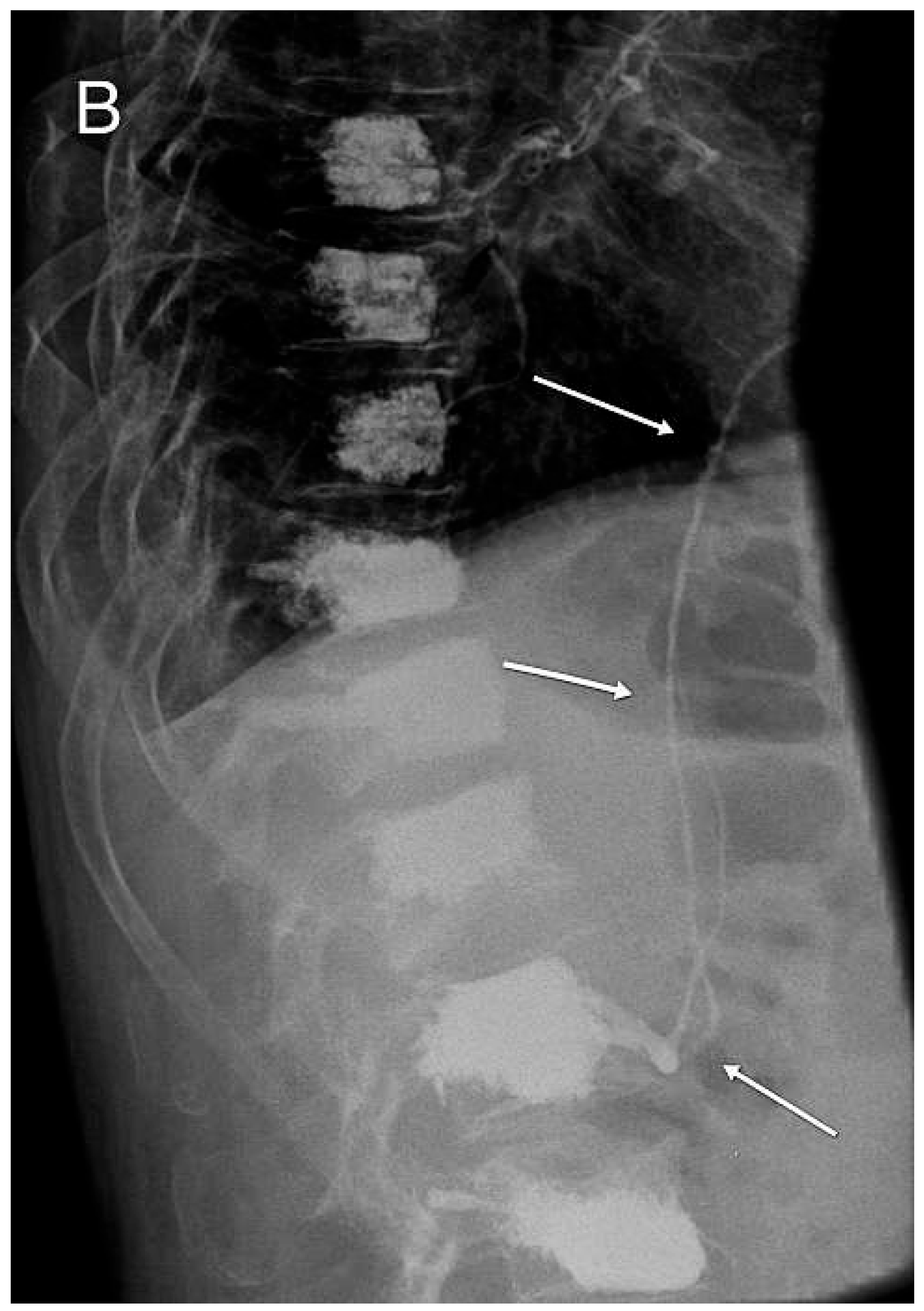
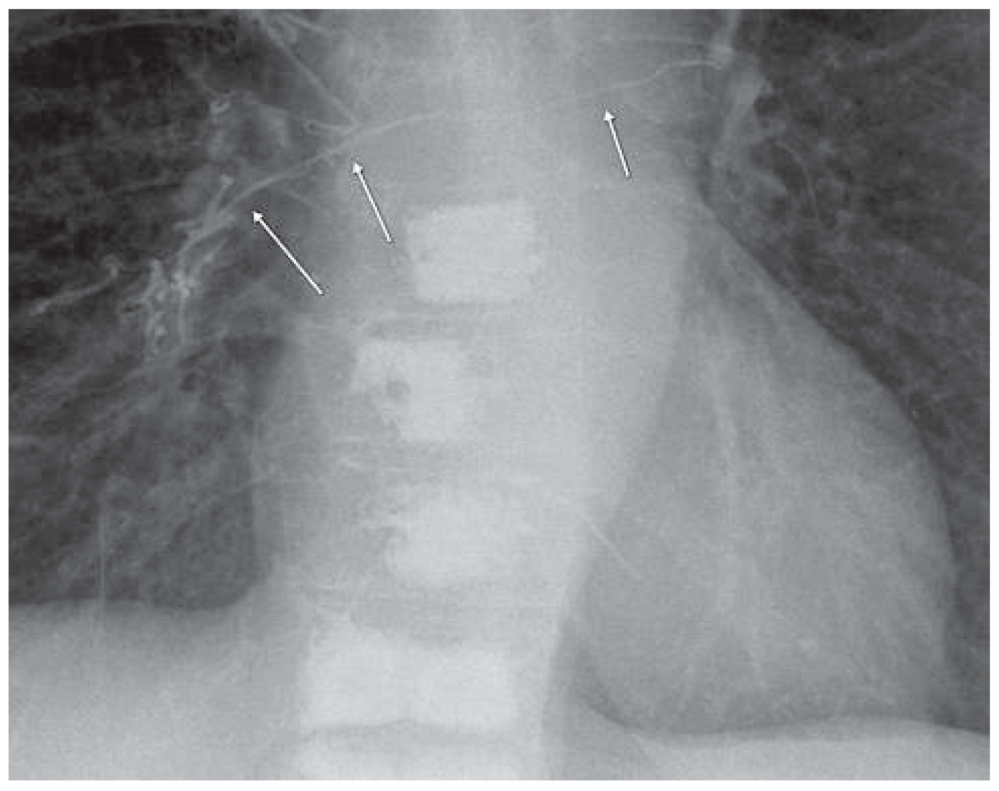
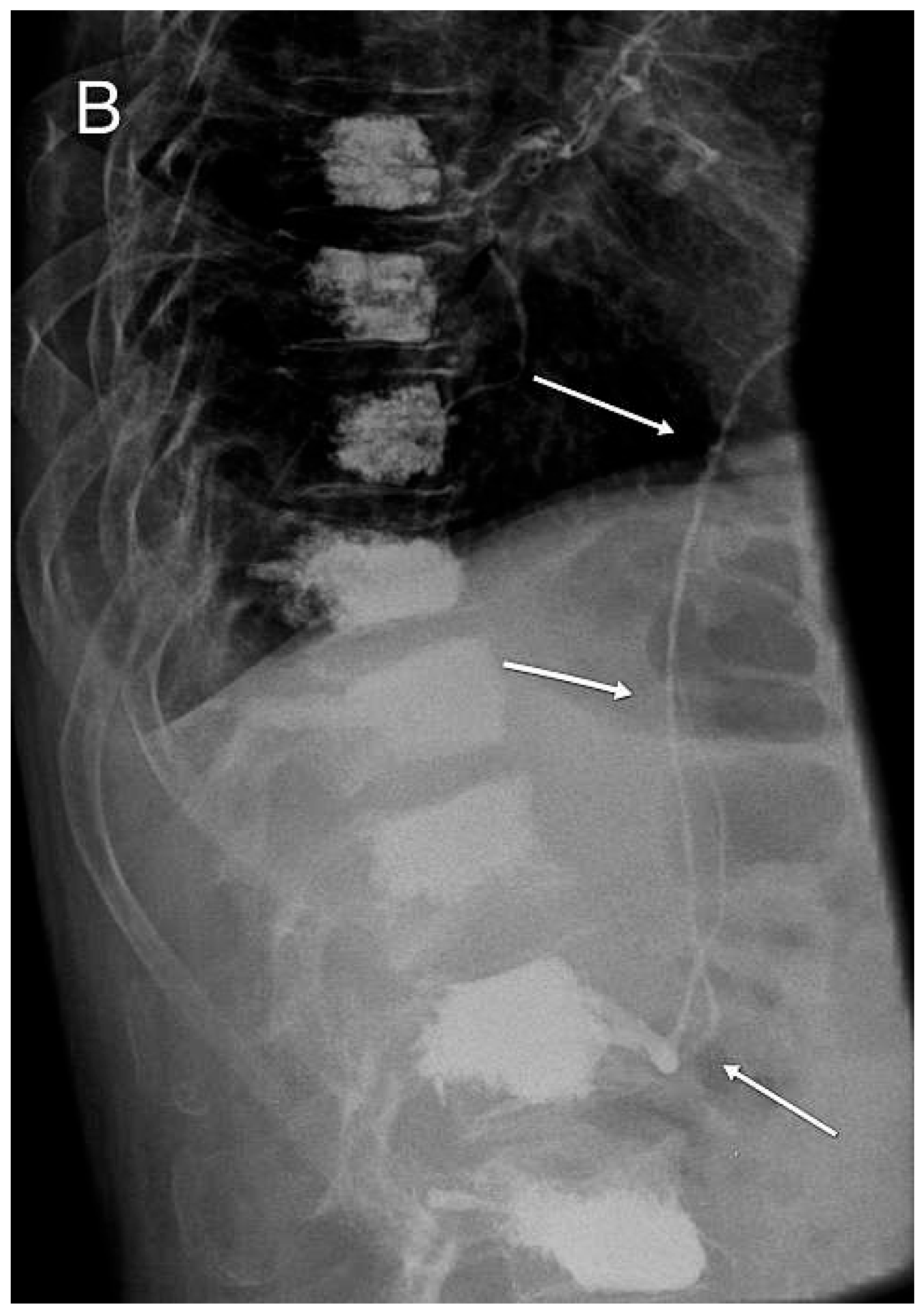
Acrylcement Pulmonary Embolism


Funding / potential competing interests
References
- Kristine, E.; Ensrud, J.T. Schousboe. Vertebral fractures. NEJM 2011, 364, 1634–1642. [Google Scholar]
- Venmans, A.; Lohle, P.N.M.; van Rooij, W.J.; et al. Frequency and outcome of pulmonary polymethylmethacrylate embolism duing percutaneous vetrebroplasty. Am J Neuroradiol. 2008, 29, 1983–1985. [Google Scholar] [PubMed]
