observation on natural history of the disease. Am J Roentgenol. 1968, 104, 271–282. [Google Scholar] [CrossRef]
- Plouin, P.F.; Perdu, J.; La Batide-Alanore, A.; Boutouyrie, P.; Gimenez-Roqueplo, A.P.; Jeunemaitre, X. Fibromuscular dysplasia. Orphanet J Rare Dis. 2007, 2, 28. [Google Scholar] [CrossRef]
- Luscher, T.F.; Lie, J.T.; Stanson, A.W.; Houser, O.W.; Hollier, L.H.; Sheps, S.G. Arterial fibromuscular dysplasia. Mayo Clin Proc. 1987, 62, 931–952. [Google Scholar] [CrossRef]
- Sang, C.N.; Whelton, P.K.; Hamper, U.M.; Connolly, M.; Kadir, S.; White, R.I.; et al. Bias W: Etiologic factors in renovascular fibromuscular dysplasia. A case-control study. Hypertension 1989, 14, 472–479. [Google Scholar] [CrossRef]
- Pannier-Moreau, I.; Grimbert, P.; Fiquet-Kempf, B.; Vuagnat, A.; Jeunemaitre, X.; Corvol, P.; et al. Possible familial origin of multifocal renal a rtery fibromuscular dysplasia. J Hypertens. 1997, 15, 1797–1801. [Google Scholar] [CrossRef]
- Bigazzi, R.; Bianchi, S.; Quilici, N.; Salvadori, R.; Baldari, G. Bilateral fibro-muscular dysplasia in identical twins. Am J Kidney Dis. 1998, 32, E4. [Google Scholar] [CrossRef] [PubMed]
- Cragg, A.H.; Smith, T.P.; Thompson, B.H.; et al. Incidental fibromuscular dysplasia in potential renal donors: Long-term clinical follow-up. Radiology 1989, 172, 145–147. [Google Scholar] [CrossRef] [PubMed]
- Blondin, D.; Lanzman, R.; Schellhammer, F.; et al. Fibromuscular dysplasia in living renal donors: Still a challenge to computed tomographic angiography. Eur J Radiol. 2009, 75, 67–71. [Google Scholar] [CrossRef] [PubMed]
- Neymark, E.; LaBerge, J.M.; Hirose, R.; et al. Arteriographic detection of renovascular disease in potential renal donors: Incidence and effect on donor surgery. Radiology 2000, 214, 755–760. [Google Scholar] [CrossRef]
- Mettiger, K.L.; Ericson, K. Fibromuscular dysplasia and the brain II: Current concept of disease. Stroke 1982, 13, 53–58. [Google Scholar] [CrossRef]
- Olin, J.W.; Froehlich, J.; Gu, X.; Bacharach, J.M.; Eagle, K.; Gray, B.H.; et al. The United States Registry for Fibromuscular Dysplasia: Results in the first 447 patients. Circulation 2012, 125, 3182–3190. [Google Scholar] [CrossRef]
- Vasbinder, G.B.; Nelemans, P.J.; Kessels, A.G.; Kroon, A.A.; Maki, J.H.; Leiner, T.; et al. Accuracy of computed tomographic angiography and magnetic resonance angiography for diagnosing renal artery stenosis. Ann Intern Med. 2004, 141, 674–682. [Google Scholar] [CrossRef]
- Lüscher, T.F.; Keller, H.M.; Imhof, H.G.; Greminger, P.; Kuhlmann, U.; Largiadèr, F.; et al. Fibromuscular hyperplasia: Extension of the disease and therapeutic outcome. Results of the University Hospital Zurich Cooperative Study on Fibromuscular Hyperplasia. Nephron 1986, 44 (Suppl. 1), 109–114. [Google Scholar] [CrossRef]
- Pate, G.E.; Lowe, R.; Buller, C.E. Fibromuscular dysplasia of the coronary and renal arteries? Catheter Cardiovasc Interv. 2005, 64, 138–145. [Google Scholar] [CrossRef]
- Lie, J.T.; Berg, K.K. Isolated fibromuscular dysplasia of the coronary arteries with spontaneous dissection and myocardial infarction. Hum Pathol. 1987, 18, 654–656. [Google Scholar] [CrossRef] [PubMed]
- Dominguez, F.E.; Tate, L.G.; Robinson, M.J. Familial fibromuscular dysplasia presenting as sudden death. Am J Cardiovasc Pathol. 1988, 2, 269–272. [Google Scholar] [PubMed]
- Ropponen, K.M.; Alafuzoff, I. A case of sudden death caused by fibromuscular dysplasia. J Clin Pathol. 1999, 52, 541–542. [Google Scholar] [CrossRef]
- Zack, F.; Terpe, H.; Hammer, U.; Wegener, R. Fibromuscular dysplasia of coronary arteries as a rare cause of death. Int J Legal Med. 1996, 108, 215–218. [Google Scholar] [CrossRef]
- James, T.N. Morphologic characteristics and functional significance of focal fibromuscular dysplasia of small coronary arteries. Am J Cardiol. 1990, 65, 12G–22G. [Google Scholar] [CrossRef]
