Abstract
Since the first description of the athlete’s heart in 1899 by Henschen and Darling, the knowledge on cardiovascular adaptations to exercise conditioning has expanded considerably. There is an ongoing debate about the true nature of the athlete’s heart, whether it is only a physiological adaption or a potentially pathological condition, fuelled by reports about elevated biomarkers after prolonged endurance exercise. Age, gender, ethnicity and sporting discipline have a substantial impact on the magnitude of cardiac remodelling. Black athletes in particular exhibit striking repolarisation abnormalities and left ventricular (LV) hypertrophy which may be regarded as an ethnic variant of the athlete’s heart. Sport is thought to be a trigger and not a cause for life-threatening arrhythmias in athletes with underlying cardiovascular diseases. The overall incidence of sudden cardiac death in athletes is extremely low. Figures of 0.6 to 2.3 cases/100 000 athletes per year have been reported, with a striking male predominance and a greater risk for black athletes. In this article, we review the current literature of the athlete’s heart with a focus on gender and ethnicity.
Introduction
“Skiing causes an enlargement of the heart which can perform more work than a normal heart.” This conclusion by Henschen was the first description of the athlete’s heart in 1899 [1]. He performed auscultation and percussion of the thorax to recognise enlargement of the heart in elite Nordic cross-country skiers—not easy to believe for a cardiologist of the 21st century. At the same time, Darling made a similar observation in Harvard University rowers [2]. These first reports were the birth of the concept that the cardiovascular system of trained athletes differs electrically, structurally and functionally from sedentary persons. This knowledge has expanded considerably over the last century as a result of systematic examinations with electrocardiography (ECG), Holter monitoring, echocardiography, cardiac magnetic resonance imaging, and even invasive electrophysiological studies [3,4,5,6,7,8,9,10,11,12,13,14,15,16,17,18,19,20,21,22,23]. The graded benefit of exercise on cardiovascular health and mortality has been recognised and demonstrated in several observational and cohort studies [24]. However, there is an ongoing debate about the impact of prolonged and high intensity training and the true nature of the athlete’s heart, whether it is only a physiological adaption or a potentially pathological condition [25,26]. Gender, ethnicity and sporting discipline have a substantial impact on the magnitude of cardiac remodelling and also on the risk of sudden cardiac death (SCD) associated with vigorous exertion [26,27]. Generally, sport is considered as a trigger and not a cause for life-threatening arrhythmias in those athletes with underlying cardiovascular diseases [27,28]. Pre-participation screening has been recommended to identify athletes at risk [29]. However, exercise-induced cardiac remodelling may mimic several cardiac pathologies. Black athletes in particular exhibit striking repolarisation abnormalities and left ventricular (LV) hypertrophy [5,6]. Over-diagnosis of cardiac disease may lead to unnecessary disqualification of athletics with psychosocial and economic consequences for the athlete. On the other hand, restriction from competitive sports may protect athletes with cardiovascular diseases from the devastating consequences of exercise-induced ventricular arrhythmias [30].
Exercise and the cardiovascular system
The adaptation of the cardiovascular system to exercise differs with respect to the sporting discipline. Endurance sports like long-distance running or swimming have a high dynamic or isotonic component. Strength training, like weightlifting or wrestling, has a high static or isometric component. Most athletic disciplines are combinations of endurance and strength exercise. Cycling, rowing and boxing are examples of sports with high dynamic and high static components [31].
The acute response to endurance exercise is an increase in heart rate, stroke volume and systolic blood pressure, while peripheral vascular resistance decreases. Endurance training predominantly causes a volume load on the heart. Therefore, endurance training is associated with an increase in LV chamber size and a proportional increase in LV wall thickness. The relationship between LV wall thickness and LV radius is unchanged [14]. The increase in LV mass is accompanied by an increase in left coronary artery size and an enhanced coronary flow velocity reserve [32]. In the long-term, maximal oxygen uptake increases as a result of up-regulation of both cardiopulmonary delivery and skeletal muscle utilisation. The larger diastolic volume and the enhanced systolic function contribute to augmentation of stroke volume [16,33].
The acute effect of strength training is a substantial increase in blood pressure and peripheral vascular resistance, while heart rate, cardiac output and oxygen consumption increase only moderately. Therefore, strength training largely results in LV pressure overload [31]. Exposure to sustained periods of strength training are associated with an increase in LV wall thickness with an unchanged LV chamber size, leading to a concentric LV hypertrophy [14].
The presence of a strength trained heart with concentric LV hypertrophy has been questioned by some authors who reviewed cross-sectional studies [13]. The use of anabolic steroids in strength-trained athletes may be responsible for the concentric type of remodelling [13,34]. The impact of performance-enhancing agents on the heart is outside the scope of this review. However, prospective longitudinal training studies in competitive endurance and strength athletes have confirmed training-specific changes in LV function and structure [16].