- Kim, Y.J.; Lee, J.W.; Park, K.W.; et al. Pulmonary cement embolism after percutaneous vertebroplasty in osteoporotic vertebral compression fractures: incidence, characteristics and risk factors. Radiology 2009, 251, 250–259. [Google Scholar] [CrossRef] [PubMed]
- Krueger, A.; et al. Management of pulmonary cement embolism after percutaneous vertebroplasty and kyphoplasty: a systematic review of the literature. Eur Spine J. 2009, 18, 1257–1265. [Google Scholar] [CrossRef] [PubMed]




© 2013 by the author. Attribution - Non-Commercial - NoDerivatives 4.0.
Share and Cite
Zumsteina, D.; Widmer, F.; Blay, M. Acrylcement Pulmonary Embolism. Cardiovasc. Med. 2013, 16, 95. https://doi.org/10.4414/cvm.2013.00118
Zumsteina D, Widmer F, Blay M. Acrylcement Pulmonary Embolism. Cardiovascular Medicine. 2013; 16(3):95. https://doi.org/10.4414/cvm.2013.00118
Chicago/Turabian StyleZumsteina, Dominik, Fritz Widmer, and Martin Blay. 2013. "Acrylcement Pulmonary Embolism" Cardiovascular Medicine 16, no. 3: 95. https://doi.org/10.4414/cvm.2013.00118
APA StyleZumsteina, D., Widmer, F., & Blay, M. (2013). Acrylcement Pulmonary Embolism. Cardiovascular Medicine, 16(3), 95. https://doi.org/10.4414/cvm.2013.00118
