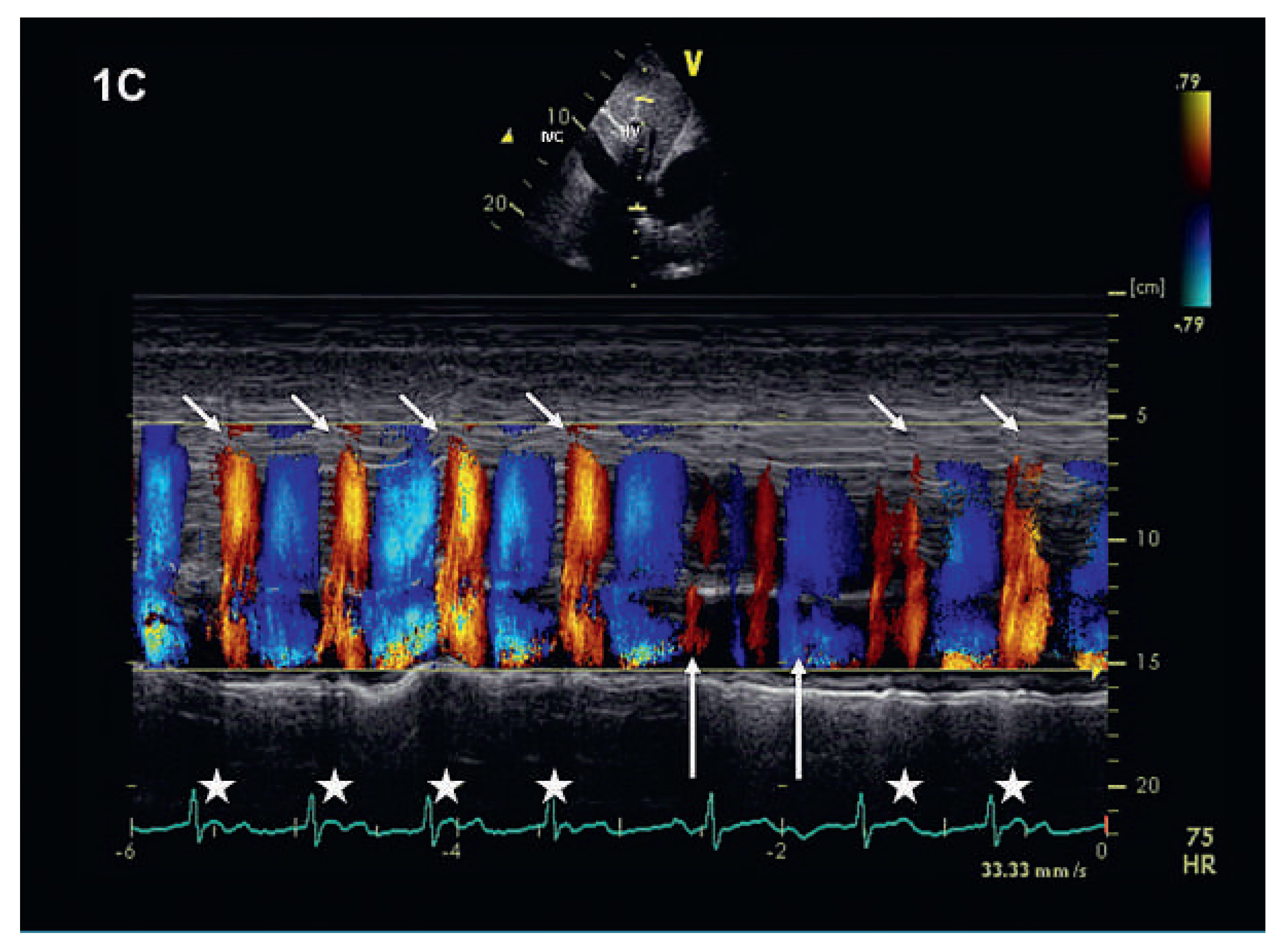
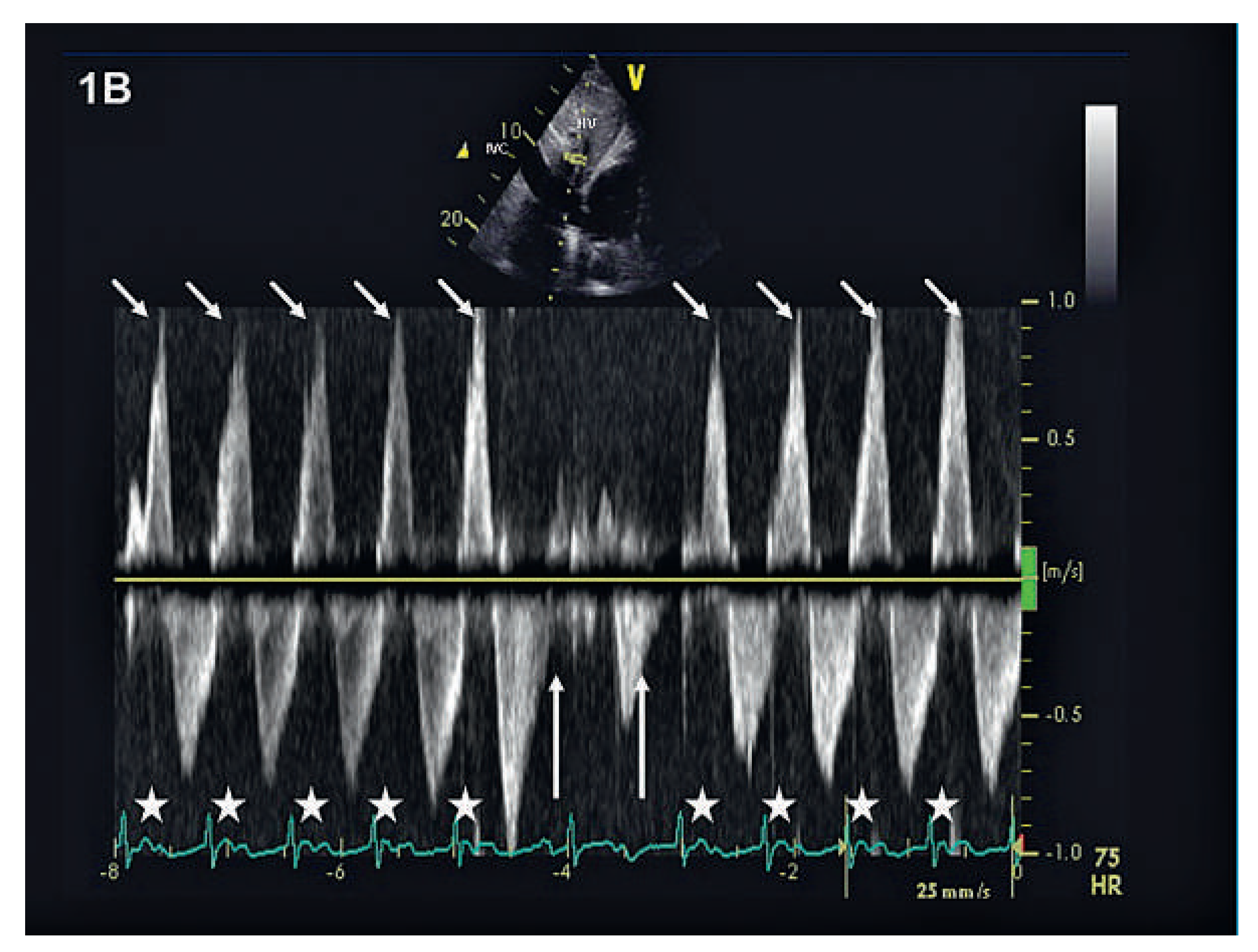
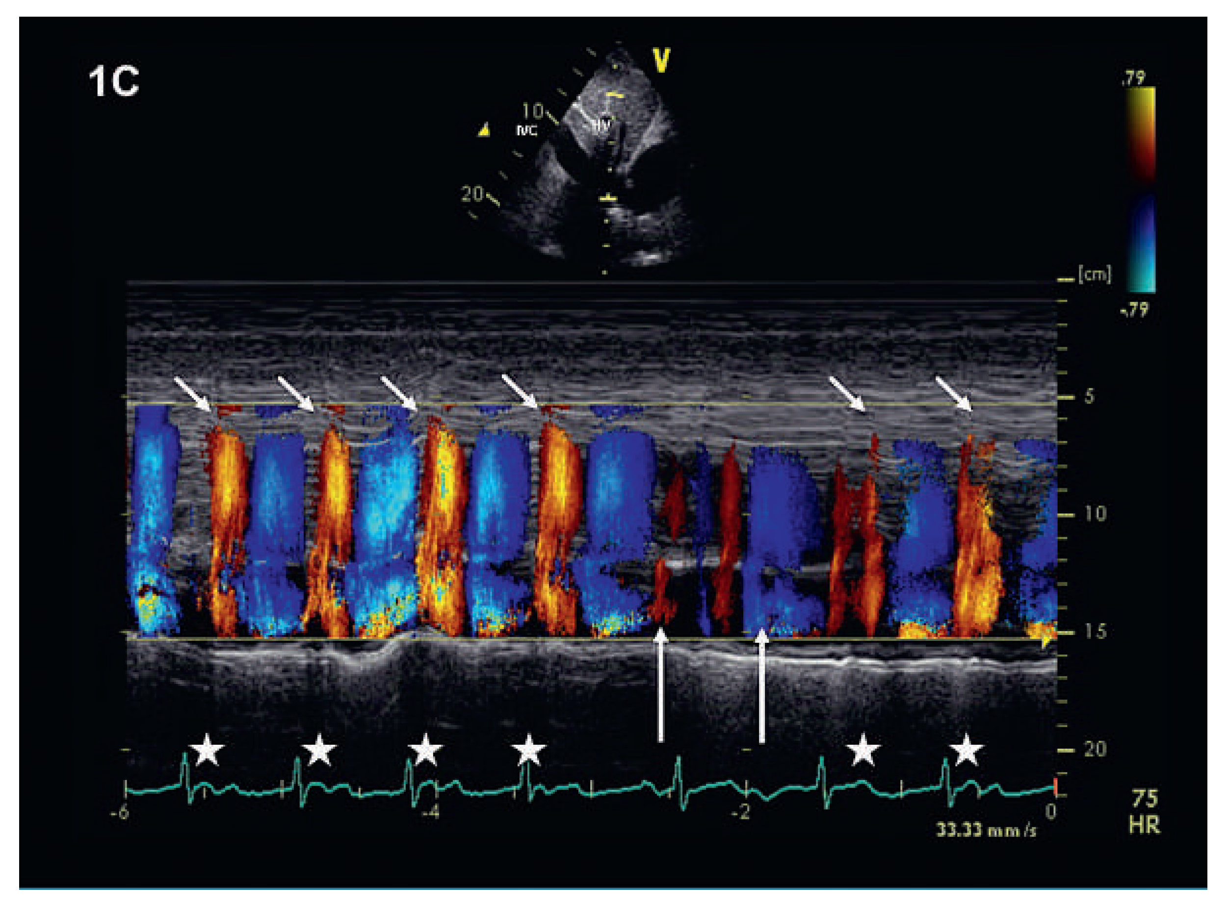
Cannon Wave “Equivalent” —A Clinical Sign Observed During Echocardiography
Funding/potential conflict of interest




© 2012 by the authors. Licensee MDPI, Basel, Switzerland. This article is an open access article distributed under the terms and conditions of the Creative Commons Attribution (CC BY) license (https://creativecommons.org/licenses/by/4.0/).
Share and Cite
Breitenstein, A.; Biaggi, P. Cannon Wave “Equivalent” —A Clinical Sign Observed During Echocardiography. Cardiovasc. Med. 2012, 15, 206. https://doi.org/10.4414/cvm.2012.01674
Breitenstein A, Biaggi P. Cannon Wave “Equivalent” —A Clinical Sign Observed During Echocardiography. Cardiovascular Medicine. 2012; 15(6):206. https://doi.org/10.4414/cvm.2012.01674
Chicago/Turabian StyleBreitenstein, Alexander, and Patric Biaggi. 2012. "Cannon Wave “Equivalent” —A Clinical Sign Observed During Echocardiography" Cardiovascular Medicine 15, no. 6: 206. https://doi.org/10.4414/cvm.2012.01674
APA StyleBreitenstein, A., & Biaggi, P. (2012). Cannon Wave “Equivalent” —A Clinical Sign Observed During Echocardiography. Cardiovascular Medicine, 15(6), 206. https://doi.org/10.4414/cvm.2012.01674