The left ventricle
Much research has focused on the adaptations of the left ventricle and numerous studies have been performed, most of them in male Caucasian athletes [8,9,10,11,12,13,14]. Approximately 50% of trained athletes show some evidence of LV remodelling [26]. Although there is considerable overlap in cardiac dimensions between trained athletes and age and sex-matched sedentary controls, athletes showed a significant increase of approximately 10% in LV cavity size, 15% in LV wall thickness and 45% in LV mass [8,11,14]. However, marked enlargement of the LV (≥60 mm) occurred in only 14% of highly trained Italian male athletes (mean 55 mm, range 43 to 70 mm) and 1% of highly trained Italian female athletes (mean 49 mm, range 40 to 66 mm) [11,12]. Half of the variability in LV cavity size was attributable to body surface area and only 14% and 7% were attributable to sporting discipline and gender, respectively [12]. Approximately 25% of LV cavity size variability may be caused by genetic factors. An association between training-related LV remodelling and polymorphisms of angiotensinogen and/or the angiotensin-converting enzyme has been demonstrated [35]. LV cavity enlargement may be associated with an increase in LV wall thickness that exceeds upper normal limits (range 13 to 16 mm). In white male athletes this is rare and a prevalence of 2 to 4% has been reported, especially in athletes participating in high static and high dynamic sports like rowing or cycling (mean interventricular septum 10 mm, range 7 to 16 mm) [9,17]. Black male athletes have a higher prevalence of LV hypertrophy. Among athletes of African or Afro-Caribbean descent, 18% exhibited an LV wall thickness ≥13 mm, especially in sports like sprinting, boxing and basketball (mean 11 mm, range 8 to 16 mm). A total of 3% of apparently healthy black athletes had a LV wall thickness of 16 mm. Although LV mass was higher in black athletes, diastolic function showed no difference compared to white athletes and black sedentary controls [17]. In contrast to male athletes, highly trained female athletes have a substantially lower maximal LV wall thickness, reflecting their lower body size. No white female athlete, competing at national and international levels, exhibited a LV wall thickness >12 mm (mean 8 mm, range 5 to 12 mm) and only 2% of black female athletes had a LV wall thickness of 13 mm (mean 9 mm, range 6 to 13 mm) [11,20].
The right ventricle (RV)
There is only limited echocardiographic data available on the RV because of its complex shape and pronounced trabecular structure. In a meta-analysis of 28 echocardiographic studies of the athlete’s heart, the RV end-diastolic diameter was determined in only 8 studies. Training-induced enlargement in cavity size was 24% for the RV and only 10% for the LV [8]. The definition of the RV’s complex structure is superior using cardiac magnetic resonance imaging [19]. Compared to matched control subjects, well-trained endurance athletes (triathletes, cyclists and runners) showed a similar increase in LV and RV mass and volume, leading to a balanced biventricular enlargement and hypertrophy [22]. The same observation was made in professional soccer players [36].
The atria
The balanced enlargement of the athlete’s heart is not restricted to ventricular remodelling. In young competitive athletes, mild left atrial enlargement (≥40 to 45 mm in transverse dimension) was present in 309 out of 1777 (19%) athletes. Marked atrial enlargement (>45 mm in transverse dimension) was rare (<2%). More than 50% of variability in left atrial size was related to LV cavity size [15]. Using the left atrial volume index as a more precise measure of left atrial size, dilatation (>29 mm/m2) was present in 170 out of 615 (27.6%) trained endurance and strength athletes (mean age 28 ± 10 years). Atrial remodelling differed according to gender and type of training. Male athletes exhibited larger left atria and moderate dilatation (>34 ml/m2) was present in 5.2% of male athletes. Endurance athletes had larger left atria, compared to strength athletes (29 ± 9 vs. 26 ± 8 ml/m2) [37]. In young Olympic athletes, extreme and uninterrupted endurance training over a period of up to 17 years was associated with a mild increase in left atrial size, while LV cavity size remained stable [38]. An age-dependent increase in left atrial size had also been shown in professional soccer players [21]. In a cross-sectional study on older nonelite runners (mean age 42 ± 7 years), left atrial size increased gradually with lifetime training hours. Over 80% of athletes with more than 4500 lifetime training hours showed left atrial enlargement [39]. Compared to non-elite female runners, male runners with a similar training volume and performance exhibited larger absolute left and right atrial volumes. Left atrial volume index showed no gender difference (29 ± 7 vs. 30 ± 6 ml/m2), while right atrial volume index was significantly larger in male athletes (31 ± 8 vs. 26 ± 7 ml/m2) [40].
Athletes with pathologic findings
The abnormal athlete’s electrocardiogram (ECG)
Abnormal ECG patterns are common in trained athletes and have been attributed to the physiologic cardiac adaptations and an elevated vagal tone that occur as a consequence of regular physical exercise [3]. The frequency with which these ECG patterns occur is highly dependent on the sporting discipline, intensity and level of training, and also on gender and ethnicity. In a large unselected population of 32 652 Italian athletes (median age 17 years), engaged predominately in ball sports (55%), 11.8% showed an abnormal ECG pattern. The prevalence of ECG abnormalities was higher in male than in female athletes (12.4 vs. 9.6%). The most frequent abnormalities (7.8%) included prolonged PR interval, isolated voltage criteria for LV hypertrophy, incomplete right bundle branch block and early repolarisation pattern [4]. Together with sinus bradycardia, these ECG patterns have been classified as common and training-related changes that warrant no further investigation [41]. Distinct ECG abnormalities like T wave inversions, left anterior fascicular block, complete bundle branch blocks, a pre-excitation pattern or a prolonged corrected QT interval occurred in this population in only 4.0% of athletes [4]. These ECG abnormalities are uncommon and training-unrelated and further examination is recommended [41]. Among 1005 trained athletes competing at national and international level, training related ECG changes were present in 80% of cases. A total of 14.4% of athletes showed distinct abnormalities, most commonly in cyclists, followed by cross country skiers and tennis players. In that series, the isolated voltage criteria for LV hypertrophy was attributed to distinct abnormalities. If excluded following current recommendations [41], only 5.2% of athletes exhibited distinct abnormalities, most commonly deep T wave inversions at 1.9% [3].
Marked repolarisation abnormalities may represent the initial expression of an underlying cardiomyopathy and may ultimately be associated with adverse outcomes. In a study of 12,550 trained athletes, 81 (0.6%) exhibited marked repolarisation abnormalities and no structural heart disease at the initial presentation. After a follow-up of 9 ± 7 years, 5 of the initial 81 (6%) proved to have cardiomyopathies (3 HCM, 1 dilated cardiomyopathy [DCM], 1 arrhythmogenic right ventricular cardiomyopathy [ARVC]) [42].
