Worldwide First Surgical Implantation of a Transcatheter Valved Stent in Mitral Position
Abstract
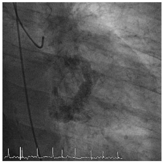
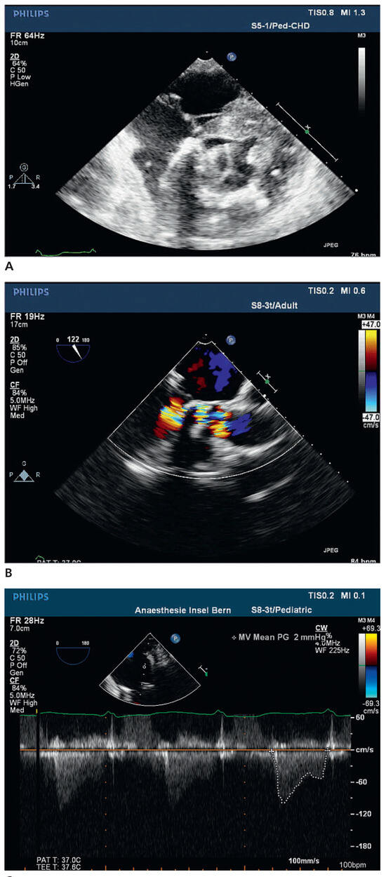
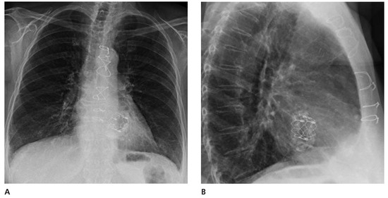
Case report
Comment
- Direct reconstruction with the residual fibrous tissue using sutures without pledgets to avoid myocardial ischaemia by compression and reattaching the leaflet to be repaired.
- The sliding atrium technique to cover the myocardial area without fibrous tissue coverage. In this case the atrial edge is dissected from surrounding tissue to mobilise a 2–3 cm atrial rim that is used to cover the decalcified and exposed area of myocardium.
- Following large anular débridement extending to the underlying myocardium, use of a large patch of autologous or xenopericardium may greatly facilitate the annular reconstruction and avoid atrioventricular disconnection. Once the annulus has been reconstructed, the annuloplasty ring, a tissue valve or a mechanical heart valve prosthesis can be implanted and attached to the patch that covers the decalcified area.
Funding/potential competing interests
References
- Carpentier, A.F.; Pellerin, M.; Fuzellier, J.F.; Relland, J.Y. Extensive decalcification of the mitral valve annulus: pathology and surgical management. J Thorac Cardiovasc Surg. 1996, 111, 718–730. [Google Scholar] [CrossRef] [PubMed]
- David, T.E.; Feindel, C.M. Reconstruction of the mitral anulus. Circulation 1987, 76 (Suppl. III), III102–7. [Google Scholar] [CrossRef] [PubMed]
- Feindel, C.M.; Tufail, Z.; David, T.E.; Ivanov, J.; Armstrong, S. Mitral valve surgery in patients with extensive calcification of the mitral anulus. J Thorac Cardiovasc Surg. 2003, 126, 777–782. [Google Scholar] [CrossRef] [PubMed]
- Lozonschi, L.; Lutter, G. Transcatheter mitral valve stent implantation. EuroIntervention 2011, 9, 1036. [Google Scholar] [CrossRef] [PubMed]
- Lozonschi, L.; Bombien, R.; Osaki, S.; Hu, J.; Snell, D.; Edwards, N.M.; et al. Transapical mitral valved stent implantation: a survival series in swine. J Thorac Cardiovasc Surg. 2010, 140, 422–426. [Google Scholar] [CrossRef] [PubMed][Green Version]
- Gurvitch, R.; Cheung, A.; Ye, J.; Wood, D.A.; Willson, A.B.; Toggweiler, S.; et al. Transcatheter valve-in-valve implantation for failed surgical bioprosthetic valves. J Am Coll Cardiol. 2011, 58, 2196–2209. [Google Scholar] [CrossRef] [PubMed]
- Montorfano, M.; Latib, A.; Chieffo, A.; Moshiri, S.; Franco, A.; Grimaldi, A.; et al. Successful percutaneous antegrade transcatheter valve-in-valve implantation in the mitral position. JACC Cardiovasc Interv. 2011, 4, 1246–1247. [Google Scholar] [CrossRef] [PubMed][Green Version]
- Himbert, D.; Brochet, E.; Radu, C.; Iung, B.; Messika-Zeitoun, D.; Enguerrand, D.; et al. Transseptal implantation of a transcatheter heart valve in a mitral annuloplasty ring to treat mitral repair failure. Circ Cardiovasc Interv. 2011, 4, 396–398. [Google Scholar] [CrossRef] [PubMed][Green Version]
- Martens, S.; Sadowski, J.; Eckstein, F.; Bartus, K.; Kapelak, B.; Sievers, H.H.; et al. Clinical experience with the ATS 3f Enable sutureless bioprosthesis. Eur J Cardio-Thorac Surg. 2011, 40, 749–755. [Google Scholar] [CrossRef] [PubMed][Green Version]




© 20212 by the authors. Licensee MDPI, Basel, Switzerland. This article is an open access article distributed under the terms and conditions of the Creative Commons Attribution (CC BY) license (https://creativecommons.org/licenses/by/4.0/).
Share and Cite
Carrel, T.; Wenaweser, P.; Reineke, S.; Simon, R.; Eberle, B.; Windecker, S.; Huber, C. Worldwide First Surgical Implantation of a Transcatheter Valved Stent in Mitral Position. Cardiovasc. Med. 2012, 15, 202. https://doi.org/10.4414/cvm.2012.01677
Carrel T, Wenaweser P, Reineke S, Simon R, Eberle B, Windecker S, Huber C. Worldwide First Surgical Implantation of a Transcatheter Valved Stent in Mitral Position. Cardiovascular Medicine. 2012; 15(6):202. https://doi.org/10.4414/cvm.2012.01677
Chicago/Turabian StyleCarrel, Thierry, Peter Wenaweser, Sylvia Reineke, René Simon, Balthasar Eberle, Stephan Windecker, and Christoph Huber. 2012. "Worldwide First Surgical Implantation of a Transcatheter Valved Stent in Mitral Position" Cardiovascular Medicine 15, no. 6: 202. https://doi.org/10.4414/cvm.2012.01677
APA StyleCarrel, T., Wenaweser, P., Reineke, S., Simon, R., Eberle, B., Windecker, S., & Huber, C. (2012). Worldwide First Surgical Implantation of a Transcatheter Valved Stent in Mitral Position. Cardiovascular Medicine, 15(6), 202. https://doi.org/10.4414/cvm.2012.01677