- Huizar, J.F.; Awasthi, A.; Kozman, H. Fibromuscular Dysplasia and Acute Myocardial Infarction: Evidence for a Unique Clinical and Angiographic Pattern. J Invasive Cardiol. 2006, 18, E99–E101. [Google Scholar]
- Mortensen, K.H.; Thuesen, L.; Kristensen, I.B.; Christiansen, E.H. Spontaneous coronary artery dissection: A Western Denmark Heart Registry study. Catheter Cardiovasc Interv. 2009, 74, 710–717. [Google Scholar] [CrossRef]
- Toggweiler, S.; Puck, M.; Thalhammer, C.; Manka, R.; Wyss, M.; Bilecen, D.; et al. Associated vascular lesions in patients with spontaneous coronary artery dissection. Swiss Med Wkly. 2012, 142, w13538. [Google Scholar] [CrossRef]
- Saw, J.; Ricci, D.; Starovoytov, A.; Fox, R.; Buller, C.E. Spontaneous coronary artery dissection: Prevalence of predisposing conditions including fibromuscular dysplasia in a tertiary center cohort. 2013, 6, 44–52. [Google Scholar] [PubMed]
- Saw, J. Spontaneous Coronary Artery Dissection. Can J Cardiol. 2013. [Google Scholar] [CrossRef]
- Tweet, M.S.; Hayes, S.N.; Pitta, S.R.; Simari, R.D.; Lerman, A.; Lennon, R.J.; et al. Clinical features, management, and prognosis of spontaneous coronary artery dissection. Circulation 2012, 126, 579–588. [Google Scholar] [CrossRef] [PubMed]
- Saw, J.; Poulter, R.; Fung, A.; Wood, D.; Hamburger, J.; Buller, C.E. Spontaneous coronary artery dissection in patients with fibromuscular dysplasia: A case series. Circ Cardiovasc Interv. 2012, 5, 134–137. [Google Scholar]
- Olin, J.W.; Sealove, B.A. Diagnosis, management, and future developments of fibromuscular dysplasia. J Vasc Surg. 2011, 53, 826.e1–836.e1. [Google Scholar] [CrossRef] [PubMed]
- Gowda, M.S.; Loeb, A.L.; Crouse, L.J.; Kramer, P.H. Complementary roles of color-flow duplex imaging and intravascular ultrasound in the diagnosis of renal artery fibromuscular dysplasia: Should renal arteriography serve as the “gold standard”? J Am Coll Cardiol. 2003, 41, 1305–1311. [Google Scholar] [CrossRef] [PubMed]
- Saw, J.; Poulter, R.; Fung, A. Intracoronary imaging of coronary fibromuscular dysplasia with OCT and IVUS. Catheter Cardiovasc Interv. 2012. [Google Scholar] [CrossRef]
- Poulter, R.; Ricci, D.; Saw, J. Perforation during stenting of a coronary artery with morphologic changes of fibromuscular dysplasia: An unrecognized risk with percutaneous intervention. Can J Cardiol. 2013, 29, 519.e1–e3. [Google Scholar] [CrossRef]
- Alfonso, F.; Paulo, M.; Gonzalo, N.; Dutary, J.; Jimenez-Quevedo, P.; Lennie, V.; et al. Diagnosis of spontaneous coronary artery dissection by optical coherence tomography. J Am Coll Cardiol. 2012, 59, 1073–1079. [Google Scholar] [CrossRef]
- Biswas, M.; Sethi, A.; Voyce, S.J. Spontaneous coronary artery dissection: Case report and review of literature. Heart Views 2012, 13, 149–154. [Google Scholar] [CrossRef]


© 2014 by the author. Attribution - Non-Commercial - NoDerivatives 4.0.
Share and Cite
Bianda, C.; Klimusina, J.; Suerder, D.; Gallino, A. Coronary Fibromuscular Dysplasia: A Rare Cause of Familial Acute Coronary Syndrome. Case Report and Review of the Literature. Cardiovasc. Med. 2014, 17, 283. https://doi.org/10.4414/cvm.2014.00275
Bianda C, Klimusina J, Suerder D, Gallino A. Coronary Fibromuscular Dysplasia: A Rare Cause of Familial Acute Coronary Syndrome. Case Report and Review of the Literature. Cardiovascular Medicine. 2014; 17(10):283. https://doi.org/10.4414/cvm.2014.00275
Chicago/Turabian StyleBianda, Camillo, Julija Klimusina, Daniel Suerder, and Augusto Gallino. 2014. "Coronary Fibromuscular Dysplasia: A Rare Cause of Familial Acute Coronary Syndrome. Case Report and Review of the Literature" Cardiovascular Medicine 17, no. 10: 283. https://doi.org/10.4414/cvm.2014.00275
APA StyleBianda, C., Klimusina, J., Suerder, D., & Gallino, A. (2014). Coronary Fibromuscular Dysplasia: A Rare Cause of Familial Acute Coronary Syndrome. Case Report and Review of the Literature. Cardiovascular Medicine, 17(10), 283. https://doi.org/10.4414/cvm.2014.00275