Compared to Caucasian athletes, ECG abnormalities and especially deep T wave inversions are more common in black athletes (Figure 1) [5,6,20]. One study compared T wave inversions in 904 black athletes competing at regional, national and international level with 1819 white athletes and 52 black patients with HCM. T wave inversions (≥0.1 mV in ≥2 leads) and deep T wave inversions (≥0.2 mV in ≥2 leads) were present in 82.7/69.2% of HCM patients, 58 22.8/12.1% of black athletes, 59 and 3.7/1.0% of white athletes, respectively. Only 4.1% of black athletes and 0.3% of white athletes exhibited T wave inversions in the lateral leads while 76.9% of HCM patients showed T wave inversions involving the lateral leads. During follow up, 2 black athletes and one white athlete were diagnosed with HCM, all of them showing T wave inversions in the lateral leads. The authors concluded that in black athletes, T-wave inversions confined to leads V1–V4, commonly associated with convex ST-segment elevation, are likely to represent an ethnic variant of the athlete’s heart, whereas T-wave inversions in the lateral leads may represent the initial expression of HCM and merit further cardiovascular evaluation and regular follow-up (Figure 2) [6].
Figure 1.
Electrocardiogram from a healthy West-African premier league soccer player. Positive voltage criteria for LV hypertrophy and deep T wave inversions in the precordial leads, extending to V5, are present. Echocardiography is shown in Figure 3A.
Figure 2.
Electrocardiogram from a Caucasian leisure-time athlete with hypertrophic cardiomyopathy. The patient exhibits deep T wave inversions in the precordial leads as well as in the anterolateral leads I and aVL. Echocardiography is shown in Figure 3B.
Female athletes exhibit fewer ECG abnormalities than their male counterparts while the differences concerning ethnicity remain. In black female athletes competing at national level, overall ECG abnormalities were present in 51% compared to only 29% in white female athletes. Also T wave inversions were more common in black than white female athletes (14% vs. 2%) [20]. A summary of common and uncommon ECG changes in athletes is presented in Table 1.
Table 1.
The athlete’s electrocardiogram (adapted from Corrado et al. [41]).
Left ventricular hypertrophy
Since HCM is one of the leading causes of SCD in young athletes, the discrimination of this pathology from athlete’s heart is clinically relevant [27,28,43]. Athletes in the “grey zone” have a LV wall thickness of 13 to16 mm. Maron et al. proposed clinical criteria for differentiating HCM from the athlete’s heart [43], that have subsequently been modified [26]. T wave inversions in the lateral leads are uncommon in athletes (Figure 1 and Figure 2) [6]. An apical pattern of LV hypertrophy or an asymmetric hypertrophy of the interventricular septum are characteristics of HCM (Figure 3). De-conditioning may resolve the aetiology of LV hypertrophy. Even after short periods of detraining (6 to 8 weeks), a resolution of physiologic LV hypertrophy will occur [44,45]. LV cavity is usually small in patients with HCM, while endurance athletes often have a LV cavity size of >55 mm [12]. Left atrial enlargement may be present in both, patients with HCM due to diastolic dysfunction and in athletes due to exercise conditioning. While athletes have a normal diastolic function, relaxation is often impaired in patients with HCM [46]. Patients with HCM have a low myocardial capillary density. Myocardial contrast echocardiography is able to measure relative myocardial blood volume and blood flow. Compared to triathletes, sedentary patients with HCM had a lower relative blood volume at rest and a lower myocardial blood flow reserve (ratio of blood flow during hyperaemia and blood flow at rest). Relative myocardial blood volume at rest most accurately distinguished between pathological LV hypertrophy and endurance-exercise induced LV hypertrophy [18]. In endurance sports, HCM is extremely rare [47], probably because the demands of competitive endurance sport, such as a supra-normal cardiac output, can hardly be achieved with the inherent impairment in diastolic filling and the low capillary density present in HCM. Therefore, patients with HCM generally have a maximum oxygen uptake of <50 ml/min/kg or <120% of the predicted maximum [48]. LV hypertrophy in female athletes is always suspicious for HCM, since only a small percentage of black female athletes exhibit a LV wall thickness exceeding normal limits [20]. A diagnostic dilemma mainly exists in the population of black male athletes, because of their high prevalence of training-induced LV hypertrophy concomitant with a high incidence of sudden cardiac death due to HCM [49]. However, only black athletes ≥16 years exhibited exercise-induced LV hypertrophy. Consequently, in black athletes, age together with the above mentioned clinical criteria may help to differentiate physiologic adaption from HCM [43]. A family history of HCM should always result in a detailed and extensive examination of the athlete, possibly including genetic testing [26]. Clinical criteria used to distinguish athlete’s heart from non-obstructive HCM are presented in Figure 4.
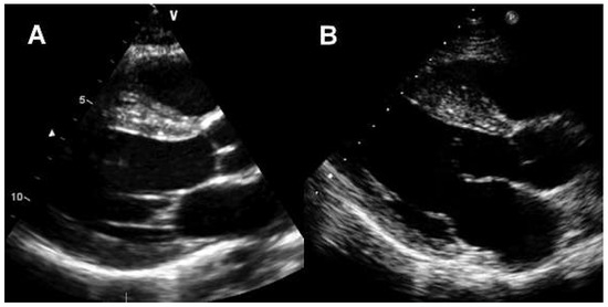
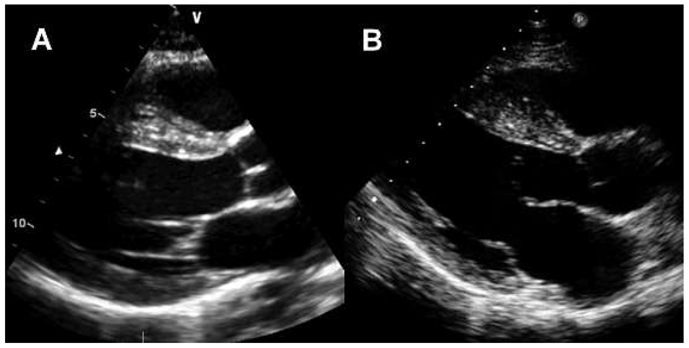
Figure 3.
Transthoracic Echocardiography. (A) West-African premier league soccer player with symmetric LV hypertrophy, interventricular septum 14 mm. (B) Caucasian leisure-time athlete with a non-obstructive hypertrophic cardiomyopathy with asymmetric LV hypertrophy, interventricular septum 22 mm.
Figure 4.
Clinical criteria used to distinguish athlete’s heart from non-obstructive HCM when maximal LV wall thickness is within a grey area of overlap, consistent with both diagnoses. (Adapted and modified from [26]: Maron BJ, Pelliccia A. The heart of trained athletes: cardiac remodeling and the risks of sports, including sudden death. Circulation. 2006;114(15):1633–44. © Wolters Kluwer Health, with kind permission.).
Ventricular dilatation with systolic dysfunction
Extreme endurance training may lead to marked LV cavity enlargement, causing a substantial overlap with DCM [12]. More than half of 286 examined Tour de France cyclists exhibited LV diastolic dimensions of greater than 60 mm, with a maximum value of 73 mm, accompanied by a mildly depressed LV ejection fraction (<52%) in 11.6% of the athletes [50]. In athletes with large end-diastolic volumes, LV ejection fraction at rest may be underestimated. Cyclists with an impaired LV ejection fraction had greater stroke volumes than sedentary subjects [50]. The good augmentation of systolic function during exercise may help to differentiate athlete’s heart from that of heart failure patients [19]. While detraining results in complete resolution of the hypertrophied LV wall in athletes, substantial LV cavity dilatation (>60 mm) may persist in more than 20% of athletes, even after long periods of de-conditioning [51].
Concerning the RV, endurance athletes exhibit a balanced cardiac remodelling resulting in similar enlargement of both LV and RV cavities [22]. RV dysfunction has been reported from highly-trained endurance athletes presenting with complex ventricular arrhythmias (see below) [52].
Supraventricular arrhythmias
In young competitive athletes, atrial fibrillation (AF) and other supraventricular arrhythmias are rare events with a prevalence of 0.8% in male and 0.6% in female athletes. Out of 1777 athletes, 5 presented with AF, 2 with atrio-ventricular re-entrant tachycardias, and 7 with atrio-ventricular nodal re-entrant tachycardias [15]. However, there is a growing population of veteran athletes who regularly participate in training and competition. In the aging athlete, long-term endurance training is associated with an up to 9-fold increased risk of atrial fibrillation and atrial flutter [53]. A study in non-elite runners showed progressive atrial remodelling, atrial ectopy and an increased vagal tone in relation to their lifetime training hours. Signal-averaged P wave duration was prolonged in athletes with the highest training volumes suggesting the presence of atrial fibrosis [39]. An altered atrial substrate promotes re-entry mechanisms and facilitates the occurrence of AF. An increased atrial ectopy and altered autonomic tone may be contributing factors. In an animal model on exercising rats, atrial fibrosis was present and AF susceptibility was increased after 8 and 16 weeks of endurance training [54]. Observational studies suggest a striking male predominance of AF in athletes [53]. In a study on female and male non-elite runners with a comparable training volume and performance, male runners had larger left and right atria and a substantially longer signal-averaged P wave duration, suggesting a more pronounced structural remodelling of the atria (Figure 5). A history of paroxysmal AF was present in 6.7% of male runners, compared to 0% in female runners [40]. Since AF is often vagally mediated and self-terminating, athletes may be free of symptoms during competition. However, adrenergic AF may also occur, leading to a substantial loss of performance in some athletes. Reduction of training intensity and volume may be an option for some athletes. Treatment is indicated according to established guidelines [53].
Figure 5.
Gender differences of atrial remodelling in non-elite endurance athletes. For a comparable training volume and performance, signal-averaged P wave duration is longer in male athletes, reflecting a more pronounced structural remodelling of the atria.
Ventricular arrhythmias and sudden cardiac death
Premature ventricular beats (PVB) and non-sustained ventricular tachycardias may be observed in trained athletes. They may be associated with underlying cardiovascular diseases, like myocarditis, mitral valve prolapse, DCM, HCM or ARVC (Figure 6). The overall prevalence of ventricular arrhythmias in athletes is low. Only 355 out of 15,889 young competitive athletes (2.2%) showed ≥3 PVB in the resting ECG and/or reported palpitations. Of these, 76% were male athletes [7]. Cardiovascular pathologies were detected in 26 (7%) of these athletes, and they were significantly more common in athletes with ≥2000 PVBs/24 h (30%) than in athletes with ≥100 to <2000 PVBs/24 h (3%) or in athletes with <100 PVBs/24 h (0%). Most common pathologies were mitral valve prolapse (42%), followed by ARVC (28%), myocarditis (15%) and DCM (15%). In that study, only one athlete died suddenly of ARVC while participating in a field hockey game against medical advice. The authors concluded that ventricular arrhythmias not associated with cardiac pathologies may be benign and an expression of the athlete’s heart [7]. Complex ventricular arrhythmias in athletes are sensitive to detraining. Out of 70 highly trained athletes, 23% showed complete and 49% partial recovery after a period of de-conditioning (mean 19 weeks, range 12 to 24 weeks). No athlete with complete recovery had cardiovascular abnormalities. Among athletes with partial or no recovery, cardiac pathologies were detected in 38 and 35% of cases, respectively [55]. Among 46 high level endurance athletes (80% cyclists) presenting with complex ventricular arrhythmias and/or symptoms like dizziness or syncope, RV arrhythmogenic involvement was manifest in 59% of these athletes, and suggestive in another 30%. A total of 18 athletes developed a major arrhythmic event, including SCD in 9 athletes [23]. The authors concluded that endurance athletes with arrhythmias have a high prevalence of RV structural and/or arrhythmic involvement and that endurance sports seems to be related to the development and/or progression of the underlying arrhythmogenic substrate [23]. The hypothesis was supported by the observation that ventricular arrhythmias in high-level endurance athletes frequently originated from a mildly dysfunctional RV and raises the question of whether endurance exercise not only acts as a trigger for these arrhythmias but also as promoter of RV remodelling [52].
Figure 6.
Exercise-induced monomorphic right ventricular outflow tract tachycardia in a patient with syncope during high-school sport. Magnetic resonance imaging revealed right ventricular enlargement and regional dyskinesia in the outflow tract, indicating arrhythmogenic right ventricular cardiomyopathy.
Generally, sport is considered as a trigger and not a cause for life-threatening arrhythmias in those athletes with underlying cardiovascular diseases [28]. The overall incidence of sudden cardiac death in athletes is extremely low and figures of 0.6 to 2.3 cases/100 000 athletes per year have been reported [27,28,56]. The risk of SCD and underlying heart disease vary with age, gender, ethnicity, sporting discipline and region. In the United States, HCM has been consistently reported to be the single most common cause of SCD, accounting for approximately one third of cases in athletes <35 years of age [28]. In the Veneto region of Italy, ARVC was the most common cause for SCD in approximately 25% of cases [27]. Beside different demographic profiles, there is a striking male predominance of SCD (75 to 93% of cases) [27,28,56,57]. Competitive team sports like soccer and basketball or high-intensity endurance sports like cycling, running and swimming, place the athletes at the highest risk of dying suddenly [27,28,56,57]. Ethnicity has a major impact on the risk of SCD. In a study on national collegiate athletes, the overall incidence for SCD was 5.7/100 000/year for black athletes, compared to only 1.7/100 000/year for white athletes. Afro-American basketball players had the highest risk of dying suddenly with an incidence of 17.4/100 000/year [56], possibly reflecting their higher risk of SCD due to HCM [49]. To assess the magnitude of the problem in Switzerland, we etablished a National registry on sudden death in athletes in 2011 (www.swissregard.ch, Swiss REGistry of Athletic Related Death) [57].
Elevated cardiac biomarkers
The risk of myocardial damage by endurance exercise is under debate because of reports on exercise-associated increases in cardiac biomarkers and myocardial dysfunction [58]. At the end of the Boston marathon, 40% of participants had a Troponin T level at or above the 99th percentile of normal. N-terminal pro-brain natriuretic peptide (NT-proBNP) increased significantly after the race. The increase in biomarkers correlated with post-race diastolic dysfunction, increased pulmonary pressures, right ventricular dysfunction, and inversely with training mileage. Athletes with the lowest training mileages exhibited the highest risk for myocardial injury and dysfunction [59]. After one month follow-up, systolic function of the LV and RV returned to normal, while LV and RV diastolic function were still abnormal [60]. However, to date there are no reports of a higher incidence of heart failure in athletes. In young Olympic athletes, extreme and uninterrupted endurance training over long periods of time was not associated with deterioration in LV function, significant changes in LV morphology, or occurrence of cardiovascular symptoms or events [38]. In contrast to acute myocardial infarction, increases in cardiac troponins are only mild in athletes and of short duration and, therefore, may reflect a reversible membrane leakage of cardiomyocytes with troponin release from the free cytosolic pool. NT-proBNP concentrations under resting conditions are not elevated in healthy athletes with or without signs of the athlete’s heart. Shortterm elevations of NT-proBNP after prolonged exercise may have cytoprotective and growth-regulating effects on the athlete’s heart [58]. However, studies on persistent RV dysfunction in highly trained endurance athletes with ventricular arrhythmias suggest that elevated cardiac biomarkers may reflect an exercise-induced myocardial injury to the RV [23,52].
Conclusion
Our understanding of the athlete’s heart has progressed considerably since its first description by Henschen and Darling in 1899. Body size, sporting discipline and ethnicity have an independent impact on LV remodelling, while gender effects are associated mainly with body size. Although there is no data that vigorous long-term endurance training and competition leads to LV dysfunction, there is evidence for exercise induced atrial and RV arrhythmogenic remodelling. Atrial remodelling is more pronounced in male athletes.
Several physiologic and clinical questions remain: The relationship between intensity, frequency, duration and type of sports and cardiac remodelling has to be defined more clearly in longitudinal studies. Most importantly, the question of whether high intensity endurance sport may act as a promoter (and not only as a trigger) of cardiac dysfunction and arrhythmias has to be clarified. Sophisticated diagnostic tests (like tissue Doppler imaging, echocardiographic strain imaging, magnetic resonance imaging or genetic analysis) for differentiating cardiovascular adaptations from pathologies have to be validated for clinical use.
Based on a lecture at the annual meeting of the Swiss Society of Cardiology, Swiss Society of Sports Medicine, Swiss Society of Paediatric Cardiology, Swiss Society of Thoracic and Cardiovascular Surgery and the Swiss Society of Hypertension; June 8–10, 2011.
Funding/Potential Competing Interestst
No financial support and no other potential conflict of interest relevant to this article were reported.
References
- Henschen, S. Skilanglauf und Skiwettlauf: Eine Medizinische Sportstudie. Mitt Med Klin Upsala (Jena). 1899, 2, 15–18. [Google Scholar]
- Darling, E.A. The effects of training: A study of the Harward University crews. Boston Med Surg J. 1899, 161, 229–233. [Google Scholar] [CrossRef]
- Pelliccia, A.; Maron, B.J.; Culasso, F.; Di Paolo, F.M.; Spataro, A.; Biffi, A.; et al. Clinical significance of abnormal electrocardiographic patterns in trained athletes. Circulation. 2000, 102, 278–284. [Google Scholar] [CrossRef] [PubMed]
- Pelliccia, A.; Culasso, F.; Di Paolo, F.M.; Accettura, D.; Cantore, R.; Castagna, W.; et al. Prevalence of abnormal electrocardiograms in a large, unselected population undergoing pre-participation cardiovascular screening. Eur Heart J. 2007, 28, 2006–2010. [Google Scholar] [CrossRef]
- Magalski, A.; Maron, B.J.; Main, M.L.; McCoy, M.; Florez, A.; Reid, K.J.; et al. Relation of race to electrocardiographic patterns in elite American football players. J Am Coll Cardiol. 2008, 51, 2250–2255. [Google Scholar] [CrossRef]
- Papadakis, M.; Carre, F.; Kervio, G.; Rawlins, J.; Panoulas, V.F.; Chandra, N.; et al. The prevalence, distribution, and clinical outcomes of electrocardiographic repolarization patterns in male athletes of African/Afro-Caribbean origin. Eur Heart J. 2011. [CrossRef] [PubMed]
- Biffi, A.; Pelliccia, A.; Verdile, L.; Fernando, F.; Spataro, A.; Caselli, S.; et al. Long-term clinical significance of frequent and complex ventricular tachyarrhythmias in trained athletes. J Am Coll Cardiol. 2002, 40, 446–452. [Google Scholar] [CrossRef] [PubMed]
- Maron, B.J. Structural features of the athlete heart as defined by echocardiography. J Am Coll Cardiol. 1986, 7, 190–203. [Google Scholar] [CrossRef]
- Pelliccia, A.; Maron, B.J.; Spataro, A.; Proschan, M.A.; Spirito, P. The upper limit of physiologic cardiac hypertrophy in highly trained elite athletes. N Engl J Med. 1991, 324, 295–301. [Google Scholar] [CrossRef]
- Spirito, P.; Pelliccia, A.; Proschan, M.A.; Granata, M.; Spataro, A.; Bellone, P.; et al. Morphology of the “athlete’s heart” assessed by echocardiography in 947 elite athletes representing 27 sports. Am J Cardiol. 1994, 74, 802–806. [Google Scholar] [CrossRef]
- Pelliccia, A.; Maron, B.J.; Culasso, F.; Spataro, A.; Caselli, G. Athlete’s heart in women. Echocardiographic characterization of highly trained elite female athletes. JAMA. 1996, 276, 211–215. [Google Scholar] [CrossRef]
- Pelliccia, A.; Culasso, F.; Di Paolo, F.M.; Maron, B.J. Physiologic left ventricular cavity dilatation in elite athletes. Ann Intern Med. 1999, 130, 23–31. [Google Scholar] [CrossRef]
- Urhausen, A.; Kindermann, W. Sports-specific adaptations and differentiation of the athlete’s heart. Sports Med. 1999, 28, 237–244. [Google Scholar] [CrossRef]
- Pluim, B.M.; Zwinderman, A.H.; van der Laarse, A.; van der Wall, E.E. The athlete’s heart. A meta-analysis of cardiac structure and function. Circulation. 2000, 101, 336–344. [Google Scholar] [CrossRef]
- Pelliccia, A.; Maron, B.J.; Di Paolo, F.M.; Biffi, A.; Quattrini, F.M.; Pisicchio, C.; et al. Prevalence and clinical significance of left atrial remodeling in competitive athletes. J Am Coll Cardiol. 2005, 46, 690–696. [Google Scholar] [CrossRef]
- Baggish, A.L.; Wang, F.; Weiner, R.B.; Elinoff, J.M.; Tournoux, F.; Boland, A.; et al. Training-specific changes in cardiac structure and function: A prospective and longitudinal assessment of competitive athletes. J Appl Physiol. 2008, 104, 1121–1128. [Google Scholar] [CrossRef] [PubMed]
- Basavarajaiah, S.; Boraita, A.; Whyte, G.; Wilson, M.; Carby, L.; Shah, A.; et al. Ethnic differences in left ventricular remodeling in highly-trained athletes relevance to differentiating physiologic left ventricular hypertrophy from hypertrophic cardiomyopathy. J Am Coll Cardiol. 2008, 51, 2256–2262. [Google Scholar] [CrossRef] [PubMed]
- Indermuhle, A.; Vogel, R.; Rutz, T.; Meier, P.; Seiler, C. Myocardial contrast echocardiography for the distinction of hypertrophic cardiomyopathy from athlete’s heart and hypertensive heart disease. Swiss Med Wkly. 2009, 139, 691–698. [Google Scholar] [CrossRef]
- La Gerche, A.; Taylor, A.J.; Prior, D.L. Athlete’s heart: The potential for multimodality imaging to address the critical remaining questions. JACC Cardiovasc Imaging. 2009, 2, 350–363. [Google Scholar] [CrossRef] [PubMed]
- Rawlins, J.; Carre, F.; Kervio, G.; Papadakis, M.; Chandra, N.; Edwards, C.; et al. Ethnic differences in physiological cardiac adaptation to intense physical exercise in highly trained female athletes. Circulation. 2010, 121, 1078–1085. [Google Scholar] [CrossRef]
- Wilhelm, M.; Brem, M.H.; Rost, C.; Klinghammer, L.; Hennig, F.F.; Daniel, W.G.; et al. Early Repolarization, Left Ventricular Diastolic Function, and Left Atrial Size in Professional Soccer Players. Am J Cardiol. 2010, 106, 569–574. [Google Scholar] [CrossRef]
- Scharhag, J.; Schneider, G.; Urhausen, A.; Rochette, V.; Kramann, B.; Kindermann, W. Athlete’s heart: Right and left ventricular mass and function in male endurance athletes and untrained individuals determined by magnetic resonance imaging. J Am Coll Cardiol. 2002, 40, 1856–1863. [Google Scholar] [CrossRef] [PubMed]
- Heidbuchel, H.; Hoogsteen, J.; Fagard, R.; Vanhees, L.; Ector, H.; Willems, R.; et al. High prevalence of right ventricular involvement in endurance athletes with ventricular arrhythmias. Role of an electrophysiologic study in risk stratification. Eur Heart J. 2003, 24, 1473–1480. [Google Scholar] [CrossRef] [PubMed]
- Lee, I.M.; Skerrett, P.J. Physical activity and all-cause mortality: What is the dose-response relation? Med Sci Sports Exerc. 2001, 33, S459–S471; discussion S93–S94. [Google Scholar] [CrossRef] [PubMed]
- Huston, T.P.; Puffer, J.C.; Rodney, W.M. The athletic heart syndrome. N Engl J Med. 1985, 313, 24–32. [Google Scholar] [CrossRef]
- Maron, B.J.; Pelliccia, A. The heart of trained athletes: Cardiac remodeling and the risks of sports, including sudden death. Circulation. 2006, 114, 1633–1644. [Google Scholar] [CrossRef]
- Corrado, D.; Basso, C.; Rizzoli, G.; Schiavon, M.; Thiene, G. Does sports activity enhance the risk of sudden death in adolescents and young adults? J Am Coll Cardiol. 2003, 42, 1959–1963. [Google Scholar] [CrossRef]
- Maron, B.J.; Doerer, J.J.; Haas, T.S.; Tierney, D.M.; Mueller, F.O. Sudden deaths in young competitive athletes: Analysis of 1866 deaths in the United States, 1980-2006. Circulation. 2009, 119, 1085–1092. [Google Scholar] [CrossRef]
- Corrado, D.; Pelliccia, A.; Bjornstad, H.H.; Vanhees, L.; Biffi, A.; Borjesson, M.; et al. Cardiovascular pre-participation screening of young competitive athletes for prevention of sudden death: Proposal for a common European protocol. Consensus Statement of the Study Group of Sport Cardiology of the Working Group of Cardiac Rehabilitation and Exercise Physiology and the Working Group of Myocardial and Pericardial Diseases of the European Society of Cardiology. Eur Heart J. 2005, 26, 516–524. [Google Scholar]
- Corrado, D.; Basso, C.; Pavei, A.; Michieli, P.; Schiavon, M.; Thiene, G. Trends in sudden cardiovascular death in young competitive athletes after implementation of a preparticipation screening program. JAMA. 2006, 296, 1593–1601. [Google Scholar] [CrossRef]
- Mitchell, J.H.; Haskell, W.; Snell, P.; Van Camp, S.P. Task Force 8: Classification of sports. J Am Coll Cardiol. 2005, 45, 1364–1367. [Google Scholar] [CrossRef]
- Windecker, S.; Allemann, Y.; Billinger, M.; Pohl, T.; Hutter, D.; Orsucci, T.; et al. Effect of endurance training on coronary artery size and function in healthy men: An invasive followup study. Am J Physiol Heart Circ Physiol. 2002, 282, H2216–23. [Google Scholar] [CrossRef]
- Wolfe, L.A.; Cunningham, D.A.; Davis, G.M.; Rosenfeld, H. Relationship between maximal oxygen uptake and left ventricular function in exercise. J Appl Physiol. 1978, 44, 44–49. [Google Scholar] [CrossRef] [PubMed]
- Payne, J.R.; Kotwinski, P.J.; Montgomery, H.E. Cardiac effects of anabolic steroids. Heart. 2004, 90, 473–475. [Google Scholar] [CrossRef]
- Pelliccia, A.; Thompson, P.D. The genetics of left ventricular remodeling in competitive athletes. J Cardiovasc Med (Hagerstown). 2006, 7, 267–270. [Google Scholar] [CrossRef]
- Scharf, M.; Brem, M.H.; Wilhelm, M.; Schoepf, U.J.; Uder, M.; Lell, M.M. Cardiac magnetic resonance assessment of left and right ventricular morphologic and functional adaptations in professional soccer players. Am Heart J. 2010, 159, 911–918. [Google Scholar] [CrossRef]
- D’Andrea, A.; Riegler, L.; Cocchia, R.; Scarafile, R.; Salerno, G.; Gravino, R.; et al. Left atrial volume index in highly trained athletes. Am Heart J. 2010, 159, 1155–1161. [Google Scholar] [CrossRef]
- Pelliccia, A.; Kinoshita, N.; Pisicchio, C.; Quattrini, F.; Dipaolo, F.M.; Ciardo, R.; et al. Long-term clinical consequences of intense, uninterrupted endurance training in olympic athletes. J Am Coll Cardiol. 2010, 55, 1619–1625. [Google Scholar] [CrossRef]
- Wilhelm, M.; Roten, L.; Tanner, H.; Wilhelm, I.; Schmid, J.; Saner, H. Atrial Remodeling, Autonomic Tone, and Lifetime Training Hours in Non-Elite Athletes. Am J Cardiol. 2011, 108, 580–585. [Google Scholar] [CrossRef] [PubMed]
- Wilhelm, M.; Roten, L.; Tanner, H.; Wilhelm, I.; Schmid, J.; Saner, H. Gender Differences of Atrial and Ventricular Remodeling and Autonomic Tone in Nonelite Athletes. Am J Cardiol. 2011, 108, 1489–1495. [Google Scholar] [CrossRef] [PubMed]
- Corrado, D.; Pelliccia, A.; Heidbuchel, H.; Sharma, S.; Link, M.; Basso, C.; et al. Recommendations for interpretation of 12-lead electrocardiogram in the athlete. Eur Heart J. 2010, 31, 243–259. [Google Scholar] [CrossRef]
- Pelliccia, A.; Di Paolo, F.M.; Quattrini, F.M.; Basso, C.; Culasso, F.; Popoli, G.; et al. Outcomes in athletes with marked ECG repolarization abnormalities. N Engl J Med. 2008, 358, 152–161. [Google Scholar] [CrossRef]
- Maron, B.J.; Pelliccia, A.; Spirito, P. Cardiac disease in young trained athletes. Insights into methods for distinguishing athlete’s heart from structural heart disease, with particular emphasis on hypertrophic cardiomyopathy. Circulation. 1995, 91, 1596–1601. [Google Scholar] [CrossRef]
- Maron, B.J.; Pelliccia, A.; Spataro, A.; Granata, M. Reduction in left ventricular wall thickness after deconditioning in highly trained Olympic athletes. Br Heart J. 1993, 69, 125–128. [Google Scholar] [CrossRef]
- Basavarajaiah, S.; Wilson, M.; Junagde, S.; Jackson, G.; Whyte, G.; Sharma, S.; et al. Physiological left ventricular hypertrophy or hypertrophic cardiomyopathy in an elite adolescent athlete: Role of detraining in resolving the clinical dilemma. Br J Sports Med. 2006, 40, 727–729; discussion 9. [Google Scholar] [CrossRef]
- Nagueh, S.F.; McFalls, J.; Meyer, D.; Hill, R.; Zoghbi, W.A.; Tam, J.W.; et al. Tissue Doppler imaging predicts the development of hypertrophic cardiomyopathy in subjects with subclinical disease. Circulation. 2003, 108, 395–398. [Google Scholar] [CrossRef] [PubMed]
- Basavarajaiah, S.; Wilson, M.; Whyte, G.; Shah, A.; McKenna, W.; Sharma, S. Prevalence of hypertrophic cardiomyopathy in highly trained athletes: Relevance to pre-participation screening. J Am Coll Cardiol. 2008, 51, 1033–1039. [Google Scholar] [CrossRef]
- Sharma, S.; Elliott, P.M.; Whyte, G.; Mahon, N.; Virdee, M.S.; Mist, B.; et al. Utility of metabolic exercise testing in distinguishing hypertrophic cardiomyopathy from physiologic left ventricular hypertrophy in athletes. J Am Coll Cardiol. 2000, 36, 864–870. [Google Scholar] [CrossRef] [PubMed]
- Maron, B.J.; Carney, K.P.; Lever, H.M.; Lewis, J.F.; Barac, I.; Casey, S.A.; et al. Relationship of race to sudden cardiac death in competitive athletes with hypertrophic cardiomyopathy. J Am Coll Cardiol. 2003, 41, 974–980. [Google Scholar] [CrossRef] [PubMed]
- Abergel, E.; Chatellier, G.; Hagege, A.A.; Oblak, A.; Linhart, A.; Ducardonnet, A.; et al. Serial left ventricular adaptations in world-class professional cyclists: Implications for disease screening and follow-up. J Am Coll Cardiol. 2004, 44, 144–149. [Google Scholar] [CrossRef]
- Pelliccia, A.; Maron, B.J.; De Luca, R.; Di Paolo, F.M.; Spataro, A.; Culasso, F. Remodeling of left ventricular hypertrophy in elite athletes after longterm deconditioning. Circulation. 2002, 105, 944–949. [Google Scholar]
- Ector, J.; Ganame, J.; van der Merwe, N.; Adriaenssens, B.; Pison, L.; Willems, R.; et al. Reduced right ventricular ejection fraction in endurance athletes presenting with ventricular arrhythmias: A quantitative angiographic assessment. Eur Heart J. 2007, 28, 345–353. [Google Scholar] [CrossRef]
- Mont, L.; Elosua, R.; Brugada, J. Endurance sport practice as a risk factor for atrial fibrillation and atrial flutter. Europace. 2009, 11, 11–17. [Google Scholar] [CrossRef]
- Benito, B.; Gay-Jordi, G.; Serrano-Mollar, A.; Guasch, E.; Shi, Y.; Tardif, J.C.; et al. Cardiac arrhythmogenic remodeling in a rat model of long-term intensive exercise training. Circulation. 2011, 123, 13–22. [Google Scholar]
- Biffi, A.; Maron, B.J.; Verdile, L.; Fernando, F.; Spataro, A.; Marcello, G.; et al. Impact of physical deconditioning on ventricular tachyarrhythmias in trained athletes. J Am Coll Cardiol. 2004, 44, 1053–1058. [Google Scholar] [CrossRef]
- Harmon, K.G.; Asif, I.M.; Klossner, D.; Drezner, J.A. Incidence of Sudden Cardiac Death in National Collegiate Athletic Association Athletes. Circulation. 2011.
- Wilhelm, M.; Kellerhals, C.; Bolliger, S.; Schmied, C.; Wyler, D.; Nagel, R.; et al. Swissregard.ch—A prospective registry on sudden death and aborted sudden cardiac death in Swiss athletes. Schweiz Zeitschr Sportmed Sporttrauma. 2011, 59, 96–98. [Google Scholar]
- Scharhag, J.; George, K.; Shave, R.; Urhausen, A.; Kindermann, W. Exerciseassociated increases in cardiac biomarkers. Med Sci Sports Exerc. 2008, 40, 1408–1415. [Google Scholar] [CrossRef] [PubMed]
- Neilan, T.G.; Januzzi, J.L.; Lee-Lewandrowski, E.; Ton-Nu, T.T.; Yoerger, D.M.; Jassal, D.S.; et al. Myocardial injury and ventricular dysfunction related to training levels among nonelite participants in the Boston marathon. Circulation. 2006, 114, 2325–2333. [Google Scholar] [CrossRef]
- Neilan, T.G.; Yoerger, D.M.; Douglas, P.S.; Marshall, J.E.; Halpern, E.F.; Lawlor, D.; et al. Persistent and reversible cardiac dysfunction among amateur marathon runners. Eur Heart J. 2006, 27, 1079–1084. [Google Scholar] [CrossRef] [PubMed]
© 2012 by the author. Attribution - Non-Commercial - NoDerivatives 4.0.
